
What causes a lump on skull base? Learn about common and benign causes like the occipital bone protuberance and more concerning possibilities. Seeing a lump or bump at the base of your skull can be scary. But knowing what causes it can help you feel better. At Liv Hospital, we use top-notch medical skills and care for our patients. We focus on the skull base issues.
There are many reasons why you might see a bulge in this area. It could be something simple like a cyst or fatty growth. Or it could be something more serious, like a bone tumor. Knowing what it is helps us figure out how to treat it.
Key Takeaways
- Benign conditions like cysts and fatty growths can cause a lump at the base of the skull.
- Serious health issues, including bone tumors, can also be a cause.
- Understanding the cause is key to finding the right treatment.
- Liv Hospital offers advanced diagnostic imaging and personalized treatment plans.
- Compassionate patient care is a top priority at Liv Hospital.
Understanding Skull Base Anatomy

To understand why there might be a lump at the base of the skull, we need to know about this area. The skull base is a complex part of our body. It separates the brain from the neck and holds important nerves and blood vessels.
Structure of the Skull Base
The skull base is made of several bones that join together as we grow. It has three main parts: the anterior, middle, and posterior cranial fossae. Each part has special structures that help our body work right.
Important Nerves and Blood Vessels
The skull base is home to many vital nerves and blood vessels. Cranial nerves control things like seeing, hearing, and swallowing. They go through openings in the skull base. Big blood vessels, like the internal carotid arteries and vertebral arteries, also run through here. They bring oxygen to the brain.
Normal Variations vs. Abnormal Findings
It’s key to tell normal variations from signs of disease in the skull base. Some normal variations, like certain bony growths, are harmless. But, unusual lumps or masses could mean there’s a problem that needs a doctor’s help.
We’ll dive deeper into these topics. This will help us understand what causes a lump at the base of the skull.
Common Benign Causes of a Lump on Skull Base

A lump at the base of the skull can be caused by several benign conditions. These conditions are generally non-cancerous and can vary widely in their characteristics and impact.
Sebaceous Cysts and Epidermoid Cysts
Sebaceous cysts and epidermoid cysts are types of skin cysts that can appear as lumps at the base of the skull. Sebaceous cysts form when the sebum-producing glands in the skin become blocked, leading to a cyst filled with a thick, cheesy material. Epidermoid cysts, on the other hand, are lined by epithelial cells and can contain keratin debris. Both types are usually benign and can be removed surgically if they become problematic.
These cysts are typically slow-growing and painless unless they become infected. In some cases, they can become inflamed, causing discomfort and swelling.
Lipomas (Fatty Growths)
Lipomas are benign tumors composed of fat tissue. They can occur almost anywhere on the body, including the base of the skull. Lipomas are generally soft to the touch and can be moved slightly under the skin. While they are usually harmless, large lipomas can cause discomfort or cosmetic concerns.
- Lipomas are typically soft and painless.
- They can grow slowly over time.
- Surgical removal is an option if the lipoma becomes bothersome.
Inflamed Hair Follicles
Inflamed hair follicles, also known as folliculitis, can occur at the base of the skull. This condition happens when bacteria infect a hair follicle, causing inflammation, redness, and sometimes pus. While often uncomfortable, most cases of folliculitis are not serious and can be treated with topical or oral antibiotics.
“Folliculitis is typically caused by bacterial infection and can be treated with appropriate hygiene and medical treatment.”
Bone Spurs (Osteophytes)
Bone spurs, or osteophytes, are abnormal bone growths that can develop on the skull base. They are often associated with aging or conditions like osteoarthritis. While bone spurs themselves are usually asymptomatic, they can sometimes cause discomfort or nerve compression if they grow into surrounding tissues.
In conclusion, several benign conditions can cause a lump at the base of the skull. Understanding the specific cause is key to finding the right treatment.
Injury-Related Lumps at the Base of the Skull
Injuries to the skull base often cause lumps or swelling. This can happen for several reasons. Trauma can lead to various complications, some of which show up as lumps or swelling at the base of the skull.
Hematomas and Bruising
A hematoma is a blood collection outside of blood vessels, caused by trauma. At the base of the skull, it can appear as a lump. Bruising, on the other hand, is blood leaking into tissues, causing swelling.
Both hematomas and bruising usually come from significant trauma. They might go away with time. But, it’s important to watch them closely because they can be linked to serious injuries.
Swelling from Trauma
Swelling is a common reaction to trauma, including skull base injuries. It happens because of the body’s inflammatory response. This response brings more blood to the area, causing fluid buildup.
Swelling from trauma can also bring pain, redness, and warmth. It often goes away as the injury heals. But sometimes, it can last or show a more serious problem.
