
Discover 15 key symptoms of bone marrow disease, its causes, and warning signs to watch for early. Understanding bone marrow disease symptoms is key to getting medical help fast. Multiple myeloma, myelofibrosis, and PNH are conditions that harm the bone marrow. They cause many health problems.
Bone marrow not working properly can lead to fewer red and white blood cells and platelets. This means you might feel tired, look pale, get sick easily, and bruise a lot.
Spotting these signs early is vital for treatment. We’ll look at the signs and reasons behind bone marrow diseases. This will help you know if you’re at risk.
Key Takeaways
- Bone marrow disease can lead to a decrease in blood cell production.
- Anemia symptoms include fatigue and pallor.
- Increased infections and bleeding symptoms are common.
- Bone pain is a significant warning signal.
- Early recognition of symptoms is key for timely medical help.
Understanding Bone Marrow Function and Its Vital Role
Bone marrow is key to keeping our bodies healthy and fighting off diseases. It’s a spongy tissue inside bones like the hips and thighbones. It makes blood cells, which are vital for our body’s functions.
The Structure and Function of Healthy Bone Marrow
Healthy bone marrow is essential for making blood cells. It has blood vessels and different cell types, including stem cells. These stem cells turn into various blood cells.
“The bone marrow is a complex organ that is essential for the production of blood cells and the maintenance of the immune system,” as noted by medical professionals. This complexity highlights the bone marrow’s importance in our health.
The Three Critical Blood Cell Types Produced
Bone marrow makes three main blood cell types: red blood cells, white blood cells, and platelets. Red blood cells carry oxygen. White blood cells fight infections. Platelets help stop bleeding when a blood vessel is injured.
- Red blood cells carry oxygen to tissues and organs.
- White blood cells are part of the immune response, helping to fight off infections.
- Platelets are essential for preventing excessive bleeding when a blood vessel is injured.
How Bone Marrow Maintains Bodily Functions
Bone marrow keeps our body working by making blood cells. This ensures our body has the cells it needs. For example, red blood cells help tissues get oxygen, and white blood cells protect against infections.
In summary, bone marrow is vital for our health. Understanding its function helps us see how our body keeps us well.
How Bone Marrow Diseases Develop: Common Causes

Bone marrow diseases often come from a mix of genetic and external factors. Knowing these causes helps us spot risks and maybe stop some diseases before they start.
Genetic Conditions
Some bone marrow diseases run in families. For example, certain genes can raise the chance of getting myeloproliferative neoplasms or aplastic anemia. Genetic tests can find people at higher risk, so they can get help early.
Genetic issues that can harm bone marrow include:
- Fanconi anemia
- Diamond-Blackfan anemia
- Congenital neutropenia
Environmental Exposures and Toxins
Some toxins and chemicals can hurt bone marrow, causing different diseases. Common offenders are:
- Benzene and other industrial chemicals
- Pesticides
- Heavy metals
Cancer Treatments and Medication Side Effects
Certain cancer treatments, like chemotherapy and radiation, can harm bone marrow. This can lead to aplastic anemia or myelodysplastic syndromes. Some medicines, like antibiotics and anti-inflammatory drugs, can also mess with bone marrow.
| Cancer Treatment | Potential Bone Marrow Effect |
| Chemotherapy | Myelosuppression, Aplastic Anemia |
| Radiation Therapy | Bone Marrow Failure, Myelodysplastic Syndromes |
Autoimmune Disorders Affecting Bone Marrow
Autoimmune diseases can sometimes attack bone marrow, causing aplastic anemia. In these cases, the immune system mistakenly attacks bone marrow cells. This makes it hard for them to make blood cells.
Knowing about these causes helps us find people at risk and maybe stop some bone marrow diseases. Early detection and the right treatment can greatly improve life for those with bone marrow disorders.
Primary Symptoms of Bone Marrow Disease: Anemia-Related Signs
Bone marrow disease often shows up as anemia symptoms. Anemia happens when the bone marrow can’t make enough red blood cells or when these cells don’t work right. We’ll look at the common signs of anemia in bone marrow disease.
Persistent Fatigue and Weakness
Persistent fatigue and weakness are common symptoms of anemia. Without enough red blood cells or hemoglobin, the body can’t get enough oxygen. This makes you feel tired and weak, even after resting or doing little.
