How Do You Know If You Have Sickle Cell Trait?
How Do You Know If You Have Sickle Cell Trait? 4

At Liv Hospital, we know how important it is to spot and handle sickle cell trait. This is a genetic condition where a person has one normal and one sickle hemoglobin gene. Most people with this trait don’t show symptoms. But, high altitude, dehydration, or hard exercise can cause problems.

Our team of experts combines top-notch medical knowledge with caring support. We help people understand and manage their condition. Even though many with sickle cell trait stay healthy, knowing about symptoms and risks is key for good care.

Key Takeaways

  • Understanding sickle cell trait is key for managing it well.
  • Most people with the trait don’t show symptoms normally.
  • Stressors like high altitude or intense exercise can cause issues.
  • Liv Hospital offers full care and support for those with sickle cell trait.
  • Knowing about symptoms is important for good management.

What Is Sickle Cell Trait?

How Do You Know If You Have Sickle Cell Trait?
How Do You Know If You Have Sickle Cell Trait? 5

Sickle cell trait is a condition where a person has one normal and one sickle hemoglobin gene. This makes them a “carrier” of sickle cell disease. It’s important to understand this to know what it means for health.

Definition and Basic Genetics

Sickle cell trait happens when a person gets a mutated HBB gene from one parent and a normal gene from the other. This leads to abnormal hemoglobin, or sickle hemoglobin. People with this trait have both normal and sickle hemoglobin in their red blood cells.

Exploring the genetics of sickle cell trait is key. It helps us understand how it’s different from sickle cell anemia.

Difference Between Sickle Cell Trait and Sickle Cell Anemia

Sickle cell trait and sickle cell anemia are not the same. The main difference is in the genes. People with sickle cell anemia have two mutated genes, while those with sickle cell trait have one normal and one mutated gene.

This difference affects how severe the condition is and its symptoms. It’s important to know this to understand the condition better.

CharacteristicsSickle Cell TraitSickle Cell Anemia
GenotypeOne normal HBB gene and one mutated HBB geneTwo mutated HBB genes
Hemoglobin ProducedMix of normal and sickle hemoglobinPredominantly sickle hemoglobin
SymptomsUsually mild or noneCan be severe, including pain crises and anemia
Inheritance PatternInherited from one parentInherited from both parents

It’s important to know that sickle cell trait does not mean someone has sickle cell disease. Research shows the need to understand different genetic conditions.

Most people with sickle cell trait do not have sickle cell disease. But, it’s important for them to know their status, for family planning and health reasons.

The Genetics Behind Sickle Cell Trait

How Do You Know If You Have Sickle Cell Trait?
How Do You Know If You Have Sickle Cell Trait? 6

To understand sickle cell trait, we need to look at its genetic roots and how it’s passed down. It happens when someone has one normal and one mutated hemoglobin gene. This makes them carry the sickle cell disease gene.

Inheritance Patterns

Sickle cell trait follows an autosomal recessive pattern. This means it’s not linked to sex chromosomes. A person needs two mutated genes to have sickle cell disease. Those with sickle cell trait have one mutated and one normal gene, making them carriers.

When both parents carry the trait, there’s a 25% chance their child will have sickle cell disease. There’s a 50% chance the child will have sickle cell trait. And a 25% chance the child will be normal and not carry the trait.

Table: Inheritance Patterns of Sickle Cell Trait

Parent 1Parent 2Child’s Chance of Sickle Cell DiseaseChild’s Chance of Sickle Cell TraitChild’s Chance of Being Normal
CarrierCarrier25%50%25%
CarrierNormal0%50%50%
NormalCarrier0%50%50%

Genetic Mutations in Hemoglobin

The mutation causing sickle cell trait is in the HBB gene. This gene codes for the beta-globin subunit of hemoglobin. The mutation leads to abnormal hemoglobin, known as sickle hemoglobin or HbS.

In people with sickle cell trait, one normal HBB gene and one mutated gene are present. This results in a mix of normal and sickle hemoglobin.

Medical Expert, a renowned geneticist, said, “Understanding the genetic basis of diseases like sickle cell anemia helps in diagnosis and opens treatment avenues.” This shows how important genetic knowledge is in managing and treating sickle cell trait and disease.

Research into genetic diseases, including proteomic analysis, has given us valuable insights. It helps us understand sickle cell trait better. This research continues to improve our knowledge of the condition and its health implications.

