
Can lung cancer spread to brain? Learn the symptoms of this metastasis and the common treatment methods.
A diagnosis of lung cancer is very scary. Many worry about it spreading to the brain.
Dealing with advanced disease is tough. Brain metastases are a big problem, hitting up to 40% of non-small cell lung cancer patients.
At Liv Hospital, we offer caring, evidence-based care for those with advanced disease. We aim to improve survival and manage symptoms.
Key Takeaways
- Approximately 14.1% of lung cancer patients develop brain metastases.
- Up to 40% of non-small cell lung cancer patients experience brain spread.
- Understanding symptoms and treatment options is key for patients and families.
- Liv Hospital provides full care for advanced lung cancer patients.
- Modern treatments have boosted survival chances.
Understanding Lung Cancer Metastasis to the Brain

Lung cancer spreading to the brain is a complex process. It involves cancer cells moving from the lung tumor. This is called metastatic lung cancer, not brain cancer.
The Metastatic Process: How Cancer Cells Travel
The metastasis process has several steps. First, cancer cells break away from the lung tumor. Then, they invade nearby blood vessels or lymphatic channels.
Once inside the bloodstream or lymphatic system, cancer cells can travel to distant parts of the body. This includes the brain. The circulatory system helps transport cells throughout the body.
When cancer cells reach the brain, they must adhere to blood vessel lining cells. This involves molecular interactions. After adhering, they can invade brain tissue and proliferate, forming new tumors.
Blood-Brain Barrier Considerations
The blood-brain barrier (BBB) separates the brain from the bloodstream. It maintains the brain’s internal environment. But, it also makes treating brain metastases challenging.
Recent studies show the BBB can be disrupted by brain metastases. This allows some therapies to reach the brain more easily. Understanding these interactions is key to developing better treatments for brain metastases from lung cancer.
Dealing with lung cancer metastasis to the brain is tough. By understanding the metastatic process and the blood-brain barrier, we can develop better strategies to fight this condition.
How Common Is Lung Cancer Gone to Brain?

It’s important to know how often lung cancer spreads to the brain. This knowledge helps doctors plan better treatments and care for patients. Brain metastases from lung cancer can greatly affect a patient’s life and outcome.
About 14.1 percent of lung cancer patients see their cancer spread to the brain. This rate changes based on the type of lung cancer. We’ll look at the numbers for Non-Small Cell Lung Cancer (NSCLC) and Small Cell Lung Cancer (SCLC) to grasp the issue better.
Statistics for Non-Small Cell Lung Cancer (NSCLC)
Most lung cancers are NSCLC. Research shows that up to 40 percent of NSCLC patients will get brain metastases. This risk is higher for those with advanced NSCLC.
Genetic changes, like EGFR or ALK positivity, raise the chance of brain metastases in NSCLC. Around 50% to 60% of people with EGFR- or ALK-positive lung cancer will develop brain metastases. This shows the need for specific treatments.
Statistics for Small Cell Lung Cancer (SCLC)
SCLC is very aggressive and often spreads to the brain. It has the highest risk of brain metastases among lung cancers. This greatly affects a patient’s chances of survival.
Many SCLC patients already have brain metastases when they’re first diagnosed. The high rate of brain involvement in SCLC makes early detection and management critical.
By looking at the numbers for NSCLC and SCLC, we see how complex lung cancer metastasis to the brain is. It shows the need for treatments that are made just for each patient.
Stage 4 Lung Cancer and Brain Metastases
Stage 4 lung cancer that has spread to the brain is a serious condition. It means the cancer has moved beyond the lungs and is now in distant parts of the body, like the brain.
Definition and Classification
Stage 4 lung cancer is when cancer cells from the lungs spread to other organs, including the brain. This makes treatment harder and can change how well a patient does. Brain metastases can be single or multiple, with multiple being more common in advanced lung cancer.
Doctors look at the number, size, and location of brain tumors, and the patient’s overall health. This helps decide the best treatment plan.
Distinguishing Between Single and Multiple Brain Lesions
Telling single from multiple brain lesions is key for treatment and how well a patient will do. Single brain metastases might be treated with surgery or focused radiation, which could help a lot.
But, if there are many brain lesions, treatment gets more complex. It might include whole-brain radiation or systemic therapies. Having many lesions means the disease is likely more aggressive, making treatment planning harder.
Impact on Treatment Planning
Brain metastases in stage 4 lung cancer patients greatly affect treatment planning. Doctors must plan treatments that work for both the brain tumors and the cancer elsewhere in the body.
When planning treatment, doctors consider how many and where the brain metastases are, if there are symptoms, and the patient’s overall health. They might choose surgery, radiation, chemotherapy, targeted therapy, or a mix of these.
Understanding brain metastases in stage 4 lung cancer helps doctors create better treatment plans. This can improve patient outcomes and quality of life.
