
P-ANCA vasculitis is a serious autoimmune disease. It happens when anti-neutrophil cytoplasmic antibodies (ANCA) attack myeloperoxidase (MPO) in neutrophils. This leads to inflammation and damage to small blood vessels all over the body.p anca vasculitisTop 5 Worst Autoimmune Diseases: Fatal Risks, Symptoms & Deadliest Types
This condition affects many parts of the body and can be hard to spot. Knowing the key signs and what causes it is key to managing and treating it well.
At Liv Hospital, we know how vital early detection and correct diagnosis are. Our focus on the patient ensures we give the best care to those with this rare but serious disease.
Key Takeaways
- P-ANCA vasculitis is characterized by ANCA targeting MPO in neutrophils.
- The condition leads to inflammation and destruction of small blood vessels.
- Approximately 90% of patients with microscopic polyangiitis (MPA) are ANCA positive at diagnosis.
- Understanding diagnostic markers is key for effective management.
- Early recognition and proper diagnosis are essential for saving lives.
What Is P-ANCA Vasculitis?

P-ANCA vasculitis is a complex condition. It involves inflammation of blood vessels and is linked to autoimmune disorders. These disorders are marked by the presence of anti-neutrophil cytoplasmic antibodies (ANCA).
Definition and Classification of ANCA-Associated Vasculitis
ANCA-associated vasculitis (AAV) includes several autoimmune diseases. These include granulomatosis with polyangiitis (GPA), microscopic polyangiitis (MPA), and eosinophilic granulomatosis with polyangiitis (EGPA). P-ANCA vasculitis is mainly linked to MPA and EGPA.
The classification of AAV is based on several factors. These include clinical features, serological findings, and histopathological characteristics.
Classification Criteria:
|
Disease |
Primary ANCA Type |
Key Clinical Features |
|---|---|---|
|
Microscopic Polyangiitis (MPA) |
P-ANCA (MPO-ANCA) |
Necrotizing vasculitis, kidney involvement |
|
Eosinophilic Granulomatosis with Polyangiitis (EGPA) |
P-ANCA (MPO-ANCA) |
Asthma, eosinophilia, vasculitis |
|
Granulomatosis with Polyangiitis (GPA) |
C-ANCA (PR3-ANCA) |
Upper and lower respiratory tract involvement, kidney disease |
The Difference Between P-ANCA and C-ANCA
P-ANCA and C-ANCA are different because they target different parts of neutrophils. P-ANCA targets myeloperoxidase (MPO), while C-ANCA targets proteinase 3 (PR3). This difference is key for diagnosis and treatment.
The symptoms and severity of P-ANCA and C-ANCA vasculitis can differ a lot. Knowing these differences helps doctors create better treatment plans for each patient.
Fact 1: P-ANCA Vasculitis Is an Autoimmune Disorder

P-ANCA vasculitis is an autoimmune disorder that harms blood vessels. It happens when the immune system attacks parts of neutrophils. This causes inflammation and damage to small blood vessels.
How Autoimmunity Develops in Blood Vessel Walls
In P-ANCA vasculitis, the immune system sees parts of neutrophils, like myeloperoxidase (MPO), as enemies. This leads to the creation of anti-neutrophil cytoplasmic antibodies (ANCA) that attack these parts. The presence of these autoantibodies starts an inflammatory reaction in small blood vessel walls.
The Pathophysiology of Small Vessel Inflammation
The process behind P-ANCA vasculitis involves neutrophils being activated by ANCA. This causes them to release reactive oxygen species and proteolytic enzymes. These substances damage the walls of small blood vessels, causing inflammation and necrosis. Knowing this is key to finding good treatments.
|
Aspect |
Description |
|---|---|
|
Autoimmune Response |
Immune system targets neutrophil components, such as MPO |
|
Role of ANCA |
Triggers inflammatory response in small blood vessel walls |
|
Pathophysiology |
Activation of neutrophils leads to release of damaging substances |
In conclusion, P-ANCA vasculitis is a complex autoimmune disorder that attacks small blood vessels. Understanding the autoimmune processes and pathophysiology is key to managing this condition well.
