
Millions of MRI scans are done every year. But, figuring out the results can be tough for patients. Getting MRI results often means waiting, which can be scary and uncertain.
MRI (Magnetic Resonance Imaging) is a tool that shows detailed pictures of the body’s inside. It helps find many health issues, from small injuries to big diseases like cancer. Knowing how long it takes to get MRI results and what they mean is key for those who have had a scan.
Key Takeaways
- Understanding MRI results is key for patients.
- MRI scans help find many health problems.
- How long it takes to get MRI results can vary.
- It takes a pro to understand MRI scans.
- Patients should talk about their MRI results with their doctor.
Understanding MRI Technology and Its Purpose

MRI is a key tool in medical care, giving detailed views of the body’s inside without surgery. It’s used for many reasons, like looking at soft tissues and organs. This helps doctors diagnose and treat many health issues.
What is Magnetic Resonance Imaging?
MRI is a safe way to see inside the body without harmful radiation. It uses strong magnets and radio waves to create detailed images. This makes it great for looking at soft tissues, which X-rays and CT scans can’t do as well.
How MRI Differs from Other Imaging Tests
MRI stands out because it’s good at showing soft tissues. CT scans and X-rays are better for bones and denser areas. But MRI is top-notch for seeing tendons, ligaments, and organs.
Here’s why MRI is different:
- No ionizing radiation: It’s safer for some patients because it uses magnetic fields and radio waves.
- Soft tissue imaging: MRI is great for detailed views of soft tissues, which is key for many diagnoses.
- Multi-planar imaging: It can show images from different angles, giving a fuller view of the body’s inside.
Common Reasons for Ordering an MRI

Doctors use MRI for many reasons, like:
- Checking injuries or conditions in soft tissues, like torn ligaments or tendons.
- Looking at conditions like multiple sclerosis, to see brain and spinal cord lesions.
- Checking how far cancer has spread and how well it’s responding to treatment.
- Examining blood vessel diseases, like blockages or aneurysms.
Knowing about MRI helps patients understand its role in their health care. It offers valuable insights for diagnosis and treatment.
How Long Does an MRI Take? Procedure Duration Explained
Many patients wonder how long their MRI scan will take. Knowing the MRI duration is key for preparation. The time varies based on the body part scanned and if contrast is used.
Standard MRI Scan Duration by Body Part
The time for an MRI scan changes with the body part. A brain MRI usually takes 15-30 minutes. This is because it captures detailed brain images.
A spine MRI, though, can take 30-60 minutes. This is because of the spine’s complex anatomy and the need to image multiple levels.
Factors That May Extend MRI Duration
Several things can make an MRI scan longer. If more images are needed, the scan can take longer. This is true if the first images show something that needs more looking at.
Other factors include the patient’s condition. If staying perfectly steady is hard or if special positioning is needed, the scan might take longer.
Contrast vs. Non-Contrast MRI Time Differences
Using contrast in an MRI can also affect the time. A contrast MRI, where a contrast agent is used, might take longer. This is because waiting for the contrast to circulate adds 15-30 minutes.
In summary, MRI scans can last from 15 to 60 minutes. Knowing what affects the duration helps patients prepare better. This knowledge can reduce anxiety and make the experience more comfortable.
The MRI Experience: What to Expect During Your Scan
Getting ready for your MRI scan can make a big difference. We’re here to help you through every step. This includes preparation, the scan itself, and how to handle claustrophobia and anxiety.
Preparation Before Your MRI
Being well-prepared is essential for a good MRI scan. Here are some steps to get you ready:
- Remove any metal objects, including jewelry, glasses, and clothing with metal parts.
- Inform your doctor about any medical implants, such as pacemakers or surgical clips.
- Discuss any claustrophobia or anxiety concerns with your healthcare provider in advance.
- Follow any specific instructions regarding eating or drinking before the scan.
Arriving early is a good idea to complete paperwork and get settled before your scan.
The Scanning Environment and Process
During the MRI scan, you’ll be in a large, cylindrical machine. It uses magnetic fields and radio waves to create detailed images of your body. Here’s what you can expect:
The scanning process involves lying on a movable table that slides into the MRI machine. You may be given earplugs or headphones to reduce the noise. Our staff will support you throughout and can communicate with you through an intercom system.
