
Leukemia is a cancer that affects the blood and bone marrow. Where leukemia begins is in the soft, inner part of the bones, called bone marrow. Here, abnormal white blood cells are made, and these cells can quickly move into the blood.
This disease can spread fast if not treated quickly. Knowing where leukemia comes from is very important. This is true, even more so for children, as it’s a common cancer in them.
The bone marrow is key because it makes blood cells. So, when talking about leukemia and blood-forming tissues, it’s a major concern.
Key Takeaways
- Leukemia starts in the bone marrow.
- It affects the production of normal blood cells.
- Understanding its origin is key for diagnosis.
- Leukemia can spread fast if not treated.
- It’s a big worry for children’s health.
Understanding Leukemia: A Blood Cancer Overview

Leukemia is a cancer that starts in the blood-making tissues. This includes the bone marrow and lymphatic system. It messes up how the body makes blood, causing health problems. Understanding leukemia is key for catching it early and treating it well.
Definition and Basic Characteristics of Leukemia
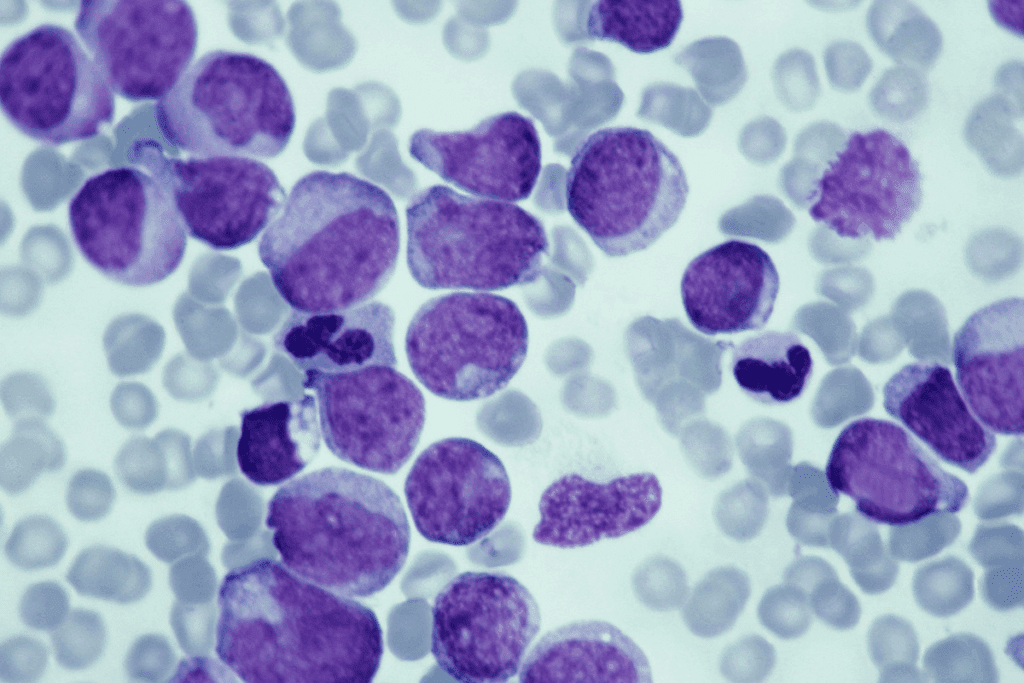
Leukemia occurs when abnormal white blood cells grow uncontrollably. This stops the body from making normal blood cells. It weakens the immune system, making infections more likely. If not treated, it can get worse fast.
“Leukemia is cancer of the body’s blood-forming tissues, including the bone marrow and the lymphatic system.” This shows how leukemia affects the body’s blood-making ability.
Key Statistics and Prevalence in the United States
In the United States, leukemia hits thousands of people every year. It’s among the top ten cancers in the country. Knowing how common it is helps in finding better treatments.
- Leukemia is more common in adults over the age of 65.
- Certain types of leukemia are more prevalent in children and young adults.
- Early diagnosis and treatment significantly improve survival rates.
By knowing about leukemia, we see why research and new treatments are so important.
Where Leukemia Begins: The Bone Marrow Connection

Leukemia starts in the bone marrow, a spongy tissue inside bones. It’s where blood cells are made. The bone marrow is the soft, spongy part of bones.
The Role of Bone Marrow in Blood Production
Bone marrow is key in making blood cells. It’s where stem cells turn into different blood cells. This includes red blood cells, white blood cells, and platelets.
Stem Cells and Blood Cell Development
Stem cells in the bone marrow can become different cell types. As they grow, they specialize and help keep the body healthy.
How Leukemia Starts in Bone Marrow Stem Cells
Leukemia starts with a genetic mutation in bone marrow stem cells. This leads to abnormal white blood cells. These cells take over, making it hard for the bone marrow to make healthy blood cells.
The Transformation from Normal to Leukemic Cells
Genetic mutations in blood cells cause the change. These can come from genes, chemicals, or radiation.
Genetic Mutations in Blood-Forming Cells
Genetic changes in stem cells disrupt normal cell growth. This leads to more leukemic cells. A doctor says, “Genetic mutations are key in leukemia, affecting cell growth and division.”