Fact 2: P-ANCA Targets Myeloperoxidase (MPO) in Neutrophils
Myeloperoxidase, found in neutrophils, is the main target of P-ANCA in vasculitis patients. This enzyme helps neutrophils fight off microbes by making reactive oxygen species. Knowing how myeloperoxidase works with P-ANCA helps us understand P-ANCA vasculitis better.
Understanding the Role of Myeloperoxidase
Myeloperoxidase (MPO) is in the azurophilic granules of neutrophils. It makes hypochlorous acid from hydrogen peroxide and chloride ions. MPO is key for neutrophils to fight infections. But, in P-ANCA vasculitis, anti-MPO antibodies can make neutrophils active and harm tissues.
How Anti-MPO Antibodies Cause Tissue Damage
Anti-MPO antibodies are a key sign of P-ANCA vasculitis. These antibodies make neutrophils release harmful substances. This leads to damage in small blood vessels, causing inflammation and tissue damage.
“The activation of neutrophils by anti-MPO antibodies is a critical step in the pathogenesis of P-ANCA vasculitis, leading to necrotizing inflammation of small vessels”
This shows why it’s important to understand this process for new treatments.
The harm from anti-MPO antibodies can cause serious problems like kidney issues and lung bleeding. Early diagnosis and treatment are key to avoid lasting damage. We’ll look at symptoms and how to diagnose it next.
Types of P-ANCA Vasculitis and Their Characteristics
P-ANCA vasculitis includes several subtypes, like microscopic polyangiitis (MPA) and other ANCA-associated vasculitides. Knowing these types is key for the right diagnosis and treatment plan.
Microscopic Polyangiitis (MPA): The Primary Form
Microscopic polyangiitis (MPA) is a main type of P-ANCA vasculitis. It causes damage to small blood vessels and is linked to P-ANCA antibodies. MPA often affects the kidneys and lungs.
MPA is different because it doesn’t form granulomas. Its symptoms can vary a lot, so a detailed diagnosis is important.
Other ANCA-Associated Vasculitides
Other types include granulomatosis with polyangiitis (GPA) and eosinophilic granulomatosis with polyangiitis (EGPA). These conditions share some traits with MPA but have unique features.
GPA is known for its granulomas and affects the airways and kidneys. EGPA is marked by eosinophilia and asthma.
|
Vasculitis Type |
Key Characteristics |
Commonly Involved Organs |
|---|---|---|
|
Microscopic Polyangiitis (MPA) |
Necrotizing vasculitis without granulomas, P-ANCA positive |
Kidneys, lungs |
|
Granulomatosis with Polyangiitis (GPA) |
Granulomatous inflammation, C-ANCA/PR3 positive |
Upper and lower respiratory tract, kidneys |
|
Eosinophilic Granulomatosis with Polyangiitis (EGPA) |
Eosinophilia, asthma, granulomatous inflammation |
Lungs, heart, gastrointestinal tract, skin |
The table above shows the main traits of these vasculitides. It highlights their unique features and common sites of damage. Accurate diagnosis and classification are vital for effective treatment and better patient care.
Fact 3: P-ANCA Vasculitis Affects Multiple Organ Systems
P-ANCA vasculitis is a systemic condition that affects many parts of the body. It can impact the kidneys, lungs, joints, ENT structures, and peripheral nerves. Knowing how widespread its effects are is key to treating it properly.
Kidney Involvement: Rapidly Progressive Glomerulonephritis
The kidneys are often affected by P-ANCA vasculitis, leading to rapidly progressive glomerulonephritis (RPGN). This condition causes a quick decline in kidney function. Quick action is needed to avoid permanent damage, which could lead to the need for dialysis or a kidney transplant.
