
Nearly 60,000 people are diagnosed with leukemia CBC clues in the United States each year. This shows how important early detection is. A Complete Blood Count (CBC) is a key tool for spotting leukemia early. It looks at different blood cells to find signs of the disease.
A CBC checks the number and type of white blood cells, red blood cells, and platelets. Abnormal white cells can point to leukemia. Doctors look for specific signs in a CBC report to decide if they need to investigate further.
Key Takeaways
- A CBC is a vital diagnostic test for detecting blood-related disorders.
- Abnormalities in white blood cell counts can indicate leukemia.
- A doctor may suspect leukemia based on specific patterns in a CBC report.
- Early detection through CBC can lead to timely medical intervention.
- Understanding CBC results is key for diagnosing leukemia.
Understanding the Complete Blood Count (CBC) Test

The CBC test is a detailed hematology blood test that checks your overall health. It helps find many health problems, like infections, anemia, and leukemia.
Components of a CBC Test
A CBC test looks at several important parts of your blood:
- White Blood Cell (WBC) Count: This counts the white blood cells, which fight off infections.
- Red Blood Cell (RBC) Count: It counts the red blood cells, which carry oxygen.
- Hemoglobin (Hb) Level: This measures the hemoglobin in red blood cells, which carries oxygen.
- Hematocrit (Hct): It shows the amount of red blood cells in your blood.
- Platelet Count: This counts the platelets, which help your blood clot.
Normal Reference Ranges
Knowing the normal reference ranges for CBC components is key. These ranges can change a bit between labs. But they usually include:
| Component | Normal Range |
| WBC Count | 4,500 to 11,000 cells/μL |
| RBC Count | 4.32 to 5.72 million cells/μL (men), 3.90 to 5.03 million cells/μL (women) |
| Hemoglobin | 13.5 to 17.5 g/dL (men), 12.0 to 16.0 g/dL (women) |
| Platelet Count | 150,000 to 450,000/μL |
If your results are outside these ranges, it might mean you have a health issue. Leukemia is one example. The CBC test is just the start. More tests are needed to confirm a diagnosis.
The Relationship Between CBC Results and Leukemia CBC Clues

Abnormal CBC results can signal leukemia early. This is because leukemia messes with how blood cells are made. It’s a cancer that affects the bone marrow and blood production.
Leukemia changes how many and what kind of blood cells are made. It often leads to too many bad white blood cells. These are a key sign of leukemia.
How Leukemia Affects Blood Cell Production
Leukemia messes with hematopoiesis, the making of blood cells in the bone marrow. It turns the marrow into a place for abnormal white cells to grow.
“The bone marrow is where the seeds of leukemia are sown,” an expert says. This shows how important the bone marrow is in leukemia.
Why CBC Abnormalities Occur in Leukemia
CBC issues in leukemia come from blast cells in the bone marrow and blood. These cells are young and can’t fight off infections well.
These cells cause changes in CBC results. For example, leukemia can make white blood cell counts go up or down. This includes leukocytosis and leukopenia.
Knowing these CBC signs is key to spotting leukemia and starting treatment.
Abnormal White Blood Cell Count and Leukemia
Abnormal white blood cell counts can signal leukemia. These cells are key to our immune system. Their numbers tell us a lot about our health, including if we might have leukemia.
White blood cell counts can be too high or too low. Knowing these changes helps doctors diagnose and treat leukemia.
Elevated WBC Count (Leukocytosis)
Leukemia often shows up as a high white blood cell count. This happens when the bone marrow makes too many white blood cells. In leukemia, these extra cells are usually cancerous.
Key signs of leukocytosis in leukemia include:
- Presence of immature white blood cells
- Abnormal white blood cell shapes
- Disruption in blood cell production
Decreased WBC Count (Leukopenia)
Some leukemia patients have fewer white blood cells, or leukopenia. This happens when cancer cells fill the bone marrow. This makes it hard to make normal white blood cells.
Leukopenia makes infections more likely, so it’s very important to manage it.
