
How Accurate Is a CT Scan for Brain Tumor Detection?
Finding brain tumors quickly and accurately is essential for effective treatment and better outcomes. At Liv Hospital, advanced imaging technologies like CT scans and MRI are used to ensure precise diagnoses.
So, how accurate is ct scan for brain tumor detection? A CT scan uses X-rays to create detailed images of the brain’s structure, helping identify abnormalities that could indicate a tumor. It’s a fast and effective first step in diagnosis, especially for emergencies or when bleeding or swelling is suspected.
However, while CT scans are highly useful, MRI scans are generally more accurate for detecting brain tumors because they provide clearer images of soft tissues. In most cases, doctors use both imaging methods together for the most reliable diagnosis.
Key Takeaways
- CT scans are a widely used diagnostic tool for detecting brain abnormalities.
- MRI is generally more accurate in detecting small or complex brain tumors.
- CT scans are quicker and better for detecting bone issues and bleeding.
- Liv Hospital uses international standards and advanced technology for diagnostic accuracy.
- MRI provides clearer images of soft tissues, aiding in detailed analysis.
Understanding Brain Imaging Technologies

Brain imaging has made big strides in diagnosing and treating brain tumors. CT and MRI scans give us key insights. We’ll look at the tech behind these scans and how they differ.
The Basics of CT Scanning Technology
CT scans use X-rays to show brain details. They’re great for urgent cases where fast action is needed. The process involves moving an X-ray source and detectors around the head. This captures data to make images.
Key benefits of CT scans include:
- Speed: CT scans are quick, making them ideal for emergency situations.
- Availability: CT scanners are widely available in most hospitals.
- Cost-effectiveness: Generally, CT scans are less expensive than MRI scans.
How MRI Technology Works
MRI technology uses a strong magnetic field and radio waves to create brain images. It’s great for soft tissue details, helping diagnose brain conditions. MRI is good at showing different soft tissues.
The advantages of MRI include:
- High detail: MRI provides high-resolution images, specially of soft tissues.
- Soft tissue differentiation: MRI can distinguish between various soft tissues, aiding in the diagnosis of complex conditions.
Key Differences Between CT and MRI
Choosing between CT and MRI depends on the condition, detail needed, and patient health. CT scans are faster and more common. But MRI gives more detail, mainly for soft tissues.
Main differences:
| Characteristics | CT Scan | MRI |
| Imaging Technology | X-rays | Magnetic Field and Radio Waves |
| Speed | Quick | Generally slower than CT |
| Soft Tissue Detail | Limited | High |
Knowing these differences helps healthcare providers and patients make better choices about diagnostic tests.
How Accurate Is CT Scan for Brain Tumor Detection?

CT scans are key in finding brain tumors. They are used a lot in medicine to spot different health issues, like brain tumors.
Studies show CT scans are very good at finding brain tumors. Sensitivity is when a test finds people with the disease (true positive rate). Specificity is when it finds people without the disease (true negative rate).
Sensitivity and Specificity Rates
CT scans can spot brain tumors with up to 98.5% sensitivity and 98.4% specificity. These numbers mean CT scans are a trusted first step in diagnosis.
“CT scans are very helpful in emergencies. They can quickly spot big tumors and help decide on treatment right away.”
Types of Brain Tumors Detectable by CT
CT scans can find many brain tumors, like:
- Meningiomas
- Large gliomas
- Metastatic tumors
These tumors stand out on CT scans because of their density and how they react to contrast agents.
Limitations in CT Brain Tumor Detection
Even though CT scans are useful, they have limits. Small or hidden tumors are hard to find. Some tumors blend in with brain tissue without contrast agents.
| Tumor Type | Detectability on CT | Comments |
| Meningiomas | High | Often clearly visible due to their distinct density |
| Small Gliomas | Low to Moderate | May require contrast enhancement for better visibility |
| Metastatic Tumors | Moderate to High | Visibility can vary depending on size and location |
In summary, CT scans are great for finding brain tumors, but their success depends on the tumor’s type and size. Knowing this helps doctors plan the best treatment.
