
Lymphoma is a cancer that affects the immune system. It can be hard to diagnose. But, a simple blood test might show it’s there.
The American Cancer Society says lymphoma is common in the U.S. Finding it early is key to treating it well.
A blood test for lymphoma can spot abnormal cells or proteins. These signs might mean cancer is present. Even though a blood test isn’t enough to say for sure, it’s a big part of figuring out what’s wrong.
Key Takeaways
- A blood test can sometimes indicate the presence of lymphoma.
- Lymphoma diagnosis requires a combination of tests and examinations.
- Early detection is key for effective treatment.
- A blood test is not a definitive diagnostic tool for lymphoma.
- Abnormal cells or proteins in the blood can indicate lymphoma.
The Relationship Between Lymphoma and Blood Testing

Understanding lymphoma and its diagnosis is key to effective treatment. Lymphoma is a cancer that affects the immune system. It can be hard to diagnose because its symptoms are not specific. Blood tests are a vital tool in diagnosing and monitoring lymphoma.
What is lymphoma and how it affects the body
Lymphoma starts in lymphocytes, a type of white blood cell important for the immune system. It can be either Hodgkin lymphoma or non-Hodgkin lymphoma. The disease can affect lymph nodes, spleen, and bone marrow, causing symptoms like swollen lymph nodes, fever, and fatigue.
Lymphoma can have a big impact on the body. It affects not just the immune system but overall health. Early diagnosis is critical for effective management and treatment.
| Type of Lymphoma | Common Symptoms | Affected Areas |
| Hodgkin Lymphoma | Swollen lymph nodes, fever | Lymph nodes, spleen |
| Non-Hodgkin Lymphoma | Fever, fatigue, weight loss | Lymph nodes, bone marrow, spleen |
Overview of diagnostic approaches for lymphoma
Diagnosing lymphoma involves physical examination, medical history, and various tests. Blood tests are the first step. They help find blood cell count abnormalities and detect lymphoma markers.
Further diagnostic procedures include imaging tests like CT scans, PET scans, and biopsies. These help confirm the diagnosis and see how far the disease has spread.
| Diagnostic Test | Purpose |
| Blood Tests | Identify abnormalities in blood cell counts and detect lymphoma markers |
| Imaging Tests (CT, PET) | Assess the extent of the disease and identify affected areas |
| Biopsy | Confirm the diagnosis by examining tissue samples |
Lymphoma Blood Test: Types and Purposes

Blood tests are key in finding and diagnosing lymphoma, a cancer that affects the immune system. They help spot signs that might show lymphoma is present.
Initial Screening vs. Diagnostic Confirmation
There are various blood tests for lymphoma, each with its own goal. Screening tests look for signs that might point to lymphoma. These include a Complete Blood Count (CBC) and blood chemistry tests.
But these tests can’t confirm lymphoma for sure. More specific tests are needed for a clear diagnosis. Tests like flow cytometry help figure out if the blood cells are abnormal.
When Doctors Order Blood Tests for Suspected Lymphoma
Doctors might order blood tests if a patient shows symptoms like swollen lymph nodes, fever, or unexplained weight loss. These tests check the patient’s health and look for any signs that need more checking.
The Blood Collection and Laboratory Process
The first step in blood testing for lymphoma is taking a blood sample from a vein in the arm. This sample goes to a lab for analysis. Lab technicians look for markers and abnormalities, like unusual white blood cell counts or specific proteins linked to lymphoma.
Knowing about the different blood tests for lymphoma helps patients understand the diagnostic process better. It also helps them grasp the information their healthcare providers share.
Complete Blood Count (CBC) in Lymphoma Screening
The CBC test is key in checking for lymphoma at first. It looks at many parts of the blood. This gives clues about possible lymphoma.
Components of a CBC Lymphoma Detection Panel
A CBC panel checks white blood cells, red blood cells, platelets, hemoglobin, and hematocrit. Each part tells us about blood health and signs of lymphoma. For example, an odd white blood cell count might show lymphoma.
Abnormal White Blood Cell Patterns
Odd white blood cell counts can hint at lymphoma. Lymphoma can make some white blood cells go up and others go down. A CBC can spot this imbalance, helping find lymphoma early.
Red Blood Cell and Platelet Abnormalities
Red and platelet issues, like low red blood cells or low platelet count, might point to lymphoma. Lymphoma can mess with the bone marrow’s blood-making job. A CBC can find these problems, leading to more tests for lymphoma.
Healthcare providers use a CBC to find signs of lymphoma. They then decide if more tests are needed.