Abnormal Differential Count
The differential count is part of the CBC test. It shows the types of white blood cells. An abnormal differential count can mean leukemia.
A typical abnormal differential count in leukemia may show:
| Cell Type | Normal Range (%) | Leukemia Indication |
| Neutrophils | 45-75 | Abnormal or immature forms |
| Lymphocytes | 20-40 | Elevated or presence of atypical cells |
| Monocytes | 5-10 | Increased in certain types of leukemia |
Presence of Blast Cells in Peripheral Blood
Blast cells in peripheral blood might mean leukemia. These cells are usually in the bone marrow, where they grow into mature blood cells. When they show up in the blood, it could mean something’s wrong with how blood cells are made.
What Are Blast Cells?
Blast cells are immature cells that turn into different blood cells. They usually mature in the bone marrow before getting into the blood. But, if they’re in the blood, it means something’s off.
Finding blast cells in the blood is a big deal. It means we need to check for leukemia or other bone marrow problems.
Significance of Circulating Blasts
Circulating blast cells can mean leukemia. They show the bone marrow is sending out immature cells. This can happen in different types of leukemia, like AML and ALL.
But, blast cells in the blood aren’t just about leukemia. They can also show up in other conditions, like myeloproliferative neoplasms or cancer in the bone marrow. So, we need to do a full check to figure out what’s going on.
Quantitative Thresholds for Concern
The number of blast cells in the blood matters. Any blast cells are a sign of trouble and need looking into. But, more cells or a higher count are even more worrying.
A study found, “More than 20% blasts in the blood or bone marrow means you might have acute leukemia.”
Knowing how many blast cells there are helps doctors figure out the risk of leukemia. They can then decide if more tests, like a bone marrow biopsy, are needed.
Immature White Blood Cells and Abnormal Morphology
Looking at blood test results, finding immature white blood cells might suggest leukemia. This part talks about the importance of immature myeloid cells and abnormal lymphocyte shapes. Both are key in spotting leukemia.
Immature Myeloid Cells in Circulation
Immature myeloid cells, like myeloblasts and promyelocytes, usually stay in the bone marrow. But if they show up in blood, it could mean something’s wrong with how blood cells are made. This is a sign that needs more checking.
Abnormal Lymphocyte Morphology
Abnormal lymphocyte shapes can also hint at leukemia. These changes include size, shape, and how the nucleus looks. For example, some leukemia types have cleaved or convoluted nuclei that normal lymphocytes don’t.
Knowing how to spot these changes is key to diagnosing and figuring out different leukemia types. Finding these odd shapes can lead to more tests like bone marrow biopsies and genetic tests.
Red Blood Cell Abnormalities Suggesting Leukemia
Changes in red blood cell shape and anemia patterns hint at leukemia. Leukemia can mess with red blood cell production. This leads to abnormalities seen in a Complete Blood Count (CBC) test.
Anemia Patterns in Leukemia
Anemia is common in leukemia patients. It means fewer red blood cells or less hemoglobin. The anemia blood test is key in the CBC for diagnosing anemia.
Leukemia-linked anemia comes in different forms:
- Normocytic anemia: Red blood cells are normal size.
- Microcytic anemia: Red blood cells are smaller, often due to iron lack.
- Macrocytic anemia: Red blood cells are larger, caused by vitamin B12 or folate deficiency.
| Anemia Type | Red Blood Cell Size | Common Causes |
| Normocytic | Normal | Chronic disease, bone marrow infiltration |
| Microcytic | Small | Iron deficiency |
| Macrocytic | Large | Vitamin B12 or folate deficiency |
RBC Morphology Changes
Leukemia can also show in red blood cell shape and size changes. A low red blood cells count often means abnormal cell shapes and sizes.
Some common changes include:
- Anisocytosis: Red blood cells vary in size.
- Poikilocytosis: Red blood cells vary in shape.
- Nucleated red blood cells: Red blood cells with nuclei, which is abnormal in blood.
RBC morphology changes are key signs of leukemia. A detailed blood smear check is vital to spot these signs.
