
Understanding cancer in medical terminology can be tough. Knowing the exact term for a muscle tumor helps both patients and doctors. At Liv Hospital, we aim to offer top-notch healthcare and support for patients from around the world. Learn the tumor of muscle medical term and what it means in cancer terminology and diagnosis.
The medical term for a non-cancerous muscle growth is ‘myoma.’ For cancerous ones, it’s ‘rhabdomyosarcoma’ or ‘leiomyosarcoma.’ Soft tissue sarcoma, a rare cancer, causes tumors in muscles, ligaments, tendons, and other soft tissues in the body.
Key Takeaways
- Benign muscle tumors are called ‘myoma.’
- Malignant muscle tumors are known as ‘rhabdomyosarcoma’ or ‘leiomyosarcoma.’
- Soft tissue sarcoma is a rare type of cancer affecting muscles and other soft tissues.
- Liv Hospital provides complete support for international patients.
- Understanding cancer terminology is key for patients seeking medical help.
Understanding Muscle Tissue and Tumor Formation

Knowing about muscle tissue is key to understanding tumors. Muscle tissue makes up about 40% of our body weight. It comes in three types: skeletal, smooth, and cardiac muscle.
Basic Anatomy and Types of Muscle Tissue
Skeletal muscle helps us move on purpose. It’s attached to bones. Smooth muscle works in organs like the digestive tract and blood vessels without our control. Cardiac muscle is in the heart, pumping blood.
How Tumors Develop in Muscular Structures
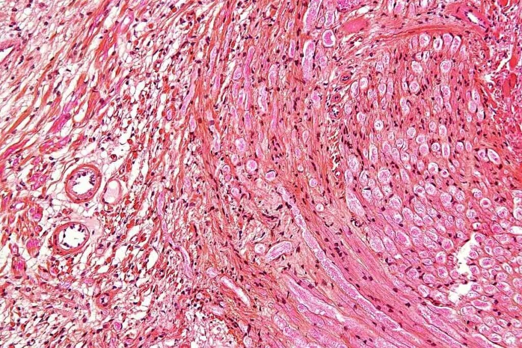
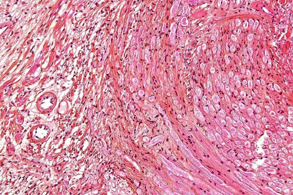
Tumors in muscle tissue happen when cells grow abnormally. This can be due to genes, environment, or both. Tumors can be non-cancerous or cancerous, depending on several factors.
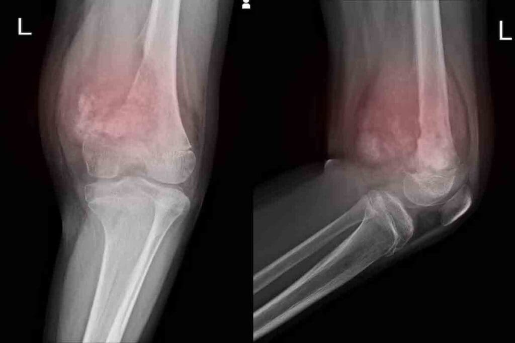
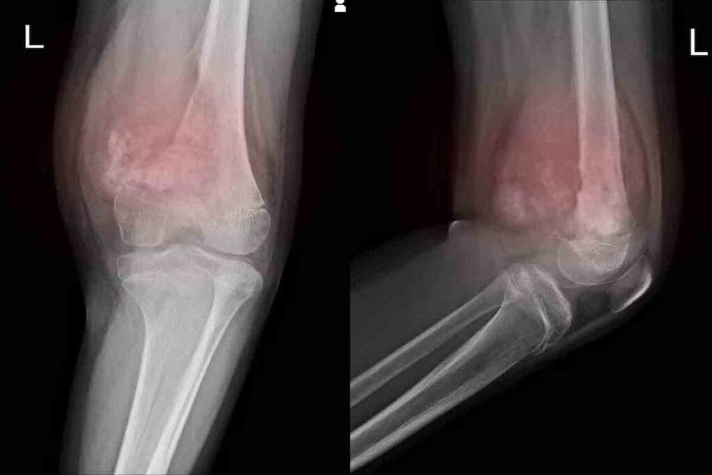
Soft tissue sarcomas are malignant tumors. They often appear in arms, legs, and the abdomen, as the Cancer Society notes. Knowing the causes helps with early detection and treatment.
