
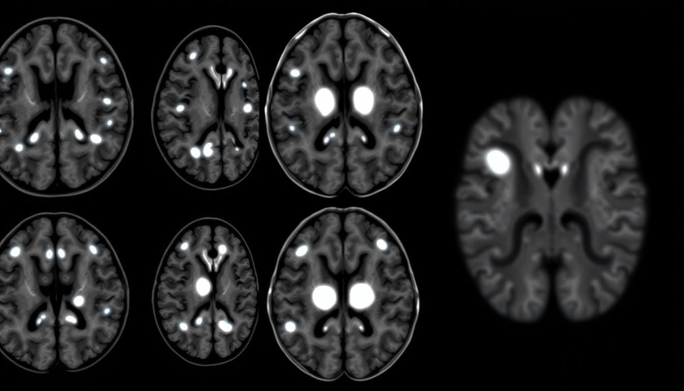
When patients get a brain MRI, they might see bright spots or white dots on the scan. These spots, known as white matter hyperintensities, can worry people. At Liv Hospital, we use top-notch imaging and expert analysis to help our patients feel better.
The white spots on brain MRI can show different health issues. These include small vessel disease, chronic high blood pressure, and multiple sclerosis. Knowing what these spots mean is key for patients to take care of their health.
Key Takeaways
- Bright spots in brain MRI are abnormalities that appear brighter than surrounding tissue.
- These spots can be caused by various conditions, including small vessel disease and multiple sclerosis.
- Understanding the causes and implications is key for patients undergoing MRI scans.
- Liv Hospital combines advanced imaging with expert interpretation for clarity and reassurance.
- White matter hyperintensities can be a sign of underlying health conditions.
Understanding Bright Spots in Brain MRI Scans

Brain MRI scans often show bright spots or white matter hyperintensities. These can worry both patients and doctors.
Definition and Appearance on Imaging
White matter hyperintensities are bright spots seen on MRI scans. They show up on T2-weighted and FLAIR images. These spots are in the brain’s white matter, which has myelinated nerve fibers.
Different Terminology: White Matter Hyperintensities, White Spots, and White Dots
The terms “white matter hyperintensities,” “white spots,” and “white dots” mean the same thing. They describe bright areas on MRI scans. These areas can show different health issues.
How Normal Brain Tissue Appears Versus Abnormalities
Normal brain tissue looks different on MRI scans. It depends on the scan type. White matter hyperintensities, though, are very bright, mainly on T2-weighted images. Knowing the difference helps doctors make accurate diagnoses.
| Characteristics | Normal Brain Tissue | White Matter Hyperintensities |
|---|---|---|
| Appearance on T2-weighted MRI | Variable signal intensity | Increased signal intensity (bright) |
| Location | Throughout the brain | Typically in white matter |
| Clinical Significance | Normal function | May indicate underlying conditions |
What Are Bright Spots in MRI for Brain? A Detailed Explanation

It’s important to know what bright spots on brain MRI mean. They help doctors diagnose and plan treatments. We’ll explore why some areas look brighter than others.
The Science Behind MRI Signal Intensity
MRI signal intensity comes from the magnetic properties of tissues. The settings during the scan also play a role. This is why different tissues show up in different ways.
Why Certain Areas Appear Brighter Than Others
Some areas look brighter because of more water, inflammation, or lesions. The MRI sequence used can also change how bright they appear.
Different MRI Sequences and How They Affect Appearance
Each MRI sequence shows different things. For example, T2-weighted images are great for spotting water changes. This makes them good for finding edema or lesions.
- T1-weighted images give clear views of anatomy.
- T2-weighted images show water content changes well.
- FLAIR sequences are good for finding lesions near CSF spaces.
Comparing White Dots on MRI Versus CT Scans
MRI is better than CT scans at finding white matter hyperintensities. CT scans are fast and good for acute hemorrhages. But MRI shows more detail in soft tissues.
Understanding MRI signal intensity and sequence differences helps doctors. They can then better diagnose and treat conditions seen on brain MRI.
Common Causes of White Spots on Brain MRI
Understanding why white spots show up on brain MRI is key for the right treatment. These spots can mean different things, from harmless changes to serious diseases.
