Written by
Şevval T
Şevval T Liv Hospital Content Team
Medically reviewed by

Related Doctors

Assoc. Prof. MD. Muhammet Ali Varkal Liv Hospital Ulus Assoc. Prof. MD. Muhammet Ali Varkal Pediatrics Spec. MD. Gizem Güvener Liv Hospital Ulus Spec. MD. Gizem Güvener Pediatrics Spec. MD. Osman Karlı Liv Hospital Ulus Spec. MD. Osman Karlı Pediatrics Spec. MD. Tamer Ünver Liv Hospital Ulus Spec. MD. Tamer Ünver Neonatal Intensive Care Unit (NICU) Assoc. Prof. MD. Adem Dursun Liv Hospital Vadistanbul Assoc. Prof. MD. Adem Dursun Pediatrics Psyc. Selenay Yücel Keleş Liv Hospital Vadistanbul Psyc. Selenay Yücel Keleş Pediatric Psychology Spec. MD.  Fatih Aydın Liv Hospital Vadistanbul Spec. MD. Fatih Aydın Pediatrics Spec. MD. Dicle Çelik Liv Hospital Vadistanbul Spec. MD. Dicle Çelik Pediatrics Spec. MD. Elif Erdem Özcan Liv Hospital Vadistanbul Spec. MD. Elif Erdem Özcan Pediatrics Spec. MD. Hilal Kızıldağ Liv Hospital Vadistanbul Spec. MD. Hilal Kızıldağ Pediatrics Spec. MD. Mehmet Kılıç Liv Hospital Vadistanbul Spec. MD. Mehmet Kılıç Pediatrics Spec. MD. Ozan Uzunhan Liv Hospital Vadistanbul Spec. MD. Ozan Uzunhan Neonatology Spec. MD. Selami Bayrakdar Liv Hospital Vadistanbul Spec. MD. Selami Bayrakdar Pediatrics Spec. MD. Semra Akkuş Akman Liv Hospital Vadistanbul Spec. MD. Semra Akkuş Akman Pediatrics Asst. Prof. MD. Doruk Gül Liv Hospital Bahçeşehir Asst. Prof. MD. Doruk Gül Pediatric Health and Diseases Prof. MD. Murat Sütçü Liv Hospital Bahçeşehir Prof. MD. Murat Sütçü Pediatric Health and Diseases Prof. MD. Nihat Demir Liv Hospital Bahçeşehir Prof. MD. Nihat Demir Pediatrics Psyc. (Psychologist) Buse Yağmur Liv Hospital Bahçeşehir Psyc. (Psychologist) Buse Yağmur Pediatric Psychology Spec. MD. Cansu Muluk Liv Hospital Bahçeşehir Spec. MD. Cansu Muluk Pediatrics Spec. MD. Dilek Hatipoğlu Liv Hospital Bahçeşehir Spec. MD. Dilek Hatipoğlu Pediatric Health and Diseases Spec. MD. Duygu Amine Garavi Liv Hospital Bahçeşehir Spec. MD. Duygu Amine Garavi Pediatrics Spec. MD. Fatih Kaya Liv Hospital Bahçeşehir Spec. MD. Fatih Kaya Pediatric Health and Diseases Spec. MD. Günel Nüsretzade Elmar Liv Hospital Bahçeşehir Spec. MD. Günel Nüsretzade Elmar Pediatrics Spec. MD. Mey Talip Liv Hospital Bahçeşehir Spec. MD. Mey Talip Pediatric Intensive Care Spec. MD. Negın Nahanmoghaddam Liv Hospital Bahçeşehir Spec. MD. Negın Nahanmoghaddam Pediatrics Spec. MD. Nushaba Abdullayeva Liv Hospital Bahçeşehir Spec. MD. Nushaba Abdullayeva Pediatric Health and Diseases Spec. MD. Refika İlbakan Hanımeli Liv Hospital Bahçeşehir Spec. MD. Refika İlbakan Hanımeli Pediatrics Spec. MD. Selman Alazab Liv Hospital Bahçeşehir Spec. MD. Selman Alazab Pediatrics Spec. MD. Özden Durmuş Gönültaş Liv Hospital Bahçeşehir Spec. MD. Özden Durmuş Gönültaş Pediatrics Spec. Md. Öznur Ceylan Liv Hospital Bahçeşehir Spec. Md. Öznur Ceylan Pediatric Health and Diseases Assoc. Prof. MD. Aslan Yılmaz Liv Hospital Topkapı Assoc. Prof. MD. Aslan Yılmaz Neonatology Prof. MD. Alpay Çakmak Liv Hospital Topkapı Prof. MD. Alpay Çakmak Pediatrics Spec. MD. Demet Deniz Bilgin Liv Hospital Topkapı Spec. MD. Demet Deniz Bilgin Pediatrics Spec. MD. Nesrin Köseoğlu Liv Hospital Topkapı Spec. MD. Nesrin Köseoğlu Pediatric and Adolescent Psychiatry Spec. MD. Seçil Sözen Liv Hospital Topkapı Spec. MD. Seçil Sözen Pediatrics Spec. MD. Özge Akça Liv Hospital Topkapı Spec. MD. Özge Akça Pediatrics Spec. MD. Şeyma Öz Liv Hospital Topkapı Spec. MD. Şeyma Öz Pediatrics Asst. Prof. MD. Pakize Elif Alkış Liv Hospital Ankara Asst. Prof. MD. Pakize Elif Alkış Pediatrics Prof. MD. Musa Kazım Çağlar Liv Hospital Ankara Prof. MD. Musa Kazım Çağlar Pediatrics Prof. MD. İbrahim Hakan Bucak Liv Hospital Ankara Prof. MD. İbrahim Hakan Bucak Pediatrics Prof.MD. Sevgi Başkan Liv Hospital Ankara Prof.MD. Sevgi Başkan Pediatrics Spec. MD. Büşra Süzen Celbek Liv Hospital Ankara Spec. MD. Büşra Süzen Celbek Pediatrics Spec. MD. Galip Erdem Liv Hospital Ankara Spec. MD. Galip Erdem Pediatrics Spec. MD. Hafsa Uçur Liv Hospital Ankara Spec. MD. Hafsa Uçur Pediatric Health and Diseases Spec. MD. Hidayet Katipoğlu Liv Hospital Ankara Spec. MD. Hidayet Katipoğlu Pediatric Health and Diseases Spec. MD. Hüsniye Altan Liv Hospital Ankara Spec. MD. Hüsniye Altan Pediatrics Spec. MD. Mehmet Turfanda Liv Hospital Ankara Spec. MD. Mehmet Turfanda Pediatric Health and Diseases Spec. MD. Mustafa Yücel Kızıltan Liv Hospital Ankara Spec. MD. Mustafa Yücel Kızıltan Pediatrics Spec. MD.  Seral Navdar Liv Hospital Gaziantep Spec. MD. Seral Navdar Pediatric Health and Diseases Spec. MD. Gül Balyemez Liv Hospital Gaziantep Spec. MD. Gül Balyemez Pediatric Health and Diseases Spec. MD. Hasan Avşar Liv Hospital Gaziantep Spec. MD. Hasan Avşar Neonatology Spec. MD. Mert Çakır Liv Hospital Gaziantep Spec. MD. Mert Çakır Pediatrics Spec. MD. Saltuk Buğra Böke Liv Hospital Gaziantep Spec. MD. Saltuk Buğra Böke Pediatric Health and Diseases Spec. MD. Özlem Karaoğlu Liv Hospital Gaziantep Spec. MD. Özlem Karaoğlu Pediatric Health and Diseases Spec. MD. İsmail Ersan Can Liv Hospital Gaziantep Spec. MD. İsmail Ersan Can Pediatric Health and Diseases Spec. MD. Şekibe Zehra Doğan Liv Hospital Gaziantep Spec. MD. Şekibe Zehra Doğan Pediatric Health and Diseases Spec. MD. Gülsenem Sarı Aracı Liv Hospital Samsun Spec. MD. Gülsenem Sarı Aracı Pediatric Health and Diseases Spec. MD. Nazlı Karakullukcu Çebi Liv Hospital Samsun Spec. MD. Nazlı Karakullukcu Çebi Pediatrics Spec. MD. Nezih Akgün Liv Hospital Samsun Spec. MD. Nezih Akgün Pediatric Health and Diseases Spec. MD. Pelin Aytaç Uras Liv Hospital Samsun Spec. MD. Pelin Aytaç Uras Pediatrics MD. VEFA İSAYEVA Liv Bona Dea Hospital Bakü MD. VEFA İSAYEVA Pediatric Health and Diseases Spec. MD.  Elnur Hüseynov Liv Bona Dea Hospital Bakü Spec. MD. Elnur Hüseynov Pediatrics Spec. MD. INARE ELDAROVA Liv Bona Dea Hospital Bakü Spec. MD. INARE ELDAROVA Pediatrics Spec. MD. SADİQ İSMAYILOV Liv Bona Dea Hospital Bakü Spec. MD. SADİQ İSMAYILOV Pediatric Health and Diseases MD. Dr. Elnur Hüseynov MD. Dr. Elnur Hüseynov Pediatrics Spec. MD. Doğa Sevinçok Spec. MD. Doğa Sevinçok Pediatric and Adolescent Psychiatry Spec. MD. Sadık İsmayılov Pediatrics Spec. MD. Melike Akar Liv Hospital Bahçeşehir + Liv Hospital Topkapı Spec. MD. Melike Akar Pediatrics
...
Views
Read Time
MIBG Scan Neuroblastoma Detection: A Complete View
MIBG Scan Neuroblastoma Detection: A Complete View 4

