
Nearly 64,000 people in the United States are diagnosed with leukemia or other blood cancers each year. This shows how important it is to know about this disease.
Getting a blood cancer diagnosis can be scary. Leukemia is a cancer that affects the blood and bone marrow. It’s caused by too many white blood cells. Knowing the signs early is key for treatment.
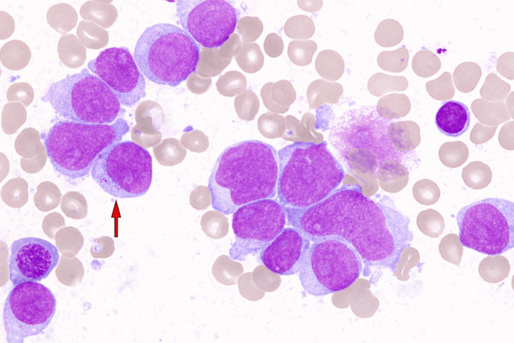
We provide comprehensive care with the latest treatment options for patients worldwide.
Key Takeaways
- Understanding leukemia is vital for early detection.
- Recognizing the signs can significantly impact treatment outcomes.
- Leukemia affects the blood and bone marrow.
- Abnormal white blood cell counts are a key indicator.
- Early diagnosis improves the chances of effective treatment.
Understanding Leukemia: An Overview

Leukemia impacts the body’s blood cells and health. It’s a complex condition that affects the blood and bone marrow. Knowing its basics helps us understand its signs and symptoms.
What is Leukemia?
Leukemia is a cancer that affects the blood and bone marrow. It causes abnormal blood cell production, leading to health problems. Leukemia is another term for it, highlighting its dangerous nature. These abnormal cells can replace healthy ones, making it hard for the body to fight off infections and perform other essential functions.
Types of Leukemia
Leukemia is divided into acute and chronic types. Acute leukemia progresses fast and needs quick treatment. Chronic leukemia grows slower. Knowing the different types of leukemia is key to finding the right treatment. The main types are Acute Lymphoblastic Leukemia (ALL), Acute Myeloid Leukemia (AML), Chronic Lymphocytic Leukemia (CLL), and Chronic Myeloid Leukemia (CML).
How Predominant Is It?
Leukemia affects people of different ages and groups in varying ways. It’s more common in some groups, which helps in early detection and prevention. For example, some leukemia types are more common in children, while others affect adults more. Factors like genetic predisposition, exposure to certain chemicals, and previous radiation therapy also play a role.
Key Signs of Leukemia: An Introduction
Knowing the early signs of leukemia is key to better treatment and care. This disease is complex and needs quick and accurate diagnosis for the best results.
Why Early Detection Matters
Spotting leukemia early is vital. It lets doctors start treatment quickly, which can make a big difference. Early treatment can lessen symptoms and boost survival chances.
Key benefits of early detection include:
- Improved treatment outcomes due to timely intervention
- Reduced severity of symptoms
- Better quality of life during treatment
- Increased chances of survival
Common Misconceptions
Many people think leukemia only hits kids, but it can affect anyone. They also think symptoms are always obvious. But, early signs can be mild and not clear.
Common misconceptions include:
- Leukemia is a disease that only affects children.
- Symptoms of leukemia are always severe and immediately noticeable.
- Leukemia can be diagnosed with a simple blood test alone.
Knowing these myths helps us see why we must watch for leukemia’s early signs.
Sign1: Unexplained Fatigue
Feeling tired all the time without a clear reason might be a sign of leukemia. This constant tiredness makes simple tasks hard. It affects many parts of life.
Understanding Fatigue in Leukemia
Fatigue from leukemia often comes from not enough red blood cells or anemia. Leukemia can reduce red blood cell production. These cells carry oxygen, so without enough, you feel weak and tired.
Fatigue is more than just feeling tired. It’s a serious condition that makes everyday tasks hard. Even simple things like getting dressed or cooking can feel like big challenges.
Impact on Daily Life
Fatigue can greatly affect daily life. It can make it hard to work, keep up with friends, and enjoy activities. Feeling tired all the time can also cause emotional problems like frustration and feeling alone.
Effects on Daily Life:
| Aspect of Life | Impact of Fatigue |
| Work Productivity | Reduced ability to concentrate and complete tasks |
| Social Relationships | Decreased participation in social activities, leading to feelings of isolation |
| Personal Care | Difficulty in maintaining personal hygiene and performing daily routines |
If you’re always tired, see a doctor. They can find out why and help you feel better.
Sign2: Frequent Infections
Frequent infections can be a big sign of leukemia. This is because leukemia makes it hard for the body to fight off germs. It messes with the production of white blood cells, which are key for fighting off infections.
The Role of White Blood Cells
White blood cells are very important for our immune system. They help keep us safe from germs inside and outside our bodies. But in leukemia, the bone marrow makes bad white blood cells. These cells can’t fight off infections well.
We will look into how this affects the body’s fight against infections. We’ll see how it shows up in people with leukemia.
