
Celiac disease is a chronic condition that harms the small intestine. It is caused by eating foods with gluten. About 1% of people worldwide have this disease.
Getting a correct diagnosis is key to managing the disease. Duodenal biopsy is the top choice for diagnosing. We will look into how it helps confirm the disease and guide treatment.
At Liv Hospital, we aim to offer top-notch healthcare. We support international patients fully. Knowing how to diagnose celiac disease is vital for quick and accurate care.
Key Takeaways
- Celiac disease is a common immune disorder that affects the small intestine.
- Getting a correct diagnosis is important for managing and treating the disease.
- Duodenal biopsy is a key tool for confirming celiac disease.
- Liv Hospital is dedicated to providing complete care for international patients.
- Understanding the diagnostic criteria is essential for timely and accurate diagnosis.
Understanding Celiac Disease and Diagnostic Pathways

It’s important for doctors to understand celiac disease well. This is because it’s a chronic autoimmune disorder that mainly affects the small intestine. It happens when people with certain genes eat gluten.
What is Celiac Disease and Its Prevalence
Celiac disease causes an immune reaction to gluten. This leads to inflammation and damage in the small intestine, mainly in the duodenum. It can cause malabsorption of nutrients, leading to health problems if not treated.
It’s estimated that about 1 in 100 people worldwide have celiac disease. The disease can start at any age. Symptoms can vary, but often include diarrhea, abdominal pain, and fatigue.
Key facts about celiac disease prevalence:
- Affects approximately 1 in 100 people worldwide
- Can manifest at any age
- Variable symptoms, including gastrointestinal issues and fatigue
- Some individuals may be asymptomatic
Initial Serologic Testing for Celiac Disease
The first step in diagnosing celiac disease is serologic testing. This looks for specific antibodies linked to the disease. The most common test is for tissue transglutaminase antibody (TTG-IgA). It’s very sensitive and a good first test.
Other tests include endomysial antibody (EMA-IgA) and gliadin antibody tests. Using these tests together can make diagnosis more accurate. It’s important for patients to be on a gluten diet during testing for accurate results.
“Serologic tests are a key first step in diagnosing celiac disease. They offer a non-invasive way to find people who might need further testing through duodenal biopsy.”
When to Proceed to Duodenal Biopsy
A duodenal biopsy is the best way to confirm celiac disease. It involves taking tissue samples from the duodenum during an upper endoscopy. The decision to do a biopsy is based on serologic test results and clinical assessment.
If serologic tests show positive results, or if there’s a strong suspicion of celiac disease despite negative tests, a biopsy is recommended. The biopsy can show signs like villous atrophy and increased intraepithelial lymphocytes, which are signs of celiac disease.
Indications for duodenal biopsy:
- Positive serologic tests for celiac disease
- High clinical suspicion despite negative serology
- Presence of symptoms suggestive of celiac disease
The Celiac Biopsy Procedure: Gold Standard for Diagnosis

Duodenal biopsy is the top choice for diagnosing celiac disease. It involves taking tissue samples from the duodenum during an upper endoscopy. Usually, several samples are taken to make sure the diagnosis is correct.
Preparing Patients for Upper Endoscopy
Before a duodenal biopsy, patients need to prepare for the upper endoscopy. They must fast for 6-8 hours to empty their stomach and duodenum. This makes it easier for the doctor to see clearly during the procedure.
It’s also important to tell the doctor about any medications being taken. Some might need to be stopped before the procedure.
“Proper preparation is key to a successful procedure,” as noted in clinical guidelines for celiac disease diagnosis. This preparation ensures the patient’s comfort and safety, and it also improves the biopsy results’ accuracy.
Duodenal Sampling Technique During Endoscopy
The way duodenal sampling is done during endoscopy is very important. A high-quality endoscope is used to see the duodenal mucosa. Biopsies are taken from different spots to account for celiac disease’s patchy nature.
Optimal sampling involves taking at least 4-6 biopsy samples from the duodenum, including the duodenal bulb. This helps identify the specific changes seen in celiac disease.
Optimal Biopsy Protocol: Number and Location of Samples
The best biopsy protocol for celiac disease diagnosis focuses on both the number and location of samples. Biopsies should be taken from both the proximal and distal duodenum. The Modified Marsh-Oberhuber classification is used to classify the findings, from normal to severe villous atrophy.
Experts say, “the more samples taken, the higher the diagnostic accuracy.” This highlights the need for a detailed and systematic approach to duodenal biopsy.
- Take multiple biopsies (at least 4-6) from different parts of the duodenum.
- Include samples from the duodenal bulb.
- Handle samples carefully to avoid damage.
