
Did you know lymphoma can happen in the tonsils? These are part of our lymphatic system. Tonsil lymphoma is a cancer that affects these glands. It plays a key role in our immune system.tonsil lymphoma symptomsWarning Signs Lymphoma
We’re here to explain what tonsil lymphoma is and why it matters in medicine. As we dive into this, we’ll share insights into its definition and how it affects patients.
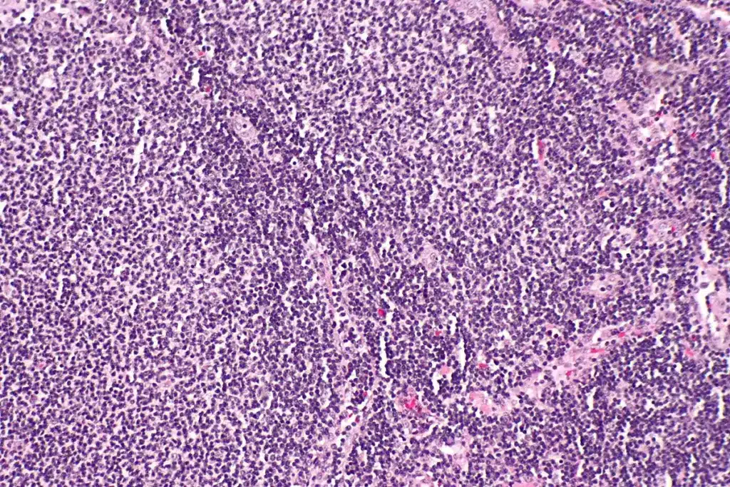
Tonsil lymphoma is a type of non-Hodgkin lymphoma found in the tonsils. It’s not very common but needs quick medical care.
Key Takeaways
- Tonsil lymphoma is a rare type of cancer affecting the tonsils.
- It is part of the lymphatic system, which is vital for our immune function.
- Getting a diagnosis and treatment quickly is key to managing it.
- Knowing about tonsil lymphoma helps spot its symptoms early.
- Seeing a doctor is important if symptoms don’t go away.
Understanding Tonsil Lymphoma

Tonsil lymphoma is a type of cancer found in the tonsils. It’s part of the lymphatic system, which helps fight off infections. This condition is rare but can have a big impact on those affected.
Definition and Overview
Tonsil lymphoma starts in the tonsils and affects the lymphatic system. This system is key to our immune health. It’s less common than other cancers in the head and neck area but can be serious.
Doctors group tonsil lymphoma into types based on cell type and genetics. Knowing the type helps decide the best treatment and what to expect.
“The accurate diagnosis of tonsil lymphoma requires a combination of clinical evaluation, imaging studies, and histopathological examination.”
An Oncologist
Types of Lymphoma Affects the Tonsils
There are two main types of tonsil lymphoma: Hodgkin lymphoma (HL) and non-Hodgkin lymphoma (NHL). HL has Reed-Sternberg cells, while NHL does not.
- Hodgkin Lymphoma: HL is rare and moves slowly from one lymph node group to the next. It has Reed-Sternberg cells.
- Non-Hodgkin Lymphoma: NHL is more common and has many subtypes without Reed-Sternberg cells. It’s divided by cell type and genetics.
|
Type of Lymphoma |
Characteristics |
Prevalence |
|---|---|---|
|
Hodgkin Lymphoma |
Presence of Reed-Sternberg cells, orderly progression |
Rare |
|
Non-Hodgkin Lymphoma |
Diverse group, lacks Reed-Sternberg cells |
More common |
Knowing the type of tonsil lymphoma is key to a good treatment plan. We’ll look at the effects of these types in the next sections.
Symptoms of Tonsil Lymphoma

It’s important to know the symptoms of tonsil lymphoma early. This cancer affects the tonsils and can show signs that seem minor at first. Spotting these symptoms early is key to treating it well.
Common Symptoms to Watch For
The first signs of tonsil lymphoma include:
- Swelling or growth of the tonsils, which can hurt or make swallowing hard.
- A sore throat that won’t go away or pain in the throat.
- Fever, night sweats, or losing weight without trying.
- Swollen lymph nodes in the neck.
These signs can look like common infections. So, if they last, it’s best to see a doctor.
