
Spotting pneumonia on chest X-rays is key for quick diagnosis and treatment. This is very important for kids under five and older adults. Accurate detection helps fight this big health problem.Step-by-step guide on how to identify signs of pna on chest x ray images (Pneumonia) for quick recognition.
Chest X-rays are often used first because they’re fast and cheap. Advanced imaging methods have hit accuracy rates over 98 percent in finding pneumonia. This has changed how doctors diagnose and treat it all over the world.
We use these new methods to make diagnoses better. In this article, we’ll look at the main signs of pneumonia on X-rays. We’ll also talk about how these advanced techniques help patients get better.
Key Takeaways
- Chest X-rays are the primary method for pneumonia screening.
- Advanced imaging techniques have significantly improved detection accuracy.
- Timely identification is critical for effective treatment.
- Pneumonia remains a significant global health challenge.
- Accurate diagnosis is key for better patient outcomes.
The Global Impact of Pneumonia

Pneumonia is a big problem worldwide, hitting hard on those who are most vulnerable. The World Health Organization says it kills over a million kids under five each year. This makes it a huge public health issue.
“Pneumonia is a major killer of children, and it is a disease that can be prevented and treated,” global health experts say. Catching it early is key to saving lives and cutting down on deaths.
Epidemiology and Mortality Statistics
Pneumonia hits people of all ages, but it’s worst for young kids and the elderly. In the United States, it leads to about 1.4 million hospital stays every year.
The death rate from pneumonia varies a lot depending on where you are and who you are. In poor countries, it’s often a death sentence because of lack of healthcare and treatments.
Importance of Early and Accurate Diagnosis
Getting pneumonia diagnosed early and right is key to managing it well and saving lives. Chest X-rays are important for seeing how bad the lung damage is.
Accurate diagnosis means the right treatment, which helps patients get better and avoids serious problems. But, if it’s late or wrong, treatment can be off, making things worse.
Healthcare Burden and Economic Impact
Pneumonia puts a big strain on healthcare systems around the world, costing a lot of money. It needs a lot of resources, from hospital stays to care for those who survive.
In the United States, pneumonia costs the healthcare system tens of billions of dollars each year. The cost goes beyond just medical bills, affecting work and life quality for patients and their families.
As we tackle pneumonia’s diagnosis and treatment, it’s clear we need a full plan to lessen its global impact.
Understanding Chest X-Rays in Pneumonia Diagnosis

Chest X-rays are key in diagnosing pneumonia. They help doctors give the right care quickly. These images are vital for spotting respiratory infections.
Role of Radiography in Respiratory Infections
Chest X-rays are essential for diagnosing respiratory infections. Chest X-ray images show how bad pneumonia is and if it’s causing other problems. This helps doctors decide how to treat it.
These images are quick and give important info about lung health. They’re very useful in emergencies when fast diagnosis is needed.
Advantages of Chest X-Rays for Pneumonia Screening
Chest X-rays are great for screening pneumonia. They’re fast, easy, and not expensive. This makes them a top choice for first tests.
They’re also easy to find, even in places with less equipment. This means more people can get the care they need. The images show pneumonia images x ray that doctors use to make diagnoses.
Technical Considerations for Optimal Imaging
Getting good chest X-ray images needs careful planning. The right position, settings, and following rules are key. This ensures the images are clear and useful.
The X-ray machine’s features also matter. It should adjust for different body sizes and health. With these steps, doctors get clear x ray picture of pneumonia images. This helps them plan better treatment.
Anatomy and Normal Chest X-Ray Appearance
To spot problems on a chest X-ray, knowing the normal parts is key. It’s important to know what a healthy chest X-ray looks like. This helps in finding issues like pneumonia.
Basic Chest Radiograph Anatomy
A chest X-ray shows the chest’s complex parts in two dimensions. It includes the lungs, heart, diaphragm, and bones like ribs and clavicles. Knowing what’s normal helps us spot any oddities.
The lungs are the main focus for xray pneumonia. They should look light and show vascular markings. The heart and mediastinum should be clear, and the diaphragm should be smooth and curved.
Normal Lung Field Appearance
Healthy lung fields on a chest X-ray are light and show vascular markings. The lung edges should be clear against the chest wall and diaphragm. Any odd look could mean sickness, like chest xray pneumonia.
|
Feature |
Normal Appearance |
|---|---|
|
Lung Fields |
Relatively lucent with visible vascular markings |
|
Heart and Mediastinum |
Clearly defined |
|
Diaphragm |
Smooth, curved line |
Common Normal Variants and Pitfalls
Some normal things can look like problems on a chest X-ray. For example, a big thymus in kids or a harmless calcification in adults can be mistaken. Knowing these common normal things helps avoid wrong diagnoses, like when looking at pneumonia x rays images.