Distinguishing Between Benign and Malignant Growths
It’s important to tell benign from malignant tumors. Benign tumors are not dangerous and don’t spread. Malignant tumors are cancerous and can spread.
| Characteristics | Benign Tumors | Malignant Tumors |
| Growth Pattern | Slow, expansive growth | Rapid, invasive growth |
| Metastasis | No metastasis | Can metastasize |
| Cellular Atypia | Little to no atypia | Significant atypia |
| Treatment | Often surgical removal | Multimodal treatment (surgery, chemotherapy, radiation) |
Getting a correct diagnosis is vital. It helps tell benign from malignant tumors. This guides the right treatment.
Tumor of Muscle Medical Term: Complete Terminology

Knowing the medical terms for muscle tumors is key for correct diagnosis and treatment. At Liv Hospital, we value clear talk among healthcare pros for our patients’ best care.
Etymology and Root Words in Muscle Tumor Nomenclature
The words for muscle tumors come from Greek and Latin. “Myo-” and “sarco-” are basic. “Myo-” means muscle, and “sarco-” means flesh or tissue. These words help describe muscle tumors.
Benign Muscle Tumors: Myoma Classification
Benign muscle tumors are called myomas. This comes from “myos” (muscle) and “oma” (tumor). Myomas are not cancerous and grow in muscle. They’re named by the muscle type, like leiomyoma or rhabdomyoma.
Malignant Muscle Tumors: Myosarcoma Classification
Malignant muscle tumors are myosarcomas. These are cancers from muscle. Leiomyosarcoma and rhabdomyosarcoma are the main types. They grow fast and need quick treatment.
| Tumor Type | Classification | Muscle Origin |
| Benign | Myoma | Leiomyoma (smooth muscle), Rhabdomyoma (skeletal muscle) |
| Malignant | Myosarcoma | Leiomyosarcoma (smooth muscle), Rhabdomyosarcoma (skeletal muscle) |
Knowing these types helps doctors diagnose and treat muscle tumors well. The National Cancer Institute (NCI) Dictionary helps with cancer terms, including muscle tumors.
Classification by Muscle Tissue Origin
Muscle tumors are classified based on their origin. They can come from skeletal or smooth muscle tissue. Knowing this helps doctors choose the right treatment and predict how well a patient will do.
Skeletal Muscle-Derived Tumors
Skeletal muscle tumors, like rhabdomyosarcoma, are aggressive. They mostly affect kids and teens. Rhabdomyosarcoma is the top soft tissue sarcoma in young people.
Smooth Muscle-Derived Tumors
Smooth muscle tumors, including leiomyosarcoma, are more common in adults. They can show up in places like the uterus, abdomen, and soft tissues.
| Tumor Type | Muscle Origin | Common Age Group |
| Rhabdomyosarcoma | Skeletal | Children and Adolescents |
| Leiomyosarcoma | Smooth | Adults |
At our institution, we stress the need for accurate classification. It helps us make better treatment plans and improve patient results.
Sarcomas: Understanding the Cancer Family of Connective Tissue
Sarcomas are a complex group of cancers that start in connective tissue. They come from mesenchymal cells, which are the basic building blocks of many body tissues. This means sarcomas can show up in many parts of the body, making them hard to diagnose and treat.
Defining Characteristics of Sarcomas
Sarcomas start in connective or supportive tissues. They are divided into two main types: soft tissue sarcomas and bone sarcomas. Soft tissue sarcomas happen in tissues that support and connect the body, like muscles and fat. Bone sarcomas start in the bones themselves.
Key features of sarcomas include:
- Origin in mesenchymal cells
- Diversity in tissue origin and location
- Potential for both soft tissue and bone involvement
- Variable aggressiveness and growth patterns
Differentiating Sarcomas from Other Cancer Types
Sarcomas are different from carcinomas, which start in cells lining organs and glands. Knowing this is key for choosing the right treatment. Sarcomas often need special treatment plans because of their unique traits and behaviors.
“Sarcomas are a rare and heterogeneous group of malignancies that necessitate a multidisciplinary approach to diagnosis and treatment.”