Post-Surgical Changes
After surgery near the skull base, patients might see lumps or swelling. This is because of the body’s reaction to the surgery, including inflammation and healing.
Post-surgical changes can also include scar tissue, which might feel like a lump under the skin. These changes are usually part of healing. But, it’s key to follow up with healthcare providers to check for any complications.
Healing Fractures
Fractures of the skull base can happen from significant trauma. As these fractures heal, they can form lumps or callus, which is part of the repair process.
The healing of fractures can take several weeks to months. During this time, the lump may change in size or appearance. It’s important to have a healthcare professional monitor the healing to ensure it’s going well and to address any concerns.
Cause | Description | Typical Outcome |
Hematomas and Bruising | Collection of blood or blood leakage into tissues due to trauma | Often resolves on its own |
Swelling from Trauma | Inflammatory response to injury | Generally subsides with healing |
Post-Surgical Changes | Body’s response to surgical trauma, including inflammation and scar formation | Normal part of healing, may require monitoring |
Healing Fractures | Body’s repair process of bone fractures | Can take weeks to months, requires professional monitoring |
Infectious and Inflammatory Causes
The base of the skull can get affected by many infections and inflammatory conditions. This leads to lumps or swelling. These issues can come from bacterial, viral, or fungal infections, or from the body’s immune system reacting too strongly.
Abscesses and Cellulitis
Abscesses and cellulitis are bacterial infections that cause swelling and lumps. An abscess is a pocket of pus from an infection. Cellulitis is a skin and tissue infection that spreads. Both can hurt and might need antibiotics or drainage.
Osteomyelitis of Skull Bones
Osteomyelitis is an infection in the bone, caused by bacteria or fungi. When it hits the skull bones, it can cause swelling, pain, and serious problems if not treated fast. Doctors use imaging and bone biopsies to diagnose it.
Enlarged Lymph Nodes
Enlarged lymph nodes happen when the head and neck get infected or inflamed. These nodes swell and hurt, sometimes making a noticeable lump. Finding and treating the cause is key to avoiding more problems.
Inflammatory Conditions
Conditions like sarcoidosis or rheumatoid arthritis can also cause lumps or swelling at the base of the skull. These come from an immune system that’s not working right. They need special treatments to control symptoms and stop getting worse.
Benign Tumors Causing a Lump on Skull Base
Benign tumors can cause lumps at the base of the skull. It’s important to know about their types for the right diagnosis. These growths are non-cancerous but can differ a lot in how they affect the body.
Meningiomas
Meningiomas grow from the meninges, which protect the brain and spinal cord. Most meningiomas are benign and grow slowly. But, their location can cause serious symptoms. We often find meningiomas by chance during scans for other reasons.
Acoustic Neuromas
Acoustic neuromas, or vestibular schwannomas, grow on the nerve from the inner ear to the brain. This nerve is key for balance and hearing. Symptoms include hearing loss, tinnitus, and balance issues. Catching these tumors early is vital for treatment.
Pituitary Adenomas
Pituitary adenomas are benign tumors in the pituitary gland at the brain’s base. These tumors can mess with hormone production, causing various symptoms. Proper diagnosis and treatment can greatly help patients with pituitary adenomas.
Chondromas and Osteomas
Chondromas and osteomas are benign tumors of cartilage and bone, respectively. Chondromas can appear at the skull base and may cause symptoms. Osteomas grow slowly and can be on bone surfaces, including the skull. Both types of tumors are usually benign but can be a problem if they press on nearby structures.
Knowing about the different benign tumors at the base of the skull is key for treatment. We’ll look into diagnosing and managing these conditions further.
