
Distinguishing sickle cell disease from other blood disorders is complex. It needs advanced diagnostics and trusted medical experts. At LivHospital, we follow international standards and focus on patient care. This ensures every patient gets a correct diagnosis and the right treatment from the start.
Sickle cell anemia differential diagnosis is marked by episodes of blood blockage and ongoing blood loss. Doctors confirm it by finding a lot of HbS and sometimes other abnormal beta globin chains. Accurate diagnosis is key for managing the disease and genetic counseling. This helps us offer care that meets each patient’s unique needs.
Key Takeaways
- Accurate diagnosis of sickle cell disease is essential for proper management.
- Sickle cell disease is distinguished by the presence of HbS and other abnormal hemoglobin variants.
- Advanced diagnostics are critical for distinguishing sickle cell disease from other hemoglobinopathies.
- Genetic counseling is a vital component of compassionate care for patients with sickle cell disease.
- LivHospital is dedicated to providing patient-centered care and sticking to international medical standards.
Understanding Sickle Cell Disease Pathophysiology

Sickle cell disease happens because of a key change in the HBB gene. This change leads to abnormal hemoglobin, called hemoglobin S (HbS). This abnormal hemoglobin causes the disease’s symptoms.
The Genetic Basis of Sickle Cell Disease
The disease starts with a single gene change in the HBB gene. This gene is for the beta-globin part of hemoglobin. The change swaps glutamic acid for valine at the sixth spot of the beta-globin chain, making HbS. This change can cause sickle cell trait or sickle cell disease, depending on the genes present.
How Hemoglobin S (HbS) Causes Cell Sickling
When there’s less oxygen, HbS forms long strands inside red blood cells. This makes the cells bend into a sickle shape. This shape change causes problems like more red blood cell destruction, blockages, and organ damage.
Clinical Manifestations of Sickle Cell Disease
Sickle cell disease shows in many ways, like pain episodes, anemia, infections, and organ damage. Some main symptoms are:
- Recurring pain from blockages
- Anemia from red blood cell breakdown
- More infections
- Damage to organs over time
Types of Sickle Cell Disease and Their Clinical Presentations

It’s important to know the different types of sickle cell disease for proper diagnosis and treatment. Sickle cell disease includes several disorders caused by at least one hemoglobin S allele.
Homozygous Sickle Cell Disease (SS Disease)
SS disease is the most common and severe form of sickle cell disease. People with SS disease have two hemoglobin S genes, one from each parent. This leads to a lot of abnormal hemoglobin, causing frequent and severe pain and anemia.
The symptoms of SS disease include:
- Recurring pain from vaso-occlusion
- Anemia from hemolysis
- Increased risk of infections
- Potential for acute chest syndrome
- Splenic sequestration crises
Compound Heterozygous Forms (SC, S-Beta Thalassemia)
Compound heterozygous forms happen when someone has one hemoglobin S gene and another abnormal gene. The most common types are SC disease and S-beta thalassemia.
SC Disease: SC disease is milder than SS disease. People with SC disease have one hemoglobin S gene and one hemoglobin C gene. Symptoms can include:
- Milder anemia than SS disease
- Fewer pain crises
- Higher risk of certain complications like proliferative sickle retinopathy
S-Beta Thalassemia: S-beta thalassemia happens when someone has one hemoglobin S gene and one beta-thalassemia gene. The severity can vary, depending on whether it’s S-beta+ or S-beta0 thalassemia.
Heterozygous Sickle Cell Disease (Sickle Cell Trait)
Heterozygous sickle cell disease, or sickle cell trait, occurs when someone has one normal hemoglobin gene and one hemoglobin S gene. People with sickle cell trait usually don’t show symptoms but can pass the hemoglobin S gene to their children.
Under normal conditions, sickle cell trait has little clinical impact. But high altitude or intense physical activity can lead to complications.
Sickle Cell Anemia Differential Diagnosis: Overview
Distinguishing sickle cell anemia from other hemoglobinopathies like beta-thalassemia and hemoglobin C disease is key. This accurate diagnosis is vital for effective management and genetic counseling.
