Written by
Aslı Köse
Aslı Köse Liv Hospital Content Team
...
Views
Read Time
...
views
Read Time
Simple 4 Stages Of RA Complete Progression Guide
Simple 4 Stages Of RA Complete Progression Guide 4

Rheumatoid arthritis (RA) is a chronic autoimmune condition that affects millions worldwide. It causes pain, swelling, and stiffness in the joints. Knowing how the disease progresses is key to managing it effectively. Comprehensive guide detailing the four stages of ra (Rheumatoid Arthritis) and their corresponding treatment goals.

Rheumatoid arthritis progresses through four distinct stages. These stages range from early inflammation to severe joint damage. Catching it early and acting fast can slow down the disease. This helps keep your joints working well and improves your quality of life.

At Liv Hospital, we offer top-notch rheumatology care. We focus on you, guiding you through every stage of RA.

Key Takeaways

  • RA is a chronic autoimmune condition affecting the joints.
  • The disease progresses through four distinct stages.
  • Early detection and intervention are key to managing RA.
  • Liv Hospital offers world-class rheumatology expertise and patient-centered care.
  • Understanding RA progression helps maintain joint function and quality of life.

Understanding Rheumatoid Arthritis as an Autoimmune Disease

Simple 4 Stages Of RA Complete Progression Guide

Rheumatoid arthritis (RA) is a unique challenge in medicine. It requires us to understand its causes and how it works. RA happens when the immune system attacks the lining of the joints, called the synovium. This leads to inflammation, pain, swelling, and can damage the joints over time.

What Causes Rheumatoid Arthritis

The exact cause of RA is not fully known. But, it’s believed to be a mix of genetics and environment. Genetic predisposition is a big factor, with some genes making you more likely to get RA. Things like smoking and infections can also trigger it in people who are already at risk. Knowing these causes helps us find ways to prevent and treat RA.

How RA Differs from Other Types of Arthritis

RA is different from other arthritis types like osteoarthritis (OA) and gout. RA is an autoimmune disease that can affect many joints at once. It often comes with other symptoms too. Tests for rheumatoid factor and anti-CCP antibodies can help tell RA apart from other arthritis. This is important for getting the right treatment.

The Progression and Stages of RA in the Body

Simple 4 Stages Of RA Complete Progression Guide

Rheumatoid arthritis (RA) is a complex disease that affects more than just the joints. It moves through different stages, impacting various body systems. Knowing how RA progresses is key to managing it well.

The Autoimmune Response in Joints

The start of RA involves an autoimmune response that mainly hits the synovium, the joint lining. This leads to swelling, making the synovium thicker and causing damage to the cartilage and bone around it.

The immune system in RA creates inflammatory cytokines and activates immune cells like T cells and B cells. These cells are vital in keeping the inflammation and joint harm going in RA.

Systemic Effects Beyond the Joints

RA’s effects aren’t just in the joints. It can also impact other parts of the body, like the lungs, heart, and eyes. This widespread inflammation is a big part of RA’s impact.

For example, RA can cause rheumatoid nodules in the lungs or lead to heart disease because of ongoing inflammation. It’s important to understand these effects to give RA patients the best care.

Systemic Effects

Description

Rheumatoid Nodules

Formation of nodules in organs such as the lungs

Cardiovascular Disease

Increased risk due to chronic inflammation

Ocular Manifestations

Inflammation affecting the eyes

Overview of the 4 Stages of Rheumatoid Arthritis

The four stages of rheumatoid arthritis show how the disease gets worse over time. It starts with early symptoms and ends with serious joint damage. Knowing these stages is key to managing the disease well and helping patients.

The Progressive Nature of Rheumatoid Arthritis

Rheumatoid arthritis gets worse if not treated right. It starts with inflammation and damage to joints. Then, it gets more painful and stiff.

It can even lead to deformities and loss of function. Early treatment is vital to slow it down and control symptoms.

Importance of Early Diagnosis and Treatment

Getting a diagnosis and starting treatment early is very important. It helps avoid long-term damage. The benefits are:

  1. Less inflammation and slower joint damage
  2. Better quality of life by managing symptoms
  3. Keeping function and mobility better

Understanding the 4 stages of rheumatoid arthritis helps doctors give better care. This leads to better results for patients.

