
Leukemia skin symptoms can show up in different ways. It can cause rashes, spots, or bruising because it affects blood clotting and the immune system. It’s key to know these signs early for proper treatment.
Common signs include petechiae, purpura, and easy bruising. These happen because of how leukemia affects blood cells and clotting. For more details, check outMedical News Today.
Key Takeaways
- Leukemia can cause various skin symptoms, including rashes and bruising.
- Early detection is key for effective treatment.
- Knowing the signs of leukemia on the skin helps in getting medical help on time.
- Trust Liv Hospital’s expertise for patient-focused care.
- Spotting blood cancer symptoms on the skin is important.
Understanding Leukemia and Its Impact on the Skin

It’s important to know how leukemia affects the skin for early detection and treatment. Leukemia is a blood cancer that can show up in different ways on the skin. This happens because it messes with blood cell production and clotting. We’ll look at how these changes happen and what they might look like.
How Blood Cancer Affects Skin Appearance
Leukemia can change how the skin looks because it messes with blood cell production. It affects the bone marrow, leading to too many abnormal cells. This can cause skin changes like petechiae (tiny red or purple spots) and purpura (larger purple patches).
Low platelet counts can cause bruising and bleeding under the skin. This makes the skin change in visible ways. For example, petechiae appear in areas where the skin is pressed or hurt. These spots show small hemorrhages in the skin.
The Relationship Between Blood Cell Production and Skin Manifestations
Blood cell production is complex and happens in the bone marrow. Leukemia messes with this process, leading to too many bad white blood cells. These abnormal cells can get into the skin and cause different signs.
| Blood Cell Type | Normal Function | Effect of Leukemia |
| Platelets | Critical for blood clotting | Low platelet count (thrombocytopenia) leading to bruising and bleeding |
| White Blood Cells | Essential for immune response | Overproduction of abnormal white blood cells, potentially infiltrating skin |
| Red Blood Cells | Carry oxygen throughout the body | Anemia due to reduced red blood cell count or function |
It’s key to understand how blood cell production and skin signs are linked for diagnosing and treating leukemia. By spotting the signs and symptoms of leukemia, doctors can start the right tests and treatments.
Common Leukemia Skin Manifestations

It’s important for patients and doctors to know about skin changes linked to leukemia. Symptoms like petechiae, purpura, and bruising are often early signs of the disease.
Petechiae: Tiny Red or Purple Dots
Petechiae are small spots on the skin from tiny blood vessel breaks. In leukemia, they happen because of low platelet counts. This makes it hard for blood to clot.
Key characteristics of petechiae include:
- Small, red or purple dots
- Often appear in clusters
- Can occur anywhere on the body
- May not blanch when pressed
Purpura: Larger Purple Patches
Purpura are bigger purple spots on the skin from bleeding under the skin. Like petechiae, it’s linked to low platelet counts and clotting issues in leukemia patients.
Purpura can manifest as:
- Larger areas of purple discoloration
- Bruise-like patches without a clear cause
- Skin lesions that may be tender to the touch
Unexplained Bruising as a Warning Sign
Unexplained bruising is another sign of leukemia. It happens because the disease affects platelet production and blood clotting.
Warning signs include:
- Bruises that appear without a known injury
- Frequent or recurring bruising
- Bruises that are larger than usual or slow to heal
Recognizing Early Stage Leukemia Rash
Spotting the early signs of leukemia rash is key to catching blood cancer early. At first, it might look like small red or purple dots or patches on the skin. Knowing these signs is vital for getting medical help quickly.
Initial Skin Changes to Watch For
The first signs of leukemia rash can look like other skin issues. Look out for:
- Unexplained red or purple spots (petechiae)
- Patches or lesions that don’t heal
- Changes in skin color or texture
These symptoms can pop up anywhere on the body. They might also come with other leukemia signs like feeling very tired or losing weight without trying.