Managing Claustrophobia and Anxiety
We know the MRI environment can be tough for some, like those with claustrophobia. To help, we offer several options:
- Open MRI machines: For severe claustrophobia, open MRI machines offer more space.
- Relaxation techniques: Deep breathing, meditation, or calming music can reduce anxiety.
- Accompaniment: Sometimes, a friend or family member can be with you for support.
- Conscious sedation: For severe cases, conscious sedation can help you relax during the scan.
Understanding the MRI process and having a supportive environment can help. Together, we can make your scan successful and less stressful.
MRI Results Timeline: From Scan to Diagnosis
Getting MRI results can be nerve-wracking. But knowing the timeline can ease some of that worry. After an MRI scan, several steps happen before the results are shared with the patient.
How Long It Takes to Get MRI Results
The time to get MRI results varies a lot. It depends on the scan’s complexity, the radiology team’s workload, and how urgent the case is. Usually, patients wait from a few hours to a few days.
If the MRI is urgent, results might come in a few hours. For non-urgent cases, the wait is typically 24 to 48 hours. Sometimes, it takes longer.
Who Interprets Your MRI Images
Radiologists are the experts who read MRI images. They have a lot of training to understand MRI details. After analyzing the images, they write a detailed report for the doctor who ordered the MRI.
The doctor who ordered the MRI will talk to the patient about the report. They’ll discuss the diagnosis, any needed tests, and treatment options.
Factors That May Delay Results
Several things can slow down getting MRI results. These include:
- Many scans being processed
- Complex cases needing extra review
- Comparing with past images
- Technical problems with the MRI or image transfer
Knowing these reasons can help manage your expectations and reduce anxiety. If worried about delays, it’s okay to ask your healthcare provider for updates.
Understanding Your MRI Report
Reading your MRI report can seem hard, but knowing what to look for helps a lot. A radiologist writes your MRI report. They look at your MRI scan images.
Anatomy of an MRI Report
An MRI report has several important parts. It starts with your personal info and the scan date. Then, it talks about what the MRI found.
The report gives a clear view of your MRI results. It might have sections on the scan method, findings, and the final thoughts.
Common Terminology in MRI Reports
MRI reports use special terms that might confuse you. Words like “hyperintense” or “hypointense” describe how areas look on the MRI. It’s key to understand these terms to get your diagnosis.
- Hyperintense: Looks brighter on some MRI sequences.
- Hypointense: Looks darker on some MRI sequences.
- Lesion: An abnormal area that could mean different things.
Differentiating Between Observations and Diagnoses
It’s important to know the difference between what the radiologist sees and your diagnosis. The radiologist describes what they see on the images. The diagnosis is what it means for your health.
Your doctor will look at your MRI findings, medical history, symptoms, and other tests. They use this info to figure out your diagnosis and treatment plan.
Normal vs. Abnormal MRI Findings
MRI findings can be normal or abnormal. But what do these terms mean for patients? It’s important to know the implications for patient care and management.
Defining a Normal MRI
A normal MRI shows the scanned area looks typical in structure and function. It means there are no visible signs of disease or injury. But, a normal result doesn’t always mean there’s no condition. Some issues might not show up on an MRI.
Here are the key traits of a normal MRI:
- Normal anatomical structures
- No signs of fractures or deformities
- Typical signal intensity from tissues
- No abnormal masses or lesions
Understanding Common Incidental Findings
Incidental findings are abnormalities not related to the MRI’s original purpose. These are common and can include:
- Cysts
- Benign tumors
- Degenerative changes
While incidental findings can worry people, many are harmless and don’t need treatment. It’s important to talk to your doctor about these findings to understand their importance.
When Abnormalities May Not Be Clinically Significant
Not all abnormal MRI findings are important. Some might not cause symptoms or impact your life. The significance depends on:
- The location and size of the abnormality
- The patient’s medical history
- Symptoms and clinical presentation
Understanding the context of the findings is key to determining their clinical significance. We suggest talking to your healthcare provider about your MRI results. This way, you’ll understand what your findings mean for your health.