Stage 1: Early Rheumatoid Arthritis in Hands and Feet

Rheumatoid arthritis often starts with mild symptoms in the small joints of the hands and feet. These early signs might not seem like much at first. We’ll look at what these symptoms are and how hard it can be to figure out if you have RA.

Recognizing Initial Symptoms in Fingers and Wrists

Early RA can cause morning stiffness, swelling, and pain in fingers and wrists. These signs can be easy to miss because they’re not always obvious. The stiffness lasts more than an hour and can make you feel tired.

People might notice their fingers look swollen or are redder than usual. Wrists can hurt, making it hard to do everyday tasks that need gripping or twisting.

Early Signs in Feet and Ankle Joints

The feet and ankle joints are also affected early in RA. Morning pain or stiffness in the toes is common. Walking or standing can be painful because of the soles of the feet.

Swelling around the ankles is another symptom. This swelling can be warm and red, showing inflammation.

Diagnostic Challenges in Stage 1

Diagnosing RA in stage 1 is tricky because symptoms are mild and can look like other conditions. X-rays might not show damage yet, making diagnosis hard.

We use a mix of clinical checks, patient history, and blood tests to confirm RA. Tests for rheumatoid factor and anti-CCP antibodies are key.

The table below shows symptoms and challenges in diagnosing stage 1 RA:

Symptoms

Commonly Affected Areas

Diagnostic Challenges

Morning stiffness, swelling, pain

Fingers, wrists, toes, ankles

Mild symptoms, similar to other conditions

Redness, warmth, fatigue

Hands, feet

Limited damage visible on X-rays

Difficulty performing daily activities

Wrists, hands, feet

Need for a full clinical check

Stage 2: Moderate Rheumatoid Arthritis

RA advancing to Stage 2 brings significant changes that affect a patient’s life. At this point, symptoms worsen, impacting daily life more.

Development of Rheumatoid Factor and Antibodies

In Stage 2, rheumatoid factor (RF) and other autoantibodies appear in the blood. Rheumatoid factor is an antibody found in RA patients. Its presence aids in diagnosing RA. These antibodies show an active autoimmune fight.

Patients in this stage often test positive for RF. This is a key sign of RA.

Progression of Symptoms Beyond Small Joints

Stage 2 RA affects larger joints, not just small ones. Pain, stiffness, and swelling hit wrists, knees, ankles, and elbows. This makes moving and doing daily tasks harder.

  • Pain and stiffness in larger joints
  • Swelling and inflammation
  • Reduced range of motion

Early treatment can help manage symptoms and slow disease progress.

Cartilage Damage and What It Means

Cartilage damage is a key feature of Stage 2 RA. The autoimmune fight causes inflammation, damaging cartilage. This can lead to joint narrowing and bone-on-bone contact, causing pain and loss of function.

Cartilage damage can’t be reversed. It’s vital to manage RA well to stop further damage.

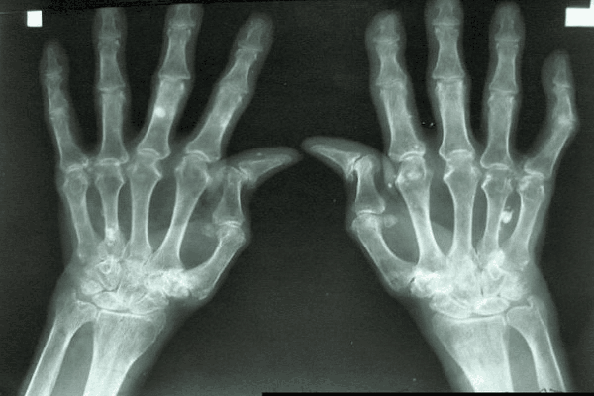
Stage 3: Severe Rheumatoid Arthritis

Stage 3 rheumatoid arthritis is very severe. It causes a lot of inflammation and damage to bones and cartilage. This stage has a big impact on a person’s life, making symptoms worse.

