Last Updated on November 4, 2025 by mcelik

Identifying an alternative name and explaining the primary Hepatoblastoma tumor marker (Alpha-Fetoprotein). Diagnosing liver cancer in children is tough, but a special marker has changed things. Hepatoblastoma, a rare liver cancer in kids, uses a key protein for diagnosis and tracking.
Getting a liver cancer diagnosis is scary for families. Alpha-fetoprotein (AFP) has made a big difference in treating pediatric oncology cases, like hepatoblastoma. Doctors watch AFP levels to see if treatments are working and if cancer might come back.

Hepatoblastoma is a rare liver cancer found mainly in kids under three. It’s known for being rare and linked to genetic syndromes. It also shows unique symptoms.
Hepatoblastoma is a liver tumor that mostly affects babies and young kids. It’s the most common liver cancer in children, making up about 1% of all childhood cancers. It’s found in about 1.2 to 1.5 kids per million under 15.
The number of cases has gone up in recent years, mainly in the youngest kids. This shows we need more research into what causes it.
| Age Group | Incidence Rate (per million) |
| 0-1 year | 11.2 |
| 1-2 years | 8.5 |
| 2-3 years | 4.1 |
Genetic syndromes like Beckwith-Wiedemann and trisomy 18 increase the risk of hepatoblastoma. Low birth weight and early birth are also risk factors.
Studies have found that certain genetic mutations are key in developing this cancer. Knowing these genetic links helps find high-risk groups and create better treatments.
Hepatoblastoma often causes a big belly due to a liver mass. Kids might also lose appetite, lose weight, and feel tired. It can also raise liver enzymes and tumor markers like alpha-fetoprotein (AFP).
Spotting symptoms early is key for treatment. So, it’s important for doctors and parents to know these signs.

Cancer diagnosis often uses tumor markers. These are substances made by cancer cells or in response to cancer. They are key in finding and managing cancers, like hepatoblastoma.
Tumor markers are molecules in blood, fluids, or tissues. They are made by cancer cells or by the body in response to cancer. They help in screening, diagnosis, and tracking treatment.
Examples include proteins, enzymes, and hormones. For example, Alpha-Fetoprotein (AFP) is used for hepatoblastoma and other cancers.
Tumor markers help in several ways:
For instance, high AFP levels often mean hepatoblastoma in kids. Watching these levels helps see if treatment is working and if cancer might come back.
Despite their value, tumor markers have limits:
A study on tumor markers in cancer diagnosis notes, “the perfect marker should be very sensitive and specific for cancer, and easy to measure and affordable.” But such perfect markers are rare. This shows we need a full diagnostic approach.
In summary, tumor markers are key in cancer diagnosis, helping guide treatment. But we must know their limits to make sure we diagnose and manage cancer well.
In pediatric oncology, Alpha-Fetoprotein (AFP) is key for diagnosing hepatoblastoma. It’s important to know how this protein works in both normal and abnormal conditions.
Alpha-Fetoprotein (AFP) is a liver and yolk sac protein in fetuses. It’s vital for growth and development in the womb. After birth, AFP levels drop, making it a useful marker for diseases.
In healthy people, AFP levels are low. But, high levels can signal pregnancy, liver issues, or cancer. For hepatoblastoma, high AFP levels are a key diagnostic clue.
Newborns have high AFP levels that decrease as they grow. Knowing this helps doctors understand AFP test results better.
AFP is very sensitive for hepatoblastoma, showing high levels in most patients. But, it’s not perfect, as high AFP can also mean other liver cancers or germ cell tumors.
Despite its limitations, AFP is great for diagnosing and tracking treatment. But, doctors must look at other signs too for accurate diagnosis and staging.
AFP is linked to liver growth and repair. Fetuses have high AFP levels, which drop after birth. But, some diseases can make AFP levels rise again.
In hepatoblastoma, tumor cells make AFP, causing high levels. This is why AFP is used as a marker for this disease. Learning about AFP in hepatoblastoma helps us understand the disease better and find new treatments.
For patients with hepatoblastoma, AFP testing is key in managing the disease. It’s vital for diagnosing, tracking treatment, and spotting any signs of the disease coming back.
To test for AFP, a blood sample is taken through a vein. This is usually done in the morning because biomarker levels can change throughout the day. The blood is put into a clean tube, and the serum is sent to the lab for testing.
It’s important to collect and handle the blood properly. This helps avoid mistakes that could mess up the test results.