People often say they don’t have the energy to do everyday things. This really affects their quality of life.
Pallor and Pale Skin
Pallor or pale skin is another sign of anemia. Not enough red blood cells or their poor ability to carry oxygen makes the skin look pale. This is most obvious in the face, lips, and nail beds.
Pallor is a clear sign that something is wrong. It’s a reason to see a doctor.
Shortness of Breath During Normal Activities
Anemia can cause shortness of breath during normal activities. When tissues don’t get enough oxygen, the lungs have to work harder. This makes breathing feel hard, even for simple tasks like walking or climbing stairs.
Dizziness and Lightheadedness
Dizziness and lightheadedness are also symptoms of anemia. Not enough red blood cells or hemoglobin means the brain doesn’t get enough oxygen. This makes you feel dizzy or lightheaded.
These feelings can make you more likely to fall or have accidents. It’s very important to find and treat the cause of these symptoms.
Bleeding and Bruising Manifestations
Bone marrow disorders often show bleeding and bruising symptoms. These signs are alarming and need quick medical help. They happen because the bone marrow doesn’t make enough platelets, which are key for blood to clot.
Easy Bruising Without Trauma
One key sign of bone marrow disease is bruising easily without any injury. This happens when the bone marrow doesn’t make enough platelets or when the platelets don’t work right. Even small bumps can cause big bruises.
Prolonged Bleeding from Minor Cuts
Another symptom is bleeding a lot from small cuts or injuries. If there are not enough platelets or if they don’t work well, the body can’t stop bleeding. This means even small wounds can bleed a lot.
Frequent Nosebleeds or Gum Bleeding
Frequent nosebleeds or gum bleeding are also signs of bone marrow disorders. These happen because the body doesn’t have enough platelets or they don’t work right. It’s hard for the body to keep small blood vessels closed.
Petechiae (Small Red Spots Under the Skin)
Petechiae are small, red spots under the skin from tiny hemorrhages. They are a big sign of bone marrow disease, showing up with other bleeding symptoms. They happen because there are not enough platelets, causing small blood vessels to leak.
| Bleeding Manifestation | Description | Possible Cause |
| Easy Bruising | Bruising without apparent trauma | Low platelet count or dysfunction |
| Prolonged Bleeding | Bleeding that doesn’t stop after minor cuts | Impaired clotting due to platelet issues |
| Nosebleeds or Gum Bleeding | Frequent bleeding from nose or gums | Inadequate platelet count or function |
| Petechiae | Small red spots under the skin | Minor hemorrhages due to low platelet count |
Immune System Warning Signals and Infection Patterns
Bone marrow disorders can weaken the immune system, making us more prone to infections. When the bone marrow doesn’t work right, it can’t make enough healthy blood cells. This includes white blood cells, which are key in fighting infections.
Recurrent and Persistent Infections
Recurring and persistent infections are a big sign of immune system problems caused by bone marrow disease. These infections can be more serious and last longer than usual. This shows that the immune system is not working as it should.
- Frequent respiratory infections, such as pneumonia or bronchitis, can be a sign of weakened immunity.
- Recurring skin infections or abscesses may also indicate an issue with the body’s ability to fight off pathogens.
Slow Healing of Wounds and Cuts
Slow healing of wounds is another sign that the immune system is not working right. This is because the body might not be making enough platelets and white blood cells. These are needed for wounds to heal.
- Delayed recovery from minor cuts or wounds can be a sign of an underlying bone marrow issue.
- Increased risk of infection in wounds due to a compromised immune response.
Chronic Low-Grade Fever
A chronic low-grade fever is a sign that the body is fighting an ongoing infection or inflammation. This is a big concern for people with bone marrow diseases.
Increased Susceptibility to Uncommon Pathogens
People with bone marrow disorders are more likely to get infections from uncommon pathogens. These are infections that take advantage of a weakened immune system.
- Opportunistic infections such as fungal infections can occur more frequently in individuals with compromised immune systems.
- Viral reactivations, such as herpes zoster (shingles), can also be a sign of immune dysfunction.
We know that diseases like myelofibrosis and PNH can raise the risk of infections. This shows how important it is to watch the immune system in these patients.
Musculoskeletal and Physical Symptoms of Bone Marrow Disease
People with bone marrow disorders often face physical symptoms that can really hurt. These symptoms can make life hard, so it’s key to tackle them fast.