White Blood Cell Abnormalities as Lymphoma Indicators
Abnormal white blood cells can signal lymphoma. White blood cells, or leukocytes, are key to our immune system. Their changes can point to health problems, like lymphoma.
Counting white blood cells is a key tool for doctors. An elevated WBC count might mean lymphoma or other issues. The way the count goes up and which cells are affected can tell doctors a lot.
Elevated WBC Count Patterns
An elevated white blood cell count, or leukocytosis, can hint at lymphoma. Different lymphomas show different patterns in WBC counts. For example, some might cause a big jump in lymphocytes.
| WBC Type | Normal Range | Elevated Range |
| Lymphocytes | 1,000 – 4,800/µL | > 4,800/µL |
| Neutrophils | 1,500 – 8,000/µL | > 8,000/µL |
Abnormal Lymphocytes in the Bloodstream
Abnormal lymphocytes in the blood are another sign of lymphoma. Blood tests can spot these odd cells. They might show lymphoma cells in the body.
“The detection of abnormal lymphocytes in the blood can be a critical step in diagnosing lymphoma.”
— Hematology Expert
Differential Count Significance
The differential count is important for diagnosing lymphoma. It shows the types and amounts of white blood cells. This helps doctors find the specific cell problems linked to lymphoma.
Knowing about white blood cell changes is key for diagnosing and treating lymphoma. Blood tests that check these cells offer vital info on the disease’s presence and growth.
Anemia and Platelet Disorders in Lymphoma Patients
Blood issues like anemia and low platelet count are common in lymphoma patients. These problems can really affect a patient’s life and health.
Low Red Blood Cells as a Lymphoma Sign
Anemia, or low red blood cells, is often seen in lymphoma patients. It happens when lymphoma cells fill the bone marrow, making it hard to make healthy red blood cells. Anemia can be a sign of lymphoma, showing up with symptoms like tiredness, weakness, and shortness of breath.
To diagnose anemia, doctors do a complete blood count (CBC) test. This test checks the levels of different blood cells, like red blood cells. In lymphoma patients, anemia can be caused by many things, like bone marrow involvement, chronic disease, or treatment side effects.
Low Platelet Count Implications and Causes
Thrombocytopenia, or low platelet count, is also common in lymphoma patients. It can happen because of lymphoma in the bone marrow or as a side effect of treatments like chemotherapy and radiation. A low platelet count makes it easier to bleed and bruise.
The implications of thrombocytopenia are big, as it might mean changing treatment plans. This could include waiting to start chemotherapy or giving platelet transfusions. It’s important to understand and manage thrombocytopenia to keep patients safe during treatment.
Blood Chemistry and Protein Analysis
Blood chemistry and protein analysis are key in diagnosing and tracking lymphoma. These tests give insights into the body’s chemical state. They can also show if lymphoma cells are present.
LDH Blood Test as a Lymphoma Marker
The Lactate Dehydrogenase (LDH) blood test is a key marker for lymphoma. High LDH levels suggest tissue damage or fast cell growth, common in lymphoma. This test is great for tracking how the disease is progressing and how well treatments are working.
Key aspects of the LDH test include:
- Elevated levels may indicate lymphoma presence
- Used for monitoring disease progression
- Helps in assessing treatment response
Blood Protein Levels and Abnormalities
Blood protein analysis is also vital in diagnosing lymphoma. Abnormal proteins can show lymphoma cells or the body’s reaction to it. Immunoglobulins and other proteins are checked to understand the lymphoma’s type.
| Protein Type | Normal Function | Abnormality in Lymphoma |
| Immunoglobulins | Antibody production | Overproduction or abnormal production |
| Albumin | Maintains blood volume | Low levels may indicate inflammation or malnutrition |
Liver and Kidney Function Indicators
Liver and kidney function tests are also important for lymphoma patients. These tests show how lymphoma affects these organs and monitor treatment side effects.
“Liver function tests, such as ALT and AST, can indicate liver damage or dysfunction, which may be related to lymphoma or its treatment.”
In conclusion, blood chemistry and protein analysis are essential in diagnosing and managing lymphoma. By understanding biochemical markers, healthcare providers can better care for patients.
Inflammatory and Immune Markers
Inflammatory and immune markers are key in diagnosing and tracking lymphoma. They show if lymphoma is present and how it’s changing or reacting to treatment.
ESR Test for Lymphoma Activity
The Erythrocyte Sedimentation Rate (ESR) test measures how fast red blood cells settle in a tube. It shows the body’s inflammation level. For lymphoma, a high ESR means the disease is active or getting worse.