Advanced Symptoms and Complications
As tonsil lymphoma gets worse, symptoms get more serious. These include:
- Hard time swallowing or breathing because of big tonsils or lymph nodes.
- Pain or discomfort in the throat or neck.
- Potential serious problems if not treated, like severe infection or cancer spreading.
Seeing a doctor right away is vital if you have these serious symptoms. Early treatment can greatly help patients with tonsil lymphoma.
Causes and Risk Factors
Tonsil lymphoma is caused by a mix of genetic and environmental factors. Knowing these factors helps us find who’s at risk and how to prevent it.
Genetic Predisposition
Genetics are a big part of tonsil lymphoma. If your family has a history of lymphoma or cancer, you might be at higher risk. Some genetic changes can weaken your immune system, making it harder to fight cancer.
Studies have found that some genetic syndromes raise the risk of lymphoma. For example, people with immune system problems from birth are more likely to get tonsil lymphoma.
|
Genetic Factor |
Description |
Impact on Risk |
|---|---|---|
|
Family History |
Having relatives with lymphoma or other cancers. |
Increased risk due to genetic links. |
|
Genetic Mutations |
Specific mutations affecting immune function. |
Higher susceptibility to lymphoma. |
|
Inherited Syndromes |
Conditions that impair immune response. |
Greater risk of developing lymphoma. |
Environmental Triggers
Environmental factors also play a big role in tonsil lymphoma. These include infections, chemicals, and radiation. For example, Epstein-Barr virus (EBV) is linked to lymphoma, including tonsil lymphoma.
“The Epstein-Barr virus is known to be associated with several types of lymphoma, suggesting a viral trigger for tonsil lymphoma in some cases.”
An Oncologist
Other environmental risks include pesticides, chemicals, and radiation. How these factors cause lymphoma is complex. They work with genetic factors to increase risk.
- Infections such as EBV
- Chemical exposures (e.g., pesticides, industrial chemicals)
- Radiation exposure
Understanding the link between genetics and environment is key to understanding tonsil lymphoma. By knowing these risks, we can work on prevention and early detection.
Diagnostic Process
Diagnosing tonsil lymphoma is a detailed process. It starts with an initial check-up, imaging tests, and a biopsy to confirm cancer cells. Let’s explore each step.
Initial Examination and History
The first step is a detailed medical history and physical check-up. We look for signs like a swollen tonsil or trouble swallowing. These could point to tonsil lymphoma.
We also ask about your medical history. This helps us understand your risk factors and symptoms. It’s key to figuring out what to do next.
Imaging Techniques
Imaging tests are essential for diagnosing and understanding tonsil lymphoma. We use CT scans, MRI, and PET scans to see how far the disease has spread.
These tests give us important information. They help us decide on treatment and check how well it’s working.
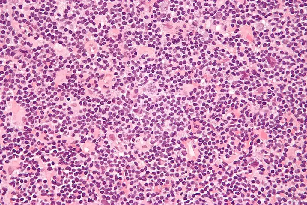
Biopsy Procedures
A biopsy is the most accurate way to diagnose tonsil lymphoma. It involves taking a tissue sample from the tonsil or lymph node. Then, we check it for cancer cells under a microscope.
There are different ways to do a biopsy, like fine-needle aspiration or excisional biopsy. The method depends on the patient’s situation.
The following table summarizes the diagnostic tests used for tonsil lymphoma:
|
Diagnostic Test |
Purpose |
Significance |
|---|---|---|
|
Medical History and Physical Examination |
Identify symptoms and signs |
Guides further diagnostic steps |
|
CT Scan |
Assess disease extent and lymph node involvement |
Helps in staging and treatment planning |
|
MRI |
Evaluate soft tissue involvement |
Provides detailed images for treatment planning |
|
PET Scan |
Assess metabolic activity of tumors |
Helps in identifying active disease and monitoring response |
|
Biopsy |
Confirm presence of cancer cells |
Definitive diagnosis |
Staging Tonsil Lymphoma
Accurately staging tonsil lymphoma is key to predicting patient outcomes and guiding treatment. It helps us understand how far the disease has spread. This is vital for planning the best treatment.
Overview of Staging Systems
The Ann Arbor Staging System is widely used for lymphoma, including tonsil lymphoma. It divides the disease into four stages. These stages are based on how many lymph nodes are affected and if symptoms are present.
