
A skull base tumor is a rare growth at the base of the skull. It’s behind the eyes and nose, and under the brain. These tumors can be either benign or malignant. They may cause different symptoms based on their size and where they are. Can you feel a Skull base tumor? Discover the alarming, hidden symptoms, from headaches to vision loss. Get the critical facts.
It’s very important to find a skull tumor early. Symptoms can include headaches, hearing loss, and trouble swallowing. If you notice any of these symptoms, consult a healthcare professional promptly.
Key Takeaways
- Skull base tumors are rare growths at the base of the skull.
- These tumors can be benign or malignant and cause various symptoms.
- Early detection is key for effective treatment.
- Symptoms may include headaches, hearing loss, and trouble swallowing.
- Consult a doctor if you’re experiencing any unusual symptoms.
What Are Skull Base Tumors?

Skull base tumors are abnormal growths at the base of the skull. This area is complex and supports the brain. It also houses important structures like cranial nerves and major blood vessels.
Definition and Basic Characteristics
Skull base tumors are neoplasms in the skull base area. They can be either benign or malignant. Benign tumors grow slowly and don’t invade tissues. Malignant tumors grow faster and can spread to nearby areas.
Benign vs. Malignant Skull Base Tumors
The type of skull base tumor affects its symptoms and treatment. Benign tumors include acoustic neuromas, meningiomas, and pituitary tumors. Malignant tumors can come from bone, cartilage, or salivary glands.
| Characteristics | Benign Tumors | Malignant Tumors |
| Growth Rate | Typically slow-growing | Often rapid growth |
| Invasion | Do not invade surrounding tissues | Can invade nearby structures |
| Examples | Acoustic neuromas, meningiomas, pituitary tumors | Carcinomas, sarcomas, lymphomas |
Skull Base Anatomy and Tumor Location

Knowing the skull base’s anatomy is key to finding where tumors are and how they affect us. The skull base is at the bottom of the skull. It supports the brain and lets nerves and blood vessels pass through.
Anatomical Structure of the Skull Base
The skull base is split into three parts: the anterior, middle, and posterior cranial fossae. Each part has its own shape and can get different kinds of tumors. The anterior cranial fossa is at the front and holds the frontal brain parts. The middle part is behind it and has the temporal lobes and pituitary gland. The most back part, the posterior cranial fossa, has the brainstem and cerebellum.
Common Locations for Tumor Development
Tumors can pop up in any of the three parts of the skull base. Where they are can change how they make us feel. Tumors in the anterior skull base might mess with our eyes or sinuses, causing vision issues or mood changes.
Anterior Skull Base
Tumors here can mess with our sense of smell or vision.
Middle Skull Base
The middle part is where you often find tumors like meningiomas or pituitary adenomas. These can mess with the temporal lobes or pituitary gland, leading to hormonal problems or seizures.
Posterior Skull Base
Tumors here can affect the brainstem or nerves. This can make swallowing, speaking, or staying balanced hard.
A medical expert said, “Where a skull base tumor is located is very important for knowing how well a patient will do and what treatments they can get.” This shows why knowing the skull base’s anatomy and where tumors are is so important.
Can You Physically Detect a Skull Base Tumor?
It’s important to know if you can feel a skull base tumor. These tumors are deep in the skull, making them hard to find.
Physical Manifestations and Palpability
Skull base tumors are hard to feel by touch. They are hidden under the brain and other parts, making them hard to check. Most patients don’t feel any signs that a tumor is there.
Why Most Skull Base Tumors Remain Undetectable by Touch
The skull base’s complex structure makes tumors hard to find. Tumors in this area often grow quietly, without causing symptoms until they’re big or affect nerves.
So, doctors use special scans to find tumors, not just touch. It’s key to watch for tumor signs and see a doctor if you have skull pain or other strange symptoms.
Early Warning Signs of Skull Base Tumors
It’s important to know the early signs of skull base tumors. These signs can be subtle and seem unrelated at first. Spotting them early can lead to quicker medical help.
Headaches and Pain Patterns
Persistent headaches are a common sign of skull base tumors. These headaches come from the tumor pressing on nerves or structures. The pain might stay in one spot or spread across your head.
Watching how often and how bad your headaches are is key. Changes in these can mean the tumor is growing or putting more pressure on your skull.
