Written by
Şevval T
Şevval T Liv Hospital Content Team
Medically reviewed by

Related Doctors

Spec. MD. Gizem Güvener Liv Hospital Ulus Spec. MD. Gizem Güvener Pediatrics Spec. MD. Osman Karlı Liv Hospital Ulus Spec. MD. Osman Karlı Pediatrics Spec. MD. Tamer Ünver Liv Hospital Ulus Spec. MD. Tamer Ünver Neonatal Intensive Care Unit (NICU) Assoc. Prof. MD. Adem Dursun Liv Hospital Vadistanbul Assoc. Prof. MD. Adem Dursun Pediatrics Psyc. Selenay Yücel Keleş Liv Hospital Vadistanbul Psyc. Selenay Yücel Keleş Pediatric Psychology Spec. MD.  Fatih Aydın Liv Hospital Vadistanbul Spec. MD. Fatih Aydın Pediatrics Spec. MD. Dicle Çelik Liv Hospital Vadistanbul Spec. MD. Dicle Çelik Pediatrics Spec. MD. Elif Erdem Özcan Liv Hospital Vadistanbul Spec. MD. Elif Erdem Özcan Pediatrics Spec. MD. Hilal Kızıldağ Liv Hospital Vadistanbul Spec. MD. Hilal Kızıldağ Pediatrics Spec. MD. Mehmet Kılıç Liv Hospital Vadistanbul Spec. MD. Mehmet Kılıç Pediatrics Spec. MD. Ozan Uzunhan Liv Hospital Vadistanbul Spec. MD. Ozan Uzunhan Neonatology Spec. MD. Selami Bayrakdar Liv Hospital Vadistanbul Spec. MD. Selami Bayrakdar Pediatrics Spec. MD. Semra Akkuş Akman Liv Hospital Vadistanbul Spec. MD. Semra Akkuş Akman Pediatrics Asst. Prof. MD. Doruk Gül Liv Hospital Bahçeşehir Asst. Prof. MD. Doruk Gül Pediatric Health and Diseases Prof. MD. Murat Sütçü Liv Hospital Bahçeşehir Prof. MD. Murat Sütçü Pediatric Health and Diseases Prof. MD. Nihat Demir Liv Hospital Bahçeşehir Prof. MD. Nihat Demir Pediatrics Psyc. (Psychologist) Buse Yağmur Liv Hospital Bahçeşehir Psyc. (Psychologist) Buse Yağmur Pediatric Psychology Spec. MD. Cansu Muluk Liv Hospital Bahçeşehir Spec. MD. Cansu Muluk Pediatrics Spec. MD. Dilek Hatipoğlu Liv Hospital Bahçeşehir Spec. MD. Dilek Hatipoğlu Pediatric Health and Diseases Spec. MD. Duygu Amine Garavi Liv Hospital Bahçeşehir Spec. MD. Duygu Amine Garavi Pediatrics Spec. MD. Fatih Kaya Liv Hospital Bahçeşehir Spec. MD. Fatih Kaya Pediatric Health and Diseases Spec. MD. Günel Nüsretzade Elmar Liv Hospital Bahçeşehir Spec. MD. Günel Nüsretzade Elmar Pediatrics Spec. MD. Mey Talip Liv Hospital Bahçeşehir Spec. MD. Mey Talip Pediatric Intensive Care Spec. MD. Negın Nahanmoghaddam Liv Hospital Bahçeşehir Spec. MD. Negın Nahanmoghaddam Pediatrics Spec. MD. Nushaba Abdullayeva Liv Hospital Bahçeşehir Spec. MD. Nushaba Abdullayeva Pediatric Health and Diseases Spec. MD. Refika İlbakan Hanımeli Liv Hospital Bahçeşehir Spec. MD. Refika İlbakan Hanımeli Pediatrics Spec. MD. Selman Alazab Liv Hospital Bahçeşehir Spec. MD. Selman Alazab Pediatrics Spec. MD. Özden Durmuş Gönültaş Liv Hospital Bahçeşehir Spec. MD. Özden Durmuş Gönültaş Pediatrics Spec. Md. Öznur Ceylan Liv Hospital Bahçeşehir Spec. Md. Öznur Ceylan Pediatric Health and Diseases Assoc. Prof. MD. Aslan Yılmaz Liv Hospital Topkapı Assoc. Prof. MD. Aslan Yılmaz Neonatology Prof. MD. Alpay Çakmak Liv Hospital Topkapı Prof. MD. Alpay Çakmak Pediatrics Spec. MD. Demet Deniz Bilgin Liv Hospital Topkapı Spec. MD. Demet Deniz Bilgin Pediatrics Spec. MD. Nesrin Köseoğlu Liv Hospital Topkapı Spec. MD. Nesrin Köseoğlu Pediatric and Adolescent Psychiatry Spec. MD. Seçil Sözen Liv Hospital Topkapı Spec. MD. Seçil Sözen Pediatrics Spec. MD. Özge Akça Liv Hospital Topkapı Spec. MD. Özge Akça Pediatrics Spec. MD. Şeyma Öz Liv Hospital Topkapı Spec. MD. Şeyma Öz Pediatrics Asst. Prof. MD. Pakize Elif Alkış Liv Hospital Ankara Asst. Prof. MD. Pakize Elif Alkış Pediatrics Prof. MD. Musa Kazım Çağlar Liv Hospital Ankara Prof. MD. Musa Kazım Çağlar Pediatrics Prof. MD. İbrahim Hakan Bucak Liv Hospital Ankara Prof. MD. İbrahim Hakan Bucak Pediatrics Prof.MD. Sevgi Başkan Liv Hospital Ankara Prof.MD. Sevgi Başkan Pediatrics Spec. MD. Büşra Süzen Celbek Liv Hospital Ankara Spec. MD. Büşra Süzen Celbek Pediatrics Spec. MD. Galip Erdem Liv Hospital Ankara Spec. MD. Galip Erdem Pediatrics Spec. MD. Hafsa Uçur Liv Hospital Ankara Spec. MD. Hafsa Uçur Pediatric Health and Diseases Spec. MD. Hidayet Katipoğlu Liv Hospital Ankara Spec. MD. Hidayet Katipoğlu Pediatric Health and Diseases Spec. MD. Hüsniye Altan Liv Hospital Ankara Spec. MD. Hüsniye Altan Pediatrics Spec. MD. Mehmet Turfanda Liv Hospital Ankara Spec. MD. Mehmet Turfanda Pediatric Health and Diseases Spec. MD. Mustafa Yücel Kızıltan Liv Hospital Ankara Spec. MD. Mustafa Yücel Kızıltan Pediatrics Spec. MD.  Seral Navdar Liv Hospital Gaziantep Spec. MD. Seral Navdar Pediatric Health and Diseases Spec. MD. Gül Balyemez Liv Hospital Gaziantep Spec. MD. Gül Balyemez Pediatric Health and Diseases Spec. MD. Hasan Avşar Liv Hospital Gaziantep Spec. MD. Hasan Avşar Neonatology Spec. MD. Mert Çakır Liv Hospital Gaziantep Spec. MD. Mert Çakır Pediatrics Spec. MD. Saltuk Buğra Böke Liv Hospital Gaziantep Spec. MD. Saltuk Buğra Böke Pediatric Health and Diseases Spec. MD. Özlem Karaoğlu Liv Hospital Gaziantep Spec. MD. Özlem Karaoğlu Pediatric Health and Diseases Spec. MD. İsmail Ersan Can Liv Hospital Gaziantep Spec. MD. İsmail Ersan Can Pediatric Health and Diseases Spec. MD. Şekibe Zehra Doğan Liv Hospital Gaziantep Spec. MD. Şekibe Zehra Doğan Pediatric Health and Diseases Spec. MD. Gülsenem Sarı Aracı Liv Hospital Samsun Spec. MD. Gülsenem Sarı Aracı Pediatric Health and Diseases Spec. MD. Nazlı Karakullukcu Çebi Liv Hospital Samsun Spec. MD. Nazlı Karakullukcu Çebi Pediatrics Spec. MD. Nezih Akgün Liv Hospital Samsun Spec. MD. Nezih Akgün Pediatric Health and Diseases Spec. MD. Pelin Aytaç Uras Liv Hospital Samsun Spec. MD. Pelin Aytaç Uras Pediatrics MD. VEFA İSAYEVA Liv Bona Dea Hospital Bakü MD. VEFA İSAYEVA Pediatric Health and Diseases Spec. MD.  Elnur Hüseynov Liv Bona Dea Hospital Bakü Spec. MD. Elnur Hüseynov Pediatrics Spec. MD. INARE ELDAROVA Liv Bona Dea Hospital Bakü Spec. MD. INARE ELDAROVA Pediatrics Spec. MD. SADİQ İSMAYILOV Liv Bona Dea Hospital Bakü Spec. MD. SADİQ İSMAYILOV Pediatric Health and Diseases MD. Dr. Elnur Hüseynov MD. Dr. Elnur Hüseynov Pediatrics Spec. MD. Doğa Sevinçok Spec. MD. Doğa Sevinçok Pediatric and Adolescent Psychiatry Spec. MD. Sadık İsmayılov Pediatrics Assoc. Prof. MD. Muhammet Ali Varkal Liv Hospital Ulus + Liv Hospital Topkapı Assoc. Prof. MD. Muhammet Ali Varkal Pediatrics Spec. MD. Melike Akar Liv Hospital Bahçeşehir + Liv Hospital Topkapı Spec. MD. Melike Akar Pediatrics
...
Views
Read Time
...
views
Read Time
Pediatric tumor causation factors: Critical Guide
Pediatric Tumor Causation Factors: Critical Guide 4

