
Myelosuppression, also known as bone marrow suppression, occurs when the bone marrow can’t make enough blood cells.
This condition can cause health problems like anemia, infections, and bleeding disorders. It often happens because of treatments like chemotherapy and radiation therapy.
At Liv Hospital, we know how important it is to understand myelosuppression. Our myelosuppression definition helps patients receiving cancer treatments. We want to share what we know about this condition so we can help manage its effects better.
Key Takeaways
- Myelosuppression is a condition that affects the production of blood cells.
- It is often a side effect of cancer treatments like chemotherapy.
- Understanding its symptoms and causes is key for managing it well.
- Liv Hospital offers full support for patients with myelosuppression.
- Early diagnosis and treatment can greatly improve patient outcomes.
Myelosuppression Definition and Its Importance in Medicine

Myelosuppression is when the bone marrow doesn’t make enough blood cells. This happens because the bone marrow stem cells can’t work properly. So, there are fewer red blood cells, white blood cells, and platelets.
What Bone Marrow Suppression Means
Bone marrow suppression means the bone marrow can’t make blood cells as well. This can happen because of treatments like chemotherapy and radiation therapy.
The Role of Bone Marrow in Blood Cell Production
The bone marrow is key in making blood cells. It creates red blood cells, white blood cells, and platelets. These cells are vital for carrying oxygen, fighting infections, and clotting blood.
| Blood Cell Type | Function | Impact of Myelosuppression |
| Red Blood Cells | Oxygen Transport | Anemia, Fatigue |
| White Blood Cells | Immune Function | Increased Infection Risk |
| Platelets | Blood Clotting | Bleeding Tendencies |
Difference Between Myelosuppression and Myeloablation
Myelosuppression and myeloablation both deal with bone marrow issues. But, myelosuppression is when the bone marrow activity goes down. Myeloablation is when the bone marrow is almost gone. Knowing the difference is important for treating these conditions.
The Biology of Bone Marrow and Blood Cell Formation

Bone marrow is key in making blood cells. When myelosuppression happens, it messes with this process. Knowing how bone marrow works helps us understand the impact of this condition.
Anatomy and Function of Bone Marrow
The bone marrow is inside the bones. It makes hematopoiesis, or blood cells. Stem cells in the marrow turn into different blood cells, like red and white blood cells, and platelets.
Hematopoiesis: The Process of Blood Cell Creation
Hematopoiesis is a complex process. It involves stem cells growing and changing into blood cells. This is vital for keeping the right number of blood cells in our body.
How Myelosuppression Disrupts Normal Blood Cell Development
Myelosuppression messes with hematopoiesis. This leads to fewer blood cells being made. This can cause anemia, neutropenia, and thrombocytopenia. Patients then face more risks of infections and bleeding.
Types of Myelosuppression and Affected Blood Cells
Myelosuppression comes in different forms, each affecting different blood cells. These cells are key to our health. Depending on the cell line affected, it can lead to conditions like neutropenia, anemia, thrombocytopenia, or pancytopenia.
Neutropenia: Impact on White Blood Cells and Immunity
Neutropenia means you have fewer white blood cells, mainly neutrophils. These cells fight infections. With fewer neutrophils, you’re more likely to get sick from bacteria and fungi.
Anemia: Reduction in Red Blood Cells and Oxygen Transport
Anemia happens when you have fewer red blood cells or less hemoglobin. This makes it hard for your body to get enough oxygen. Symptoms include feeling tired, weak, and short of breath. It really affects your quality of life.
Thrombocytopenia: Decreased Platelets and Clotting Function
Thrombocytopenia means you have fewer platelets. Platelets help your blood clot. With fewer platelets, even small injuries can bleed a lot.
