Comprehensive Care for Acute & Chronic Types

What is Myelogenous Leukemia? Learn about Acute (AML) and Chronic (CML) types, genetic causes, and advanced stem cell transplant options at Liv Hospital.

We're Here to Help.
Get in Touch.

Send us all your questions or requests, and our expert team will assist you.

Doctors
GDPR

Myelogenous Leukemia: Overview and Definition

Myelogenous Leukemia

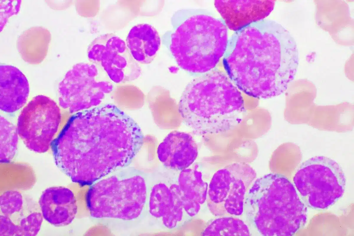
Myelogenous leukemia is a type of blood cancer that starts in the bone marrow, where blood cells are made. It causes the body to make too many abnormal cells, which affects your blood’s ability to carry oxygen, fight infection, and clot. These unhealthy cells can build up in the blood and crowd out the healthy cells your body needs.

There are two main types: acute myelogenous leukemia (AML), which comes on quickly and needs fast treatment, and chronic myelogenous leukemia (CML), which develops more slowly. AML usually causes symptoms to appear suddenly, while CML can go unnoticed for a longer time.

Myelogenous leukemia affects the whole body, not just the blood. It can change how your organs work and weaken your immune system. Treatments often focus on helping the bone marrow make healthy blood cells again, especially if standard treatments don’t work.

There are different types of myelogenous leukemia, and each may need a different treatment plan. Some cases need advanced treatments like bone marrow or cell therapy to help restore healthy blood production.

What Is Myelogenous Leukemia

Myelogenous Leukemia

Myelogenous leukemia is defined as a malignant disorder of myeloid cells in which abnormal growth disrupts normal blood cell development and function.

Medical Definition and Cellular Origin

In healthy bone marrow, myeloid stem cells mature into functional blood cells in a tightly regulated process. In myelogenous leukemia, this process is altered by genetic abnormalities that cause myeloid cells to multiply excessively and lose their ability to mature properly.

Core defining features include
• Origin in myeloid precursor cells
• Abnormal proliferation within the bone marrow
• Suppression of normal blood cell production
• Presence of malignant cells in blood and tissues

The nature of these abnormalities determines whether the disease follows an acute or chronic course.

Icon LIV Hospital

Acute and Chronic Forms of Myelogenous Leukemia

Acute and Chronic Forms of Myelogenous Leukemia

The two main forms differ significantly in behavior and clinical presentation.

Acute Myelogenous Leukemia

Acute myelogenous leukemia is marked by the rapid accumulation of immature myeloid cells, known as blasts. These cells multiply quickly and crowd out healthy marrow cells, leading to sudden and often severe symptoms related to anemia, infection risk, and bleeding tendency.

Because of its aggressive nature, acute myelogenous leukemia is considered a medical emergency that requires prompt evaluation and treatment.

Chronic Myelogenous Leukemia

Chronic myelogenous leukemia typically involves more mature myeloid cells and progresses at a slower pace. Many individuals are diagnosed during routine blood testing before symptoms become prominent. Despite its slower progression, chronic myelogenous leukemia can evolve over time and requires careful long-term monitoring and management.

Icon 1 LIV Hospital

Myelogenous Leukemia as a Bone Marrow Disorder

Myelogenous Leukemia as a Bone Marrow Disorder

The bone marrow plays a central role in disease development.

Impact on Blood Formation

As abnormal myeloid cells expand, they disrupt the bone marrow environment, reducing the production of healthy red blood cells, platelets, and functional white blood cells. This imbalance explains many of the clinical features seen in myelogenous leukemia and highlights why therapies targeting marrow recovery are critical in advanced disease management.

Relationship to Advanced Cellular Therapies

Myelogenous leukemia is one of the conditions in which advanced cellular treatment strategies may be considered in specific clinical scenarios. In this context, myelogenous leukemia itself represents the underlying disease for which restoration of normal bone marrow function becomes a central therapeutic goal.

These approaches are evaluated carefully based on disease type, progression, response to prior therapies, and overall patient condition.

Clinical Importance of Accurate Classification

Clinical Importance of Accurate Classification

Correctly identifying whether myelogenous leukemia is acute or chronic, and understanding its biological characteristics, is essential for guiding diagnosis, treatment decisions, and long-term planning. Each form follows a different clinical course and responds differently to available therapies.

A clear foundational understanding of myelogenous leukemia allows patients and caregivers to better interpret subsequent discussions on indications, evaluation, treatment procedures, and recovery pathways.

30 Years of
Excellence

Trusted Worldwide

With patients from across the globe, we bring over three decades of medical

Book a Free Certified Online
Doctor Consultation

Clinics/branches
GDPR
Op. MD. Ferit Yücel Op. MD. Ferit Yücel Stem Cell Overview and Definition
Group 346 LIV Hospital

Reviews from 9,651

4,9

Was this article helpful?

Was this article helpful?

We're Here to Help.
Get in Touch.

Send us all your questions or requests, and our expert team will assist you.

Doctors
GDPR

FREQUENTLY ASKED QUESTIONS

What is myelogenous leukemia?

It is a blood cancer that affects myeloid cells produced in the bone marrow.

No, they are distinct forms with different progression patterns.

Yes, it is a systemic disease that impacts blood and multiple organs.

Because abnormal cells originate in the bone marrow and disrupt blood production.

No, treatment depends on the type, stage, and biological features of the disease.

Spine Hospital of Louisiana
Need Help? Chat with our medical team

Let's Talk on WhatsApp

📌

Get instant answers from our medical team. No forms, no waiting — just tap below to start chatting now.

or call us at +90 530 510 71 24

How helpful was it?

helpful
GDPR
helpful
GDPR
helpful
GDPR