Prevalence and Demographics

Sickle cell trait is more common in people of African descent. It’s a big public health issue. This is because it affects the health of those who have it and is found in many ethnic groups.

Sickle Cell Trait in African American Populations

In African American communities, sickle cell trait is very common. About 8% of African Americans carry this trait. It happens when someone has one sickle cell gene and one normal gene.

Key statistics on sickle cell trait in African American populations include:

  • Approximately 1 in 12 African Americans has sickle cell trait.
  • The condition is more prevalent in certain regions due to historical and genetic factors.

Occurrence in Other Ethnic Groups

Sickle cell trait is not just found in African Americans. It also appears in people of Mediterranean, Middle Eastern, and Indian descent. This shows the genetic diversity and the need for awareness in different ethnic groups.

For instance:

  • In some Mediterranean countries, the prevalence of sickle cell trait is significant due to historical genetic exchange.
  • Similar to the Middle East and India, sickle cell trait is found in certain regions, showing the genetic diversity of these populations.

Historical Evolutionary Advantage

The high rate of sickle cell trait in some groups is thought to be due to a historical advantage. The sickle cell gene helps protect against malaria. This has been a big factor in tropical areas.

“The sickle cell gene has been maintained in populations because it confers resistance to malaria, a disease that has been a major cause of morbidity and mortality in tropical regions.”

– A medical genetics study

How Do You Know If You Have Sickle Cell Trait?

To find out if you have sickle cell trait, doctors use tests like hemoglobin electrophoresis. Knowing if you have it is key to managing your health and avoiding risks.

Diagnostic Blood Tests

Tests on your blood are the main way to spot sickle cell trait. These tests look for abnormal hemoglobin. The most common test is the hemoglobin electrophoresis.

  • Detects abnormal hemoglobin types
  • Measures the quantity of different hemoglobin types in the blood
  • Helps in diagnosing sickle cell trait and other hemoglobinopathies

Hemoglobin Electrophoresis

Hemoglobin electrophoresis is a test that sorts hemoglobin types by charge. It’s key for finding sickle cell trait because it spots hemoglobin S, the bad hemoglobin.

Key aspects of hemoglobin electrophoresis include:

  1. Accurate identification of hemoglobin variants
  2. Quantification of hemoglobin types, aiding in diagnosis
  3. Useful in diagnosing other hemoglobin disorders beside sickle cell trait

Genetic Testing Options

Genetic tests can also find sickle cell trait by looking at the gene causing it. They check the HBB gene for the mutation that makes hemoglobin S.

Genetic testing has improved a lot. Now it can:

  • Confirm the diagnosis of sickle cell trait
  • Identify carriers of the sickle cell gene
  • Provide genetic counseling for families with a history of the condition

Knowing your sickle cell trait status is the first step to managing your health. If you’re worried or at risk, talk to a doctor about these tests.

Newborn Screening for Sickle Cell Trait

Newborn screening is key in finding sickle cell trait in babies. These tests help spot health issues early, like sickle cell disease and trait. This way, doctors can start treatment right away.

Standard Screening Procedures

Testing for sickle cell trait in newborns usually involves a blood test from a heel prick. This test is part of a bigger set of tests for different health problems. The blood is checked for abnormal hemoglobin types, like those found in sickle cell trait.

Advanced lab methods, like tandem mass spectrometry or HPLC, are used to find and identify different hemoglobin types. These methods are very good at spotting sickle cell trait and other hemoglobinopathies.

Key Steps in Newborn Screening:

  • Blood sample collection via heel prick
  • Laboratory analysis using advanced techniques
  • Result interpretation by healthcare professionals
  • Follow-up testing and counseling when necessary

Understanding Screening Results

Screening results can show if a newborn has normal hemoglobin, sickle cell trait, or a more serious form of sickle cell disease. Results are usually categorized as follows:

Result CategoryDescription
NormalNo abnormal hemoglobin variants detected
Sickle Cell TraitPresence of one sickle cell gene; generally asymptomatic
Sickle Cell DiseasePresence of two abnormal hemoglobin genes; may be symptomatic
InconclusiveResults require further testing for clarification

It’s important for parents and doctors to understand these results. This helps decide what to do next for the baby’s care.

“Early detection through newborn screening allows for timely intervention and education for families affected by sickle cell trait or disease.”