Childhood cancer is a rare but devastating disease that affects thousands of children worldwide each year. Recent studies have shown that the incidence of childhood cancer is on the rise, with a significant increase in the number of cases diagnosed annually. We are committed to understanding the complex factors that contribute to childhood cancer development, including genetic and environmental influences.

Understanding the triggers behind genetic mutation triggers is key for developing effective prevention and treatment strategies. We explore the various pediatric tumor causation factors that play a role in the development of tumors in children. Our goal is to shed light on this complex issue.

Key Takeaways

  • Childhood cancer is a rare but increasingly common disease.
  • Genetic and environmental factors contribute to childhood cancer development.
  • Understanding genetic mutation triggers is key for prevention and treatment.
  • Pediatric tumor causation factors are complex and multifaceted.
  • Effective prevention and treatment strategies are being developed.

Understanding Childhood Tumors

It’s important to understand childhood tumors to improve treatment and outcomes. These tumors are complex, involving genetics, environment, and biology.

Definition and Classification of Pediatric Tumors

Pediatric tumors are abnormal growths in kids under 18. They can be benign or malignant. Knowing the type helps choose the right treatment.

There are many types of pediatric tumors. These include leukemias, lymphomas, brain tumors, and solid tumors like neuroblastoma. Each needs a specific treatment plan.

Prevalence and Incidence Rates

Childhood cancer is a major cause of death in kids. The rates of these tumors vary by age. For example, leukemia is most common in kids aged 2 to 5.

Knowing the rates helps us find risk factors and screen more effectively. This way, we can better use resources and improve treatment.

Differences Between Adult and Pediatric Tumors

Adult and pediatric tumors differ in biology and treatment response. Pediatric tumors often have unique genetic and molecular profiles. This affects their aggressiveness and how well they respond to treatment.

  • Genetic Factors: Pediatric tumors are more likely to be linked to genetic mutations and inherited syndromes.
  • Tumor Biology: Pediatric tumors can be more diverse and aggressive.
  • Treatment Response: Kids usually handle intense treatments better than adults. But, we must watch for long-term effects.

Understanding these differences is key to creating treatments that work best for kids with cancer.

The Biology of Tumor Development in Children

Pediatric tumor causation factors: Critical Guide
Pediatric Tumor Causation Factors: Critical Guide 5

Tumors in kids grow from a mix of cell, developmental, and molecular factors. Knowing these factors helps create better treatments and better outcomes for kids with cancer.

Cellular Transformation Process

The process of cells turning into cancer in kids is complex. It starts with normal cells changing into cancer cells, often because of genetic changes or environmental factors. Genetic mutations are key in this change, causing cells to grow out of control and form tumors.

Studies reveal that how cancer starts in kids is different from adults. Kids’ cancers often have unique genetic and molecular causes. For example, some cancers in kids are caused by specific genetic changes not seen in adult cancers.

Developmental Biology Insights

Developmental biology sheds light on how tumors form in kids. Kids’ cells and tissues grow fast, which raises the risk of genetic changes and cancer. Knowing how growth affects tumor formation helps find new treatments.

Research shows that some developmental paths are broken in kids’ cancers. This leads to tumor growth. For instance, some cancers in kids have too much activity in early developmental paths, pushing tumor growth.

Molecular Signaling Disruption

Disruptions in molecular signaling are also key in kids’ tumors. Signaling pathways control cell growth and behavior. When these pathways are broken, cancer can start. Finding the right signaling pathways in kids’ cancers helps make targeted treatments.