Platelet Count Irregularities as Warning Signs
Abnormal platelet counts in a CBC test can signal leukemia early. Platelets are key for blood clotting. Their odd behavior can point to several health problems.
A CBC test checks the blood’s parts, like platelets. Thrombocytopenia, or low platelet count, is linked to leukemia.
Thrombocytopenia in Leukemia
Thrombocytopenia means having fewer than 150,000 platelets per microliter of blood. In leukemia, it happens when cancer cells fill the bone marrow. This messes up blood-making.
“Thrombocytopenia is a big warning sign for leukemia, says a hematologist. It’s key to check CBC results carefully to spot leukemia early.”
Abnormal Platelet Morphology
Leukemia can also show up in platelet shape and size changes. These changes can mean the bone marrow is not working right.
- Abnormally large or small platelets
- Platelets with irregular shapes or granularity
- Presence of platelet fragments or clumps
These signs can show up in a CBC test. They might lead to more tests, like a bone marrow biopsy, to find the cause.
In short, odd platelet counts and shapes are big warning signs for leukemia. Looking closely at CBC results is key for catching it early.
Pancytopenia: A Critical Red Flag
Pancytopenia is when there’s a drop in red and white blood cells and platelets. It’s a big warning sign for leukemia. A Complete Blood Count (CBC) test finds this condition. Knowing about pancytopenia helps doctors spot leukemia and other diseases.
Understanding Pancytopenia
Pancytopenia happens when the bone marrow makes fewer blood cells or destroys more. It can be caused by many things, like leukemia or bone marrow failure.
When Pancytopenia Suggests Leukemia vs. Other Conditions
Leukemia can lead to pancytopenia by filling the bone marrow and stopping blood cell making. But, other issues like aplastic anemia or infections can also cause it. Doctors need to do more tests to find out why.
| Condition | Characteristics | CBC Findings |
| Leukemia | Presence of blast cells, bone marrow infiltration | Pancytopenia, presence of abnormal cells |
| Aplastic Anemia | Bone marrow failure | Pancytopenia without abnormal cells |
| Myelodysplastic Syndromes | Dysplastic changes in blood cells | Pancytopenia, dysplastic cells |
In conclusion, pancytopenia is a serious sign that needs careful checking. It might mean leukemia, but other diseases could be the cause too. A detailed check is key to finding the right diagnosis and treatment.
CBC Patterns in Different Types of Leukemia
It’s key to know the CBC patterns for each leukemia type. Leukemia is a blood and bone marrow cancer. It has different types, each showing unique CBC results.
Acute Myeloid Leukemia (AML) CBC Findings
AML often shows abnormal white blood cell counts, usually high. It also has blast cells in the blood. The CBC might show anemia and thrombocytopenia.
AML can cause big changes in WBC counts. These changes can range from very low to very high.
Acute Lymphoblastic Leukemia (ALL) CBC Findings
ALL often has lymphoblasts in the blood, anemia, and thrombocytopenia. The WBC count can be low, normal, or high. ALL is marked by lots of lymphoblasts, which are young cells that don’t work like normal lymphocytes.
Chronic Myeloid Leukemia (CML) CBC Findings
CML is linked to elevated WBC counts. It has more mature and immature granulocytes. The CBC might show increased basophils and eosinophils.
CML has the Philadelphia chromosome. This comes from a swap between chromosomes 9 and 22.
Chronic Lymphocytic Leukemia (CLL) CBC Findings
CLL shows lymphocytosis, or more mature lymphocytes. It’s often found by chance during a CBC. The disease grows slowly, and early stages might not have symptoms.
