soft tissue sarcoma in leg — Early Signs and Appearance
soft tissue sarcoma in leg — Early Signs and Appearance 4

Soft tissue sarcoma is a rare cancer, making up about 1% of adult cancers. It can happen in many parts of the body, like the limbs and abdomen. Recognizing early signs is key for quick diagnosis and treatment. Learn soft tissue sarcoma in leg signs, symptoms, and how to recognize them early.

In the leg, soft tissue sarcoma often shows up as a firm, deep lump. It might not hurt at first but can grow and hurt later. Knowing what sarcoma looks like helps spot it early.

At Liv Hospital, we mix trusted expertise with care focused on the patient. We help patients deal with these rare cancers well.

Key Takeaways

  • Soft tissue sarcoma is a rare cancer that can occur in the limbs and abdomen.
  • Early signs include a firm, deep-seated lump that may be painless initially.
  • Timely diagnosis is key for effective management.
  • Liv Hospital offers internationally trusted expertise and patient-centered care.
  • Understanding the presentation of sarcoma is key to early detection.

Understanding Soft Tissue Sarcoma: An Overview

soft tissue sarcoma in leg — Early Signs and Appearance
soft tissue sarcoma in leg — Early Signs and Appearance 5

Soft tissue sarcomas are a group of cancers that start in the body’s connective tissue. They can happen in many places, like the abdomen and limbs. These cancers come from soft tissues that support and connect other parts of the body.

Definition and Types of Soft Tissue Sarcoma

Soft tissue sarcoma is a rare cancer that starts in tissues like fat, muscle, and blood vessels. There are over 50 types, each with its own features. Common ones include liposarcoma, leiomyosarcoma, and undifferentiated pleomorphic sarcoma.

These cancers can develop in different tissues. For example, liposarcomas start in fat tissue, and leiomyosarcomas begin in smooth muscle cells. Knowing the type of sarcoma helps doctors choose the best treatment.

Prevalence and Statistical Facts

Soft tissue sarcomas are rare, making up about 1 percent of adult cancers. In the United States, there are about 13,000 new cases each year. The age at which these cancers occur varies, with some types more common in children and others in adults.

Type of SarcomaTypical LocationAge Group Most Affected
LiposarcomaAbdomen, ThighAdults (50-70 years)
LeiomyosarcomaUterus, AbdomenAdults (40-60 years)
Undifferentiated Pleomorphic SarcomaArms, Legs, AbdomenOlder Adults (60+ years)

These facts show why it’s key to be aware and catch these cancers early. Knowing about soft tissue sarcoma helps us spot risks and improve how we diagnose and treat them.

Soft Tissue Sarcoma in Leg: Appearance and Progression

soft tissue sarcoma in leg — Early Signs and Appearance
soft tissue sarcoma in leg — Early Signs and Appearance 6

Leg sarcomas start as firm lumps deep in the leg. They might not hurt at first. Knowing how they look and grow is key to finding them early and treating them well.

Initial Presentation and Physical Characteristics

Leg sarcomas feel like firm lumps deep inside. They often don’t hurt at first, so you might not notice them right away. They can be hard to feel because they’re deep.

As they grow, they can hurt more and spread to nearby tissues. They usually feel hard or firm when you touch them.

How Leg Sarcomas Develop and Change Over Time

Leg sarcomas can cause different symptoms as they grow. At first, they might be small and not hurt. But as they get bigger, they can hurt more. How fast they grow depends on the type and how serious it is.

High-grade sarcomas grow faster and hurt more. They can cause a lot of pain and swelling. Low-grade sarcomas grow slower and might not hurt as much at first.

CharacteristicsInitial PresentationProgression Over Time
PainOften painlessCan become painful as it grows
TextureFirm or hardMay become more fixed to surrounding tissues
Growth RateVariesCan grow rapidly, especialy in high-grade sarcomas

Sarcoma in Abdomen: Visual and Physical Signs

Sarcomas in the abdomen are tricky to spot because of where they are and how they affect digestion. These tumors can show symptoms both inside and outside the body. Finding them early is key.

