
Leukemia is a big problem worldwide, with over 60,000 new cases in the U.S. in 2023, says the American Cancer Society. Getting a correct diagnosis and keeping track of it is key for good treatment. We use blood work to see how the disease is moving and how well the body is fighting it. Understanding how blood test results guide the initiation and modification of Treatment for leukemia protocols and overall therapy.
Blood tests give us important details about the leukemia cells. This helps us create treatment plans that fit each person’s needs. By looking at different parts of the blood, we can figure out how serious the condition is and decide the best steps to take.
Key Takeaways
- Leukemia diagnosis relies heavily on blood work indicators.
- Understanding blood test results is critical for effective treatment.
- Blood components provide valuable information about leukemia cells.
- Personalized treatment plans are developed based on blood work analysis.
- Regular blood tests help monitor the disease’s progression.
Treatment for Leukemia

Leukemia is a cancer that affects the blood and bone marrow. It can be overwhelming to get this diagnosis. Nearly 60,000 people in the United States are diagnosed with leukemia each year. This shows how important it is to know about this disease.
Healthcare providers create personalized leukemia treatment plans tailored to each patient’s needs. We know that every patient’s fight with leukemia is different. Our team of experts creates leukemia treatment plans that fit each patient’s needs.
To diagnose and monitor leukemia, we use detailed blood work. This is key in figuring out the stage and type of leukemia. It helps us decide the best treatment approach.
Key Takeaways
- Leukemia is a cancer that affects the blood and bone marrow.
- Personalized treatment plans are key for managing leukemia well.
- Blood work is vital for diagnosing and tracking leukemia.
- There are many treatment options, like chemotherapy and targeted therapy.
- Knowing the type and stage of leukemia is essential for the right treatment.
What is Leukemia and Its Types?

Leukemia is not just one disease but a group of blood cancers. They differ in how fast they grow and where they start. Understanding these differences is key to knowing how they affect our bodies.
Overview of Leukemia
Leukemia is a cancer that affects the blood and bone marrow. It happens when abnormal white blood cells grow too much. This can stop normal blood cells from being made, causing health problems.
Leukemia is split into acute and chronic types. Each has its own way of growing and how it’s treated.
Acute leukemia grows fast and makes immature blood cells. It needs quick treatment because it’s aggressive. Chronic leukemia grows slower. It lets doctors choose from many treatments based on the disease’s stage and type.
Classification of Leukemia Types
Leukemia is also divided by the blood cell it affects. The main types are:
- Acute Lymphocytic Leukemia (ALL): This is when too many immature lymphocytes are made. It’s more common in kids but can happen in adults too.
- Acute Myeloid Leukemia (AML): AML makes myeloid cells grow fast. It’s more common in adults and needs fast treatment.
- Chronic Lymphocytic Leukemia (CLL): CLL makes mature lymphocytes build up slowly. It’s usually found in adults and grows slowly.
- Chronic Myeloid Leukemia (CML): CML makes myeloid cells grow slowly. It grows slowly and is linked to a specific genetic problem.
| Type of Leukemia | Cell Type Affected | Progression | Common Age Group |
| Acute Lymphocytic Leukemia (ALL) | Lymphocytes | Rapid | Children, Adults |
| Acute Myeloid Leukemia (AML) | Myeloid Cells | Rapid | Adults |
| Chronic Lymphocytic Leukemia (CLL) | Lymphocytes | Slow | Adults |
| Chronic Myeloid Leukemia (CML) | Myeloid Cells | Slow | Adults |
Symptoms Associated with Leukemia
Leukemia symptoms vary by type and stage. Common signs include:
- Fatigue and weakness from anemia
- Weight loss and loss of appetite
- Frequent infections because of a weak immune system
- Easy bruising or bleeding
- Swollen lymph nodes or spleen
Seeing these symptoms early is key for quick diagnosis and treatment. We stress the need to see a doctor if you or someone you know has these signs.
How is Leukemia Diagnosed?
Diagnosing leukemia is a detailed process. It involves blood tests, bone marrow biopsies, and other tests. These help confirm leukemia cells and identify the type.
