
Salivary glands are key exocrine organs. They make about one to two liters of saliva every day. This is vital for keeping our mouths healthy and helping with digestion.
These glands are found in and around our mouths. They send saliva into our mouths. This helps break down food and keeps our teeth and gums healthy.
It’s important to know how salivary glands work. This includes their structure, how they make saliva, and how they’re controlled by nerves. Understanding this helps us see their big role in our health and how to fix problems.
Key Takeaways
- Salivary glands produce one to two liters of saliva daily.
- Saliva aids in digestion and maintains oral health.
- Understanding salivary gland functions is vital for overall health.
- Dysfunction can lead to issues like dry mouth and difficulty swallowing.
- Proper diagnosis and management are key to addressing salivary gland conditions.
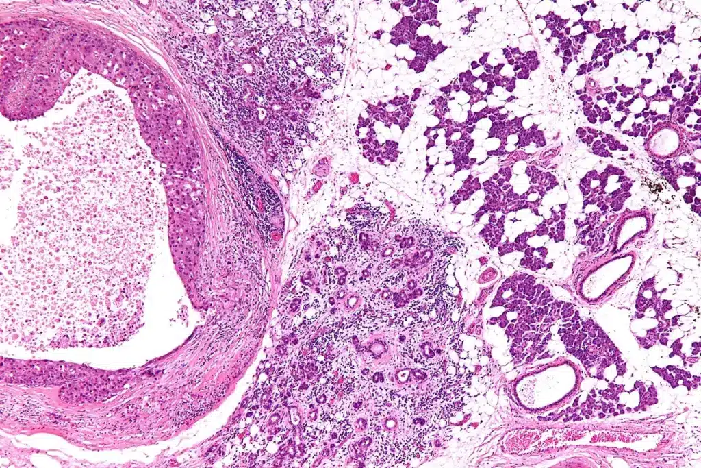
Anatomy and Structure of Salivary Glands

Salivary glands are complex organs that play a key role in our health. They produce saliva, which is vital for our mouth and digestion.
Major Salivary Glands: Parotid, Submandibular, and Sublingual
The main salivary glands are the parotid, submandibular, and sublingual. Each gland has different types of cells. The parotid gland makes mostly serous saliva. The submandibular gland produces a mix of serous and mucous saliva. The sublingual gland mainly makes mucous saliva.
- The parotid gland is near the ear and sends saliva to the mouth through the Stensen’s duct.
- The submandibular gland is under the jaw and sends saliva through the Wharton’s duct.
- The sublingual gland is under the tongue and has many small ducts that open into the mouth.
Cellular Composition of Salivary Glands
The glands have different cells, like acinar and ductal cells. Acinar cells make saliva, and ductal cells form the ducts that carry it to the mouth.
The type of cells in each gland affects the saliva it produces. For example, the parotid gland has more serous acini, making a saliva rich in enzymes.
Ductal System and Its Organization
The glands are divided into lobes, then lobules, and acini. The ductal system is key in changing the saliva as it moves through the ducts. This adjustment helps the saliva reach the mouth ready for use.
Knowing how salivary glands work is important. It shows how they help keep our mouths healthy and aid in digestion.
Secretion Process and Innervation of Salivary Glands

It’s important to know how salivary glands work to keep our mouths healthy. These glands make saliva through a complex process. This process involves different cell types and control from the nervous system.
Neural Control of Salivary Secretion
The nervous system controls how much saliva we make. The parasympathetic nervous system helps make more saliva. It makes a watery liquid full of enzymes. On the other hand, the sympathetic nervous system can either help or slow down saliva production, depending on the situation.
Neurotransmitters play a key role in this control. For example, acetylcholine from parasympathetic nerves makes acinar cells release more saliva. This happens when acetylcholine binds to muscarinic receptors on these cells.
Composition of Saliva
Saliva is made up of water, salts, and proteins like amylase and lipase. The exact mix can change based on the gland and what triggers the saliva release.
| Component | Function | Concentration |
| Water | Lubrication and solvent for enzymes | 99% |
| Amylase | Digestion of carbohydrates | Variable |
| Lysozyme | Antimicrobial activity | Low |
| Electrolytes (Na+, K+, Cl-) | Maintain pH and ionic balance | Variable |
Types of Secretions
The glands have glandular acini, which are key for making saliva. These acini can be serous, mucinous, or mixed. Serous acini make a watery liquid with enzymes, while mucinous acini make a thicker, mucin-rich liquid for lubrication.
The process of making saliva involves acinar cells and myoepithelial cells working together. Acinar cells make the initial saliva, and myoepithelial cells help push it out. As the saliva moves through ducts, it gets modified. This results in the final saliva we get in our mouths.
The 7 Key Functions of Salivary Glands
The salivary glands are key to our oral health and overall well-being. They produce saliva, which has many important functions for our health.
Digestion Initiation Through Amylase Activity
Saliva starts digestion with the enzyme amylase. It breaks down starches into simpler sugars. This begins food digestion before it hits the stomach.