By sticking to this protocol, we can make sure patients get an accurate diagnosis. This is key for managing celiac disease well.
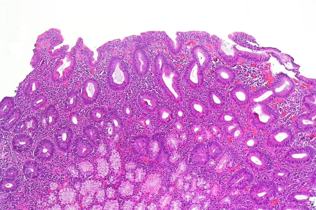
Interpreting Duodenal Biopsy Results
Understanding duodenal biopsy results is key to diagnosing celiac disease. It requires knowing the histological features involved. A detailed look at the duodenal mucosa is needed to spot changes linked to celiac disease.
The Modified Marsh-Oberhuber Classification System
The modified Marsh-Oberhuber system is a common way to read duodenal biopsy results for celiac disease. It sorts the changes in the duodenal mucosa into stages. These stages are based on the presence and severity of:
- Intraepithelial lymphocytosis
- Crypt hyperplasia
- Villous atrophy
These features help determine the Marsh classification, from Type 0 (normal) to Type 3c (total villous atrophy). This classification links biopsy results with clinical symptoms and test results to confirm celiac disease.
Histological Challenges and Limitations
While useful, reading duodenal biopsies can be tricky. Several factors make it hard:
- Sampling error, where the biopsy might not show the whole picture
- Variable histological features of celiac disease, sometimes hard to spot
- Effects of a gluten-free diet on mucosal histology, changing celiac disease features
To get around these issues, it’s important to look at biopsy results with clinical symptoms, test results, and dietary history. This approach ensures a correct diagnosis and proper treatment for celiac disease.
Knowing the strengths and weaknesses of duodenal biopsy interpretation helps doctors make better decisions. They can tailor treatment to each patient’s needs.
Conclusion
Diagnosing celiac disease needs a detailed approach. This includes serologic testing, duodenal biopsy, and clinical evaluation. The duodenal biopsy is key, giving insights into the duodenum’s condition and celiac disease presence.
Healthcare experts use the Modified Marsh-Oberhuber Classification System to understand biopsy results. Accurate diagnosis is critical for a good treatment plan. This plan usually involves a strict gluten-free diet to manage symptoms and prevent complications.
Celiac disease impacts more than just the duodenum; it affects overall health. A thorough diagnostic process, including duodenal biopsy, is essential for identifying the condition and starting treatment. Understanding celiac disease’s role in the duodenum helps healthcare providers offer better support to patients.
Managing celiac disease well requires ongoing care and monitoring. By combining serologic testing, duodenal biopsy results, and clinical evaluation, healthcare professionals can give personalized care. This approach improves patient outcomes.
FAQ
What is celiac disease and how is it diagnosed?
Celiac disease is a chronic autoimmune disorder that affects the small intestine. It happens when the body reacts to gluten. Doctors use blood tests and a duodenal biopsy to confirm it.
What is the role of serologic testing in diagnosing celiac disease?
Serologic testing is the first step to find celiac disease. It looks for specific antibodies in the blood. If the test is positive, a duodenal biopsy is done next.
What is the Marsh classification system for celiac disease?
The Marsh-Oberhuber system helps doctors understand duodenal biopsy results. It shows the damage’s severity. This helps in diagnosing and assessing celiac disease.
How is a duodenal biopsy performed?
A duodenal biopsy is done during an upper endoscopy. The patient is prepared, and an endoscope is used to see the duodenum. Then, samples are taken.
What are the challenges in interpreting duodenal biopsy results?
Reading duodenal biopsy results can be tricky. Lesions might not be evenly spread, and other conditions can look like celiac disease. Experienced pathologists use the Marsh-Oberhuber system to help.
How many biopsy samples are recommended for diagnosing celiac disease?
It’s best to take 4 to 6 samples from different parts of the duodenum. This increases the chances of a correct diagnosis and reduces the risk of missing it.
Can celiac disease be diagnosed without a biopsy?
While blood tests and symptoms are important, a duodenal biopsy is usually needed. This is true for adults or when the diagnosis is unsure.
What is the significance of the duodenal biopsy in managing celiac disease?
The duodenal biopsy is key for diagnosing and assessing celiac disease. It helps decide how to manage the condition and check if the gluten-free diet is working.
Are there any risks associated with duodenal biopsy?
Like any invasive procedure, duodenal biopsy carries risks like bleeding and perforation. But, getting a clear diagnosis is usually worth it.
How does the diagnosis of celiac disease impact patient management?
Finding out you have celiac disease means starting a strict gluten-free diet. This is the main treatment. Accurate diagnosis is vital for managing the disease and avoiding complications.
References
https://pmc.ncbi.nlm.nih.gov/articles/PMC5508691