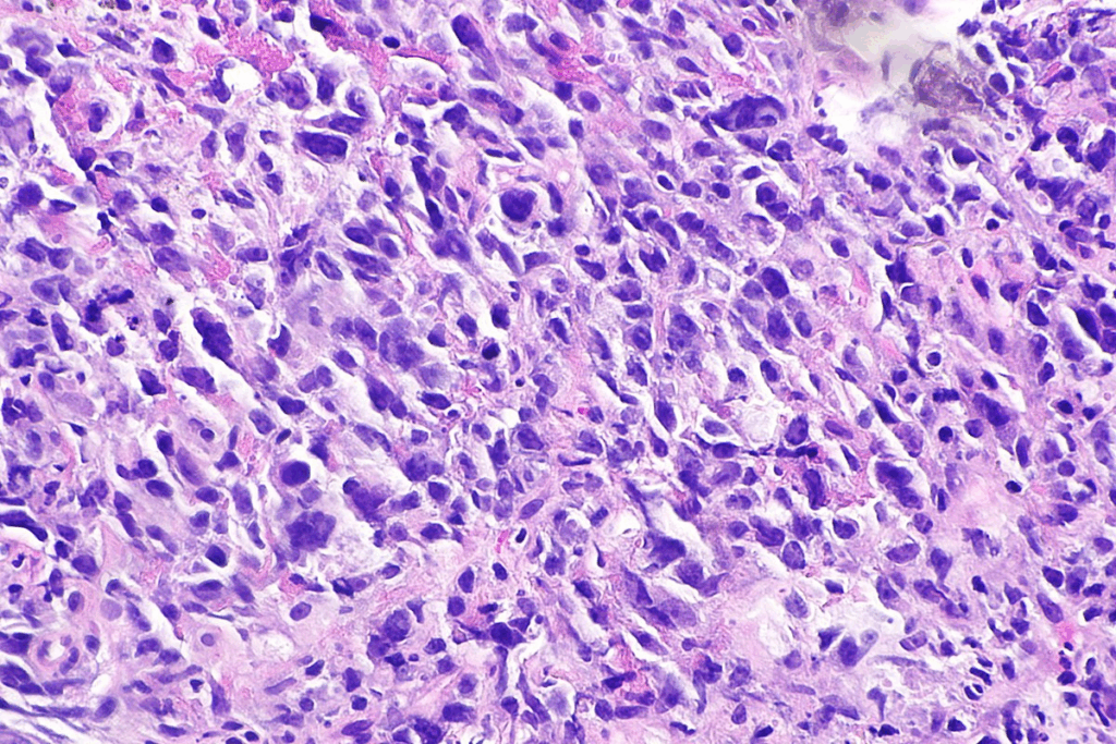
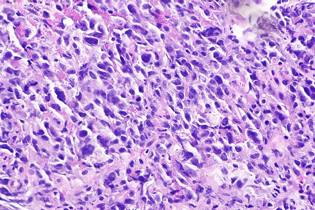
Malignant Conditions and Cancers
We know that tumors like chordomas and chondrosarcomas are serious. They can show up as lumps at the skull base. It’s important to get them checked out quickly to figure out the best treatment.
Chordomas
Chordomas are rare tumors that start from the notochord, a part of the spinal cord. They can happen anywhere along the spine. But when they’re at the skull base, they’re hard to treat because they’re close to important parts.
Chondrosarcomas
Chondrosarcomas are tumors that start from cartilage cells. They can be different in how aggressive they are. Treatment usually includes surgery and radiation therapy.
Metastatic Tumors to the Skull
Metastatic tumors at the skull come from cancers elsewhere in the body. These can be from places like the breast, lung, or prostate. They can cause lumps, pain, and other symptoms.
Primary Bone Cancers
Primary bone cancers, like osteosarcomas, can also happen at the skull base. These are rare but grow fast. They need to be caught and treated early.
The table below shows some key facts about these malignant conditions:
Tumor Type | Origin | Common Symptoms | Treatment Approaches |
Chordomas | Notochord remnants | Lump at skull base, neurological deficits | Surgery, radiation therapy |
Chondrosarcomas | Cartilage-producing cells | Pain, swelling, neurological symptoms | Surgery, radiation therapy, chemotherapy |
Metastatic Tumors | Spread from other cancers | Pain, lumps, neurological symptoms | Treatment of primary cancer, palliative care |
Primary Bone Cancers | Bone cells | Pain, swelling, lump formation | Surgery, chemotherapy, radiation therapy |
It’s key to understand these conditions to give the right care. If symptoms don’t go away or get worse, see a doctor right away.
Symptoms Associated with Skull Base Lumps
A lump at the base of the skull can cause many symptoms that affect daily life. These symptoms vary based on the lump’s cause, size, and location. We will look at the symptoms of lumps at the base of the skull. This will help you know what to watch for and when to see a doctor.
Neurological Symptoms
Neurological symptoms can happen because of the lump’s close location to important nerves. Symptoms like numbness, tingling, or weakness in different body parts can occur. Some people might have seizures or trouble speaking and swallowing. The symptoms’ nature and how severe they are depend on the nerves affected by the lump.
Pain Patterns and Headaches
Pain is a common symptom of lumps at the base of the skull. The pain might be just in the lump area or spread to the face, neck, and head, causing headaches. The pain’s type and how strong it is can tell us about the lump’s cause.
Vision and Hearing Changes
Lumps at the base of the skull can also affect vision and hearing. For example, if a lump presses on nearby nerves, it can cause double vision, blurred vision, or even vision loss. Hearing loss or tinnitus (ringing in the ears) can happen if the auditory nerves are affected.
Balance and Coordination Issues
Some lumps at the base of the skull can affect balance and coordination. This is because they can press on the brainstem or cerebellum. People might feel dizzy, have vertigo, or have trouble walking and staying balanced. These symptoms can really affect a person’s life and need quick medical attention.
