Celiac Disease Treatment and Management: lifelong gluten exclusion, nutritional deficit correction, and mucosal recovery monitoring

Explore celiac disease treatments and long term management. Learn how a strict gluten free lifestyle and nutritional support at Liv Hospital restore your health.

We're Here to Help.
Get in Touch.

Send us all your questions or requests, and our expert team will assist you.

Doctors

Treatment and Management

Celiac Disease Treatments

The selection of celiac disease treatments is unique in the medical world because the primary “medicine” is a total and permanent lifestyle change. There are no pills or surgeries that can cure the condition, but strict dietary management is highly effective. The goals of clinical management are to stop the autoimmune attack, allow the intestinal villi to regrow, and correct any nutritional gaps. At Liv Hospital, we provide a multidisciplinary support system to help you navigate this transition, ensuring that your diet is safe, varied, and nutritionally complete.

Icon LIV Hospital

The Gluten Free Lifestyle Foundation

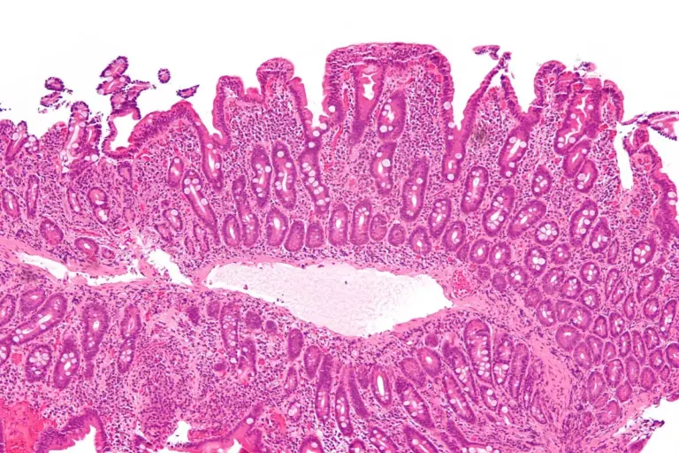
Celiac disease

The cornerstone of recovery is the total elimination of gluten from the environment. This requires a much deeper level of commitment than a standard diet.

  • Removing all wheat, barley, and rye from the diet.
  • Avoiding hidden gluten in sauces, dressings, and processed meats.
  • Being vigilant about cross contamination in kitchens and restaurants.
  • Learning to read labels for “stealth” ingredients like malt or hydrolyzed plant protein.

Specialists at Liv Hospital provide detailed educational resources and hands on guidance to ensure that you can maintain this management level without feeling deprived or socially isolated.

Icon LIV Hospital

Nutritional And Vitamin Therapy

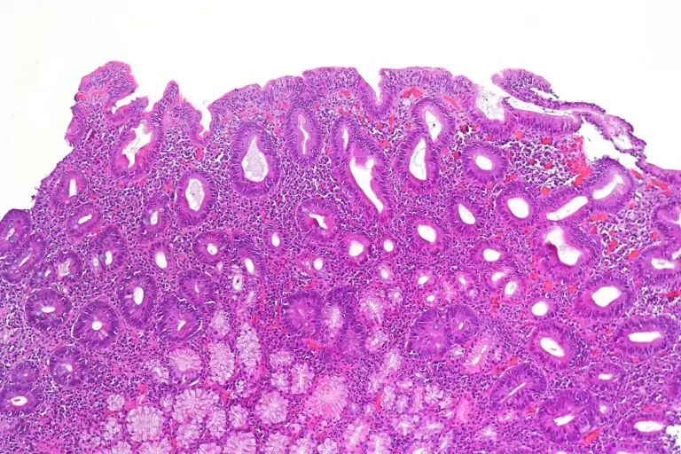
Celiac disease

Because the condition often results in deep nutritional gaps, the initial treatment phase includes targeted supplementation.

  • Iron therapy for patients with anemia.
  • High dose Vitamin D and Calcium to restore bone health.
  • B12 and Folate supplements to support the nervous system.
  • Zinc and Magnesium to address mineral deficiencies.

Our clinical dietitians work side-by-side with our gastroenterologists. This integrated approach ensures that your supplements are tailored to your specific lab results, avoiding the “one size fits all” approach of over the counter multivitamins.

Managing Cross Contamination Risks

One of the biggest challenges in long-term management is cross contamination. Even a tiny crumb of gluten can trigger an autoimmune reaction in sensitive individuals.