Essential Blood Tests for Diagnosis
Blood tests are the first step in finding leukemia. A complete blood count (CBC) checks blood cell levels. High white blood cell counts or low red and platelet counts hint at leukemia.
We also look at blood smears for abnormal cells. This test tells us about the leukemia type and how severe it is.
Role of Bone Marrow Biopsy
A bone marrow biopsy is key for diagnosing leukemia. It takes a bone marrow sample from the hipbone. We then examine it to find leukemia cells.
This test shows how far the disease has spread and the leukemia type. It also tells us about the leukemia cells’ genetics, helping decide treatment.
Other Diagnostic Procedures
Other tests help us learn more about leukemia. Imaging tests like X-rays, CT scans, or PET scans look for disease in other parts of the body.
Cytogenetic testing analyzes leukemia cells’ chromosomes. It finds genetic issues that affect treatment and outlook.
Does Leukemia Show Up in Blood Work?
Blood tests are key in finding leukemia. They give us clues about the disease. The first step is usually a blood test when we think someone might have leukemia.
These tests can show signs of leukemia. But, they’re not enough on their own. Let’s look at the important blood test results, the limits of blood work, and why we need more tests.
Key Blood Test Results Indicating Leukemia
Certain blood test results can signal leukemia. These include:
- Elevated white blood cell count: An abnormal increase in white blood cells can be a sign of leukemia.
- Low red blood cell count or anemia: Leukemia can affect the production of red blood cells, leading to anemia.
- Low platelet count: Thrombocytopenia, or a low platelet count, can be associated with leukemia.
- Abnormal blood cells: The presence of blast cells or other abnormal cells in the blood can indicate leukemia.
A study in the Journal of Clinical Oncology found abnormal blood counts in acute leukemia patients.
“The diagnosis of leukemia is a complex process that involves integrating data from blood tests, bone marrow biopsies, and other diagnostic procedures.”
| Blood Test | Normal Range | Leukemia Indication |
| White Blood Cell Count | 4,500 – 11,000 cells/μL | Elevated (often >100,000 cells/μL) |
| Red Blood Cell Count | Male: 4.32 – 5.72 million cells/μL; Female: 3.90 – 5.03 million cells/μL | Low (anemia) |
| Platelet Count | 150,000 – 450,000 cells/μL | Low (thrombocytopenia) |
Limitations of Blood Work
Blood tests are very helpful but have limits. A normal test doesn’t mean you don’t have leukemia. Some types of leukemia might not show up in blood tests. Also, other things can cause abnormal test results.
Importance of Comprehensive Testing
For a sure diagnosis, we need more than blood tests. Bone marrow biopsy, imaging, and other tests are key. They give us a full picture of the disease. This helps us find the best treatment.
In short, blood tests are important in finding leukemia. But, they’re just the start. By using blood tests and other tests together, we can accurately diagnose and treat leukemia.
Common Blood Work Indicators of Leukemia
Several blood work indicators are key in spotting leukemia. Doctors use these to find the disease early. These signs come from tests that look at blood cell counts and shapes.
Elevated White Blood Cell Count
An elevated white blood cell count is often a first sign of leukemia. White blood cells fight off infections. But in leukemia, the bone marrow makes bad white blood cells.
We check white blood cell counts with blood tests. A high count might mean leukemia. But, it can also mean other things, so more tests are needed.
Low Red Blood Cell Count and Platelets
Leukemia can lower red blood cells and platelets. Red blood cells carry oxygen, and platelets help blood clot. Low counts can cause anemia, fatigue, and bleeding.