Inflammation’s Impact on Bone and Cartilage

In Stage 3 RA, inflammation damages cartilage and bone a lot. This damage leads to pain, swelling, and less mobility. It also makes the body produce harmful substances that worsen the condition.

Key effects of inflammation on bone and cartilage include:

  • Cartilage degradation, leading to joint space narrowing
  • Bone erosion, causing structural damage to joints
  • Formation of bone spurs or osteophytes

Rheumatoid Nodules and Physical Deformities

Rheumatoid nodules are common in Stage 3 RA. They are firm lumps under the skin, near joints. They are not painful but can be ugly. They also show how severe the disease is.

The inflammation and damage can cause physical deformities. For example, hands can bend in an unusual way. These changes make managing RA harder, affecting both looks and function.

Characteristics

Impact on Patients

Rheumatoid Nodules

Unsightly lumps under the skin, potentially indicating severe disease

Physical Deformities

Joint deformities affecting functionality and appearance

Mobility Challenges and Pain Management

Stage 3 RA makes moving around very hard. The damage and inflammation cause a lot of pain and stiffness. It’s hard to do simple things.

Pain management strategies may include:

  1. Pharmacological interventions, such as DMARDs and biologics
  2. Physical therapy to maintain joint mobility and strength
  3. Surgical options, like joint replacement or synovectomy

Stage 4: End-Stage Rheumatoid Arthritis

End-stage rheumatoid arthritis, or Stage 4 RA, is a serious condition. It causes a lot of joint damage and makes it hard to move. This stage greatly affects a person’s quality of life.

Joint Fusion and Functional Loss

In Stage 4 RA, joints often fuse together. This means bones in the joint grow together, leading to less mobility and flexibility. Such fusion can cause significant deformities and disabilities, making simple tasks hard.

Key implications of joint fusion include:

  • Reduced range of motion
  • Increased pain due to the abnormal positioning of fused joints
  • Potential for increased dependency on others for daily activities

Why This Stage Is Becoming Less Common

Thanks to better treatments, Stage 4 RA is happening less often. Early diagnosis and aggressive treatment have helped slow down the disease. This means fewer people are reaching this advanced stage.

Modern treatment approaches have transformed the management of RA, giving patients new hope by potentially preventing Stage 4.

Quality of Life Considerations

For those with Stage 4 RA, keeping a good quality of life is key. This involves managing pain, adapting to physical limitations, and sometimes surgery to improve joint function or reduce pain. Support from healthcare providers, family, and support groups is vital in coping with end-stage RA.

Strategies to enhance quality of life include:

  1. Physical therapy to maintain remaining joint mobility
  2. Pain management through medication and alternative therapies
  3. Assistive devices to aid in daily activities

Diagnostic Methods Across the Stages of RA

Diagnosing RA needs a detailed plan that uses several important tools. Finding out if someone has rheumatoid arthritis (RA) is complex. It involves checking for the disease’s signs and how far it has spread.

Blood Tests and Biomarkers

Blood tests are key in spotting RA. They look for specific signs in the blood that show the disease.

  • Rheumatoid Factor (RF): An antibody often found in RA patients’ blood.
  • Anti-CCP Antibodies: Another antibody that can point to RA.
  • Inflammatory Markers: Like ESR and CRP, which show inflammation.

These tests are vital for confirming RA and seeing how active the disease is.

Imaging Techniques: X-rays, MRI, and Ultrasound

Imaging tests are important for checking joint damage and how the disease is progressing.

Imaging Technique

Use in RA Diagnosis

X-rays

Look at joint damage and bone erosion.

MRI

Shows detailed images of joints and soft tissues, spotting early RA signs.

Ultrasound

Checks for joint inflammation and early damage.

Physical Examinations and Symptom Assessment

A detailed physical check is key for seeing how much the joints are involved and how active the disease is. Doctors look at symptoms like joint tenderness, swelling, and stiffness to figure out how severe RA is.

By using all these methods together, doctors can accurately diagnose RA. They can then create a treatment plan that fits the patient’s needs.

Modern Treatment Approaches for Different Stages of RA

RA’s progression requires a treatment plan that changes with the disease. It’s important to know how to use different treatments at each stage of RA.

