Hirschsprung’s disease is a birth defect that affects about 1 in 5,000 babies. It happens when certain nerve cells are missing in parts of the bowel. This leads to very bad constipation and blockages in the intestines, making life hard for kids with it.

Studies have found a strong link between Hirschsprung’s disease and Down syndrome. A study onPubMed shows that kids with Down syndrome are more likely to have hirschsprung down syndromedown syndrome disease. This shows we need to take care of these kids in a special way.
We will look into the numbers, risks, and new ways to help kids with Hirschsprung’s disease and Down syndrome. We’ll learn more about the challenges they face and how we can help.
Key Takeaways
- Hirschsprung’s disease is a congenital condition affecting 1 in 5,000 live births.
- There’s a significant intersection between Hirschsprung’s disease and Down syndrome.
- Children with Down syndrome have a higher incidence of Hirschsprung’s disease.
- Comprehensive care is key for managing Hirschsprung’s disease in kids with Down syndrome.
- Research shows a higher risk of problems in Hirschsprung’s disease patients with Down syndrome.
Understanding Hirschsprung’s Disease: Causes and Prevalence
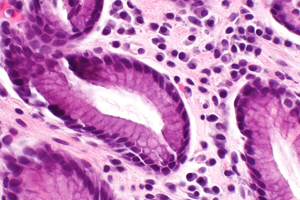
Hirschsprung’s disease is a condition where certain parts of the colon lack ganglion cells. This happens because of a problem during fetal development. Neural crest cells fail to reach the distal bowel.
The Pathophysiology of Missing Ganglion Cells
The lack of ganglion cells in the colon’s lower parts causes a blockage. This is because the affected area can’t relax and move the stool. As a result, the colon gets clogged, leading to severe constipation or blockage soon after birth.

Incidence Rate of 1 in 5,000 Live Births
Hirschsprung’s disease is rare, affecting about 1 in 5,000 babies. Its occurrence can vary among different groups, with some studies showing higher rates in certain ethnicities.
Mortality and Complication Risks
Thanks to better surgery and care, death rates from Hirschsprung’s disease have dropped. Yet, death rates can be as high as 20-25% in complex cases. Those with Down syndrome face even higher risks, with a mortality rate of 7.32%.
Important statistics include:
- Mortality rates range from 20-25% in complicated cases
- A higher incidence of complications in patients with associated Down syndrome
- The need for prompt diagnosis and surgical intervention to prevent long-term complications
Healthcare providers must understand Hirschsprung’s disease well. This is vital, as those with Down syndrome are at a higher risk of complications.
Down Syndrome: An Overview of the Genetic Condition
Down syndrome is a genetic condition caused by an extra chromosome 21. It affects many areas of health. It’s the most common chromosomal abnormality linked to Hirschsprung’s disease.

Chromosomal Basis
Down syndrome happens when there’s an extra copy of chromosome 21. This extra genetic material changes how a person develops. It leads to the traits seen in Down syndrome.
The extra chromosome impacts many body systems. It also raises the risk of several health problems.
Trisomy 21 is the main cause, found in about 95% of cases. Mosaicism or translocation can also cause it, but these are rarer.
Prevalence
Down syndrome affects about 1 in 600-700 babies born. It’s a common condition, and knowing about it is key to managing related health issues.
The risk of having a child with Down syndrome goes up with the mother’s age, after 35. Yet, most children with Down syndrome are born to younger mothers.
Common Associated Health Challenges
People with Down syndrome face many health challenges. These include heart defects, a higher risk of infections, and gastrointestinal issues like Hirschsprung’s disease.
There’s a strong link between Down syndrome and Hirschsprung’s disease. Many children with Hirschsprung’s also have Down syndrome. Knowing about these health challenges helps in providing better care.
Healthcare providers can offer better support and care by understanding these challenges. This improves the lives of those with Down syndrome.
The Connection Between Hirschsprung Down Syndrome: Statistical Evidence
Hirschsprung’s disease and Down syndrome are linked, with strong evidence showing their connection. Children with Down syndrome face a higher risk of getting Hirschsprung’s disease than others.