Common Conditions That Mimic Sickle Cell Disease
Several conditions can look like sickle cell disease, making diagnosis tough. These include:
- Hemoglobin C disease
- Beta-thalassemia
- Other hemoglobin variants
It’s important to tell these apart from sickle cell disease for the right treatment and care.
Importance of Accurate Differential Diagnosis
Getting the diagnosis right is critical for many reasons:
- Proper management: Each condition needs its own approach.
- Genetic counseling: Accurate diagnosis helps families understand their genetic risks.
- Avoiding unnecessary treatments: Wrong diagnoses can lead to harmful treatments.
“Accurate diagnosis is the cornerstone of effective management of sickle cell disease and other hemoglobinopathies.”
Natalie, Hematologist
Initial Approach to Suspected Sickle Cell Disease
When sickle cell disease is suspected, a mix of clinical checks and lab tests are used.
| Test | Purpose |
| Complete Blood Count (CBC) | To evaluate hemoglobin levels and red blood cell indices |
| Hemoglobin Electrophoresis | To identify abnormal hemoglobin variants |
| Peripheral Blood Smear | To examine red blood cell morphology |
These tests help confirm the diagnosis and tell sickle cell disease apart from other conditions.
We stress the need for a detailed diagnostic process. This ensures an accurate diagnosis and proper care.
Distinguishing Sickle Cell Disease from Other Hemoglobinopathies
Diagnosing sickle cell disease right means knowing it apart from other hemoglobinopathies. This includes beta-thalassemia and hemoglobin C disease. Sickle cell disease is caused by abnormal hemoglobin, called hemoglobin S (HbS). Knowing the exact type of hemoglobinopathy is key because each has its own treatment and care plan.
We’ll look at the main differences between sickle cell disease and other related conditions. This includes beta-thalassemia and hemoglobin C disease. We’ll also talk about other hemoglobin types that might be part of the diagnosis.
Beta-Thalassemia vs. Sickle Cell Disease
Beta-thalassemia affects how the body makes beta-globin, a part of hemoglobin. It can range from mild to severe. It’s important to tell beta-thalassemia apart from sickle cell disease because they show different symptoms and need different treatments.
- Clinical Presentation: Beta-thalassemia major causes severe anemia. Sickle cell disease, on the other hand, leads to pain episodes and other problems due to blood clots.
- Laboratory Findings: Hemoglobin electrophoresis helps tell them apart. Sickle cell disease shows HbS, while beta-thalassemia shows less HbA and more HbF and sometimes HbA2.
| Characteristics | Sickle Cell Disease | Beta-Thalassemia Major |
| Primary Hemoglobin Abnormality | HbS | Reduced/ Absent HbA |
| Clinical Features | Vaso-occlusive crises, anemia | Severe anemia, iron overload |
| Hemoglobin Electrophoresis | HbS predominant | HbF elevated, HbA reduced/absent |
Hemoglobin C Disease vs. Sickle Cell Disease
Hemoglobin C disease can be mistaken for sickle cell disease because they share some symptoms. But, hemoglobin C disease is usually less severe.
Differential Diagnosis: Hemoglobin electrophoresis is key here too. It can tell HbS (sickle cell disease) from HbC (hemoglobin C disease).
Other Hemoglobin Variants in the Differential
Other hemoglobin types, like HbE and HbD, can also be part of the diagnosis. Each has its own traits and health effects.
Getting the right diagnosis with tests like hemoglobin electrophoresis, HPLC, and genetic testing is vital. It helps identify these variants and manage them properly.
Laboratory Diagnosis of Sickle Cell Disease
Diagnosing sickle cell disease in the lab is complex. It requires several tests to accurately identify and manage the condition. This disease is caused by abnormal hemoglobin, known as hemoglobin S (HbS). It makes red blood cells take on a sickle shape under certain conditions.
Complete Blood Count and Peripheral Blood Smear
A complete blood count (CBC) is often the first test for sickle cell disease. It shows the hemoglobin level, hematocrit, and red blood cell indices. A peripheral blood smear looks for sickled red blood cells, a key sign of the disease.
Hemoglobin Electrophoresis in Sickle Cell Disease Diagnosis
Hemoglobin electrophoresis is a key test. It separates different hemoglobins by their electrical charge. This test is vital for finding HbS and other abnormal hemoglobin types.
