
Nearly 80,000 people in the United States get diagnosed with a brain tumor every year. This shows how important it is to know the warning signs.
Spotting the symptoms early can really help with treatment and how well you feel. We’ll look at the main red flags brain tumor signs that might mean you have a brain tumor. This way, you can get medical help right away.
Key Takeaways
- Knowing the warning signs of a brain tumor is key for catching it early.
- Common symptoms include severe headaches, seizures, and changes in how you think.
- Getting medical help quickly can greatly improve your treatment and how you feel.
- Being aware of brain tumor symptoms can lead to quick action and better health.
- Spotting the signs early can really improve your quality of life.
Understanding Brain Tumors

Brain tumors come in many types and can develop due to various factors. They are divided into primary and secondary types. Each type has its own characteristics and affects treatment differently.
Types of Brain Tumors
Brain tumors are classified based on where they start and how they grow. Primary tumors start in the brain. Secondary tumors come from cancer spreading to the brain from other parts.
The most common primary brain tumors include:
- Gliomas: These tumors start from brain cells called glial cells. They can be low-grade or high-grade.
- Meningiomas: These are usually not cancerous. They grow in the meninges, which protect the brain.
- Medulloblastomas: These are aggressive tumors found in children. They start in the cerebellum.
Secondary brain tumors are more common. They start from cancers in other parts of the body, like the lung or breast.
Prevalence and Risk Factors
Brain tumors can happen to anyone, but some types are more common in certain ages. The number of brain tumors is increasing. This is partly because we can diagnose them better now.
| Type of Tumor | Typical Age Group | Malignancy |
| Gliomas | Adults (40-60 years) | Variable |
| Meningiomas | Adults (50-70 years) | Mostly benign |
| Medulloblastomas | Children | Malignant |
Things that increase your risk of getting a brain tumor include your genes, radiation, and some viruses. Knowing these risks helps find tumors early.
Advances in our understanding of brain tumor biology have led to the development of novel therapeutic strategies, offering new hope for patients.
As we learn more about brain tumors, it’s important to stay informed. Knowing about the different types and risks helps people get help quickly if they notice symptoms.
Common Red Flags of Brain Tumors

Knowing the signs of brain tumors is key to better health outcomes. These tumors, whether they grow back or spread, can show symptoms that look like other, less serious issues. Yet, some signs need quick medical help.
Primary vs. Secondary Symptoms
Brain tumor symptoms fall into two groups: primary and secondary. Primary symptoms come from the tumor itself and how it affects the brain. These include seizures, headaches, and neurological issues like weakness or numbness.
Secondary symptoms happen because of the tumor’s pressure on the brain. These can be nausea, vomiting, and changes in how you think or feel.
When Symptoms Warrant Immediate Medical Attention
Some symptoms need you to see a doctor right away. A severe headache that feels like “the worst headache of my life” is one. Also, new seizures are a big warning sign. Other red flags are getting weaker or numb, and changes in vision or speech.
It’s also important to remember that some life events can hide or look like brain tumor symptoms. For example,
“Postpartum women experiencing severe headaches or neurological symptoms should be evaluated for possible brain tumors or other serious issues.”
This shows why we must stay alert, even during big health events.
In short, knowing the common signs of brain tumors and when to get help can save lives. If you or someone you know has these symptoms, getting medical advice quickly is vital.
Persistent Headaches as a Brain Tumor Warning Sign
One key sign of a brain tumor is a persistent headache. These headaches can be very intense and happen often. We’ll look at how to tell if a headache might be a sign of something serious.
Characteristics of Tumor-Related Headaches
Headaches from brain tumors are different. They often hurt more in the morning and get better as the day goes on. Unlike usual headaches, they can also cause nausea, vomiting, or seizures.
