
What causes lesions on the brain? Explore the causes, from infection and MS to tumors, and which types can potentially go away.
Brain lesions are damaged areas in the brain. They can happen from injury or disease. This is a big health issue for millions of people around the world.
A brain lesion is an area of the brain that’s injured or diseased. These spots can be harmless or very serious. They raise important questions about health and getting better.
Brain lesions can be caused by many things like stroke, infection, trauma, or disease. Knowing the symptoms and effects of brain lesions is key to managing and treating them. At Liv Hospital, we offer top-notch care for diagnosing and treating brain lesions. We focus on the patient and use the latest medicine.
Key Takeaways
- Brain lesions are areas of damaged brain tissue caused by injury or disease.
- Understanding the causes and symptoms of brain lesions is important for effective management.
- Brain lesions can range from harmless to very serious.
- Liv Hospital provides world-class care for diagnosing and treating brain lesions.
- Patient-centered care and innovative medicine are key to treating brain lesions.
Understanding Brain Lesions: Definition and Overview

A brain lesion is an area of brain tissue that has been damaged. This damage can come from injury, disease, or other causes. It can lead to different symptoms and outcomes.
What Are Brain Lesions?
Brain lesions are any damage or abnormality in brain tissue. They disrupt normal brain function. Causes include injuries, infections, autoimmune disorders, and vascular problems.
The impact of a brain lesion depends on its location, size, and cause.
Types of Brain Lesions: Lesions can vary in cause, appearance, and effect on the brain. They can be small and harmless or large and harmful, affecting brain function greatly.
How Common Are Brain Lesions?
Brain lesions are common, more so in the elderly or those with certain medical conditions. Studies show they become more common with age. Advanced imaging can detect them in many people.
| Population | Prevalence of Brain Lesions |
| General Population | Variable, often age-dependent |
| Elderly | Higher prevalence, often associated with age-related diseases |
| Patients with Specific Medical Conditions | Increased prevalence, condition-dependent |
Impact on Brain Function
Brain lesions can greatly affect brain function. This depends on the lesion’s location, size, and cause. Symptoms can include cognitive issues, motor problems, and changes in behavior or personality.
Functional Impact: The brain’s ability to compensate for damage can affect symptoms. In some cases, other brain areas may take over, leading to recovery or improvement.
Understanding brain lesions is key for diagnosing and managing related conditions. Recognizing causes and effects helps healthcare providers create effective treatment plans for each patient.
What Causes Lesions on the Brain?

It’s important to know what causes brain lesions to prevent and treat them. Brain lesions come from many sources, affecting brain health in various ways. We’ll look at the main causes, like injuries, infections, blood vessel problems, and autoimmune diseases.
Traumatic Brain Injuries
Traumatic brain injuries (TBI) are a big reason for brain lesions. The Centers for Disease Control and Prevention say over 64,000 people died from TBI in the U.S. in 2020. TBI damages brain tissue, causing lesions. The damage’s severity and impact depend on the injury.
Infections (Bacterial, Viral, and Parasitic)
Infections also cause brain lesions. Bacterial, viral, and parasitic infections harm the brain, leading to lesions. For example, meningitis and encephalitis can cause lesions because of the infection.
Vascular Issues and Strokes
Vascular problems, like strokes, are another big cause of brain lesions. Strokes can damage brain tissue, causing lesions. The size and location of these lesions affect brain function.
Autoimmune Disorders
Autoimmune disorders also cause brain lesions. Conditions like multiple sclerosis damage nerve coverings, leading to brain lesions. These lesions can disrupt brain function, causing symptoms.
Understanding these causes helps us diagnose, treat, and prevent brain lesions. Each cause has its own impact on patient care and management.
Types of Brain Lesions
It’s key to know about the different brain lesions for good care. These lesions vary in how serious they are and how they might affect you. They can be grouped based on their look and how they impact the brain.
White Matter Lesions
White matter lesions harm the brain’s white matter. This area has myelinated nerve fibers. These issues can come from aging, high blood pressure, or diseases like multiple sclerosis. They might also be caused by infections, injuries, or toxins.
Characteristics of White Matter Lesions:
- Demyelination or axonal loss
- Often appear as hyperintensities on MRI
- Can be asymptomatic or cause cognitive and motor symptoms
Tumors and Neoplasms
Tumors and neoplasms are abnormal growths in the brain. They can be either benign or malignant. These growths can cause problems because of their size, how they spread, or blockages in fluid pathways.
| Type of Tumor | Characteristics | Common Symptoms |
| Meningioma | Typically benign, slow-growing | Headaches, seizures |
| Glioblastoma | Malignant, aggressive | Headaches, confusion, seizures |
Inflammatory Lesions
Inflammatory lesions come from the brain’s immune response. This can happen due to infections, autoimmune diseases, or other reasons. These lesions can damage the brain through inflammation and tissue destruction.
Examples of Inflammatory Lesions:
- Multiple sclerosis plaques
- Encephalitis due to infection
- Granulomas in neurosarcoidosis
Ischemic Lesions
Ischemic lesions happen when a part of the brain doesn’t get enough blood. This is often due to a stroke or problems with blood vessels. These lesions can cause brain tissue to die and lead to neurological problems.
We’ve looked at the different brain lesions, like white matter lesions, tumors, inflammatory lesions, and ischemic lesions. Each type has its own traits and effects on the brain. This shows why it’s so important to get the right diagnosis and treatment.
Symptoms and Signs of Brain Lesions
It’s important to know the symptoms of brain lesions early. These can come from injuries, infections, or blood vessel problems. They can show up in many ways.