  • Some cancers in kids have problems with the PI3K/AKT pathway, making cells live longer and grow more.
  • Other cancers might have issues with the MAPK/ERK pathway, causing cells to grow too much.

Understanding the molecular signaling problems in kids’ cancers helps make treatments that target these issues. This could lead to better results for kids with cancer.

Genetic Mutations as Primary Triggers

Genetic mutations are key to understanding pediatric tumors. These changes in DNA can happen on their own or be passed down. They can greatly affect how cells work and grow.

Spontaneous Genetic Mutations

Spontaneous genetic mutations happen without a known cause. They can come from errors in DNA copying or environmental factors. In kids, these mutations can cause tumors by messing with cell functions.

Spontaneous mutations in genes important for cell growth can lead to cancer. We’ll see how these mutations cause tumors.

Oncogenes and Tumor Suppressor Genes

Pediatric tumor causation factors: Critical Guide
Pediatric Tumor Causation Factors: Critical Guide 6

Oncogenes and tumor suppressor genes control cell growth. Oncogenes can cause cancer if they mutate or are too active. On the other hand, tumor suppressor genes stop cancer by fixing DNA, slowing cell division, or killing damaged cells.

Genetic Instability Factors

Genetic instability means cells are more likely to change their DNA. This can happen because of DNA repair problems or issues with chromosome division. Factors that cause genetic instability can make cells more likely to get tumors.

Knowing what causes genetic instability is key to fighting cancer. We’ll look at how these factors work with others to cause childhood tumors.

Inherited Cancer Syndromes

It’s important to know about inherited cancer syndromes to understand childhood cancer risks. These syndromes are genetic and can greatly increase cancer risk.

Li-Fraumeni Syndrome

Li-Fraumeni Syndrome is a rare genetic disorder. It makes people, mostly kids and young adults, more likely to get cancer. It’s linked to a gene called TP53.

Having Li-Fraumeni Syndrome in your family means you might get cancers like breast cancer, brain tumors, and sarcomas. Testing for TP53 mutations can help catch these risks early.

Retinoblastoma and RB1 Gene Mutations

Retinoblastoma is a cancer that mostly hits young kids. It’s caused by RB1 gene mutations. This cancer often shows up in both eyes early on.

Testing for RB1 mutations can spot at-risk kids. Knowing the genetic cause helps manage the disease and lower the chance of more cancers.

Other Hereditary Cancer Risk Factors

There are other syndromes that raise childhood cancer risk too. For example, familial adenomatous polyposis (FAP) and neurofibromatosis type 1 (NF1).

SyndromeGene MutationCancer Risk
Li-Fraumeni SyndromeTP53Breast cancer, brain tumors, sarcomas
RetinoblastomaRB1Eye cancer
Familial Adenomatous Polyposis (FAP)APCColorectal cancer
Neurofibromatosis Type 1 (NF1)NF1Nerve tissue tumors

Knowing about these syndromes and their genes is key for helping kids with cancer. It helps doctors find and prevent problems early.

Chromosomal Abnormalities in Pediatric Tumors

Tumors in children often come with chromosomal changes. These changes help us understand the disease better. Chromosomal abnormalities are common in many pediatric tumors.

Translocations and Fusion Genes

Translocations are big changes in chromosomes. They happen when parts of two chromosomes swap places. This creates fusion genes, which are abnormal proteins that help tumors grow.

For example, Ewing’s sarcoma, a bone cancer in kids, often has the EWS-FLI1 fusion gene.

Chromosomal Deletion and Duplication

Chromosomal deletions and duplications are also common. Deletions mean losing genetic material. Duplications mean gaining extra genetic material.

These changes can mess with genes that control cell growth. Losing tumor suppressor genes can cause tumors to grow without control.

Detection Methods for Chromosomal Abnormalities

Finding chromosomal changes is key for treating pediatric tumors. We use karyotyping, fluorescence in situ hybridization (FISH), and array comparative genomic hybridization (aCGH) to find these changes.

These methods help doctors know what changes are there. This information helps decide treatment and gives clues about the tumor’s future.

Environmental Exposure Risks

We look into how the environment can lead to tumors in kids. Things like radiation and chemicals can increase cancer risk in children. Knowing how these affect us can help us fight cancer better.

Radiation Exposure

Radiation is a big risk for kids getting cancer. Ionizing radiation can change genes and cause cancer. Kids are more at risk because their bodies are growing.

Sources of radiation exposure include:

  • Medical imaging procedures, such as CT scans
  • Nuclear accidents or fallout
  • Certain industrial or occupational exposures

Chemical Carcinogens

Chemicals that can cause cancer are everywhere. Kids can get exposed through air, water, and food. This is because of pollution and contaminated items.

Examples of chemical carcinogens include:

  • Benzene, found in gasoline and industrial emissions
  • Pesticides and herbicides
  • Polycyclic aromatic hydrocarbons (PAHs)

Parental Occupational Exposures

Jobs can also affect kids’ cancer risk. Chemicals from work can get home on clothes or in other ways. This can expose kids.

Occupations associated with increased risk include:

  • Industrial workers exposed to chemicals
  • Healthcare workers exposed to certain drugs or radiation
  • Workers in the agricultural sector exposed to pesticides

To show how environment and cancer are linked, here’s a summary:

Exposure TypeExamplesPotential Cancer Risk
Radiation ExposureMedical imaging, nuclear accidentsLeukemia, other cancers
Chemical CarcinogensBenzene, pesticides, PAHsLeukemia, lymphoma, other cancers
Parental Occupational ExposuresIndustrial chemicals, agricultural pesticidesVarious childhood cancers

In conclusion, environmental risks are key to understanding childhood cancer. By knowing these risks, we can lower the chance of kids getting cancer.

Viral Infections and Immune System Factors

It’s important to know how viral infections and childhood cancer are connected. Some viruses can increase the risk of cancer in kids. We need to study this link more.

Oncogenic Viruses in Childhood Cancer

Oncogenic viruses can cause cancer in kids. For example, the Epstein-Barr virus (EBV) is linked to lymphoma and other cancers. EBV infects B lymphocytes, which can grow out of control and form tumors.

These viruses disrupt normal cell functions. They can change the host’s genes and weaken the immune system. This leads to tumor growth.

Immune System Disorders and Cancer Risk

Immune system problems can raise cancer risk in kids. Kids with weak immune systems are more likely to get infections and cancer.

For instance, kids with primary immunodeficiency diseases struggle to fight cancer cells. Kids on immunosuppressive therapy, like those with organ transplants, also face higher cancer risks.