Bone Pain and Tenderness
Bone pain is common in those with bone marrow diseases, like myelofibrosis. This condition scars the bone marrow, causing pain and tenderness. It often hurts in the back, ribs, and hips.
The pain can be mild or very bad. If not treated, it can get worse over time.
Joint Pain and Swelling
Joint pain and swelling are also symptoms of bone marrow diseases. They happen when the body’s cells inflame and spread to the joints. This can make joints stiff, painful, and hard to move.
- Swelling and redness around the joints
- Pain that worsens with movement
- Stiffness, specially in the morning
Unexplained Weight Loss
Weight loss without reason is a big worry for those with bone marrow diseases. This loss happens because the body uses more energy to fight the disease. It’s important for patients to eat well to stay healthy.
Night Sweats and Chills
Night sweats and chills are signs of bone marrow diseases, like lymphoma and leukemia. They come from the body’s fight against the disease. Night sweats can be very bad, and chills might happen because of fever or the body’s reaction.
Key symptoms to watch for:
- Recurring night sweats
- Unexplained chills or fever
- Significant weight loss
Major Types of Bone Marrow Disorders and Their Distinctive Symptoms
There are several major types of bone marrow disorders. Each has its own symptoms and complications. These disorders make it hard for the bone marrow to make healthy blood cells, leading to health problems.
Aplastic Anemia
Aplastic anemia is when the bone marrow can’t make blood cells. This leads to fatigue, infections, and bleeding. The main symptoms are:
- Persistent fatigue and weakness
- Shortness of breath
- Pale skin
- Frequent infections
- Easy bruising or bleeding
Myelodysplastic Syndromes
Myelodysplastic syndromes (MDS) are disorders with poorly formed blood cells. Common symptoms are:
- Fatigue and weakness
- Shortness of breath
- Pale skin
- Frequent infections
- Bleeding or bruising easily
Leukemia and Related Cancers
Leukemia is a cancer that affects the blood and bone marrow. It’s caused by abnormal white blood cells growing too much. Symptoms include:
- Fatigue and weakness
- Weight loss
- Fever and chills
- Frequent infections
- Swollen lymph nodes or spleen
Fanconi Anemia and Diamond-Blackfan Anemia
Fanconi anemia and Diamond-Blackfan anemia are rare genetic disorders. They affect the bone marrow’s ability to make blood cells. Symptoms include:
- Bone marrow failure
- Physical abnormalities
- Increased risk of cancer
- Developmental delays
- Anemia and related complications
Knowing about these bone marrow disorders and their symptoms is key for early diagnosis and treatment. We will look at diagnosis and treatment options next.
Diagnosis and Treatment Approaches
We use many tools to find bone marrow disorders. This ensures we treat them right and fast. Finding bone marrow diseases takes steps. This helps doctors know what’s wrong and how to fix it.
Blood Tests and Complete Blood Count
Blood tests are key in finding bone marrow diseases. A Complete Blood Count (CBC) checks blood parts like red and white cells and platelets. If these counts are off, it might mean the bone marrow isn’t working right.
- Red Blood Cell Count: Helps find anemia or red cell problems.
- White Blood Cell Count: Helps spot infections or leukemia.
- Platelet Count: Important for bleeding disorders.
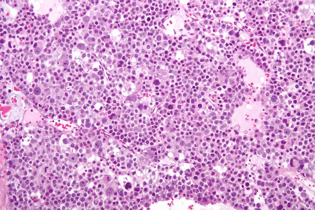
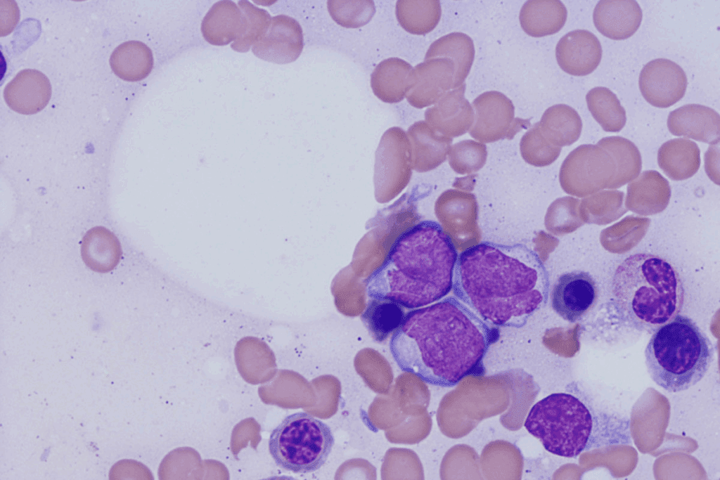
Bone Marrow Biopsy and Aspiration
A bone marrow biopsy and aspiration are key for diagnosing bone marrow diseases. These tests take a bone marrow sample for study. The biopsy looks at the bone marrow’s structure, and aspiration checks the cells.