How Infections Manifest
Infections in leukemia patients can show up in different ways. For example:
- Recurring fevers
- Persistent cough or sore throat
- Skin infections
- Urinary tract infections
It’s important to know these signs to catch leukemia early.
| Infection Type | Common Symptoms |
| Respiratory Infections | Cough, sore throat, difficulty breathing |
| Skin Infections | Redness, swelling, warmth around the affected area |
| Urinary Tract Infections | Burning sensation while urinating, frequent urination |
By spotting the signs of frequent infections, we can catch leukemia sooner.
Sign3: Unusual Bruising or Bleeding
Bruising or bleeding without a clear reason can be a sign to see a doctor. It might be related to leukemia. We’ll look into how this symptom is connected to leukemia and what steps to take.
Signs of Thrombocytopenia
Unusual bruising or bleeding often points to thrombocytopenia, a low platelet count. Platelets help blood clot, and without enough, you might bruise easily and bleed longer. Thrombocytopenia can be a sign of leukemia affecting the bone marrow’s ability to produce platelets.
Some common signs of thrombocytopenia include:
- Easy or frequent bruising
- Prolonged bleeding from cuts or injuries
- Nosebleeds or bleeding gums
- Petechiae, which are small red or purple spots on the skin
| Signs | Description |
| Easy Bruising | Bruising without significant cause |
| Prolonged Bleeding | Bleeding that doesn’t stop after a reasonable time |
| Petechiae | Small red or purple spots on the skin due to minor hemorrhages |
When to Seek Medical Advice
If you’re experiencing unusual bruising or bleeding, it’s important to talk to a doctor. We suggest getting medical advice if you notice:
- Frequent or unexplained bruising
- Bleeding that doesn’t stop after applying pressure
- Bleeding gums or nosebleeds without an apparent cause
“Early detection of leukemia and its symptoms can significantly improve treatment outcomes. If you’re experiencing unusual symptoms, don’t hesitate to seek medical help.”
— Medical Expert
Knowing the signs of leukemia and when to seek medical help is key for early detection and treatment. We encourage you to watch your health closely and talk to healthcare professionals if you have any concerns.
Sign4: Weight Loss Without Trying
Leukemia can cause weight loss without any effort. This symptom affects not just physical health but also how the body uses energy. It can be scary and confusing for those experiencing it.
How Leukemia Affects Metabolism
Leukemia changes how the body uses energy. It makes the body burn more calories because leukemia cells grow fast. This can lead to weight loss. Also, leukemia can mess with how the body manages energy, making it hard to keep a healthy weight.
Doctors say leukemia messes with energy use, causing weight loss, tiredness, and health decline. This shows why it’s key to understand how leukemia affects energy use.
Emotional and Physical Impacts
Weight loss from leukemia is more than just physical. It also affects emotions deeply. Patients might feel anxious, depressed, and have a lower quality of life. The changes can hurt how they see themselves and their body.
- Emotional distress due to rapid physical changes
- Reduced confidence and self-esteem
- Increased anxiety about health and future
One patient said, “The weight loss wasn’t just about looking different; it was about feeling like I was losing control of my body and my life.” This shows the need for full support for those going through this.
In summary, unexplained weight loss is a key sign of leukemia. It affects both metabolism and overall health. Understanding these effects is vital for good care and support.
Sign5: Swollen Lymph Nodes
The lymphatic system is key in our body’s defense. It can swell in leukemia, which is a big warning sign.
Understanding Lymphatic System Involvement
The lymphatic system fights infections and diseases. Leukemia can harm it, making lymph nodes swell. Swollen lymph nodes mean the body is battling something, and sometimes it’s leukemia.
“Swollen lymph nodes can be an early sign of leukemia,” says a top hematologist. “This is why a detailed medical check is important.”
Location of Swellings
Swollen lymph nodes can show up in the neck, armpits, or groin. They are usually painless and found during a physical check. Knowing where and why lymph nodes swell is key to catching leukemia early.
- Neck: Swollen lymph nodes in the neck can be a sign of leukemia affecting the lymphatic system.
- Armpits: Swelling in the armpits can indicate leukemia or other conditions affecting the lymph nodes.
- Groin: Swollen lymph nodes in the groin area can be associated with leukemia or infections.
It’s important to know the signs of swollen lymph nodes and their link to leukemia. If you see unusual swelling, see a doctor right away for a check-up and diagnosis.
Sign6: Pain or Discomfort in Bones
Bone pain is a key symptom that might mean leukemia. Leukemia can harm many parts of the body, including the bones.
Bone Health Implications
Leukemia can harm bone health by filling the bone marrow. This is where blood cells are made. When leukemia cells fill the marrow, they can cause pain.
This pain can come from the marrow getting bigger or from chemicals that make pain receptors work. “The bone pain from leukemia can really hurt a person’s life,” says a hematologist. “It’s very important for people with ongoing bone pain to see a doctor.”