Immunosuppression and Tumor Development

Immunosuppression makes it hard for the body to stop tumor growth. A weakened immune system can’t fight off cancer cells well. This can lead to tumors.

Understanding how viruses, immune issues, and immunosuppression work together is key. It helps us find better treatments and prevention for kids with cancer.

Pediatric Tumor Causation Factors: A Comprehensive Overview

Childhood tumors come from a mix of genetic changes, environmental factors, and age-specific risks. Knowing these is key to better prevention and treatment.

Multifactorial Nature of Childhood Tumors

Childhood tumors are complex, caused by many genetic and environmental factors. These factors work together in complex ways, making it hard to pinpoint a single cause.

Both genetics and environment play a part in these tumors. For example, some genetic syndromes raise the risk of certain tumors.

Interaction Between Genetic and Environmental Factors

Childhood tumors often result from the mix of genetic and environmental factors. Genetic changes can affect how cells react to the environment. At the same time, environmental factors can change gene expression.

For example, ionizing radiation can lead to genetic mutations, increasing tumor risk. Environmental toxins can also interact with genes, raising cancer risk.

Age-Specific Risk Factors

Age is a big factor in childhood tumors. Different tumors are more common at different ages, showing age-specific risks.

Infantile tumors have unique genetic traits compared to those in older kids. Understanding these age-specific risks allows us to design targeted prevention strategies and enhance screening efforts.

Common Types of Childhood Tumors and Their Causes

It’s important to know about the different kinds of tumors in kids. Childhood cancers come in many forms, each with its own risk factors and causes.

Leukemias and Lymphomas

Leukemias are the top cancer in kids, making up 30% of all childhood cancers. Acute lymphoblastic leukemia (ALL) is the most common, where lymphoblasts grow too much in the bone marrow. We don’t know all the causes, but genetics and the environment might play a part.

Lymphomas are another common cancer in kids, affecting the lymphatic system. Hodgkin lymphoma and non-Hodgkin lymphoma are the main types, with different risks. Epstein-Barr virus can raise the risk of some lymphomas.

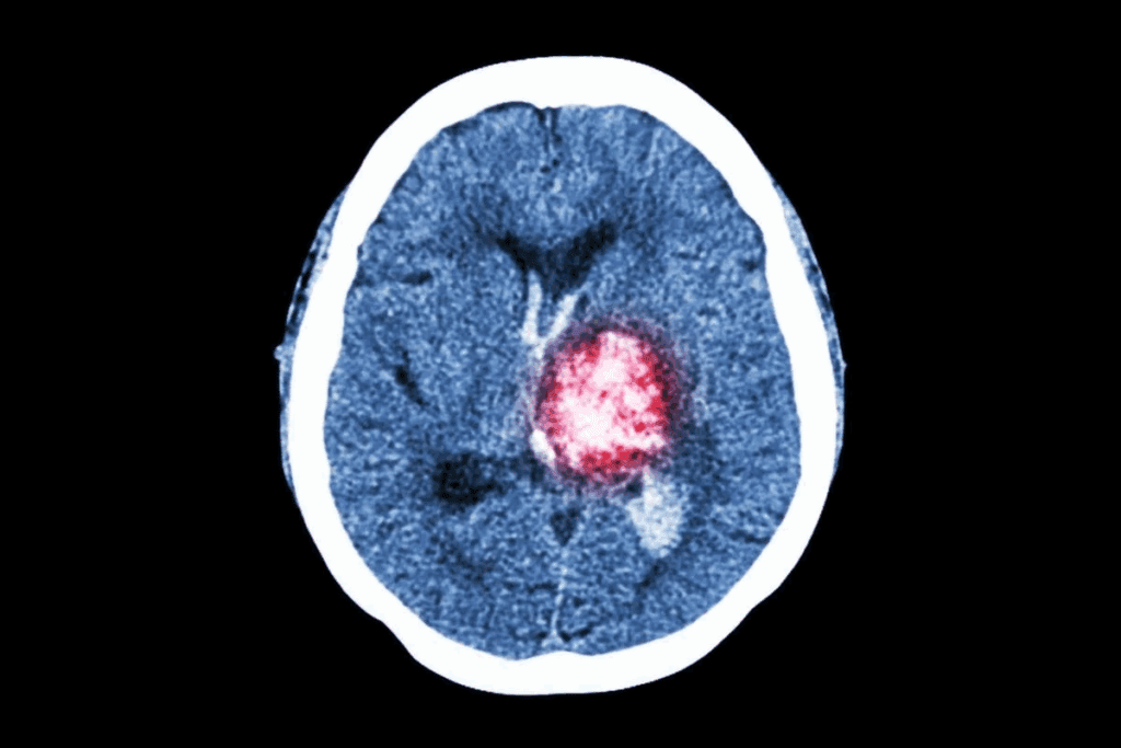
Brain and Central Nervous System Tumors

Brain and CNS tumors are the second most common in kids. They can happen in different parts of the brain and spinal cord. Medulloblastoma and gliomas are common types. Genetic conditions like neurofibromatosis can increase the risk.

“The development of brain tumors in children is often associated with genetic predisposition and certain environmental exposures.” – Expert in Pediatric Oncology

Solid Tumors: Neuroblastoma, Wilms Tumor, and Rhabdomyosarcoma

Solid tumors in kids include neuroblastoma, Wilms tumor, and rhabdomyosarcoma. Each has its own features and age groups. Neuroblastoma comes from neural crest cells and can be in different places. Wilms tumor affects the kidneys, and rhabdomyosarcoma is a soft tissue sarcoma that can be anywhere in the body.

The causes of these tumors are both genetic and environmental. For example, mutations in the WT1 gene increase Wilms tumor risk. Knowing these causes helps us find better ways to prevent and treat these cancers.

Diagnostic Approaches for Identifying Tumor Causes

Diagnosing childhood tumors is key to finding their causes. Today’s diagnostic methods are much better. They help doctors give accurate diagnoses and treatments.

Medical Diagnostic Techniques

Medical tests are essential for diagnosing childhood tumors. MRI and CT scans show where and how big the tumor is. They also check if it has spread.

Biopsy procedures are also important. They let doctors look at tumor cells. This helps them know the tumor’s type and how aggressive it is.

Ultrasound and X-ray exams give first clues about tumors. These tests, along with doctor’s checks, help diagnose tumors in kids.

Genetic Testing and Counseling

Genetic testing is vital for understanding childhood tumors. It looks at a child’s genes to find mutations that might cause the tumor. This info helps doctors plan treatments.

Genetic counseling is also important. It tells families about their child’s genetic condition. It also talks about family planning and risk for other family members.