Neuroblastoma is a serious cancer that mainly hits kids. New studies show how important it is to catch it early. Scientists at Sanford Burnham Prebys say knowing why cancer comes back is key to better care mibg scan neuroblastoma.

Diagnosing neuroblastoma needs a mix of doctor checks, lab tests, and scans. We look into if blood tests can spot this disease. We also talk about the different ways doctors find out if someone has neuroblastoma.

Key Takeaways

  • Blood tests play a big part in finding neuroblastoma.
  • Spotting it early is essential for good treatment.
  • There are many tests to find neuroblastoma.
  • Scans help see how far the disease has spread.
  • Using all these tests together helps patients more.

Understanding Neuroblastoma

MIBG Scan Neuroblastoma Detection: A Complete View
MIBG Scan Neuroblastoma Detection: A Complete View 5

Neuroblastoma is a cancer that starts in immature nerve cells. These cells can grow into nerve or adrenal gland tissue. It’s most common in kids under five, making it a big worry in pediatric oncology.

What is Neuroblastoma?

Neuroblastoma comes from the neural crest, a group of cells that turn into nerve cells and other tissues in the womb. We don’t always know why it happens, but it’s thought to be caused by genetic changes early in fetal development.

As a childhood cancer, neuroblastoma is tough to diagnose and treat. Its aggressive nature means finding it early is key to managing it well.

Prevalence and Risk Factors

Neuroblastoma is the most common solid tumor outside the brain in kids, making up about 6% of all childhood cancers. It happens in about 1 in 7,000 births, according to some studies.

Some risk factors include age, with most cases in kids under five. Genetics also play a big role, with some cases linked to inherited mutations.

Common Locations of Neuroblastoma Tumors

Neuroblastoma tumors can grow in different parts of the body. The most common place is the adrenal glands, making up about 40% of cases.

The tumor’s location affects symptoms and how well a child might do. For example, tumors in the neck or chest can press on important structures, causing specific symptoms.

Signs and Symptoms of Neuroblastoma Cancer

MIBG Scan Neuroblastoma Detection: A Complete View
MIBG Scan Neuroblastoma Detection: A Complete View 6

It’s key to spot the signs of neuroblastoma early. This helps in treating this cancer in kids better. The symptoms vary based on where the tumor is, how big it is, and if it has spread.

Early Warning Signs

Detecting neuroblastoma at an early stage can be challenging due to the ambiguity of its initial symptoms. Look out for:

  • A lump or swelling in the neck, chest, or abdomen
  • Protruding eyes or dark circles around the eyes
  • Changes in bowel or bladder habits
  • Weakness or paralysis of an arm or leg

These signs can mean many things, so seeing a doctor is important.

Advanced Disease Symptoms

When neuroblastoma gets worse, symptoms get more serious. Look out for:

  • Persistent bone pain
  • Fever without an apparent cause
  • Weight loss or loss of appetite
  • Fatigue or general feeling of being unwell

Neuroblastoma can also cause paraneoplastic syndromes. These are rare and can lead to:

Paraneoplastic Syndromes

Paraneoplastic syndromes from neuroblastoma can include:

  • Cerbellar ataxia, which makes coordination and balance hard
  • Opsoclonus-myoclonus syndrome, with muscle jerks and wild eye movements

Spotting these symptoms is key to diagnosing neuroblastoma. A full medical check-up is needed if you notice anything odd.

The Diagnostic Journey for Neuroblastoma

Diagnosing neuroblastoma involves many tests and exams. It needs a team of experts from different fields. This ensures a thorough check-up.

Initial Assessment and Physical Examination

The first step is an initial check-up and physical exam. Doctors collect important info about the patient’s health. They look for signs that might show neuroblastoma.

