
When cancer reaches the brain, it’s a serious issue known as metastatic intracranial disease. It changes how we treat patients. Sadly, about 20-40 percent of all cancer patients will get brain metastases at some point. How fast do metastatic intracranial tumors spread? Learn about the prognosis and modern treatment options for these secondary brain tumors.
Brain metastases are the most common intracranial tumor in adults. Every year, 98,000 to 170,000 cases are found in the United States. It’s important to understand how these aggressive tumors spread and to find good treatment options.
Key Takeaways
- Brain metastases occur in 20-40% of all cancer patients.
- Approximately 98,000 to 170,000 brain metastases cases are diagnosed annually in the U.S.
- Understanding the spread and treatment of brain metastases is important.
- Comprehensive treatment options are being explored to improve patient outcomes.
- Brain metastases are the most common type of brain tumor in adults.
Understanding Metastatic Brain Tumors

Metastatic brain tumors are a serious condition. They happen when cancer cells from other parts of the body reach the brain. These tumors are always cancerous and are different from primary brain tumors, which start in the brain.
Definition and Prevalence
Metastatic brain cancer, or secondary malignant neoplasm of the brain, occurs when cancer cells spread to the brain. Studies show that 20-40 percent of patients with primary cancer will get brain metastases. This shows how important it is to understand and treat metastatic brain tumors.
The chance of getting brain metastasis varies with the type of cancer. For example, lung, breast, and melanoma cancers are more likely to spread to the brain than others.
How They Differ from Primary Brain Tumors
Primary brain tumors start in the brain. Metastatic brain tumors come from cancer cells that have traveled from other parts of the body. Knowing this is key to choosing the right treatment.
The table below highlights the main differences between primary and metastatic brain tumors:
Characteristics | Primary Brain Tumors | Metastatic Brain Tumors |
Origin | Originate in the brain | Originate from other parts of the body |
Nature | Can be benign or malignant | Always malignant |
Treatment Approach | Typically treated with surgery, radiation, or a combination of both | Treatment often involves a combination of surgery, radiation, and systemic therapy |
Knowing these differences is key to creating effective treatment plans and better patient outcomes.
The Process of Brain Metastasis

The process of brain metastasis is complex. It involves cancer cells and the central nervous system. Cancer cells must travel through the bloodstream and cross the blood-brain barrier to form new tumors in the brain.
How Cancer Cells Travel to the Brain
Cancer cells usually reach the brain through the bloodstream. This starts when cells break away from the main tumor and enter nearby blood vessels. In the blood, they must survive and stick to the brain’s blood vessel walls.
Several factors affect how cancer cells get to the brain. These include:
- The type and aggressiveness of the primary cancer
- The presence of specific molecular markers that facilitate brain metastasis
- The interaction between cancer cells and the brain microenvironment
Breaking Through the Blood-Brain Barrier
The blood-brain barrier keeps the brain safe from harmful substances. Cancer cells must get past this barrier to reach the brain. They can do this by changing the barrier’s function, working with immune cells, or directly invading the blood vessel walls.
After crossing the blood-brain barrier, cancer cells can grow into metastasized brain tumors. How fast this happens depends on the cancer type, genetic factors, and the patient’s health.
Understanding brain metastasis is key to finding better treatments. By studying how cancer cells interact with the brain, we can improve care for those with metastatic brain tumors.
Common Primary Cancers That Lead to Metastatic Intracranial Tumors
Some cancers are more likely to spread to the brain, causing metastatic intracranial tumors. Knowing these primary cancers is key to diagnosing and treating brain metastases well.
Lung Cancer
Lung cancer is known for spreading to the brain quickly. About half of lung cancer patients get brain metastases. This is because lung cancer is aggressive and spreads early.
“Lung cancer is the leading cause of brain metastases, with a significant impact on patient prognosis and quality of life.”
Breast Cancer
Breast cancer also often leads to brain metastases, mainly in advanced cases. Certain types, like HER2-positive and triple-negative, are more likely to spread to the brain. Early detection and new treatments have helped, but brain metastases are a big challenge.