Genetic Testing and Specialized Diagnostics
Genetic testing is key in finding genetic mutations in bone marrow diseases. Tests like cytogenetic analysis and molecular testing help find the disease’s cause. This guides treatment choices.
- Cytogenetic Analysis: Looks at chromosomal issues.
- Molecular Testing: Finds specific genetic mutations.
Treatment Options Based on Diagnosis
Treatment for bone marrow diseases depends on the diagnosis. Options include medications for symptoms or causes, bone marrow transplantation for new cells, and supportive therapies for better life quality.
| Disease | Treatment Options |
| Aplastic Anemia | Immunosuppressive therapy, bone marrow transplantation |
| Leukemia | Chemotherapy, targeted therapy, bone marrow transplantation |
Conclusion: When to Seek Medical Help for Bone Marrow Symptoms
It’s important to know the signs of bone marrow disease early. We’ve talked about symptoms like anemia, bleeding, and immune system issues. If your symptoms don’t go away or get worse, you should see a doctor.
Getting a diagnosis and treatment early can really help. Knowing what causes and shows bone marrow problems helps us know when to go to the doctor. If you’re feeling tired, your skin looks pale, or you get sick a lot, talk to a doctor.
Going to the doctor when you first notice bone marrow symptoms can help a lot. We want you to take care of your health and see a doctor if you notice any signs of bone marrow disease.
FAQ
What are the common symptoms of bone marrow disease?
Symptoms include fatigue, pallor, and shortness of breath. You might also notice more infections, bruising, and bleeding. Bone pain is another sign.
How does bone marrow dysfunction affect the body?
Dysfunction can cause fever, nosebleeds, and slow healing. It leads to anemia, infections, and bleeding problems. This is because the bone marrow can’t make enough blood cells.
What are the major types of bone marrow disorders?
Types include aplastic anemia and myelodysplastic syndromes. Fanconi and Diamond-Blackfan anemia are also common. Each has its own symptoms like anemia and infections.
What causes bone marrow diseases?
Diseases can be caused by genetics, toxins, cancer treatments, and autoimmune disorders. These factors harm the bone marrow, causing it to malfunction.
How are bone marrow diseases diagnosed?
Doctors use blood tests, complete blood counts, and bone marrow biopsies. Genetic testing is also used. These help find the cause and plan treatment.
What are the treatment options for bone marrow diseases?
Treatments depend on the disease. They include medicines, bone marrow transplants, and supportive care. Liv Hospital aims to provide top-notch care with a focus on patient well-being.
When should I seek medical help for bone marrow symptoms?
Seek help if symptoms get worse or last too long. Early treatment can help a lot. Our team is ready to support international patients.
Can bone marrow diseases be treated with medication?
Yes, some diseases can be treated with medicines. These help manage symptoms or boost bone marrow function. The right medicine depends on the disease and patient needs.
What is the role of bone marrow transplantation in treating bone marrow diseases?
Transplantation can cure some diseases like aplastic anemia and leukemia. It replaces damaged marrow with healthy stem cells from a donor.
References:
- Arber, D. A., Orazi, A., Hasserjian, R., Thiele, J., Borowitz, M. J., Le Beau, M. M., … & Vardiman, J. W. (2016). The 2016 revision to the World Health Organization classification of myeloid neoplasms and acute leukemia. Blood, 127(20), 2391-2405. Available at:https://ashpublications.org/blood/article/127/20/2391/35223/The-2016-revision-to-the-World-Health-Organization
- Deschler, B., & Lübbert, M. (2006). Disease overview and treatment of myelodysplastic syndromes. Hematology/Oncology Clinics of North America, 20(4), 823-837. Available at:https://www.sciencedirect.com/science/article/abs/pii/S0889858806000419