Pulmonary Manifestations and Complications
The lungs are also a common target for P-ANCA vasculitis. Patients may experience a severe condition called diffuse alveolar hemorrhage. Symptoms include cough, shortness of breath, and coughing up blood. It’s critical to seek medical help right away to manage symptoms and prevent further issues.
Effects on Joints, ENT Structures, and Peripheral Nerves
P-ANCA vasculitis can also impact joints, causing pain or arthritis. It can affect ENT structures, leading to sinusitis or otitis media. Peripheral nerves may be involved, causing neuropathies. It’s important to recognize these symptoms to diagnose P-ANCA vasculitis correctly.
|
Organ System |
Common Manifestations |
Potential Complications |
|---|---|---|
|
Kidneys |
Rapidly progressive glomerulonephritis |
Renal failure |
|
Lungs |
Diffuse alveolar hemorrhage |
Respiratory failure |
|
Joints |
Arthralgias, arthritis |
Chronic pain, disability |
|
ENT Structures |
Sinusitis, otitis media |
Hearing loss, chronic sinusitis |
|
Peripheral Nerves |
Neuropathies |
Permanent nerve damage |
Clinical Presentation and Early Warning Signs
It’s key to spot the early signs of P-ANCA vasculitis to get medical help fast. This condition can show up in many ways, affecting different parts of the body.
Constitutional Symptoms and Systemic Effects
People with P-ANCA vasculitis might feel fever, weight loss, and fatigue. These signs show the body’s fight against inflammation. But, they can be hard to pinpoint, making it tough to diagnose.
Seeing these symptoms means you should get checked out, even more so if you notice other signs too.
Organ-Specific Manifestations
P-ANCA vasculitis can hit different organs hard. For example, it might cause hematuria and renal failure in the kidneys. The lungs could suffer from pulmonary hemorrhage. And nerves might get damaged, leading to neuropathy.
Spotting these specific symptoms is key to figuring out P-ANCA vasculitis.
Red Flags That Should Prompt Medical Evaluation
Some symptoms need quick medical attention. Look out for severe kidney problems, breathing issues from lung bleeding, and nerve damage. Catching these signs early can help treat the condition better.
Knowing the signs of P-ANCA vasculitis helps doctors act fast. It’s all about being alert and ready to help with this complex condition.
Fact 4: Comprehensive Diagnostic Approach for P-ANCA Vasculitis
To diagnose P-ANCA vasculitis, we use a detailed method. This includes clinical checks, lab tests, and tissue exams. This approach helps us find the right treatment.
Clinical Assessment and Patient History
We start by looking at the patient’s symptoms and past health. We check for kidney problems, breathing issues, and other signs. Knowing the patient’s medical history helps us find the cause.
We also look for signs of organ damage and symptoms like fever and tiredness. These are common in P-ANCA vasculitis.
ANCA Testing: Immunofluorescence and ELISA Methods
Testing for ANCA is key in diagnosing. We use two main tests: indirect immunofluorescence (IIF) and enzyme-linked immunosorbent assay (ELISA). IIF shows if ANCA antibodies are present. ELISA checks for anti-MPO antibodies, specific to P-ANCA vasculitis.
IIF stains neutrophils with patient serum to show the P-ANCA pattern. ELISA measures anti-MPO antibodies, giving a precise diagnosis.