We do a complete blood count (CBC) test to check these counts. Low counts can mean leukemia, as it takes up space in the bone marrow.
| Blood Component | Normal Range | Leukemia Indicator |
| White Blood Cell Count | 4,500 – 11,000 cells/μL | Elevated count |
| Red Blood Cell Count | Male: 4.32 – 5.72 million cells/μL; Female: 3.90 – 5.03 million cells/μL | Low count |
| Platelet Count | 150,000 – 450,000 cells/μL | Low count |
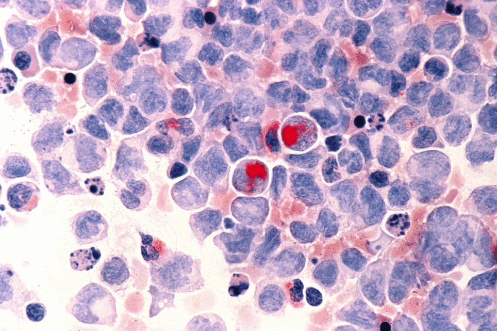
Abnormal Blood Smear
A blood smear test looks at blood under a microscope for abnormal cells. In leukemia, it might show bad white blood cells. This helps doctors diagnose the disease.
We look at the blood smear for any odd blood cells. This test tells us if leukemia cells are present.
Knowing these blood work signs is key for early leukemia detection. By looking at these signs, we can start treatment right away.
Treatment Options for Leukemia
Leukemia treatment depends on several factors. These include the type and stage of the disease, and the patient’s health. We will look at the different treatments available, their benefits, and possible side effects.
Chemotherapy as a Primary Treatment
Chemotherapy is often the first line of treatment for leukemia. It aims to kill leukemia cells. We use drugs that target fast-growing cells to help achieve remission.
The treatment plan can change based on the leukemia type. For example, acute leukemia needs quick action, while chronic leukemia might be watched before starting treatment.
- Benefits: It can lead to remission and is used with other treatments.
- Side Effects: It can cause hair loss, nausea, fatigue, and increase infection risk.
Targeted Therapies and Immunotherapies
Targeted therapies and immunotherapies are other options for treating leukemia. These treatments focus on specific leukemia cell abnormalities or boost the immune system’s fight against cancer.
Targeted therapies are more precise, harming fewer healthy cells. Immunotherapies, like monoclonal antibodies, mark leukemia cells for the immune system to destroy.
- Targeted therapies can lower relapse risk.
- Immunotherapies can be used alone or with chemotherapy.
Stem Cell Transplantation
Stem cell transplantation, or bone marrow transplantation, is a possible cure for some leukemia patients. It replaces the sick bone marrow with healthy stem cells.
There are two main types: autologous (using the patient’s own stem cells) and allogeneic (using donor stem cells). Allogeneic transplantation is often used for leukemia, providing a graft-versus-leukemia effect.
- Benefits: It can be a cure and has a graft-versus-leukemia effect.
- Risks: It can cause graft-versus-host disease, infections, and organ damage.
Monitoring Treatment Efficacy
We keep an eye on how well leukemia treatment is working. We use regular blood tests and check-ups to see how it’s going. This helps us know if the treatment is effective and if we need to make changes.
Follow-Up Blood Tests
Regular blood tests are key to checking treatment success. These tests look at blood cell counts like white and red blood cells, and platelets. By watching these counts, we can see if the treatment is doing its job.
Key components of follow-up blood tests include:
- Complete Blood Count (CBC) to assess overall blood cell counts
- Differential count to evaluate the types of white blood cells present
- Platelet count to monitor for signs of bleeding or clotting disorders
Interpreting Changes in Blood Work
Understanding blood work changes is important. Different treatments affect blood cells in different ways. For example, chemotherapy might lower blood cell counts, while targeted therapies might change leukemia cells in specific ways.
It’s essential to consider the following when interpreting blood work:
- Trends in blood cell counts over time
- Presence of abnormal cells or blasts
- Changes in hemoglobin levels and platelet counts
Symptoms to Watch During Treatment
Patients should watch for symptoms while they’re getting treatment. Symptoms like fever, fatigue, or bleeding can mean there’s a problem.
Common symptoms to watch during treatment include:
- Fever or chills, which can signal infection
- Unexplained bruising or bleeding, which may indicate low platelet counts
- Fatigue or weakness, which can be related to anemia or treatment side effects
Supportive Care for Leukemia Patients
Supportive care is key to improving life quality for leukemia patients. It’s vital to meet patients’ needs fully, not just with medical treatment. This ensures they get the best care possible.
