
Did you know that Postural Orthostatic Tachycardia Syndrome (POTS) can sometimes be misdiagnosed? This is because its symptoms are similar to those of brain tumors symptoms of low blood pressure.
We often see patients with dizziness, fainting, and blurred vision due to low blood pressure. These symptoms can be very hard to deal with. They are not just signs of low bp; they can also point to more serious problems.
It’s important to know the symptoms of POTS and brain tumors. This helps us get the right medical help. Fatigue and confusion are also symptoms that need attention.
Key Takeaways
- Recognizing the symptoms of POTS and brain tumors can lead to timely medical intervention.
- Dizziness and fainting are common symptoms that should not be ignored.
- Blurred vision, fatigue, and confusion are other critical symptoms to watch out for.
- Understanding these symptoms can help in diagnosing the underlying condition accurately.
- Seeking medical attention is key if you experience these symptoms often.
Understanding POTS: Postural Orthostatic Tachycardia Syndrome

POTS, or Postural Orthostatic Tachycardia Syndrome, is a condition that affects the heart and blood pressure. It has become more well-known in recent years. This is because it can greatly impact a person’s life.
Definition and Prevalence
POTS is marked by a fast heart rate when standing. This increase is more than 30 beats per minute in 10 minutes. People with POTS often feel dizzy, lightheaded, and tired.
About 0.2% to 1% of people have POTS, but many cases go unnoticed. A diagnosis of POTS is typically made when symptoms persist for more than six months.
Anyone can get POTS, but it’s more common in women aged 15 to 50. The exact cause is not known. It’s believed to be due to genetics, environment, and hormones.
Physiological Mechanisms
POTS affects how the body controls the autonomic nervous system. When standing, the body usually adjusts blood flow and heart rate. But in POTS, this adjustment doesn’t work right, leading to a big heart rate jump and poor blood flow.
“The heart rate increase in POTS patients is often accompanied by other symptoms such as orthostatic intolerance, where patients experience significant discomfort upon standing.” Symptoms like nausea, headaches, and brain fog make everyday tasks hard.
Understanding POTS is key to finding better treatments. It’s not just about treating symptoms but also fixing the underlying issues.
Brain Tumors and Autonomic Dysfunction

It’s important to know how brain tumors and autonomic dysfunction are connected. Autonomic dysfunction happens when the autonomic nervous system doesn’t work right. This system controls things like heart rate and blood pressure without us thinking about it.
Brain tumors can really mess with how our autonomic system works. This can cause symptoms that feel a lot like Postural Orthostatic Tachycardia Syndrome (POTS). We’ll look at the different brain tumors that can mess with autonomic function and how they affect the brain’s normal workings.
Types of Brain Tumors That Affect Autonomic Function
Several brain tumors can mess with autonomic function, including:
- Pituitary tumors: These tumors can mess with hormone production, which can affect autonomic function.
- Brainstem tumors: The brainstem controls many autonomic functions, like heart rate and blood pressure. Tumors here can mess with these important functions.
- Hypothalamic tumors: The hypothalamus is key in controlling autonomic responses. Tumors here can cause various autonomic dysfunctions.
These tumors can cause different symptoms because of where they are and what they affect. For example, a tumor on the brainstem can make it hard to regulate heart rate. A tumor in the hypothalamus might mess with body temperature control.
How Tumors Can Disrupt Normal Brain Regulation
Brain tumors can mess with normal brain regulation in a few ways:
- Compression and infiltration: Tumors can press on or get into surrounding brain tissue, affecting areas that control autonomic functions.
- Altered intracranial pressure: Tumors can change intracranial pressure, which can affect brain function and cause autonomic symptoms.
- Hormonal imbalances: Certain tumors, like pituitary adenomas, can mess with hormonal balances, affecting autonomic responses.
Understanding these ways is key to diagnosing and managing symptoms from brain tumors and autonomic dysfunction. By knowing which brain tumors can affect autonomic function and how they disrupt brain regulation, doctors can make better treatment plans.
The Connection Between POTS and Brain Abnormalities
POTS and brain abnormalities are closely linked. Recent studies have shown how the autonomic nervous system interacts with neurological conditions, including POTS.