External Manifestations of Abdominal Sarcomas

Outside, sarcomas in the abdomen can make the belly swell or feel tight. You might feel pain or discomfort, and sometimes you can even feel the tumor.

Common external signs include:

  • Abdominal swelling or distension
  • Pain or discomfort in the abdominal region
  • Palpable mass in the abdomen

Internal Symptoms and Digestive Disruptions

Inside, sarcomas can mess with digestion, causing constipation, bowel blockages, or changes in how you go to the bathroom. This happens because the tumor can push against or grow into nearby parts, like the intestines.

Internal symptoms may include:

  • Constipation or difficulty passing stools
  • Signs of bowel obstruction, such as severe abdominal pain, vomiting, or inability to pass gas
  • Changes in bowel habits or appetite

To understand the symptoms of abdominal sarcomas better, look at this table:

SymptomDescriptionPossible Cause
Abdominal SwellingVisible distension of the abdomenTumor growth, fluid accumulation
Abdominal PainPain or discomfort in the abdominal regionTumor pressing on surrounding tissues, nerves
ConstipationDifficulty passing stools or infrequent bowel movementsTumor obstructing the intestine
Bowel ObstructionSevere abdominal pain, vomiting, inability to pass gasTumor blocking the intestinal lumen

Skin Sarcoma: Distinctive Features and Warning Signs

Skin sarcomas can be seen on the body’s surface. Knowing what to look for can help find them early. This is important for treatment.

Visual Characteristics of Cutaneous Sarcomas

Skin sarcomas can look different, making them hard to spot. They might show up as:

  • Painless or slowly growing lumps under the skin
  • Ulcerations or open sores that don’t heal
  • Changes in skin color or texture
  • Nodules or masses that are firm to the touch

Early detection is key for better treatment results. Watch for any skin changes, more so if you’ve had radiation or have a family history.

Progression and Changes in Skin Appearance

As skin sarcomas grow, they can change how the skin looks. These changes might include:

  1. Increased size of the lump or nodule
  2. Ulceration or bleeding
  3. Changes in color, becoming more red or purple
  4. Surrounding skin becoming inflamed or swollen

Watching these changes and getting medical help early is important. Doctors say early detection is vital for better management and survival.

“The appearance of skin sarcomas can vary widely, but being aware of the common signs can lead to earlier diagnosis and treatment.”

Medical Oncologist

In summary, knowing the signs of skin sarcoma is critical for early detection and treatment. By recognizing the visual signs and changes, people can get help quickly. This can lead to better outcomes.

Early Stage Soft Tissue Sarcoma Abdomen: Subtle Indicators

Soft tissue sarcoma in the abdomen often shows signs that are easy to miss. Finding it early is hard because the symptoms are not clear.

Initial Symptoms That May Be Overlooked

In the early stages, soft tissue sarcoma in the abdomen may not cause much pain. This makes it hard to spot. We might feel a vague discomfort or fullness in the belly, thinking it’s something else.

The first signs can be:

  • Mild belly pain or discomfort
  • A feeling of pressure or fullness in the belly
  • Nonspecific digestive issues

Progressive Signs as Tumors Grow

As the tumor gets bigger, the symptoms get clearer. We might feel a mass or swelling in the belly. Sometimes, this mass can be as big as a grapefruit.

The signs that get worse include:

SymptomDescription
Abdominal MassA palpable lump or swelling in the abdomen
Pain or DiscomfortIncreasing pain or discomfort as the tumor grows
Digestive IssuesMore severe digestive disruptions, such as bowel obstruction

It’s key to see a doctor if symptoms don’t go away or get worse. Finding and treating it early is vital for managing soft tissue sarcoma in the abdomen.

Small Soft Tissue Sarcoma: Why They’re Often Misdiagnosed

Small soft tissue sarcomas look a lot like harmless lumps or cysts. This makes it hard to spot them early. These cancers come from body tissues like fat, muscle, and blood vessels.

