When a mass shows up on a brain MRI, it can worry you. Brain tumors are one of the possible findings. We’ll look at the different types of brain tumors, their causes, and the worries they bring.

Meningiomas are the most common type of brain tumor and are usually not harmful. When a mass on brain MRI is detected, it often turns out to be a meningioma. Knowing about these tumors is key to figuring out what to do next. We’ll talk about the various brain tumors, their traits, and how they might affect patients.
Key Takeaways
- The most common brain tumor in adults is often benign.
- Tumors can occur in various locations, including on top of the brain.
- Not all brain tumors are malignant; some are benign.
- A significant percentage of brain tumors are non-cancerous.
- Understanding the type and nature of a brain tumor is key for treatment.
Understanding Brain Tumors: An Overview
A brain tumor is an abnormal growth of cells in the brain. It can be benign or malignant. This includes many types of tumors, each with its own health impact.
What Defines a Brain Tumor
Brain tumors are sorted by their cell origin, growth rate, and other factors. The World Health Organization (WHO) system helps classify them. This guides treatment and predicts outcomes. The Central Brain Tumor Registry of the United States lists many types, each with its own severity.
Benign vs. Malignant Brain Tumors
It’s key to know the difference between benign and malignant tumors. Benign tumors grow slowly and don’t spread. But, they can cause problems because of where they are and how big they get. Malignant tumors, or cancer, grow fast and spread, making them harder to treat.