Knowing how leukemia starts in the bone marrow helps doctors find better treatments. By focusing on the bone marrow, they aim to get rid of the disease.
The Hematopoietic System and Leukemia Development
To understand leukemia, we must explore the hematopoietic system. This system is key for making blood cells. It involves organs like the bone marrow, spleen, and lymph nodes.
Understanding Blood-Forming Tissues and Organs
The hematopoietic system has important parts, like the bone marrow. Bone marrow is found in bones like hips and thighbones. It makes blood cells.
Normal Blood Cell Production vs. Leukemic Process
In a healthy body, blood cells are made in a controlled way. But, leukemia messes with this. Leukemia causes abnormal white blood cells to grow too much. This stops normal blood cells from being made.
Disruption of Normal Blood Cell Maturation
Leukemia disrupts how blood cells mature. In leukemia, immature cells called blasts build up in the bone marrow. They block the making of normal blood cells.
| Cell Type | Normal Function | Leukemic Change |
| White Blood Cells | Fight infections | Uncontrolled proliferation |
| Red Blood Cells | Carry oxygen | Reduced production |
| Platelets | Aid in blood clotting | Reduced production |
Bone Marrow Microenvironment and Leukemia Development
The bone marrow’s environment is vital for leukemia. It helps leukemia cells grow and survive. This environment supports their growth.
Leukemia’s Origin in White Blood Cells
White blood cells are where leukemia starts, messing with our immune system. It’s a cancer that messes with blood and bone marrow, causing too many white blood cells.
Types of White Blood Cells Affected by Leukemia
Leukemia hits different white blood cells, mainly myeloid and lymphoid. Myeloid cells fight infections. Lymphoid cells are key to our immune system.
Myeloid vs. Lymphoid Cell Origins
It’s important to know the difference between myeloid and lymphoid cells. Myeloid leukemia affects cells that turn into granulocytes. Lymphoid leukemia affects cells that turn into lymphocytes.
| Cell Type | Function | Leukemia Type |
| Myeloid Cells | Fight infections | Myeloid Leukemia |
| Lymphoid Cells | Immune response | Lymphoid Leukemia |
Genetic and Molecular Changes in Leukemia Cells
Leukemia comes from genetic and molecular changes that let cells grow too much. These changes can mess with genes that control cell growth and death.
How Abnormal White Blood Cells Proliferate and Function
Abnormal white blood cells in leukemia grow too much, taking over the bone marrow. This stops normal blood cell making, causing health problems.
The Lymphatic System’s Role in Leukemia
It’s key to know how the lymphatic system works with leukemia. This system is a big part of our immune defense. It plays a big role in how leukemia works.
Connection Between Leukemia and the Lymphatic System
Leukemia impacts the lymphatic system in many ways. It can spread to lymph nodes, the spleen, and other immune tissues. This can cause a lot of symptoms and problems.
Leukemia and Lymph Nodes Involvement
Lymph nodes are very important in the lymphatic system. When leukemia gets into them, it can cause big health issues. Swollen lymph nodes often show that the disease is there.
Signs of Lymphatic System Infiltration
- Swollen lymph nodes
- Enlarged spleen
- Recurring infections
Leukemia Starting in the Lymphatic System
Leukemia can start in the lymphatic system, mainly in lymphoid cells. This can change how the disease grows and how it’s treated.
Leukemia and Spleen Involvement
The spleen, a key part of the lymphatic system, can also get affected by leukemia. This can make it bigger and cause other issues. Splenomegaly is a term for this condition.
The link between leukemia and the lymphatic system is complex. It shows why we need detailed diagnosis and treatment plans. Knowing this connection helps us manage the disease better.
Different Types of Leukemia and Their Origins
Leukemia comes in many types, each with its own start and growth path. It’s divided into four main types based on the cell type and how fast it grows.
Acute Myeloid Leukemia (AML): Origin and Development
AML starts in the bone marrow’s myeloid cells. These cells make red blood cells, platelets, and some white blood cells. AML’s fast-growing bad cells fill the bone marrow, stopping normal blood cell making.
Acute Lymphoblastic Leukemia (ALL): Cellular Beginnings
ALL starts in the bone marrow’s lymphoid cells, key for our immune system. It’s caused by too many young lymphoid cells, making it hard to fight off infections.
Chronic Myeloid Leukemia (CML): The Philadelphia Chromosome
CML is linked to the Philadelphia chromosome, a genetic mix-up. This mix-up makes a gene that makes myeloid cells grow too much. CML grows slowly, with too many mature myeloid cells.
Chronic Lymphocytic Leukemia (CLL): B-Cell Origins
CLL mainly affects B cells, important for fighting off infections. It’s marked by B cells building up in the blood, bone marrow, and lymph nodes. CLL grows slowly, and symptoms may take years to show.
Comparing Origins: Bone Marrow Versus Blood
Leukemia often starts in the bone marrow, where blood cells are made. The bad cells then move into the blood, where they can be found. Knowing where leukemia starts helps doctors figure out the type and stage.