Medications: DMARDs, Biologics, and Targeted Therapies

Medications are key in managing RA. Disease-Modifying Antirheumatic Drugs (DMARDs) are the main treatment. Drugs like methotrexate slow down the disease and protect joints and other body parts from damage.

Biologics target specific parts of the immune system that cause inflammation and damage. Examples include etanercept and adalimumab. Targeted therapies, like tofacitinib, work differently to control the immune system.

Medication Type

Examples

Primary Use in RA

Conventional DMARDs

Methotrexate, Hydroxychloroquine

Slow disease progression, reduce joint damage

Biologic DMARDs

Etanercept, Adalimumab

Target specific proteins involved in inflammation

Targeted Therapies

Tofacitinib

Modulate the immune system’s response

Physical and Occupational Therapy

Physical and occupational therapy are key in managing RA. They help keep joints moving and working well. Physical therapy improves flexibility and strength. Occupational therapy helps adapt daily activities to physical limitations.

Surgical Options for Advanced Stages

In advanced RA, surgery may be needed to fix or replace damaged joints. Surgical options include removing inflamed tissue, repairing tendons, fusing joints, and replacing joints entirely.

Using these treatments at the right time can greatly improve RA outcomes. It helps patients live better and more active lives.

The Importance of Early Intervention in Preventing RA Progression

Early and effective treatment is key to stopping Rheumatoid Arthritis from getting worse. Starting treatment early can greatly reduce the risk of lasting damage and disability. It’s vital to get medical help quickly to manage RA well.

Window of Opportunity for Treatment

Studies show there’s a window of opportunity to treat RA. This is when starting therapy can lead to better results. It’s usually in the first few months after symptoms appear.

Prompt diagnosis and treatment during this time can greatly help. It can lead to less inflammation and slower disease progress.

Preventing Joint Damage and Disability

Early treatment aims to prevent joint damage and disability. Starting treatment early can lower the risk of severe joint damage. This is a big problem in advanced RA.

It improves patients’ quality of life and cuts down on the need for expensive treatments later.

Effective early treatment includes medicines like DMARDs and biologics. It also includes physical therapy and changes in lifestyle. These steps together can greatly improve RA patients’ outcomes.

Living with Rheumatoid Arthritis: Lifestyle Adaptations

Managing rheumatoid arthritis means making big changes in your life. We’ll look at how to adapt your lifestyle to live better with RA. This includes diet, exercise, using assistive devices, and taking care of your mental health.

Diet and Exercise Recommendations

Eating the right foods can help control RA symptoms. Foods like salmon and sardines are good because they have omega-3 fatty acids. Also, eating fruits, vegetables, and whole grains can help fight inflammation.

  • Eat foods that fight inflammation, like berries and leafy greens.
  • Drink lots of water to stay hydrated.
  • Avoid foods that can make inflammation worse.

Exercise is also key in managing RA. Gentle activities like yoga, swimming, and cycling help keep your joints moving. Always talk to your doctor before starting any new exercise plan.

  1. Start with easy exercises to avoid hurting your joints.
  2. Slowly make your workouts harder and longer.
  3. Do strength training to help your joints stay healthy.

Assistive Devices and Home Modifications

Using assistive devices can make everyday tasks easier for people with RA. Tools like jar openers and walking aids can help. Also, making your home safer and more accessible can be very helpful.

  • Put grab bars in places where you might fall.
  • Use non-slip mats in the bathroom and kitchen.
  • Think about rearranging your furniture to make it easier to move around.

Mental Health and Emotional Well-being

RA can affect your mental health. It’s important to take care of your emotional well-being. Seek help from doctors, support groups, and friends. Stress-reducing activities like meditation can also help.

“The psychological impact of chronic illness should not be underestimated. Supporting mental health is as important as managing physical symptoms.”

By making these lifestyle changes, people with RA can manage their condition better. This can improve their overall quality of life.

Conclusion: Managing Your Journey Through the Stages of RA

Managing rheumatoid arthritis is a journey that needs ongoing support and treatment changes. Understanding the stages of RA and the treatments available helps patients navigate their condition better. This improves their quality of life.