Key characteristics include:
- Persistent or worsening over time
- Severe, often described as sharp or piercing
- Associated with nausea or vomiting
- May be accompanied by neurological deficits
Differentiating from Other Types of Headaches
Not every headache means you have a brain tumor. Tension headaches, migraines, and cluster headaches have different causes. Knowing the differences helps figure out when a headache might be serious.
| Headache Type | Characteristics | Brain Tumor Association |
| Tension Headache | Dull, band-like pressure around the head | Low |
| Migraine | Severe, throbbing, often with aura | Low to Moderate |
| Cluster Headache | Severe, one-sided, often with tearing or redness of the eye | Low |
| Tumor-Related Headache | Progressive, severe, often with neurological symptoms | High |
Knowing the difference between common headaches and those from brain tumors can save lives. If you or someone you know has persistent headaches that seem unusual, get medical help right away.
Seizures and Neurological Events in Brain Tumor Patients
Having a brain tumor can make seizures more likely. This is true for both adults and children. Seizures are serious neurological events that can greatly affect a person’s life.
Types of Seizures Associated with Brain Tumors
Seizures caused by brain tumors can show up in many ways. They are divided into types based on where in the brain they happen and how they affect consciousness.
- Focal Seizures: These seizures only affect one part of the brain. This can cause symptoms like twitching or numbness in a specific limb.
- Generalized Seizures: These seizures affect both sides of the brain. They can cause convulsions, loss of consciousness, or changes in consciousness.
Knowing the type of seizure is key to finding the right treatment.
First-Time Seizures in Adults and Children
Having a first seizure can be scary for both adults and children. It’s very important to get medical help right away. This helps find out what’s causing the seizure and how to manage it.
| Age Group | Common Causes | Diagnostic Approaches |
| Adults | Brain tumors, stroke, head injury | Imaging studies (MRI, CT), EEG, neurological examination |
| Children | Brain tumors, infections, genetic predispositions | Imaging studies (MRI, CT), EEG, neurological examination, developmental assessment |
First-time seizures in adults and children need a detailed check-up. This is to find out if there’s a brain tumor or another reason for the seizure.
Seizures and other neurological events linked to brain tumors are complex. Understanding the different types of seizures helps us care for these patients better.
Nausea and Vomiting as Brain Tumor Red Flags
Nausea and vomiting can mean more than just stomach problems. They might signal a serious health issue, like a brain tumor. We often think of these symptoms as common, but they can also point to something serious.
Morning Sickness vs. Tumor-Related Symptoms
Nausea and vomiting are often linked to morning sickness in pregnant women. But, if they happen in other situations, they might mean something else. For brain tumors, these symptoms can be due to increased pressure in the skull.
It’s important to tell if nausea is from a brain tumor or something else. Look for these signs of tumor-related nausea:
- Persistent nausea that doesn’t get better with usual treatments
- Vomiting without a clear cause like food poisoning
- Nausea and vomiting with other brain symptoms
When Nausea Indicates Increased Intracranial Pressure
Increased intracranial pressure (ICP) is a serious issue that can come from a brain tumor. Nausea and vomiting are signs of rising ICP. Other symptoms include headaches, confusion, and vision changes.
To grasp the link between nausea, vomiting, and ICP, let’s look at the signs and what they mean:
| Symptom | Possible Indication |
| Nausea and Vomiting | Increased intracranial pressure |
| Headache | Pressure on brain structures |
| Vision Changes | Pressure affecting optic pathways |
We need to know these symptoms and get medical help if they don’t go away or get worse. Early treatment can greatly help manage brain tumors and related problems.
Vision and Hearing Changes Due to Brain Tumors
Brain tumors can cause changes in vision and hearing. These changes are important to spot early. They can greatly affect a person’s life and might be signs of a tumor.
We will look into why vision and hearing changes are important. This will help patients and caregivers know when to seek medical help.
Visual Disturbances and Their Significance
Visual changes are common in brain tumors. Symptoms include blurred vision, double vision, and loss of peripheral vision. Blurred vision often shows up first, due to the tumor’s pressure on the optic nerve.
Doctors say visual changes can be a big sign of a brain tumor. This is true if they happen with other brain symptoms.