Prevalence in Down Syndrome: Research shows that 1-2% of children with Down syndrome get Hirschsprung’s disease. This is a big risk, as Hirschsprung’s is rare in the general population.
1-2% of Children with Down Syndrome Develop Hirschsprung’s
Children with Down syndrome are much more likely to get Hirschsprung’s disease. About 1-2% of them will develop it, which is a lot higher than in the general population.
3-10% of Hirschsprung’s Patients Have Down Syndrome
On the other hand, a large number of Hirschsprung’s patients also have Down syndrome. Studies say 3-10% of those with Hirschsprung’s also have Down syndrome. This shows a strong connection between the two conditions.
Genetic Mechanisms Behind the 50-100 Fold Increased Risk
The reasons for the high risk of Hirschsprung’s in Down syndrome are complex. Children with Down syndrome are 50- to 100-fold more likely to get Hirschsprung’s than others. This is because Down syndrome’s genetic issues affect the enteric nervous system’s development.
Our study confirms a strong link between Hirschsprung’s disease and Down syndrome. Knowing this helps in early diagnosis and treatment of Hirschsprung’s disease in children with Down syndrome.
Clinical Presentation and Diagnosis
Hirschsprung’s disease and Down Syndrome have a complex relationship. Hirschsprung’s disease is caused by missing nerve cells in the bowel. This leads to severe constipation or blockage if not treated quickly.
Early Warning Signs in Newborns
Newborns with Hirschsprung’s disease show signs early on. These early warning signs include not passing meconium in the first 48 hours, a swollen belly, and vomiting that brings up bile. Children with Down Syndrome might show these signs more or with other problems.
Healthcare providers must spot these signs and start testing to confirm the diagnosis. Waiting too long can cause serious problems, like enterocolitis, which makes things worse.
Diagnostic Procedures and Tests
Diagnosing Hirschsprung’s disease involves several steps. First, a contrast enema is done. It shows a clear line where the bowel changes size.
The next step is a rectal biopsy. It’s the best way to confirm the disease. The biopsy checks for missing nerve cells in the bowel.
- Clinical evaluation to assess symptoms and signs
- Imaging studies, including contrast enema and abdominal X-ray
- Rectal biopsy for histological confirmation
Early diagnosis is key for treating Hirschsprung’s disease, even more so in children with Down Syndrome. Knowing the signs and using the right tests helps doctors act fast. This can greatly improve a child’s health.
Treatment Options and Surgical Management
Patients with Hirschsprung’s disease, including those with Down syndrome, face unique challenges. Surgery is the main treatment to remove the affected part. This aims to restore normal bowel function.
Preoperative Care and Stabilization
Before surgery, it’s key to stabilize the patient. This includes managing complications like enterocolitis. Preoperative care involves bowel decompression, antibiotics, and nutritional support.
Surgical Interventions for Hirschsprung’s Disease
Modern surgery offers several treatments for Hirschsprung’s disease. The Swenson, Duhamel, and Soave procedures are common. Each has its benefits and risks. The right surgery depends on the patient’s health and the surgeon’s skill.
Postoperative Care and Complications
Postoperative care is vital to avoid complications and aid recovery. Patients with Hirschsprung’s disease and Down syndrome are at higher risk. Close monitoring and follow-up care are key to managing these risks.
Managing Hirschsprung’s disease in patients with Down syndrome needs a detailed approach. Healthcare providers must understand treatment options and complications. This way, they can offer the best care for these patients.
Multidisciplinary Care Approach for Complex Cases
Hirschsprung’s disease and Down syndrome together need a team effort. Up to 30% of Hirschsprung’s patients have other birth defects. This shows why a team approach is key.
Coordinating Specialists for Dual Diagnoses
Managing Hirschsprung’s disease in Down syndrome patients requires a team. This team includes pediatric surgeons, geneticists, and cardiologists. We work together to cover all health aspects.
“A team effort is vital for complex care,” says the importance of teamwork in healthcare.
Managing Additional Birth Defects
Up to 30% of Hirschsprung’s patients have more birth defects. We focus on early detection and management. This may include various tests and treatments.