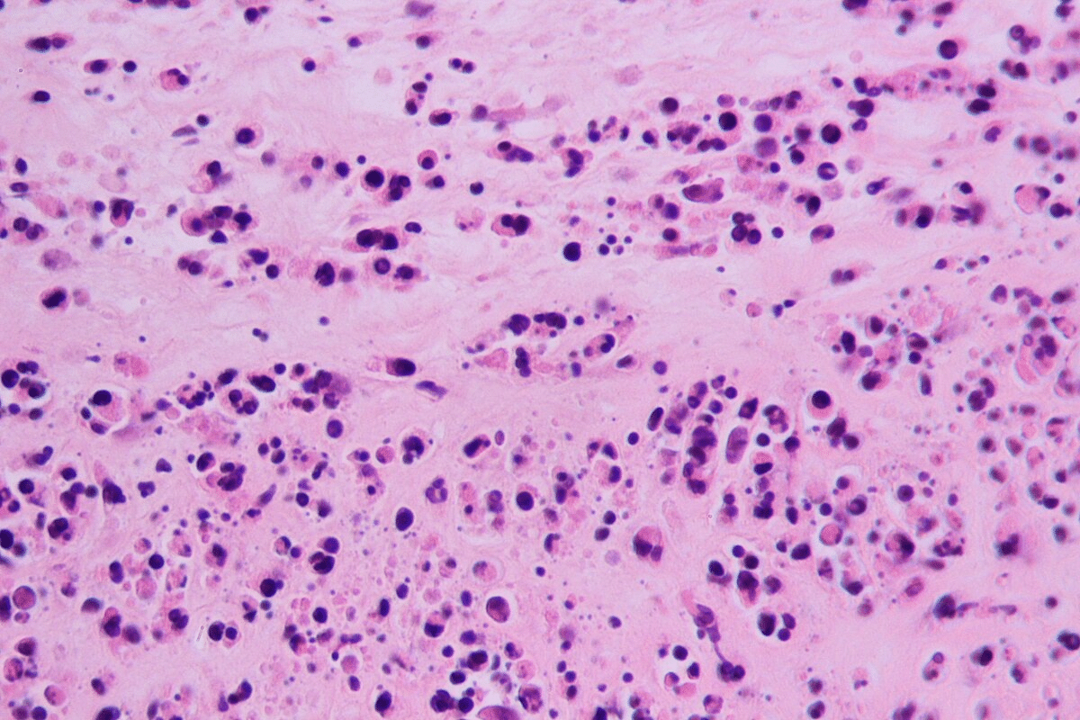
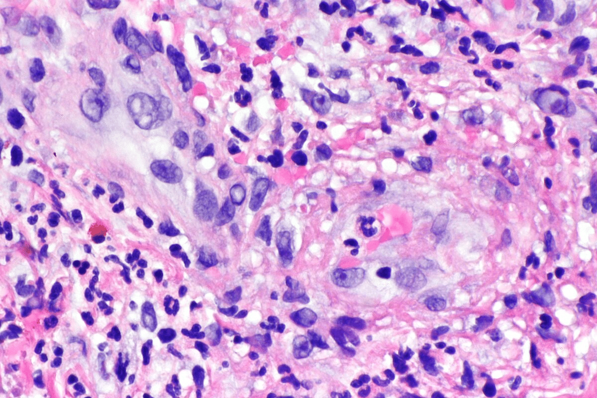
Tissue Biopsies: Confirming Necrotizing Vasculitis
Tissue biopsies are vital to confirm P-ANCA vasculitis. We take samples from affected areas like the kidneys or lungs. These show necrotizing vasculitis through histology.
Biopsy results confirm the diagnosis and show how much damage there is. This helps us decide on treatment and predict how the patient will do.
Laboratory Findings and Diagnostic Challenges
Diagnosing P-ANCA vasculitis is complex. It involves both clinical assessment and lab tests. These tests are key to confirming the diagnosis, checking disease activity, and seeing how well treatment works.
Interpreting ANCA Test Results
ANCA testing is vital in diagnosing P-ANCA vasculitis. It’s done using indirect immunofluorescence (IIF) or enzyme-linked immunosorbent assay (ELISA). P-ANCA vasculitis often shows antibodies against myeloperoxidase (MPO).
When we look at ANCA test results, we must think about the patient’s symptoms and medical history. A positive test helps support the diagnosis, but it’s not enough on its own.