Small Vessel Disease and Vascular Factors
Small vessel disease is a big reason for white spots on brain MRI. It damages the brain’s small blood vessels. This damage can cut off blood flow and harm the brain tissue. High blood pressure and diabetes are major factors in this disease.
Age-Related Changes
As we get older, we’re more likely to see white spots on brain MRI. These spots are often small lesions in the brain’s white matter. They’re common in older adults and are called age-related white matter changes.
Neurological Conditions
Some brain diseases can cause white spots on MRI. Two examples are:
Multiple Sclerosis
Multiple sclerosis (MS) is a chronic disease that attacks the central nervous system. On MRI, MS shows up as white spots in the brain and spinal cord. These spots are a key sign of the disease.
Migraines
Migraines can also lead to white spots on brain MRI. The exact reason is not clear, but it might be related to blood vessel changes or inflammation.
Metabolic and Systemic Conditions
Other conditions can also cause white spots on brain MRI.
Diabetes
Diabetes can harm blood vessels and lead to brain changes seen as white spots on MRI. Keeping diabetes under control is important to prevent these changes.
Hypertension
Hypertension, or high blood pressure, can damage brain blood vessels. This can cause white matter lesions. It’s important to manage high blood pressure to avoid these changes.
| Condition | Effect on Brain MRI |
|---|---|
| Small Vessel Disease | White spots due to damaged small blood vessels |
| Multiple Sclerosis | Lesions in white matter |
| Diabetes | White matter changes due to vascular damage |
| Hypertension | White matter lesions due to high blood pressure |
Infections and Inflammatory Processes
Infections and inflammation can also cause white spots on brain MRI. Conditions like encephalitis or vasculitis can lead to inflammation that appears as white spots.
Genetic Disorders
Some genetic disorders can make people more likely to have white spots on brain MRI. For example, CADASIL is a condition that causes white matter changes.
Trauma and Tumors
Brain trauma can lead to changes that look like white spots on MRI. Some tumors can also cause white spots, but this is less common.
We’ve looked at many reasons for white spots on brain MRI. It shows how complex and varied these conditions can be. Getting a correct diagnosis needs a full check-up, including a medical history, physical exam, and more tests if needed.
White Patches on MRI Brain Scan: Location Matters
The spot where white patches appear on MRI brain scans is key to figuring out what they mean. Looking at brain MRI results, where these spots are can tell us a lot about what’s going on.
Periventricular White Matter Lesions
Periventricular white matter lesions are found around the brain’s ventricles. These are fluid-filled spaces. These spots are often linked to small blood vessel problems and demyelination. Studies show they’re more common in older people and might be linked to brain function decline.
Deep White Matter Lesions
Deep white matter lesions are in the brain’s deeper white matter tracts. They can be caused by small blood vessel disease, high blood pressure, and diabetes. Research links these lesions to a higher risk of stroke and dementia.
Subcortical Lesions
Subcortical lesions are under the cortex, in areas like the basal ganglia and thalamus. They can be due to small blood vessel disease, infections, and inflammation. These lesions might cause problems with thinking and movement.
Bright White Spots on MRI Cervical Spine
Bright white spots on the cervical spine’s MRI can mean different things. They might show degenerative disc disease, spinal stenosis, or inflammation. These findings are important for people with neck pain or neurological symptoms.
What Different Locations May Indicate
The spot where white matter hyperintensities appear on MRI can give us clues about their causes. For instance, some areas might point more to vascular disease, while others might suggest demyelinating conditions.
| Location | Possible Causes | Clinical Significance |
|---|---|---|
| Periventricular | Small vessel disease, demyelination | Cognitive decline, increased risk of dementia |
| Deep White Matter | Small vessel disease, hypertension, diabetes | Increased risk of stroke, dementia |
| Subcortical | Small vessel disease, infections, inflammation | Cognitive and motor symptoms |
As we’ve seen, where white patches show up on MRI brain scans is very important. By knowing the different types of lesions and where they are, we can better diagnose and treat patients with white matter hyperintensities.
Prevalence and Demographics: Who Gets White Dots in the Brain?
As we get older, white dots in brain scans become more common. This raises important health questions. It’s key to know who gets these white matter hyperintensities and why.
Age-Related Statistics: From 60 to 90+ Years
Research shows white dots on brain MRIs grow with age. By 60, many people have white matter lesions. This number goes up even more in the 80s.