High-Performance Liquid Chromatography (HPLC)
HPLC is used to measure the different hemoglobins in blood. It’s very sensitive and can spot small amounts of abnormal hemoglobin.
Genetic Testing and DNA Analysis
Genetic testing looks at the HBB gene, which codes for the beta-globin subunit of hemoglobin. Mutations in this gene cause sickle cell disease. DNA analysis confirms the diagnosis and shows the individual’s genotype.
| Diagnostic Test | Purpose | Key Findings in Sickle Cell Disease |
| Complete Blood Count (CBC) | Assess hemoglobin level, hematocrit, and red blood cell indices | Anemia, variable MCV and MCHC |
| Peripheral Blood Smear | Examine morphology of red blood cells | Presence of sickled red blood cells |
| Hemoglobin Electrophoresis | Identify and quantify different hemoglobin types | Presence of HbS, possibly HbF and HbA2 alterations |
| High-Performance Liquid Chromatography (HPLC) | Quantify different hemoglobin types with high sensitivity | Accurate quantification of HbS and other variants |
| Genetic Testing and DNA Analysis | Analyze HBB gene for mutations | Identification of specific mutations causing sickle cell disease |
Interpreting Hemoglobin Electrophoresis Results
Understanding hemoglobin electrophoresis results is key for doctors to diagnose and treat sickle cell disease. This test is vital for spotting different hemoglobins in the blood. It’s essential for diagnosing hemoglobinopathies.
Normal Hemoglobin Patterns
People without hemoglobinopathies usually have mostly Hemoglobin A (HbA). They also have a bit of Hemoglobin A2 (HbA2) and fetal hemoglobin (HbF). This pattern is used as a reference for abnormal results.
Patterns in Homozygous Sickle Cell Disease (HbSS)
Homozygous sickle cell disease (HbSS) shows a specific pattern. It has a lot of Hemoglobin S (HbS) and high levels of HbF. HbA is usually not found in these patients.
Patterns in Compound Heterozygous Forms (HbSC, HbS-Beta Thalassemia)
Compound heterozygous forms like HbSC disease and HbS-beta thalassemia have unique patterns. HbSC disease has both HbS and Hemoglobin C (HbC). HbS-beta thalassemia shows HbS and varying amounts of HbA, based on the beta thalassemia mutation.
Patterns in Heterozygous Sickle Cell Disease (Trait)
People with sickle cell trait (HbAS) have a mix of HbA and HbS. HbA is usually more common than HbS. This helps doctors tell the difference between sickle cell trait and disease.
It’s important for doctors to accurately read these patterns. This helps with diagnosis, genetic counseling, and managing sickle cell disease and trait. By knowing these patterns, healthcare providers can give better care and support to those affected.
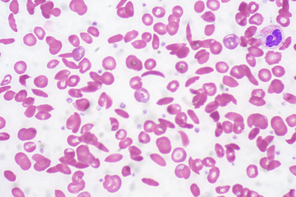
Peripheral Blood Smear Findings in Sickle Cell Disease
Peripheral blood smears are key in diagnosing and managing sickle cell disease. They offer quick insights into red blood cell shapes. This is vital for spotting different sickle cell disease types.
Characteristic Findings in Homozygous Sickle Cell Disease
In SS disease, the blood smear reveals sickle-shaped cells, or drepanocytes. These cells form when hemoglobin S clumps together in low oxygen. They are a clear sign of the disease.
- Sickle cells: These are elongated, crescent-shaped red blood cells.
- Nucleated red blood cells: Often seen due to the increased turnover of red cells.
- Target cells: Cells with a bull’s eye appearance due to hemoglobin redistribution.
- Howell-Jolly bodies: Small, round remnants of nuclear material within red cells, indicative of hyposplenism.
Findings in Compound Heterozygous Forms
In compound heterozygous forms, like HbSC disease or HbS-beta thalassemia, the smear shows a mix of SS disease and the other hemoglobinopathy’s features.
For example, in HbSC disease, the smear may show:
- SC poikilocytes: Cells with a characteristic “folded” or “pita” appearance.