Additional Laboratory Markers and Tests
Other lab tests and markers give us important info on disease activity and which organs are affected. These include:
- Inflammatory markers like C-reactive protein (CRP) and erythrocyte sedimentation rate (ESR) show inflammation levels.
- Complete blood count (CBC) checks for anemia, high white blood cell count, or high platelet count.
- Urinalysis looks for kidney problems like blood or protein in the urine.
- Serum creatinine tests kidney function.
Differential Diagnosis Considerations
P-ANCA vasculitis can have symptoms that are similar to other conditions. This makes it important to rule out other diseases. A detailed clinical evaluation, lab tests, and sometimes biopsies help find the right diagnosis.
|
Condition |
Key Features |
Diagnostic Tests |
|---|---|---|
|
P-ANCA Vasculitis |
Renal and pulmonary involvement, positive P-ANCA |
ANCA testing, biopsy |
|
Other Vasculitides |
Variable organ involvement, different ANCA patterns |
ANCA testing, biopsy, clinical assessment |
|
Infections |
Fever, specific organ involvement (e.g., pneumonia) |
Cultures, imaging, clinical assessment |
|
Autoimmune Diseases |
Multi-organ involvement, specific autoantibodies |
Autoantibody testing, clinical assessment |
Diagnosing P-ANCA vasculitis needs a detailed approach. It combines clinical findings, lab results, and sometimes histopathological examination.
Fact 5: Multiple Factors Can Trigger P-ANCA Positive Vasculitis
Understanding what causes P-ANCA positive vasculitis is key to better prevention and treatment. This condition is complex, with many factors at play.
Genetic Susceptibility Factors
Genetics play a big role in ANCA-associated vasculitis. Research has found certain genes that raise the risk of P-ANCA positive vasculitis. These genes can affect how the immune system works and controls inflammation.
Studies have found that some genetic variations, like those in the HLA region, increase the risk of ANCA vasculitis. We’re learning how these genes work with environmental factors to cause the disease.
Environmental Exposures and Infections
Exposure to certain chemicals and infections can also trigger P-ANCA positive vasculitis. For example, silica exposure is linked to a higher risk of ANCA vasculitis. Infections can start the disease by activating the immune system and creating ANCA antibodies.
We’re figuring out how environmental factors and infections lead to P-ANCA positive vasculitis. But it’s clear they play a big part in triggering the disease.
Medication-Induced ANCA Vasculitis: Propylthiouracil and Hydralazine
Some medications, like propylthiouracil and hydralazine, can cause ANCA vasculitis. These drugs can lead to the production of ANCA antibodies and vasculitis.
|
Medication |
Condition Treated |
Risk of ANCA Vasculitis |
|---|---|---|
|
Propylthiouracil |
Hyperthyroidism |
Moderate |
|
Hydralazine |
Hypertension |
Low to Moderate |
We need to know the risks of these medications and watch for signs of ANCA vasculitis. Spotting the problem early and stopping the medication can prevent serious issues.
Treatment Strategies and Disease Management
P-ANCA vasculitis treatment is complex. It includes induction therapy, maintenance treatment, and managing organ-specific complications. A tailored approach is needed for each patient.
Induction Therapy for Active Disease
Induction therapy controls active P-ANCA vasculitis. It uses immunosuppressants and glucocorticoids to reduce inflammation. Rituximab and cyclophosphamide are common immunosuppressants, often with prednisone.
- Rituximab: Targets CD20-positive B cells, reducing autoimmune response.
- Cyclophosphamide: Suppresses the immune system, used in severe cases.
- Glucocorticoids: Like prednisone, are potent anti-inflammatory agents.
The choice of therapy depends on disease severity, patient health, and side effects. For example, severe kidney issues may need more aggressive treatment.
Maintenance Treatment and Preventing Relapse
Maintenance therapy prevents relapse after the disease is controlled. Azathioprine and rituximab are used for this phase.