Lab tests for AFP use special methods like ELISA or CMIA. These are very good at finding AFP in the blood. Labs must follow strict rules to make sure the tests work right every time.
How often AFP tests are done depends on the patient’s situation. Tests are usually done at the start, before and after surgery, during chemo, and during check-ups. Patients with high-risk features or not responding well to treatment might need more tests.
Keeping AFP tests accurate is very important. Labs do this by regularly checking their equipment and using control materials. They also join external testing programs to make sure they’re doing a good job.
Labs also watch out for things that could mess up the results, like certain antibodies. They take steps to avoid these problems.
AFP results are key in diagnosing and treating hepatoblastoma. They help doctors understand how well treatment is working and what the future might hold. We’ll explain how to make sense of these test results.
AFP levels change a lot with age, more so in kids. At birth, AFP is high, then drops quickly. Knowing these changes is vital for correct test interpretation.
For example, what’s normal in a baby might be too high in an older child. We must think about these changes when looking at AFP results.
High AFP levels can mean several things, including hepatoblastoma. In this rare liver cancer, high AFP levels often show how big the tumor is and how active it is. But, not all tumors make AFP, and some may only have a little bit.
“The level of AFP can tell us a lot about how the tumor is reacting to treatment and if it might come back,” studies say.
AFP tests are not perfect. They can give false positives, meaning they say there’s a problem when there isn’t. This can happen for many reasons, like the liver healing itself or other non-cancerous conditions.
On the other hand, false negatives can occur when the tumor doesn’t make enough AFP or when the levels are too low. Doctors need to watch out for these mistakes when looking at AFP results.
The half-life of AFP is important when checking how well treatment is working. If AFP levels go down as expected (usually in 5-7 days), it’s a good sign. But, if levels don’t drop or go up, it might mean the cancer is not responding well to treatment.
Watching how AFP levels change can help doctors see if treatment is working.
Researchers are looking for better ways to diagnose and treat hepatoblastoma. They are studying new tumor markers to help doctors better understand the disease. These markers could help track how well treatments are working and predict how the disease might progress.
β-hCG is a hormone linked to pregnancy. But, it can also be found in some cancers, including hepatoblastoma. It might be useful as an extra marker, helping doctors when AFP levels are low or in certain types of tumors.
DCP, or PIVKA-II, is an abnormal prothrombin protein. It’s being studied as a tumor marker in cancers like hepatocellular carcinoma and hepatoblastoma. High levels of DCP might mean the tumor is more aggressive.
GPC3 is a protein attached to cell membranes. It’s involved in cell growth and differentiation. It’s being looked at as a tumor marker for liver cancers, including hepatoblastoma. GPC3 is often found in tumors that look like they developed in embryos or fetuses.
Scientists are working to find new biomarkers for hepatoblastoma. They’re looking at molecular markers and genetic signatures. These could give insights into how tumors grow, how well treatments work, and what the future might hold.
As we learn more about these new markers, it’s key to see how they can help in treating hepatoblastoma. Understanding these biomarkers could lead to more tailored and effective treatments.
| Tumor Marker | Description | Potential Role in Hepatoblastoma |
| β-hCG | Glycoprotein hormone associated with pregnancy and certain cancers | Supplementary marker, specially in AFP-negative cases |
| DCP (PIVKA-II) | Abnormal prothrombin protein associated with vitamin K absence or antagonism | Indicator of aggressive tumor behavior |
| GPC3 | Heparan sulfate proteoglycan involved in cell growth and differentiation | Marker for certain liver cancers, including hepatoblastoma |
Diagnosing hepatoblastoma requires advanced imaging, biopsy, and genetic testing. Tumor markers like alpha-fetoprotein (AFP) are important. But, a detailed approach is key for accurate diagnosis and treatment.
Imaging is key in diagnosing hepatoblastoma. Ultrasound is often first because it’s non-invasive and shows images in real-time. It helps find the tumor’s size and location.
Computed Tomography (CT) scans give detailed images. They help see how big the tumor is and if it has spread. Magnetic Resonance Imaging (MRI) shows high-resolution images. It’s great for checking how the tumor affects nearby areas and for finding metastases.