Melanoma
Melanoma, a skin cancer, tends to spread to the brain a lot. Patients with melanoma are at high risk of brain metastases, which can happen early. New treatments like immunotherapy and targeted therapy have helped manage melanoma brain metastases better.
Melanoma brain metastases often cause severe symptoms. This means patients need quick diagnosis and treatment.
Colorectal Cancer
Colorectal cancer can also spread to the brain, though less often than lung or breast cancer. When it does, it’s a sign of a poor prognosis. New treatments have improved survival, making brain metastases more common in practice.
In summary, lung cancer, breast cancer, melanoma, and colorectal cancer are the main cancers linked to brain metastases. Knowing how these cancers spread is vital for effective treatment.
Factors Affecting the Speed of Brain Metastasis
Brain metastasis progression is influenced by many factors. Knowing these factors helps predict the disease’s course and find the best treatments.
Primary Cancer Type
The type of primary cancer greatly affects how fast brain metastasis spreads. Different cancers spread to the brain at different rates. For example:
- Lung cancer: It often spreads to the brain quickly.
- Breast cancer: Some types, like HER2-positive and triple-negative, are more likely to spread to the brain.
- Melanoma: This skin cancer tends to spread to the brain aggressively.
These differences show why knowing the primary cancer type is key when assessing metastasis risk and speed.
Genetic and Molecular Factors
Genetic and molecular traits of the primary tumor and brain metastasis greatly influence metastasis speed. For instance:
- Mutations: Certain genetic mutations help cancer cells spread more easily.
- Molecular subtypes: The molecular subtype of the primary cancer can impact aggressiveness and metastatic ability.
Grasping these genetic and molecular factors helps tailor treatments to each patient’s needs.
Patient-Specific Variables
Patient-specific factors, like overall health, age, and other medical conditions, also impact metastasis speed. For example:
- Age: Older patients might experience faster progression due to weaker immune systems and other health issues.
- Performance status: Patients with better performance status tend to have slower disease progression and better outcomes.
Considering these factors is vital for creating a complete treatment plan.
By understanding the interplay of primary cancer type, genetic and molecular factors, and patient-specific variables, we can better predict metastasis speed. This helps tailor our treatment strategies.
Timeline of Metastatic Brain Tumor Development
The development of metastatic brain tumors is complex. It’s shaped by genetics, molecular factors, and the environment. Knowing this timeline is key to managing and treating metastatic brain cancer effectively.
Early Stage Metastasis
At the start, cancer cells spread from the original site to the brain. This can happen through the blood or by direct invasion. Finding metastatic brain tumors early is hard because they don’t always show symptoms.
Some cancers, like lung and breast, are more likely to spread to the brain. Their genetic and molecular traits affect how likely they are to metastasize.
Progressive Growth Patterns
When cancer cells reach the brain, they can grow in different ways. Some grow fast, while others stay small for a long time. The growth patterns depend on the tumor’s genetics, the brain’s environment, and the patient’s health.
Research shows that how fast brain tumors grow can differ a lot. For example, melanoma grows faster than breast cancer in the brain.
Variability Between Cancer Types
The time it takes for brain tumors to develop varies by cancer type. Lung cancer often spreads to the brain early, while breast cancer may take longer. Knowing these differences helps doctors create better treatment plans for each patient.
Primary Cancer Type | Typical Time to Brain Metastasis | Growth Rate of Brain Metastases |
Lung Cancer | Often within 1-2 years of diagnosis | Variable, can be rapid |
Breast Cancer | Can occur 2-5 years or more after initial diagnosis | Generally slower than lung cancer |
Melanoma | Can metastasize early, sometimes within months | Often aggressive and rapid |
Understanding how metastatic brain tumors develop helps doctors create better treatment plans. These plans are tailored to each patient’s needs.
Signs and Symptoms of Metastatic Brain Tumors
It’s important to know the signs of metastatic brain tumors early. These tumors can cause many symptoms. They vary based on the tumor’s size, location, and how many there are.
Neurological Symptoms
People with metastatic brain tumors often have neurological symptoms. These include headaches, seizures, and speech difficulties. Headaches happen because the tumor puts pressure on the brain.