Statistics: What Percentage of Brain Tumors Are Cancerous
Most brain tumors in adults are not cancerous, says the CBTRUS. About 29“38% are malignant. Here are the stats on brain tumor types:
| Tumor Type | Percentage | Nature |
| Meningioma | 37.6% | Mostly Benign |
| Glioblastoma | 14.9% | Malignant |
| Pituitary Tumors | 13.1% | Mostly Benign |
Knowing these numbers helps patients and doctors understand brain tumors better. It aids in planning treatment.
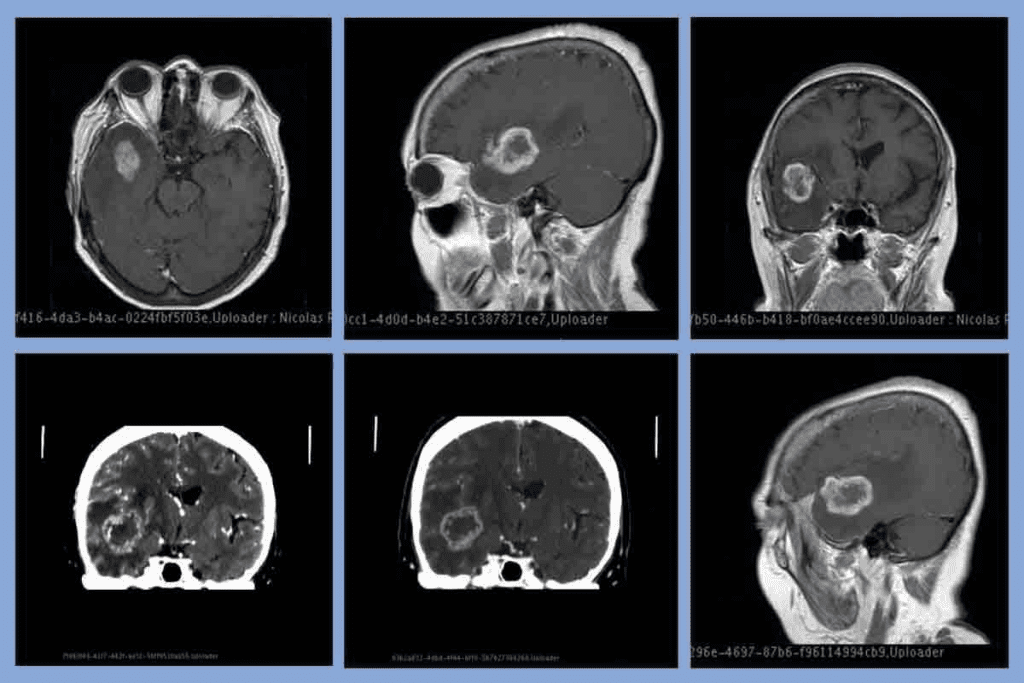
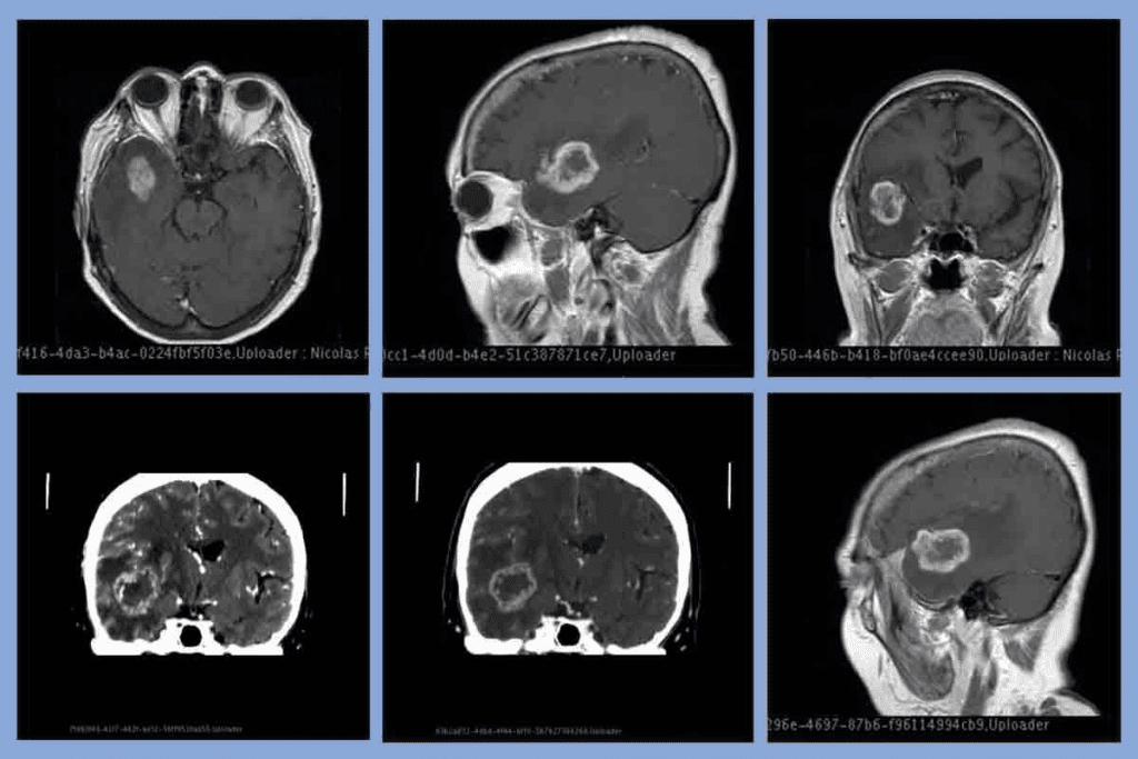
Interpreting a Mass on Brain MRI: What It Means
When a mass shows up on a brain MRI, it’s important to know what it means. It could be a sign of different things, like tumors. Where and how the mass looks is key to figuring out what it is.
Common MRI Findings: Shadows, Knots, and Lumps
Brain MRI scans can spot many kinds of problems, like shadows, knots, or lumps. These can mean anything from harmless cysts to serious tumors. For example, a knot in the brain might be a tumor or another kind of growth.
Not every shadow or lump is cancer. But, any unusual finding needs to be checked out to find out why it’s there.

When to Be Concerned About MRI Results
Seeing a mass on an MRI can worry people. How worried you should be depends on the mass’s size, where it is, and what it looks like. For instance, a tumor on top of the brain or a lump on the forehead might mean different things, depending on if it’s bad or not.
