
Getting ready for a kidney CT scan is essential for accurate results and a smooth visit. At Liv Hospital, we prioritize your comfort and safety, guiding you through every step of the prep for kidney CT scan to ensure a reliable diagnosis.
Knowing how to properly prepare for a CT kidney exam can make the process easier. Patients are often advised to drink plenty of water beforehand. In some cases, you may need to fast briefly before a renal stone CT scan.
By following the recommended prep for kidney CT scan, you can help ensure clear imaging and an accurate diagnosis. In this guide, we outline the seven main steps to prepare effectively for your CT kidneys exam, giving you confidence and peace of mind.
Key Takeaways
- Proper hydration is essential before a kidney CT scan.
- Fasting may be required for a certain period before the scan.
- Removing metal objects is key to clear images.
- Following our instructions ensures an accurate diagnosis.
- Liv Hospital offers patient-centered care and guidance every step of the way.
Understanding Kidney CT Scans and Their Importance

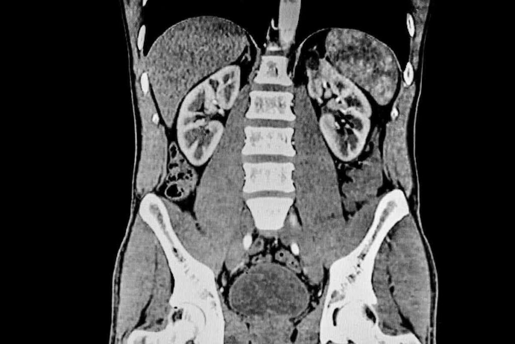
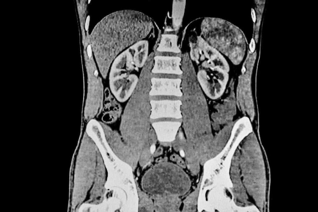
A kidney CT scan is a detailed imaging test. It shows the kidneys in cross-sections, helping doctors find and treat kidney problems. This test is non-invasive, using X-rays and computer tech to show the kidneys clearly.
What is a CT Scan of the Kidneys?
A CT scan of the kidneys uses X-rays to make detailed pictures. It looks at the kidneys and the tissues around them. This is great for finding things like tumors, cysts, stones, and infections.
During the scan, you lie on a table that moves into a CT scanner. The scanner moves around you, taking pictures from different angles.
Common Reasons for Kidney CT Scans
Kidney CT scans are used for many reasons. They help find the cause of symptoms like:
- Severe abdominal pain
- Blood in the urine
- Suspected kidney stones or tumors
- Infections or abscesses
- Trauma to the abdomen
These scans help doctors find the problem and plan the right treatment.
Benefits of Advanced Imaging for Kidney Health
Advanced imaging, like CT scans, has many benefits for the kidneys. These include:
| Benefit | Description |
| Accurate Diagnosis | CT scans give detailed images, helping doctors diagnose kidney issues accurately. |
| Early Detection | CT scans can spot kidney problems early, which can lead to better treatment results. |
| Guiding Treatment | The detailed images help doctors plan and guide treatments, like surgery or biopsy. |
Knowing about kidney CT scans helps patients prepare for their tests. It shows how these advanced imaging techniques are key to keeping the kidneys healthy.
Types of Kidney CT Scans You May Encounter

Knowing about the different kidney CT scans is key for patients. We use various CT scan methods to see the kidneys clearly. Each method is chosen based on what the doctor needs to check.
Standard Kidney CT Without Contrast
A basic kidney CT scan without contrast is often the first step. It’s great for finding kidney stones and some damage. It works well without the need for dye.
This scan is simple and safe. But, it might not show soft tissues as well as a scan with contrast.
CT Renal With Contrast: Enhanced Visualization
A CT renal with contrast uses dye to highlight kidney areas. The dye is given through an IV. It helps spot different tissues and problems like tumors or cysts.
This scan is better for looking at blood vessels in the kidneys. It finds small issues and checks how the kidneys work. It gives a clearer picture than a non-contrast scan, helping doctors make better diagnoses.