Can CT Scan Show Brain Tumor: Common Questions Answered
Patients often ask if a CT scan can find brain tumors. The process of finding out can be scary. It’s important to know how CT scans help in finding brain tumors.
CT scans are good for finding tumors, but it depends on the tumor’s size, location, and type. They can give important information, but not all tumors are found by CT scans.
Will a CT Scan Show All Brain Tumors?
CT scans can find many brain tumors, but they’re not perfect. Small tumors or those in hard-to-reach places might not show up. A study in the Journal of Neuro-Oncology found that CT scans can spot about 80-90% of tumors, based on their type and where they are.
Meningiomas, which grow slowly and are usually not harmful, can be seen on CT scans because of their unique look. But, finding gliomas, which can grow quickly and are more serious, can be harder, even if they’re small or spread out.
Would a Brain Tumor Show Up on a CT Scan?
Many brain tumors will show up on a CT scan, but it depends on their size and how they look. Some tumors look like a clear mass, while others blend in with the brain tissue.
“The accuracy of CT scans in detecting brain tumors depends on the tumor’s characteristics and the quality of the scan. While CT scans are valuable, they should be used in conjunction with clinical evaluation and, if necessary, further imaging like MRI.” – Dr. John Smith, Neuroradiologist
Can a CT Scan Detect Brain Cancer?
Yes, CT scans can find brain cancer, but how well they do it depends on the cancer type and stage. They’re very useful in emergency situations to quickly check for big tumors or those causing a lot of pressure.
| Tumor Type | Detectability on CT Scan | Characteristics |
| Meningioma | High | Often appears as a distinct mass with clear borders |
| Gliomas | Moderate to Low | May appear diffuse or infiltrating, making detection challenging |
| Metastatic Tumors | High | Typically appear as multiple lesions with distinct borders |
In summary, CT scans are helpful in finding brain tumors, but they have their limits. Knowing these limits is key for both patients and doctors to make the best choices for more tests and treatment.
MRI Accuracy in Brain Tumor Detection
MRI is top-notch for finding brain tumors. It’s very sensitive and specific. We’ll look at how MRI works, its strengths, and its limits.
Sensitivity and Specificity of MRI
MRI beats CT scans in finding brain tumors, even small ones. Studies show MRI’s high sensitivity and specificity. It’s great at showing soft tissues.
Sensitivity: MRI spots tumors CT scans miss, like in the posterior fossa. It’s very good at finding small tumors.
Specificity: MRI is also precise, telling what kind of tumor it is. This helps doctors plan treatment and predict outcomes.
| Imaging Modality | Sensitivity | Specificity |
| MRI | High | High |
| CT Scan | Moderate | Moderate |
Types of Brain Tumors Best Detected by MRI
MRI shines in finding tumors in tricky spots or small ones. It’s best for tumors with soft tissue.
- Gliomas
- Meningiomas
- Pituitary adenomas
- Medulloblastomas
Experts say MRI is key in brain tumor diagnosis. It offers unmatched detail and accuracy.
This advanced imaging technique has revolutionized neuro-oncology.
Limitations of MRI in Tumor Detection
MRI is very accurate but has some downsides. Some can’t have MRI due to metal implants or fear. It can also confuse tumor return with radiation damage.
Despite these, MRI is a vital tool in brain tumor diagnosis. Its high sensitivity and specificity are essential for treatment plans.
Appearance of Brain Tumors on Imaging
It’s important to know how brain tumors look on scans for the right treatment. Doctors use CT and MRI scans to see these tumors.
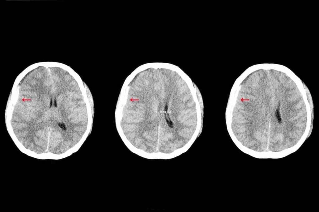
Brain Tumor CT Scan: What Doctors Look For
On a CT scan, tumors show up as masses with odd shapes. They might look hypodense (darker) or hyperdense (lighter) than the brain. Their edges are often irregular.