The Diagnostic Process After Finding a Mass
When a mass is found on a brain MRI, doctors start a detailed check-up. They might use more tests, like PET scans or special MRI scans, to learn more. Sometimes, they need to take a sample of the mass to see if it’s cancer.
| Diagnostic Step | Purpose |
| Additional Imaging Tests | To gather more detailed information about the mass |
| Biopsy | To determine if the mass is cancerous |
| Clinical Evaluation | To assess the patient’s overall health and symptoms |
Characteristics and Location (Often on Top of Brain)
The details and where a brain mass is located are very important. A mass on top of the brain or near important parts can be serious. It might affect how the brain works or cause symptoms because of where it is.
Knowing these things helps doctors plan the best treatment. They aim to treat the mass well while keeping the patient safe.
Gliomas and Glioblastomas: Most Common Malignant Brain Tumors in Adults
Gliomas and glioblastomas are the most common brain tumors in adults. They start from the brain’s glial cells, which protect neurons. Knowing about gliomas and glioblastoma helps in finding better treatments.
Types of Gliomas
Gliomas are divided into types based on the cells they affect. The main types are astrocytomas, oligodendrogliomas, and ependymomas. Astrocytomas are the most common and vary in severity. Oligodendrogliomas are less common but often have a better outlook. Ependymomas start from cells in the brain’s ventricles and spinal cord.
Each glioma type needs a specific treatment plan. Low-grade gliomas might just need regular MRI scans. But high-grade gliomas often need surgery, radiation, and chemotherapy right away.
Glioblastoma: Aggressive Growth and Characteristics
Glioblastoma, or glioblastoma multiforme (GBM), is the most aggressive glioma. It makes up about 14-16% of brain tumors and up to 78% of malignant ones. It grows fast and spreads into the brain, making surgery hard.
Diagnosing glioblastoma usually means a short survival time, about 15 months. But survival can vary based on age, health, and how much of the tumor is removed.
Treatment Challenges and Survival Rates
Treating glioblastoma is tough because of its aggressive nature and the blood-brain barrier. Current treatments include surgery, radiation, and chemotherapy with temozolomide.
Even with these treatments, glioblastoma often comes back. Researchers are looking into new treatments like immunotherapy and targeted therapy. For more on this, visit the National Cancer Institute’s page on rare brain and spine tumors.
Current Research and Emerging Therapies
Research aims to understand glioblastoma’s molecular causes and find better treatments. New treatments include special drugs, vaccines, and viruses that attack tumors. Clinical trials are testing these new methods.
The future of glioblastoma treatment is in personalized medicine. This means treatments will be based on each patient’s tumor genetics. Advances in genetics and biomarkers are helping make treatments more effective.
Pituitary Adenomas: Common Intracranial Tumors
Pituitary adenomas are common tumors in the brain. They affect hormone balance. These tumors grow in the pituitary gland, a small gland at the brain’s base. It controls many body functions through hormones.
Function and Impact on Hormonal Balance
The pituitary gland is called the “master gland.” It controls many other glands. Pituitary adenomas can disrupt this balance by changing hormone levels. This can cause various symptoms and health problems.
Types of Pituitary Adenomas and Their Effects:
- Prolactinomas: Cause too much prolactin, leading to infertility and irregular periods.
- Growth Hormone-Secreting Adenomas: Cause too much growth, making hands, feet, and face grow too big.
- ACTH-Secreting Adenomas: Cause Cushing’s disease, leading to weight gain, high blood pressure, and other problems.
Symptoms and Diagnostic Challenges
Finding pituitary adenomas can be hard because their symptoms are similar to other conditions. Symptoms include headaches, vision problems, and hormonal imbalances. Doctors use MRI and hormone tests to diagnose.
Treatment Options and Outcomes
Treatment for pituitary adenomas varies based on the tumor’s type, size, and symptoms. Treatments include medicine, surgery, and radiation. The goal is to fix hormone levels, ease symptoms, and stop the tumor from growing.
| Treatment Option | Description | Outcomes |
| Medication | Helps manage hormone levels and shrink the tumor. | Works well in controlling symptoms and hormone levels. |
| Surgery | Removes the tumor. | Can cure or shrink the tumor a lot. |
| Radiation Therapy | Used for tumors that can’t be fully removed. | Helps stop the tumor from growing. |
Understanding pituitary adenomas is key to good treatment. Knowing symptoms and challenges helps doctors give better care. This improves patient outcomes.