Renal Stone CT Scan (Stonogram): Specialized Detection
A renal stone CT scan, or CT stonogram, is for finding kidney stones. It’s very good at spotting even tiny stones. It also looks for other problems that might be causing symptoms.
| Type of CT Scan | Use | Contrast Use |
| Standard Kidney CT | General kidney imaging | No |
| CT Renal With Contrast | Detailed soft tissue imaging | Yes |
| Renal Stone CT Scan (Stonogram) | Kidney stone detection | No |
Each kidney CT scan has its own uses and benefits. Knowing these differences helps patients get ready for their exams. It also helps them understand their test results better.
What Your CT Scan Can Detect: Understanding Possible Findings
When you get a CT scan of your kidneys, you might wonder what it will show. A CT scan is a detailed imaging test. It gives doctors clear pictures of your kidneys, helping them check their shape and how well they work.
Normal Kidney Appearance on CT
A normal kidney CT scan shows kidneys that are the right size and shape. You can see the renal cortex and medulla clearly. The renal pelvis and calyces are also well-defined. The scan also shows the tissues and blood vessels around the kidneys.
Common Abnormalities on Kidney CT Scan
CT scans are great at finding different kidney problems. Some common issues include:
- Kidney cysts: Fluid-filled sacs that can be simple or complex
- Kidney stones: Hard mineral deposits that can cause pain and block urine flow
- Tumors: Benign or malignant growths that need more checking
- Pyelonephritis: Infection or inflammation of the kidney
- Hydronephrosis: Swelling of the kidney due to urine buildup
How CT Scans Help Detect Kidney Disease
CT scans are key in finding and tracking kidney disease. They can spot:
| Condition | CT Scan Findings |
| Kidney Damage | Scarring, atrophy, or irregular kidney contours |
| Chronic Kidney Disease | Reduced kidney size, cortical thinning, or cystic changes |
| Kidney Cancer | Masses or tumors within the kidney |
CT scans give detailed images of the kidneys. This helps doctors make accurate diagnoses and plan the best treatments. Knowing what your CT scan might show can help you understand your care better and make informed health choices.
Key Step 1: Consult With Your Healthcare Provider
Your journey to a kidney CT scan starts with a vital consultation. This step is key to preparing you for the scan. It also ensures your healthcare provider has all the info they need.
Discussing Your Medical History
Talking about your medical history is essential during your consultation. Share any past medical conditions, allergies, and current medications. This info helps your healthcare provider assess risks, like whether a contrast agent is needed.
Make sure to mention any kidney disease, diabetes, or other kidney-related conditions. This helps your healthcare provider plan the best kidney CT scan for you. It also ensures your safety during the procedure.
Understanding Why Your Specific Scan is Needed
Your healthcare provider will explain why you need a kidney CT scan. Knowing the purpose can ease your concerns. It makes you more comfortable with the process.
They might be checking for a kidney stone, a tumor, or monitoring kidney disease. Your healthcare provider will tell you why and what they hope to find.
Addressing Concerns and Questions Before the Procedure
This consultation is your chance to ask any questions or concerns. You might want to know about the procedure, contrast agents, or what to expect.
Here’s a table of common questions to ask your healthcare provider:
| Topic | Questions to Ask |
| Preparation | What do I need to do to prepare for the scan? |
| Contrast Agent | Will a contrast agent be used? Are there any risks? |
| Procedure Details | How long will the scan take? What will I experience during it? |
| Results | How will I receive the results? How long will it take? |
By discussing your medical history, understanding the scan’s purpose, and addressing concerns, you’re ready for your kidney CT scan. This consultation is key to a successful and stress-free experience.
Key Step 2: Complete Required Pre-Scan Blood Work
Before a kidney CT scan, you need to do some blood tests. These tests check how well your kidneys are working, which is important if you’re getting a CT scan with contrast. It might seem scary, but it’s key to your safety and the scan’s success.
The Importance of Creatinine Testing
Creatinine testing is a big part of the blood work before a CT scan, mainly for contrast-enhanced studies. It checks the creatinine in your blood, a waste from muscle breakdown. High creatinine levels mean your kidneys might not be working right, which is something your doctor needs to know before using contrast dye.
Contrast dye can harm the kidneys, so it’s important to check kidney function first. This way, your doctor can make sure you’re safe or find another imaging method if needed.
Risk Factors That Necessitate Blood Testing
Some risk factors mean you need blood work before a CT scan. These include:
- History of kidney disease or kidney damage
- Diabetes
- High blood pressure
- Heart disease
- Age over 60
If you have any of these, tell your doctor. They might ask for creatinine testing to check your kidney function before the CT scan.