Knowing the patient’s medical history is key. It helps doctors understand the patient’s health better. The physical exam is also important. It lets doctors find any unusual lumps or swellings.

The Importance of Early Detection

Finding neuroblastoma early is very important. Early detection can greatly improve treatment results and survival chances for kids.

It’s vital to know the early signs of neuroblastoma. Look out for lumps or swellings in the abdomen, neck, or chest. Also, watch for eye swelling, proptosis, or changes in bowel or bladder habits. Quick medical help is needed if these symptoms appear.

Multidisciplinary Approach to Diagnosis

Diagnosing neuroblastoma needs a team effort. Doctors from different areas, like pediatric oncology and radiology, work together. They use tests and imaging to confirm the diagnosis and plan treatment.

We use various tests and imaging to find out if someone has neuroblastoma. This detailed approach helps create a treatment plan that fits each patient’s needs.

Blood Tests for Neuroblastoma Detection

Blood tests are key in finding neuroblastoma, a cancer that mainly hits kids. They help spot specific signs and changes linked to the disease. This helps doctors diagnose and keep track of the condition.

Tumor Markers in Blood

Blood tests are used to find tumor markers in neuroblastoma. Tumor markers are things made by cancer cells or in response to them. For neuroblastoma, certain markers in the blood show the disease is present.

Specifically, high levels of catecholamine metabolites, like vanillylmandelic acid (VMA) and homovanillic acid (HVA), are linked to neuroblastoma. These can be found in blood or urine.

Catecholamine Metabolites (VMA and HVA)

VMA and HVA come from breaking down catecholamines, hormones from the adrenal glands. Neuroblastoma cells make too much of these hormones. This leads to high VMA and HVA levels in blood or urine.

Testing VMA and HVA levels is a key way to diagnose neuroblastoma. Many studies show that most patients with neuroblastoma have high levels of these metabolites.

MetaboliteNormal LevelElevated Level in Neuroblastoma
VMA< 10 mg/24 hours> 20 mg/24 hours
HVA< 15 mg/24 hours> 30 mg/24 hours

Complete Blood Count Abnormalities

A complete blood count (CBC) also helps in diagnosing neuroblastoma. It shows if the bone marrow is affected, through signs like anemia or low platelets.

A CBC also checks the patient’s overall health. It can spot any side effects from treatment.

Limitations of Blood Testing

Even though blood tests are important, they have their limits. Not all neuroblastoma patients will have high tumor markers. Some might have normal results even with the disease.

So, blood tests need to be looked at with other tests, like imaging and biopsies. A full diagnostic approach is needed for accurate diagnosis and treatment planning.

Neuroblastoma Ultrasound: Role and Limitations

Ultrasound is key in checking for neuroblastoma, mainly in kids. It’s safe because it doesn’t use harmful radiation. We use it first to see the tumor and check for any problems.

How Ultrasound Identifies Neuroblastoma

Ultrasound spots neuroblastoma by finding a mass in places like the adrenal gland or chest. The tumor looks different on the screen because of its mixed look. It helps us guide biopsies and see how the tumor is positioned.

Key Features of Neuroblastoma on Ultrasound:

  • Tumor location and size
  • Echogenicity and heterogeneity
  • Relationship to surrounding vessels and organs
  • Potential for vascular invasion

Benefits of Ultrasound in Pediatric Patients

Ultrasound is great for kids because it’s safe. It doesn’t use harmful radiation. It’s also fast and doesn’t need sedation, making it less scary for them.

“Ultrasound is a valuable tool in pediatric oncology, providing a safe and effective way to start checking and watching neuroblastoma.”

NCI Guidelines

When Ultrasound Is Not Enough

Even though ultrasound is helpful at first, it has its limits. It might not show how far the disease has spread or find tiny spots of cancer. To get a full picture, we often need to use other tests like CT, MRI, or MIBG scans.

Imaging ModalityStrengthsLimitations
UltrasoundNon-invasive, no radiation, quickLimited depth penetration, operator-dependent
CT ScanHigh resolution, fastRadiation exposure, contrast required
MRINo radiation, excellent soft tissue detailLong examination time, may require sedation

In summary, ultrasound is a key tool for starting to check for neuroblastoma, mainly in kids. It’s not perfect, but its benefits make it a must-have in finding and treating this disease.

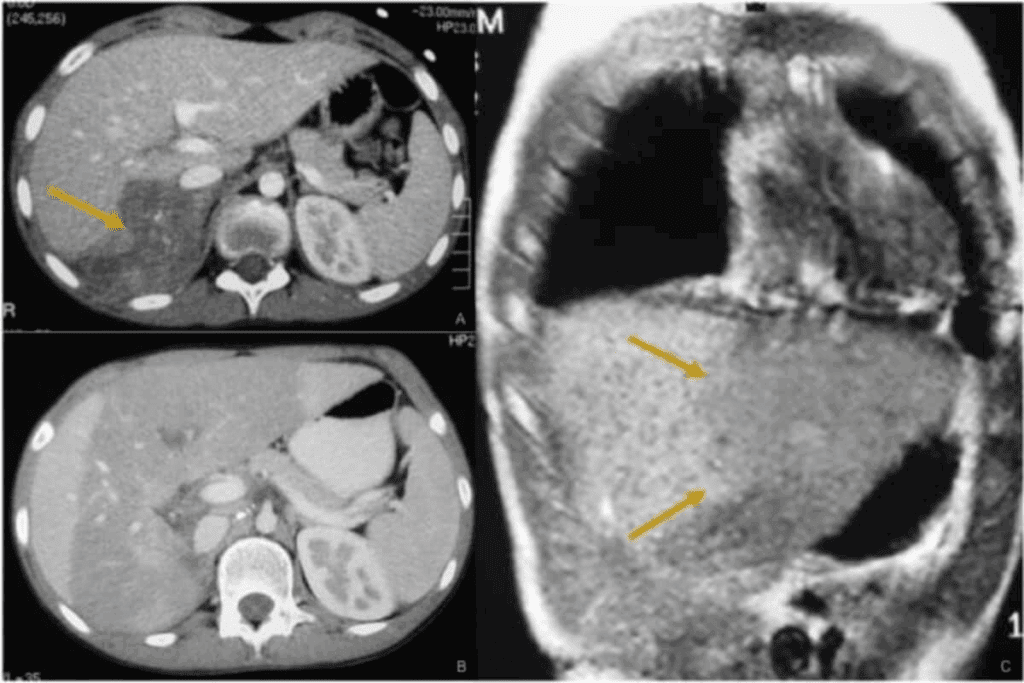
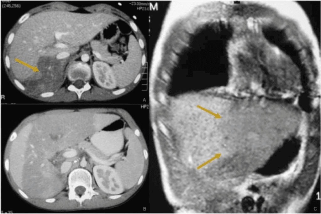
Advanced Imaging Techniques for Neuroblastoma

Diagnosing and staging neuroblastoma rely on advanced imaging. These techniques give vital info on the tumor’s size and spread. This info is key for choosing the right treatment.