Cranial Nerve Dysfunction
Skull base tumors can harm cranial nerves, leading to various symptoms. Cranial nerve dysfunction might show as double vision, trouble swallowing, or voice changes. This happens when the tumor presses on or damages the nerves.
For example, a tumor near the optic nerve can mess with your vision. A tumor near the vagus nerve can affect your speech or swallowing. Below is a table showing common symptoms of cranial nerve problems linked to skull base tumors.
| Cranial Nerve | Function | Symptoms of Dysfunction |
| Optic Nerve | Vision | Blurred vision, loss of peripheral vision |
| Vagus Nerve | Swallowing, speech | Difficulty swallowing, hoarseness |
| Facial Nerve | Facial expressions, taste | Facial weakness, altered taste |
Subtle Neurological Changes
Small changes in your nervous system can also be signs of skull base tumors. You might feel numbness or tingling in your face or hands, muscle weakness, or trouble with balance and coordination. While these symptoms can have many causes, if they keep getting worse, you should see a doctor.
Progressive Symptoms as Skull Base Tumors Grow
Skull base tumors growing can cause many symptoms that hurt a person’s quality of life. These tumors press on nerves, leading to serious problems.
Vision and Hearing Impairments
Skull base tumors can harm vision and hearing. They can squeeze or damage nerves, causing issues like:
- Blurred or double vision
- Hearing loss or tinnitus
- Difficulty seeing objects or people on one side
These problems make daily life hard.
Balance and Coordination Problems
Skull base tumors can mess with balance and coordination. They affect the inner ear or balance nerves. Symptoms include:
- Dizziness or vertigo
- Unsteadiness or loss of balance
- Difficulty walking or standing upright
These issues raise the chance of falls and injuries.
Facial Numbness and Weakness
Facial numbness or weakness can happen as tumors grow. They press on the facial nerve. This leads to:
- Numbness or tingling sensations in the face
- Weakness or paralysis of facial muscles
- Difficulty with facial expressions or closing the eye
These symptoms can be upsetting and affect how a person feels about themselves.
Diagnosis Methods for Skull Base Tumors
Diagnosing skull base tumors involves several steps. These include imaging and biopsy procedures. Accurate diagnosis is key to choosing the right treatment.
Imaging Techniques
Imaging is vital for finding skull base tumors. It shows where the tumor is, how big it is, and its effect on nearby areas.
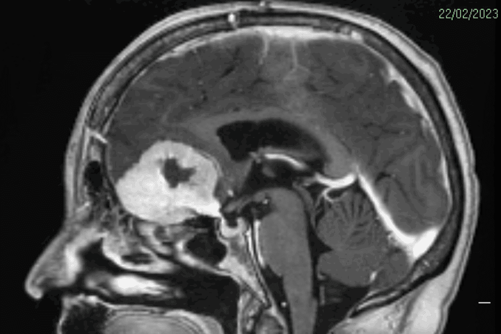
MRI Scans
Magnetic Resonance Imaging (MRI) is a top tool for finding these tumors. It gives clear pictures of soft tissues, helping to tell different tumors apart.
CT Scans
Computed Tomography (CT) scans help see how tumors affect bones. They show the skull base’s structure and any bone damage from the tumor.
Angiography
Angiography checks the tumor’s blood supply. This info is key for planning surgery or other treatments.
| Imaging Technique | Primary Use | Benefits |
| MRI | Soft tissue evaluation | High sensitivity for tumor detection |
| CT | Bone structure assessment | Clear visualization of bone erosion |
| Angiography | Tumor blood supply evaluation | Critical for surgical planning |
Biopsy Procedures and Challenges
Biopsy is key for knowing the tumor’s type and grade. But, it’s hard to do on skull base tumors because of their location. It needs careful planning and execution.
Neurological Assessments
Neurological tests are important. They check how the tumor affects nearby nerves. These tests find any nerve problems or other brain issues.
Treatment Approaches for Skull Base Tumors
Treatment for skull base tumors is complex and varies by patient. It depends on the tumor’s type, size, and location. The patient’s overall health also plays a role.
Surgical Interventions
Surgery is a key treatment for many skull base tumors. The goal is to remove as much of the tumor as possible. This is done while trying to keep surrounding structures and function intact.
Surgical Interventions
Traditional Open Surgery
Traditional open surgery requires an incision to access the tumor directly. It’s often used for larger or more complex tumors.
Endoscopic Approaches
Endoscopic approaches use a small camera and instruments inserted through the nose or a small incision. This method causes less tissue damage and leads to faster recovery.