Risk Factors for Developing Brain Metastases
Brain metastases in lung cancer come from genetic, clinical, and demographic factors. Knowing these factors helps doctors spot high-risk patients. This can lead to better treatment plans.
Genetic Mutations and Biomarkers
Genetic changes and biomarkers are key in brain metastases in lung cancer. For example, EGFR gene mutations increase this risk. ALK gene changes also raise the risk in non-small cell lung cancer (NSCLC).
Studies on mice show lung cancer cells quickly get a blood supply in the brain. This helps them grow and survive.
Clinical and Demographic Factors
Clinical and demographic factors also play a part. Being diagnosed at a later stage, like stage IV, raises the risk. Other factors like having metastases elsewhere and the type of lung cancer also matter.
| Risk Factor | Description | Impact on Brain Metastases Risk |
| Genetic Mutations (e.g., EGFR, ALK) | Specific genetic alterations in lung cancer cells | Increased risk of brain metastases |
| Advanced Stage at Diagnosis | Stage IV lung cancer at the time of diagnosis | Higher likelihood of brain metastases |
| Histological Subtype | Type of lung cancer (e.g., NSCLC, SCLC) | Varies by subtype; SCLC has higher risk |
Age and smoking history also affect risk. Knowing these can help doctors watch patients more closely or take preventive steps.
Understanding these factors helps doctors manage lung cancer better. This can lower the chance of brain metastases.
Symptoms of Lung Cancer That Has Spread to the Brain
Brain metastases from lung cancer can cause many neurological symptoms. These depend on the tumor’s location and size. It’s important to understand and manage these symptoms well.
Headaches and Increased Intracranial Pressure
Headaches are a common symptom of brain metastases. They often come from increased intracranial pressure. As tumors grow, they can make the brain swell, raising pressure in the skull.
This pressure can make headaches worse in the morning. It may also cause nausea and vomiting. Increased intracranial pressure can lead to serious complications like brain herniation, which is life-threatening. So, it’s key to watch headache severity and report any changes to doctors.
Neurological Manifestations
Brain metastases can also cause other neurological symptoms. These include seizures, which can vary in type. Weakness or numbness, trouble with speech or swallowing, and vision changes are common too.
The symptoms depend on where in the brain the tumor is. For example, tumors in the motor cortex can cause weakness or paralysis. Tumors in the occipital lobe can lead to visual problems.
Cognitive and Behavioral Changes
Cognitive and behavioral changes are also important for patients with brain metastases. These can include memory loss and confusion. Patients may also become more irritable, anxious, or depressed.
These changes can be hard for patients and their families. It’s important to address these symptoms with the right care. This includes psychological support and counseling.
When to Seek Immediate Medical Attention
It’s important for patients and caregivers to know when to seek immediate medical help. Symptoms like severe headache, confusion, or seizures need urgent care. Also, any signs of increased intracranial pressure, such as vomiting or altered consciousness, should prompt immediate action.
Knowing these symptoms and their importance can help patients and their families deal with brain metastases from lung cancer better.
Diagnosis of Brain Metastases from Lung Cancer
Diagnosing brain metastases from lung cancer is complex. It uses advanced imaging and lab techniques. A detailed approach is key to understand the spread and impact of the metastases.
Imaging Studies
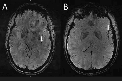
Imaging is vital for diagnosing brain metastases. MRI and CT scans are the main tools. MRI is very good at finding brain metastases, thanks to contrast agents.
CT scans are used in emergencies or when MRI is not available. They are quicker but not as good at spotting small metastases as MRI.
Laboratory Tests and Procedures
Laboratory tests and procedures are also important. A neurological exam checks for brain function and any problems. It can show signs of increased pressure or specific brain issues.
In some cases, a biopsy might be needed to confirm the diagnosis. This is when there’s doubt about the brain lesions or the cancer’s origin. But, biopsies are not always possible or necessary, depending on the situation.
“The diagnosis of brain metastases requires a multidisciplinary approach, integrating imaging findings with clinical presentation and laboratory results to guide treatment decisions.” –
A leading oncologist
Blood tests are also part of the diagnosis. They check overall health and cancer markers. These tests help in planning treatment, even if they can’t diagnose on their own.
Treatment Options for Lung Cancer Brain Metastases
Treating lung cancer brain metastases requires a mix of therapies. We look at many factors. These include the number and location of brain tumors, the patient’s health, and if cancer has spread elsewhere.
Surgical Approaches
Surgery might be an option for patients with a few brain tumors, usually up to three. Neurosurgical resection can help with symptoms and might extend life. We check if surgery is possible based on the tumor’s spot and the patient’s health.
Choosing surgery is a big decision. For some, it can greatly improve their quality of life by managing brain tumors.
Radiation Therapy
Radiation therapy is key in treating brain metastases. Stereotactic radiosurgery (SRS) focuses high doses of radiation on specific spots, protecting the brain. It works best for patients with a few brain tumors.