CT Scans and MRI

Computed Tomography (CT) scans and Magnetic Resonance Imaging (MRI) are key for diagnosing neuroblastoma. CT scans show detailed cross-sections, helping spot the tumor’s size and its position. MRI offers great contrast for soft tissues, helping see how far the tumor has spread.

PET Scans

Positron Emission Tomography (PET) scans are also vital. They use a radioactive tracer that lights up tumors. This helps find the main tumor, check its activity, and spot any spread.

Bone Scans

Bone scans help find bone metastases, common in advanced neuroblastoma. They involve a radioactive tracer that shows up in bone activity. This helps spot metastasis.

Comparison of Imaging Modalities

Each imaging method has its own strengths and weaknesses. The right choice depends on the question being asked. Here’s a look at the imaging options:

Imaging ModalityStrengthsLimitations
CT ScansQuick, detailed cross-sectional imagesRadiation exposure, less soft-tissue contrast
MRIExcellent soft-tissue contrast, no radiation PagebreaksLonger examination time, may require sedation
PET ScansAssesses metabolic activity, detects metastasesRequires radioactive tracer, may not be as widely available
Bone ScansDetects bone metastasesMay not detect all types of bone involvement

MIBG Scan Neuroblastoma: The Gold Standard

The MIBG scan has changed how we diagnose neuroblastoma. It’s a key tool in finding and tracking this cancer. It helps doctors plan the best treatment.

What is an MIBG Scan?

An MIBG scan uses a tiny bit of radioactive material. It helps find and watch certain cancers, like neuroblastoma. The MIBG goes into the cancer cells, making them visible.

Key aspects of MIBG scans include:

  • High sensitivity for detecting neuroblastoma cells
  • Ability to assess the extent of disease spread
  • Useful for monitoring response to treatment

How MIBG Specifically Targets Neuroblastoma Cells

MIBG looks like certain neurotransmitters. This lets it get into neuroblastoma cells. So, MIBG scans can show where the tumors are and if they’ve spread.

Sensitivity and Specificity Rates

MIBG scans are very good at finding neuroblastoma. They are accurate in diagnosing this cancer. This makes them a valuable tool for doctors.

The advantages of MIBG scans include:

  1. High diagnostic accuracy
  2. Ability to detect disease spread
  3. Useful for assessing treatment response

MIBG scans are essential for managing neuroblastoma. They help doctors find and track this complex disease effectively.

Nuclear Medicine Imaging and Radioactive Tracing

Pediatric oncology has seen big improvements thanks to nuclear medicine imaging, like in neuroblastoma diagnosis. These methods, using radioactive tracers, are key in finding and tracking cancer in kids.

Principles of Nuclear Medicine in Pediatric Oncology

Nuclear medicine uses tiny amounts of radioactive materials to help diagnose and treat diseases. This includes many cancers, heart issues, and more. In kids with cancer, it helps us see and plan treatment for neuroblastoma.

First, a radioactive tracer is given to the body. It’s then picked up by tissues. Cameras detect the radiation, making images that show the disease’s details.

How Radioactive Tracers Work

Radioactive tracers target specific cells or tissues. For neuroblastoma, MIBG (Metaiodobenzylguanidine) is used. It’s taken up by neuroblastoma cells, helping us see the tumor and its spread.

  • MIBG is taken up by neuroblastoma cells because it’s like norepinephrine, a neurotransmitter.
  • The tracer emits gamma radiation, which is detected by a gamma camera.
  • The images show the tumor’s location, size, and how active it is.

Safety Considerations in Children

Nuclear medicine imaging is safe but we must think about the risks, mainly in kids. The radiation dose is low and managed to keep the child safe.

Important safety steps include:

  1. Using the least amount of radioactive tracer needed.
  2. Keeping the child well-hydrated to help get rid of the tracer.
  3. Watching for any side effects or allergic reactions.

By weighing the benefits and risks, we can use nuclear medicine to help diagnose and treat neuroblastoma in kids.

MIBG Scan Procedure: What to Expect

The MIBG scan is a key tool for finding neuroblastoma. Knowing what to expect can help patients and their families. It uses a small amount of radioactive material to see the tumor.

Preparation for the Scan

Getting ready for an MIBG scan takes a few steps. You might need to stop some medicines that could mess up the scan. It’s important to follow your doctor’s advice on medicines. You might also need to protect your thyroid to avoid absorbing too much radioactive iodine.

Medical guidelines say to avoid certain foods and medicines before the scan. This helps make sure the scan works well.

During the Procedure

During the scan, you’ll get a small dose of radioactive MIBG. You’ll wait a few hours for it to reach the tumor. The scan uses a gamma camera to find the MIBG.

Post-Scan Care

After the scan, you’ll be watched for a bit. Drinking lots of water helps get rid of the radioactive stuff. Make sure to follow any care instructions from your healthcare team.

MIBG Scan Cost and Insurance Considerations

The cost of an MIBG scan can change based on where you are and who does it. It’s key to talk to your insurance about what they cover. Many plans help pay for MIBG scans for neuroblastoma.

In short, while the MIBG scan might seem complicated, knowing what to expect can make it easier. By listening to your healthcare team and asking questions, you can have a better experience.

Interpreting MIBG Scan Results

Understanding MIBG scan results is key to knowing how far neuroblastoma has spread and how well it’s responding to treatment. These scans give us important info on the disease’s spread and how it reacts to therapy. This helps doctors make better decisions.

Understanding Uptake Patterns

The way MIBG is taken up is very important when looking at scan results. MIBG uptake patterns show where neuroblastoma is and how much. High uptake means active cancer cells, while low uptake might mean treatment is working. We look at these patterns to see how the disease is changing and adjust treatment plans.

Scoring Systems for MIBG Scans

To make MIBG scan results easier to understand, different scoring systems have been created. These systems help measure how much disease is present and track changes. Using the same scoring method helps doctors better see how well treatment is working and how the disease is progressing.

False Positives and False Negatives

Even though MIBG scans are very good at finding neuroblastoma, they can sometimes give false positives and false negatives. False positives happen when other conditions show up as MIBG uptake. False negatives can occur when tumor cells don’t take up MIBG as expected. Knowing about these issues helps us avoid misdiagnosis.

By combining MIBG scan results with other tests and clinical checks, we get a full picture of the disease. This helps us create effective treatment plans.