Pancytopenia: When All Blood Cell Lines Are Affected
Pancytopenia is a serious condition where all blood cell types are low. This includes red blood cells, white blood cells, and platelets. It leads to a mix of anemia, neutropenia, and thrombocytopenia symptoms. This makes you more likely to get infections, bleed, and have organ problems.
| Condition | Affected Blood Cells | Primary Symptoms |
| Neutropenia | White Blood Cells (Neutrophils) | Increased risk of infections |
| Anemia | Red Blood Cells | Fatigue, weakness, shortness of breath |
| Thrombocytopenia | Platelets | Bleeding, bruising |
| Pancytopenia | All Blood Cell Lines | A combination of symptoms from anemia, neutropenia, and thrombocytopenia |
Recognizing Symptoms of Myelosuppression
Myelosuppression symptoms can be subtle. It’s important to catch them early for better management. We’ll look at common signs for early detection.
Early Warning Signs to Watch For
Myelosuppression starts with several early signs. Fatigue and weakness are common, caused by fewer red blood cells. This leads to anemia. People might also feel shortness of breath during simple tasks.
Fatigue, Weakness, and Shortness of Breath
These symptoms come from anemia. Anemia means fewer red blood cells or less hemoglobin. This makes it hard for the body to carry oxygen, causing tiredness and lack of energy.
Increased Susceptibility to Infections
Neutropenia, or fewer white blood cells, makes infections more likely. Patients with myelosuppression often get sick more easily. It’s key to stay clean and avoid germs.
Bleeding Tendencies and Easy Bruising
Thrombocytopenia, or low platelet count, causes bleeding and bruising. Look out for frequent nosebleeds, bleeding gums, or easy bruising. These need quick medical help to avoid serious issues.
Spotting these symptoms early can greatly help patients. We urge everyone to watch their health closely and tell their doctors about any concerns.
Common Causes of Bone Marrow Suppression
It’s important to know why bone marrow suppression happens. This condition is often caused by medical treatments and diseases. These factors can harm the bone marrow’s ability to make blood cells.
Chemotherapy as a Primary Cause of Myelosuppression
Chemotherapy is a major reason for myelosuppression. It targets fast-growing cells, like cancer and blood-making cells in the bone marrow. This can greatly reduce blood cell production, causing myelosuppression.
Radiation Therapy and Its Effects on Bone Marrow
Radiation therapy can also cause myelosuppression, mainly if it targets bone marrow areas. The impact depends on the dose and treated body area. High doses can severely damage the bone marrow’s blood-making ability.
Medications Known to Suppress Bone Marrow Function
Some medications, like antibiotics, antivirals, and NSAIDs, can suppress bone marrow. The risk varies by medication and how a person reacts to it.
Infections and Diseases That Can Trigger Myelosuppression
Infections and diseases, like leukemia, can also cause myelosuppression. They can directly or indirectly harm the bone marrow, reducing blood cell production.
In summary, myelosuppression can stem from many sources, including chemotherapy, radiation, medications, and diseases. Knowing these causes is key to managing the condition well.
Diagnostic Approaches for Myelosuppression
Healthcare experts use several methods to diagnose myelosuppression. These include complete blood counts and bone marrow biopsies. They check how severe the bone marrow suppression is. This helps decide the best treatment.
Complete Blood Count Analysis and Interpretation
A complete blood count (CBC) is key in diagnosing myelosuppression. It checks the levels of white blood cells, red blood cells, and platelets. By looking at the CBC, doctors can spot problems that might mean myelosuppression.
“The CBC is a fundamental tool in hematology, providing essential information about the patient’s blood cell status,” as noted by hematology experts. This test helps find issues like neutropenia, anemia, and thrombocytopenia, linked to myelosuppression.
