Written by
Işıl Yetişkin
Işıl Yetişkin Liv Hospital Content Team
Medically reviewed by
...
Views
Read Time
image 1 880 LIV Hospital
Hydrocephalus: Amazing Tips For Elite Learning 4

Hydrocephalus is a condition where too much cerebrospinal fluid builds up in the brain. It affects about 1 in 500 children at birth. But it’s not just kids; adults can also have it.

We look into how hydrocephalus affects intelligence. We see how it changes cognitive abilities. Knowing this helps us give better care to those with hydrocephalus.

Key Takeaways

  • Hydrocephalus can significantly impact cognitive function.
  • The condition affects both children and adults.
  • Understanding hydrocephalus is key for good care.
  • Cognitive effects vary from person to person.
  • Early diagnosis and treatment are very important.

Understanding Hydrocephalus: Definition and Overview

Understanding Hydrocephalus: Definition and Overview
Hydrocephalus: Amazing Tips For Elite Learning 5

The term hydrocephalus comes from Greek words for “water” and “head.” It describes a condition where too much cerebrospinal fluid builds up in the brain. This buildup can put pressure on the brain, causing damage and affecting how we think and move.

What Is Hydrocephalus?

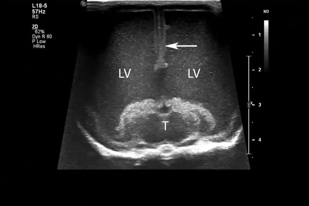
Hydrocephalus is a condition where too much cerebrospinal fluid (CSF) builds up in the brain. CSF is a clear fluid that protects the brain and spinal cord. In hydrocephalus, the CSF doesn’t flow right, causing it to build up. This can make the brain’s ventricles get bigger.

This condition can happen for many reasons, like birth defects, infections, or injuries. Knowing why it happens helps doctors find the right treatment.

How Common Is Hydrocephalus?

Hydrocephalus can affect anyone, from babies to older adults. It is estimated to affect approximately 1 in every 500 newborns. It can also happen later in life because of injuries, infections, or tumors.

Because hydrocephalus is common, it’s important to know about it. This helps doctors diagnose and treat it quickly.

Signs and Symptoms

The symptoms of hydrocephalus can vary a lot. They depend on the person’s age, how severe the condition is, and why it happened. Some common symptoms include:

  • Headaches: Often due to increased intracranial pressure.
  • Nausea and Vomiting: Can occur due to the pressure on the brain.
  • Vision Problems: Blurred vision or double vision can be a symptom.
  • Balance and Coordination Issues: Difficulty walking or maintaining balance.
  • Cognitive Decline: Symptoms can include memory loss, difficulty concentrating, and other cognitive impairments.

Seeing these symptoms early is key. It helps get medical help and start treatment to lessen hydrocephalus’s effects.

Types of Hydrocephalus

Types of Hydrocephalus
Hydrocephalus: Amazing Tips For Elite Learning 6

Hydrocephalus is not just one thing; it’s many types with different causes and effects. Knowing these differences helps doctors diagnose and treat it better.

Congenital Hydrocephalus

Congenital hydrocephalus is present at birth. It’s linked to developmental issues or genetic problems. It can be spotted before birth or soon after.

Acquired Hydrocephalus

Acquired hydrocephalus happens later in life. It’s caused by things like head injuries, infections, or bleeding. It can happen at any age and needs quick medical care.

Normal Pressure Hydrocephalus

Normal Pressure Hydrocephalus (NPH) mainly affects older adults. It’s marked by brain ventricle enlargement without high CSF pressure. Symptoms include trouble walking, memory loss, and bladder control issues.

Communicating vs. Non-communicating Hydrocephalus

Hydrocephalus types are also based on CSF flow. Communicating hydrocephalus has a blockage outside the ventricles. Non-communicating (obstructive) hydrocephalus has a blockage inside the ventricles.

Type of Hydrocephalus

Characteristics

Common Causes

Congenital

Present at birth, associated with developmental issues

Genetic factors, prenatal infections

Acquired

Develops later in life

Head injury, infections, hemorrhage

Normal Pressure

Affects older adults, symptoms include gait disturbance and dementia

Unknown, possibly related to aging and vascular factors

Communicating

Blockage outside the ventricles

Meningitis, subarachnoid hemorrhage

Non-communicating

Blockage within the ventricular system

Tumors, cysts, congenital abnormalities

Knowing the different types of hydrocephalus is key to finding the right treatment. Each type has its own challenges and needs a specific approach.