Tissue Biopsy: The Definitive Diagnosis

A tissue biopsy is the best way to diagnose neuroblastoma. It lets doctors see the tumor up close. They take a sample of the tumor tissue for a detailed look.

Types of Biopsies for Neuroblastoma

There are different biopsies for neuroblastoma, each with its own use. Needle biopsy uses a thin needle to get a tissue sample. Incisional biopsy involves surgically taking a part of the tumor. The choice depends on the tumor’s location and the patient’s health.

Histopathological Examination

After getting a tissue sample, it’s examined under a microscope. This is called histopathological examination. It helps find neuroblastoma cells and understand the tumor’s behavior. This info helps decide the best treatment.

Genetic and Molecular Testing

The biopsy tissue also goes through genetic and molecular testing. These tests look for genetic changes in the tumor cells. For neuroblastoma, some genetic changes, like MYCN amplification, affect how the disease will progress. These tests help plan treatment based on the patient’s specific situation.

By combining these tests, doctors get a full picture of the neuroblastoma. This helps them create a treatment plan that fits the patient’s needs.

From Diagnosis to Treatment Planning

The journey from diagnosis to treatment planning for neuroblastoma is complex. It involves several key steps, including staging and risk stratification. These steps are vital for understanding the prognosis and guiding treatment.

International Neuroblastoma Staging System

The International Neuroblastoma Staging System (INSS) is a key tool for staging neuroblastoma. It looks at the tumor’s location, spread to lymph nodes, and if it has spread to other parts of the body.

INSS Stages:

  • Stage 1: Localized tumor with complete gross excision
  • Stage 2: Localized tumor with incomplete gross excision
  • Stage 3: Tumor extending in continuity beyond the midline
  • Stage 4: Dissemination of tumor to distant lymph nodes, bone, liver, skin, or other organs
  • Stage 4S: Localized primary tumor with dissemination limited to skin, liver, or bone marrow in infants

Risk Group Assignment

Risk group assignment is a critical part of treatment planning. It considers the INSS stage, patient’s age, tumor histology, and genetic factors like MYCN amplification. Patients are sorted into low-risk, intermediate-risk, or high-risk groups.

Risk GroupCharacteristicsTreatment Approach
Low-RiskFavorable histology, no MYCN amplificationSurgery, observation
Intermediate-RiskSome adverse features, possible MYCN amplificationCombination chemotherapy, surgery
High-RiskAdvanced stage, MYCN amplification, unfavorable histologyIntensive chemotherapy, radiation, immunotherapy

How MIBG Scans Guide Therapy Decisions

MIBG scans are essential in guiding therapy decisions for neuroblastoma patients. They provide detailed information on the disease’s extent. This helps in assessing treatment response and detecting any remaining or recurring disease.

Therapeutic MIBG for Treatment

Therapeutic MIBG is a targeted therapy for high-risk neuroblastoma. It uses MIBG labeled with radioactive iodine (I-131) to target and destroy neuroblastoma cells.

Therapeutic MIBG has shown promise in improving outcomes for patients with refractory or relapsed neuroblastoma. It is often used alongside other treatments like chemotherapy and stem cell transplantation.

Conclusion: The Comprehensive Approach to Neuroblastoma Diagnosis

Diagnosing neuroblastoma needs a mix of clinical checks, lab tests, and high-tech scans. We’ve looked at tools like blood tests, ultrasound, CT scans, MRI, and MIBG scans. A detailed approach is key to accurately stage the disease and choose the right treatment.

The International Neuroblastoma Staging System and risk groups help decide treatment. We use imaging and lab tests together to plan treatment. This way, we can better care for patients and tailor treatment to each one.

Understanding neuroblastoma diagnosis and treatment is vital for doctors and families. We must keep focusing on a team effort to manage neuroblastoma. This ensures patients get the top care they need.

FAQ

What is neuroblastoma and how is it diagnosed?

Neuroblastoma is a cancer that starts in nerve cells. Doctors use tests like blood work, ultrasound, CT scans, MRI, and MIBG scans to find it.

Can neuroblastoma be detected through blood tests?

Blood tests can’t confirm neuroblastoma but help by finding tumor markers. These markers are important for diagnosis.

What is an MIBG scan and how is it used in neuroblastoma diagnosis?

An MIBG scan uses a radioactive tracer to find neuroblastoma cells. It’s the best way to diagnose and track the disease.

How does an MIBG scan work?

Neuroblastoma cells take up MIBG, making them visible on the scan. A small amount of radioactive MIBG is injected into the blood.

What are the benefits of using ultrasound in diagnosing neuroblastoma?

Ultrasound is safe and doesn’t use radiation. It’s great for kids because it shows where tumors are without harm.

What are the limitations of ultrasound in diagnosing neuroblastoma?

Ultrasound is good for first checks but can’t show how far the disease has spread. More tests like CT or MRI might be needed.

How is neuroblastoma staged and what is the International Neuroblastoma Staging System (INSS)?

Staging uses MIBG scans to see how far the disease has spread. The INSS helps predict how well a patient will do and what treatment they need.

What is the role of tissue biopsy in diagnosing neuroblastoma?

A tissue biopsy is key for diagnosing neuroblastoma. It lets doctors check the tumor’s cells and genes to confirm the diagnosis.

How do MIBG scans guide therapy decisions in neuroblastoma treatment?

MIBG scans show how well the disease responds to treatment. This helps doctors choose the best treatment plan, including MIBG therapy.

What is therapeutic MIBG and how is it used in neuroblastoma treatment?

Therapeutic MIBG uses more radioactive MIBG to kill cancer cells. It’s an option for some patients with advanced or hard-to-treat neuroblastoma.

What are the possible side effects and risks of MIBG scans?

MIBG scans are usually safe but can expose you to radiation. It’s important to weigh the benefits and risks and follow care instructions after the scan.

How can I prepare for an MIBG scan?

Before an MIBG scan, stop certain meds and follow a diet. You might need to stay overnight in the hospital too.

What is the cost of an MIBG scan and how is it covered by insurance?

The cost of an MIBG scan varies. Insurance coverage also differs. Check with your insurance to know what you’ll pay out of pocket.

Reference

  • Moss, T. J., Sanders, D. G. (1990). Detection of neuroblastoma cells in blood. Journal of Clinical Oncology, 8(4), 736-740. https://pubmed.ncbi.nlm.nih.gov/2179482/
i

Medical Disclaimer

The content on this page is for informational purposes only and is not a substitute for professional medical advice, diagnosis or treatment. Always consult a qualified healthcare provider regarding any medical conditions.