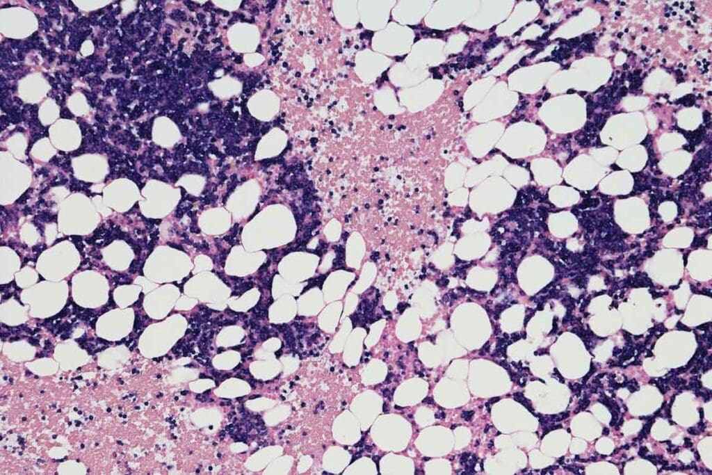
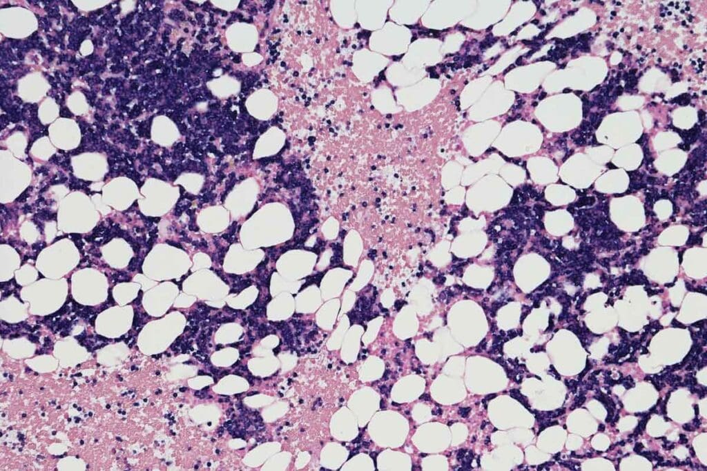
Bone Marrow Aspiration and Biopsy Procedures
Bone marrow aspiration and biopsy give direct clues about bone marrow function. These tests take bone marrow samples for study. They are key to finding the cause of myelosuppression and checking the bone marrow’s health.
Additional Laboratory and Imaging Tests
Other laboratory tests are done to find the cause of myelosuppression. These include tests for liver and kidney health, and imaging to spot underlying issues. These tests help understand why myelosuppression is happening.
Grading Systems for Assessing Myelosuppression Severity
Grading systems help figure out how bad myelosuppression is. They guide treatment choices. These systems help doctors standardize how they assess myelosuppression and make better care plans.
Using these methods, doctors can accurately diagnose and treat myelosuppression. This leads to better health outcomes for patients.
Treatment Strategies for Managing Myelosuppression
Managing myelosuppression needs a mix of treatments. We focus on the causes and symptoms. Our goal is to help patients’ blood cell counts and health.
Addressing Underlying Causes
First, we find and fix the root causes. This might mean changing or stopping certain drugs. These can include some chemotherapy or other medicines.
Growth Factor Therapies to Stimulate Blood Cell Production
Growth factor therapies boost blood cell making. For example, G-CSF increases white blood cells. This lowers infection risk. Erythropoietin-stimulating agents help with anemia by making more red blood cells.
Blood Transfusions and Blood Product Support
When myelosuppression causes severe anemia or low platelets, blood transfusions help. Red blood cell transfusions improve oxygen to tissues. Platelet transfusions lower the risk of bleeding.
Dose Modifications in Cancer Treatment
For cancer patients, adjusting treatment doses is key. We might lower chemotherapy or radiation doses. Or change the schedule to help the bone marrow recover.
These strategies help manage myelosuppression well. They reduce complications and improve patient results. The treatment plan is made just for each patient’s needs.
Self-Care and Lifestyle Management for Patients
Managing myelosuppression needs a whole-body approach. This includes self-care and making lifestyle changes. It’s key to find ways that help keep us healthy and happy.
Infection Prevention Strategies
Stopping infections is very important for myelosuppression patients, like those with neutropenia. We advise staying away from crowded places and washing hands often. Getting vaccinated regularly is also a must.