“The presence of visual field defects or other visual disturbances should prompt a thorough neurological evaluation.”
Some people might see visual hallucinations. This can be scary. If you see things that aren’t there, you should get medical help. It could mean the tumor is affecting how your brain sees things.
Hearing Loss and Tinnitus as Warning Signs
Hearing loss and tinnitus (ringing in the ears) can also be signs of brain tumors. These happen when tumors press on the auditory nerve or related areas.
Tinnitus sounds like ringing, buzzing, or hissing in your ears without anything making the sound. Tinnitus can have many causes. But if you have it and other brain symptoms, it might mean a tumor.
We stress the need to catch these symptoms early. “Finding brain tumors early can greatly improve treatment,” say doctors.
Hearing loss from brain tumors can come on suddenly or slowly. If you notice your hearing changing without reason, see a doctor.
Cognitive and Behavioral Changes in Brain Tumor Patients
Brain tumors can cause many changes in how people think and act. These changes can make life hard for patients and their families. Simple tasks become big challenges.
Memory Problems and Confusion
Memory issues are common in those with brain tumors. Memory problems can be small or very big, affecting what they remember. Confusion also happens, making it hard to understand what’s going on around them.
Patients often find it hard to focus and pay attention. This is because the tumor affects the brain’s areas nearby.
Personality Alterations and Irritability
Changes in personality are a big worry for those with brain tumors. Irritability is common, making them easily upset or angry. This can be tough for those around them to handle.
These changes are hard to deal with, and getting help is key. Healthcare professionals, counseling, and support groups can offer a lot of help.
Impaired Judgment and Decision-Making
Brain tumor patients may also struggle with making good choices. This can affect their money management and daily activities. It’s important for family to know this and help out.
| Cognitive/Behavioral Change | Description | Impact on Patient |
| Memory Problems | Difficulty recalling information | Affects daily tasks and appointments |
| Confusion | Disorientation and difficulty understanding surroundings | Makes navigation and communication challenging |
| Personality Alterations | Changes in mood and behavior | Affects relationships with family and friends |
| Impaired Judgment | Difficulty making decisions | Impacts financial management and daily tasks |
It’s important to understand these changes to help brain tumor patients. By knowing the signs, families and caregivers can better support them through tough times.
Motor Skill Issues and Balance Problems
Motor skill issues and balance problems are common signs of brain tumors. These symptoms can make daily life hard. They affect how well a person can do everyday tasks.
Coordination Difficulties and Balance Problems
Coordination and balance problems are often early signs of a brain tumor. These can show up as clumsiness or trouble with tasks like buttoning a shirt. It’s hard to tie shoelaces or do other fine motor tasks.
These balance issues can make falling more likely. This is a big worry for older people or those with mobility problems. We’ll look closer at why these symptoms happen and their effects.
Unexplained Weakness or Paralysis
Unexplained weakness or paralysis can also be a symptom of a brain tumor. This weakness might only affect one side of the body or certain limbs. It makes doing daily tasks hard.
The table below shows how brain tumor symptoms differ from other conditions that might cause similar problems.
| Symptom | Brain Tumor | Other Conditions |
| Coordination Difficulties | Often progressive, may be accompanied by other neurological symptoms | May be caused by inner ear issues, medication side effects, or other neurological conditions |
| Balance Problems | Can be severe and persistent, affecting daily activities | May be related to musculoskeletal issues, vestibular disorders, or age-related changes |
| Unexplained Weakness | Typically localized to one area or side of the body, may be accompanied by other neurological deficits | Can be caused by a variety of conditions, including stroke, multiple sclerosis, or peripheral neuropathy |
It’s important to know why motor skill and balance problems happen. If you or someone you know has these symptoms, see a doctor. They can help figure out what’s going on and find the right treatment.
Red Flags of Brain Tumors in Children
It’s important to know the signs of brain tumors in kids for early treatment. Kids with brain tumors might show symptoms that look like other common illnesses. This makes it hard for parents to spot the warning signs.