Neurological Basis of POTS
The autonomic nervous system’s dysfunction is at the heart of POTS. Key factors include:
- Impaired autonomic function
- Abnormal heart rate regulation
- Orthostatic intolerance
People with POTS often have brain issues. These affect areas like the brainstem and hypothalamus. These problems can cause POTS symptoms.
Can Brain Tumors Mimic or Cause POTS?
Brain tumors can mess with autonomic function. They might cause POTS symptoms. Tumors in the brainstem or cervical spinal cord can lead to POTS-like symptoms.
Possible mechanisms include:
- Direct compression or invasion of autonomic regulatory centers
- Increased intracranial pressure affecting autonomic function
- Disruption of normal neural pathways
Doctors should think about brain tumors in POTS patients. A detailed check, including scans, is key to finding the cause.
Primary Symptoms of Low Blood Pressure
It’s important to know the main symptoms of low blood pressure. This is key for diagnosing and treating conditions like POTS and brain tumors. Low blood pressure means organs don’t get enough blood, leading to various symptoms.
Dizziness and Lightheadedness
Many people with low blood pressure feel dizzy or lightheaded. This happens because the brain doesn’t get enough blood. Dizziness can be mild or severe, making it hard to stay balanced.
Fainting (Syncope) and Pre-syncope
Fainting, or syncope, is a serious sign of low blood pressure. It happens when the brain doesn’t get enough blood, causing a brief loss of consciousness. Pre-syncope is when you feel like you’re about to faint, often with symptoms like dizziness and nausea.
These episodes can be scary and affect your daily life.
Blurred Vision and Visual Disturbances
Low blood pressure can also affect your vision. When blood pressure drops, the eyes may not get enough blood, causing blurred vision. Visual disturbances can include blurred vision, double vision, or even temporary loss of vision.
These symptoms can be unsettling and mean you need to see a doctor.
Knowing these symptoms is key to getting the right medical care. We’ll look at how they relate to POTS and brain tumors next.
Cardiovascular Manifestations in POTS Patients
People with Postural Orthostatic Tachycardia Syndrome (POTS) face many heart-related issues. These problems can really affect their daily life. They are hard to diagnose and manage.
Tachycardia and Heart Palpitations
Tachycardia, or a fast heart rate, is a key symptom of POTS. Patients often feel heart palpitations, which can be scary and disrupt their day. This happens because their autonomic nervous system can’t adjust heart rate when they stand up.
The reasons for tachycardia in POTS are complex. They involve autonomic dysfunction and an imbalance in the nervous system. Knowing this helps doctors find better treatments.
Blood Pooling and Circulation Issues
Blood pooling is another big issue in POTS. When standing, blood gathers in the legs. This reduces blood flow to the heart, making the heart rate go up. This can cause dizziness and make things worse.
- Inadequate vasoconstriction
- Venous pooling
- Reduced cardiac output
These problems show the need for a full approach to managing POTS. It’s important to tackle both symptoms and the root causes.
Chest Pain and Discomfort
Some POTS patients feel chest pain or discomfort. This can be very worrying and might make them think about heart problems. The exact reason for chest pain in POTS is not clear, but it might be linked to autonomic dysfunction.
Managing chest pain in POTS involves several steps:
- Checking for heart conditions
- Looking at how autonomic dysfunction affects it
- Starting the right treatments
By tackling these heart problems, doctors can help POTS patients a lot.
Neurological Symptoms That May Indicate a Brain Tumor
It’s important to know the signs of a brain tumor. These symptoms can affect your life a lot. They can be caused by tumors that are either benign or malignant.
Persistent Headaches and Migraines
Persistent headaches or migraines are common signs of brain tumors. These headaches can be severe and happen more in the morning. They might also make you feel sick or want to vomit.
Seizures and Unusual Sensations
Seizures are another sign of a brain tumor. The type of seizure depends on where the tumor is in the brain. You might feel numbness, tingling, or déjà vu before a seizure. These feelings come from abnormal brain activity caused by the tumor.
Changes in Vision, Hearing, or Balance
Brain tumors can also affect your vision, hearing, or balance. For example, a tumor near the optic nerve can cause blurred vision or double vision. Tumors near the auditory nerve might lead to hearing loss or ringing in the ears. Balance problems can happen if the tumor affects the cerebellum or its connections.
If you’re experiencing these symptoms, you should see a doctor. Early treatment can greatly improve your chances of recovery.