Nutritional Support During Myelosuppression
Eating well is essential for staying strong and recovering. We recommend eating foods full of nutrients, like fruits, veggies, lean meats, and whole grains. Drinking enough water is also important.
Physical Activity Recommendations
Doing gentle exercises, like short walks, can help. But it’s important to match activities to your health and energy. Always talk to your doctor before starting or changing your exercise routine.
Emotional and Psychological Support
Myelosuppression can really affect your mood and mind. It’s vital to find support from loved ones, friends, support groups, or mental health experts. They can help you deal with the stress and challenges.
| Self-Care Aspect | Recommendations |
| Infection Prevention | Avoid crowded areas, practice good hygiene, and stay updated on vaccinations |
| Nutritional Support | Focus on nutrient-rich foods, stay hydrated |
| Physical Activity | Engage in gentle exercises like short walks, and consult with a healthcare provider |
| Emotional Support | Seek support from family, friends, support groups, or mental health professionals |
Complications and Long-Term Effects of Myelosuppression
Myelosuppression can lead to severe and life-threatening issues. It affects blood cell production and impacts overall health and treatment success.
Life-Threatening Complications
Myelosuppression can cause severe infections and bleeding. These are serious and need quick medical help. They can greatly affect a patient’s quality of life.
Impact on Cancer Treatment Outcomes
Myelosuppression may force changes in cancer treatment plans. This could mean treatments are delayed or less intense. It can affect how well the treatment works and the patient’s future.
Long-Term Health Consequences
Patients with severe myelosuppression may face long-term health issues. These include lasting fatigue, more infections, and possible bone marrow damage.
Quality of Life Considerations
Myelosuppression greatly affects a patient’s quality of life. It’s important to manage it well to reduce symptoms and prevent problems. This helps patients get through their treatment.
Dealing with myelosuppression is complex and needs a full care approach. Knowing the risks helps doctors provide better support. This improves patient results.
Conclusion: Advances in Understanding and Managing Myelosuppression
Recent studies have shown how important genomic mutations and certain drugs are in dealing with myelosuppression. This has given us a better understanding of this complex condition. Myelosuppression is a condition that affects many areas and needs a deep understanding of its causes, symptoms, and how to manage it.
Medical research keeps getting better, helping doctors to improve patient care and life quality. By managing myelosuppression well, we can lessen its effects on cancer treatment and long-term health.
We’ve seen how vital ongoing research and care are for tackling myelosuppression. Moving forward, we must keep looking for new ways to handle this condition. We need to use the latest medical science to give patients the best care possible.
FAQ
What is myelosuppression?
Myelosuppression, or bone marrow suppression, happens when the bone marrow can’t make enough blood cells. This leads to fewer red blood cells, white blood cells, and platelets.
What are the symptoms of myelosuppression?
Symptoms include feeling very tired, weak, and short of breath. You might also get sick easily, bleed a lot, and bruise easily.
What causes myelosuppression?
It’s often caused by treatments like chemotherapy and radiation. Some medicines, infections, and diseases like blood cancers can also cause it.
How is myelosuppression diagnosed?
Doctors use tests like a complete blood count (CBC) and bone marrow biopsies. They also look at how you’re feeling.
What are the treatment strategies for managing myelosuppression?
Doctors try to fix the cause and lessen its effects. They might use growth factors, blood transfusions, or change the treatment dose.
How can patients with myelosuppression manage their condition?
Patients can help by preventing infections, eating well, staying active, and getting emotional support. These steps help manage the condition.
What are the possible complications of myelosuppression?
It can cause serious problems like anemia and low white blood cell counts. It can also affect treatment success and long-term health.
What is the difference between myelosuppression and myeloablation?
Myelosuppression means the bone marrow isn’t working well. Myeloablation means it’s almost gone.
Can myelosuppression be managed effectively?
Yes, with the right treatment and care, myelosuppression can be managed. This improves how patients feel and live their lives.
References
- Kurtin, S. (2012). Myeloid toxicity of cancer treatment. https://pmc.ncbi.nlm.nih.gov/articles/PMC4093344/