By 80, almost everyone has some white matter hyperintensities.
Risk Factors and Predisposing Conditions
Hypertension, diabetes, and heart disease increase white dots in the brain. These conditions lead to small vessel disease, a main cause of white matter lesions.
Geographic and Ethnic Variations
White matter hyperintensities vary by ethnicity and location. Some ethnic groups might have more, due to genetics or environment.
Gender Differences in Prevalence
Studies on gender differences in brain MRI white dots are mixed. Some say there’s a slight difference, while others see no big gap.
“White matter hyperintensities are a common finding on brain MRI in older adults, and their presence is associated with an increased risk of cognitive decline and dementia.”
This shows why it’s vital to understand white dots in the brain.
Clinical Significance: What Do White Spots on Brain MRI Mean?
Understanding white spots on brain MRI is key to knowing their effect on brain health. These spots, known as white matter hyperintensities, are linked to several neurological issues.
Relationship to Cognitive Function and Decline
Studies show that white spots on MRI scans are connected to cognitive decline in older adults. These spots can harm brain function, impacting speed, memory, and decision-making skills. People with more spots tend to do worse on cognitive tests.
Association with Stroke Risk
White spots on MRI scans also raise the risk of stroke. They signal small vessel disease, a cause of ischemic strokes. It’s important to manage vascular risk factors to lower stroke risk in those with these spots.
Link to Dementia and Alzheimer’s Disease
Research links white spots to dementia and Alzheimer’s disease. These spots are common in Alzheimer’s patients and may speed up cognitive decline. The exact reasons are being studied, but these spots are a key indicator of neurological health.
Impact on Overall Brain Health
White spots on MRI scans can affect brain health in many ways. They are linked to less mobility, higher fall risk, and depression. It’s important to manage these spots and their causes to keep the brain healthy.
When White Spots Are Considered Normal
White spots on MRI scans can also appear in healthy people, mainly as they age. The significance of these spots depends on the patient’s age, medical history, and other MRI findings.
In summary, white spots on brain MRI are not just random findings. They are connected to serious health issues like cognitive decline, stroke risk, and dementia. Understanding their importance is critical for proper care and management.
Diagnostic Process for White Spots in Brain MRI
Understanding white spots in brain MRI needs a detailed approach. This includes various imaging and evaluation strategies. We’ll walk you through the process, from first detection to interpreting results.
Initial Detection and Imaging Techniques
The journey starts with advanced MRI sequences. These include FLAIR and T2-weighted images. They’re very good at showing white matter lesions.
We use these images to spot white spots and check their details. This includes where they are, how big they are, and how spread out.
Follow-Up Testing and Evaluation
After finding white spots, more tests are needed. This helps figure out what they mean and why they’re there. We might do more MRI scans, check the patient’s health, and run lab tests.
Differential Diagnosis Considerations
Differential diagnosis is key. We look at many possible reasons for white spots. This includes small vessel disease, demyelinating diseases, and inflammation.
| Condition | Characteristics | Diagnostic Clues |
|---|---|---|
| Small Vessel Disease | Typically seen in older adults, associated with hypertension and diabetes | Presence of multiple white matter lesions, often in deep and periventricular areas |
| Demyelinating Diseases | Include conditions like Multiple Sclerosis | Lesions often periventricular, juxtacortical, or infratentorial; clinical presentation of neurological deficits |
| Inflammatory Conditions | Such as vasculitis or neurosarcoidosis | Systemic symptoms, elevated inflammatory markers, and characteristic MRI patterns |
Interpreting Results in Clinical Context
Understanding MRI results needs a deep look at the patient’s history and symptoms. We look at where the white spots are, how many there are, and what they look like. This helps us understand their importance.
When to Be Concerned About White Dots on Brain MRI
Some white spots are harmless, but others can mean serious health issues. We worry about spots that are many, big, or in important areas. Or if they cause big symptoms.
By carefully looking at white spots in brain MRI and the patient’s situation, we can make accurate diagnoses. Then, we can plan the best treatment.
Treatment and Management Approaches
Managing white spots on brain MRI needs a mix of strategies. We’ll look at how to tackle these issues.
Managing Underlying Vascular Risk Factors
It’s key to control vascular risk factors for white spots on brain MRI. This means managing hypertension, diabetes mellitus, and hyperlipidemia. By doing this, we might slow down the growth of white matter lesions.