This approach helps avoid complications and improves health outcomes.
Long-term Follow-up and Monitoring
Long-term care is essential for Hirschsprung’s disease and Down syndrome patients. We provide ongoing monitoring and support. This includes regular check-ups and adjusting treatment plans as needed.
Support Resources for Families
We also offer support for families dealing with these conditions. This includes counselling, educational materials, and support group connections. Empowering families helps them care for their loved ones better.
Liv Hospital shows the best way to manage complex conditions. By following their example, we can give patients the care they need.
Conclusion
It’s important to understand how Hirschsprung’s disease and Down syndrome are connected. Our research found that when these conditions happen together, it can lead to more problems. This includes higher rates of infections, worse outcomes after surgery, and even higher death rates.
For patients facing these challenges, getting the right care is vital. A team of specialists working together is key. They can tackle the complex issues that come with both conditions.
Healthcare teams need to recognize the deep link between these diseases. This way, they can create plans that meet the unique needs of these patients. This approach can greatly improve their quality and how well they respond to treatment.
FAQ’s:
What is Hirschsprung’s disease, and how is it related to Down syndrome?
Hirschsprung’s disease is a birth defect where the bowel lacks nerve cells. This causes a blockage in the intestines. Children with Down syndrome are more likely to have this condition.
What are the early warning signs of Hirschsprung’s disease in newborns?
Look out for signs like not passing meconium in the first 48 hours, swollen belly, vomiting, and constipation. These could mean Hirschsprung’s disease and need a doctor’s check.
How is Hirschsprung’s disease diagnosed?
Doctors use a few methods to diagnose it. They look at symptoms, do X-rays and contrast enemas, and take a biopsy to check for nerve cells.
What is the treatment for Hirschsprung’s disease, and how does it differ for patients with Down syndrome?
Treatment is surgery to remove the blocked part of the bowel. Kids with Down syndrome might need extra care because of other health issues.
What is the importance of a multidisciplinary care approach for managing Hirschsprung’s disease, especially in patients with Down syndrome?
A team of doctors is key for complex cases. They manage other health issues, provide ongoing care, and support families. This ensures the best care for kids.
How common is Hirschsprung’s disease in children with Down syndrome?
About 1-2% of kids with Down syndrome get Hirschsprung’s disease. This makes it important to watch for signs early.
What are the possible complications of Hirschsprung’s disease, and how can they be managed?
Complications include infections, blockages, and surgery problems. Quick treatment and ongoing care help manage these issues.
What support resources are available for families affected by Hirschsprung’s disease and Down syndrome?
Families can find help through advocacy groups, counselling, and online forums. These resources offer support and guidance through tough times.
REFERENCES:
- Friedmacher, F., & Puri, P. (2013). Hirschsprung’s disease associated with Down syndrome: A systematic review and meta-analysis of clinical outcomes. Pediatric Surgery International, 29(10), 1011-1018. Reports that Hirschsprung’s disease occurs in about 2.6% of children with Down syndrome and that Down syndrome is present in approximately 7.3% of Hirschsprung’s cases, underscoring higher complication risks. Retrieved fromhttps://pubmed.ncbi.nlm.nih.gov/23943251/
- Makhdoom, S. (2022). Frequency of various types of gastrointestinal abnormalities in patients with Down syndrome, including Hirschsprung’s disease. The Professional Medical Journal, 29(12), 4942-4947. Hirschsprung’s disease was found to be present in 2.4% of children with Down syndrome in a Pakistani cohort, highlighting the need for early recognition and intervention. Retrieved fromhttps://theprofesional.com/index.php/tpmj/article/view/7040
- Bradnock, T. J., et al. (2017). Hirschsprung’s disease in the UK and Ireland: Incidence, management and outcomes. Archives of Disease in Childhood, 102(8), 722-728. Notes Hirschsprung’s disease incidence at approximately 1 in 5000 live births, with Down syndrome present in about 9% of cases, emphasizing the disease’s neonatal presentation and surgical treatment requirements. Retrieved fromhttps://adc.bmj.com/content/102/8/722