Recognizing Bone Pain
To spot bone pain as a sign of leukemia, know what it looks like. The pain can be constant and in certain spots like the long bones or back. It might get worse over time.
It’s key to tell this pain apart from other reasons like injury or infection. Here are some tips:
- Watch how long and where the pain is.
- Think about any recent injuries or infections that could cause pain.
- Look at the big picture, including other symptoms like tiredness, losing weight, or getting sick a lot.
Spotting bone pain early as a sign of leukemia can help get the right treatment sooner. If you have bone pain or discomfort, and it’s with other signs like being very tired or getting sick a lot, see a doctor right away.
Additional Symptoms and Their Implications
Leukemia symptoms go beyond the well-known signs. Other symptoms can give important clues about the disease’s progress and its effects on the patient.
Night Sweats
Night sweats are common in many diseases, including leukemia. These episodes of excessive sweating during sleep can be distressing and disrupt the patient’s rest. In leukemia, night sweats often show the body’s fight against the disease. They might mean the disease is at an advanced stage or causing big changes in metabolism.
Understanding night sweats in leukemia means looking at how the disease affects the body’s metabolism and hormones. It’s not just about the discomfort; night sweats can signal underlying issues that need medical attention.
Skin Rashes
Skin rashes can also be a symptom of leukemia. These rashes can appear because of the disease itself or because of treatments. The appearance of skin rashes can be alarming and may indicate leukemia cell infiltration into the skin.
The meaning of skin rashes in leukemia patients is complex. They can show the disease is getting worse or that the patient is reacting to treatment. It’s essential for healthcare providers to monitor these symptoms closely to adjust treatment plans.
| Symptom | Possible Cause | Implication |
| Night Sweats | Disease progression, metabolic changes | Indicates possible advanced stage or significant metabolic issues |
| Skin Rashes | Leukemia cell infiltration, treatment reaction | May signify disease progression or reaction to therapy |
When to Consult a Doctor
It’s important to know when to see a doctor if you think you might have leukemia. If you notice any of the six signs we talked about, you should get medical help right away.
Early Diagnosis Matters
Getting a leukemia diagnosis early can really help your treatment. Visiting the doctor might seem scary, but it’s key. If you’re always tired, get sick a lot, or have weird bruises, go see a doctor.
Preparing for Your Visit
At your doctor’s visit, you’ll get checked out and might have tests to find out what’s wrong. It’s a good idea to be ready to talk about your health and any symptoms you have. Knowing what to expect can make you feel better and help you get the care you need.
FAQ
What is leukemia?
Leukemia is a cancer that affects the blood and bone marrow. It’s marked by an abnormal increase in white blood cells.
What are the common symptoms of leukemia?
Symptoms include unexplained fatigue and frequent infections. You might also notice unusual bruising or bleeding. Other signs are unexplained weight loss, swollen lymph nodes, and bone pain.
How does leukemia affect the body?
Leukemia disrupts the production of normal blood cells. This can lead to anemia, infections, and bleeding disorders. It may also cause night sweats and skin rashes.
Is leukemia genetic?
Some cases of leukemia might be linked to genetics. But the exact cause is often unknown. Certain genetic disorders can raise the risk of getting leukemia.
What are the types of leukemia?
There are two main types: acute and chronic leukemia. They can be further classified into lymphoblastic (lymphoid) or myeloid leukemia, based on the cell type affected.
How is leukemia diagnosed?
Diagnosis involves blood tests and a bone marrow biopsy. These tests help identify abnormal cells and determine the leukemia type and stage.
What is the treatment for leukemia?
Treatment varies based on the leukemia type and stage. It may include chemotherapy, targeted therapy, radiation therapy, or bone marrow transplantation.
Can leukemia be cured?
Cure rates vary by leukemia type and stage. Some forms, like in children, have high cure rates with proper treatment.
How can I reduce my risk of getting leukemia?
While preventing leukemia is not guaranteed, avoiding harmful chemicals and radiation helps. A healthy lifestyle also reduces risk.
What should I expect during a doctor’s visit for suspected leukemia?
The doctor will perform a physical exam and take your medical history. They’ll also order diagnostic tests to find the cause of your symptoms.
Are chills a sign of leukemia?
Chills can be a sign of infections, which are common in leukemia patients due to their weakened immune system.
What are the early signs of leukemia in blood work?
Early signs in blood work include abnormal white blood cell counts, anemia, or low platelet counts.
How does leukemia affect children?
Leukemia is the most common cancer in kids. Symptoms can be similar to adults, like fatigue, infections, and bruising.
What is the first sign of leukemia?
One early sign is unexplained fatigue. This is tiredness that doesn’t get better with rest.
References
Chennamadhavuni A., Iyengar V., Mukkamalla S.K.R., & Shimanovsky A. “Leukemia.” In: StatPearls [Internet]. Treasure Island (FL): StatPearls Publishing;
https://www.ncbi.nlm.nih.gov/books/NBK560490