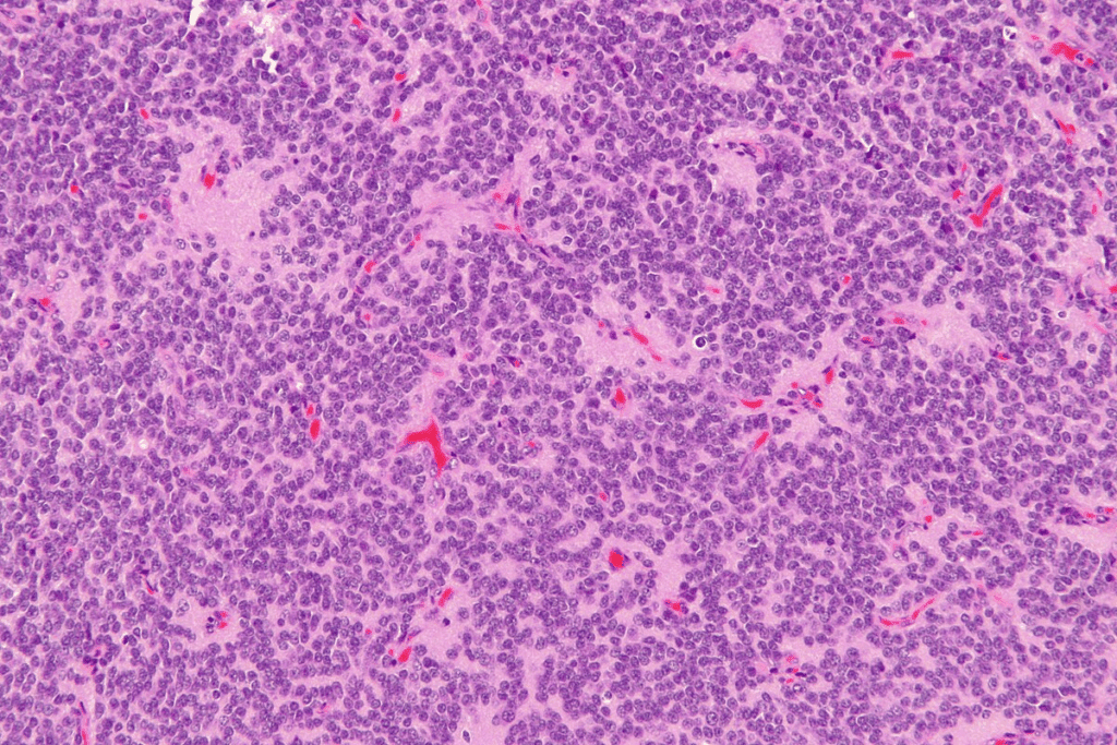
A biopsy is the best way to diagnose hepatoblastoma. It takes a tissue sample from the tumor for histological examination. This analysis confirms the diagnosis and helps plan treatment.
“Histopathological examination of the tumor is critical for confirming the diagnosis of hepatoblastoma and guiding treatment decisions.” -Expert in Pediatric Oncology
Genetic and molecular testing are now key in diagnosing and managing hepatoblastoma. These tests find specific genetic changes in the tumor. This information helps predict the tumor’s behavior and guides treatment.
Accurate staging of hepatoblastoma is vital for planning treatment. Staging looks at the tumor’s size and if it has spread. It also checks if the tumor can be removed. Risk stratification puts patients into groups based on their disease.
By using imaging, biopsy, genetic testing, and staging, doctors get a full picture of the disease. This helps create personalized treatment plans that improve patient outcomes.
Effective treatment of hepatoblastoma needs regular checks of tumor markers, like alpha-fetoprotein (AFP). These markers help doctors see how the disease is progressing and how well the treatment is working. They are key in managing hepatoblastoma, helping doctors adjust treatment plans as needed.
Before starting treatment, a baseline AFP blood test is done. This test sets a starting point for measuring treatment success. It helps doctors understand the tumor’s size and plan the treatment.
After surgery, AFP levels are checked to see if all tumor was removed. A big drop in AFP levels means the tumor was mostly removed. We keep a close eye on these levels to make sure the treatment is working.
During chemotherapy, AFP blood tests are done regularly. A drop in AFP levels means the treatment is working. But if levels stay the same or go up, it might mean the treatment isn’t working well. We adjust the treatment plan to help the patient get better.
After treatment ends, it’s important to keep watching for any signs of the disease coming back. We suggest regular AFP blood tests, often every few months. This helps us catch any signs of recurrence early and act fast.
By watching tumor markers closely during treatment, we can make treatment plans that fit each patient’s needs. This approach improves outcomes and quality of life. Using AFP as a tumor marker is a key part of managing hepatoblastoma, helping doctors make better decisions for patient care.