ESR Test Significance: A high ESR means more inflammation, which can be a sign of active lymphoma. But, it’s not specific and can also rise in infections and other diseases.
| Condition | ESR Level | Clinical Significance |
| Active Lymphoma | Elevated | Indicates disease activity or progression |
| Infection/Inflammation | Elevated | May indicate presence of infection or other inflammatory conditions |
| Remission | Normal | Suggests disease remission |
Other Inflammatory Indicators in the Blood
Other blood tests also show inflammation levels to check lymphoma activity and treatment success. These include C-reactive protein (CRP) and cytokine levels.
“The measurement of inflammatory markers in the blood provides valuable information for the management of lymphoma patients, helping clinicians to assess disease activity and monitor response to therapy.”
These tests, while not alone enough to diagnose, help understand the disease better. They guide doctors in making treatment plans.
Advanced Blood Testing Techniques for Lymphoma
Advanced blood tests are key in finding and treating lymphoma. These tests help doctors spot and understand lymphoma cells in the blood. This lets them plan treatments that really work.
Flow Cytometry Blood Analysis
Flow cytometry is a top tool for checking cells in a fluid. It uses a laser to look at cells in the blood. For lymphoma, it finds and counts different cell types, including bad ones.
For instance, it can tell apart different lymphomas by looking at cell markers. This info helps predict how the disease will go and what treatment to use.
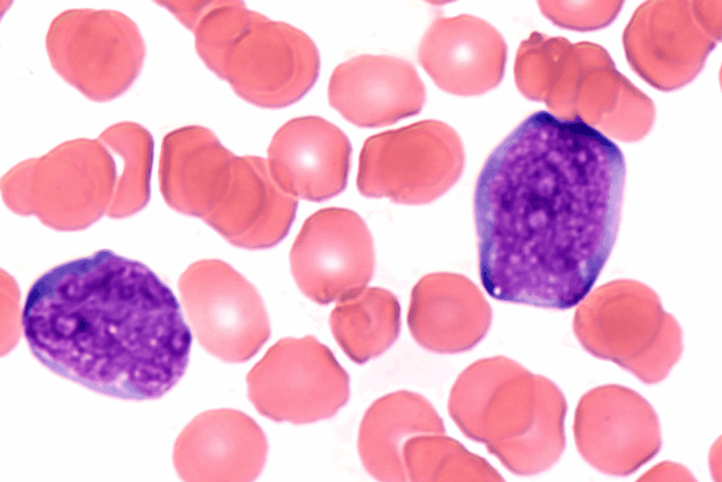
Peripheral Blood Smear Examination
A peripheral blood smear looks at blood cells under a microscope. It can spot odd lymphocytes or other signs of lymphoma in the blood.
This test shows what lymphoma cells look like. It helps doctors diagnose and track how the disease is doing.
Molecular and Genetic Testing Methods
Molecular and genetic testing finds special genetic signs of lymphoma. Tests like PCR and FISH look for genetic changes. These changes help doctors know what kind of lymphoma it is.
These tests confirm a lymphoma diagnosis. They also help doctors find the right treatment for each patient’s lymphoma.
Specific Blood Markers for Different Lymphoma Types
It’s important to know the blood markers for different lymphoma types for accurate diagnosis and treatment. Lymphoma is a cancer of the lymphatic system with many subtypes. Blood tests help find these markers, which are key for diagnosis and treatment planning.
Hodgkin’s Lymphoma Blood Test Findings
Hodgkin’s lymphoma is marked by Reed-Sternberg cells. Blood tests can show signs of this type of lymphoma. For example, high erythrocyte sedimentation rate (ESR) and lactate dehydrogenase (LDH) levels are common in Hodgkin’s lymphoma patients.
The following table summarizes key blood test findings in Hodgkin’s lymphoma:
| Blood Test | Typical Findings |
| LDH | Elevated levels |
| ESR | Elevated |
| Albumin | Low levels |
Non-Hodgkin’s Lymphoma Blood Indicators
Non-Hodgkin’s lymphoma (NHL) is a diverse group of cancers. Blood markers can differ based on the subtype. Common signs include abnormal white blood cell counts, high LDH levels, and specific proteins. Flow cytometry can spot abnormal lymphocytes in NHL.
The table below outlines some common blood indicators for Non-Hodgkin’s lymphoma:
| Blood Indicator | Significance |
| Abnormal WBC count | May indicate lymphoma |
| Elevated LDH | Associated with tumor burden |
| Specific protein markers | Can indicate specific NHL subtypes |
Limitations of Lymphoma Blood Testing
While blood tests are key in diagnosing lymphoma, they have some big limitations. The complexity of lymphoma and how patients react can impact the test’s accuracy. This makes it hard for doctors to rely solely on blood tests.