Seizures can occur when the tumor irritates the brain. Speech problems, like slurred words, can also happen.
Numbness or tingling in different parts of the body is another symptom. This happens when the tumor affects the brain’s sensory areas.
Cognitive Changes
Cognitive changes are a big part of metastatic brain tumors. Patients might have memory loss, confusion, and trouble concentrating. These symptoms can make daily life hard.
The tumor’s size and location affect how much these symptoms happen. Personality changes can also occur, affecting mood and behavior. It’s key for family and caregivers to notice these changes to offer the right support.
When to Seek Medical Attention
If you or a loved one shows symptoms, get medical help fast. Early treatment can improve life quality and possibly extend life.
If you have sudden or severe symptoms, like a seizure, call your doctor right away. For less urgent symptoms, make an appointment to figure out what’s wrong and how to fix it.
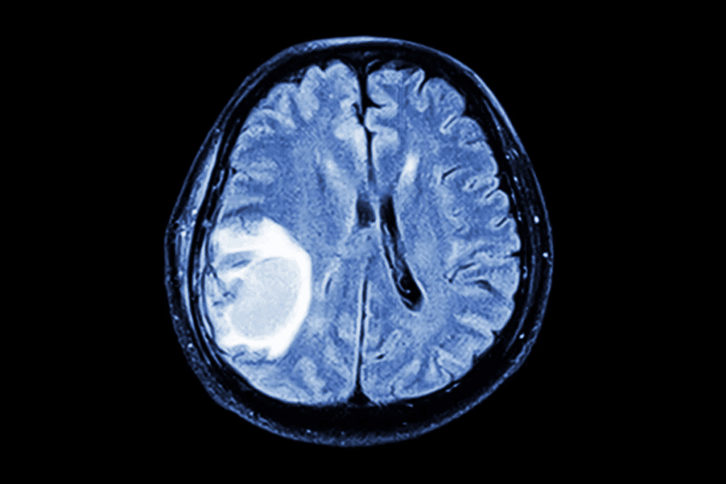
Diagnostic Approaches for Metastatic Brain Tumors
Diagnosing metastatic brain tumors requires imaging, biopsies, and molecular tests. Getting the diagnosis right is key for good treatment plans.
Imaging Techniques
Imaging is vital for spotting metastatic brain tumors. The main tools used are:
- Magnetic Resonance Imaging (MRI): MRI is top-notch for finding brain metastases, thanks to contrast agents like gadolinium.
- Computed Tomography (CT) scans: CT scans are faster and easier to get than MRI but miss smaller metastases.
- Positron Emission Tomography (PET): PET scans, paired with CT or MRI, offer metabolic insights into tumors.
Biopsy Procedures
At times, a biopsy is needed to confirm a brain metastasis or find the cancer’s source.
- Stereotactic Biopsy: This is a small, precise procedure that uses a frame to guide the needle.
- Open Biopsy: This method involves opening the skull to get a tissue sample.
Molecular Testing
Molecular tests are key in diagnosing and treating brain metastases. They help find genetic mutations or biomarkers that guide treatment.
- Next-Generation Sequencing (NGS): NGS quickly checks many genes for mutations that therapies can target.
- Liquid Biopsy: This test analyzes tumor DNA in blood or cerebrospinal fluid, showing the tumor’s genetic profile.
By using these methods together, we can accurately diagnose metastatic brain tumors. This helps us create treatment plans that meet each patient’s unique needs.
Surgical Treatment Options
For many patients, surgery is a good way to manage brain metastases. It can help relieve symptoms and improve life quality.
Craniotomy
A craniotomy is a surgery where part of the skull is removed to reach the brain. It’s used for big tumors or those pressing on the brain.
Benefits of Craniotomy:
- Good for removing big or pressing tumors
- Can quickly ease pressure symptoms
- Direct access to the tumor
Minimally Invasive Approaches
Less invasive surgeries, like stereotactic surgery, are gaining popularity. They use smaller cuts and disturb less brain tissue.
Advantages of Minimally Invasive Surgery:
- Lower risk of complications
- Less pain after surgery
- Shorter recovery time
Patient Selection Criteria
Not every patient is right for surgery. Doctors look at how many and where the tumors are, the patient’s health, and the cancer type.