Red Flags in MRI Results: When to Be Concerned
MRI scans are a powerful tool for diagnosing health issues. Some results can signal serious problems that need quick action. It’s important for patients to know when to worry about their health based on MRI results.
Signs That Indicate Serious Conditions
Certain MRI findings can point to serious health issues. These include:
- Unidentified Bright Objects (UBOs): These bright spots on MRI scans can mean anything from harmless to serious.
- Masses or Tumors: MRI scans can spot tumors in the brain, spine, and organs.
- Spinal Cord Compression: This is a medical emergency that needs immediate care.
Not all MRI findings are serious. But, some need quick attention.
Terminology That Suggests Urgency
Radiologists use special words to describe MRI findings. Words like:
- Acute: Means something has happened recently or suddenly.
- Severe: Shows how bad a condition is, like severe stenosis.
- Critical: Means something is very serious and needs quick action.
Knowing these terms can help you understand how serious your condition is.
When Your Doctor Calls Immediately vs. Regular Follow-up
The urgency of MRI findings decides how fast you need to see your doctor again. If the results show a serious problem, your doctor might call you right away. For other findings, you might just need a regular check-up.
| Finding | Urgency Level | Recommended Action |
| Spinal Cord Compression | High | Immediate Medical Attention |
| Tumor or Mass | Variable | Biopsy or Further Imaging |
| UBOs | Variable | Monitoring or Further Evaluation |
Knowing what your MRI results mean and what to do next can reduce worry. It helps ensure you get the right care.
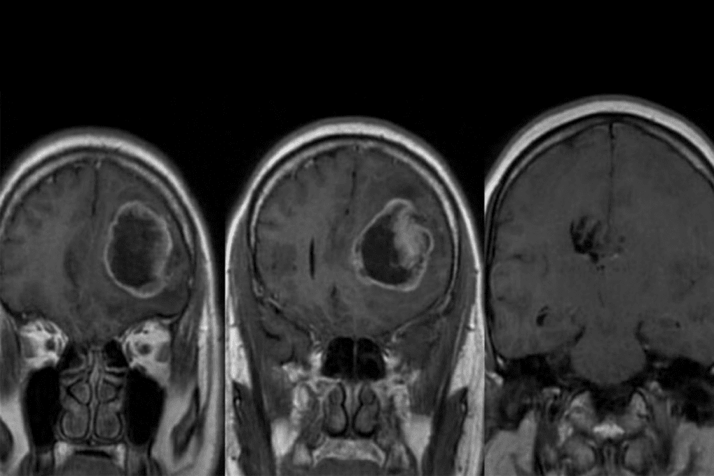
Brain MRI Results: What They Mean
Brain MRI scans can show many things, from nothing to serious problems. It’s important to understand what they mean for your health.
Common Brain MRI Findings and Their Significance
Scans can find issues like white matter changes and cerebral atrophy. They might also spot cysts or aneurysms. Some findings are okay, but others need more attention.
White matter changes are common in older people. They might be due to aging or health issues. Cerebral atrophy, or brain shrinkage, is also normal but can sometimes mean a health problem.
Potentially Serious Brain Abnormalities
Some MRI results show serious issues that need quick action. These include signs of stroke, tumors, or multiple sclerosis. Doctors and radiologists must carefully look at these to decide what to do next.
For example, if an MRI shows a stroke, acting fast can help a lot. Finding a tumor might mean talking about treatments like surgery or chemotherapy.
Follow-up Recommendations for Brain MRI Findings
What happens next after a brain MRI depends on the results. For minor findings, doctors might suggest waiting and watching with more scans. If a serious condition is found, a treatment plan will be made with specialists.
It’s key for patients to talk to their doctors about MRI results. This way, they can understand what the findings mean and what to do next. This teamwork helps ensure patients get the best care for their situation.
Spine and Neck MRI Results: When to Worry
Spine and neck MRI results can show many conditions, from common disc problems to serious spinal cord issues. It’s important to understand these results to get the right treatment quickly.
Disc Issues: Serious vs. Common Findings
Disc problems are common in spine and neck MRIs. These can be mild bulges or severe herniations. Some disc issues don’t cause pain, but others can be very painful or affect nerves.