Amylase activity is vital for breaking down carbs. It makes it easier for the body to absorb nutrients later.
Oral Cavity Lubrication and Moistening
Saliva makes swallowing food and speaking easier. It also moistens food, helping it form a bolus for easy swallowing.
This lubrication is key for oral health. It helps prevent dry mouth (xerostomia).
Antimicrobial Protection and Immune Defense
Saliva has antimicrobial proteins that fight infections. These proteins can destroy bacterial cell walls, lowering the risk of oral infections.
pH Buffering and Acid Neutralization
Saliva helps keep the mouth’s pH balanced and acid levels neutralized. It contains bicarbonate ions that counteract acids, keeping the mouth healthy.
| Function | Description | Benefit |
| Digestion Initiation | Breakdown of starches into simpler sugars | Easier nutrient absorption |
| Oral Cavity Lubrication | Lubrication for easier swallowing and speaking | Prevents dry mouth and facilitates eating |
| Antimicrobial Protection | Protection against oral infections | Maintains oral health |
| pH Buffering | Neutralization of acids | Protects teeth from erosion |
Conclusion
It’s important to know how salivary glands work for good oral health. These glands help with digestion and keep our mouth healthy. They make saliva, which breaks down food and fights off germs.
Problems with these glands can signal bigger health issues. The glands in our head, like the parotid and submandibular, are key for our mouth’s health. They help keep our mouth moist, fight off germs, and balance our mouth’s pH. For more info, check out the National Center for Biotechnology Information.
Knowing how our salivary glands function helps us take care of them. This knowledge encourages us to practice good oral hygiene. It’s a way to keep these important glands healthy.
FAQ
What are the major salivary glands?
The human body has three pairs of major salivary glands: the parotid, submandibular, and sublingual glands. The parotids are located in front of the ears, the submandibulars are found beneath the lower jaw, and the sublinguals sit under the tongue on the floor of the mouth. Together, these glands produce about 90% of the body’s total saliva, while hundreds of minor salivary glands scattered throughout the oral mucosa produce the remainder.
What is the function of the salivary glands?
Salivary glands serve several critical roles, primarily providing the lubrication necessary for speech, chewing, and swallowing food. They also initiate the digestive process by releasing enzymes and protect the oral cavity by neutralizing acids and providing a first line of defense against pathogens. Additionally, they help maintain the mineral balance of tooth enamel through the secretion of calcium and phosphate.
How do salivary glands produce saliva?
Saliva production begins in clusters of cells called acini, which extract water, electrolytes, and proteins from the surrounding blood capillaries to create a primary secretion. This fluid then travels through a network of ducts where its ionic composition is modified—sodium and chloride are reabsorbed while potassium and bicarbonate are added—before the final saliva is discharged into the mouth.
What is the role of the nervous system in salivary secretion?
Salivary secretion is an involuntary reflex controlled by the autonomic nervous system, specifically the parasympathetic and sympathetic branches. Parasympathetic stimulation, often triggered by the smell or taste of food, leads to a high volume of watery saliva, whereas sympathetic stimulation produces a smaller volume of thick, protein-rich saliva, which is why your mouth may feel dry when you are nervous or under stress.
What are the key components of saliva?
Saliva is composed of 99% water, but the remaining 1% contains a complex mix of essential components including electrolytes, mucus, and antimicrobial agents like lysozyme and secretory IgA. It also contains key digestive enzymes, most notably salivary amylase, which begins the breakdown of complex starches into simple sugars while the food is still in the mouth.
How do salivary glands contribute to oral health?
These glands contribute to oral health by constantly “washing” the teeth and gums to remove food debris and by buffering the mouth’s pH to prevent acid-producing bacteria from eroding enamel. Saliva also provides the necessary minerals for remineralization, effectively repairing minor surface damage to the teeth and preventing the formation of dental cavities.
What happens when salivary glands are not functioning properly?
When salivary glands fail to produce adequate saliva, a condition known as xerostomia or dry mouth occurs, which can lead to significant difficulties in speaking, eating, and swallowing. Chronic dry mouth dramatically increases the risk of tooth decay, gum disease, and oral fungal infections like thrush, and it can significantly alter a person’s sense of taste.
How can we maintain the health of our salivary glands?
The most effective way to maintain salivary health is through consistent hydration, as the glands require a steady supply of water to produce adequate fluid. Practicing good oral hygiene, avoiding tobacco, and minimizing the intake of sugary or acidic foods also helps prevent ductal obstructions and infections that can damage the gland tissue over time.
What is the role of the parotid gland?
The parotid gland is the largest of the salivary glands and is primarily responsible for producing a thin, watery (serous) secretion that is rich in the enzyme amylase. Because of its size and location, it provides the bulk of the salivary volume during active chewing, delivering its contents into the mouth through the Stensen’s duct located near the upper molars
References
National Center for Biotechnology Information. Evidence-Based Medical Insight. Retrieved from https://pmc.ncbi.nlm.nih.gov/articles/PMC9126227/