“The key to accurate chest X-ray interpretation lies in understanding the normal anatomy and being aware of common normal variants that can mimic pathology.” Medical Expert, Radiologist
Understanding normal chest X-ray anatomy helps doctors spot and diagnose issues like pneumonia more accurately.
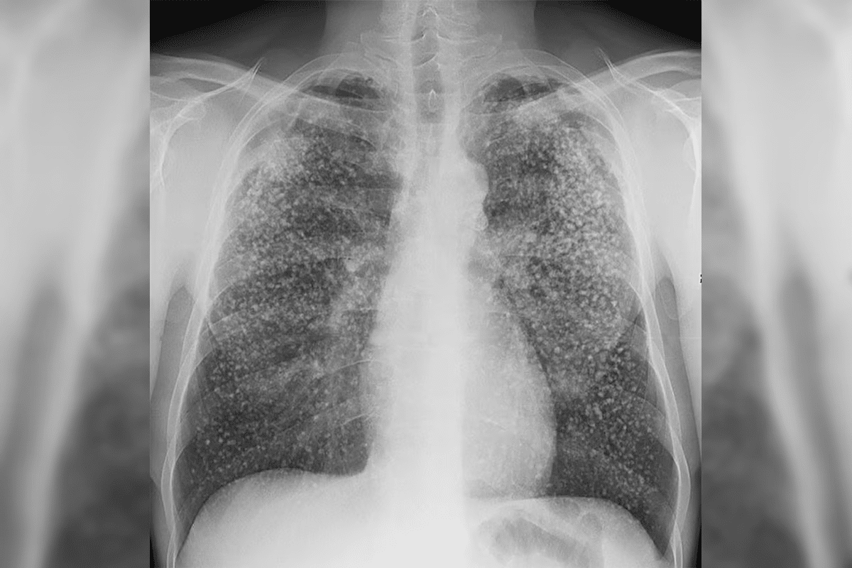
Recognizing PNA on Chest X-Ray: Key Radiographic Findings
Chest X-rays are key in diagnosing pneumonia. They help doctors make important decisions. There are specific signs on chest X-rays that help diagnose pneumonia accurately.
Alveolar Infiltrates and Consolidations
Alveolar infiltrates and consolidations are key signs of pneumonia, often from bacteria. These show up as darker areas on the X-ray. They mean there’s inflammation in the alveoli.
Interstitial Patterns and Opacities
Interstitial patterns and opacities are more common in viral or atypical bacterial infections. They look like net-like or patchy dark areas on the X-ray. This shows the lung’s interstitial tissue is involved.
Pleural Effusions and Their Significance
Pleural effusions are fluid between the lung and chest wall, seen with pneumonia. They can make diagnosis harder and might need extra treatment.
Air Bronchograms and Silhouette Sign
Air bronchograms and the silhouette sign help diagnose pneumonia. An air bronchogram shows bronchi against a dark background. The silhouette sign hides normal structures with consolidation.
|
Radiographic Finding |
Description |
Clinical Significance |
|---|---|---|
|
Alveolar Infiltrates |
Areas of increased opacity indicating inflammatory exudates |
Common in bacterial pneumonia |
|
Interstitial Patterns |
Reticular or reticulonodular opacities |
Often seen in viral or atypical bacterial infections |
|
Pleural Effusions |
Fluid accumulation between lung and chest wall |
Can complicate pneumonia and require intervention |
|
Air Bronchograms |
Visible bronchi against an opaque background |
Indicates alveolar filling with exudate |
Systematic Approach to Identifying Pneumonia on CXR
Healthcare professionals need a detailed method to read chest X-rays for pneumonia. This method makes sure all parts of the image are looked at. This leads to more accurate diagnoses.
Step-by-Step Evaluation Method
We suggest a step-by-step method for checking chest X-rays. This involves looking at the lungs, pleura, and other important areas. We look for signs like alveolar infiltrates and consolidations.
Key steps in this evaluation include:
- Assessing the technical quality of the X-ray
- Examining the lung fields for abnormalities
- Evaluating the pleura for effusions
- Checking for air bronchograms and silhouette signs
Checklist for Pneumonia Identification
A checklist helps make sure we don’t miss anything. Our checklist checks patient details, image quality, and looks for pneumonia signs.
|
Checklist Item |
Description |
|---|---|
|
Patient Details |
Verify patient information and clinical history |
|
Image Quality |
Assess the technical quality of the X-ray |
|
Lung Fields |
Examine for abnormalities such as infiltrates and consolidations |
|
Pleura |
Evaluate for pleural effusions |
Documentation Best Practices
It’s important to document findings accurately. This helps keep patient records up to date and aids in follow-up care. We should clearly describe what we see and its importance.