Minimally Invasive Techniques
Minimally invasive techniques, such as stereotactic surgery, use advanced imaging. They precisely target the tumor, reducing damage to surrounding structures.
Radiation Therapy Options
Radiation therapy is effective for skull base tumors, often used for tumors that can’t be removed surgically. Options include stereotactic radiosurgery and fractionated radiation therapy.
Medical Management and Chemotherapy
Medical management and chemotherapy are recommended for certain skull base tumors. This includes malignant or metastatic cases. The choice of chemotherapy agents depends on the tumor’s histology and genetic characteristics.
| Treatment Option | Description | Indications |
| Traditional Open Surgery | Direct access through an incision | Large or complex tumors |
| Endoscopic Approaches | Minimally invasive, through the nose or small incision | Smaller tumors or those in delicate areas |
| Radiation Therapy | High-energy beams to kill tumor cells | Inoperable or residual tumors |
| Chemotherapy | Drugs to target and kill cancer cells | Malignant or metastatic tumors |
When to Seek Medical Attention
Certain symptoms can mean you have a serious issue like a skull base tumor. It’s important to know these red flag symptoms to get help fast.
Red Flag Symptoms Requiring Immediate Care
Some symptoms are very serious and need quick doctor visits. These include:
- Severe headaches that get worse over time
- Vision changes, such as double vision or loss of peripheral vision
- Difficulty swallowing or speaking
- Unexplained hearing loss or tinnitus
- Facial numbness or weakness
Seeing these symptoms doesn’t always mean you have a skull base tumor. But, they do need a doctor’s check-up to find out what’s wrong.
Preparing for Your Doctor’s Appointment
Before you see your doctor, get ready by collecting info about your symptoms and health history. Make a list of:
- Your symptoms, including when they started and how they’ve changed
- Any medications you’re currently taking
- Your medical history, including any previous diagnoses or surgeries
- Any questions or concerns you have about your condition
Being ready will help you have a good talk with your doctor. It will also help find out what’s causing your symptoms.
Conclusion
Skull base tumors are complex growths that need quick diagnosis and treatment. It’s important for patients and doctors to know the symptoms, how to diagnose, and treatment choices. The skull base’s anatomy is key in how these tumors grow and are found.
Spotting early signs of skull base tumors is critical. Symptoms like headaches, nerve problems, and small changes in the brain are important to watch for. As tumors grow, they can lead to vision and hearing loss, balance issues, and numbness in the face.
Diagnosing these tumors involves imaging and biopsies. These steps help doctors find and understand the tumor. Treatment plans, like surgery, radiation, or medicine, depend on the tumor’s type.
If you notice any warning signs, see a doctor right away. Knowing about symptoms, diagnosis, and treatments helps patients get the care they need. This can greatly improve their health outcomes.
FAQ
What are the common symptoms of a skull base tumor?
Symptoms include headaches and problems with cranial nerves. You might notice vision or hearing issues. Balance and facial numbness can also be affected.
Can a skull base tumor be felt or detected physically?
Most skull base tumors are not palpable. They can’t be felt by touch because they are deep in the skull.
What are the differences between benign and malignant skull base tumors?
Benign tumors are non-cancerous and grow slower. Malignant tumors are cancerous and grow faster, invading nearby tissues.
How are skull base tumors diagnosed?
Diagnosis uses MRI, biopsy, and neurological tests. These help find and understand the tumor.
What are the treatment options for skull base tumors?
Treatments include surgery, radiation, and medical management. The choice depends on the tumor’s type, size, and location.
Can skull base tumors cause headaches?
Yes, headaches are a common symptom. They happen when the tumor presses on nearby structures.
What is skull base surgery?
Skull base surgery removes tumors or lesions in the skull base. It requires a team of neurosurgeons and specialists.
How do skull base tumors impact surrounding structures?
Growing tumors can compress or invade nearby nerves, blood vessels, and brain tissue. This leads to neurological symptoms.
What is the role of MRI in diagnosing skull base tumors?
MRI is key for visualizing the tumor. It helps assess its size and location for treatment planning.
Can chemotherapy be used to treat skull base tumors?
Chemotherapy may be used with other treatments like radiation. It’s often used for malignant tumors.
References
National Center for Biotechnology Information. Evidence-Based Medical Insight. Retrieved from https://pubmed.ncbi.nlm.nih.gov/22424600/