It’s important for doctors to understand the differences between sarcomas and other cancers. At our institution, we focus on a detailed approach to diagnosing and treating sarcomas. We use the latest in oncology to help our patients.
National Cancer Institute Dictionary and Standardized Terminology
The National Cancer Institute (NCI) is key in making cancer terms clear. Its dictionary helps ensure everyone talks the same language when it comes to cancer. This is important for accurate diagnosis and treatment.
The NCI’s Role in Cancer Term Standardization
The NCI’s dictionary is a shared language for doctors, researchers, and patients. It makes sure everyone uses the same terms for cancer. This helps doctors and researchers work together better.
The NCI says, “Standardized terms are key for sharing information.” This shows how important it is to have one way of talking about cancer.
“The use of standardized terminology is essential for ensuring that cancer data are accurately collected, analyzed, and disseminated.”
NCI Guidelines
How Muscle Tumors Are Defined in the NCI Cancer Dictionary
The NCI Cancer Dictionary explains muscle tumors like sarcomas. Sarcomas start in tissues that support the body. It helps people understand the differences between muscle tumors.
Benefits of Consistent Cancer Vocabulary in Clinical Settings
Using the same cancer words is important for many reasons:
- Accurate diagnosis and staging
- Effective treatment planning
- Clear communication among healthcare providers
- Informed decision-making by patients
Doctors use the same terms to give patients the right treatment. This makes it easier to share information between hospitals and studies.
In short, the NCI Cancer Dictionary is essential for clear cancer talk. It helps doctors and researchers work together well.
Oncology Medical Terminology in Clinical Practice
Understanding oncology terms is key for diagnosing and treating muscle tumors. In clinical oncology, using precise medical terms is vital. It helps healthcare providers communicate well, ensuring patients get the best care.
Diagnostic Terminology Used by Oncologists
Oncologists use specific terms to classify and manage muscle tumors. Knowing these terms is essential for accurate diagnosis and treatment planning. Some important terms include:
- Myoma: A benign tumor of muscle tissue.
- Myosarcoma: A malignant tumor of muscle tissue.
- Rhabdomyosarcoma: A malignant tumor derived from skeletal muscle.
- Leiomyosarcoma: A malignant tumor derived from smooth muscle.
At Liv Hospital, our team helps patients understand their pathology reports. This ensures they get the care they need. Accurate diagnosis depends on understanding medical terminology correctly.
Understanding Pathology Reports for Muscle Tumors
Pathology reports are vital for diagnosing and staging cancer. They provide details on the tumor’s type, grade, and stage. This information is key for choosing the right treatment.
| Report Component | Description |
| Tumor Type | Classification of the tumor (e.g., myosarcoma, rhabdomyosarcoma) |
| Tumor Grade | Measure of the tumor’s aggressiveness |
| Tumor Stage | Extent of the tumor’s spread |
Grasping these components is vital for effective treatment planning. Our team at Liv Hospital is dedicated to helping patients understand their reports. This way, they can make informed decisions about their care.
Treatment Terminology for Muscle Sarcomas
Treatment for muscle sarcomas includes surgery, radiation, and chemotherapy. We use a team approach to care for our patients. This ensures they get the best treatment for their needs.
Surgical Intervention Terminology
Surgery is often the first step in treating muscle sarcomas. Important surgical terms include:
- Wide excision: This surgery removes the tumor and some healthy tissue around it.
- Limb-sparing surgery: It aims to remove the tumor without harming the limb’s function or look.
- Amputation: Sometimes, amputation is needed to remove the tumor completely.
Radiation and Chemotherapy Vocabulary
Radiation therapy and chemotherapy are also key treatments for muscle sarcomas. Key terms include:
- External beam radiation therapy (EBRT): This method uses radiation from outside the body to target the tumor.
- Brachytherapy: It involves placing a radioactive source inside or near the tumor.
- Neoadjuvant chemotherapy: Chemotherapy given before surgery to shrink the tumor.
- Adjuvant chemotherapy: Chemotherapy given after surgery to kill any remaining cancer cells.
Emerging Treatments and Associated Terms
New treatments are being developed for muscle sarcoma. These include:
- Targeted therapy: Drugs that target specific genes or proteins in cancer cells.