Swollen Fontanelle in Infants
A swollen fontanelle, or soft spot, can mean high pressure in an infant’s brain. This might be a sign of a brain tumor. Watching the fontanelle is key to spotting neurological problems.
Developmental Delays and Learning Difficulties
Signs like developmental delays or learning problems could mean a brain tumor. If a child isn’t reaching milestones or struggles in school, it’s time to look into it. Acting fast can really help.
| Developmental Stage | Typical Milestones | Red Flags |
| Infancy (0-12 months) | Smiling, tracking objects, babbling | Lack of response to stimuli, not babbling |
| Toddlerhood (1-3 years) | Walking, simple sentences | Not walking by 18 months, no simple sentences |
| Preschool age (3-5 years) | Using complex sentences, social interaction | Difficulty with social interaction, not using complex sentences |
Behavioral Changes and Neck Pain in School-Age Children
Changes in behavior, like being very irritable or tired, and neck pain in kids can signal a brain tumor. These signs need a detailed medical check-up.
Keeping an eye on our kids’ health is vital, more so after accidents or odd behaviors. Watching their health and getting medical help when needed can greatly improve their care.
Speech and Language Difficulties from Brain Tumors
A brain tumor can mess with how our brain works. This can lead to problems with speaking and understanding language. These issues can really affect a person’s life and how they connect with others.
Slurred Speech and Word-Finding Problems
Slurred speech, or dysarthria, is common in brain tumor patients. It happens when the tumor hits the brain spots that control our speech muscles. This makes it tough for others to get what they’re saying.
Word-finding issues, or anomia, are also common. Patients might have trouble finding the right words. This can cause frustrating pauses in conversations. It’s often because the tumor is in a spot that messes with language processing.
Comprehension Issues and Communication Challenges
When a brain tumor hits the language centers, comprehension problems can start. Patients might find it hard to get what’s being said or written. This makes talking and reading a big challenge.
Good communication is key to tackling these problems. Doctors and therapists work with patients to find ways to improve talking. This might include speech therapy to tackle specific language issues.
Early diagnosis and treatment can really help manage speech and language problems in brain tumor patients. — Medical Expert
Unexplained Fatigue and Sleep Disturbances
Changes in energy and sleep patterns can signal serious health issues like brain tumors. Feeling tired or having trouble sleeping is normal sometimes. But if these problems keep happening or get worse, you should see a doctor.
Chronic Fatigue vs. Normal Tiredness
Telling normal tiredness from chronic fatigue is key. Normal tiredness goes away with rest. But chronic fatigue keeps coming back, even after you rest a lot. It can really mess up your daily life. If you have chronic fatigue from a brain tumor, you might also have other symptoms.
- Persistent and unrelenting tiredness
- Lack of improvement with rest
- Impact on daily activities and quality of life
Changes in Sleep Patterns and Insomnia
Sleep disturbances, like insomnia, can be a sign of brain tumors. You might find it hard to fall asleep, stay asleep, or sleep well. These problems can make you feel even more tired.
- Difficulty initiating or maintaining sleep
- Frequent awakenings during the night
- Non-restorative sleep
If you or someone you know is dealing with these symptoms, see a doctor. Early treatment can make a big difference.
Diagnosing Brain Tumors: From Symptoms to Confirmation
When symptoms point to a brain tumor, a series of tests are done to confirm it. This process can be scary, but it’s key to finding the right treatment.
Initial Screening and Neurological Examination
The first step is a detailed medical history and physical check-up. We look for signs like muscle weakness and changes in how you feel or think.
A neurological exam is very important. It checks for any brain function issues. This includes tests of coordination and balance, and checks on your thinking and feelings.