- Stage I: The lymphoma is in one lymph node group or a single area outside the lymph nodes.
- Stage II: The lymphoma affects two or more lymph node groups on the same side of the diaphragm.
- Stage III: The lymphoma is in lymph node groups on both sides of the diaphragm.
- Stage IV: The lymphoma has spread to many organs not part of the lymphatic system.
Knowing the stage of tonsil lymphoma helps doctors predict the prognosis. It also helps choose the best treatment.
Significance of Staging in Treatment
The stage of tonsil lymphoma at diagnosis is critical for treatment planning. Early-stage disease might be treated with localized therapies like radiation. More advanced stages might need systemic treatments like chemotherapy or a combination of therapies.
Accurate staging ensures patients get the right treatment for their condition. This optimizes outcomes and reduces side effects.
We use staging to counsel patients about their prognosis. We discuss the benefits and risks of different treatments. By understanding the disease extent, we tailor treatments to each patient’s needs.
Treatment Options for Tonsil Lymphoma
Tonsil lymphoma treatment uses many therapies to help patients. We’ll look at these options, their benefits, and possible side effects.
Radiation Therapy
Radiation therapy is a common treatment for tonsil lymphoma. It uses high-energy rays to kill cancer cells. There are two types: external beam radiation therapy (EBRT) and brachytherapy.
EBRT sends radiation from outside the body. Brachytherapy places radioactive material near the tumor. Experts say radiation therapy is very effective for tonsil lymphoma. The choice between EBRT and brachytherapy depends on the tumor’s location and stage.
Chemotherapy
Chemotherapy is another key treatment for tonsil lymphoma. It uses drugs to kill cancer cells. These drugs can be taken by mouth or given through an IV.
Chemotherapy regimens vary based on the lymphoma type and patient’s health. Combining chemotherapy with other treatments can improve outcomes for many patients.
Targeted Therapy and Immunotherapy
Targeted therapy and immunotherapy are newer treatments for tonsil lymphoma. Targeted therapy uses drugs that target cancer cells, reducing harm to healthy cells. Immunotherapy boosts the body’s immune system to fight cancer more effectively.
“The advent of targeted therapy and immunotherapy has opened new avenues for the treatment of tonsil lymphoma, promising better outcomes and fewer side effects.”
|
Treatment Option |
Application |
Benefits |
Side Effects |
|---|---|---|---|
|
Radiation Therapy |
Kills cancer cells using high-energy rays |
Effective for localized tumors, can be used alone or with chemotherapy |
Fatigue, skin reactions, dry mouth |
|
Chemotherapy |
Kills cancer cells using drugs |
Can be used for widespread disease, effective in combination with radiation therapy |
Nausea, hair loss, increased risk of infection |
|
Targeted Therapy |
Targets specific cancer cells |
Reduces harm to healthy cells, effective for certain types of lymphoma |
Varies depending on the drug, potentially fewer side effects |
|
Immunotherapy |
Boosts the immune system to fight cancer |
Can be effective for patients who have not responded to other treatments |
Immune-related side effects, potentially severe |
In conclusion, treating tonsil lymphoma involves a detailed approach. Factors like the lymphoma stage and type, and the patient’s health are considered. Understanding the treatment options helps patients make informed decisions about their care.
Living with Tonsil Lymphoma
Living with tonsil lymphoma means more than just treatment. It also means having a strong support system and finding ways to cope. Getting a diagnosis can feel overwhelming, but there are many resources to help manage it.
Coping Strategies for Patients
Coping with tonsil lymphoma is a big job. Emotional support is key, and talking to a counselor or therapist can help with the emotional side of things.
- Keeping a healthy lifestyle, like eating well and exercising, can boost your mood.
- Activities like meditation or yoga can help reduce stress.
- Joining support groups, online or in person, lets you share your story and get support from others.
It’s also vital for patients to learn about their condition and treatment choices. Knowing about your diagnosis and treatment options helps you make better decisions about your care.
Support Systems Available
Support systems are essential for coping with tonsil lymphoma. Family and friends offer emotional support, while doctors and nurses provide medical help.
|
Support System |
Description |
Benefits |
|---|---|---|
|
Family and Friends |
Emotional support and practical help |
Reduces feelings of isolation, provides practical assistance |
|
Support Groups |
Connecting with others who have tonsil lymphoma |
Shares experiences, emotional support, and advice |
|
Healthcare Professionals |
Medical guidance and treatment |
Provides accurate diagnosis, treatment options, and ongoing care |
By using these support systems and finding effective coping strategies, patients with tonsil lymphoma can live better lives. They can face the challenges of their condition more confidently.