Whole-brain radiation therapy (WBRT) is used for many brain tumors. It helps control tumors but can cause side effects like tiredness and memory problems.
Systemic Treatments
Chemotherapy and targeted therapy are used for lung cancer that has spread to the brain. The right treatment depends on the tumor’s genetics and the patient’s health.
Targeted therapies are promising for brain metastases, mainly in patients with certain genetic changes. They can slow tumor growth and improve survival chances.
Emerging Treatments and Clinical Trials
New treatments for brain metastases are being researched, like immunotherapy and advanced radiation. Clinical trials offer patients new therapies that might lead to better results.
We suggest talking to your doctor about clinical trials. Joining a trial can mean getting the latest treatments and helping advance cancer care.
Living with Brain Metastases: Supportive Care
Living with brain metastases from lung cancer needs a care plan that covers physical, emotional, and mental health. As the disease gets worse, supportive care becomes key to improve life quality.
Managing Symptoms and Side Effects
Managing symptoms and side effects is vital for brain metastases patients. This includes headaches, seizures, and cognitive changes caused by the tumor or treatment. Medications, therapies, and lifestyle changes help a lot.
Corticosteroids reduce swelling around brain tumors, easing headaches and confusion. Antiepileptic drugs prevent seizures.
Rehabilitation Services
Rehabilitation services are essential for patients to keep or regain their abilities. Physical, occupational, and speech therapy improve independence and life quality. These services meet individual needs, like mobility or communication issues.
Rehab helps recover from brain metastases and treatment effects. It also helps patients adjust to their condition.
Emotional and Psychological Support
The emotional and psychological effects of brain metastases are significant. Patients often feel anxiety, depression, and fear about their future and life changes. Emotional and psychological support is a key part of care.
Support groups, counseling, and therapy give patients a place to share feelings. These resources help them cope, creating a sense of community and understanding.
When treatments fail, doctors might suggest hospice and palliative care. These services aim to ease symptoms and stress of serious illnesses. They aim to improve life quality for patients and their families.
Conclusion: Navigating the Journey Forward
Understanding lung cancer that has spread to the brain is key. It brings unique challenges, like headaches and other symptoms. These symptoms are part of the disease’s impact on the brain.
While the outlook is often tough, new treatments are helping. Knowing how brain tumors from lung cancer work is vital. This knowledge helps create better treatment plans. Options include surgery, radiation, and systemic treatments.
Staying updated on lung cancer and brain metastases treatment is important. This helps patients and families make better choices. We aim to provide top-notch care and support for those affected. Our goal is to help them navigate this journey with care and understanding.
FAQ
What are the symptoms of lung cancer that has spread to the brain?
Symptoms include headaches and seizures. You might also feel weakness or numbness in your face, arm, or leg. Difficulty speaking or swallowing is another sign. Changes in how you think or behave can also happen.
How common is brain metastasis in lung cancer patients?
Brain metastases are common in lung cancer, mainly in advanced cases. The chance of getting them varies. Small cell lung cancer (SCLC) is more likely than non-small cell lung cancer (NSCLC).
What are the risk factors for developing brain metastases from lung cancer?
Certain genetic mutations, like EGFR or ALK, increase the risk. So does having advanced disease at diagnosis. Some demographic factors also play a role. Knowing these can help doctors watch patients more closely.
How is lung cancer metastasis to the brain diagnosed?
Doctors use imaging like MRI or CT scans to diagnose. They might also do lab tests to check the disease’s extent and overall health.
What are the treatment options for lung cancer brain metastases?
Treatments include surgery, radiation therapy, and systemic treatments like chemotherapy. Immunotherapy is also being explored. The best option depends on the number and location of metastases, the patient’s health, and other disease sites.
Can lung cancer brain metastases be treated with surgery?
Surgery might be an option for a few metastases, if they’re causing symptoms. The goal is to improve quality of life and possibly survival.
What is the role of radiation therapy in treating brain metastases from lung cancer?
Radiation therapy, like whole-brain radiation therapy (WBRT) and stereotactic radiosurgery (SRS), is common. It can control symptoms, shrink tumors, and sometimes improve survival.
How can symptoms and side effects be managed in patients with brain metastases?
Managing symptoms and side effects is key to quality of life. This includes medications and supportive care like rehabilitation and emotional support.
What is the prognosis for patients with stage 4 lung cancer and brain metastases?
Prognosis depends on disease extent, health, and treatment response. While brain metastases are a bad sign, some patients can live better with the right treatment.
Are there any emerging treatments or clinical trials for lung cancer brain metastases?
Yes, clinical trials are looking at new treatments like immunotherapy and targeted therapy. These could offer better outcomes and more options for patients.
References
National Center for Biotechnology Information. (2025). Can Lung Cancer Spread to the Brain Symptoms. Retrieved from https://www.ncbi.nlm.nih.gov/pmc/articles/PMC4483041