Key factors that determine the severity of disc issues include:
- The size and location of the disc herniation
- Whether the herniation is compressing nearby nerves
- The presence of any inflammation or irritation
A leading medical expert says, “The presence of disc herniation doesn’t always mean symptoms. It’s how it affects nearby structures that matters.”
Spinal Cord Signal Abnormalities
Spinal cord signal changes on an MRI can mean many things, from mild inflammation to serious injuries or diseases. These changes show up as different signal intensities in the spinal cord.
It’s critical to understand that:
- Signal changes can sometimes be harmless and need no treatment
- In other cases, they may signal serious issues like syringomyelia or tumors
- More tests might be needed to figure out the cause and treatment
When Immediate Medical Attention Is Needed
Certain MRI findings need immediate medical care. These include severe spinal cord compression, significant trauma, or other acute injuries.
Red flags that necessitate urgent evaluation include:
- Sudden severe pain or neurological symptoms
- Signs of spinal cord compression or injury
- A large disc herniation or other mass effect
“Quick action is key when MRI results show possible emergencies. Early treatment can greatly improve outcomes and recovery,” a medical expert stresses.
Joint and Musculoskeletal MRI Results: Concerning Findings
Understanding musculoskeletal MRI results is complex. It involves knowing the difference between acute and chronic injuries. MRI scans are key for diagnosing musculoskeletal issues. They give detailed images that help doctors spot various injuries and conditions.
Differentiating Between Acute and Chronic Injuries
Acute injuries happen from recent trauma or damage. Chronic injuries come from long-term wear and tear. MRI scans show acute injuries as:
- High signal intensity on T2-weighted images due to edema or hemorrhage
- Disruption of normal tissue architecture
- Presence of fluid or blood
Chronic injuries show signs of:
- Chronic inflammation or scarring
- Tissue atrophy or fatty infiltration
- Degenerative changes
Soft Tissue Abnormalities of Concern
Soft tissue abnormalities are a big concern in musculoskeletal MRI results. These include:
- Tendinopathies or tendon tears
- Ligament sprains or tears
- Muscle strains or tears
- Bursitis or other inflammatory conditions
Spotting these issues is key for the right treatment plan.
When Surgery May Be Indicated
Surgery might be needed in certain cases. This includes:
- Significant structural injury, like a complete tendon or ligament tear
- When other treatments haven’t worked well
- If the condition severely impacts the patient’s life
Our doctors will look at the MRI results and the patient’s overall health. They will decide the best treatment option.
Abdominal and Pelvic MRI Results: Warning Signs
Understanding MRI results for the abdomen and pelvis can be tricky. But catching problems early can make a big difference. An MRI scan gives us detailed images to spot various conditions, from mild to severe.
Interpreting Organ Abnormalities
Abnormalities in organs seen on an MRI can vary. They might be simple cysts or complex masses. Knowing that not all abnormalities are serious is key.
For example, a simple cyst is usually harmless and might not need treatment. But a complex mass with solid parts or irregular edges might need more tests, like a biopsy.
Understanding Masses and Their Characteristics
MRI scans can find both benign and malignant masses. The size, shape, and how they look after contrast are important. These details help figure out if a mass might be cancerous.
- Size: Bigger masses are usually more worrisome and need quicker attention.
- Shape and Margins: Irregular shapes or unclear edges might mean a more aggressive growth.
- Enhancement Pattern: How a mass reacts to contrast can tell us about its blood supply and if it’s likely to be cancerous.
When Further Testing Is Recommended
Not every MRI finding needs immediate action. But some might need more tests or expert opinions. We suggest more evaluation if the MRI results are unclear or if there’s a strong chance of serious conditions.
More tests could include CT scans, PET scans, biopsies, or talks with specialists like oncologists or surgeons. This depends on what the MRI suggests.
Communicating with Your Doctor About Concerning MRI Results
Getting concerning MRI results can make you feel anxious. It’s important to talk clearly with your doctor. Understanding how to discuss your results is key.
Questions to Ask When Reviewing Worrisome Findings
When your doctor talks about your MRI results, ask the right questions. This helps you understand your health better. Here are some important questions:
- What do the findings mean for my health?
- Should I watch out for any specific symptoms?
- What’s the next step in testing or treatment?
- Are there any lifestyle changes I should make?
These questions help you grasp your condition and what’s next.