- Immunotherapy: Uses the body’s immune system to fight cancer.
- Clinical trials: Studies that test new treatments or new uses for existing treatments.
We are dedicated to keeping up with these new treatments. This way, our patients can get the latest and best care.
Epidemiology and Research in Muscle Cancer
Understanding muscle cancer is key to better patient care. At Liv Hospital, we focus on improving oncology through research. Our team works hard to find new ways to fight muscle cancer.
Statistical Terms in Cancer Research
In cancer studies, stats are vital. They help us know how common and deadly different cancers are. Prevalence is the total number of cases in a population. Incidence is the number of new cases in a time frame.
These stats help spot trends in cancer data. For example, sarcomas, a muscle cancer, are rare but aggressive, mainly in kids.
“The accurate interpretation of statistical data is vital for cancer research, as it informs treatment decisions and policy development.”
NCI Cancer Bulletin
Some important stats in cancer research include:
- Incidence rate: New cases per 100,000 people yearly.
- Prevalence rate: Total cases per 100,000 people.
- Survival rate: Percentage of people surviving a certain cancer for a time.
Clinical Trial Terminology for Sarcoma Studies
Clinical trials are key for testing new treatments in muscle cancer. Knowing trial terms helps us understand study results.
| Term | Description |
| Phase I trial | First study to check a new treatment’s safety and dosage. |
| Phase II trial | Study to see if a new treatment works and its side effects. |
| Phase III trial | Study to compare a new treatment with existing ones. |
At Liv Hospital, we’re involved in and lead clinical trials for muscle cancer. Our researchers team up with others worldwide to make our studies strong and useful.
By grasping muscle cancer’s epidemiology and research terms, we can better understand this disease. We also see the efforts to fight it.
Conclusion: The Importance of Understanding Cancer Terminology
Knowing cancer terms is key for both patients and doctors. Using the same words helps everyone understand diagnoses, treatments, and research better. At Liv Hospital, we offer top-notch care for international patients. We use the newest in oncology and clear cancer terms.
Good communication is critical in fighting cancer. Knowing medical terms helps get the right diagnosis and treatment. Patients can understand their care better and make smart choices about their treatment.
We stress the need for the same cancer words in clinics for clear and precise care. Our goal is to give the best healthcare possible. We use standard terms to ensure our patients get the best care.
FAQ
What is the difference between a benign and malignant muscle tumor?
Benign muscle tumors, like myomas, are not cancerous. They don’t spread or grow into other tissues. On the other hand, malignant muscle tumors, or myosarcomas, are cancerous. They can grow into other tissues and spread to other parts of the body.
What is the medical term for a cancerous muscle tumor?
Cancerous muscle tumors are called myosarcomas or sarcomas. Sarcomas are a group of cancers that start in connective tissue, including muscle.
How are muscle tumors classified based on their tissue of origin?
Muscle tumors are classified by where they start. Tumors from skeletal muscle are called rhabdomyosarcomas. Tumors from smooth muscle are called leiomyosarcomas.
What is the role of the National Cancer Institute in standardizing cancer terminology?
The National Cancer Institute (NCI) helps standardize cancer terms. They use their Dictionary of Cancer Terms. This resource helps understand cancer terms, including those for muscle tumors.
How is oncology medical terminology applied in clinical practice?
Oncology terms are used in practice by oncologists. They help interpret pathology reports for muscle tumors. This ensures patients get accurate diagnoses and treatments.
What are the treatment options for muscle sarcomas?
Treatments for muscle sarcomas include surgery, radiation, and chemotherapy. New treatments are being tested in clinical trials.
What is the importance of understanding cancer terminology?
Knowing cancer terms is key for good care. It helps patients understand their diagnosis, treatment options, and what to expect.
Where can I find reliable information on cancer terminology?
You can find reliable cancer terms at the National Cancer Institute Dictionary of Cancer Terms. Also, talk to healthcare providers who specialize in oncology.
References
- National Cancer Institute. (2024). Dictionary of Cancer Terms: Rhabdomyosarcoma and Leiomyosarcoma. https://www.cancer.gov/publications/dictionaries/cancer-terms/def/rhabdomyosarcoma