Molecular Profiling of Tumors

Molecular profiling looks at tumor cells’ genetics and molecules. It finds biomarkers that help decide treatments. This approach gives insights into how the tumor might behave.

Techniques like next-generation sequencing analyze tumor genetics deeply. They find targets for treatments. This helps in making treatment plans that fit each child’s needs.

Diagnostic ApproachDescriptionBenefits
Medical ImagingUse of MRI, CT scans, and other imaging techniques to visualize tumors.Accurate tumor localization and sizing.
Biopsy and HistopathologyExamination of tumor tissue to determine cell type and aggressiveness.Definitive diagnosis and tumor classification.
Genetic TestingAnalysis of genetic material to identify mutations associated with tumors.Identification of genetic predispositions and targeted treatment options.
Molecular ProfilingDetailed analysis of tumor genetics to identify biomarkers and therapeutic targets.Personalized treatment planning and possible targeted therapies.

Screening and Early Detection Strategies

Screening is key in finding childhood cancers early. This boosts the chance of successful treatment. Early detection can lead to better outcomes for kids.

Medical Screening Methodology

Screening for childhood cancer includes various tests. These are based on the child’s age, risk factors, and medical history. Comprehensive physical examinations are vital. They can spot abnormalities that might mean cancer.

Imaging tests like X-rays, ultrasounds, and MRIs help see inside the body. These tests are used to check for cancer before symptoms show.

We use these methods to catch problems early. For example, ultrasound is often used for kids at risk of certain tumors, like Wilms tumor.

Screening MethodDescriptionApplication
Physical ExaminationComprehensive check-up to identify abnormalitiesRoutine check-ups, risk assessment
Imaging Tests (X-rays, Ultrasound, MRI)Visualization of internal organs and structuresDiagnostic purposes, monitoring
Blood TestsAnalysis of blood components to detect markers or abnormalitiesDiagnostic support, monitoring treatment response

Risk-Based Screening Approaches

Risk-based screening focuses on kids at higher cancer risk. This includes genetic predispositions, family history, or environmental factors. Genetic testing is key in identifying these risks.

For kids with a genetic risk, we use more careful screening. This includes regular imaging and biomarker tests. It helps find cancer early.

Emerging Screening Technologies

Pediatric oncology is seeing new screening tech, like liquid biopsies and next-generation sequencing (NGS). These could lead to earlier, more accurate cancer detection.

Liquid biopsies check blood for cancer DNA without surgery. NGS quickly sequences genes to find cancer-causing mutations.

As these techs improve, they’ll likely become part of our standard screening. This will help us detect and treat childhood cancers better.

Prevention Strategies Based on Causal Factors

We can fight childhood tumors by understanding their causes. This knowledge helps us create better prevention plans. It’s key to lowering the risk of cancer in kids.

Reducing Environmental Exposures

One big way to prevent cancer is to cut down on harmful environmental exposures. This means less ionizing radiation, certain chemicals, and pollutants.

  • Avoiding unnecessary medical radiation
  • Reducing exposure to pesticides and herbicides
  • Limiting contact with heavy metals and other pollutants

Genetic Counseling for High-Risk Families

Genetic counseling is vital for families with a history of cancer. It helps figure out the risk of passing on cancer-causing genes.

Genetic SyndromeCancer RiskCounseling Approach
Li-Fraumeni SyndromeHigh risk of various cancersComprehensive genetic testing and surveillance
RetinoblastomaEye cancer in childrenGenetic testing for RB1 gene mutations

Lifestyle and Nutrition Considerations

Lifestyle and diet can also affect cancer risk in kids. While some factors are out of their control, good nutrition can help.

Nutritional Factors: Eating more fruits, veggies, and whole grains is good. Avoid too much processed food and sugar.

Maternal Health: What the mom eats and stays healthy during pregnancy matters a lot for the kid’s cancer risk.

Current Research and Future Directions

Research is making big strides in understanding childhood tumors. We’re learning more about the causes and how they start. This is thanks to new medical tech and scientific discoveries.

Advances in Understanding Tumor Initiation

Studies have greatly improved our knowledge of tumor start in kids. It’s clear that genetic changes are key in many cancers. For example, some cancers start from random genetic changes, while others are linked to inherited conditions.

Key factors in tumor initiation include:

  • Genetic instability
  • Oncogene activation
  • Tumor suppressor gene inactivation

Targeted Therapies Based on Causal Factors

Targeted therapies are a big step forward in treating childhood cancer. By knowing the genetic and molecular reasons behind tumors, scientists can create treatments that directly target these causes.

Examples of targeted therapies include:

  1. Tyrosine kinase inhibitors for leukemias with specific genetic mutations
  2. PARP inhibitors for tumors with defects in DNA repair mechanisms
  3. Immunotherapies that harness the body’s immune system to fight cancer

Promising Areas of Research

There are many promising research areas for tackling childhood tumors. These include studying the tumor environment, the role of epigenetics, and precision medicine.

Emerging trends in pediatric cancer research:

  • Integration of genomic data with clinical information
  • Development of novel therapeutic agents
  • Investigation of the impact of environmental exposures on cancer risk

Conclusion: The Complex Landscape of Childhood Tumor Causation

Understanding childhood tumor causes is key to better prevention and treatment. We’ve looked at many factors, like genetic changes and environmental exposures. These include genetic mutations and inherited syndromes.

The way these factors work together is complex. Their effects can change based on the child’s age. Knowing this helps us find and help high-risk kids early.

New technologies like genetic testing are helping us understand tumors better. We’re learning more about how tumors grow. This knowledge leads to new treatments and better care for kids.

We must keep studying to improve treatments for childhood tumors. This research will help us find more effective ways to fight these diseases.

FAQ

References:

  • Chen, X., et al. (2024). Developmental origins shape the pediatric cancer genome. Nature Communications, 15, 2124.https://pmc.ncbi.nlm.nih.gov/articles/PMC11571274/
i

Medical Disclaimer

The content on this page is for informational purposes only and is not a substitute for professional medical advice, diagnosis or treatment. Always consult a qualified healthcare provider regarding any medical conditions.