Causes and Risk Factors of Hydrocephalus

It’s important to know what causes hydrocephalus to understand its effects on the brain. Hydrocephalus happens when too much cerebrospinal fluid builds up in the brain. This can come from different things.

Developmental Abnormalities

Problems during fetal development can cause congenital hydrocephalus. Issues like spina bifida and other neural tube defects can raise the risk. These problems can change how the brain works and might affect thinking skills.

Infections and Injuries

Infections like meningitis and encephalitis can cause inflammation in the brain, leading to hydrocephalus. Traumatic brain injuries can also cause cerebrospinal fluid to build up. How severe and when these happen can affect how bad hydrocephalus gets.

Other Medical Conditions

Some medical issues, like tumors and cysts, can block cerebrospinal fluid flow, causing hydrocephalus. Conditions like aqueductal stenosis, where the aqueduct of Sylvius is narrowed, can also lead to hydrocephalus.

Genetic Factors

Genetics can also play a big role in hydrocephalus. Some people might be more likely to get it because of their genes. Scientists are studying this to find ways to diagnose and treat it early.

Knowing what causes hydrocephalus helps doctors understand its effects on the brain. This information helps them make better treatment plans. It also helps in creating strategies that meet each person’s needs.

How the Brain Functions and Processes Information

It’s important to know how the brain works to understand hydrocephalus’s effects on thinking. The brain is a complex organ. It relies on the cerebrospinal fluid (CSF) that surrounds it.

The brain handles information through neurons and synapses. It uses different brain parts for various tasks. “The brain is a highly distributed system, and its various parts work together to enable us to think, learn, and remember,” say neuroscientists.

Brain Structure and Cognitive Processing

The brain’s structure is key to its information processing. Areas like the cerebral cortex and hippocampus are vital for memory and problem-solving.

Cognitive processing links information across brain regions. This is done through the brain’s neural networks, which are flexible and dynamic.

Cerebrospinal Fluid and Brain Health

Cerebrospinal fluid (CSF) is essential for brain health. It protects the brain, controls pressure, and removes waste. In hydrocephalus, CSF issues can harm brain function.

CSF balance is vital for brain health. Disruptions can cause hydrocephalus, where CSF buildup presses on the brain, affecting thinking.

Neuroplasticity and Adaptation

The brain’s ability to adapt is remarkable. It can change in response to injury or disease. This is key for recovery and coping with conditions like hydrocephalus.

Neuroplasticity lets the brain form new connections. This helps reduce the effects of hydrocephalus on thinking. It allows people to adapt and find ways to overcome cognitive challenges.

As we learn more about hydrocephalus and its effects on intelligence, understanding brain adaptability is vital. This knowledge helps in treatment and gives hope to those affected.

Does Hydrocephalus Affect Intelligence?

Hydrocephalus is a condition where too much cerebrospinal fluid builds up in the brain. This can put pressure on the brain and harm its tissues. It’s important to know if this affects how smart someone is.

The Direct Impact on Cognitive Function

Hydrocephalus can harm brain areas needed for thinking. When the ventricles get too big, they can press on other brain parts. This might mess with memory, focus, and solving problems.

Cognitive functions that may be affected include:

  • Memory
  • Attention and concentration
  • Problem-solving and decision-making
  • Processing speed

Variability in Cognitive Outcomes

How hydrocephalus affects intelligence varies from person to person. Several things can influence this, like the cause of hydrocephalus, when it starts, and how well treatment works.

Hydrocephalus and IQ Measurements

IQ tests are used to see how hydrocephalus affects thinking. Some people with hydrocephalus might have normal or even high IQs. But others might face big thinking challenges.

Cognitive Domain

Potential Impact of Hydrocephalus

Memory

Short-term memory deficits

Attention

Difficulty sustaining focus

Processing Speed

Slowed cognitive processing

The link between hydrocephalus and intelligence is complex. Many things can play a role, like how severe hydrocephalus is, other health issues, and treatment success. Knowing this helps doctors help people with hydrocephalus do their best thinking.

Research and Evidence on Hydrocephalus and Cognitive Function

To understand hydrocephalus and intelligence, we need to look at the research. Hydrocephalus affects people differently, making it important to study it well.

Key Studies and Findings

Studies have shown how hydrocephalus affects the brain. The severity and when it starts can change how well someone thinks. For example, a study in the Journal of Neurosurgery: Pediatrics found early treatment helps infants with hydrocephalus think better. This shows how important early treatment is.