Leg Early Stage Leukemia Rash Characteristics
The legs are a common spot for leukemia rash to show up. Here’s what to look for:
| Characteristic | Description |
| Petechiae | Small, pinpoint red or purple spots |
| Purpura | Larger purple patches |
| Lesions | Unexplained sores or areas of skin change |
Distinguishing Leukemia Rashes from Common Skin Conditions
Telling leukemia rash apart from other skin issues can be tough. Here’s what sets it apart:
- Persistence: Leukemia rash often doesn’t resolve on its own.
- Progression: Leukemia rash can worsen over time if untreated.
- Associated symptoms: Presence of systemic symptoms like fever or weight loss.
If you’re not sure about your skin changes, see a doctor right away. They can give you a proper check-up.
Leukemia Skin Manifestations by Type
It’s important to know the skin signs of different leukemia types for early treatment. Each leukemia type shows unique skin symptoms. Recognizing these signs is key to getting help quickly.
Acute Lymphocytic Leukemia (ALL) Rash Patterns
Acute Lymphocytic Leukemia (ALL) often shows skin signs that help doctors diagnose it. ALL rash patterns include petechiae, small spots on the skin from bleeding. These spots can appear anywhere and may come with fever and tiredness.
Acute Myeloid Leukemia Skin Presentations
Acute Myeloid Leukemia (AML) also has unique skin symptoms. AML can cause leukemia cutis, where cancer cells spread to the skin, leading to lesions or nodules. These signs mean the disease is getting worse and need quick doctor visits.
Chronic Leukemia and Skin Changes
Chronic leukemia, like CLL and CML, can lead to skin changes that are less severe than acute leukemia. But, it can cause purpura (purple patches) and unexplained bruises. Spotting these changes is important for managing the disease well.
| Leukemia Type | Common Skin Manifestations |
| Acute Lymphocytic Leukemia (ALL) | Petechiae, rashes, bruising |
| Acute Myeloid Leukemia (AML) | Leukemia cutis, lesions, nodules |
| Chronic Lymphocytic Leukemia (CLL) | Purpura, unexplained bruising |
| Chronic Myeloid Leukemia (CML) | Skin changes, purpura |
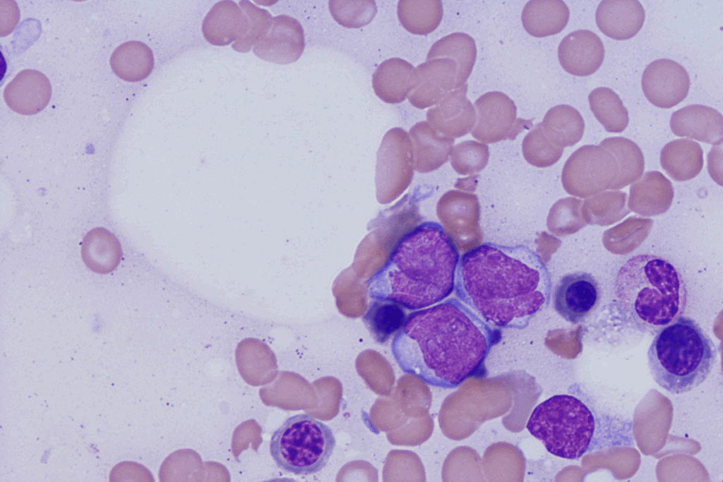
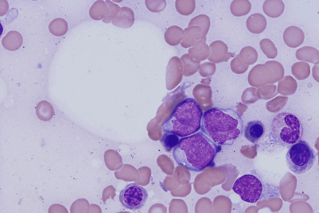
Leukemia Cutis: When Cancer Cells Infiltrate the Skin
When leukemia cells invade the skin, they cause a condition known as leukemia cutis. This condition needs immediate medical attention. It happens when cancer cells get into the skin, causing lesions and other symptoms.
Identifying Leukemia Cutis Plaques and Lumps
Leukemia cutis can show up as plaques, lumps, or nodules on the skin. These can be red, purple, or brown. They might also cause itching or pain.