- Azathioprine: Suppresses the immune system to maintain remission.
- Rituximab: Continues B cell depletion to prevent relapse.
Regular monitoring and treatment adjustments are key to keeping the disease in remission.
Managing Organ-Specific Complications
P-ANCA vasculitis can affect many organs. A tailored approach is needed for each complication. For example, kidney issues may require dialysis or transplant.
Pulmonary hemorrhage is another serious issue. It may need intensive care and treatments to manage bleeding.
A multidisciplinary team is often needed to manage these complications. Early intervention is key to preventing damage and improving outcomes.
In conclusion, treating P-ANCA vasculitis is complex. Understanding the disease and its treatments helps healthcare providers develop effective strategies. This improves patient outcomes.
Conclusion
P-ANCA vasculitis is a complex autoimmune disorder. It causes inflammation in small blood vessels. This happens because of anti-neutrophil cytoplasmic antibodies targeting myeloperoxidase.
Knowing how to diagnose and treat it is key. This helps manage ANCA-associated vasculitis better.
We’ve covered important facts about P-ANCA vasculitis. It’s an autoimmune disease that affects many parts of the body. Finding and treating it early is vital for better patient outcomes.
There are different treatments for vasculitis ANCA P. These include starting treatments, ongoing care, and handling specific complications. Raising awareness and early diagnosis are important. They help improve care and support for those with this condition.
FAQ
What is P-ANCA vasculitis?
P-ANCA vasculitis is a type of ANCA-associated vasculitis (AAV). It is caused by antibodies against myeloperoxidase (MPO). This leads to inflammation and damage to small blood vessels.
What are the main differences between P-ANCA and C-ANCA?
P-ANCA targets myeloperoxidase (MPO), while C-ANCA targets proteinase 3 (PR3). P-ANCA is linked to microscopic polyangiitis (MPA) and eosinophilic granulomatosis with polyangiitis (EGPA). C-ANCA is often found in granulomatosis with polyangiitis (GPA).
How is P-ANCA vasculitis diagnosed?
Diagnosing P-ANCA vasculitis requires a detailed approach. It includes clinical evaluation, ANCA testing, and tissue biopsies. These steps confirm the presence of necrotizing vasculitis.
What are the common symptoms of P-ANCA vasculitis?
Symptoms vary based on the affected organs. They can include fever, weight loss, and fatigue. Specific symptoms include hematuria, renal failure, and pulmonary hemorrhage.
What causes P-ANCA vasculitis?
The cause is complex, involving genetics, environment, infections, and certain drugs. Propylthiouracil and hydralazine can trigger the disease in some people.
How is P-ANCA vasculitis treated?
Treatment starts with immunosuppressants and glucocorticoids to control the disease. Maintenance therapy is used to prevent relapse. Organ-specific complications are also managed.
What is the role of myeloperoxidase in P-ANCA vasculitis?
Myeloperoxidase (MPO) is targeted by P-ANCA. Anti-MPO antibodies activate neutrophils. This leads to damage of small blood vessels through reactive oxygen species and proteolytic enzymes.
Can P-ANCA vasculitis affect multiple organ systems?
Yes, it can affect many systems, including the kidneys, lungs, and joints. It can also impact ENT structures and peripheral nerves, causing various symptoms and complications.
What are the types of P-ANCA vasculitis?
The main type is microscopic polyangiitis (MPA), which affects small blood vessels. Other types include granulomatosis with polyangiitis (GPA) and eosinophilic granulomatosis with polyangiitis (EGPA).
How do genetic factors contribute to P-ANCA vasculitis?
Genetics can increase the risk of developing ANCA vasculitis. The exact genetic mechanisms are complex and not fully understood.
References
National Center for Biotechnology Information. P-ANCA Vasculitis: Diagnosis and Autoimmune Mechanisms. Retrieved from
https://www.ncbi.nlm.nih.gov/pmc/articles/PMC3547941/