Lymphoma Blood Test Accuracy Concerns
The accuracy of lymphoma blood tests can be affected by many things. This includes the disease’s stage and if the patient has other health issues. False negatives can happen if the lymphoma isn’t releasing cells into the blood. On the other hand, false positives might show up if other conditions look like lymphoma in blood tests.
To get a clearer picture, doctors often use blood tests along with other tools. This includes imaging studies and biopsies. This way, they can confirm if someone has lymphoma and what type it is.
Conditions that Can Mimic Lymphoma in Blood Work
Some conditions can make blood tests look like lymphoma, making it harder to diagnose. This includes infections, autoimmune disorders, and other cancers. For example, a high white blood cell count can mean lymphoma, but it can also be from infections or inflammation.
To tell these conditions apart, doctors need to look closely at blood test results. They also consider the patient’s symptoms and medical history. Tools like flow cytometry and molecular testing help find specific markers for lymphoma. This makes diagnosis more precise.
Blood Tests vs. Biopsy for Lymphoma Diagnosis
Blood tests are useful, but sometimes a bone marrow biopsy is needed for a clear lymphoma diagnosis. Blood tests can show odd blood cell counts and proteins that hint at lymphoma. Yet, they can’t confirm the diagnosis or tell us about the lymphoma’s type or how aggressive it is.
Why Bone Marrow Biopsy May Be Necessary
A bone marrow biopsy takes a small bone marrow sample for study. It’s key for several reasons:
- It lets doctors directly check bone marrow cells, which might be affected by lymphoma.
- It shows how much lymphoma is in the bone marrow.
- It gives tissue for detailed tests, like genetic and molecular ones.
Doctors say a bone marrow biopsy is vital when lymphoma might be in the bone marrow. It’s also needed when blood tests show odd signs that need more checking.
Complementary Role of Blood Tests and Tissue Sampling
Blood tests and bone marrow biopsies work together. Blood tests can hint at lymphoma, like odd white blood cell counts or protein markers. A bone marrow biopsy, though, gives a clear diagnosis by looking at lymphoma cells’ details.
Together, these methods help doctors accurately diagnose lymphoma, figure out its type, and plan the right treatment.
In short, while blood tests are good for first checks and tracking, a bone marrow biopsy is often needed for a sure lymphoma diagnosis. Using both methods ensures patients get the best care.
Pediatric Considerations in Lymphoma Blood Testing
Diagnosing lymphoma in kids involves blood tests, but it’s not that simple. We must think about how a child’s body is different. Kids are always growing, which changes what’s normal for their blood cells.
Age-specific Reference Ranges
Children’s blood cell counts change as they grow. For example, kids usually have more lymphocytes than adults. Knowing these age-specific reference ranges helps doctors understand blood test results for kids with lymphoma.
| Age Group | Normal Lymphocyte Range |
| 0-3 months | 4,000-13,500 cells/μL |
| 4-12 months | 3,000-9,500 cells/μL |
| 1-5 years | 2,000-8,000 cells/μL |
Special Testing Protocols for Children
Diagnosing lymphoma in kids needs special testing protocols. These are more detailed than adult tests. They include advanced flow cytometry and molecular genetic testing to spot specific lymphoma types.
Healthcare providers use special blood tests and age-specific ranges to better diagnose lymphoma in kids. This helps make sure kids get the right treatment.
Using Blood Tests to Monitor Lymphoma Treatment
Blood tests are key in tracking how well lymphoma treatment is working. They help doctors see if a patient is responding well to therapy. This lets them change the treatment plan if needed.
Tracking Treatment Response through Blood Markers
Some blood markers are very important for checking treatment success. For example, lactate dehydrogenase (LDH) levels are watched closely. High LDH levels can mean the lymphoma is active. But, when LDH levels go down, it’s a good sign the treatment is working.
The complete blood count (CBC) also helps. It shows if blood cell counts are getting back to normal. This is important because chemotherapy and radiation can affect blood cells.
Detecting Recurrence with Routine Blood Work
Regular blood tests are also key for catching lymphoma coming back. By watching blood cell counts and other markers, doctors can spot early signs of a relapse. For instance, a sudden increase in white blood cell count or odd lymphocytes might mean the lymphoma is coming back.
Spotting this early lets doctors act fast and adjust the treatment plan. This helps keep patients on track with their care.