— Medical Expert, Pediatric Hematologist

Follow-up Testing When Needed

If the first test results are unclear or show sickle cell trait or disease, more tests are needed. This might include more blood tests, like hemoglobin electrophoresis or genetic testing, to confirm the diagnosis.

We suggest families with a newborn with sickle cell trait or disease get genetic counseling. This helps them understand what it means for their child’s health and future family planning.

Do People With Sickle Cell Trait Have Symptoms?

Most people with sickle cell trait don’t show symptoms. They live normal lives without major health problems. But, knowing when symptoms might appear is important.

Normal Conditions vs. Stress Conditions

Usually, those with sickle cell trait don’t have symptoms. Their red blood cells work well, and they avoid severe anemia or pain. But, stress can change things.

“The clinical significance of sickle cell trait is often debated, but it’s clear that under certain stressors, individuals can experience complications,” notes a study on the condition. This highlights the importance of understanding the boundaries between normal and stress conditions for those with sickle cell trait.

Rare Symptomatic Cases

Even though rare, some with sickle cell trait might show symptoms. These can include blood in urine, muscle breakdown, or spleen damage at high altitudes. It’s important to know about these cases for proper care.

A study on muscle damage in athletes with sickle cell trait found intense activity can cause muscle breakdown. This shows the need for caution and preventive steps for those who are active.

Misconceptions About Symptoms

Many think people with sickle cell trait will get sick like those with sickle cell disease. But, most stay symptom-free their whole lives.

Some also think sickle cell trait is a mild version of sickle cell disease. But, the two are different in many ways. It’s key to understand these differences for better health management.

Knowing the details about sickle cell trait and its symptoms helps manage health better. It’s vital to know most people with the trait are fine, but being aware of rare cases and myths can improve health outcomes.

Potential Triggers for Sickle Cell Trait Complications

Certain conditions can trigger complications in people with sickle cell trait. It’s important to know these risks. Many with sickle cell trait live normal lives without big issues. But, knowing and avoiding certain triggers can prevent problems.

High Altitude Exposure

High altitude is a risk for those with sickle cell trait. At high elevations, there’s less oxygen, causing red blood cells to sickle. This can lead to serious issues like splenic infarction and other problems.

“The risk of altitude-related complications is a concern for individuals with sickle cell trait,” say medical experts. This is true for those who climb mountains or fly in unpressurized planes.

People with sickle cell trait should be careful at high altitudes. Slowly getting used to the altitude can help. But, it’s also key to watch your health closely during and after exposure.

Dehydration Risks

Dehydration is a big risk for those with sickle cell trait. Losing too much fluid can make red blood cells sickle. This is a worry in hot weather, during intense exercise, or when sick.

Staying hydrated is a simple way to avoid dehydration. Drinking lots of water, mainly when sweating a lot, helps keep fluids balanced in the body.

Extreme Physical Exertion

Extreme physical effort is a known risk for sickle cell trait complications. It can cause dehydration and high body temperature, making red blood cells sickle. This is a big concern for athletes or anyone doing hard physical work.

As Medical Expert, a renowned hematologist, says, “While the risk is low, athletes with sickle cell trait need to know the dangers of too much effort. They should take steps to stay safe.” These steps include drinking plenty of water, warming up and cooling down slowly, and watching their body temperature.

By knowing these triggers and taking steps to avoid them, people with sickle cell trait can lower their risk of problems. This helps them live healthier lives.

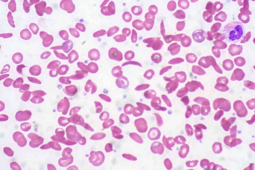
Sickle Cell Trait Blood Cells: Appearance and Behavior

It’s important to know how blood cells act in people with sickle cell trait. This knowledge helps manage the condition well. Sickle cell trait changes how red blood cells look and behave, mainly when certain conditions are present.

Normal Blood Cell Structure

Normal red blood cells are flexible and disk-shaped. They move easily through blood vessels. They carry oxygen around the body with a protein called hemoglobin.

In people with sickle cell trait, one gene is different. This leads to two types of hemoglobin: normal (HbA) and sickle (HbS).