Alpha-Fetoprotein (AFP) is more than just a tool for diagnosing hepatoblastoma. It also helps predict how well a patient will do and how they’ll respond to treatment. Let’s dive into how AFP levels can give us clues about patient outcomes.
When doctors first check for AFP, they find a link to survival chances. Studies have shown that high AFP levels often mean a tougher fight ahead. This makes AFP a key marker for predicting outcomes.
A study in a top medical journal showed that high AFP levels mean lower survival rates. This shows why doctors need to look closely at AFP levels when planning treatment.
How fast AFP levels drop during treatment is also telling. A quick drop usually means treatment is working well. But slow or no drop might mean the treatment isn’t effective, and it needs to change.
Watching how AFP levels change helps doctors see if treatment is working. This helps them decide if they should keep the current treatment or try something new.
AFP is also key in catching when hepatoblastoma comes back. Rising AFP levels after treatment can signal a return of the cancer. Keeping an eye on AFP levels is vital for managing patients long-term.
Spotting recurrence early with AFP tests lets doctors start treatment again quickly. This can help patients with cancer that comes back do better.
Even though AFP is helpful, it has its limits. AFP levels can vary based on the type of cancer and the patient. Some cancers might not show up in AFP tests, making it not perfect for everyone.
It’s important to know these limits to use AFP levels wisely. Doctors need to look at AFP levels with other signs and tests to give the best care.
Diagnosing hepatoblastoma with tumor markers like AFP is tricky. While AFP is helpful, it has its limits. These can make diagnosis and tracking treatment harder.
One big challenge is when AFP levels are normal or low in patients with hepatoblastoma. This makes it harder to diagnose. Research shows a small number of patients have AFP levels in the normal range. This shows we need more ways to diagnose.
AFP levels change a lot with age, more so in babies and young kids. In these ages, normal AFP levels are much higher than in adults. The ranges are also wider. This means doctors have to be careful when looking at AFP results to avoid mistakes.
Some medical conditions can mess with AFP levels. For example, liver regeneration or certain liver diseases can raise AFP. On the other hand, some genetic conditions can lower AFP levels. Doctors need to think about these when looking at AFP results.
It’s hard to understand AFP results in real-life situations. Doctors have to look at many things, like the patient’s age and how sick they are. The way AFP tests are done can also change, making results harder to understand.
| Challenge | Description | Impact on Diagnosis |
| AFP-Negative Cases | Patients with hepatoblastoma having normal AFP levels | Difficulty in diagnosis; may require additional tests |
| Age-Related Variations | AFP levels vary significantly with age, especially in young children | Requires careful interpretation to avoid misdiagnosis |
| Confounding Medical Conditions | Other conditions affecting AFP levels | Potential for false positives or negatives; complicates interpretation |
It’s important to know these challenges to better diagnose and treat hepatoblastoma. By understanding AFP’s limits, doctors can use a more complete approach. This includes using many diagnostic tools and looking at each patient’s unique situation.
Our understanding of hepatoblastoma is growing, leading to new biomarker discoveries. Recent years have seen big steps forward in this field. This is thanks to new technologies and a deeper understanding of the disease.
Researchers are now focusing on finding specific molecular markers and genetic signatures for hepatoblastoma. These can make diagnosis more accurate and give clues about the disease’s future. Some promising markers include:
Circulating tumor DNA (ctDNA) is becoming a key tool in cancer diagnosis and tracking. For hepatoblastoma, it can be used to:
Using ctDNA is a big step forward in diagnosing and tracking hepatoblastoma without invasive tests.
Proteomics and metabolomics are powerful tools for studying proteins and metabolites in hepatoblastoma. They help find new biomarkers and understand the disease’s biology.
Using multi-marker panels is becoming more common in cancer diagnosis. These panels combine several biomarkers to improve accuracy and give a fuller picture of the disease. For hepatoblastoma, these panels might include:
These advances in biomarker research are promising for better diagnosing and treating hepatoblastoma.
Many major oncology groups have made clinical guidelines for using tumor markers in pediatric liver cancer. These guidelines are key to standardizing diagnosis, treatment, and monitoring of hepatoblastoma. They help ensure that kids get the best care possible.
The American Association for the Study of Liver Diseases (AASLD) has set guidelines for liver diseases, including hepatoblastoma. They highlight the role of alpha-fetoprotein (AFP) in diagnosing and monitoring the disease.