  • Using separate toasters and cutting boards at home.
  • Being cautious with bulk bins and “shared equipment” in food production.
  • Educating family and friends on how to prepare safe meals.

At Liv Hospital, we view education as a vital “procedure.” By teaching you how to manage your environment, we empower you to protect your gut health in any situation, from family dinners to international travel.

Monitoring For Refractory Disease

In a small percentage of clinical cases, the intestine does not heal despite a strict gluten free diet. This is known as refractory disease.

  • It requires advanced clinical investigation to rule out hidden gluten exposure.
  • It may involve the use of specialized medications to suppress the immune system.
  • It requires very close monitoring for potential complications.

Identifying this resistant state early is a top priority at Liv Hospital. Our specialists utilize the latest research to provide secondary management strategies for those who do not find relief through diet alone.

Skin Management: Dermatitis Herpetiformis

For patients with the blistering skin rash associated with the disease, specialized dermatological care is provided.

  • Targeted medications to reduce skin itching and promote healing.
  • Strict adherence to the gluten free diet as the primary long term fix.
  • Regular clinical review of skin integrity.

While the diet eventually clears the rash, the initial healing can take months. We provide the comfort measures needed to manage the skin symptoms while the internal autoimmune fire is being put out.

Celiac disease

Microbiome Support And Probiotics

Restoring the balance of the gut flora is a key therapeutic goal after years of inflammation.

  • Selecting gluten free, clinical grade probiotics.
  • Focusing on naturally fermented foods once the gut is stable.
  • Avoiding unnecessary antibiotics that can disrupt the healing process.

Our clinical team uses diagnostic data to recommend the specific microbial support that is most likely to benefit your unique gut environment, helping to resolve the bloating and gas that can linger during the early recovery phase.

Managing Long Term Systemic Complications

Treatment is not just about the gut; it is about protecting your “whole body” integrity.

  • Regular bone density monitoring to prevent osteoporosis.
  • Routine screening for other autoimmune issues.
  • Assessment of energy levels and physical mobility.

This holistic oversight is a hallmark of the professional care at Liv Hospital. We treat you as a whole person, ensuring that your recovery in one area does not lead to health challenges in another.

Why Multidisciplinary Support Wins

The most successful recovery happens when different specialists work together. At Liv Hospital, our gastroenterologists collaborate with dietitians, dermatologists, and bone health experts. This ensures that every trigger—whether it be a hidden food, a skin flare, or a nutritional gap—is addressed simultaneously. We don’t just give you a diet list; we work to recalibrate your entire body. Reach out to our team today to start your path toward a life where you are in control of your health.

30 Years of
Excellence

Trusted Worldwide

With patients from across the globe, we bring over three decades of medical

Book a Free Certified Online
Doctor Consultation

Clinics/branches
Op. MD. Cansu Ekinci Aslanoğlu Op. MD. Cansu Ekinci Aslanoğlu Immunology Overview and Definition
Group 346 LIV Hospital

Reviews from 9,651

4,9

Was this article helpful?

Was this article helpful?

We're Here to Help.
Get in Touch.

Send us all your questions or requests, and our expert team will assist you.

Doctors

FREQUENTLY ASKED QUESTIONS

What are the treatment options for celiac disease?

The only effective treatment is a strict, lifelong gluten-free diet. This means avoiding all foods containing wheat, barley, and rye. In rare refractory cases, steroid medications may be used.

Most patients feel better within a few weeks. However, complete healing of the small intestine takes time usually 3-6 months for children and up to 2 years for adults.

Surgery is not a treatment for celiac disease itself. It is only needed if severe complications develop, such as a bowel blockage, perforation, or intestinal cancer.

There are no medications to treat the disease itself. Doctors may prescribe nutritional supplements (iron, calcium) for deficiencies or dapsone for the associated skin rash (dermatitis herpetiformis).

There are no medications to treat the disease itself. Doctors may prescribe nutritional supplements (iron, calcium) for deficiencies or dapsone for the associated skin rash (dermatitis herpetiformis).

Spine Hospital of Louisiana

Let's Talk About Your Health

BUT WAIT, THERE'S MORE...

Leave your phone number and our medical team will call you back to discuss your healthcare needs and answer all your questions.

Let's Talk About Your Health

How helpful was it?

helpful
helpful
helpful
Your Comparison List (you must select at least 2 packages)