- Target cells: More frequent than in SS disease.
- Hemoglobin C crystals: Intracellular crystals within red cells.
Peripheral Smear in Sickle Cell Trait
In sickle cell trait (HbAS), the blood smear is usually normal or shows slight issues, like:
- Occasional target cells.
- Rarely, a few sickle cells may be seen under conditions of extreme hypoxia.
Peripheral smear findings are essential for diagnosing, assessing disease severity, and tracking complications in sickle cell disease. Healthcare providers use these findings to understand the patient’s condition better and adjust treatment plans.
Sickle Cell Disease vs Sickle Cell Trait: Key Differences
It’s important to know the difference between sickle cell disease and sickle cell trait. Sickle cell trait has one normal and one abnormal HBB gene. Sickle cell disease has two abnormal HBB genes. This difference affects how patients are treated and managed.
Clinical Manifestations and Symptom Comparison
Sickle cell disease causes pain, anemia, and a higher risk of infections. This is because red blood cells sickle. People with sickle cell trait usually don’t have these problems unless they’re in extreme situations.
Key differences in clinical manifestations include:
- How often and how bad the pain crises are
- The level of anemia and its effects
- The risk of getting infections and other problems
Laboratory Findings and Diagnostic Criteria
Lab tests are key to diagnosing sickle cell disease and trait. Hemoglobin electrophoresis helps tell them apart by showing the types of hemoglobin.
Laboratory findings for sickle cell disease typically show:
- More Hemoglobin S (HbS)
- Some Hemoglobin F (HbF)
- Less or no normal Hemoglobin A (HbA)
Management Approaches and Genetic Counseling
Managing sickle cell disease is complex. It includes managing pain, preventing infections, and sometimes blood transfusions. People with sickle cell trait usually don’t need treatment but might get genetic counseling for family planning.
Genetic counseling is key for:
- Knowing the risk of passing the condition to kids
- Talking about reproductive choices
- Planning a family
Prognostic Implications
The future for those with sickle cell disease is uncertain. It depends on how severe the disease is, access to care, and other factors. People with sickle cell trait usually live a normal life without health problems related to their trait.
Prognostic factors for sickle cell disease include:
- How often they get acute chest syndrome
- Presence of other health issues
- How well they respond to treatment
Distinguishing Between SS Disease and SC Disease
Understanding the difference between SS disease and SC disease is key in sickle cell disease care. Both are types of sickle cell disease but differ in genetics and symptoms.
Clinical Differences and Severity Comparison
SS disease is usually more severe than SC disease. People with SS disease often face more severe pain crises and are at higher risk for serious problems like acute chest syndrome.
SC disease, on the other hand, is generally milder. Some people with SC disease may not show symptoms or have fewer pain crises. Yet, SC disease can cause significant health issues, like during pregnancy or under stress.
Laboratory Distinctions in Hemoglobin Analysis
Lab tests are vital in telling SS disease from SC disease. Hemoglobin electrophoresis shows HbS in both but with different patterns. SS disease has mostly HbS, while SC disease has both HbS and HbC in equal amounts.
High-performance liquid chromatography (HPLC) helps measure the different hemoglobin types. This test is useful in making a diagnosis.
Unique Complications of Each Variant
SS disease increases the risk of infections, mainly from encapsulated bacteria, due to the loss of the spleen. SC disease, though less severe, can cause problems like splenic sequestration and, less often, pain crises.
Treatment Implications and Approaches
Managing SS and SC disease involves some similar steps. These include supportive care, pain management, and preventive measures like vaccinations and folic acid. The approach depends on how severe the disease is.
Patients with SS disease might need closer monitoring and more aggressive treatments. This could include hydroxyurea to reduce pain crises and, in some cases, chronic blood transfusions.
Newborn Screening and Early Diagnosis of Sickle Cell Disease
Early detection of sickle cell disease is key. Newborn screening programs help find babies with the disease early. This early find allows for quick action to stop problems.
Screening Methods and Interpretation
Newborn screening uses isoelectric focusing and/or HPLC. These tests spot abnormal hemoglobin, like HbS, which causes sickle cell disease. The results show if a baby is normal, a carrier, or has the disease.
