
Personal experiences detailing the process leading to a confirmed child lymphoma diagnosis. Getting a diagnosis of lymphoma can change a family’s life. Lymphoma is a common cancer in kids. It’s important for parents and caregivers to know how it’s diagnosed.
The path to finding out a child has lymphoma includes many tests. First, doctors take a detailed medical history and do a physical check. They look for signs or symptoms that might show lymphoma.
Key Takeaways
- Knowing how lymphoma is diagnosed can help families through this tough time.
- A detailed medical history and physical check are key first steps.
- Many tests are used to confirm if a child has lymphoma.
- Finding lymphoma early is key for better treatment and outcomes.
- Parents and caregivers should know the signs and symptoms of lymphoma.
Understanding Childhood Lymphoma
It’s important for parents and doctors to understand childhood lymphoma. This cancer affects the immune system. It can be either Hodgkin lymphoma or non-Hodgkin lymphoma.
Types of Lymphoma in Children
Hodgkin lymphoma has Reed-Sternberg cells, which are abnormal lymphocytes. These can be found with pediatric oncology tests. Non-Hodgkin lymphoma includes types like Burkitt and lymphoblastic lymphoma. Each type needs its own way to be diagnosed.
Diagnosing and treating these lymphomas are different. It’s key to know the type through tests like blood tests and imaging.
Prevalence and Risk Factors
Childhood lymphoma is rare, making up 10% of all childhood cancers. The type of lymphoma can change based on age, where you live, and genetics.
Some risk factors for childhood lymphoma include genetic conditions and viruses like Epstein-Barr. Knowing these risk factors and childhood lymphoma symptoms helps in early detection.
Recognizing Early Warning Signs

Spotting lymphoma symptoms early can greatly help a child’s treatment. Childhood lymphoma shows different signs, which can be hard to spot. These signs might seem like common illnesses.
Parents and caregivers need to watch for symptoms that don’t go away or get worse. These signs can change based on the lymphoma type and where it is in the body.
Common Childhood Lymphoma Symptoms

Some common symptoms of childhood lymphoma include:
- Swollen lymph nodes, mainly in the neck, armpits, or groin
- Unexplained fever that keeps coming back
- Weight loss without a clear reason
- Fatigue or feeling very tired
- Loss of appetite
- Night sweats
Enlarged lymph nodes are a common sign of lymphoma. These nodes are usually painless. They can be found in the neck, under the arms, or in the groin.
When to Seek Medical Attention
If a child shows any of these signs, it’s important to see a doctor:
| Symptom | Duration or Severity to Warrant Concern |
| Swollen lymph nodes | Persistent or growing in size |
| Unexplained fever | Lasting more than a few days or recurring |
| Weight loss | Significant loss over a short period |
Spotting these symptoms early can lead to a lymph node biopsy or other tests. These tests are key for a correct diagnosis and a good treatment plan.
Initial Doctor’s Visit and Examination
The first visit to the doctor is key in finding out why your child feels sick. The doctor will take a detailed medical history and do a physical check. This helps spot any signs of illness.
What to Expect at the First Appointment
At the first meeting, the doctor will ask about your child’s health history. This includes past illnesses, allergies, and family health. This info is vital for the doctor to understand risks and possible causes.
A thorough medical history is important. It helps the doctor find out if there are genetic or environmental factors at play.
Physical Examination Process
The doctor will look for signs of illness during the physical exam. They might check for swollen lymph nodes, fever, or other signs. They will also examine the abdomen, neck, and other areas for unusual masses or tenderness.
A CBC blood test might be done during or after the visit. This test can show abnormal blood results that could mean lymphoma or other conditions.
“A CBC blood test is a key tool for finding blood cell count issues. These can suggest lymphoma or other health problems.”
The doctor will talk about the test results and what to do next. Knowing what to expect at the first visit can make the process less scary.