But, how it affects people varies a lot. Some might have big problems with thinking, while others might not notice much. This means we need to treat each person differently.

Limitations in Current Research

Even with good research, there are big challenges. Hydrocephalus is different in everyone, making it hard to apply findings to all. Also, the brain is very complex, making it hard to study.

Most studies look at specific groups, like kids or how surgery affects them. We need more research that looks at how hydrocephalus affects thinking over time.

Correlation Between Hydrocephalus and Intelligence

The link between hydrocephalus and thinking is complex. Many things, like why someone has hydrocephalus and when, play a role. Studies show hydrocephalus can affect thinking, but how much varies a lot.

Understanding this link is key to helping people with hydrocephalus. By keeping researching, we can make treatments better and support those affected.

Factors That Influence Cognitive Outcomes in Hydrocephalus

Cognitive outcomes in hydrocephalus depend on several factors. These include the age of onset and when treatment starts. Knowing these factors helps manage the condition better and improve life quality for those affected.

Age of Onset

The age when hydrocephalus starts greatly affects cognitive outcomes. Early onset hydrocephalus in infants and young children can hinder brain development. This leads to more severe cognitive challenges. On the other hand, hydrocephalus that starts later in life may have different effects, as the brain is more developed.

Severity and Duration

The severity and how long hydrocephalus lasts are also key. Severe hydrocephalus can cause more brain damage and cognitive issues. The longer it goes untreated, the worse the cognitive decline can be.

Treatment Timing

When treatment for hydrocephalus starts is very important. Early intervention can greatly improve cognitive outcomes by preventing brain damage. Delayed treatment can lead to more severe cognitive problems.

Underlying Causes

The reasons behind hydrocephalus, like congenital conditions or injuries, also matter. Knowing the cause is vital for creating an effective treatment plan. It helps address the symptoms and the root cause.

Healthcare providers can tailor treatments based on these factors. Our aim is to offer care that meets each patient’s unique needs. This way, we can enhance their quality of life.

Hydrocephalus in Infants and Children: Developmental Impacts

It’s important to know how hydrocephalus affects infants and children. This condition, where fluid builds up in the brain, can impact their growth. It can affect their thinking and physical abilities.

Early Cognitive Development

Several things can influence how hydrocephalus affects a child’s early thinking skills. The severity of the condition and when treatment starts are key. Research has shown that early help can greatly improve a child’s thinking abilities.

Children with hydrocephalus might struggle with memory, solving problems, and speaking. They need special help to catch up. Occupational therapy can improve their fine motor skills. Speech therapy helps with speaking and understanding language.

Educational Challenges

As kids with hydrocephalus get older, they face special challenges in school. They might find it hard to learn new things or make friends. Educational accommodations like IEPs are very helpful.

Teachers need to know how to support these children. They can make lesson plans that fit each child’s needs. They can also use technology to help with learning and communication.

Long-term Developmental Trajectories

The future of children with hydrocephalus can be different for everyone. It depends on the cause of hydrocephalus, how well treatment works, and if they have other health issues. Ongoing monitoring and support are key to helping them.

Understanding the long-term effects of hydrocephalus helps families and doctors work together. They can provide the best care and support for each child. This includes medical treatment, education, and therapy that meets their changing needs.

Hydrocephalus in Adults: Cognitive Changes and Adaptations

Hydrocephalus in adults can deeply affect both physical and mental health. It’s important to know how it shows up and how to manage its effects.

Acquired Hydrocephalus in Adults

Adults can get hydrocephalus from injuries, infections, or brain bleeding. This leads to too much cerebrospinal fluid, which can harm the brain. Symptoms vary greatly, making it hard to diagnose and treat.

Those with acquired hydrocephalus might struggle with memory, focus, and processing info. Knowing these symptoms helps in creating better treatment plans.

Normal Pressure Hydrocephalus and Cognition

Normal Pressure Hydrocephalus (NPH) mainly affects older adults. It causes brain fluid buildup, leading to memory loss, walking problems, and bladder issues. Early diagnosis is key because surgery can help improve or stop cognitive decline.

NPH can make it hard to remember, pay attention, and make decisions. Early identification of these signs is crucial for receiving appropriate treatment.

Cognitive Decline vs. Stabilization

How fast cognitive decline happens in adults with hydrocephalus varies. Some get worse, while others stay the same or even get better. Many factors affect this, like the cause of hydrocephalus, when treatment starts, and how resilient the brain is.