Similarities to Benign Conditions

Small sarcomas look a lot like non-cancerous growths. They might show up as small, painless bumps under the skin. This can lead to them being mistaken for other non-cancerous lumps.

Here’s a comparison to show the challenge:

CharacteristicsSmall Soft Tissue SarcomaBenign Lump (e.g., Lipoma)
PainOften painlessUsually painless
Growth RateVariable, can grow slowly or rapidlyTypically slow-growing
TextureFirm or soft, depending on the typeSoft or rubbery

Key Differentiating Factors

While sarcomas share traits with benign lumps, there are key differences. One is how fast they grow. Sarcomas can grow quickly, unlike most benign lumps. Another clue is pain or discomfort, which can happen as the sarcoma gets bigger or spreads.

Doctors need to be extra careful when checking lumps or masses. If they’re changing or growing, it’s a red flag. Catching sarcomas early is key to treating them effectively and improving patient outcomes.

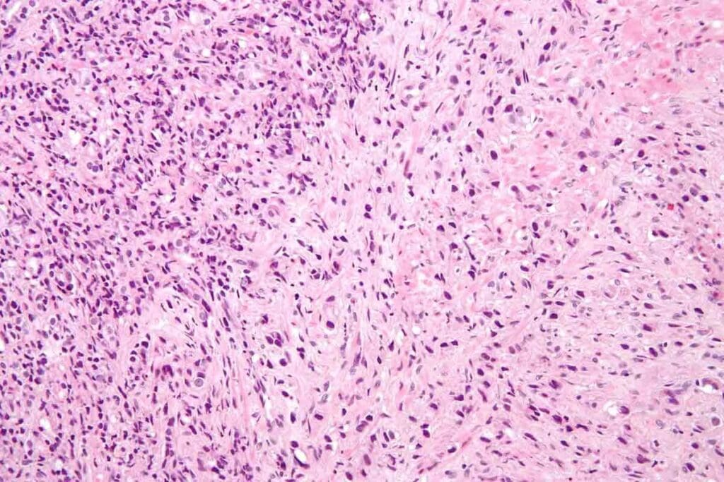
Tumors That Contain Muscle and Fiber: Physical Characteristics

Tumors with muscle and fiber have unique physical traits. These traits help identify the tumor and guide treatment.

Firmness, Mobility, and Texture

Tumors with muscle and fiber are firm and fixed. This firmness comes from the muscle and fiber inside. They are hard to move because they stick to nearby tissues.

The texture can vary, but they feel firm or hard. Sometimes, the surface is uneven or bumpy. Remember, texture and firmness hint at the tumor’s type, but a full diagnosis is needed.

Growth Patterns and Invasiveness

Tumors with muscle and fiber grow fast and can spread. High-grade sarcomas grow quickly. Their ability to spread is a big worry, affecting treatment choices.

Some important traits include:

  • Rapid growth, more in high-grade tumors
  • Spreading into nearby muscles, bones, or tissues
  • Potential for spreading to other parts, based on the sarcoma’s grade and type

Knowing these traits is key to a good treatment plan. We look at the tumor’s size, where it is, its grade, and stage to decide the best course.

High Grade Sarcoma vs. Low Grade: Visual and Symptomatic Differences

The grade of a sarcoma is key in knowing how aggressive it is and what treatment to use. Sarcomas are graded based on how they grow and how much they spread. Knowing these details helps doctors and patients make better choices.

Aggressive Growth Patterns in High Grade Sarcomas

High-grade sarcomas grow fast and spread quickly. They are big and cause a lot of pain. Because of this, they need quick and strong treatments.

  • Rapid Growth: High-grade sarcomas can grow fast, sometimes in just weeks or months.
  • Invasive Tendencies: They tend to spread to other tissues and areas.
  • Symptomatic Presentation: Patients may feel pain, swelling, or have trouble moving because of the tumor.

Slower Progression in Low Grade Variants

Low-grade sarcomas grow slower and don’t spread as much. They need medical care, but their slow growth means treatments can be less intense.

  1. Low-grade sarcomas might not cause symptoms for a long time.
  2. They don’t spread to other tissues as much.
  3. Treatments aim to control the tumor without harming the body too much.