The way leukemia cutis looks can differ a lot from person to person. Some might have firm, nodular lesions. Others might have more widespread skin involvement. Knowing these differences helps doctors make the right diagnosis.
Differences Between Leukemia Cutis and Other Skin Manifestations
Telling leukemia cutis apart from other skin conditions is key. It can look like infections, inflammatory disorders, or other skin cancers. Doctors need to do a detailed check, including biopsies, to confirm it.
“The diagnosis of leukemia cutis requires a high index of suspicion and a thorough diagnostic workup to differentiate it from other skin conditions.”
Prognosis and Significance of Skin Infiltration
Leukemia cutis usually means the disease is advanced, which is bad news. When cancer cells get into the skin, it can mean the disease is getting worse. Knowing this helps doctors decide on the best treatment.
| Prognostic Factor | Significance |
| Presence of Leukemia Cutis | Generally indicates advanced disease and poor prognosis |
| Disease Progression | Higher risk of progression with skin infiltration |
| Overall Survival | Lower overall survival rate associated with leukemia cutis |
We stress that leukemia cutis is a serious issue that needs quick action. By knowing its symptoms, diagnosis, and outlook, doctors can give the best care and support to patients.
Leukemia Purpura: What It Reveals About Blood Health
Leukemia purpura is a sign of blood health problems that needs quick action. It shows up as purple patches on the skin from bleeding underneath. In leukemia, these patches are a key symptom that shows the disease is getting worse.
Understanding Leukemia Purpura Rash
The leukemia purpura rash looks like purple or red patches on the skin. These patches can be different sizes and might come with bruising or small red dots called petechiae. This rash happens because leukemia patients often have low platelet counts, which is due to the bone marrow not working right.
Connection Between Purpura and Low Platelet Counts
Purpura and low platelet counts are closely linked in leukemia. Platelets help blood clot, and low counts cause easy bruising and bleeding. In leukemia, the bone marrow makes too many bad white blood cells. This means there’s less room for healthy platelets, leading to purpura.
Progression of Leukemia Early Stage Purpura Rash
The purpura rash in early leukemia can change over time. At first, it might look like small spots or minor bruises. But as the disease gets worse, the rash can spread and get more serious. Watching how the rash changes is key to managing leukemia well and avoiding serious problems.
Understanding leukemia purpura and its link to low platelet counts helps doctors diagnose and treat the disease better. Catching it early and starting treatment quickly is very important for better outcomes in leukemia patients.
Where Does Leukemia Rash Appear on the Body?
Knowing where leukemia rash shows up is key for catching it early. It can pop up on different parts of the body. Spotting these spots can help people find symptoms sooner.
Common Locations for Leukemia Skin Manifestations
Leukemia rash can show up on the legs, arms, trunk, and face. It can look like small spots or bigger patches. These changes often happen where blood flow is weak or the skin gets a lot of stress.
The spots where leukemia rash appears can tell us a lot about the disease. Sometimes, symptoms show up in places far from where leukemia first starts.
Why Certain Body Areas Are More Affected
Some areas of the body are more likely to get leukemia rash. This is because of blood flow, skin thickness, and where leukemia cells are found. For example, the legs often get rash because of blood flow problems and gravity.
Also, places with more blood vessels or thinner skin are more likely to show leukemia symptoms.
Tracking the Spread of Skin Symptoms
It’s important to watch how leukemia skin symptoms spread. This helps understand how the disease is growing and if treatments are working. By keeping track, patients and doctors can make better plans and handle any problems.
Being careful and active can help manage the disease better. This way, people can live a better life despite the challenges.
Leukemia Skin Symptoms Beyond Rashes
Leukemia affects the skin in many ways, not just through rashes. It can also cause itching, bruising, and sensitivity. These symptoms happen because leukemia messes with blood cell production and the immune system.