Creating care plans that fit each person’s needs is vital. This way, we can improve their mental health and quality of life.

Understanding hydrocephalus in adults and its effects on the mind is key. We focus on giving full care that meets both medical and personal needs of those with hydrocephalus.

Treatment Options for Hydrocephalus

Hydrocephalus treatment includes surgery, medicine, and new therapies. It’s important for patients and caregivers to know these options to manage the condition well.

Surgical Interventions

Surgery is the main treatment for hydrocephalus. It aims to lower cerebrospinal fluid (CSF) in the brain. The most common surgery is putting in a shunt system.

Shunt Systems: Shunts are made for each patient. They are usually silicone. The valve opens and closes based on pressure, letting CSF drain when it’s too high.

Endoscopic Third Ventriculostomy (ETV): ETV creates a new CSF flow path in the brain. It’s good for some hydrocephalus types, like aqueductal stenosis.

Medication Management

Medicines are used sometimes to help with symptoms or as a temporary fix before surgery. For example, acetazolamide can lower CSF production.

Emerging Treatments

New treatments for hydrocephalus are being researched. This includes better shunt systems and gene therapy to find the cause.

Treatment Option

Description

Benefits

Shunt Systems

Drains excess CSF from the brain to other parts of the body.

Customizable, effective in reducing CSF accumulation.

Endoscopic Third Ventriculostomy (ETV)

Creates a new pathway for CSF to flow within the brain.

Effective for certain types of hydrocephalus, reduces reliance on shunts.

Medication Management

Reduces CSF production or manages symptoms.

Temporary measure, can be used alongside surgical interventions.

How Treatment Timing Affects Cognitive Outcomes

The timing of treatment for hydrocephalus is key to cognitive outcomes. Hydrocephalus is when too much cerebrospinal fluid builds up in the brain. This can harm cognitive abilities if not treated right. We’ll look at how when treatment happens affects brain function in hydrocephalus patients.

Early Intervention Benefits

Acting fast is vital in treating hydrocephalus. Quick treatment can ease brain pressure and protect brain function. Research shows early treatment leads to better brain health in hydrocephalus patients.

Early treatment offers many benefits:

  • Less chance of brain function decline
  • Better brain function
  • A higher quality of life

Challenges of Delayed Treatment

Waiting too long to treat hydrocephalus can cause brain damage. This damage can lead to serious brain problems. These problems can affect memory, focus, and how fast you process information.

Delayed treatment brings many challenges:

  1. Higher risk of brain function decline
  2. Possible permanent brain damage
  3. Treatment might not work as well

Monitoring Cognitive Function Post-Treatment

It’s important to watch brain function after treatment. This helps see if the treatment worked and if changes are needed. Regular check-ups with doctors can spot any brain function changes early.

Good monitoring includes:

  • Regular brain function tests
  • Changing treatment plans if needed
  • Support for patients and their families

Understanding how treatment timing affects brain function helps us manage hydrocephalus better. This improves life quality for those with it.

Cognitive Rehabilitation and Support Strategies

Helping people with hydrocephalus through cognitive rehab can really improve their lives. This approach includes many strategies to tackle the brain challenges caused by hydrocephalus.

Therapeutic Approaches to Cognitive Rehabilitation

Cognitive therapy is key for those with hydrocephalus. It’s made to tackle specific brain problems like memory loss or trouble focusing. Cognitive training programs help improve these areas, helping people regain lost skills or find new ways to do things.

For example, compensatory strategies can be taught for daily tasks. This might include using calendars or phone reminders to fight forgetfulness.

Educational Accommodations for Individuals with Hydrocephalus

For kids and teens with hydrocephalus, special help in school is very important. Individualized Education Plans (IEPs) are made with teachers, doctors, and family to fit each student’s needs.

These plans might include more time for homework, using special tech, or changing the school work to match how each student learns best.

Accommodation Type

Description

Benefit

Extra Time for Assignments

Allows students to complete work at their own pace.

Reduces stress and improves quality of work.

Assistive Technology

Utilizes tools like text-to-speech software or speech-to-text software.

Enhances learning and accessibility.

Curriculum Modifications

Adjusts the curriculum to fit the individual’s learning needs.

Improves understanding and retention of material.

The Role of Family Support Systems

Family support is essential for those with hydrocephalus. They offer emotional, practical, and sometimes financial help. Families can help make therapy work better by using it in daily life.

Support groups for families are also great. They provide a place to share experiences, advice, and emotional support.