Criteria | Description |
Number of Metastases | Single or few metastases |
Location of Metastases | Easy to reach with low risk to brain |
Primary Cancer Type | Cancers that surgery works well on |
Recovery and Outcomes
Recovery from brain metastasis surgery varies. Patients usually stay in the hospital for days to a week. Then, they need rehab.
Outcomes:
- Improved symptom control
- Potential for longer life
- Better quality of life
Radiation Therapy for Brain Metastases
Radiation therapy is a key treatment for brain metastases. It has changed a lot over time. It helps control tumors, ease symptoms, and improve life quality for patients.
Whole Brain Radiation Therapy
Whole Brain Radiation Therapy (WBRT) treats the whole brain. It’s good for many brain metastases or widespread cancer. WBRT can shrink tumors and ease symptoms, but it may cause side effects like fatigue and hair loss.
Stereotactic Radiosurgery
Stereotactic Radiosurgery (SRS) targets specific brain areas with high doses of radiation. SRS works well for a few small tumors. It’s precise, which means less harm to healthy brain tissue.
Proton Therapy
Proton therapy uses protons to kill cancer cells. It’s even more precise than SRS. Proton therapy can lower side effect risks and is great for tumors near important brain areas.
Managing Side Effects
It’s important to manage radiation therapy side effects. These can include fatigue, hair loss, and brain changes. We help patients with supportive care, like medication and physical therapy. This way, patients can handle their treatment better.
Systemic and Targeted Therapies
Systemic and targeted therapies are key in fighting metastatic brain tumors. They give patients more options than surgery and radiation. This brings hope for better results in treating brain metastases.
Chemotherapy Options
Chemotherapy is a mainstay in cancer treatment, including metastatic brain tumors. The right chemotherapy depends on the cancer type and its molecular makeup.
- Traditional Chemotherapy: Drugs like temozolomide work well against brain metastases, mainly from melanoma and lung cancer.
- Combination Therapies: Mixing chemotherapy with other treatments, like radiation, can make it more effective.
Targeted Molecular Therapies
Targeted therapies aim at specific cancer-causing molecules. They show great promise in treating brain metastases.
- Tyrosine Kinase Inhibitors (TKIs): Drugs like osimertinib for EGFR-mutant lung cancer have shown strong activity against brain metastases.
- HER2-Targeted Therapies: For HER2-positive breast cancer, treatments like trastuzumab have led to better results.
Immunotherapy Approaches
Immunotherapy uses the body’s immune system to fight cancer. It’s a vital treatment for many cancers, including those with brain metastases.
- Checkpoint Inhibitors: Drugs like pembrolizumab and nivolumab are effective against brain metastases, mainly in melanoma and lung cancer.
- CAR-T Cell Therapy: This innovative therapy genetically modifies T cells to attack cancer cells. It shows promise in various cancers.
Emerging Treatments
New treatments for metastatic brain tumors are being researched. These include new targeted therapies and immunotherapies.
- PARP Inhibitors: For cancers with BRCA mutations, PARP inhibitors like olaparib are being studied for treating brain metastases.
- Nano-particle Therapies: Researchers are looking into nanoparticles to deliver drugs directly to brain tumors. This could improve treatment and reduce side effects.
We’re seeing big steps forward in treating metastatic brain tumors with systemic and targeted therapies. These treatments offer new hope and better outcomes for patients. As research keeps going, we’ll see even more innovative treatments come along.
Prognosis and Quality of Life Considerations
It’s important for patients and caregivers to know about the prognosis and quality of life with metastatic brain tumors. The outlook depends on several things. These include the type of cancer, the number and location of brain tumors, and the patient’s health.
Survival Rates by Cancer Type
Survival rates for metastatic brain tumors differ based on the cancer type. For example, lung cancer patients might have different survival rates than those with breast cancer or melanoma.