Cognitive Dysfunction in POTS and Brain Tumors
POTS and brain tumors can cause serious cognitive problems. These issues affect patients’ daily lives. Symptoms include brain fog, trouble concentrating, memory loss, and confusion.
Brain Fog and Concentration Problems
Brain fog is a common issue for POTS patients and those with brain tumors. It makes it hard to focus, make decisions, or follow conversations. Concentration problems can make everyday tasks hard.
Memory Issues and Confusion
Memory problems are also common. Patients might forget recent events, new information, or familiar names. Confusion can make them feel lost or unsure of their surroundings.
Cognitive Changes That Warrant Medical Attention
Some cognitive changes need quick medical help. Look out for sudden memory loss, trouble speaking or understanding, and big confusion. It’s important for patients to watch their symptoms and tell their doctor about any big changes.
We suggest keeping a symptom journal. This helps doctors create better treatment plans. By tackling cognitive issues, we can better manage POTS and brain tumors.
Gastrointestinal and Autonomic Symptoms
Gastrointestinal symptoms and autonomic dysfunction are key in understanding POTS and brain tumors. Patients often face various gastrointestinal issues. These can greatly affect their quality of life.
Nausea and Vomiting in Medical Context
Nausea and vomiting are common in POTS and brain tumor patients. These symptoms stem from autonomic dysfunction. Autonomic dysfunction can cause delayed gastric emptying, leading to nausea and vomiting.
In medical terms, nausea and vomiting can be caused by many factors. These include changes in body position, food intake, and stress levels. Managing these symptoms often requires a mix of dietary changes, medication, and lifestyle adjustments.
Digestive Issues Related to Autonomic Dysfunction
Autonomic dysfunction can cause digestive problems like irritable bowel syndrome (IBS), constipation, and diarrhea. The autonomic nervous system controls gut motility and secretion. When it’s disrupted, it can cause gastrointestinal symptoms.
For example, patients with POTS often experience gastrointestinal symptoms due to reduced blood flow to the digestive system upon standing. This can slow digestion and cause other digestive issues.
| Digestive Issue | Relation to Autonomic Dysfunction | Common Symptoms |
| Irritable Bowel Syndrome (IBS) | Altered gut motility and sensation | Abdominal pain, bloating, altered bowel habits |
| Constipation | Reduced gut motility | Infrequent bowel movements, hard stools |
| Diarrhea | Increased gut motility or altered secretion | Frequent loose stools, urgency |
When GI Symptoms May Signal Neurological Problems
Gastrointestinal symptoms can be the first sign of neurological issues, like brain tumors. For example, nausea and vomiting can signal increased intracranial pressure. Changes in bowel habits can also point to autonomic dysfunction related to neurological conditions.
Healthcare providers must consider the neurological aspects of gastrointestinal symptoms. This is important, even more so in patients with a history of neurological disorders. Symptoms like severe headache or neurological deficits are red flags.
Fatigue, Exercise Intolerance, and Weakness
People with POTS and brain tumors often feel very tired, weak, and can’t handle exercise. These symptoms really hurt their quality of life. They make it hard to do physical things and can also affect their mood.
Energy Depletion Mechanisms
The reasons for feeling tired in POTS and brain tumors are complex. In POTS, the body can’t adjust heart rate and blood pressure right when standing. This leads to less blood flow to muscles and organs, causing fatigue and weakness.
Brain tumors can mess with how the brain works, including energy control. Treatments like surgery, chemo, and radiation can also make fatigue worse.
Impact on Daily Activities
Fatigue, weakness, and trouble with exercise really change daily life. Even simple tasks like shopping or cooking can feel like a big challenge. Patients might have to cut back on activities, which can make their symptoms even worse.
| Symptom | Impact on Daily Life |
| Fatigue | Reduces ability to perform daily tasks without rest |
| Exercise Intolerance | Limits physical activity, potentially leading to decreased fitness |
| Weakness | Makes everyday tasks challenging, such as carrying groceries |
Differentiating Normal Fatigue from Pathological Fatigue
Telling normal fatigue from pathological fatigue is key. Normal fatigue goes away with rest. But pathological fatigue keeps coming back, even after rest, and can signal a serious issue like POTS or a brain tumor.
Knowing why you’re tired is important for fixing it. Normal fatigue might be helped by changing your lifestyle. But pathological fatigue might need medical help to find and fix the root cause.