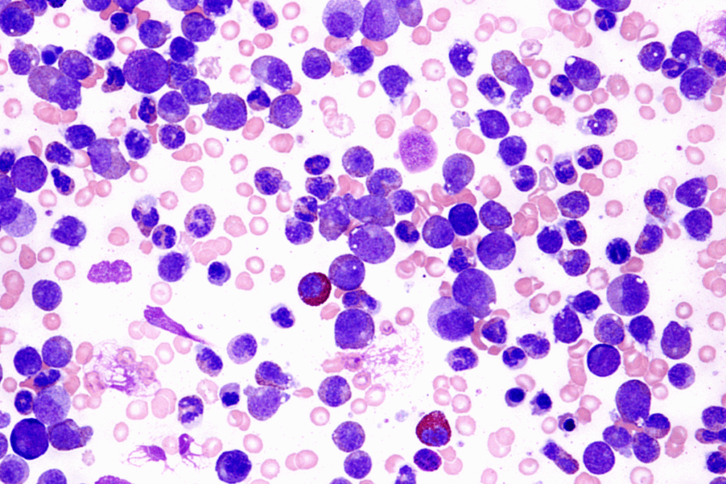
Blood Smear Examination: Beyond Basic CBC
Healthcare professionals often use blood smear exams to check for leukemia. This test helps find details not seen in a basic CBC.
The Importance of Peripheral Blood Smear
A peripheral blood smear spreads blood on a slide, stains it, and then looks at it under a microscope. It’s key for checking blood cell shape and size, important for diagnosing diseases like leukemia.
This test is great because it lets doctors see blood cells up close. They can spot odd sizes, shapes, and textures. Seeing blast cells or young white blood cells can mean leukemia.
Suspicious Morphological Features
During a blood smear, doctors look for certain signs that might mean leukemia. These include:
- Blast cells: These are young cells that shouldn’t be in the blood.
- Auer rods: These are long, thin structures in myeloid cells, a sign of acute myeloid leukemia.
- Odd-looking lymphocytes: These have strange nuclei or too much cytoplasm.
A study in the Journal of Hematology found that certain signs on a blood smear can point to leukemia. This helps doctors decide what tests to do next.
The blood smear remains a critical diagnostic tool in the evaluation of patients with suspected hematologic malignancies.
| Morphological Feature | Significance |
| Blast Cells | Presence in peripheral blood is abnormal and may indicate leukemia. |
| Auer Rods | Specific indicator of acute myeloid leukemia. |
| Abnormal Lymphocytes | May suggest lymphoproliferative disorders, including leukemia. |
In conclusion, a blood smear exam is key for diagnosing leukemia. It gives detailed info on blood cells that a basic CBC can’t.
Differential Diagnosis: Other Conditions with Similar CBC Findings
When checking for leukemia, it’s key to look at other conditions that might show similar CBC results. Knowing about these conditions helps doctors make the right diagnosis and treatment plan.
Infections and Inflammatory Conditions
Infections and inflammatory diseases can change CBC results, making them look like leukemia. For example, a bad infection can cause a high white blood cell count with a shift to the left, which looks like leukemia.
Bone Marrow Failure Syndromes
Bone marrow failure syndromes, like aplastic anemia, can cause low counts in all blood cells. This is similar to what’s seen in leukemia. It’s important to tell these conditions apart for the right treatment.
Medication Effects on CBC
Some medicines can change CBC results, leading to wrong diagnoses. For instance, steroids can increase neutrophils and lower lymphocytes. Some chemo drugs can cause low counts in all blood cells.
| Condition | CBC Findings | Differential Diagnostic Clues |
| Infections | Leukocytosis, Neutrophilia | Presence of toxic granulations, Clinical context of infection |
| Bone Marrow Failure | Pancytopenia | Bone marrow biopsy findings, Absence of blasts |
| Medication Effects | Variable (e.g., Neutrophilia, Lymphopenia) | Temporal relationship to medication start, Resolution upon withdrawal |
It’s vital to understand these other conditions to correctly read CBC results. This helps doctors decide on further tests when they think of leukemia.
Follow-Up Testing When Leukemia Is Suspected
When CBC shows signs of leukemia, more tests follow to confirm it. These tests are key to knowing if you have leukemia, what type it is, and how to treat it.
Bone Marrow Biopsy and Aspiration
A bone marrow biopsy and aspiration are top choices for diagnosing leukemia. They take a sample from the hipbone for a closer look.