Knowing if a sarcoma is high-grade or low-grade is very important. For example, a sarcoma lump in arm could be either, and knowing its grade helps decide how to treat it.

In short, understanding the differences between high-grade and low-grade sarcomas is key to good care. By knowing how these tumors look and feel, doctors can give better treatments that help patients more.

Diagnostic Approaches for Suspected Soft Tissue Sarcoma

Diagnosing soft tissue sarcoma involves a physical exam, advanced imaging, and a biopsy. This method is key to accurately identifying and understanding soft tissue sarcomas. It’s important for areas like the leg or abdomen.

Physical Examination Findings

A physical exam is the first step in diagnosing soft tissue sarcoma. We look for swelling, lumps, or masses that may hurt. The size, location, and feel of these abnormalities give clues about the tumor.

Leg sarcomas might cause pain or discomfort. This is because the tumor can press on nerves or muscles. Abdominal sarcomas might cause pain, swelling, or changes in bowel habits.

Imaging Studies and What They Reveal

Imaging studies are vital for diagnosing and staging soft tissue sarcomas. X-rays, ultrasound, CT scans, MRI, and PET scans help us see the tumor’s size and location. They also show if the tumor has spread.

MRI is great for soft tissue sarcomas because it shows detailed images of soft tissues. This helps us tell different types of tumors apart. CT scans are useful for checking how the tumor relates to bones and if it has spread to other organs.

Imaging TechniquePrimary UseBenefits
MRISoft tissue characterizationHigh-resolution images of soft tissues, helpful in distinguishing tumor types
CT ScanTumor staging and assessing metastasisQuick and accurate assessment of tumor size and spread to other organs
PET ScanAssessing metabolic activity and spreadProvides information on tumor metabolism, helpful in assessing treatment response

Biopsy Procedures and Definitive Diagnosis

A biopsy is the key to diagnosing soft tissue sarcoma. It involves taking tissue from the tumor for examination. There are different biopsy methods, each suited for different tumor locations and types.

The biopsy sample is studied under a microscope to identify cancer cells. This helps us understand the tumor’s characteristics and plan treatment. Advances in biopsy techniques have improved our ability to tailor treatments to each patient’s needs.

Treatment Options and Their Impact on Appearance

Soft tissue sarcoma treatment includes surgery, radiation, and chemotherapy. Each method affects how a patient looks and feels. The right treatment depends on the tumor’s size, location, and the patient’s health.

Surgical Interventions and Resulting Changes

Surgery is a key treatment for soft tissue sarcoma. The goal is to remove the tumor and some healthy tissue around it. The surgery needed can vary a lot, based on the tumor’s size and where it is.

For example, a tumor in the leg might need a big surgery. This could change how the leg looks and how it moves. Sometimes, removing the leg is needed, which affects how a person looks and needs prosthetics.

Effects of Radiation and Chemotherapy

Radiation therapy is used with surgery to kill cancer cells. But, it can cause skin and tissue changes, like scarring and swelling. Chemotherapy, used for more serious cases, can cause hair loss and skin changes.

These treatments can greatly change how a person looks. For instance, radiation on the abdomen can change the skin and tissues, affecting how the area looks. Chemotherapy’s effects can change how a person looks all over, not just where they were treated.

Reconstructive Approaches and Aesthetic Outcomes

Reconstruction is key for many patients with soft tissue sarcoma. It aims to improve function and appearance. Techniques range from simple closure to complex surgeries using flaps or grafts.

TreatmentPotential Impact on AppearanceReconstructive Options
SurgeryScarring, changes in limb or abdominal appearanceLimb-sparing surgery, prosthetics, reconstructive surgery
Radiation TherapySkin changes, scarring, swellingTopical treatments, scar management
ChemotherapyHair loss, skin and nail changesWigs, scalp cooling, nail care

It’s important for patients and doctors to understand how treatments affect appearance and function. By exploring reconstructive options and supportive care, patients can get the best results.