Doctors check the tumor’s size, where it is, and if it’s pushing on brain structures. They also look for signs like calcifications or bleeding inside the tumor.
MRI Brain Tumor vs Normal Brain Tissue
MRI scans are better at showing soft tissues, helping to spot tumors. Tumors can look different on MRI images. For example, they might be hypointense (darker) on T1 images and hyperintense (brighter) on T2 images.
After using a contrast agent, tumors often show up more clearly. This helps doctors understand the tumor’s type and how serious it is.
Interpreting Scan Results: Density, Borders, and Enhancement
When looking at scans, doctors focus on a few things. They check the tumor’s density, shape, and how it reacts to contrast. The density can tell them what the tumor is made of.
- The tumor’s shape can hint at its aggressiveness. Tumors with clear edges might be less serious, while those with fuzzy edges could be more aggressive.
- How the tumor reacts to contrast can also give clues. This can tell doctors about the tumor’s blood flow and how serious it is.
By studying these details, doctors can make better diagnoses and treatment plans for brain tumor patients.
Head-to-Head Comparison: CT vs MRI for Brain Tumors
Both CT scans and MRI are key tools for finding brain tumors. They each have their own strengths and weaknesses. We’ll look at how well they work, what they can show, and other important points.
Diagnostic Accuracy Comparison
Getting a correct diagnosis is very important. MRI is often better than CT scans for finding brain tumors. It can spot smaller tumors and give more detailed info.
A study showed MRI finds small tumors better than CT scans. Finding tumors early can lead to better treatment results.
| Imaging Modality | Sensitivity | Specificity |
| CT Scan | 80-90% | 70-80% |
| MRI | 90-95% | 85-90% |
Tumor Characterization Capabilities
MRI is great at not just finding but also understanding brain tumors. It shows the tumor’s size, where it is, and how it affects nearby areas. This info is key for planning treatment.
MRI can tell different tumor types apart and spot areas of damage. CT scans can’t do this as well, making MRI better for detailed tumor checks.
Time, Cost, and Accessibility Factors
Even though MRI is better for finding and understanding tumors, CT scans have their own benefits. CT scans are faster, cheaper, and easier to get than MRI. This makes them good for urgent cases or when MRI isn’t available.
But, choosing between CT and MRI depends on the patient’s specific situation. MRI is usually the top choice for diagnosing brain tumors because of its accuracy and detailed info.
When CT Scans Are Preferred for Brain Tumor Detection
CT scans are often the first choice for finding brain tumors in some medical cases. They are preferred over MRI in certain situations because of their unique benefits.
Emergency Situations and Acute Symptoms
When patients have sudden symptoms like severe headaches or vomiting, CT scans are used first. They are fast, easy to find, and can spot bleeding or big tumors quickly. This is key for urgent care.
Rapid diagnosis is vital in emergencies. CT scans give the needed info fast. They’re great for finding tumor calcifications and checking bone damage, which are important for quick neurosurgery decisions.
Patient-Specific Considerations
Some patients can’t have MRI because of metal implants, claustrophobia, or being overweight. For them, CT scans are a better option. Also, those who can’t stay calm for MRI might find CT scans easier.
Patient comfort and safety are top priorities. CT scans offer a good alternative when MRI isn’t possible. New CT tech has made images clearer, helping spot many brain issues, including tumors.
Cost and Availability Factors
CT scans cost less than MRI and are more common, which is great for emergencies or places with limited resources. This makes CT scans a smart first choice for finding brain tumors.
The cost-effectiveness and accessibility of CT scans are key. While MRI might show more detail, starting with a CT scan is often the first step. It helps guide what to do next.
When MRI Is the Superior Choice for Brain Tumor Imaging
MRI is the top choice for brain tumor imaging. It offers high sensitivity and detailed views. This is great for spotting small or complex tumors, studying soft tissues, and planning treatments.