This sample is checked for leukemia cells. It helps figure out the leukemia type. Bone marrow biopsy looks at the marrow’s structure. Aspiration gives cells for more analysis.
Flow Cytometry and Cytogenetics
Flow cytometry examines cell characteristics in a sample. It spots the leukemia type by looking at cell surface proteins.
Cytogenetics studies cell genetics. It finds genetic changes linked to leukemia types and outcomes.
Molecular Testing
Molecular testing finds genetic mutations linked to leukemia. Tests like PCR and NGS are used to spot these changes.
This test info is vital for diagnosing, predicting outcomes, and planning treatment.
Conclusion: The Critical Role of CBC in Leukemia Detection
A Complete Blood Count (CBC) test is key in finding leukemia. It gives clues that might suggest leukemia. These clues come from blood cell counts and how the cells look.
The CBC helps spot odd white blood cell counts and blast cells. It also finds other issues with blood cell making. These signs can lead to more tests like bone marrow biopsies and molecular tests to confirm leukemia.
The CBC is a vital first step in finding leukemia. It helps doctors spot leukemia early. This way, they can start treatment right away.
FAQ
What is a Complete Blood Count (CBC) test, and why is it important in diagnosing leukemia?
A CBC test checks different parts of the blood. It looks at white blood cells, red blood cells, platelets, and hemoglobin. It’s key in finding leukemia because it shows if blood cells are being made wrong.
What are the normal reference ranges for CBC components, and how are they significant in diagnosing abnormalities?
Normal CBC ranges vary by lab. They include white blood cells (4,500-11,000 cells/μL), red blood cells (4.32-5.72 million cells/μL for males, 3.90-5.03 million cells/μL for females), platelets (150,000-450,000 cells/μL), and hemoglobin (13.5-17.5 g/dL for males, 12-16 g/dL for females). If these numbers are off, it could mean a blood disorder like leukemia.
How does leukemia affect blood cell production, and what CBC abnormalities can occur as a result?
Leukemia messes with the bone marrow. It makes abnormal white blood cells and lowers normal blood cell production. This can lead to anemia, low platelets, and other CBC issues.
What is the significance of an elevated white blood cell count in diagnosing leukemia?
An elevated white blood cell count, or leukocytosis, can mean leukemia. This is true if there are also other CBC problems like blast cells or immature white blood cells.
Can a low white blood cell count be indicative of leukemia?
Yes, a low white blood cell count, or leukopenia, can also point to leukemia. It might show that the bone marrow is failing or being suppressed.
What are blast cells, and what is their significance in peripheral blood?
Blast cells are young white blood cells not usually found in blood. Their presence, in large numbers, can suggest leukemia.
How do anemia patterns and changes in red blood cell morphology relate to leukemia?
Anemia and changes in red blood cells can hint at leukemia. This is because leukemia can fill or slow down the bone marrow.
What is pancytopenia, and how is it related to leukemia?
Pancytopenia means low counts of all blood cell types. It’s a big warning sign for leukemia. It could mean the bone marrow is failing or being filled up.
What follow-up testing is typically performed when leukemia is suspected based on CBC results?
When leukemia is suspected, more tests are done. These include bone marrow biopsies, flow cytometry, cytogenetics, and molecular tests. They help confirm the diagnosis and type of leukemia.
Can other conditions present with similar CBC findings as leukemia?
Yes, other issues like infections, bone marrow failure, and some medicines can look like leukemia on CBC. So, it’s important to make sure it’s leukemia.
What is the role of peripheral blood smear examination in diagnosing leukemia?
Peripheral blood smear looks at blood cells more closely. It can find abnormal cells or blast cells that suggest leukemia.
How do different types of leukemia present on CBC?
Leukemia types like AML, ALL, CML, and CLL show different signs on CBC. They can have high or low white blood cells, anemia, low platelets, and blast cells or young white blood cells.
Reference
National Cancer Institute (NCI) – Childhood Acute Lymphoblastic Leukemia Treatment:https://www.cancer.gov/types/leukemia/patient/child-all-treatment-pdq