Primary Cancer Type | Median Survival | 1-Year Survival Rate |
Lung Cancer | 4-6 months | 20-40% |
Breast Cancer | 6-12 months | 30-60% |
Melanoma | 3-6 months | 15-30% |
Prognostic Factors
Several factors affect the outcome for patients with metastatic brain tumors. These include the number and size of brain metastases, the control of the primary cancer, and the patient’s performance status. Knowing these factors helps tailor treatment plans to each patient’s needs.
Maintaining Quality of Life During Treatment
Keeping quality of life high is key for patients with metastatic brain tumors. This means managing symptoms, reducing treatment side effects, and supporting physical and emotional needs. Supportive care like pain management, nutritional support, and counseling is vital for quality of life.
Supportive and Palliative Care
Supportive and palliative care are critical for patients with metastatic brain tumors. These services aim to ease symptoms and stress, improving life quality for patients and their families. Palliative care is not just for end-of-life care but can be given alongside treatments.
Understanding prognosis and quality of life helps patients and caregivers make informed care decisions. This ensures they get the right support during their treatment journey.
Conclusion
It’s important to know about metastatic intracranial tumors and how to treat them. Brain metastasis happens when cancer cells spread to the brain. This makes finding and treating the cancer very complex.
We’ve looked at how brain metastasis works. It often starts with cancers like lung, breast, and melanoma. The speed at which it spreads depends on the cancer type, genetics, and other factors.
Diagnosing brain metastasis involves imaging and molecular tests. Treatment choices include surgery, radiation, and targeted therapies. Each option is chosen based on the patient’s needs.
Healthcare teams can make better treatment plans by understanding brain metastasis. This knowledge helps improve patient outcomes and quality of life. As research grows, we’ll see new ways to manage these tumors.
FAQ
What are metastatic brain tumors?
Metastatic brain tumors are cancer that has spread to the brain. They come from other parts of the body. This is different from primary brain tumors, which start in the brain.
How common are metastatic brain tumors?
Metastatic brain tumors are very common in adults. They often come from lung, breast, melanoma, and colorectal cancers.
How do cancer cells travel to the brain?
Cancer cells can reach the brain through the bloodstream or lymphatic system. Some cancers are more likely to spread to the brain.
What is the blood-brain barrier, and how do cancer cells break through it?
The blood-brain barrier protects the brain. It filters what enters. Cancer cells can get past it by using special mechanisms.
What are the common primary cancers that lead to metastatic brain tumors?
Lung, breast, melanoma, and colorectal cancers often spread to the brain. Each has its own characteristics and how often it happens.
How fast do metastatic brain tumors spread?
How fast they spread depends on the cancer type, genetics, and other factors. Each case is different.
What are the signs and symptoms of metastatic brain tumors?
Symptoms include neurological problems and changes in thinking. These signs mean you should see a doctor to find out why.
How are metastatic brain tumors diagnosed?
Doctors use MRI and biopsies to find cancer cells. They also do molecular tests to learn more about the tumor.
What are the treatment options for metastatic brain tumors?
Treatments include surgery, radiation, and medicines. The right choice depends on the tumor and the patient’s health.
What is the prognosis for patients with metastatic brain tumors?
The outlook depends on the cancer type, where the tumors are, and the patient’s health. Survival rates vary a lot.
How can quality of life be maintained during treatment for metastatic brain tumors?
Keeping quality of life means good treatment, supportive care, and managing symptoms. This improves how patients feel.
What is the role of supportive and palliative care in managing metastatic brain tumors?
Supportive and palliative care help with symptoms and side effects. They also offer emotional support, improving care overall.
Are there emerging treatments for metastatic brain tumors?
Yes, new treatments like immunotherapy and targeted therapies are being researched. They offer hope for patients.
Can brain tumors metastasize to other parts of the body?
While primary brain tumors rarely spread, metastatic brain tumors come from cancers elsewhere. They can spread to other areas.
What is secondary malignant neoplasm of the brain?
Secondary malignant neoplasm of the brain means cancer that has spread to the brain from another place. It’s another term for metastatic brain tumors.
References
National Center for Biotechnology Information. (2025). How Fast Do Metastatic Brain Tumors Spread and. Retrieved from https://pmc.ncbi.nlm.nih.gov/articles/PMC7533080/