The Child Lymphoma Diagnosis Process
Diagnosing lymphoma in children is a detailed process. It involves several important steps. Knowing what to expect can help reduce anxiety for parents and kids.
Overview of Diagnostic Pathway
The process starts with medical tests and exams. These steps confirm lymphoma, its type, and stage. Each child’s needs guide the tests, which may include imaging, blood tests, and biopsies.
Timeframe Expectations
The time to diagnose lymphoma varies. It depends on the case’s complexity and testing needs. Usually, it takes from a few days to weeks. A quick diagnosis is key for effective treatment.
Coordinating with Pediatric Specialists
Working with pediatric specialists is vital. They form a team to provide full care. Parents should ask questions and get support from these experts during the diagnosis.
| Diagnostic Test | Purpose | Typical Timeframe |
| Imaging Tests (e.g., CT, MRI, PET scans) | To visualize the lymphoma and assess its extent | 1-3 days |
| Blood Tests | To check for abnormal blood cell counts and other indicators of lymphoma | 1 day |
| Biopsy | To confirm the presence of lymphoma cells | Several days to a week |
Understanding the diagnosis process helps parents support their child. Good communication with healthcare providers is essential for navigating diagnosis and treatment planning.
Blood Tests in Pediatric Lymphoma Detection
Blood tests are key in finding lymphoma in kids. They help doctors spot blood changes that might mean cancer.
CBC Blood Test for Children
A Complete Blood Count (CBC) checks different parts of the blood. It looks at red and white blood cells and platelets. For kids with lymphoma, a CBC can show signs like anemia or too many white blood cells.
Key components analyzed in a CBC include:
- Red Blood Cell Count
- White Blood Cell Count
- Platelet Count
- Hemoglobin Level
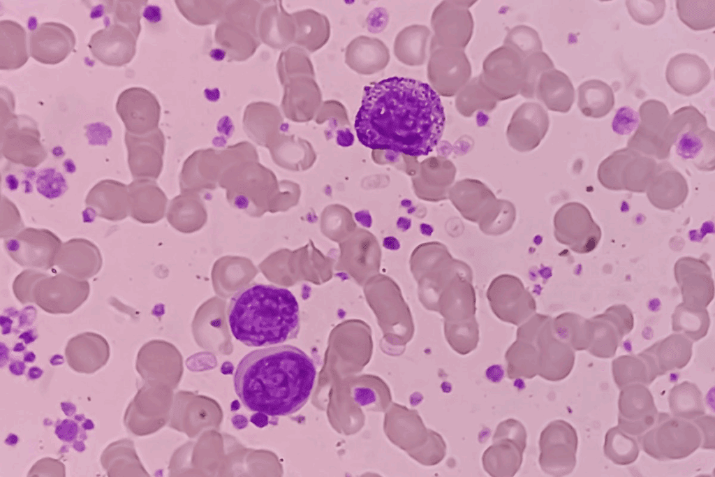
Blood Smear Analysis
A blood smear looks at blood under a microscope for odd cells. It can spot cancer cells or other signs of lymphoma.
The process involves:
- Collecting a blood sample
- Preparing the blood smear
- Examining the smear under a microscope
What Abnormal Blood Results May Indicate
Abnormal blood test results can mean many things, like lymphoma. For example, too many white blood cells or odd cells might show cancer.
The following table summarizes what abnormal blood results may indicate:
| Abnormal Result | Possible Indication |
| Low Red Blood Cell Count | Anemia or bone marrow involvement |
| High White Blood Cell Count | Infection, inflammation, or leukemia |
| Abnormal Cells | Lymphoma or other cancers |
Blood tests are a first step in finding lymphoma in kids. They can’t confirm it alone but give clues. These clues help doctors make a correct diagnosis with other tests.
Imaging Studies for Suspected Lymphoma
Imaging studies are key in diagnosing and staging lymphoma in kids. They help doctors see how far the disease has spread. This information is vital for planning treatment.