Get a Free Quote

Response within 2 hours during business hours

Clinics/branches
GDPR

Related Doctors

Assoc. Prof. MD. Muhammet Ali Varkal Liv Hospital Ulus Assoc. Prof. MD. Muhammet Ali Varkal Pediatrics Spec. MD. Gizem Güvener Liv Hospital Ulus Spec. MD. Gizem Güvener Pediatrics Spec. MD. Osman Karlı Liv Hospital Ulus Spec. MD. Osman Karlı Pediatrics Spec. MD. Tamer Ünver Liv Hospital Ulus Spec. MD. Tamer Ünver Neonatal Intensive Care Unit (NICU) Assoc. Prof. MD. Adem Dursun Liv Hospital Vadistanbul Assoc. Prof. MD. Adem Dursun Pediatrics Psyc. Selenay Yücel Keleş Liv Hospital Vadistanbul Psyc. Selenay Yücel Keleş Pediatric Psychology Spec. MD.  Fatih Aydın Liv Hospital Vadistanbul Spec. MD. Fatih Aydın Pediatrics Spec. MD. Dicle Çelik Liv Hospital Vadistanbul Spec. MD. Dicle Çelik Pediatrics Spec. MD. Elif Erdem Özcan Liv Hospital Vadistanbul Spec. MD. Elif Erdem Özcan Pediatrics Spec. MD. Hilal Kızıldağ Liv Hospital Vadistanbul Spec. MD. Hilal Kızıldağ Pediatrics Spec. MD. Mehmet Kılıç Liv Hospital Vadistanbul Spec. MD. Mehmet Kılıç Pediatrics Spec. MD. Ozan Uzunhan Liv Hospital Vadistanbul Spec. MD. Ozan Uzunhan Neonatology Spec. MD. Selami Bayrakdar Liv Hospital Vadistanbul Spec. MD. Selami Bayrakdar Pediatrics Spec. MD. Semra Akkuş Akman Liv Hospital Vadistanbul Spec. MD. Semra Akkuş Akman Pediatrics Asst. Prof. MD. Doruk Gül Liv Hospital Bahçeşehir Asst. Prof. MD. Doruk Gül Pediatric Health and Diseases Prof. MD. Murat Sütçü Liv Hospital Bahçeşehir Prof. MD. Murat Sütçü Pediatric Health and Diseases Prof. MD. Nihat Demir Liv Hospital Bahçeşehir Prof. MD. Nihat Demir Pediatrics Psyc. (Psychologist) Buse Yağmur Liv Hospital Bahçeşehir Psyc. (Psychologist) Buse Yağmur Pediatric Psychology Spec. MD. Cansu Muluk Liv Hospital Bahçeşehir Spec. MD. Cansu Muluk Pediatrics Spec. MD. Dilek Hatipoğlu Liv Hospital Bahçeşehir Spec. MD. Dilek Hatipoğlu Pediatric Health and Diseases Spec. MD. Duygu Amine Garavi Liv Hospital Bahçeşehir Spec. MD. Duygu Amine Garavi Pediatrics Spec. MD. Fatih Kaya Liv Hospital Bahçeşehir Spec. MD. Fatih Kaya Pediatric Health and Diseases Spec. MD. Günel Nüsretzade Elmar Liv Hospital Bahçeşehir Spec. MD. Günel Nüsretzade Elmar Pediatrics Spec. MD. Mey Talip Liv Hospital Bahçeşehir Spec. MD. Mey Talip Pediatric Intensive Care Spec. MD. Negın Nahanmoghaddam Liv Hospital Bahçeşehir Spec. MD. Negın Nahanmoghaddam Pediatrics Spec. MD. Nushaba Abdullayeva Liv Hospital Bahçeşehir Spec. MD. Nushaba Abdullayeva Pediatric Health and Diseases Spec. MD. Refika İlbakan Hanımeli Liv Hospital Bahçeşehir Spec. MD. Refika İlbakan Hanımeli Pediatrics Spec. MD. Selman Alazab Liv Hospital Bahçeşehir Spec. MD. Selman Alazab Pediatrics Spec. MD. Özden Durmuş Gönültaş Liv Hospital Bahçeşehir Spec. MD. Özden Durmuş Gönültaş Pediatrics Spec. Md. Öznur Ceylan Liv Hospital Bahçeşehir Spec. Md. Öznur Ceylan Pediatric Health and Diseases Assoc. Prof. MD. Aslan Yılmaz Liv Hospital Topkapı Assoc. Prof. MD. Aslan Yılmaz Neonatology Prof. MD. Alpay Çakmak Liv Hospital Topkapı Prof. MD. Alpay Çakmak Pediatrics Spec. MD. Demet Deniz Bilgin Liv Hospital Topkapı Spec. MD. Demet Deniz Bilgin Pediatrics Spec. MD. Nesrin Köseoğlu Liv Hospital Topkapı Spec. MD. Nesrin Köseoğlu Pediatric and Adolescent Psychiatry Spec. MD. Seçil Sözen Liv Hospital Topkapı Spec. MD. Seçil Sözen Pediatrics Spec. MD. Özge Akça Liv Hospital Topkapı Spec. MD. Özge Akça Pediatrics Spec. MD. Şeyma Öz Liv Hospital Topkapı Spec. MD. Şeyma Öz Pediatrics Asst. Prof. MD. Pakize Elif Alkış Liv Hospital Ankara Asst. Prof. MD. Pakize Elif Alkış Pediatrics Prof. MD. Musa Kazım Çağlar Liv Hospital Ankara Prof. MD. Musa Kazım Çağlar Pediatrics Prof. MD. İbrahim Hakan Bucak Liv Hospital Ankara Prof. MD. İbrahim Hakan Bucak Pediatrics Prof.MD. Sevgi Başkan Liv Hospital Ankara Prof.MD. Sevgi Başkan Pediatrics Spec. MD. Büşra Süzen Celbek Liv Hospital Ankara Spec. MD. Büşra Süzen Celbek Pediatrics Spec. MD. Galip Erdem Liv Hospital Ankara Spec. MD. Galip Erdem Pediatrics Spec. MD. Hafsa Uçur Liv Hospital Ankara Spec. MD. Hafsa Uçur Pediatric Health and Diseases Spec. MD. Hidayet Katipoğlu Liv Hospital Ankara Spec. MD. Hidayet Katipoğlu Pediatric Health and Diseases Spec. MD. Hüsniye Altan Liv Hospital Ankara Spec. MD. Hüsniye Altan Pediatrics Spec. MD. Mehmet Turfanda Liv Hospital Ankara Spec. MD. Mehmet Turfanda Pediatric Health and Diseases Spec. MD. Mustafa Yücel Kızıltan Liv Hospital Ankara Spec. MD. Mustafa Yücel Kızıltan Pediatrics Spec. MD.  Seral Navdar Liv Hospital Gaziantep Spec. MD. Seral Navdar Pediatric Health and Diseases Spec. MD. Gül Balyemez Liv Hospital Gaziantep Spec. MD. Gül Balyemez Pediatric Health and Diseases Spec. MD. Hasan Avşar Liv Hospital Gaziantep Spec. MD. Hasan Avşar Neonatology Spec. MD. Mert Çakır Liv Hospital Gaziantep Spec. MD. Mert Çakır Pediatrics Spec. MD. Saltuk Buğra Böke Liv Hospital Gaziantep Spec. MD. Saltuk Buğra Böke Pediatric Health and Diseases Spec. MD. Özlem Karaoğlu Liv Hospital Gaziantep Spec. MD. Özlem Karaoğlu Pediatric Health and Diseases Spec. MD. İsmail Ersan Can Liv Hospital Gaziantep Spec. MD. İsmail Ersan Can Pediatric Health and Diseases Spec. MD. Şekibe Zehra Doğan Liv Hospital Gaziantep Spec. MD. Şekibe Zehra Doğan Pediatric Health and Diseases Spec. MD. Gülsenem Sarı Aracı Liv Hospital Samsun Spec. MD. Gülsenem Sarı Aracı Pediatric Health and Diseases Spec. MD. Nazlı Karakullukcu Çebi Liv Hospital Samsun Spec. MD. Nazlı Karakullukcu Çebi Pediatrics Spec. MD. Nezih Akgün Liv Hospital Samsun Spec. MD. Nezih Akgün Pediatric Health and Diseases Spec. MD. Pelin Aytaç Uras Liv Hospital Samsun Spec. MD. Pelin Aytaç Uras Pediatrics MD. VEFA İSAYEVA Liv Bona Dea Hospital Bakü MD. VEFA İSAYEVA Pediatric Health and Diseases Spec. MD.  Elnur Hüseynov Liv Bona Dea Hospital Bakü Spec. MD. Elnur Hüseynov Pediatrics Spec. MD. INARE ELDAROVA Liv Bona Dea Hospital Bakü Spec. MD. INARE ELDAROVA Pediatrics Spec. MD. SADİQ İSMAYILOV Liv Bona Dea Hospital Bakü Spec. MD. SADİQ İSMAYILOV Pediatric Health and Diseases MD. Dr. Elnur Hüseynov MD. Dr. Elnur Hüseynov Pediatrics Spec. MD. Doğa Sevinçok Spec. MD. Doğa Sevinçok Pediatric and Adolescent Psychiatry Spec. MD. Sadık İsmayılov Pediatrics Spec. MD. Melike Akar Liv Hospital Bahçeşehir + Liv Hospital Topkapı Spec. MD. Melike Akar Pediatrics
Trusted Worldwide
30
Years of
Experience
30 Years Badge
Health Türkiye Accreditation