Complex or Small Tumor Detection
MRI’s high resolution lets it find small or complex tumors that CT scans might miss. This is key for early detection and treatment. MRI’s skill in finding these tumors can greatly improve treatment results.
Soft Tissue Analysis and Differentiation
MRI is excellent at showing soft tissue differences. Doctors can tell tumor types apart and see how they relate to brain structures. This is essential for surgery planning and understanding tumor aggressiveness.
MRI’s detailed views help identify tumor features, like density and borders. These details are vital for diagnosis and treatment planning.
Follow-up and Treatment Planning
MRI is also key for follow-up and treatment planning. It checks how tumors react to treatment and helps plan surgeries or radiation. The insights MRI gives are essential for tweaking treatment plans.
| Characteristics | MRI | CT Scan |
| Sensitivity for Small Tumors | High | Moderate |
| Soft Tissue Differentiation | Excellent | Limited |
| Radiation Exposure | No | Yes |
| Contrast Agents | Gadolinium-based | Iodine-based |
| Time Required for Scan | Longer | Shorter |
Conclusion: Making Informed Decisions About Brain Tumor Imaging
We’ve looked into how well CT scans and MRI work for finding brain tumors. CT scans are fast and good in emergencies. But MRI gives clearer pictures, which is better for spotting small or complex tumors.
Choosing between CT and MRI depends on the patient’s situation and the tumor’s details. Knowing how accurate CT scans are for finding brain tumors is key. CT scans can spot tumors, but their success depends on the tumor’s size and type.
Healthcare experts can pick the best imaging method for each patient by weighing these factors. This helps ensure patients get the right diagnosis and treatment. It also improves their chances of getting better.
FAQ
Will a CT scan show a brain tumor?
A CT scan can spot brain tumors, but it’s not always perfect. It works best for bigger tumors. Sometimes, it can’t give a clear answer.
Can a brain tumor be detected with a CT scan?
Yes, CT scans can find brain tumors, mainly the big ones. But, smaller or tricky tumors might show up better on MRI.
Does a CT scan show brain cancer?
CT scans can hint at brain cancer, but they’re not always sure. We often use MRI to confirm and see how big the tumor is.
What are the limitations of CT scans in detecting brain tumors?
CT scans have some downsides. They’re not as good at finding small or hard-to-reach tumors. Plus, they use radiation.
How does MRI compare to CT scans for brain tumor detection?
MRI is better at finding brain tumors, thanks to its detail. But, CT scans are quicker and easier to get, which is good in emergencies.
Can a CT scan detect brain cancer accurately?
CT scans can spot brain cancer, but they’re not always right. We look at the tumor’s type, size, and where it is, along with the patient’s health.
What types of brain tumors can be detected by CT scans?
CT scans can find many brain tumors, but not all. They work best for big or obvious tumors. Smaller or harder-to-spot tumors might be missed.
Is MRI or CT scan better for brain tumor diagnosis?
MRI is usually better for finding brain tumors because it’s more detailed. But, we might choose CT scans in emergencies or for certain patients.
How do brain tumors appear on CT scans?
On CT scans, tumors look like masses or spots with different densities. We check their size, shape, and how they look to diagnose.
Can a CT scan be used for follow-up and treatment planning?
CT scans can be used for follow-ups, but MRI is often better for details. The choice depends on the situation and what we need to know.
References
- Chong, A., Song, C., & Shin, H. (2014). Application of bone scans for prostate cancer staging. Journal of Cancer Research and Therapeutics, 10(3), 605-610. https://www.ncbi.nlm.nih.gov/pmc/articles/PMC4137016/
- Hiwase, M. D., et al. (2022). Evaluation of selective bone scan staging in prostate cancer. Prostate Cancer and Prostatic Diseases, 25(1), 95-101. https://www.nature.com/articles/s41391-022-00515-8