Leukemia Itching and Bruising: Causes and Patterns
Itching, or pruritus, is a common symptom in leukemia patients. It can be caused by toxins or histamine from abnormal white blood cells. Bruising happens because leukemia affects platelet production, leading to thrombocytopenia.
Common patterns of itching and bruising in leukemia include:
- Generalized itching without a specific rash
- Bruising that occurs spontaneously or with minor trauma
- Petechiae, which are small, pinpoint spots that can appear on the skin
Hives and Leukemia: The Immune Connection
Hives, or urticaria, can be linked to leukemia due to the immune system’s reaction to cancer cells. The exact mechanism is not fully understood, but it’s believed that histamine and other chemical mediators play a role.
The connection between hives and leukemia involves:
- Immune system dysregulation
- Release of chemical mediators like histamine
- Possible allergic reactions to medications used in leukemia treatment
Skin Sensitivity and Pain Associated with Blood Cancer
Skin sensitivity and pain can occur in leukemia patients. This is due to various factors, including cancer cell infiltration, nerve damage, or treatment side effects.
The causes of skin sensitivity and pain in leukemia can be categorized into:
| Cause | Description |
| Cancer cell infiltration | Leukemia cells can infiltrate the skin, causing sensitivity and pain. |
| Nerve damage | Leukemia or its treatment can damage nerves, leading to pain and sensitivity. |
| Treatment side effects | Certain treatments for leukemia can cause skin sensitivity and pain. |
Leukemia Skin in Different Demographics
Leukemia skin signs can change a lot between different groups of people. Knowing these changes helps us spot the disease early and treat it well.
Leukemia Rash in Pediatric Patients
In kids, leukemia rash looks different than in grown-ups. Pediatric patients often show more obvious signs, like big patches of petechiae or purpura. It’s important to watch for skin changes in children, as they can mean leukemia is present.
Leukemia cutis, where leukemia cells get into the skin, can also happen in kids. It looks like firm, red or purple bumps.
Adult Presentations of Leukemia on Skin
In adults, leukemia skin signs can be less obvious. Unexplained bruising or petechiae might be the first hint. Adults with leukemia might also get leukemia cutis, showing up as skin plaques or lumps.
The look can change based on the leukemia type and the person’s health.
How Skin Tone Affects Visibility of Leukemia Symptoms
Skin color can make some leukemia signs harder to see. In people with darker skin tones, spots like petechiae or purpura can be tricky to spot.
We need to know these differences to make sure we diagnose everyone right.
Doctors should think about these points when checking for leukemia. This way, everyone gets the care they need on time.
Visual Guide to Identifying Blood Cancer on Skin
It’s important to know how to spot blood cancer on the skin early. Blood cancer, or leukemia, shows up in different ways on the skin. Knowing these signs helps you get medical help fast.
Leukemia Petechiae Photos: What to Look For
Petechiae are tiny spots on the skin from small capillary bleeding. In leukemia, they’re a common sign. They look like red or purple dots and can pop up anywhere on the body.
Leukemia Spots on Skin Photos: Identifying Patterns
Leukemia can cause different skin spots, like petechiae, purpura, and rashes. It’s important to notice the pattern and look of these spots to figure out why they’re there.
| Type of Spot | Description | Common Locations |
| Petechiae | Small, red or purple dots | Arms, legs, face |
| Purpura | Larger purple patches | Arms, legs, trunk |
| Leukemia rash | Variable appearance, can be red, pink, or purple | Face, trunk, limbs |
Leukemia Skin Rash Images Across Different Stages
Leukemia skin rashes change a lot as the disease gets worse. Knowing these changes is vital for diagnosis.
In the early stages, you might see just a few petechiae or small purpura patches. But as the disease gets more serious, the rash can spread and get worse.
When to Seek Medical Attention for Skin Changes
Knowing when to seek medical help for skin changes is key. Some skin signs, like unexplained bruising or rashes, can mean serious health issues. These might include leukemia.