Acoustic Neuromas and Craniopharyngiomas
Acoustic neuromas and craniopharyngiomas are two different brain tumors. Acoustic neuromas grow on the nerves for balance and hearing. Craniopharyngiomas are rare and usually benign, happening near the pituitary gland.
Characteristics and Effects of Craniopharyngiomas
Craniopharyngiomas can mess with hormone levels because they’re close to the pituitary gland. They might cause headaches, vision problems, and hormone issues. Because they’re near important brain parts, diagnosing and treating them is tough.
“Dealing with craniopharyngiomas needs a team effort,” say top neurosurgeons. They consider the tumor’s size, where it is, and the patient’s health.
Treatment Approaches for Both Tumor Types
Treatment for acoustic neuromas and craniopharyngiomas depends on several things. For acoustic neuromas, treatments include watching the tumor, surgery, or radiation. The right treatment depends on the patient’s hearing and overall health.
Craniopharyngiomas are often treated with surgery and radiation. The aim is to take out as much tumor as possible without harming nearby brain areas.
- Surgery is usually the main treatment for both.
- Radiation therapy is used for tumors that come back or are left behind.
- Watching the tumor is an option for small, harmless ones.
Getting a brain tumor diagnosis can feel scary. But, thanks to new medical tech and treatments, people with these tumors can live better lives.
Medulloblastomas and Ependymomas
Understanding medulloblastomas and ependymomas is key to finding effective treatments. These brain tumors have unique traits and need different management strategies.
Most Common in Children
Medulloblastomas are the top malignant brain tumors in kids. They start in the cerebellum, which controls balance and coordination. Symptoms include balance issues, headaches, and vomiting due to brain pressure. Doctors use MRI and CT scans, along with tissue tests, to diagnose.
Treatment for medulloblastomas combines surgery, chemotherapy, and radiation. The goal is to remove the tumor while keeping brain function. The outcome depends on the child’s age, how much of the tumor is removed, and if it has spread.
Development and Progression
Ependymomas come from cells lining the brain and spinal cord’s central canal. They affect both kids and adults, with different outcomes. They can be benign or malignant, causing symptoms like seizures and weakness. Brain ependymomas might lead to seizures and headaches, while spinal ones cause pain and numbness.
The growth of ependymomas is influenced by genetics and molecular factors. Recent studies have found specific molecular subgroups that help predict how the tumor will behave and respond to treatment. Knowing these factors helps tailor treatments to each patient.
Treatment Strategies and Age-Related Considerations
Treatment for medulloblastomas and ependymomas depends on several factors. This includes the patient’s age, tumor location and grade, and how much of the tumor is removed. Younger children often get treatments that avoid radiation to prevent brain damage. Older kids and adults might get more aggressive treatments, like higher doses of radiation and chemotherapy.
Age is a big factor in choosing the right treatment. Infants and very young children with these tumors need special care to avoid long-term brain and developmental problems. Treatment plans are adjusted based on the patient’s age and health.
Brain Tumor Size and Location: Understanding the Implications
Knowing about brain tumor size and location is key for good treatment planning. The size and where a tumor is in the brain affect treatment choices and how well a patient does.
Size Classification: What 1.5cm, 3cm, and 4cm Tumors Mean
Brain tumors are sized in centimeters or millimeters. Their size greatly influences treatment options. For example, a 1.5 cm tumor in brain is small, while a 4cm brain tumor is bigger and might need stronger treatment. Knowing the size helps doctors understand how serious the tumor is.
A 3cm tumor in brain is medium-sized. It might need surgery, radiation, and chemotherapy, based on its spot and type. The tumor’s size helps guess how well treatment will work and if it might come back.