Assistive Technologies for Hydrocephalus

Assistive technologies can greatly improve the lives of those with hydrocephalus. They range from simple tools to complex software for brain tasks.

For example, there are apps for organizing daily tasks, reminders for medicine, or software for memory and brain processing.

Living with Hydrocephalus: Personal Stories and Experiences

People living with hydrocephalus share their daily struggles and triumphs. Their stories show the challenges and the strength of those affected and their families.

Success Stories and Achievements

Many with hydrocephalus achieve great things in life. They go to college, get jobs, and start families.

One inspiring story is of a young adult with hydrocephalus. Despite the hurdles, they went to college, got a job, and now help raise awareness about hydrocephalus.

Key Achievements:

  • Completing higher education
  • Building successful careers
  • Advocating for hydrocephalus awareness

Challenges and Coping Mechanisms

Hydrocephalus brings its own set of challenges. These include managing symptoms, dealing with shunt issues, and the emotional toll of the condition.

Challenges

Coping Mechanisms

Managing symptoms and shunt complications

Regular medical check-ups and adherence to treatment plans

Psychological impact

Counseling, support groups, and family support

Quality of Life Considerations

The quality of life for those with hydrocephalus varies. It depends on the condition’s severity, treatment success, and support systems.

Improving life quality requires a team effort. This includes medical care, lifestyle changes, and psychological support.

Sharing personal stories helps us understand hydrocephalus better. It shows the need for full care and support.

Conclusion

We’ve looked into how hydrocephalus affects intelligence. This condition, where fluid builds up in the brain, can change a person’s life and thinking skills. It’s a complex issue that impacts many areas of life.

The relationship between hydrocephalus and intelligence is intricate. It depends on when it starts, how bad it is, and how long it lasts. Also, how well treatment works plays a big role. Studies show that catching it early and treating it fast can help a lot.

In wrapping up our study on hydrocephalus and smarts, we see how important it is to understand it well. Knowing all about hydrocephalus helps us give better care and support. This way, we can improve the lives of those dealing with it, making their lives better and fuller.

FAQ

Does hydrocephalus always affect intelligence?

No, hydrocephalus doesn’t always affect intelligence. The impact on thinking can vary a lot. It depends on the type of hydrocephalus, when it starts, and how well treatment works.

Can hydrocephalus be treated, and will treatment improve cognitive function?

Yes, hydrocephalus can be treated. Surgery, like putting in a shunt, is common. This can help symptoms and might improve thinking, if caught early.

How does hydrocephalus impact cognitive development in children?

Hydrocephalus can slow down learning and growth in kids. Early treatment is key to lessen long-term thinking problems.

Is there a correlation between hydrocephalus and IQ?

Studies show hydrocephalus might link to IQ changes. But, it’s a complex issue. Many things, like the cause of hydrocephalus and treatment success, play a role.

Can adults with hydrocephalus experience cognitive decline?

Yes, adults with hydrocephalus, like those with normal pressure hydrocephalus, can get worse mentally. Symptoms can look like dementia.

What are the cognitive rehabilitation options for individuals with hydrocephalus?

Options include cognitive therapy and educational help. Family support and assistive tech are also used. These aim to boost thinking skills and improve life quality.

How does the age of onset of hydrocephalus influence cognitive outcomes?

When hydrocephalus starts can greatly affect thinking. Early onset often means more risks. But, effects can differ a lot between people.

Can hydrocephalus be managed without surgery?

Sometimes, hydrocephalus can be managed without surgery. This is true for mild cases or if meds work well. But, surgery is often needed for better control.

National Center for Biotechnology Information. Evidence-Based Medical Insight. Retrieved from https://pubmed.ncbi.nlm.nih.gov/18394105/

i

Medical Disclaimer

The content on this page is for informational purposes only and is not a substitute for professional medical advice, diagnosis or treatment. Always consult a qualified healthcare provider regarding any medical conditions.

Trusted Worldwide
30
Years of
Experience
30 Years Badge
Health Türkiye Accreditation
Patient Reviews
Reviews from 9,651
4,9

Get a Free Quote

Response within 2 hours during business hours

Clinics/branches
GDPR
Was this content helpful?
Your feedback helps us improve.
What did you like?
Share more details about your experience.
You must give consent to continue.

Thank you!

Your feedback has been submitted successfully. Your input is valuable in helping us improve.

Book a Free Certified Online
Doctor Consultation

Clinics/branches
GDPR

We're Here to Help.
Get in Touch

Send us all your questions or requests, and our
expert team will assist you.

Our Doctors