Timeline for Completing Blood Work
When to do the blood work depends on your doctor’s advice. Usually, it’s best to do it 24 to 48 hours before the CT scan. But this can change based on your situation.
Key Step 3: Proper Prep for Kidney CT Scan Fasting Requirements
To get accurate results from your kidney CT scan, it’s key to follow the fasting instructions from your healthcare provider. Fasting is very important, even more so when contrast material is used.
Standard Fasting Guidelines
Usually, you need to fast for 2.5 to 4 hours before a kidney CT scan. This time, make sure your digestive system isn’t busy with food. This can mess with the scan’s accuracy.
Special Considerations for Contrast Studies
For CT scans with contrast, fasting might be stricter. Contrast makes certain body parts show up better on the scan. Eating before could mess with how the contrast works.
Key considerations for contrast studies include:
- Avoiding food and drink for the specified period before the scan
- Informing your healthcare provider about any allergies or sensitivities to contrast materials
- Discussing any concerns or questions you have regarding the contrast study
What You Can and Cannot Consume
Before a kidney CT scan, you should avoid solid foods and some liquids. But you might be allowed to have clear liquids up to a certain time.
Here’s a general guideline on what you can and cannot consume:
- Allowed: Clear liquids like water, clear broth, or black coffee/tea up to a certain time before the scan.
- Not Allowed: Solid foods, milk, or any food/drink that could interfere with the scan or contrast absorption.
It’s very important to follow the fasting and consumption rules given by your healthcare provider or the imaging facility. If you’re unsure or have questions, always ask for clarification.
Key Step 4: Medication Management Before Your Scan
Getting ready for your CT scan means managing your medications well. It’s important to know how your meds might affect the scan or the dye used. This is true for a CT scan of the kidneys.
Medications to Continue Taking
You can usually keep taking your regular meds as usual. But, tell your doctor about all your meds, including prescriptions, over-the-counter stuff, and supplements.
Medications That May Need Adjustment
Some meds might need changing or stopping before your scan. For example, metformin for diabetes might be stopped 48 hours before a scan with dye. Your doctor will tell you what to do with your meds.
| Medication Type | Action Required | Timing |
| Metformin | Stop | 48 hours before the scan |
| Blood Thinners | Potential adjustment | Discuss with the healthcare provider |
| Diabetic Medications | Potential adjustment | Discuss with the healthcare provider |
Special Considerations for Diabetic Patients
Diabetics need to be extra careful before a CT scan, if dye is used. Diabetic medications before a CT scan might need to be adjusted. For instance, metformin needs careful handling to avoid problems.
Talk to your doctor about your diabetes plan to make sure the scan goes well.
Key Step 5: Removing Metal Objects and Appropriate Clothing
To have a smooth CT scan, it’s key to remove metal objects and wear the right clothes. When getting ready for your kidney CT scan, follow these steps for a smooth process.
Why Metal Interferes With CT Imaging
Metal objects can mess up CT scans, causing blurry images. This is because metal absorbs X-rays, making some parts of the image too bright or dark. This can hide important details.
Checklist of Items to Remove
To avoid problems during your CT scan, remove these items:
- Jewelry (necklaces, earrings, rings, etc.)
- Glasses
- Hairpins or any other metal hair accessories
- Dental appliances (if possible, though some may be okay)
- Any clothing with metal parts (zippers, buttons, etc.)
What to Wear to Your Appointment
On the day of your CT scan, wear comfy, loose clothes without metal parts. You might get a gown, but simple clothes make things easier.
| Clothing Item | Recommended | Not Recommended |
| Shirt/Tops | Simple, loose-fitting | With metal zippers or buttons |
| Pants | Comfortable, elastic waistbands | With metal buttons or zippers |
By following these tips, your CT scan will be done well. This ensures you get the best images for your diagnosis.
Key Step 6: Hydration Protocols Before and After
Staying hydrated is key before and after your CT Kidneys exam. It helps your kidneys work well, even with contrast dye. This step is very important in the CT scan process.
Pre-Scan Hydration Guidelines
Before your Kidney CT scan, drink lots of water. This helps you stay hydrated. But always listen to your healthcare provider’s specific instructions. They know what’s best for you based on your health and the scan type.