In short, blood tests are a vital part of managing lymphoma treatment. They give doctors important info on how well the treatment is working. They also help catch any signs of the lymphoma coming back early, so doctors can act quickly.
Emerging Technologies in Lymphoma Blood Detection
New technologies are changing how we find lymphoma in blood tests. These advancements help spot lymphoma more accurately and early. This could lead to better treatment results for patients.
New Blood Biomarkers Under Investigation
Scientists are finding new blood markers for lymphoma. These markers include proteins, genetic stuff, and other molecules linked to lymphoma cells. For example, some microRNAs and DNA from tumor cells can show if someone has lymphoma.
| Biomarker | Description | Potential Use |
| MicroRNA | Small RNA molecules involved in gene regulation | Diagnostic and prognostic marker |
| Circulating Tumor DNA | DNA released by tumor cells into the bloodstream | Monitoring disease progression and treatment response |
Liquid Biopsy Advancements for Lymphoma
Liquid biopsy is a big deal in finding lymphoma. It looks at blood or fluids for cancer cells or DNA. This method is non-invasive and can give quick, accurate info about the disease.
Liquid biopsy has the power to change cancer diagnosis, including lymphoma. It offers a non-invasive, fast, and possibly more accurate way to find cancer cells and genetic material.
The mix of new biomarkers and liquid biopsy is a game-changer for lymphoma detection. As research keeps going, these new tools will likely be key in treating patients. They promise to make care better and outcomes more positive.
Conclusion
Blood tests are key in finding and diagnosing lymphoma, a cancer that affects the immune system. Tests like the complete blood count (CBC) and blood chemistry help doctors spot signs of lymphoma. Advanced tests, such as flow cytometry, also play a big role.
The lymphoma blood test isn’t just one test. It’s a set of tests that help doctors understand and track the disease. These tests look for unusual white blood cells, anemia, and platelet issues, which are common in lymphoma patients.
Blood tests are important for diagnosing lymphoma, but they’re not the only tool doctors use. Bone marrow biopsies are often needed to confirm cancer cells. The results from these tests help doctors choose the right treatment and check how well it’s working.
New medical technology is bringing us closer to better blood tests for lymphoma. Researchers are exploring new biomarkers and liquid biopsy methods. These could make diagnosing lymphoma even more accurate and effective in the future.
FAQ
What is a CBC lymphoma detection test?
A Complete Blood Count (CBC) test checks different parts of the blood. This includes red and white blood cells and platelets. It can spot blood cell count issues that might mean lymphoma is present.
Can lymphoma be detected through a blood test?
A blood test alone can’t say for sure if you have lymphoma. But, it can show signs that might lead to a diagnosis. For example, too many white blood cells or not enough red blood cells could mean lymphoma.
What is the role of LDH in lymphoma diagnosis?
Lactate Dehydrogenase (LDH) is an enzyme in many body tissues. High LDH levels in the blood might mean lymphoma, among other things. The LDH test is a tool to help diagnose and keep track of lymphoma.
How is flow cytometry used in lymphoma diagnosis?
Flow cytometry looks at cell characteristics in a sample. It’s used in lymphoma diagnosis to find abnormal lymphocytes in the blood or bone marrow. This helps in diagnosing and classifying lymphoma.
What is the difference between a blood test and a biopsy for lymphoma diagnosis?
A blood test can hint at lymphoma, but a biopsy is needed to confirm it. A biopsy takes tissue or cells from the body. These are then checked under a microscope for abnormal cell growth.
Can anemia be a sign of lymphoma?
Yes, anemia, or low red blood cell count, can be a sign of lymphoma. Lymphoma can affect the bone marrow’s ability to make red blood cells.
What is the significance of abnormal lymphocytes in lymphoma diagnosis?
Abnormal lymphocytes, or white blood cells, are a key sign of lymphoma. Finding these cells in the blood or bone marrow helps diagnose and classify lymphoma.
How are blood protein levels used in lymphoma diagnosis?
Blood protein levels help diagnose and monitor lymphoma. Certain protein level changes can be linked to lymphoma.
What is the ESR test, and how is it used in lymphoma diagnosis?
The Erythrocyte Sedimentation Rate (ESR) test shows how fast red blood cells settle. High ESR levels can mean inflammation or conditions like lymphoma.
Are there specific blood markers for different types of lymphoma?
Yes, different lymphomas have specific blood markers. For example, certain genetic or protein markers are more common in Hodgkin’s or non-Hodgkin’s lymphoma.
Reference
MedlinePlus – Leukemia Information:https://medlineplus.gov/leukemia.html