Key characteristics of normal red blood cells include:

  • Flexibility to navigate through small capillaries
  • Disk-shaped morphology
  • Presence of normal hemoglobin (HbA)

Changes Under Stress Conditions

When stressed, like being dehydrated or at high altitudes, red blood cells in sickle cell trait change. The sickle hemoglobin makes them stiffer and more likely to curve. But this is not as severe as in sickle cell disease.

The changes that occur under stress conditions include:

  • Increased rigidity of red blood cells
  • Sickling of red blood cells under low oxygen conditions
  • Potential for vaso-occlusive crises, though rare

Microscopic Identification

Looking at blood cells under a microscope shows the effects of sickle cell trait. Tests like hemoglobin electrophoresis help diagnose the trait.

CharacteristicsNormal Red Blood CellsSickle Cell Trait Red Blood Cells
ShapeDisk-shapedGenerally disk-shaped, can sickle under stress
FlexibilityFlexibleLess flexible under stress conditions
HemoglobinNormal Hemoglobin (HbA)Both HbA and Sickle Hemoglobin (HbS)

Understanding blood cell behavior in sickle cell trait helps healthcare providers manage it better. They can give the right advice to those with the trait.

Possible Complications of Sickle Cell Trait

People with sickle cell trait usually live normal lives. But, they might face some complications. These issues can be rare but serious, affecting their health in many ways.

Hematuria (Blood in Urine)

Hematuria is a complication of sickle cell trait. It means there’s blood in the urine. This happens when red blood cells sickle in the kidneys, causing bleeding.

It can be scary, but it’s usually not a sign of a bigger problem for those with sickle cell trait.

Exertional Rhabdomyolysis

Exertional rhabdomyolysis is when muscles break down after hard work. People with sickle cell trait are more likely to get it, mainly when they’re very active. It’s important for athletes or anyone doing hard exercise to know the risks and how to prevent them.

Splenic Infarction at High Altitudes

Splenic infarction is when part of the spleen dies because it doesn’t get enough blood. It’s more common in people with sickle cell trait at high altitudes. The lower oxygen levels can cause red blood cells to sickle, leading to spleen damage.

This can cause a lot of pain in the belly and might need medical help.

Impact on Athletic Performance

Sickle cell trait can affect how well athletes do, mainly in sports that are very demanding. Many athletes with sickle cell trait do well, but there’s a chance of problems like exertional rhabdomyolysis. Coaches and trainers should know about this and plan training carefully to avoid risks.

Can Sickle Cell Trait Turn Into Sickle Cell Disease?

Many people worry about the link between sickle cell trait and disease. But, sickle cell trait is a stable genetic condition and does not turn into sickle cell disease. It’s important to know this for better patient care and management.

Addressing Common Misconceptions

One big myth is that sickle cell trait can become sickle cell disease. This myth comes from not understanding the genetics of both. Sickle cell trait has one normal and one mutated hemoglobin gene. Sickle cell disease has two mutated genes. This genetic difference is why the trait doesn’t become the disease.

Genetic Stability of the Trait

The genetic stability of sickle cell trait means it stays harmless forever. The trait does not mutate or change into the disease state. This is good news for those with the trait, as they won’t face the severe symptoms of sickle cell disease.

Differences in Long-term Outlook

Even though both are related to hemoglobin, their futures are very different. People with sickle cell trait usually live normal lives without the serious problems of sickle cell disease. Knowing these differences helps manage health and make smart choices.

In short, sickle cell trait is not the same as sickle cell disease. It has a stable genetic makeup that doesn’t change or progress into the disease. This knowledge can ease worries and improve care for those with the trait.

Managing and Preventing Complications

Managing complications from Sickle Cell Trait needs a proactive health approach. People with this trait can live normal lives. But, they must take precautions to avoid problems.

Hydration Guidelines

Staying hydrated is key for those with Sickle Cell Trait. Adequate hydration stops dehydration, which can cause problems. Drink lots of water, more so in hot weather or when being active.

  • Drink at least 8-10 glasses of water per day
  • Avoid sugary and caffeinated drinks that can make you dehydrated
  • Check your urine color to make sure it’s pale yellow, showing you’re hydrated

Exercise Precautions

Regular exercise is good, but those with Sickle Cell Trait need to be careful. Extreme physical exertion can lead to complications. Here’s what to do:

  • Start with gentle exercises and slowly increase intensity and time
  • Stay away from exercising in very hot or cold weather
  • Rest when your body tells you to

Medical Alert Identification

Wearing a medical alert ID can save lives in emergencies. It tells doctors about your Sickle Cell Trait, helping them give the right care.