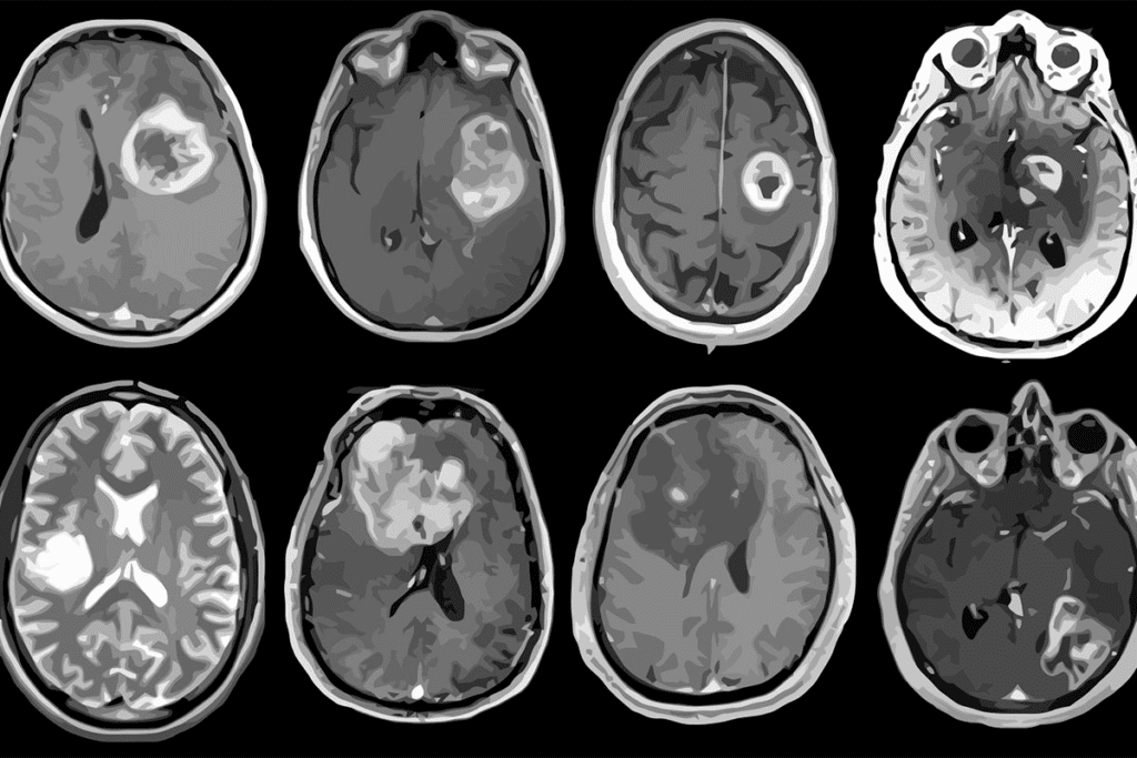
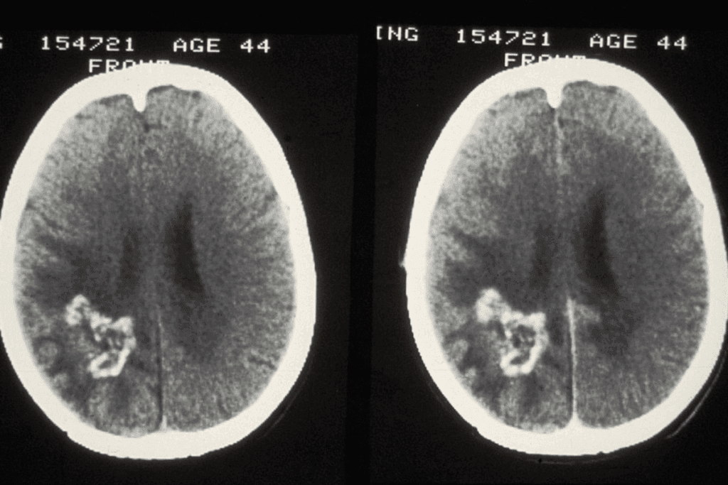
Imaging Tests for Brain Tumor Detection
Imaging tests are key in finding brain tumors. The main ones used are:
- Magnetic Resonance Imaging (MRI): MRI gives detailed brain images. It helps find the tumor’s size and how it affects nearby areas.