Getting a Second Opinion on MRI Interpretation
Getting a second opinion can clarify your MRI results. We suggest it if:
- You’re unsure about your diagnosis or treatment.
- Your symptoms don’t match the initial diagnosis.
- You’re thinking about a big treatment decision.
Talking to another specialist can give you a new view. It might also show other treatment options.
Advocating for Yourself When Concerned
Being proactive with your health is important with concerning MRI results. This means:
- Keeping a record of your medical history and test results.
- Learning about your condition from trusted sources.
- Seeking help from patient groups or counseling if needed.
By being involved in your care, you can make sure your concerns are heard. This way, you get the best care possible.
Talking well with your doctor is a two-way street. Being ready with questions, thinking about second opinions, and advocating for yourself helps. This way, you can handle concerning MRI results with more confidence and clarity.
Conclusion: Balancing Concern and Perspective with MRI Results
Understanding MRI results is key for patients to feel confident in their diagnosis and treatment. Being informed and proactive helps make the most of the MRI experience and care that follows.
It’s important to balance concern with perspective when looking at MRI results. We should be aware of what our findings mean without getting too worried. Our healthcare providers are there to help us understand our MRI results and make good decisions about our care.
By focusing on understanding MRI results and how they are interpreted, we can take charge of our healthcare. This balanced approach helps us deal with concerns while keeping a clear view of our overall health.
FAQ
What is an MRI, and how does it work?
MRI stands for Magnetic Resonance Imaging. It uses strong magnetic fields and radio waves to create detailed images of the body. This is great for seeing soft tissues, which X-rays and CT scans can’t show as well.
How long does an MRI scan typically take?
MRI scan times vary. They depend on the body part being scanned and the scan’s needs. Scans usually last from 15 to 90 minutes.
What is the difference between a contrast and non-contrast MRI?
A contrast MRI uses a special agent to highlight certain body areas. A non-contrast MRI doesn’t. The choice depends on what the doctor needs to see.
How long does it take to get MRI results?
After scanning, a radiologist checks the images. Results are shared with the doctor. It can take a few hours to several days to get them.
Who interprets MRI images, and what do they look for?
Radiologists look at MRI images. They search for injuries, diseases, or abnormalities. They write a detailed report with their findings and suggestions.
What does an MRI report contain, and how is it used?
An MRI report details the radiologist’s findings and diagnoses. Doctors use it to understand the patient’s condition and plan treatment.
What constitutes a “normal” MRI, and can incidental findings be significant?
A “normal” MRI means no issues were found. But, unexpected findings can be important. They might need more investigation.
How do I understand my MRI results, and what if I’m concerned?
To understand MRI results, learn radiology terms. If worried, talk to your doctor. Ask questions and consider a second opinion if needed.
What are red flags in MRI results, and when should I be concerned?
Red flags in MRI results show serious conditions. If you see them, your doctor will likely suggest immediate action or more tests.
How do I communicate effectively with my doctor about concerning MRI results?
To talk to your doctor, make a list of questions. Be open about your concerns. Ask for clarification on anything you don’t get. It’s important to advocate for yourself.
Can I get MRI results on the same day as the scan?
Sometimes, yes. MRI results can be ready the same day, if it’s urgent. It depends on the facility and the scan’s complexity.
How do I prepare for an MRI scan to ensure the best results?
To prepare for an MRI, remove metal objects and follow dietary instructions. Stay calm and follow your doctor’s specific advice.
What are the signs that indicate serious conditions on a brain MRI?
Serious brain MRI signs include stroke, tumors, or neurological diseases. Your doctor will explain the results and what to do next.
How are spine and neck MRI results interpreted, and when is immediate action needed?
Spine and neck MRI results look for disc issues and spinal cord problems. If serious, immediate action is needed to protect spinal cord function.
What do abnormal MRI findings mean for my treatment plan?
Abnormal MRI findings can change your treatment plan. Your doctor will discuss how the findings affect your condition and what to do next.
References
Grigorescu, A. C., & colleagues. (2015). Chemotherapy for elderly patients with advanced cancer. World Journal of Clinical Oncology, 6(1), 114–122.
https://www.ncbi.nlm.nih.gov/pmc/articles/PMC4936471