CT Scan Pediatric Procedures
A CT scan is a common test for diagnosing lymphoma. It gives detailed images of the body. Doctors use these images to spot any problems.
What to Expect: During a CT scan, your child will lie on a table that slides into a big machine. The scan is quick, lasting just a few minutes. Sometimes, a contrast dye is used to make the images clearer.
MRI Scan Kids: What to Expect
MRI scans are another tool used to check for lymphoma. They give detailed images of the body’s inside without using harmful radiation.
Procedure: Your child will lie on a table that slides into a big tube. The MRI machine can be loud, so earplugs or headphones might be given. The scan can take from 15 to 90 minutes, depending on what’s being looked at.
PET Scan Lymphoma Detection Benefits
PET scans are great for diagnosing and staging lymphoma. They spot areas of high activity, which can mean cancer.
Benefits: PET scans are very good at finding lymphoma, even when other tests can’t. They also help see how well treatment is working.
| Imaging Test | Description | Use in Lymphoma Diagnosis |
| CT Scan | Provides detailed cross-sectional images | Helps identify abnormalities and assess disease extent |
| MRI Scan | Offers detailed images without ionizing radiation | Assesses internal structures and disease spread |
| PET Scan | Detects areas of high metabolic activity | Identifies cancerous cells and monitors treatment response |
Biopsy Procedures for Definitive Diagnosis
For many children, a biopsy is key to finding out if they have lymphoma. This test takes a tissue sample for a closer look. The results help doctors know if lymphoma is present, what type it is, and how far it has spread. This information is vital for planning treatment.
Lymph Node Biopsy Process
A lymph node biopsy is a common test for lymphoma. It involves taking out a lymph node or part of it for lab tests. First, the child gets general anesthesia to stay comfortable and pain-free.
The surgeon makes a small cut to get to the lymph node. They then remove the node and send it to the lab. The cut is closed with stitches or staples, and the area is wrapped up.
Bone Marrow Biopsy in Children
A bone marrow biopsy is also important for diagnosing lymphoma, if the disease might be in the bone marrow. This test takes a small bone marrow sample for examination.
Local anesthesia and sometimes sedation are used to reduce pain. A needle is inserted into the bone, usually the hip, to get the marrow sample. The sample is checked for lymphoma cells to see how widespread the disease is.
Recovery After Biopsy Procedures
Recovery time after a biopsy depends on the type of biopsy and the child’s health. Usually, kids can go back to normal activities in a few days. Some pain or soreness at the biopsy site is normal, but it can be managed with over-the-counter pain meds.
| Procedure | Typical Recovery Time | Common Post-Procedure Symptoms |
| Lymph Node Biopsy | 3-5 days | Soreness, swelling at the incision site |
| Bone Marrow Biopsy | 1-3 days | Pain or tenderness at the needle site |
Parents should follow the doctor’s advice for after-care to help their child recover well. While biopsies are important for diagnosis, knowing what to expect can make things less scary.
Advanced Diagnostic Techniques
Advanced diagnostic techniques are key in accurately diagnosing lymphoma in kids. They help doctors find out the exact type of lymphoma. This info is vital for creating a good treatment plan.
Flow Cytometry Test Explained
Flow cytometry is a test that looks at cells in fluids like blood or bone marrow. It’s used to spot the type of lymphocytes affected by cancer. This is important for hematology oncology child specialists to plan the best treatment.
The test works by adding antibodies to cells that stick to certain proteins. Then, these cells go through a flow cytometer. It checks the cells’ size, complexity, and markers.
Cytogenetic and Molecular Studies
Cytogenetic and molecular studies are key to understanding lymphoma’s genetic changes. They find chromosomal and genetic mutations that affect cancer behavior.
Cytogenetic analysis looks at cancer cells’ chromosomes for abnormalities. Molecular studies examine DNA and RNA for specific mutations or patterns linked to lymphoma.