Critical Locations: Tumors on Top of Brain vs. Deep Structures
The spot of a brain tumor matters a lot, just like its size. Tumors on the brain’s surface are easier to remove than those deep inside. Tumors near important brain areas are harder to treat.
Tumors deep in the brain are tough to treat because they’re close to important parts. Where a tumor is affects treatment choices and the risks of surgery or radiation.
How Size and Location Affect Treatment Options
The size and spot of a brain tumor decide the best treatment. Big tumors or those in key spots might need a complex plan, including surgery, radiation, and chemotherapy.
Smaller tumors, like a 1.5 cm tumor in brain, might get less invasive treatment, like watching it or treating it locally. But a 4cm brain tumor might need a stronger, multi-step treatment.
Monitoring Growth: When to Take Action
Watching how a brain tumor grows is very important, even for small ones. Imaging tests help doctors see if the tumor is getting bigger and when to act.
Understanding brain tumor size and location helps patients and doctors make smart treatment choices. By looking at size, location, and how they affect treatment, we can create plans that fit each person’s needs.
Conclusion: Navigating a Brain Tumor Diagnosis
Getting a brain tumor diagnosis is tough for those affected and their families. It’s key to know the tumor’s type, cause, and what it means. This helps figure out the best treatment plan.
There are many types of brain tumors, from harmless to dangerous. Each needs a different approach to treatment. Understanding this is vital for moving forward.
Dealing with a brain tumor diagnosis means knowing a lot about it. For more details on brain tumors, check out the American Association of Neurological Surgeons website. Being well-informed and getting the right care can help make treatment choices easier. This can also lead to better results.
FAQ
What is the most common type of brain tumor?
The most common brain tumor type changes with age and other factors. In adults, gliomas and glioblastomas are common malignant tumors.
Are most brain tumors benign?
No, whether a brain tumor is benign or malignant depends on several factors. Some, like pituitary adenomas, are usually benign. Others, like glioblastomas, are malignant.
What percentage of brain tumors are cancerous?
Many brain tumors are cancerous, but the exact percentage varies. Glioblastomas are a significant example of malignant tumors.
What does a shadow on the brain mean on an MRI?
A brain shadow on an MRI can mean different things. It could be a tumor, cyst, or other issue. More tests are needed to find out.
What is the implication of a 1.5cm, 3cm, or 4cm tumor in the brain?
The size of a brain tumor is very important. Larger tumors are harder to treat and may have a worse outcome.
How does the location of a brain tumor, such as on top of the brain, affect treatment?
Where a brain tumor is located greatly affects treatment. Tumors in certain spots, like the pituitary gland, need special approaches.
What are the treatment options for pituitary adenomas?
Pituitary adenomas can be treated with surgery, medication, or radiation. The choice depends on the tumor and symptoms.
What is the difference between gliomas and glioblastomas?
Gliomas come from brain glial cells. Glioblastomas are a fast-growing, aggressive type of glioma.
How are acoustic neuromas and craniopharyngiomas treated?
Acoustic neuromas and craniopharyngiomas are treated with surgery, radiation, or watching them closely. The choice depends on the tumor and symptoms.
What are the characteristics of medulloblastomas and ependymomas?
Medulloblastomas are common in kids. Ependymomas can happen in kids and adults. Each has its own growth and behavior.
References
- The Brain Tumour Charity. (2025, March 26). Adult brain tumour types. https://www.thebraintumourcharity.org/brain-tumour-diagnosis-treatment/types-of-brain-tumour-adult/
- American Association of Neurological Surgeons. (2024, June 24). Brain tumors. https://www.aans.org/patients/conditions-treatments/brain-tumors/
- National Library of Medicine. (2023, December 30). Brain tumor – primary – adults. https://medlineplus.gov/ency/article/007222.htm
- Mayo Clinic. (2024, December 18). Brain tumor: Symptoms and causes. https://www.mayoclinic.org/diseases-conditions/brain-tumor/symptoms-causes/syc-20350084
- Cancer Research UK. (2025, May 7). Types of brain tumours. https://www.cancerresearchuk.org/about-cancer/brain-tumours/types