Symptom Category | Possible Symptoms | Potential Causes |
Neurological Symptoms | Numbness, tingling, weakness, seizures, speech difficulties | Compression or invasion of nerves |
Pain Patterns and Headaches | Localized pain, radiating pain, headaches | Irritation of nerves, inflammation |
Vision and Hearing Changes | Double vision, blurred vision, hearing loss, tinnitus | Compression of optic or auditory nerves |
Balance and Coordination Issues | Dizziness, vertigo, difficulty walking | Affecting brainstem or cerebellum |
It’s important to know the symptoms of lumps at the base of the skull for early treatment. If you or someone you know has these symptoms, seeing a healthcare professional is key. They can give the right diagnosis and treatment.
Diagnosis and Medical Evaluation
To find out what’s causing a lump at the base of the skull, doctors use a detailed process. They combine different methods to figure out the cause and plan the best treatment.
Physical Examination Techniques
First, doctors do a thorough check-up. They look and feel the lump to see its size, how tender it is, and if it moves. This helps them guess what it might be and what tests to do next.
Imaging Studies (CT, MRI, X-rays)
Imaging tests are key to seeing the lump and what’s around it. CT scans show bones, MRI scans look at soft tissues, and X-rays are for a quick peek. These help doctors understand what the lump is, like a cyst or tumor.
Biopsy Procedures
At times, a biopsy is needed to know for sure what the lump is. Doctors might take a small tissue sample with a fine-needle aspiration biopsy or a core needle biopsy. This sample is then checked under a microscope.
Laboratory Tests and Markers
Lab tests are important to study the tissue samples from a biopsy. Blood tests also check for signs of infection, inflammation, or cancer. These tests help doctors confirm the diagnosis and decide on treatment.
Diagnostic Method | Purpose | Information Gained |
Physical Examination | Initial Assessment | Size, tenderness, mobility of the lump |
Imaging Studies (CT, MRI, X-rays) | Visualize Lump and Surroundings | Nature of the lump, involvement of surrounding structures |
Biopsy Procedures | Tissue Sampling | Histopathological diagnosis |
Laboratory Tests | Analyze Tissue and Blood Samples | Markers of disease, confirmation of diagnosis |
Conclusion: When to Seek Medical Attention
Discovering a lump at the base of your skull can be scary. It’s important to know when to get medical help. Early diagnosis and treatment are key to managing these conditions.
Lumps at the base of the skull can have many causes. These range from harmless growths to serious diseases. We’ve looked at the different reasons, including benign growths, injuries, infections, and tumors.
If you find a lump at the base of your skull, watch it closely. See a doctor if it hurts, feels numb, or if swallowing is hard. Tumors, whether benign or cancerous, need quick medical check-ups.
It’s best to see a healthcare professional for a full check-up and diagnosis. They can figure out what’s causing the lump and suggest the right treatment. Getting medical help when needed is important for a good outcome.
FAQ
What are the common causes of a lump at the base of the skull?
Lumps at the base of the skull can be caused by many things. These include benign conditions like cysts and lipomas. Also, inflamed hair follicles, bone spurs, injuries, and infections can cause them. Inflammatory conditions, benign tumors, and even cancer can also lead to lumps.
What are benign tumors that can cause a lump on the skull base?
Benign tumors leading to lumps include meningiomas and acoustic neuromas. Pituitary adenomas, chondromas, and osteomas are also common causes.
What are the symptoms associated with a lump at the base of the skull?
Symptoms of a lump at the base of the skull vary. They can include neurological issues and headaches. Vision or hearing changes, and balance problems are also common.
How is the cause of a lump at the base of the skull diagnosed?
Finding the cause of a lump at the base of the skull is a detailed process. It starts with a physical exam and imaging studies like CT and MRI. Biopsy and lab tests are also used.
What are some serious health issues that can cause a lump at the base of the skull?
Serious health issues leading to lumps include chordomas and chondrosarcomas. Metastatic tumors and primary bone cancers are also concerns.
Can injuries cause a lump at the base of the skull?
Yes, injuries can cause lumps or swelling. This can happen due to hematomas, bruising, or swelling from trauma. It can also occur after surgery or when fractures heal.
Are there any infectious causes of a lump at the base of the skull?
Yes, infections and inflammatory conditions can cause lumps. Examples include abscesses, cellulitis, osteomyelitis, and enlarged lymph nodes.
What is the importance of understanding skull base anatomy?
Knowing the skull base’s anatomy is key. It helps identify abnormal findings that might indicate health problems.
References
- National Health Service (NHS). (2025). What Causes a Lump at the Base of. Retrieved from https://www.nhs.uk/conditions/lipoma/