Research and Future Directions
Tonsil lymphoma research is on the verge of a new era. New treatments and ongoing clinical trials are leading to better results. The future of treating tonsil lymphoma looks bright.
Advances in Therapeutic Approaches
In recent years, treatments for tonsil lymphoma have improved a lot. Targeted therapies and immunotherapies are showing great promise. They offer more precise and effective ways to treat the disease.
Monoclonal antibodies are being researched. They target specific cancer cells, reducing damage to healthy tissues. Also, CAR-T cell therapy is being studied for treating lymphoma, including tonsil lymphoma.
The treatment options for tonsil lymphoma are growing. There’s a focus on more personalized and less invasive treatments. Researchers are looking into combining different treatments to improve results.
A leading researcher in the field shares his optimism:
“The integration of novel therapies into clinical practice is revolutionizing the way we treat tonsil lymphoma, promising better survival rates and quality of life.”
Ongoing Clinical Trials
Clinical trials are key for testing new treatments. They help find out if treatments are safe and work well. These trials are looking at new drugs and different treatment combinations.
- Trials examining the role of checkpoint inhibitors in tonsil lymphoma.
- Studies evaluating the efficacy of combination regimens involving chemotherapy, radiation, and targeted therapy.
- Research into the use of stem cell transplantation for patients with relapsed or refractory tonsil lymphoma.
Frequently Asked Questions
We’ve talked about tonsil lymphoma, and now we answer some common questions. It’s important to know about tonsil lymphoma to manage it well.
Common Concerns and Prevention
Tonsil lymphoma is a cancer that affects the tonsils. It raises many concerns for patients. Prevention is key in managing this condition.
Early detection of tonsil lymphoma can greatly improve treatment results. Knowing the risk factors and symptoms helps get medical help quickly. A healthy lifestyle and regular check-ups also help prevent it.
Empowering Patients with Knowledge
We want to give patients the knowledge they need about tonsil lymphoma. Knowing about tonsil cancer and how to prevent it helps people take care of their health. Our aim is to support and guide patients through their treatment.
FAQ
What is tonsil lymphoma?
Tonsil lymphoma is a cancer that affects the tonsils. It happens when lymphocytes, a type of white blood cell, turn cancerous. They then gather in the tonsils.
What are the symptoms of tonsil lymphoma?
Symptoms include a sore throat and trouble swallowing. You might also notice a lump in your neck or feel feverish. More serious signs are weight loss, night sweats, and feeling very tired.
What causes tonsil lymphoma?
The exact cause is unknown. But it’s thought to be linked to genetics and environmental factors. This includes infections and exposure to certain chemicals.
How is tonsil lymphoma diagnosed?
Doctors use a physical exam and imaging tests like CT or PET scans. They also take a biopsy of the tonsil tissue.
What are the treatment options for tonsil lymphoma?
Treatments include radiation, chemotherapy, and targeted therapy. The best option depends on the lymphoma’s stage and type, and the patient’s health.
Can tonsil lymphoma be cured?
The cure rate varies based on the lymphoma’s stage and type, and how well it responds to treatment. Many patients can achieve remission or be cured with the right treatment.
How can I reduce my risk of developing tonsil lymphoma?
There’s no sure way to prevent it. But avoiding toxins and regular health check-ups can help lower your risk.
What is the difference between tonsil lymphoma and tonsillitis?
Tonsillitis is an inflammation caused by infection. Tonsil lymphoma is cancer affecting the tonsils. Both can have similar symptoms but need different treatments.
Can tonsil lymphoma be treated with surgery?
Surgery is not the main treatment for tonsil lymphoma. It might be used for diagnosis or to relieve airway blockage.
What are the possible side effects of treatment for tonsil lymphoma?
Side effects can include feeling very tired, nausea, and hair loss. The exact side effects depend on the treatment used.
References
Nimmana, B. K., & Paterek, E. (2025). Tonsillitis. In StatPearls [Internet]. StatPearls Publishing. https://www.ncbi.nlm.nih.gov/books/NBK544342/NCBI