Orthostatic Intolerance and Testing Methods
Diagnosing orthostatic intolerance requires several tests. These include tilt table testing and blood pressure monitoring. This condition causes a fast heart rate and other symptoms when standing. It’s key to understanding postural orthostatic tachycardia syndrome (POTS).
How to Test for Orthostatic Hypotension
Testing for orthostatic hypotension measures blood pressure in different positions. Orthostatic hypotension is when blood pressure drops a lot when standing. We check blood pressure while lying down, sitting, and standing.
The test is simple: after lying down for 5 minutes, the patient stands up. Their blood pressure is checked again. A big drop in blood pressure is a sign of orthostatic intolerance.
Tilt Table Testing for POTS Diagnosis
Tilt table testing is key for diagnosing POTS. The patient is strapped to a table that tilts up, like standing. It’s great for those who can’t stand for long.
The test watches how heart rate and blood pressure change with posture. A big jump in heart rate is a sign of POTS. Symptoms like dizziness and fainting are also watched.
Monitoring Blood Pressure Changes
Watching blood pressure changes is key for diagnosing and managing orthostatic intolerance. A 24-hour blood pressure monitor gives detailed info on blood pressure changes all day.
Healthcare providers use this info to spot patterns. These patterns help them create a treatment plan that fits the patient’s needs.
Psychological Aspects and Quality of Life
People with POTS and brain tumors face special mental challenges. These conditions can make life unpredictable, leading to stress, anxiety, and depression.
Anxiety and Depression in Chronic Conditions
Anxiety and depression are common in those with chronic illnesses like POTS and brain tumors. The fear of the future can make these feelings worse. Healthcare providers must address these issues in treatment plans.
A study in the Journal of Clinical Psychology showed that those with chronic illnesses feel more anxious and depressed. The emotional impact of chronic illness is significant.
“The psychological burden of chronic illness can be as debilitating as the physical symptoms.”
Psychosomatic Responses vs. Physical Symptoms
It’s hard to tell if symptoms are physical or psychosomatic. Psychosomatic symptoms are influenced by the mind. For POTS and brain tumor patients, it’s key to look at both physical and mental aspects.
| Symptom | Physical Cause | Psychosomatic Influence |
| Headaches | Tumor pressure, increased intracranial pressure | Stress, anxiety |
| Dizziness | Orthostatic intolerance, autonomic dysfunction | Hyperventilation due to anxiety |
Mental Health Support for POTS Patients
Mental health support is essential for POTS and brain tumor patients. This includes counseling, CBT, and medication for anxiety and depression. Healthcare providers should collaborate with mental health experts for full care.
Support groups are also important. They help patients share experiences and connect with others who understand their struggles.
Diagnostic Approaches for POTS vs. Brain Tumors
Diagnosing POTS and brain tumors involves several steps. We use clinical assessments and advanced imaging. It’s important to tell them apart because of their different treatments and outcomes.
Clinical Evaluation and Medical History
Starting with a detailed clinical evaluation and medical history is key. We look at the patient’s symptoms, past health, and lifestyle. This helps us spot signs of either condition.
Key components of the clinical evaluation include:
- Detailed patient history to identify symptoms and their progression
- Physical examination to assess autonomic function and neurological status
- Orthostatic vital sign measurements to evaluate heart rate and blood pressure responses to posture changes
A careful history and physical examination are critical in diagnosing POTS and distinguishing it from other conditions.