Get a Free Quote

Response within 2 hours during business hours

Clinics/branches
GDPR

Related Doctors

Spec. MD. Gizem Güvener Liv Hospital Ulus Spec. MD. Gizem Güvener Pediatrics Spec. MD. Osman Karlı Liv Hospital Ulus Spec. MD. Osman Karlı Pediatrics Spec. MD. Tamer Ünver Liv Hospital Ulus Spec. MD. Tamer Ünver Neonatal Intensive Care Unit (NICU) Assoc. Prof. MD. Adem Dursun Liv Hospital Vadistanbul Assoc. Prof. MD. Adem Dursun Pediatrics Psyc. Selenay Yücel Keleş Liv Hospital Vadistanbul Psyc. Selenay Yücel Keleş Pediatric Psychology Spec. MD.  Fatih Aydın Liv Hospital Vadistanbul Spec. MD. Fatih Aydın Pediatrics Spec. MD. Dicle Çelik Liv Hospital Vadistanbul Spec. MD. Dicle Çelik Pediatrics Spec. MD. Elif Erdem Özcan Liv Hospital Vadistanbul Spec. MD. Elif Erdem Özcan Pediatrics Spec. MD. Hilal Kızıldağ Liv Hospital Vadistanbul Spec. MD. Hilal Kızıldağ Pediatrics Spec. MD. Mehmet Kılıç Liv Hospital Vadistanbul Spec. MD. Mehmet Kılıç Pediatrics Spec. MD. Ozan Uzunhan Liv Hospital Vadistanbul Spec. MD. Ozan Uzunhan Neonatology Spec. MD. Selami Bayrakdar Liv Hospital Vadistanbul Spec. MD. Selami Bayrakdar Pediatrics Spec. MD. Semra Akkuş Akman Liv Hospital Vadistanbul Spec. MD. Semra Akkuş Akman Pediatrics Asst. Prof. MD. Doruk Gül Liv Hospital Bahçeşehir Asst. Prof. MD. Doruk Gül Pediatric Health and Diseases Prof. MD. Murat Sütçü Liv Hospital Bahçeşehir Prof. MD. Murat Sütçü Pediatric Health and Diseases Prof. MD. Nihat Demir Liv Hospital Bahçeşehir Prof. MD. Nihat Demir Pediatrics Psyc. (Psychologist) Buse Yağmur Liv Hospital Bahçeşehir Psyc. (Psychologist) Buse Yağmur Pediatric Psychology Spec. MD. Cansu Muluk Liv Hospital Bahçeşehir Spec. MD. Cansu Muluk Pediatrics Spec. MD. Dilek Hatipoğlu Liv Hospital Bahçeşehir Spec. MD. Dilek Hatipoğlu Pediatric Health and Diseases Spec. MD. Duygu Amine Garavi Liv Hospital Bahçeşehir Spec. MD. Duygu Amine Garavi Pediatrics Spec. MD. Fatih Kaya Liv Hospital Bahçeşehir Spec. MD. Fatih Kaya Pediatric Health and Diseases Spec. MD. Günel Nüsretzade Elmar Liv Hospital Bahçeşehir Spec. MD. Günel Nüsretzade Elmar Pediatrics Spec. MD. Mey Talip Liv Hospital Bahçeşehir Spec. MD. Mey Talip Pediatric Intensive Care Spec. MD. Negın Nahanmoghaddam Liv Hospital Bahçeşehir Spec. MD. Negın Nahanmoghaddam Pediatrics Spec. MD. Nushaba Abdullayeva Liv Hospital Bahçeşehir Spec. MD. Nushaba Abdullayeva Pediatric Health and Diseases Spec. MD. Refika İlbakan Hanımeli Liv Hospital Bahçeşehir Spec. MD. Refika İlbakan Hanımeli Pediatrics Spec. MD. Selman Alazab Liv Hospital Bahçeşehir Spec. MD. Selman Alazab Pediatrics Spec. MD. Özden Durmuş Gönültaş Liv Hospital Bahçeşehir Spec. MD. Özden Durmuş Gönültaş Pediatrics Spec. Md. Öznur Ceylan Liv Hospital Bahçeşehir Spec. Md. Öznur Ceylan Pediatric Health and Diseases Assoc. Prof. MD. Aslan Yılmaz Liv Hospital Topkapı Assoc. Prof. MD. Aslan Yılmaz Neonatology Prof. MD. Alpay Çakmak Liv Hospital Topkapı Prof. MD. Alpay Çakmak Pediatrics Spec. MD. Demet Deniz Bilgin Liv Hospital Topkapı Spec. MD. Demet Deniz Bilgin Pediatrics Spec. MD. Nesrin Köseoğlu Liv Hospital Topkapı Spec. MD. Nesrin Köseoğlu Pediatric and Adolescent Psychiatry Spec. MD. Seçil Sözen Liv Hospital Topkapı Spec. MD. Seçil Sözen Pediatrics Spec. MD. Özge Akça Liv Hospital Topkapı Spec. MD. Özge Akça Pediatrics Spec. MD. Şeyma Öz Liv Hospital Topkapı Spec. MD. Şeyma Öz Pediatrics Asst. Prof. MD. Pakize Elif Alkış Liv Hospital Ankara Asst. Prof. MD. Pakize Elif Alkış Pediatrics Prof. MD. Musa Kazım Çağlar Liv Hospital Ankara Prof. MD. Musa Kazım Çağlar Pediatrics Prof. MD. İbrahim Hakan Bucak Liv Hospital Ankara Prof. MD. İbrahim Hakan Bucak Pediatrics Prof.MD. Sevgi Başkan Liv Hospital Ankara Prof.MD. Sevgi Başkan Pediatrics Spec. MD. Büşra Süzen Celbek Liv Hospital Ankara Spec. MD. Büşra Süzen Celbek Pediatrics Spec. MD. Galip Erdem Liv Hospital Ankara Spec. MD. Galip Erdem Pediatrics Spec. MD. Hafsa Uçur Liv Hospital Ankara Spec. MD. Hafsa Uçur Pediatric Health and Diseases Spec. MD. Hidayet Katipoğlu Liv Hospital Ankara Spec. MD. Hidayet Katipoğlu Pediatric Health and Diseases Spec. MD. Hüsniye Altan Liv Hospital Ankara Spec. MD. Hüsniye Altan Pediatrics Spec. MD. Mehmet Turfanda Liv Hospital Ankara Spec. MD. Mehmet Turfanda Pediatric Health and Diseases Spec. MD. Mustafa Yücel Kızıltan Liv Hospital Ankara Spec. MD. Mustafa Yücel Kızıltan Pediatrics Spec. MD.  Seral Navdar Liv Hospital Gaziantep Spec. MD. Seral Navdar Pediatric Health and Diseases Spec. MD. Gül Balyemez Liv Hospital Gaziantep Spec. MD. Gül Balyemez Pediatric Health and Diseases Spec. MD. Hasan Avşar Liv Hospital Gaziantep Spec. MD. Hasan Avşar Neonatology Spec. MD. Mert Çakır Liv Hospital Gaziantep Spec. MD. Mert Çakır Pediatrics Spec. MD. Saltuk Buğra Böke Liv Hospital Gaziantep Spec. MD. Saltuk Buğra Böke Pediatric Health and Diseases Spec. MD. Özlem Karaoğlu Liv Hospital Gaziantep Spec. MD. Özlem Karaoğlu Pediatric Health and Diseases Spec. MD. İsmail Ersan Can Liv Hospital Gaziantep Spec. MD. İsmail Ersan Can Pediatric Health and Diseases Spec. MD. Şekibe Zehra Doğan Liv Hospital Gaziantep Spec. MD. Şekibe Zehra Doğan Pediatric Health and Diseases Spec. MD. Gülsenem Sarı Aracı Liv Hospital Samsun Spec. MD. Gülsenem Sarı Aracı Pediatric Health and Diseases Spec. MD. Nazlı Karakullukcu Çebi Liv Hospital Samsun Spec. MD. Nazlı Karakullukcu Çebi Pediatrics Spec. MD. Nezih Akgün Liv Hospital Samsun Spec. MD. Nezih Akgün Pediatric Health and Diseases Spec. MD. Pelin Aytaç Uras Liv Hospital Samsun Spec. MD. Pelin Aytaç Uras Pediatrics MD. VEFA İSAYEVA Liv Bona Dea Hospital Bakü MD. VEFA İSAYEVA Pediatric Health and Diseases Spec. MD.  Elnur Hüseynov Liv Bona Dea Hospital Bakü Spec. MD. Elnur Hüseynov Pediatrics Spec. MD. INARE ELDAROVA Liv Bona Dea Hospital Bakü Spec. MD. INARE ELDAROVA Pediatrics Spec. MD. SADİQ İSMAYILOV Liv Bona Dea Hospital Bakü Spec. MD. SADİQ İSMAYILOV Pediatric Health and Diseases MD. Dr. Elnur Hüseynov MD. Dr. Elnur Hüseynov Pediatrics Spec. MD. Doğa Sevinçok Spec. MD. Doğa Sevinçok Pediatric and Adolescent Psychiatry Spec. MD. Sadık İsmayılov Pediatrics Assoc. Prof. MD. Muhammet Ali Varkal Liv Hospital Ulus + Liv Hospital Topkapı Assoc. Prof. MD. Muhammet Ali Varkal Pediatrics Spec. MD. Melike Akar Liv Hospital Bahçeşehir + Liv Hospital Topkapı Spec. MD. Melike Akar Pediatrics
Trusted Worldwide
30
Years of
Experience
30 Years Badge
Health Türkiye Accreditation