Understanding these results is vital, says the American Academy of Family Physicians. It helps in diagnosing and managing the disease.
Confirmatory Testing in Infants
Infants with abnormal results need more tests to confirm sickle cell disease. Tests like hemoglobin electrophoresis and genetic testing are used. They show the exact type of disease.
Challenges in Neonatal Diagnosis
Newborn screening has its hurdles, like false positives. It’s important to follow up quickly. This ensures babies get the right tests and care, easing family worries.
Follow-up Protocol for Positive Screens
Infants with positive screens need a clear follow-up plan. This includes more blood tests, doctor visits, and genetic counseling. Early action helps prevent serious issues.
Conclusion: Importance of Accurate Diagnosis for Management and Genetic Counseling
Getting a correct diagnosis for sickle cell disease is key. It helps in managing the disease and in genetic counseling. We’ve covered the disease’s basics, like how it works, its types, and how to test for it.
Knowing how to tell sickle cell disease apart from other blood disorders is vital. This knowledge helps doctors give the right treatment.
Having an accurate diagnosis is very important. It lets doctors start treatment right away. Genetic counseling is also essential. It helps families understand their genetic risks.
Doctors need to know how to diagnose sickle cell disease well. This knowledge helps them give the best care to their patients. By doing this, we can help patients get better and support them fully.
FAQ
What is the differential diagnosis of sickle cell disease?
Sickle cell disease is diagnosed by ruling out other conditions. This includes beta-thalassemia and hemoglobin C disease. It also involves identifying conditions that mimic its symptoms.
How is sickle cell disease diagnosed?
Doctors use several tests to diagnose sickle cell disease. These include a complete blood count and a peripheral blood smear. They also use hemoglobin electrophoresis, high-performance liquid chromatography, and genetic testing.
What is the genetic basis of sickle cell disease?
Sickle cell disease is caused by a specific mutation in the HBB gene. This mutation leads to the production of abnormal hemoglobin S (HbS).
What are the different types of sickle cell disease?
There are several types of sickle cell disease. These include homozygous SS disease and compound heterozygous forms like SC disease and S-beta thalassemia. There’s also heterozygous sickle cell disease, known as sickle cell trait.
How does hemoglobin electrophoresis help in diagnosing sickle cell disease?
Hemoglobin electrophoresis is key in diagnosing sickle cell disease. It identifies different hemoglobin variants, including HbS. This helps doctors distinguish between various forms of the disease.
What are the characteristic peripheral blood smear findings in sickle cell disease?
Blood smears show sickled red blood cells and target cells in sickle cell disease. These findings help doctors diagnose the condition.
What is the difference between sickle cell disease and sickle cell trait?
Sickle cell disease occurs when an individual has two abnormal hemoglobin genes. Sickle cell trait, on the other hand, is when someone has one normal and one abnormal gene. This usually doesn’t cause significant symptoms.
How does SC disease differ from SS disease?
SC disease is a milder form of sickle cell disease compared to SS disease. It has different symptoms, lab findings, and treatment options.
Why is newborn screening for sickle cell disease important?
Newborn screening is vital for early diagnosis of sickle cell disease. It allows for timely treatment and management, improving outcomes for affected infants.
What is the role of genetic testing in diagnosing sickle cell disease?
Genetic testing confirms sickle cell disease diagnosis and identifies carriers. It also helps with genetic counseling for families.
How is high-performance liquid chromatography (HPLC) used in diagnosing sickle cell disease?
HPLC separates and quantifies different hemoglobin variants. It aids in diagnosing and managing sickle cell disease.
What are the clinical manifestations of sickle cell disease?
Symptoms of sickle cell disease vary by type and severity. They include pain episodes, anemia, infections, and other complications.
References
- Kato, G. J., Piel, F. B., Reid, C. D., Gaston, M. H., Ohene-Frempong, K., Krishnamurti, L., Smith, W. R., Panepinto, J. A., Weatherall, D. J., Costa, F. F., & Vichinsky, E. P. (2018). Sickle cell disease. Nature Reviews Disease Primers, 4, 18010. https://www.ncbi.nlm.nih.gov/pmc/articles/PMC6457043/