These studies give important details. They help accurately classify lymphoma and predict its progression.
Immunophenotyping for Accurate Classification
Immunophenotyping identifies proteins on cancer cells’ surfaces. This is key for classifying lymphoma into subtypes. It’s essential for choosing the right treatment.
In kids, immunophenotyping tells the difference between Hodgkin and non-Hodgkin lymphoma. It also shows if the lymphoma is B-cell or T-cell. This is vital for understanding prognosis and treatment.
Techniques like flow cytometry, cytogenetic and molecular studies, and immunophenotyping are vital for diagnosing and managing lymphoma in children. They give detailed info about the cancer. This helps hematology oncology child specialists create targeted treatments. Also, PET scan lymphoma detection helps see how far the disease has spread and how well it’s responding to treatment.
Staging and Classification of Childhood Lymphoma
Staging and classification are key in treating childhood lymphoma. They help doctors know how far the disease has spread and what type it is. This information is vital for creating a good treatment plan.
Understanding Lymphoma Stages
Lymphoma staging shows how far the disease has spread in the body. The Ann Arbor Staging System is often used for kids. It divides the disease into four stages based on lymph node involvement and symptoms.
Stages of Lymphoma:
| Stage | Description |
| Stage I | Lymphoma is limited to one lymph node group or a single organ. |
| Stage II | Lymphoma is in two or more lymph node groups on the same side of the diaphragm. |
| Stage III | Lymphoma is in lymph node groups on both sides of the diaphragm. |
| Stage IV | Lymphoma has spread widely through one or more organs that are not part of a lymphatic area. |
How Classification Affects Treatment Planning
Classifying lymphoma means identifying the type of lymphoma cells. This is important because different types need different treatments. The World Health Organization (WHO) system is used to classify lymphoma based on cell type and genetics.
Prognostic Factors in Pediatric Lymphoma
Prognostic factors help predict how well a child will do with treatment. These include the disease stage, lymphoma type, age, and overall health. Knowing these factors helps doctors create a treatment plan that’s just right for the child.
Advanced tests, like biopsy childhood cancer analysis, are key in accurately staging and classifying lymphoma. By using all this information, healthcare providers can make a treatment plan that meets the child’s needs.
The Pediatric Oncology Consultation
A pediatric oncology consultation is a key moment in finding the best treatment for childhood lymphoma. It’s a meeting with experts that helps understand the diagnosis and treatment plan.
Meeting with Hematology Oncology Child Specialists
At this meeting, families talk to specialists in treating lymphoma in children. These experts will go over the diagnosis, the child’s health, and the treatment plan.
They will explain the diagnosis in detail. This includes the type and stage of lymphoma and how it affects treatment. It’s also a time for parents to ask questions and learn about treatment options.
Building Your Child’s Care Team
Building a care team for the child is a big part of the consultation. This team includes pediatric oncologists, nurses, social workers, and more. They will all play a role in the child’s care during treatment.
Knowing what each team member does helps families feel more at ease. It’s also a chance to talk about how to coordinate care and what support is available.
Questions to Ask During Consultations
It’s important to prepare questions for the consultation. Families should think about asking about the treatment plan, side effects, and what to expect during treatment.
- What are the treatment options for my child’s specific type and stage of lymphoma?
- What are the possible side effects of the treatment, and how can they be managed?
- How will my child’s progress be checked during treatment?
Asking these questions ensures families are well-informed and ready for the treatment process.
Communicating the Diagnosis to Your Child
Telling your child they have lymphoma is a tough task. It needs a mix of honesty and reassurance. You must think about your child’s age, what they understand, and how ready they are emotionally.
Age-Appropriate Explanations
It’s key to explain the diagnosis in a way your child can understand. Young kids need simple, reassuring words. They should know they’ll be okay and that doctors are there to help. Older kids and teens might want more details about their illness and treatment.