Trusted Worldwide

30 Years of Experience

Patient Reviews
Reviews from 9,651
4,9
Was this content helpful?
Your feedback helps us improve.
What did you like?
Share more details about your experience.
You must give consent to continue.

Thank you!

Your feedback has been submitted successfully. Your input is valuable in helping us improve.

Book a Free Certified Online
Doctor Consultation

Clinics/branches
GDPR

We're Here to Help.
Get in Touch

Send us all your questions or requests, and our
expert team will assist you.

Our Doctors

Assoc. Prof. MD. Muhammet Ali Varkal Pediatrics

Assoc. Prof. MD. Muhammet Ali Varkal

Liv Hospital Ulus
Spec. MD. Gizem Güvener Pediatrics

Spec. MD. Gizem Güvener

Liv Hospital Ulus
Spec. MD. Osman Karlı Pediatrics

Spec. MD. Osman Karlı

Liv Hospital Ulus
Spec. MD. Tamer Ünver Neonatal Intensive Care Unit (NICU)

Spec. MD. Tamer Ünver

Liv Hospital Ulus
Assoc. Prof. MD. Adem Dursun Pediatrics

Assoc. Prof. MD. Adem Dursun

Liv Hospital Vadistanbul
Psyc. Selenay Yücel Keleş Pediatric Psychology

Psyc. Selenay Yücel Keleş

Liv Hospital Vadistanbul
Spec. MD.  Fatih Aydın Pediatrics

Spec. MD. Fatih Aydın

Liv Hospital Vadistanbul
Spec. MD. Dicle Çelik Pediatrics

Spec. MD. Dicle Çelik

Liv Hospital Vadistanbul
Spec. MD. Elif Erdem Özcan Pediatrics

Spec. MD. Elif Erdem Özcan

Liv Hospital Vadistanbul
Spec. MD. Hilal Kızıldağ Pediatrics

Spec. MD. Hilal Kızıldağ

Liv Hospital Vadistanbul
Spec. MD. Mehmet Kılıç Pediatrics

Spec. MD. Mehmet Kılıç

Liv Hospital Vadistanbul
Spec. MD. Ozan Uzunhan Neonatology

Spec. MD. Ozan Uzunhan

Liv Hospital Vadistanbul
Spec. MD. Selami Bayrakdar Pediatrics

Spec. MD. Selami Bayrakdar

Liv Hospital Vadistanbul
Spec. MD. Semra Akkuş Akman Pediatrics

Spec. MD. Semra Akkuş Akman

Liv Hospital Vadistanbul
Asst. Prof. MD. Doruk Gül Pediatric Health and Diseases

Asst. Prof. MD. Doruk Gül

Liv Hospital Bahçeşehir
Prof. MD. Murat Sütçü Pediatric Health and Diseases

Prof. MD. Murat Sütçü

Liv Hospital Bahçeşehir
Prof. MD. Nihat Demir Pediatrics

Prof. MD. Nihat Demir

Liv Hospital Bahçeşehir
Psyc. (Psychologist) Buse Yağmur Pediatric Psychology

Psyc. (Psychologist) Buse Yağmur

Liv Hospital Bahçeşehir
Spec. MD. Cansu Muluk Pediatrics

Spec. MD. Cansu Muluk

Liv Hospital Bahçeşehir
Spec. MD. Dilek Hatipoğlu Pediatric Health and Diseases

Spec. MD. Dilek Hatipoğlu

Liv Hospital Bahçeşehir
Spec. MD. Duygu Amine Garavi Pediatrics

Spec. MD. Duygu Amine Garavi

Liv Hospital Bahçeşehir
Spec. MD. Fatih Kaya Pediatric Health and Diseases

Spec. MD. Fatih Kaya

Liv Hospital Bahçeşehir
Spec. MD. Günel Nüsretzade Elmar Pediatrics

Spec. MD. Günel Nüsretzade Elmar

Liv Hospital Bahçeşehir
Spec. MD. Melike Akar Pediatrics

Spec. MD. Melike Akar

Liv Hospital Bahçeşehir
Liv Hospital Topkapı
Spec. MD. Mey Talip Pediatric Intensive Care