Specific Treatments for Neurological Conditions
For white spots linked to conditions like multiple sclerosis or stroke, specific treatments are used. These could be disease-modifying therapies for multiple sclerosis or anticoagulation therapy for stroke prevention.
Lifestyle Modifications and Their Impact
Lifestyle changes are vital in managing white spots on brain MRI. Dietary changes, regular exercise, and smoking cessation help brain health. They might also slow down white matter lesion growth.
Monitoring and Follow-Up Protocols
Regular checks and follow-ups are key for patients with white spots on brain MRI. This includes repeated MRI scans and clinical assessments. They help track lesion progress and adjust treatment plans.
Emerging Therapies and Research Directions
Research on managing white spots on brain MRI is ongoing. New therapies aim to lessen white matter lesion burden. We’re seeing promising treatments that target specific disease mechanisms.
Conclusion: Understanding the Significance of Brain MRI Findings
We’ve looked into white spots on brain MRI, what they are, why they happen, and their importance. Knowing about white spots on MRI is key for spotting and treating brain issues. These spots can show up in different ways, like due to blood vessel problems, brain diseases, or getting older.
It’s important to handle conditions with white spots on MRI well. This means controlling blood vessel risks, making lifestyle changes, and keeping an eye on patients. By getting the brain MRI findings, doctors can make better plans to help patients get better.
Our talk shows how vital it is to look at where and how big the white spots are on MRI. This helps us understand their role in patient care and find good ways to manage them. As we learn more about white matter hyperintensities, we can do better for patients with brain problems.
What are white spots on a brain MRI?
White spots on a brain MRI are called white matter hyperintensities. They appear brighter than normal brain tissue. This is due to health conditions or age-related changes.
What causes white spots on brain MRI?
Many things can cause white spots on brain MRI. This includes small vessel disease and age-related changes. Also, conditions like multiple sclerosis, infections, and genetic disorders can cause them.
Are white spots on brain MRI a sign of a serious condition?
Yes, white spots on brain MRI can be a sign of serious conditions. They might be linked to cognitive decline, stroke, and dementia. But, their seriousness depends on their location and the person’s health.
How are white spots on brain MRI diagnosed?
First, doctors use imaging to find white spots on brain MRI. Then, they do more tests to find out why they are there. Understanding these findings is key.
Can lifestyle modifications impact white spots on brain MRI?
Yes, changing your lifestyle can help with white spots on brain MRI. Managing health risks like high blood pressure and diabetes is important.
What is the significance of the location of white patches on MRI brain scans?
Where white spots are on MRI brain scans matters a lot. Different spots can mean different things. For example, spots near the ventricles have different meanings than those deeper in the brain.
Are white spots on brain MRI common in older adults?
Yes, white spots on brain MRI are more common with age. They are very common in people over 60.
Can white spots on brain MRI be considered a normal finding?
Sometimes, white spots on brain MRI are normal. This is if they are small and not causing symptoms. But, it’s always best to check them out.
What are the treatment approaches for conditions associated with white spots on brain MRI?
Treatment depends on the cause of the white spots. It can include managing health risks, specific treatments, and lifestyle changes. Doctors also follow up to see how things are going.
How do MRI sequences affect the appearance of white matter hyperintensities?
MRI sequences can change how white spots look. Some sequences show them more clearly than others. Knowing this helps doctors understand what they see.
What is the difference between white dots on MRI and CT scans?
MRI is better at showing white dots or hyperintensities than CT scans. This makes MRI a top choice for checking these spots.
References
- Healthgrades (White Spots on a Brain MRI) : https://resources.healthgrades.com/right-care/brain-and-nerves/white-spots-on-a-brain-mri-what-it-means
- NCBI Bookshelf (White Matter Lesions) : https://www.ncbi.nlm.nih.gov/books/NBK562167
- NYU Langone (White Matter Lesion Mapping Tool) : https://nyulangone.org/news/white-matter-lesion-mapping-tool-identifies-early-signs-dementia
- Achilles Neurology (White Matter Lesions) : https://achillesneurology.com/conditions/white-matter-lesions
- Brain & Life (What Are White Matter Lesions?) : https://www.brainandlife.org/articles/what-are-white-matter-lesions-are-they-a-problem