Tips for Different Age Groups:
- Younger Children (under 6): Use simple terms and focus on reassurance.
- School-age Children (6-12): Provide more detail while being reassuring.
- Teenagers: Offer detailed explanations and involve them in decision-making processes.
Addressing Fears and Questions
After a diagnosis, kids often have fears and questions. It’s important to make them feel safe to talk about their worries. Listen well to their questions and answer them honestly and simply.
| Common Fears | How to Address Them |
| Fear of the unknown | Explain what will happen during treatment in a way they can understand. |
| Fear of pain | Discuss pain management options and reassure them that their comfort is a priority. |
| Fear of isolation | Emphasize the support system they have, including family, friends, and medical staff. |
Involving Child Life Specialists
Child Life Specialists are experts who help kids deal with their diagnosis and treatment. They use play therapy and other methods to help kids understand and cope.
Having Child Life Specialists involved can give your child extra support and guidance. They can also help parents learn how to talk to their child about their diagnosis and treatment.
Emotional Impact on Families
A child’s lymphoma diagnosis is more than a medical issue; it affects the whole family emotionally. The process of finding out can be very stressful and anxiety-inducing.
Coping with Cancer Diagnosis Children
Families facing a child’s cancer diagnosis feel many emotions. They might feel shocked, deny it, get angry, or be sad. It’s important for parents to recognize these feelings and look for help.
Coping Mechanisms:
- Seeking support from family and friends
- Connecting with other families through support groups
- Engaging in stress-reducing activities such as meditation or yoga
Support Resources for Parents and Siblings
Support for the whole family is key during tough times. There are many resources available:
| Resource | Description | Benefit |
| Counseling Services | Professional counseling for emotional support | Helps in managing stress and anxiety |
| Support Groups | Groups for parents and siblings to share experiences | Provides a sense of community and understanding |
| Online Resources | Websites and forums providing information and support | Accessible info and connection anytime |
Connecting with Other Families
Talking to other families going through the same thing is very helpful. It lets you share feelings, advice, and support.
“The support we received from other families was invaluable. It helped us feel less alone and more supported throughout the journey.”
By using these resources and support systems, families can handle the emotional ups and downs of a child’s lymphoma diagnosis better.
Treatment Planning After Diagnosis
After a child is diagnosed with lymphoma, the next step is to plan treatment. A team of healthcare experts works together. They create a treatment plan that fits the child’s needs.
Understanding Treatment Options
Children with lymphoma usually get a mix of treatments. These include chemotherapy, radiation, and sometimes immunotherapy. The choice depends on the lymphoma type, stage, and the child’s health.
Chemotherapy is a main treatment, using drugs to kill cancer cells. Radiation therapy might also be used. It targets cancer in specific areas.
Preparing for the Treatment Journey
Getting ready for treatment is important. Families need to talk to their healthcare team. They should know what to expect and how to handle side effects.
- Understanding the treatment schedule and possible side effects
- Getting support during treatment, like home care or counseling
- Keeping a healthy lifestyle, including good food and rest
Clinical Trial Opportunities
Clinical trials offer new treatments not available elsewhere. Families should talk to their child’s healthcare team about trials. This helps decide if it’s a good option.
Knowing about treatment options, preparing for treatment, and looking into clinical trials helps families make informed choices. This ensures the best care for their child.
Second Opinions and Specialized Centers
When a child is diagnosed with lymphoma, it’s important to understand all treatment options. Families often need to make big decisions about their child’s care. Getting a second opinion can help.
Getting a second opinion can give more insight into treatment options. It’s a common step that can offer peace of mind. It might also reveal new approaches not considered first.
When to Seek Additional Medical Opinions
Choosing to get a second opinion is a personal decision. It depends on how comfortable the family is with the first diagnosis and treatment plan. Some families might want a second opinion right away, while others might wait after talking to their primary doctor.