Nutritional Considerations
Eating right is important for leukemia patients. It helps manage side effects and keeps them healthy. Nutritional support includes meal plans, supplements, and dietary advice.
It’s wise for patients to talk to a dietitian for a personalized nutrition plan. This can help with nausea, diarrhea, or loss of appetite. These are common side effects of treatment.
Pain Management Techniques
Managing pain is a big part of supportive care for leukemia patients. We use medicines, acupuncture, and relaxation techniques like meditation. These help control pain and make patients more comfortable.
Our multimodal approach to pain management means we can tailor care to each patient. This makes pain control more effective.
Psychological Support and Counseling
Leukemia diagnosis and treatment affect patients’ minds and emotions. We offer psychological support and counseling to help them cope. This includes emotional support, coping strategies, and communication help.
Our counseling aims to improve patients’ mental health. It helps them deal with the emotional challenges of leukemia care.
In summary, supportive care is essential for leukemia treatment. It includes nutrition, pain management, and counseling. By combining these, we can greatly improve patients’ lives.
Advances in Leukemia Research
Leukemia research is making big strides. We’re learning more about this complex disease. This knowledge is leading to new treatments.
New Targeted Therapies
New therapies are focusing on specific parts of leukemia cells. They aim to kill cancer cells without harming healthy ones. For example, tyrosine kinase inhibitors (TKIs) have changed how we treat chronic myeloid leukemia (CML).
- Improved efficacy
- Reduced side effects
- Potential for personalized treatment based on the genetic characteristics of the patient’s leukemia
Clinical Trials and Emerging Treatments
Clinical trials are key in finding new leukemia treatments. They test new therapies to see if they work and are safe. This gives patients access to new treatments.
| Trial Type | Description | Potential Benefits |
| Phase I | Initial safety and dosing studies | Identifies safe dosage and possible side effects |
| Phase II | Efficacy and side effect evaluation | Checks how well it works and watches for side effects |
| Phase III | Comparative studies against standard treatments | Compares new treatment to current standard care |
Future Directions in Leukemia Treatment
The future of treating leukemia looks promising. We’ll see more treatments tailored to each patient. As we learn more about leukemia, we’ll find even better ways to fight it.
“The future of leukemia treatment lies in our ability to tailor therapies to the unique genetic and molecular profiles of each patient’s disease.” –
Living with Leukemia
Leukemia treatment doesn’t end when it’s over. It’s a journey that requires ongoing care and lifestyle changes. Patients must deal with the long-term effects of treatment.
Managing Long-Term Effects of Treatment
Leukemia treatment can leave lasting health impacts. These include fatigue, nutritional issues, and emotional challenges. Managing these effects is key to a better quality of life. Patients need to work with their doctors to handle any lasting side effects.
For example, fighting fatigue might mean getting enough sleep, doing gentle exercises, and eating well. Getting help with nutrition can help patients plan healthy meals.
Lifestyle Adjustments for Wellness
Living with leukemia means making lifestyle changes. Healthy habits are important for overall wellness. This includes staying active, managing stress, and avoiding harmful substances.
- Walking or yoga can boost physical and mental health.
- Stress-reduction techniques like meditation can help with anxiety and depression.
- Not smoking and drinking less can lower the risk of problems.
Support Groups and Resources
Living with leukemia can feel lonely. But, support groups and resources can offer a sense of community. They provide emotional support, practical tips, and a place to share.
Patients can find help online, in local groups, and through counseling. These resources help with the emotional and mental sides of diagnosis and treatment.
FAQs About Leukemia and Blood Work
Getting a leukemia diagnosis can be tough without the right help. We know patients and their families have lots of questions. They want to know about the condition, how it’s diagnosed, and treatment options.
Common Concerns Addressed
Patients often worry about their diagnosis and blood work results. They might ask, “What does my blood test result mean?” or “How will leukemia treatment affect my blood cell counts?”
- Understanding the different types of leukemia and how they are diagnosed.