Spec. MD. Mey Talip

Liv Hospital Bahçeşehir
Spec. MD. Negın Nahanmoghaddam Pediatrics

Spec. MD. Negın Nahanmoghaddam

Liv Hospital Bahçeşehir
Spec. MD. Nushaba Abdullayeva Pediatric Health and Diseases

Spec. MD. Nushaba Abdullayeva

Liv Hospital Bahçeşehir
Spec. MD. Refika İlbakan Hanımeli Pediatrics

Spec. MD. Refika İlbakan Hanımeli

Liv Hospital Bahçeşehir
Spec. MD. Selman Alazab Pediatrics

Spec. MD. Selman Alazab

Liv Hospital Bahçeşehir
Spec. MD. Özden Durmuş Gönültaş Pediatrics

Spec. MD. Özden Durmuş Gönültaş

Liv Hospital Bahçeşehir
Spec. Md. Öznur Ceylan Pediatric Health and Diseases

Spec. Md. Öznur Ceylan

Liv Hospital Bahçeşehir
Assoc. Prof. MD. Aslan Yılmaz Neonatology

Assoc. Prof. MD. Aslan Yılmaz

Liv Hospital Topkapı
Prof. MD. Alpay Çakmak Pediatrics

Prof. MD. Alpay Çakmak

Liv Hospital Topkapı
Spec. MD. Demet Deniz Bilgin Pediatrics

Spec. MD. Demet Deniz Bilgin

Liv Hospital Topkapı
Spec. MD. Nesrin Köseoğlu Pediatric and Adolescent Psychiatry

Spec. MD. Nesrin Köseoğlu

Liv Hospital Topkapı
Spec. MD. Seçil Sözen Pediatrics

Spec. MD. Seçil Sözen

Liv Hospital Topkapı
Spec. MD. Özge Akça Pediatrics

Spec. MD. Özge Akça

Liv Hospital Topkapı
Spec. MD. Şeyma Öz Pediatrics

Spec. MD. Şeyma Öz

Liv Hospital Topkapı
Asst. Prof. MD. Pakize Elif Alkış Pediatrics

Asst. Prof. MD. Pakize Elif Alkış

Liv Hospital Ankara
Prof. MD. Musa Kazım Çağlar Pediatrics

Prof. MD. Musa Kazım Çağlar

Liv Hospital Ankara
Prof. MD. İbrahim Hakan Bucak Pediatrics

Prof. MD. İbrahim Hakan Bucak

Liv Hospital Ankara
Prof.MD. Sevgi Başkan Pediatrics

Prof.MD. Sevgi Başkan

Liv Hospital Ankara
Spec. MD. Büşra Süzen Celbek Pediatrics

Spec. MD. Büşra Süzen Celbek

Liv Hospital Ankara
Spec. MD. Galip Erdem Pediatrics

Spec. MD. Galip Erdem

Liv Hospital Ankara
Spec. MD. Hafsa Uçur Pediatric Health and Diseases

Spec. MD. Hafsa Uçur

Liv Hospital Ankara
Spec. MD. Hidayet Katipoğlu Pediatric Health and Diseases

Spec. MD. Hidayet Katipoğlu

Liv Hospital Ankara
Spec. MD. Hüsniye Altan Pediatrics

Spec. MD. Hüsniye Altan

Liv Hospital Ankara
Spec. MD. Mehmet Turfanda Pediatric Health and Diseases

Spec. MD. Mehmet Turfanda

Liv Hospital Ankara
Spec. MD. Mustafa Yücel Kızıltan Pediatrics

Spec. MD. Mustafa Yücel Kızıltan

Liv Hospital Ankara
Spec. MD.  Seral Navdar Pediatric Health and Diseases

Spec. MD. Seral Navdar

Liv Hospital Gaziantep
Spec. MD. Gül Balyemez Pediatric Health and Diseases

Spec. MD. Gül Balyemez

Liv Hospital Gaziantep
Spec. MD. Hasan Avşar Neonatology

Spec. MD. Hasan Avşar

Liv Hospital Gaziantep
Spec. MD. Mert Çakır Pediatrics

Spec. MD. Mert Çakır

Liv Hospital Gaziantep
Spec. MD. Saltuk Buğra Böke Pediatric Health and Diseases

Spec. MD. Saltuk Buğra Böke

Liv Hospital Gaziantep
Spec. MD. Özlem Karaoğlu Pediatric Health and Diseases

Spec. MD. Özlem Karaoğlu

Liv Hospital Gaziantep
Spec. MD. İsmail Ersan Can Pediatric Health and Diseases

Spec. MD. İsmail Ersan Can

Liv Hospital Gaziantep
Spec. MD. Şekibe Zehra Doğan Pediatric Health and Diseases

Spec. MD. Şekibe Zehra Doğan

Liv Hospital Gaziantep
Spec. MD. Gülsenem Sarı Aracı Pediatric Health and Diseases

Spec. MD. Gülsenem Sarı Aracı

Liv Hospital Samsun
Spec. MD. Nazlı Karakullukcu Çebi Pediatrics

Spec. MD. Nazlı Karakullukcu Çebi

Liv Hospital Samsun
Spec. MD. Nezih Akgün Pediatric Health and Diseases

Spec. MD. Nezih Akgün

Liv Hospital Samsun
Spec. MD. Pelin Aytaç Uras Pediatrics

Spec. MD. Pelin Aytaç Uras

Liv Hospital Samsun
MD. VEFA İSAYEVA Pediatric Health and Diseases

MD. VEFA İSAYEVA

Liv Bona Dea Hospital Bakü
Spec. MD.  Elnur Hüseynov Pediatrics

Spec. MD. Elnur Hüseynov

Liv Bona Dea Hospital Bakü
Spec. MD. INARE ELDAROVA Pediatrics

Spec. MD. INARE ELDAROVA

Liv Bona Dea Hospital Bakü
Spec. MD. SADİQ İSMAYILOV Pediatric Health and Diseases

Spec. MD. SADİQ İSMAYILOV

Liv Bona Dea Hospital Bakü
MD. Dr. Elnur Hüseynov Pediatrics

MD. Dr. Elnur Hüseynov

Spec. MD. Doğa Sevinçok Pediatric and Adolescent Psychiatry

Spec. MD. Doğa Sevinçok

Pediatrics

Spec. MD. Sadık İsmayılov

Need Help? Chat with our medical team

Let's Talk on WhatsApp

📌

Get instant answers from our medical team. No forms, no waiting — just tap below to start chatting now.

or call us at +90 530 174 42 04