- Computed Tomography (CT) Scan: CT scans are fast and useful in emergencies. They show if there’s a tumor and if there’s bleeding or calcification.
- Positron Emission Tomography (PET) Scan: PET scans help tell tumor types and check metabolic activity. This helps plan treatment.
Biopsy and Other Diagnostic Procedures
Often, a biopsy is needed to confirm the diagnosis and find the tumor type. This means surgically removing a tumor sample for lab tests.
Other tests might include:
| Diagnostic Procedure | Purpose |
| Lumbar Puncture (LP) | To check cerebrospinal fluid for tumor markers or abnormal cells. |
| Electroencephalogram (EEG) | To see brain electrical activity, useful if seizures are a concern. |
| Magnetic Resonance Spectroscopy (MRS) | To get more metabolic info about the tumor. |
Accurate diagnosis is the base of good brain tumor treatment. New imaging and tests have greatly helped us diagnose and manage these complex cases.
The key to successful treatment lies in a precise diagnosis, which guides our therapeutic approach and improves patient outcomes.
By using clinical checks and advanced tests, we can accurately find brain tumors. Then, we can make treatment plans that meet each patient’s needs.
When to Seek Medical Advice for Brain Tumor Symptoms
Brain tumor symptoms can be hard to spot, but some signs need quick medical help. Knowing when to get help is key for early diagnosis and treatment.
Emergency Warning Signs Requiring Immediate Care
Some symptoms need urgent medical care. These include:
- Sudden severe headache: A headache that comes on suddenly and is extremely severe.
- Seizures: If you’ve never had a seizure before.
- Confusion or disorientation: Trouble understanding your surroundings or what’s happening.
- Weakness or numbness: Sudden weakness or numbness in parts of your body, on one side.
- Vision changes: Sudden loss of vision, double vision, or trouble seeing.
If you or someone you know has these symptoms, get emergency care right away.
Preparing for Your Doctor’s Appointment
If your symptoms aren’t emergencies but worry you, schedule a doctor’s visit. Here’s how to get ready:
- List your symptoms: Write down all your symptoms, including when they started and how often they happen.
- Medical history: Be ready to talk about your medical history, including any past illnesses or conditions.
- Questions for your doctor: Make a list of questions to ask your doctor about your symptoms and possible causes.
- Family history: Tell your doctor about any family history of cancer or neurological disorders.
Being ready for your appointment helps your doctor get all the info they need for an accurate diagnosis.
Treatment Options for Brain Tumors
There are many ways to treat brain tumors, each one tailored to the patient’s needs. The right treatment depends on the tumor’s type, size, and where it is. It also depends on the patient’s health and what they prefer.
Surgical Interventions and Recovery
Surgery is often the first step in treating many brain tumors. It aims to remove as much of the tumor as possible while keeping the brain safe. New techniques like neurosurgical navigation systems and awake craniotomy have made surgery safer and faster.
How well someone recovers from brain surgery can vary a lot. It depends on how big the surgery was, the patient’s age, and their health. After surgery, patients usually stay in the hospital to be watched. Then, they go through rehab to get back their lost abilities.
| Surgical Technique | Description | Benefits |
| Neurosurgical Navigation | Uses advanced imaging to guide surgeons during tumor removal. | Improved precision, reduced risk to surrounding tissue. |
| Awake Craniotomy | Patient remains awake during certain parts of the surgery to help surgeons avoid critical brain areas. | Preserves brain function, potentially reduces post-operative deficits. |
Radiation and Chemotherapy Approaches
Radiation therapy and chemotherapy are used alone or with surgery to treat brain tumors. Radiation therapy kills tumor cells with high-energy waves. Chemotherapy uses drugs to stop tumor cells from growing.
Choosing between radiation and chemotherapy depends on the tumor and the patient’s health. Sometimes, both treatments are used together.
- External Beam Radiation Therapy (EBRT): Delivers radiation from outside the body.