Here are some times when getting a second opinion is a good idea:
- If the diagnosis is unclear or there are doubts about it.
- If the treatment plan is complex or risky.
- If families are unsure or uncomfortable with the treatment plan.
Finding Pediatric Oncology Centers of Excellence
Specialized centers for pediatric oncology offer tailored care for children with cancer. These centers have teams experienced in treating childhood cancers, including lymphoma.
When looking for a pediatric oncology center, consider these factors:
| Criteria | Description | Importance Level |
| Experience in Pediatric Oncology | Centers with a proven track record in treating childhood cancers. | High |
| Multidisciplinary Care Team | Teams that include oncologists, surgeons, radiologists, and support staff. | High |
| Access to Clinical Trials | Participation in clinical trials can offer cutting-edge treatment options. | Medium |
| Support Services | Availability of counseling, psychological support, and other services for families. | High |
Conclusion: Moving Forward After Diagnosis
Getting a lymphoma diagnosis is just the start of a long journey. Knowing about the diagnosis and treatment can help families move forward. Finding lymphoma early in kids is key to effective treatment.
Dealing with a lymphoma diagnosis in kids is tough, but with the right info and support, families can get through it. The diagnostic process includes blood tests, imaging, and biopsies. These steps help doctors find the best treatment.
Being informed about early detection and the diagnostic process helps parents support their child. It’s vital to work with a pediatric oncology team to create a treatment plan that fits their child’s needs.
Even though the journey ahead seems tough, many kids with lymphoma get better. Understanding the diagnosis and treatment options is the first step towards healing and recovery for families.
FAQ
What are the common symptoms of childhood lymphoma?
Kids with lymphoma might have swollen lymph nodes, fever, weight loss, and feel tired. It’s key for parents to watch for these signs. If they don’t get better or get worse, see a doctor.
What diagnostic tests are used to diagnose lymphoma in children?
Doctors use many tests to find lymphoma in kids. These include imaging like CT and MRI scans, blood tests, and biopsies. They look at lymph nodes and bone marrow.
What is the role of blood tests in pediatric lymphoma detection?
Blood tests help find lymphoma by looking for odd results. A complete blood count (CBC) and blood smear analysis are key. They show if lymphoma or other issues might be present.
What is a lymph node biopsy, and what can it diagnose?
A lymph node biopsy removes a node or tissue sample. It’s used to check for cancer cells. It’s a key test for diagnosing lymphoma.
How is lymphoma staged and classified in children?
Staging and classification help figure out how far the disease has spread and what type it is. This info is vital for treatment planning and predicting how well the child will do.
What is the importance of flow cytometry in lymphoma diagnosis?
Flow cytometry is a detailed test that helps diagnose and classify lymphoma. It’s important for finding the exact type of lymphoma and planning treatment.
What can families expect during the pediatric oncology consultation?
At the pediatric oncology consultation, families meet with experts. They discuss the diagnosis, treatment options, and build a care team. It’s a time to ask questions and get support.
How can families cope with the emotional impact of a lymphoma diagnosis?
Dealing with a child’s cancer diagnosis can be tough. Families can find ways to cope, get support, and connect with others who understand. It helps to share experiences and find comfort.
What are the treatment options for childhood lymphoma?
Treatment for childhood lymphoma includes understanding the options, preparing for the journey, and looking into clinical trials. It’s about finding the best way to help the child.
When should families consider seeking a second opinion?
Families might want a second opinion to confirm the diagnosis, explore other treatments, or feel sure about their plan. It’s a way to get more information and peace of mind.
What are the benefits of accessing care at specialized pediatric oncology centers?
Specialized centers offer experienced doctors, advanced treatments, and full care. They provide more options and reassurance for families. It’s a place where kids can get the best care.
Reference
SEER Cancer Statistics – Childhood Leukemia (ages 0-19):https://seer.cancer.gov/statfacts/html/childleuk.html