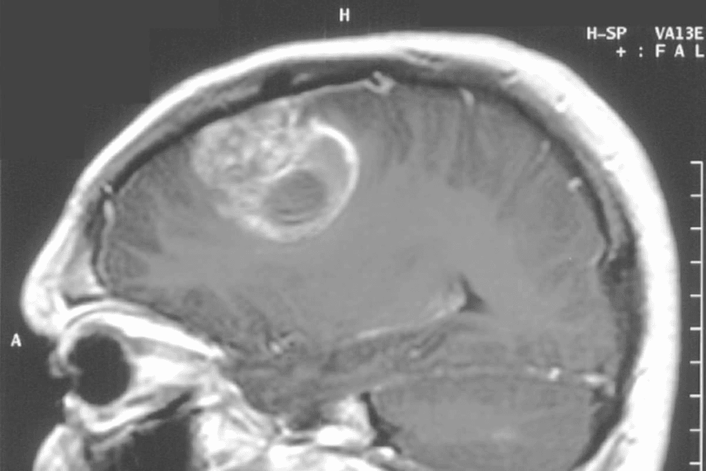
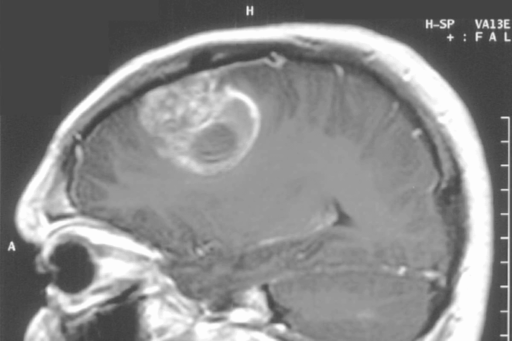
Neuroimaging and Brain Scans
Neuroimaging is vital for diagnosing brain tumors and ruling out other causes of symptoms. MRI and CT scans give us detailed brain images.
| Imaging Technique | Primary Use | Benefits |
| MRI | Detailed soft tissue imaging | High sensitivity for detecting tumors and structural abnormalities |
| CT Scan | Quick assessment of brain structures | Useful in emergency settings and for patients with certain metal implants |
Differential Diagnosis Considerations
Differential diagnosis helps us figure out what’s causing a patient’s symptoms. For POTS and brain tumors, we look at other possible causes of symptoms. This includes orthostatic intolerance and neurological symptoms.
“Differential diagnosis is not just about ruling out other diseases; it’s about understanding the complexity of the patient’s condition and making an informed decision about their care.” –
A renowned neurologist
By using clinical evaluation, neuroimaging, and differential diagnosis, we can accurately diagnose and manage POTS and brain tumors. This ensures patients get the right care for their condition.
Lifestyle Factors: Caffeine, Alcohol, and POTS
Living with POTS means making choices about caffeine and alcohol. These choices can affect how you feel. It’s important to know how they impact your symptoms.
Effects of Caffeine on POTS
Caffeine can be good or bad for POTS patients. It might make you feel more alert and help some symptoms. But, it can also make your heart beat too fast and cause dehydration.
Recommendations:
- Watch how much caffeine you drink and see how it affects you.
- If caffeine makes your symptoms worse, try to cut down or avoid it.
- Drink lots of water, even more if you have caffeine.
Alcohol’s Impact on POTS Symptoms
Alcohol can affect your blood pressure and heart rate. This can make POTS symptoms worse. It can also cause dehydration and mess with blood pressure control.
Guidelines for Alcohol Consumption:
- Drink less alcohol to avoid its bad effects on POTS symptoms.
- Don’t drink alcohol if it makes your symptoms worse.
- Drink water when you have alcohol to stay hydrated.
Dietary Considerations for Symptom Management
Eating right is key to managing POTS symptoms. Making some dietary changes can help improve your life.
| Dietary Component | Recommendation | Benefit |
| Fluid Intake | Increase fluid intake, specially water | Helps keep you hydrated and blood volume right |
| Salt Intake | Increase salt intake with doctor’s advice | Helps keep fluid and improves blood pressure |
| Meal Frequency | Eat smaller, more frequent meals | Reduces heart rate after eating and helps digestion |
Managing POTS well means watching what you drink and eat. It’s about being careful with caffeine and alcohol and making smart food choices.
Treatment Strategies for POTS and Low Blood Pressure Symptoms
Managing Postural Orthostatic Tachycardia Syndrome (POTS) and low blood pressure symptoms needs a mix of lifestyle changes, medical treatments, and therapies. These steps can greatly improve life quality for those with these conditions.
Lifestyle Modifications and Home Remedies
Making lifestyle changes is key in managing POTS and low blood pressure symptoms. Drinking more fluids and eating more salt can boost blood volume. Also, avoiding things that make symptoms worse is helpful.
Simple actions like raising the bed head, wearing compression clothes, and resting often can help too.