RA goes through four stages, each with its own challenges. Early diagnosis and treatment are key to preventing joint damage and disability. A good treatment plan, including medicines, physical therapy, and lifestyle changes, can help manage symptoms and slow the disease.

We stress the need for a team effort in managing RA. Patients, healthcare providers, and support systems must work together. This way, people with RA can stay independent, reduce pain, and improve their overall well-being at every stage of their condition.

FAQ

What are the 4 stages of rheumatoid arthritis?

The 4 stages of rheumatoid arthritis are: Stage 1: Early Rheumatoid Arthritis, Stage 2: Moderate Rheumatoid Arthritis, Stage 3: Severe Rheumatoid Arthritis, and Stage 4: End-Stage Rheumatoid Arthritis.

How does rheumatoid arthritis progress?

Rheumatoid arthritis starts with an autoimmune response. This causes inflammation in the joints. It leads to damage in cartilage and bone. Eventually, it can cause joints to fuse and result in loss of function.

What are the symptoms of Stage 1 rheumatoid arthritis?

Stage 1 rheumatoid arthritis symptoms start in fingers and wrists. They also appear in feet and ankle joints. It’s hard to diagnose because it looks like other types of arthritis.

How is rheumatoid arthritis diagnosed?

Doctors use blood tests and biomarkers to diagnose rheumatoid arthritis. They also use imaging like X-rays, MRI, and ultrasound. Physical exams and symptom checks are part of the diagnosis too.

What are the treatment options for rheumatoid arthritis?

Treatments include medications like DMARDs, biologics, and targeted therapies. Physical and occupational therapy are also options. For advanced stages, surgery might be considered.

Why is early intervention important in rheumatoid arthritis?

Early treatment is key because it can stop joint damage and disability. It gives a chance to manage the disease before it gets worse.

How can lifestyle adaptations help manage rheumatoid arthritis?

Making lifestyle changes helps manage rheumatoid arthritis. This includes following a healthy diet and exercising. Using assistive devices and making home modifications also helps. Supporting mental health and emotional well-being is important too.

What is the impact of rheumatoid arthritis on quality of life?

Rheumatoid arthritis can greatly affect quality of life, mainly in advanced stages. It causes joint fusion, loss of function, and mobility issues.

Can rheumatoid arthritis be cured?

There’s no cure for rheumatoid arthritis. But, modern treatments can manage the disease and prevent joint damage.

How does rheumatoid arthritis differ from other types of arthritis?

Rheumatoid arthritis is an autoimmune disease. It’s different from other arthritis types like osteoarthritis because of its causes and how it progresses.

What are rheumatoid nodules and how do they relate to rheumatoid arthritis?

Rheumatoid nodules are a complication of rheumatoid arthritis. They are firm lumps under the skin, often near affected joints.


Reference

National Center for Biotechnology Information. Rheumatoid Arthritis Pain Relief: Treatments and Disease Management. Retrieved from https://pubmed.ncbi.nlm.nih.gov/26545940/

i

Medical Disclaimer

The content on this page is for informational purposes only and is not a substitute for professional medical advice, diagnosis or treatment. Always consult a qualified healthcare provider regarding any medical conditions.

Get a Free Quote

Response within 2 hours during business hours

Clinics/branches
GDPR
Trusted Worldwide
30
Years of
Experience
30 Years Badge
Health Türkiye Accreditation

Trusted Worldwide

30 Years of Experience

Patient Reviews
Reviews from 9,651
4,9
Was this content helpful?
Your feedback helps us improve.
What did you like?
Share more details about your experience.
You must give consent to continue.

Thank you!

Your feedback has been submitted successfully. Your input is valuable in helping us improve.

Book a Free Certified Online
Doctor Consultation

Clinics/branches
GDPR

We're Here to Help.
Get in Touch

Send us all your questions or requests, and our
expert team will assist you.

Our Doctors

Need Help? Chat with our medical team

Let's Talk on WhatsApp

📌

Get instant answers from our medical team. No forms, no waiting — just tap below to start chatting now.

or call us at +90 530 174 42 01