Conclusion: Importance of Early Detection and Medical Consultation

Early detection is key to better outcomes in soft tissue sarcoma. It’s important to know the signs and symptoms, like a sarcoma lump. If these signs don’t go away or get worse, see a doctor.

Knowing what sarcomas look like and how they grow helps in early diagnosis. If you find a lump or swelling, see a healthcare professional right away. Early detection means less invasive treatments and better survival rates.

We urge everyone to stay alert about their health and seek medical advice if needed. Being informed and proactive can greatly improve treatment and recovery chances. Getting a medical consultation is the first step to addressing concerns and finding the best treatment plan.

FAQ

What are the common signs of soft tissue sarcoma in the leg?

Soft tissue sarcoma in the leg often starts as a painless lump or swelling. This can be misleading. As the tumor grows, it can cause pain and discomfort. This highlights the need for early medical evaluation.

How does sarcoma in the abdomen manifest?

Sarcoma in the abdomen can cause significant morbidity. It affects digestive function and causes pain. Symptoms include abdominal pain, digestive disruptions, and a palpable mass.

What does skin sarcoma look like?

Skin sarcoma is visible on the body’s surface. It can appear as a lump or lesion. Early detection is possible if one is aware of the warning signs, such as changes in skin appearance or the presence of a new lump.

What are the early signs of soft tissue sarcoma in the abdomen?

Initially, symptoms may be minimal or nonspecific. This makes early detection challenging. As the tumor grows, symptoms become more pronounced, leading to medical evaluation. These symptoms can include abdominal pain, digestive issues, and a palpable mass.

Why are small soft tissue sarcomas often misdiagnosed?

Small soft tissue sarcomas can be confused with benign lumps. This highlights the need for careful evaluation and diagnostic precision. Key differentiating factors include the tumor’s firmness, mobility, and texture, as well as its growth pattern.

What are the physical characteristics of tumors that contain muscle and fiber?

Tumors that contain muscle and fiber tend to be firm and fixed. These characteristics distinguish them from more benign conditions. They can also be invasive, growing into surrounding tissues.

How do high-grade and low-grade sarcomas differ?

High-grade sarcomas are aggressive and have a worse prognosis. Low-grade sarcomas are less aggressive and have a better prognosis. High-grade sarcomas tend to grow more rapidly and are more likely to metastasize.

What diagnostic approaches are used for suspected soft tissue sarcoma?

Diagnostic approaches include physical examination findings, imaging studies, and biopsy procedures. A combination of these methods is critical for achieving a definitive diagnosis.

How do treatment options impact the appearance of soft tissue sarcoma patients?

Treatment can significantly affect a patient’s quality of life. It’s essential to consider aesthetic and functional outcomes. Surgical interventions, radiation, and chemotherapy can all impact a patient’s appearance. Reconstructive approaches can help mitigate these effects.

What is the importance of early detection in soft tissue sarcoma?

Early detection is key to effective treatment and improved survival rates. We encourage readers to be vigilant about their health. Seek medical advice if they notice any unusual signs or symptoms.

Reference

  1. Pisters, P. W. T., & et al. (2003). Clinical presentation, classification, and diagnosis. In Soft Tissue Sarcoma (NCBI Bookshelf). https://www.ncbi.nlm.nih.gov/books/NBK13366/

30

Years of

Excellence

Trusted Worldwide

With patients from across the globe, we bring over three decades of medical

Yakup Milder

pedagogy expert
15 years of experience

Book a Free Certified Online
Doctor Consultation

Clinics/branches

4,9

Reviews from 9,651 people

Was this article helpful?

Book a Free Certified Online
Doctor Consultation

Clinics/branches

We're Here to Help.
Get in Touch

Send us all your questions or requests, and our
expert team will assist you.

Let's Talk About Your Health

BUT WAIT, THERE'S MORE...

Leave your phone number and our medical team will call you back to discuss your healthcare needs and answer all your questions.

Let's Talk About Your Health

Contact Us to Get Information!

Contact

How helpful was it?

helpful
helpful
helpful
Your Comparison List (you must select at least 2 packages)