Trusted Worldwide

30 Years of Experience

Patient Reviews
Reviews from 9,651
4,9
Was this content helpful?
Your feedback helps us improve.
What did you like?
Share more details about your experience.
You must give consent to continue.

Thank you!

Your feedback has been submitted successfully. Your input is valuable in helping us improve.

Book a Free Certified Online
Doctor Consultation

Clinics/branches
GDPR

We're Here to Help.
Get in Touch

Send us all your questions or requests, and our
expert team will assist you.

Our Doctors

Assoc. Prof. MD. Muhammet Ali Varkal Pediatrics

Assoc. Prof. MD. Muhammet Ali Varkal

Liv Hospital Ulus
Liv Hospital Topkapı
Spec. MD. Gizem Güvener Pediatrics

Spec. MD. Gizem Güvener

Liv Hospital Ulus
Spec. MD. Osman Karlı Pediatrics

Spec. MD. Osman Karlı

Liv Hospital Ulus
Spec. MD. Tamer Ünver Neonatal Intensive Care Unit (NICU)

Spec. MD. Tamer Ünver

Liv Hospital Ulus
Assoc. Prof. MD. Adem Dursun Pediatrics

Assoc. Prof. MD. Adem Dursun

Liv Hospital Vadistanbul
Psyc. Selenay Yücel Keleş Pediatric Psychology

Psyc. Selenay Yücel Keleş

Liv Hospital Vadistanbul
Spec. MD.  Fatih Aydın Pediatrics

Spec. MD. Fatih Aydın

Liv Hospital Vadistanbul
Spec. MD. Dicle Çelik Pediatrics

Spec. MD. Dicle Çelik

Liv Hospital Vadistanbul
Spec. MD. Elif Erdem Özcan Pediatrics

Spec. MD. Elif Erdem Özcan

Liv Hospital Vadistanbul
Spec. MD. Hilal Kızıldağ Pediatrics

Spec. MD. Hilal Kızıldağ

Liv Hospital Vadistanbul
Spec. MD. Mehmet Kılıç Pediatrics

Spec. MD. Mehmet Kılıç

Liv Hospital Vadistanbul
Spec. MD. Ozan Uzunhan Neonatology

Spec. MD. Ozan Uzunhan

Liv Hospital Vadistanbul
Spec. MD. Selami Bayrakdar Pediatrics

Spec. MD. Selami Bayrakdar

Liv Hospital Vadistanbul
Spec. MD. Semra Akkuş Akman Pediatrics

Spec. MD. Semra Akkuş Akman

Liv Hospital Vadistanbul
Asst. Prof. MD. Doruk Gül Pediatric Health and Diseases

Asst. Prof. MD. Doruk Gül

Liv Hospital Bahçeşehir
Prof. MD. Murat Sütçü Pediatric Health and Diseases

Prof. MD. Murat Sütçü

Liv Hospital Bahçeşehir
Prof. MD. Nihat Demir Pediatrics

Prof. MD. Nihat Demir

Liv Hospital Bahçeşehir
Psyc. (Psychologist) Buse Yağmur Pediatric Psychology

Psyc. (Psychologist) Buse Yağmur

Liv Hospital Bahçeşehir
Spec. MD. Cansu Muluk Pediatrics

Spec. MD. Cansu Muluk

Liv Hospital Bahçeşehir
Spec. MD. Dilek Hatipoğlu Pediatric Health and Diseases

Spec. MD. Dilek Hatipoğlu

Liv Hospital Bahçeşehir
Spec. MD. Duygu Amine Garavi Pediatrics

Spec. MD. Duygu Amine Garavi

Liv Hospital Bahçeşehir
Spec. MD. Fatih Kaya Pediatric Health and Diseases

Spec. MD. Fatih Kaya

Liv Hospital Bahçeşehir
Spec. MD. Günel Nüsretzade Elmar Pediatrics

Spec. MD. Günel Nüsretzade Elmar

Liv Hospital Bahçeşehir
Spec. MD. Melike Akar Pediatrics

Spec. MD. Melike Akar

Liv Hospital Bahçeşehir
Liv Hospital Topkapı
Spec. MD. Mey Talip Pediatric Intensive Care