Best practices include:
- Using clear and concise language
- Providing a detailed description of the findings
- Correlating radiographic findings with clinical information
When to Request Additional Views
Knowing when to ask for more X-rays is key. More views can confirm a diagnosis or show how widespread the pneumonia is.
By using a systematic approach to read chest X-rays, we can better diagnose pneumonia. This improves patient care.
Common Pneumonia Patterns and Distributions
It’s important to know the different ways pneumonia shows up on chest X-rays. Pneumonia is an infection that can affect one or both lungs. It can be caused by bacteria, viruses, or fungi. The look of pneumonia on X-rays can change based on the cause, the patient’s age, and health.
Lobar Consolidation in Bacterial Pneumonia
Bacterial pneumonia often shows up as lobar consolidation on X-rays. This is common in infections from Streptococcus pneumoniae. Lobar consolidation looks like a solid area in one or more lung lobes, with clear edges. Air bronchograms inside the consolidation show that the lung is filled with cells and fluid.
“The presence of lobar consolidation is a key diagnostic feature of bacterial pneumonia,” say radiologists. This helps doctors tell bacterial pneumonia apart from other lung infections.
Viral Pneumonia Presentations
Viral pneumonia might show up differently on X-rays. It can look like fine lines or a widespread, diffuse alveolar infiltrate. Unlike bacterial pneumonia, viral pneumonia doesn’t usually have lobar consolidation. Instead, it affects both lungs more evenly.
- Diffuse interstitial infiltrates
- Bilateral involvement
- Absence of lobar consolidation
Fungal and Opportunistic Infections
Fungal and opportunistic infections can look different on X-rays. They often need careful thought about the patient’s immune status and overall health. In people with weakened immune systems, these infections might show up as unusual patterns, like nodules or cavities.
As one study found, “Fungal pneumonia can look like other infections or even cancer on X-rays. This shows how important it is to match X-ray findings with clinical information.”
Pediatric Pneumonia Considerations
Pediatric pneumonia has its own special considerations. Kids’ lungs and immune systems are different from adults. Understanding these differences is key to reading chest X-rays in children.
|
Type of Pneumonia |
Typical Radiographic Features |
|---|---|
|
Bacterial |
Lobar consolidation, air bronchograms |
|
Viral |
Diffuse interstitial infiltrates, bilateral involvement |
|
Fungal/Opportunistic |
Nodular opacities, cavitary lesions (in immunocompromised) |
Challenging Cases and Differential Diagnoses
Diagnosing pneumonia on chest X-rays can be tricky. This is because many conditions look similar on these images. It’s hard to tell infectious diseases from non-infectious ones just by looking at the X-rays.
Non-Infectious Conditions That Mimic Pneumonia
Some non-infectious conditions can look like pneumonia on X-rays. These include:
- Pulmonary edema
- Acute respiratory distress syndrome (ARDS)
- Pulmonary hemorrhage
- Cryptogenic organizing pneumonia
- Neoplastic processes
To tell these apart from pneumonia, we need to know the patient’s symptoms and medical history well.
Distinguishing Between Similar Radiographic Patterns
Pneumonia’s X-ray patterns can look like other lung problems. For example, pneumonia’s alveolar infiltrates can also show up in edema or hemorrhage. We must look closely at the X-ray details to figure out what’s going on.
|
Condition |
Typical Radiographic Features |
Distinguishing Characteristics |
|---|---|---|
|
Pneumonia |
Localized consolidation, air bronchograms |
Clinical symptoms of infection, fever, elevated WBC |
|
Pulmonary Edema |
Bilateral infiltrates, Kerley B lines |
Cardiac enlargement, vascular redistribution |
|
Pulmonary Hemorrhage |
Bilateral or unilateral infiltrates |
History of trauma or bleeding disorder, anemia |
Clinical Case Examples and Interpretations
Consider a case: A 65-year-old with cough and fever. The X-ray shows a lobar consolidation. This could be pneumonia, but we also think of neoplasm or granulomatous disease. We need to match the X-ray with the patient’s symptoms and might need more tests like CT scans.
“The radiologic diagnosis of pneumonia is not always straightforward and requires correlation with clinical findings and possibly additional imaging studies.” – Achieving Accurate Diagnoses in Pulmonary Medicine
When to Consider Additional Imaging Modalities
While chest X-rays are first for pneumonia, sometimes we need more. This is true for:
- Complicated pneumonia
- Uncertain diagnosis
- Poor response to treatment
In conclusion, diagnosing pneumonia on chest X-rays is complex. We face many challenges and must consider many possible diagnoses. By using X-rays, clinical info, and more tests when needed, we can make more accurate diagnoses.