Post-Contrast Hydration Importance
After the scan, staying hydrated is even more important. The contrast material goes through your kidneys, and water helps flush it out. Drinking water after the scan helps get rid of the dye and lowers side effect risks.
“Hydration is key after a CT scan with contrast to get rid of the dye,” says a leading radiologist.
Signs of Dehydration to Watch For
Know the signs of dehydration, like dry mouth, fatigue, dizziness, and dark urine. If you see these, drink more water. If they don’t go away, talk to your healthcare provider.
By following these hydration tips before and after your Kidney CT scan, you can have the best results. And you’ll lower the risks of the procedure.
Key Step 7: Mental Preparation and What to Expect
Mental preparation is key to a smooth CT scan experience. Many patients feel anxious about medical imaging. Knowing the process helps you prepare mentally for the kidney CT scan.
Understanding the CT Procedure Step by Step
The CT scan of the kidneys is simple. Here’s what you can expect:
- You’ll lie on a table that slides into a large, doughnut-shaped machine.
- The machine will rotate around you, taking X-ray images from multiple angles.
- You might get contrast dye to highlight areas of interest.
- Stay as steady as possible during the scan for clear images.
Managing Anxiety About the Scan
It’s normal to feel anxious about medical procedures. Here are some tips to manage your anxiety:
- Breathing exercises: Try deep breathing to calm down.
- Communication: Talk to your healthcare provider about your worries.
- Support: Having a friend or family member there can help.
Typical Duration and Sensation During the Exam
The caCTcan of kitheey usually lasts 10 to 30 minutes. You might feel a warmth if contrast dye is used. The scan is painless, and you won’t feel the machine moving.
Being mentally prepared and knowing what to expect can reduce your anxiety. This makes the kidney CT scan experience smoother. If you have questions or concerns, talk to your healthcare provider.
Conclusion: Ensuring the Best Results From Your Kidney CT Scan
Getting ready for your kidney CT scan is key to getting the best results. By following the 7 steps in this article, you can get clear images and accurate diagnoses. We’ve shown you how to prepare, including talking to your doctor and doing blood work.
It’s also important to follow fasting rules, remove metal items, and stay hydrated. Knowing what to expect can also help you relax. By following these steps, your kidney CT scan will be more accurate and helpful for your doctors.
Preparing for your kidney CT scan is a team effort. Working with your healthcare team and following these tips will lead to better results. This means a more accurate diagnosis and the right treatment plan for you.
FAQ
What is a kidney CT scan, and why is it performed?
A kidney CT scan uses X-rays to create detailed images of the kidneys. It helps diagnose and monitor conditions like kidney stones, tumors, and cysts.
What are the different types of kidney CT scans?
There are several types of kidney CT scans. These include standard CT scans without contrast, CT scans with contrast, and renal stone CT scans. Each type focuses on different aspects of kidney health.
Do I need to fast before a kidney CT scan?
Fasting before a kidney CT scan is usually needed. You might need to fast for 2.5-4 hours. Special rules apply for contrast studies.
How do I prepare my medications for a kidney CT scan?
Most medications can be taken as usual before a kidney CT scan. But diabetic medications might need adjusting. Always check with your healthcare provider.
Why is it important to remove metal objects before a CT scan?
Metal objects can mess up CT scans. This can make the images less accurate. Remove all metal items, like jewelry and glasses, before the scan.
How can I stay hydrated before and after a kidney CT scan?
Drink plenty of water before and after the scan, if contrast was used. Dehydration signs include headaches, fatigue, and dry mouth.
What can I expect during a kidney CT scan?
During a kidney CT scan, you’ll lie on a table that slides into a CT scanner. The scan is quick. You might be asked to hold your breath briefly. It’s usually painless, but you might feel some anxiety.
Can a CT scan detect kidney disease?
Yes, a CT scan can detect kidney disease. It can spot conditions like kidney stones, tumors, and cysts. It also helps in making treatment plans.
What is the role of creatinine testing before a CT scan?
Creatinine testing checks kidney function before a CT scan, when contrast is used. It helps find patients at risk of kidney problems from contrast.
How long does it take to complete blood work before a CT scan?
The time to finish blood work varies. It’s usually done a few days before the CT scan. Your healthcare provider will tell you when to do it.
References
- RadiologyInfo.org. (2024, September 9). Body CT. Retrieved fromhttps://www.radiologyinfo.org/en/info/bodyct