Some lifestyle changes include:
- Drinking at least 2-3 liters of fluid per day
- Increasing salt intake to 3-5 grams per day
- Avoiding standing for long periods
- Engaging in regular, gentle exercise
Pharmacological Interventions
When lifestyle changes aren’t enough, medicines might be needed. Drugs like beta-blockers, fludrocortisone, and midodrine can control heart rate and blood pressure. The right medicine depends on the patient’s symptoms and needs.
| Medication | Use in POTS |
| Beta-blockers | Reduce heart rate and alleviate palpitations |
| Fludrocortisone | Increase blood volume |
| Midodrine | Constrict blood vessels to raise blood pressure |
Treatment for Neuropathy in Legs and Feet
Neuropathy from POTS can be very uncomfortable. Treatments include medicines for pain and symptoms, and alternative therapies like acupuncture.
Pain management is a critical aspect of treating neuropathy in patients with POTS. A combination of pharmacological and non-pharmacological approaches can provide relief.
Physical Therapy and Reconditioning
Physical therapy is vital in managing POTS. It helps improve heart health and reduces symptoms. A custom exercise plan can help patients get better at physical activities.
By using these strategies, people with POTS and low blood pressure can see big improvements. It’s important to work with healthcare providers to create a treatment plan that fits each person.
Conclusion: When to Seek Medical Help and Future Outlook
Understanding the link between Postural Orthostatic Tachycardia Syndrome (POTS) and brain tumors is key. We’ve looked at symptoms, how to diagnose, and treatment options for both.
If symptoms don’t go away or get worse, get medical help right away. Early treatment can greatly improve life quality for those with POTS or brain tumors. It’s important to know the signs and see a doctor without delay.
The outlook for treating POTS and brain tumors is good, thanks to ongoing research. Managing these conditions well needs a mix of lifestyle changes, medicines, and support care.
By staying informed and working with doctors, people can handle these complex issues better. This helps improve their overall health and well-being.
FAQ
What is Postural Orthostatic Tachycardia Syndrome (POTS)?
POTS is a condition where your heart rate goes up fast when you stand. It also causes dizziness, fainting, and feeling very tired.
Can brain tumors cause POTS-like symptoms?
Yes, brain tumors can mess with how your body controls itself. This can lead to symptoms like a fast heart rate, dizziness, and fainting.
What are the primary symptoms of low blood pressure?
Low blood pressure symptoms include feeling dizzy, lightheaded, and fainting. You might also see things blurry and feel very tired. These can be signs of POTS or brain tumors.
How is POTS diagnosed?
Doctors use a few ways to find out if you have POTS. They look at your medical history and do tests like tilt table testing. They also check how your blood pressure changes.
What is orthostatic intolerance?
Orthostatic intolerance is when you feel bad when you stand up. This can include feeling dizzy, fainting, and having a fast heart rate. It’s similar to POTS symptoms.
Can lifestyle factors affect POTS symptoms?
Yes, things like caffeine and alcohol can make POTS symptoms worse. Changing your diet and avoiding triggers can help manage your symptoms.
What are the treatment strategies for POTS and low blood pressure symptoms?
To treat POTS and low blood pressure, doctors suggest making lifestyle changes. They might also prescribe medicine, recommend physical therapy, and suggest exercises to help you feel better.
How do brain tumors affect autonomic function?
Brain tumors can mess up how the brain controls the body. This can lead to symptoms like a fast heart rate and dizziness, similar to POTS.
What are the neurological symptoms that may indicate a brain tumor?
Signs of a brain tumor include headaches that don’t go away, seizures, vision or hearing changes, and problems with balance or thinking.
Can POTS cause cognitive dysfunction?
Yes, POTS can make you feel foggy, have trouble remembering things, and feel confused. This can make it hard to do everyday things.
How can I differentiate between normal fatigue and pathological fatigue?
Normal fatigue goes away when you rest. But if you’re always tired and it affects your daily life, it’s not normal. You should see a doctor.
What is the role of mental health support in managing POTS?
Getting help for your mental health is key when dealing with POTS. Anxiety and depression are common. Professional help can improve your overall well-being.
When should I seek medical help for POTS or brain tumor symptoms?
If you’re always feeling dizzy, fainting, or have a fast heart rate, you need to see a doctor. The same goes for any neurological symptoms. Don’t wait.
References
- National Center for Biotechnology Information. (2025). Neonatal brain tumors. In GeneReviews. https://www.ncbi.nlm.nih.gov/books/NBK535415/
- Kelesidis, I., et al. (2019). Risk factors for childhood and adult primary brain tumors. Frontiers in Oncology, 9, 672. https://www.ncbi.nlm.nih.gov/pmc/articles/PMC6827837/