Spec. MD. Mey Talip

Liv Hospital Bahçeşehir
Spec. MD. Negın Nahanmoghaddam Pediatrics

Spec. MD. Negın Nahanmoghaddam

Liv Hospital Bahçeşehir
Spec. MD. Nushaba Abdullayeva Pediatric Health and Diseases

Spec. MD. Nushaba Abdullayeva

Liv Hospital Bahçeşehir
Spec. MD. Refika İlbakan Hanımeli Pediatrics

Spec. MD. Refika İlbakan Hanımeli

Liv Hospital Bahçeşehir
Spec. MD. Selman Alazab Pediatrics

Spec. MD. Selman Alazab

Liv Hospital Bahçeşehir
Spec. MD. Özden Durmuş Gönültaş Pediatrics

Spec. MD. Özden Durmuş Gönültaş

Liv Hospital Bahçeşehir
Spec. Md. Öznur Ceylan Pediatric Health and Diseases

Spec. Md. Öznur Ceylan

Liv Hospital Bahçeşehir
Assoc. Prof. MD. Aslan Yılmaz Neonatology

Assoc. Prof. MD. Aslan Yılmaz

Liv Hospital Topkapı
Prof. MD. Alpay Çakmak Pediatrics

Prof. MD. Alpay Çakmak

Liv Hospital Topkapı
Spec. MD. Demet Deniz Bilgin Pediatrics

Spec. MD. Demet Deniz Bilgin

Liv Hospital Topkapı
Spec. MD. Nesrin Köseoğlu Pediatric and Adolescent Psychiatry

Spec. MD. Nesrin Köseoğlu

Liv Hospital Topkapı
Spec. MD. Seçil Sözen Pediatrics

Spec. MD. Seçil Sözen

Liv Hospital Topkapı
Spec. MD. Özge Akça Pediatrics

Spec. MD. Özge Akça

Liv Hospital Topkapı
Spec. MD. Şeyma Öz Pediatrics

Spec. MD. Şeyma Öz

Liv Hospital Topkapı
Asst. Prof. MD. Pakize Elif Alkış Pediatrics

Asst. Prof. MD. Pakize Elif Alkış

Liv Hospital Ankara
Prof. MD. Musa Kazım Çağlar Pediatrics

Prof. MD. Musa Kazım Çağlar

Liv Hospital Ankara
Prof. MD. İbrahim Hakan Bucak Pediatrics

Prof. MD. İbrahim Hakan Bucak

Liv Hospital Ankara
Prof.MD. Sevgi Başkan Pediatrics

Prof.MD. Sevgi Başkan

Liv Hospital Ankara
Spec. MD. Büşra Süzen Celbek Pediatrics

Spec. MD. Büşra Süzen Celbek

Liv Hospital Ankara
Spec. MD. Galip Erdem Pediatrics

Spec. MD. Galip Erdem

Liv Hospital Ankara
Spec. MD. Hafsa Uçur Pediatric Health and Diseases

Spec. MD. Hafsa Uçur

Liv Hospital Ankara
Spec. MD. Hidayet Katipoğlu Pediatric Health and Diseases

Spec. MD. Hidayet Katipoğlu

Liv Hospital Ankara
Spec. MD. Hüsniye Altan Pediatrics

Spec. MD. Hüsniye Altan

Liv Hospital Ankara
Spec. MD. Mehmet Turfanda Pediatric Health and Diseases

Spec. MD. Mehmet Turfanda

Liv Hospital Ankara
Spec. MD. Mustafa Yücel Kızıltan Pediatrics

Spec. MD. Mustafa Yücel Kızıltan

Liv Hospital Ankara
Spec. MD.  Seral Navdar Pediatric Health and Diseases

Spec. MD. Seral Navdar

Liv Hospital Gaziantep
Spec. MD. Gül Balyemez Pediatric Health and Diseases

Spec. MD. Gül Balyemez

Liv Hospital Gaziantep
Spec. MD. Hasan Avşar Neonatology

Spec. MD. Hasan Avşar

Liv Hospital Gaziantep
Spec. MD. Mert Çakır Pediatrics

Spec. MD. Mert Çakır

Liv Hospital Gaziantep
Spec. MD. Saltuk Buğra Böke Pediatric Health and Diseases

Spec. MD. Saltuk Buğra Böke

Liv Hospital Gaziantep
Spec. MD. Özlem Karaoğlu Pediatric Health and Diseases

Spec. MD. Özlem Karaoğlu

Liv Hospital Gaziantep
Spec. MD. İsmail Ersan Can Pediatric Health and Diseases

Spec. MD. İsmail Ersan Can

Liv Hospital Gaziantep
Spec. MD. Şekibe Zehra Doğan Pediatric Health and Diseases

Spec. MD. Şekibe Zehra Doğan

Liv Hospital Gaziantep
Spec. MD. Gülsenem Sarı Aracı Pediatric Health and Diseases

Spec. MD. Gülsenem Sarı Aracı

Liv Hospital Samsun
Spec. MD. Nazlı Karakullukcu Çebi Pediatrics

Spec. MD. Nazlı Karakullukcu Çebi

Liv Hospital Samsun
Spec. MD. Nezih Akgün Pediatric Health and Diseases

Spec. MD. Nezih Akgün

Liv Hospital Samsun
Spec. MD. Pelin Aytaç Uras Pediatrics

Spec. MD. Pelin Aytaç Uras

Liv Hospital Samsun
MD. VEFA İSAYEVA Pediatric Health and Diseases

MD. VEFA İSAYEVA

Liv Bona Dea Hospital Bakü
Spec. MD.  Elnur Hüseynov Pediatrics

Spec. MD. Elnur Hüseynov

Liv Bona Dea Hospital Bakü
Spec. MD. INARE ELDAROVA Pediatrics

Spec. MD. INARE ELDAROVA

Liv Bona Dea Hospital Bakü
Spec. MD. SADİQ İSMAYILOV Pediatric Health and Diseases

Spec. MD. SADİQ İSMAYILOV

Liv Bona Dea Hospital Bakü
MD. Dr. Elnur Hüseynov Pediatrics

MD. Dr. Elnur Hüseynov

Spec. MD. Doğa Sevinçok Pediatric and Adolescent Psychiatry

Spec. MD. Doğa Sevinçok

Pediatrics

Spec. MD. Sadık İsmayılov

Related Videos

Need Help? Chat with our medical team

Let's Talk on WhatsApp

📌

Get instant answers from our medical team. No forms, no waiting — just tap below to start chatting now.

or call us at +90 530 510 67 91