- Stereotactic Radiosurgery (SRS): Delivers a highly focused dose of radiation to the tumor.
- Temozolomide: A chemotherapy drug used for certain types of brain tumors.
Emerging Treatments and Clinical Trials
New treatments like immunotherapy and targeted therapy are being explored. Immunotherapy uses the body’s immune system to fight cancer. Targeted therapy uses drugs to target specific genes or proteins in tumors.
Clinical trials are key to testing new treatments. They help find out if these treatments are safe and work well. For patients with brain tumors, clinical trials can be a good option when standard treatments don’t work.
As research keeps moving forward, there’s hope for better treatments for brain tumors. Keeping up with the latest treatments and talking to a doctor can help patients make the best choices for their care.
Conclusion
Knowing the signs of brain tumors is very important. We’ve looked at symptoms like headaches and seizures. These can mean a brain tumor is present.
Being aware of these signs helps find tumors early. This makes treatment more effective. There are many ways to treat brain tumors, depending on the type and how far it has spread.
If you notice any unusual symptoms, get help right away. Early action can lead to better treatment and a better life for those with brain tumors.
FAQ
What are the common symptoms of a brain tumor?
Symptoms include headaches, seizures, and nausea. Vomiting, vision changes, and fatigue are also common. Motor skill issues and changes in behavior or thinking are signs too.
How do I know if my headache is related to a brain tumor?
Tumor headaches don’t go away and get worse. They might be with nausea, vomiting, or other neurological problems. If worried, see a doctor.
Can seizures be a sign of a brain tumor?
Yes, seizures can be a sign. If you or your child has a first seizure, get medical help right away.
Are nausea and vomiting always related to a brain tumor?
No, they can have many causes. But, if they’re constant, severe, or with headaches or other neurological signs, it might be a tumor.
How do brain tumors affect vision and hearing?
They can cause blurred vision, double vision, or loss of peripheral vision. Hearing loss or tinnitus can also happen, depending on the tumor’s location.
Can brain tumors cause cognitive or behavioral changes?
Yes, they can cause memory problems, confusion, and personality changes. Irritability and poor judgment are also possible. Symptoms vary based on the tumor’s location and size.
What are the red flags of brain tumors in children?
Red flags include a swollen fontanelle in infants and developmental delays. Learning difficulties, behavioral changes, and neck pain in school-age children are also signs.
How are brain tumors diagnosed?
Diagnosis includes a neurological exam and imaging tests like MRI or CT scans. Sometimes, a biopsy is needed to confirm the tumor type.
What treatment options are available for brain tumors?
Treatment depends on the tumor’s type, size, and location, and the patient’s health. Options include surgery, radiation, chemotherapy, and clinical trials.
When should I seek medical advice for symptoms that could indicate a brain tumor?
See a doctor for persistent or severe symptoms like headaches, seizures, or cognitive changes. Emergency signs like sudden severe headache or confusion need immediate help.
Can abnormal reflexes be a sign of a brain tumor?
Yes, abnormal reflexes can be a sign. If you notice changes in reflexes or other neurological symptoms, get medical evaluation.
Are balance problems and motor skill issues related to brain tumors?
Yes, brain tumors can cause coordination and balance problems. They can also lead to weakness or paralysis, depending on the tumor’s location.
Can brain tumors cause speech and language difficulties?
Yes, depending on the tumor’s location, it can affect speech and language areas. This can lead to slurred speech, word-finding problems, or comprehension issues.
How can I prepare for a doctor’s appointment if I suspect a brain tumor?
Keep a symptom journal and list your medications. Gather any relevant medical records. Be ready to discuss your symptoms, medical history, and concerns with your doctor.
Reference
- Chieffo, D. P. R., et al. (2023). Brain Tumor at Diagnosis: From Cognition and Behavior to Quality of Life. Frontiers in Oncology, 13, 1024912. https://www.ncbi.nlm.nih.gov/pmc/articles/PMC9914203/