- Interpreting blood work results and what they indicate about the condition.
- Concerns about the treatment process and possible side effects.
Understanding Test Results
Blood work is key in diagnosing and monitoring leukemia. Important indicators include:
| Blood Test | Normal Range | Leukemia Indicators |
| White Blood Cell Count (WBC) | 4,500 – 11,000 cells/μL | Abnormally high or low counts |
| Red Blood Cell Count (RBC) | 4.32 – 5.72 million cells/μL (men) | Low counts indicating anemia |
| Platelet Count | 150,000 – 450,000 cells/μL | Low counts indicating thrombocytopenia |
Knowing these results helps patients and doctors make better treatment choices.
When to Consult a Specialist
If you’re feeling symptoms or have blood test results that suggest leukemia, see a specialist. Early detection and diagnosis are key to effective treatment.
Some signs you should see a specialist include:
- Persistent fatigue or weakness.
- Frequent infections or fever.
- Unexplained weight loss.
- Easy bruising or bleeding.
Seeing a specialist ensures you get the right diagnosis and treatment plan.
Conclusion: The Importance of Early Detection
Early detection is key in fighting leukemia. It makes treatment much more effective. We’ve talked about how blood tests are essential in finding leukemia. They give us important info about the disease.
Blood Work: A Critical Diagnostic Tool
Blood tests are often the first clue to leukemia. They help spot unusual white blood cells, low red blood cells, and platelet issues. Knowing these signs is vital for quick diagnosis and treatment.
Prioritizing Regular Health Check-Ups
Regular health checks help catch leukemia early. This means quicker treatment. We urge everyone to look after their health with regular check-ups and to notice any changes in their body.
Effective Treatment for Leukemia
Early detection opens up many treatment options. These include chemotherapy, targeted therapies, and stem cell transplants. The right treatment depends on the leukemia type, stage, and the patient’s health.
Understanding the value of early detection and blood tests in finding leukemia is important. It helps people take care of their health and get better treatment results.
FAQ
What are the common symptoms of leukemia?
Symptoms of leukemia include feeling very tired, losing weight, and getting sick often. You might also bleed or bruise easily. Some people have swollen lymph nodes, bone pain, or pale skin.
How is leukemia diagnosed?
Doctors use blood tests, bone marrow biopsies, and other tests to find leukemia. These include cytogenetic testing and imaging studies.
Can leukemia be detected through blood work?
Yes, blood work can show signs of leukemia. Look for high white blood cell counts, low red blood cells, or low platelets. But, more tests are needed to confirm it.
What are the treatment options for leukemia?
Treatments for leukemia include chemotherapy, targeted therapies, and immunotherapies. Sometimes, a stem cell transplant is needed. The right treatment depends on the leukemia type, stage, and the patient’s health.
How is the efficacy of leukemia treatment monitored?
Doctors check how well treatment is working with blood tests and clinical checks. If blood cell counts improve, it means treatment is working.
What is supportive care for leukemia patients?
Supportive care helps with nutrition, pain, and emotional support. It aims to meet the physical, emotional, and nutritional needs of patients.
Are there any new treatments being developed for leukemia?
Yes, new treatments for leukemia are being researched. Targeted therapies and new treatments are being tested in clinical trials.
How can patients manage the long-term effects of leukemia treatment?
Patients can manage long-term effects by eating well, exercising, and dealing with emotional challenges. Support groups and resources are also helpful.
When should I consult a specialist if I suspect I have leukemia?
If you have symptoms like fatigue, weight loss, or frequent infections, see a specialist. A hematologist or oncologist can evaluate and diagnose you properly.
Can leukemia be cured?
Cure chances vary based on leukemia type, stage, and patient health. Some types, like acute lymphocytic leukemia (ALL), have better cure rates.
How often should I have blood work done if I have leukemia?
Blood work frequency depends on your treatment and response. Regular tests are done to monitor the disease and adjust treatment as needed.
References
National Center for Biotechnology Information. Evidence-Based Medical Insight. Retrieved from https://www.ncbi.nlm.nih.gov/books/NBK611988/