Where leukemia starts in the bone marrow or blood matters a lot for diagnosis and treatment. Doctors can tailor treatments based on the disease’s start and type.
Leukemia in Children: Where It Begins and How It Differs
Leukemia is the most common cancer in kids. It starts with certain genetic and environmental factors. Unlike adult leukemia, it has its own unique origins, growth, and treatment responses.
Origin of Leukemia in Children
Leukemia starts in the bone marrow, where blood cells are made. It happens when genes controlling blood cell production mutate. This leads to too many abnormal leukemic cells.
Genetic Factors in Pediatric Leukemia
Genetics are key in childhood leukemia. Kids with Down syndrome are at higher risk. Also, genetic changes during fetal development can cause leukemia.
Where Leukemia First Develops in Kids
In kids, leukemia starts in the bone marrow. It messes up blood cell production. Then, it spreads to lymph nodes, spleen, and the brain.
Differences Between Pediatric and Adult Leukemia Origins
Pediatric and adult leukemias are different. The most common leukemia in kids is Acute Lymphoblastic Leukemia (ALL). Adults are more likely to get Acute Myeloid Leukemia (AML).
Why ALL is More Common in Children
ALL is common in kids because of genetic mutations. These mutations happen during fetal development or early childhood. They cause abnormal lymphoblasts, the main feature of ALL.
Diagnosis and Treatment Based on Leukemia’s Origin
Knowing where leukemia starts is vital for diagnosis and treatment. The origin of leukemia helps decide the best treatment plan.
Detecting Leukemia in Bone Marrow and Blood
Diagnosing leukemia means finding abnormal cells in bone marrow and blood. A bone marrow biopsy and aspiration are key steps. These tests show the leukemia type and how far it has spread.
Bone Marrow Biopsy and Aspiration
A bone marrow biopsy takes a small bone marrow sample for tests. Aspiration gets a liquid bone marrow sample. Both give important info on leukemia cells.
How Origin Affects Treatment Approaches
The leukemia’s start point greatly shapes treatment. For example, bone marrow leukemia might need different care than lymphatic system leukemia.
Targeting Leukemia at Its Source
Treatment aims to hit leukemia cells at their start. Knowing where it begins helps pick the right therapy.
Bone Marrow Transplantation
In some cases, bone marrow transplantation is suggested. This replaces bad bone marrow with healthy one, from the patient or a donor.
When to Seek Medical Attention for Symptoms
Seeing a doctor is key if symptoms don’t get better or get worse. Early action and treatment can greatly help leukemia patients.
Conclusion: Understanding Leukemia’s Origins for Better Outcomes
Knowing where leukemia starts is key to finding better treatments. It begins in the bone marrow, where bad white blood cells grow. This affects the body’s immune system in many ways.
Studies show that learning about leukemia’s start is important for better care. Doctors can plan treatments that really work by knowing the disease’s roots. This makes treatments more effective and improves life for patients.
More research will help us understand leukemia and the immune system better. This will lead to better treatments and care for those with the disease. Knowing more about leukemia is vital for finding new ways to help patients.
FAQ
Where does leukemia usually begin?
Leukemia starts in the bone marrow. This is the spongy tissue inside bones like the hips and thighbones. It’s where blood cells are made.
What is the role of the bone marrow in leukemia development?
The bone marrow is key in leukemia. It’s where blood cells are produced. Genetic mutations in stem cells can lead to leukemia.
How does leukemia start in white blood cells?
Leukemia begins in white blood cells. Genetic mutations in their DNA cause abnormal growth and more cells.
What is the connection between leukemia and the lymphatic system?
Leukemia affects the lymphatic system. This includes lymph nodes and the spleen. Abnormal white blood cells build up in these areas.
What are the different types of leukemia and their origins?
There are several types of leukemia. These include Acute Myeloid Leukemia (AML), Acute Lymphoblastic Leukemia (ALL), Chronic Myeloid Leukemia (CML), and Chronic Lymphocytic Leukemia (CLL). Each type has its own origins and characteristics.
How does leukemia in children differ from adult leukemia?
Children’s leukemia, often ALL, has different genetic and molecular traits than adult leukemia. Treatment for children may differ.
How is leukemia diagnosed, and what is the role of bone marrow biopsy?
Diagnosing leukemia involves blood tests, bone marrow biopsy, and other procedures. Bone marrow biopsy is key in finding and identifying leukemia.
How does the origin of leukemia affect treatment approaches?
Knowing where leukemia starts is vital for treatment. Different types need different treatments.
What is the significance of the hematopoietic system in leukemia development?
The hematopoietic system, including bone marrow and blood-forming tissues, is critical in leukemia. Disruptions in blood cell production can cause leukemia.
Can leukemia start in the lymphatic system?
Yes, some leukemia types, like Chronic Lymphocytic Leukemia (CLL), start in the lymphatic system. This involves lymph nodes and other lymphoid tissues.
References:
- National Cancer Institute. (2023). Leukemia—Patient Version. U.S. Department of Health and Human Services. https://www.cancer.gov/types/leukemia/patient/leukemia-treatment-pdq