The Children’s Oncology Group (COG) has specific protocols for treating hepatoblastoma. These include using tumor markers like AFP. COG’s recommendations help doctors understand AFP levels and how they affect treatment plans.
International protocols aim to standardize diagnosing and treating hepatoblastoma worldwide. They often include guidelines on using tumor markers. This ensures a consistent approach to patient care.
Putting these guidelines into practice can be tough due to different resources and setups. But, efforts are underway to make these guidelines available and useful everywhere. This will help improve care for kids with hepatoblastoma.
When a child gets diagnosed with hepatoblastoma, it’s not just about the medical treatment. It’s also about the emotional and psychological support for the whole family. Tumor marker testing, like Alpha-Fetoprotein (AFP), is very important. It’s key for families to understand these tests and how to deal with them.
Explaining AFP testing to a child should be clear and not scary. Parents or guardians should say the test takes a blood sample. This helps doctors see how the treatment is going. It’s important to be honest and reassuring, telling them the test is needed to manage their condition.
Tips for Preparing Children:
Getting the results of AFP testing can be tough for families. It’s important to have a healthcare provider explain the results in detail. They should talk about what the numbers mean and how they affect the child’s treatment plan. Families should ask questions and get any concerns cleared up.
Effective communication between healthcare providers and families is key. It helps manage expectations and understand treatment progress. Families should feel free to discuss their concerns and ask about the test results’ impact on their child’s prognosis and treatment plan.
The ongoing monitoring for hepatoblastoma, including regular AFP testing, can affect families’ mental health. The uncertainty and fear of recurrence can be stressful. It’s important to provide emotional and psychological support to families during this time.
Support can be in many forms, like counseling, support groups, and resources from healthcare teams. Families should be encouraged to seek these out. It helps manage the emotional aspects of their child’s diagnosis and treatment.
Families dealing with a hepatoblastoma diagnosis need access to many resources. This includes educational materials, support groups, and counseling services. Healthcare providers should guide families on where to find these resources and how to access them.
Key Resources Include:
By giving families the support and resources they need, we can help them deal with the complexities of hepatoblastoma diagnosis and treatment. This includes the aspects related to tumor marker testing.
Hepatoblastoma tumor markers are key in diagnosing and managing liver cancer in kids. Alpha-fetoprotein (AFP) is the main marker for this disease. It helps doctors diagnose, track treatment, and spot when the cancer comes back.
The world of pediatric oncology is always growing. Researchers are looking into new biomarkers and ways to diagnose hepatoblastoma. Markers like Glypican-3 (GPC3) and circulating tumor DNA might make diagnosis more accurate and treatment more tailored.
Using tumor markers well in care means knowing their limits and challenges. Keeping up with the latest in hepatoblastoma research helps doctors give better care and results.
As we move forward in treating hepatoblastoma, we’ll see better use of tumor markers. This will lead to better survival rates and quality of life for kids with this rare cancer.
Hepatoblastoma is a rare liver cancer in kids. Doctors use imaging, biopsy, and tests like Alpha-Fetoprotein (AFP) to find it.
AFP is a liver protein found in fetuses. It’s a key marker for hepatoblastoma in children. High AFP levels suggest this cancer.
To test AFP, a blood sample is taken. Labs then check it using set methods. Testing frequency and quality control depend on the situation and guidelines.
High AFP levels might mean hepatoblastoma or other issues. Doctors look at age, symptoms, and test results to understand what it means.
Yes, markers like Beta-human Chorionic Gonadotropin (β-hCG), Des-gamma-carboxy Prothrombin (DCP), and Glypican-3 (GPC3) are being studied. But their use is not yet confirmed.
Doctors check tumor markers like AFP at different times. This includes before treatment, after surgery, during chemotherapy, and later to see if the cancer comes back.
Using AFP can be tricky. Some cases don’t show high AFP, levels change with age, and other health issues can confuse results.
Groups like the American Association for the Study of Liver Diseases (AASLD) and the Children’s Oncology Group have rules. They guide how to use AFP and other markers in treating liver cancer in kids.
Families should learn about AFP testing and its importance. They should also be ready for the emotional side of ongoing tests and find support.
Scientists are looking into new markers like molecular ones and genetic signatures. They aim to make diagnosis better and treatments more tailored.
World Health Organization. Hepatoblastoma Nomenclature Pediatric Liver Cancer Review. Retrieved from https://who.int/publications/i/item/global-cancer-observatory-2020
Subscribe to our e-newsletter to stay informed about the latest innovations in the world of health and exclusive offers!
WhatsApp us