When to Seek Medical Attention

Knowing when to get medical help is vital. Severe pain, trouble breathing, or sudden weakness mean you need help right away. Always have a plan for emergencies.

If you have any of these symptoms, get medical help:

  • Severe pain that usual treatments don’t help
  • Shortness of breath or chest pain
  • Unusual tiredness or weakness

Conclusion

It’s important to know about sickle cell trait for health and well-being. We’ve looked into its genetics, symptoms, and possible issues. It’s key to spread the word about sickle cell trait to help those affected manage it well.

Health campaigns and teaching patients are vital for awareness of genetic conditions like sickle cell trait. Learning about risks and how to prevent them can help avoid problems. To manage sickle cell trait, staying hydrated, avoiding too much exercise, and knowing about altitude risks are important.

By raising awareness and understanding of sickle cell trait, we can make life better for those with it. It’s our duty to make sure they get the info and help they need to manage their condition.

FAQ

What is sickle cell trait, and how is it different from sickle cell anemia?

Sickle cell trait means you have one normal and one mutated hemoglobin gene. This makes you a carrier of the sickle cell gene. It’s different from sickle cell anemia, where you have two mutated genes. Sickle cell trait does not lead to sickle cell disease.

How is sickle cell trait inherited?

Sickle cell trait is inherited in an autosomal recessive pattern. This means you need one mutated gene from each parent to have it. Carriers have a 50% chance of passing the mutated gene to their kids.

What are the symptoms of sickle cell trait?

People with sickle cell trait usually don’t have symptoms. But, they might experience problems under stress like high altitude, dehydration, or extreme exercise.

How is sickle cell trait diagnosed?

Blood tests, like hemoglobin electrophoresis, can diagnose sickle cell trait. This test separates and identifies different types of hemoglobin. Genetic testing can also find the genetic mutation.

Can sickle cell trait turn into sickle cell disease?

No, sickle cell trait cannot become sickle cell disease. The trait is genetically stable and won’t progress to the disease. But, carriers can pass the mutated gene to their children.

What are the possible complications of sickle cell trait?

Rare complications include hematuria (blood in urine), muscle breakdown, and splenic infarction at high altitudes. These issues are rare but can happen under specific conditions.

How can individuals with sickle cell trait manage and prevent complications?

To manage and prevent complications, stay hydrated and avoid extreme exercise. Be careful at high altitudes. Wear medical alert identification and seek help if symptoms appear.

Is newborn screening for sickle cell trait standard?

Yes, newborn screening for sickle cell trait is common in many countries. It involves a blood test to check for abnormal hemoglobin. Follow-up tests are done if the initial results are positive.

How do blood cells behave in individuals with sickle cell trait?

Under normal conditions, blood cells in sickle cell trait behave like normal cells. But, under stress, they can sickle, leading to complications.

Can sickle cell trait cause anemia?

Sickle cell trait is not usually linked to anemia. But, in rare cases, it can cause hematuria or other issues that might lead to anemia.

What precautions should athletes with sickle cell trait take?

Athletes with sickle cell trait should gradually get used to high-intensity exercise. Stay hydrated and avoid extreme physical exertion to reduce the risk of complications.


References

  1. Tsaras, G., Owusu-Ansah, A., Boateng, F. O., & Amoateng-Adjepong, Y. (2009). Complications associated with sickle cell trait: A brief narrative review. The American Journal of Medicine, 122(6), 507–512. https://pubmed.ncbi.nlm.nih.gov/19486785/

MP

Melissa Perry

Medical Content Writer

30

Years of

Excellence

Trusted Worldwide

With patients from across the globe, we bring over three decades of medical

Book a Free Certified Online
Doctor Consultation

Clinics/branches

Was this article helpful?

4,9

Reviews from 9,651 people

Book a Free Certified Online
Doctor Consultation

Clinics/branches

We're Here to Help.
Get in Touch

Send us all your questions or requests, and our
expert team will assist you.

Let's Talk About Your Health

BUT WAIT, THERE'S MORE...

Leave your phone number and our medical team will call you back to discuss your healthcare needs and answer all your questions.

Let's Talk About Your Health

How helpful was it?

helpful
helpful
helpful
Your Comparison List (you must select at least 2 packages)