Advanced Techniques in Pneumonia Detection
We’re seeing big changes in how we detect pneumonia with new technologies. Medical imaging is getting better thanks to artificial intelligence (AI), deep learning, and new analysis methods. These advancements are making it easier to spot pneumonia from chest X-rays.
Artificial Intelligence and Deep Learning Applications
AI and deep learning are changing how we diagnose pneumonia. They help computer systems look at chest X-rays like experts. This means they can find things that humans might miss.
Deep learning algorithms learn from lots of X-ray images. They can spot signs of pneumonia, like changes in the lungs. This helps them make good guesses about new images.
Key benefits of AI in pneumonia detection include:
- Enhanced accuracy in identifying pneumonia patterns
- Reduced interpretation time for radiologists
- Improved consistency in diagnosis
Computer-Aided Detection Systems
Computer-aided detection (CAD) systems help radiologists find possible pneumonia on X-rays. They highlight areas that might show pneumonia. This makes diagnosing pneumonia faster and more accurate.
In busy clinics, CAD systems are very helpful. They give a second opinion, helping catch pneumonia quickly and correctly.
Quantitative Analysis Methods
Quantitative analysis gives a detailed look at pneumonia’s severity and spread. It looks at lung changes to understand the disease better.
For example, it can track lung changes over time. This helps doctors see if treatments are working and make better decisions for patients.
Future Directions in Pneumonia Imaging
As technology gets better, so will pneumonia imaging. We might see AI working with CT scans and other data to understand pneumonia better.
“The future of pneumonia diagnosis lies in the synergy between human expertise and artificial intelligence. By leveraging the strengths of both, we can achieve unprecedented levels of diagnostic accuracy and patient care.”
AI has a big role to play in finding pneumonia. Ongoing research will likely bring new uses and improvements to these technologies.
Conclusion
Diagnosing pneumonia with chest X-rays is key to treating it well and helping patients get better. We’ve covered the main points for spotting pneumonia on X-rays, like knowing what’s normal and what’s not.
Using new tech like AI and deep learning will make diagnosing pneumonia even better. These tools help doctors make more accurate diagnoses, leading to better care for patients everywhere.
It’s important for doctors to know how to read chest X-rays for pneumonia. This skill is critical for making the right decisions and treating patients quickly.
FAQ
What are the key radiographic findings indicative of pneumonia on a chest X-ray?
Key signs include alveolar infiltrates and consolidations, interstitial patterns, and pleural effusions. Air bronchograms and the silhouette sign are also important. These help diagnose pneumonia and distinguish it from other conditions.
How do bacterial and viral pneumonia differ in their appearance on chest X-ray images?
Bacterial pneumonia shows lobar consolidation. Viral pneumonia has more diffuse or interstitial patterns. Knowing these differences is key for accurate diagnosis and treatment.
What are the advantages of using chest X-rays for pneumonia screening?
Chest X-rays are quick, low-cost, and non-invasive. They are perfect for initial pneumonia screening. They provide a fast way to check lung conditions.
How can artificial intelligence and deep learning improve pneumonia detection from chest X-ray images?
Artificial intelligence and deep learning can make pneumonia diagnosis more accurate and efficient. They highlight areas of concern and provide detailed analysis. These tools help radiologists make better diagnoses.
What are some common challenges in diagnosing pneumonia using chest X-rays?
Diagnosing pneumonia can be tricky because other conditions can look similar. Non-infectious diseases can mimic pneumonia. More tests and careful patient evaluation are often needed.
How can pediatric pneumonia be identified on chest X-ray, and what are the unique considerations?
Pediatric pneumonia requires understanding pediatric anatomy and immune response. Radiographic features may differ. It’s important to consider the clinical context for accurate diagnosis.
What is the role of a systematic approach in evaluating chest X-rays for pneumonia?
A systematic approach involves a step-by-step evaluation. Using a checklist ensures all areas are examined. This improves diagnostic accuracy and prevents missing important findings.
When should additional imaging modalities be considered for pneumonia diagnosis?
Additional imaging is needed when there’s uncertainty or when the patient’s symptoms don’t match the chest X-ray. It helps clarify the diagnosis and understand the patient’s condition better.
What are the benefits of using computer-aided detection systems in pneumonia diagnosis?
Computer-aided detection systems help radiologists by pointing out areas of concern. This improves diagnostic accuracy and efficiency.
How do pleural effusions relate to pneumonia diagnosis on chest X-ray?
Pleural effusions are a key sign that can be linked to pneumonia. They show fluid in the pleural space, a complication of pneumonia.
References
World Health Organization. Evidence-Based Medical Guidance. Retrieved from https://www.who.int/news-room/fact-sheets/detail/pneumonia