Warning Signs That Require Immediate Evaluation
Some skin changes need immediate medical attention. These include:
- Unexplained bruising or bleeding: Bruises that appear without a known cause or bleeding that doesn’t stop after a few minutes.
- Petechiae: Tiny red or purple spots on the skin that don’t fade when pressed.
- Purpura: Larger purple patches on the skin.
- Rashes: Sudden onset of rashes, specially if accompanied by fever, itching, or pain.
- Skin lesions or lumps: New or changing lesions, specially if they are painful or bleed easily.
If you notice any of these symptoms, seeing a healthcare provider right away is important.
Tracking and Documenting Skin Changes
Keeping a record of your skin changes is helpful. It’s good to document:
- The date and time when you first noticed the skin change.
- The location and size of the skin change.
- Any associated symptoms, such as itching, pain, or fever.
- Any changes in the appearance of the skin over time.
Using a journal or a mobile app can help track these changes. It gives your healthcare provider detailed information.
Questions to Ask Your Healthcare Provider
When talking to a healthcare provider about skin changes, it’s good to have questions ready. Some examples include:
- What could be causing my skin changes?
- Are these symptoms related to leukemia or another condition?
- What diagnostic tests are needed to determine the cause?
- What treatment options are available?
- Are there any lifestyle changes I can make to help manage my symptoms?
Being informed and asking the right questions helps you understand your condition better. It also helps you know what steps to take next.
Conclusion: Understanding the Skin’s Role in Detecting Leukemia
It’s key to know how the skin helps find leukemia early. The skin can show signs like rashes, spots, and bruises. We’ve looked at how leukemia can cause these skin changes.
These signs might mean there’s blood cancer under the skin. Spotting them early is important for getting help fast. Knowing about these signs helps people get medical help right away.
Spotting leukemia early is very important for treatment to work well. We should watch our skin for any odd changes. Reporting these to doctors is a big step towards better care for leukemia.
FAQ
What are the common skin manifestations of leukemia?
Leukemia can cause skin symptoms like petechiae, purpura, and unexplained bruising. It also leads to rashes. These happen because leukemia disrupts blood cell production.
How does leukemia affect the skin?
Leukemia messes with blood cell production, causing symptoms like petechiae and purpura. Knowing this helps doctors diagnose and treat leukemia.
What does a leukemia rash look like?
A leukemia rash can look like petechiae, purpura, or unexplained bruising. It might also look like a typical rash. The rash’s look depends on the leukemia type and individual factors.
Where does leukemia rash typically appear on the body?
Leukemia rash can show up on the legs, arms, and torso. Some areas might be more affected due to blood flow and skin type.
What is leukemia cutis, and how is it identified?
Leukemia cutis is when cancer cells get into the skin, causing changes like plaques or lumps. Doctors need to examine it closely and might do a biopsy to confirm cancer.
How does leukemia purpura relate to low platelet counts?
Leukemia purpura is purple patches on the skin, often from low platelet counts. The rash’s growth can show how serious the leukemia is.
Can leukemia cause itching and bruising?
Yes, leukemia can cause itching and bruising. This is because it disrupts blood cell production and releases chemicals.
How do leukemia skin manifestations vary across different demographics?
Leukemia skin symptoms can differ in kids and adults. Skin color can also change how visible symptoms are.
When should I seek medical attention for skin changes?
See a doctor if you notice unusual skin changes like unexplained bruising or rashes. Look out for fast-growing symptoms or other body signs that need quick attention.
What questions should I ask my healthcare provider about leukemia skin symptoms?
Ask your doctor about your skin symptoms’ causes, if more tests are needed, and treatment options for your case.
References
National Cancer Institute. (2024, May 22). Leukemia—Patient version. National Institutes of Health.https://www.cancer.gov/types/leukemia
National Health Service. (2023, April 19). Symptoms of acute myeloid leukaemia (AML). nhs.uk.https://www.nhs.uk/conditions/acute-myeloid-leukaemia/symptoms/