Physical Symptoms
Physical signs of brain lesions can differ a lot. They depend on where and how big the lesion is. Some common signs are:
- Headaches
- Numbness or weakness in parts of the body
- Difficulty with coordination and balance
- Seizures
These happen because the lesion messes with brain function. This can affect how our body works.
Cognitive and Behavioral Changes
Lesions can also change how we think and act. These changes might include:
- Memory problems
- Difficulty concentrating
- Changes in personality
- Confusion or disorientation
These changes can be hard for the person and their family. It shows why we need caring support.
When Small Brain Lesions Go Unnoticed
Small brain lesions might not show symptoms right away. This is true if they’re in parts of the brain not needed for daily tasks. Sometimes, they’re just a part of aging. But, it’s key to watch for any changes and talk to a doctor if you’re worried.
Warning Signs That Require Immediate Attention
Some symptoms need quick medical help. They could mean a serious or life-threatening issue. These include:
| Symptom | Description |
| Sudden severe headache | A sudden, extremely severe headache can be a sign of a serious condition such as a hemorrhagic stroke. |
| Confusion or altered consciousness | A sudden change in mental status can indicate a serious brain injury or condition. |
| Weakness or numbness | Sudden weakness or numbness, specially on one side of the body, can be a sign of a stroke. |
If you or someone you know has these symptoms, get medical help right away.
Diagnosing Brain Lesions
Diagnosing brain lesions needs a mix of clinical checks and advanced tools. It’s key to find the right treatment and know what to expect for patients.
Neurological Examination
The first step is a detailed neurological examination. This checks how well the brain works, including thinking, moving, feeling, and reflexes. It helps find where and what kind of brain lesion there is.
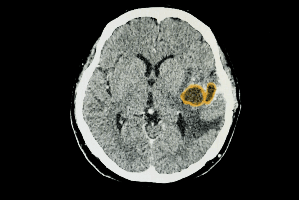
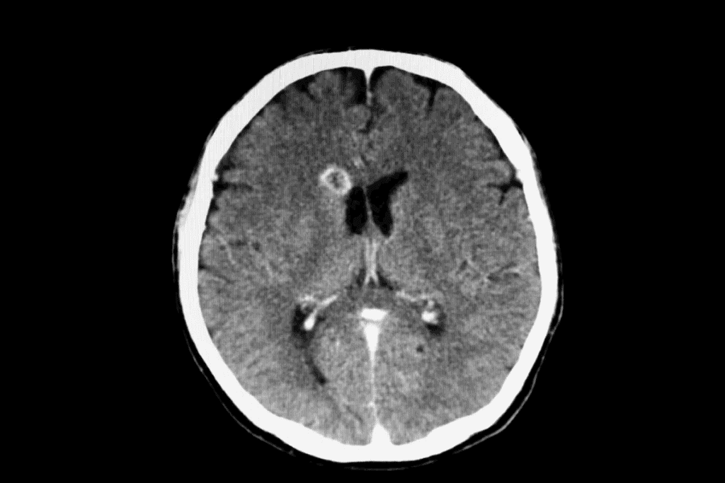
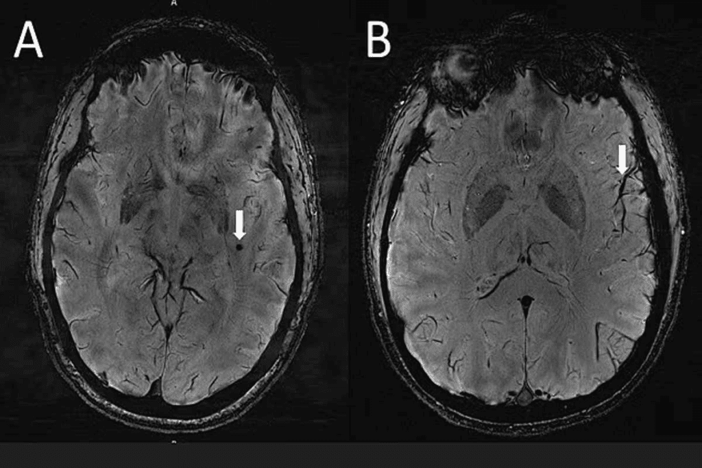
Imaging Techniques
Imaging techniques are vital for spotting brain lesions. The main ones are:
- Computed Tomography (CT) scans: CT scans give quick, detailed views of the brain. They help find lesions, bleeding, or other issues.
- Magnetic Resonance Imaging (MRI): MRI gives detailed images of the brain. It’s great for figuring out what kind of lesion it is, where it is, and how it affects the brain.
Laboratory Tests
Laboratory tests help find the cause of brain lesions, like infections or inflammation. These tests include:
- Blood tests to look for signs of infection, inflammation, or other conditions.
- Cerebrospinal fluid (CSF) analysis to spot infections or inflammation in the nervous system.
Biopsy Procedures
At times, a biopsy is needed for a clear diagnosis. This means taking a small piece of tissue from the lesion for study. The biopsy results help decide the best treatment.
By using these methods together, doctors can accurately find and treat brain lesions. They make a plan that fits each patient’s needs.
Treatment Options for Brain Lesions
Dealing with brain lesions requires a tailored approach. The type and severity of the lesion play a big role. We’ll look at the different ways to treat them, focusing on the need for a personalized plan.
Medication Approaches
For some brain lesions, medicine can be a good solution. We use antibiotics for bacterial infections, antiviral drugs for viruses, and anti-inflammatory medications to reduce swelling. For autoimmune disorders, immunosuppressive drugs help calm the immune system.
Surgical Interventions
Surgery is an option for lesions that can be safely removed. We perform surgical resection to take out tumors or lesions causing symptoms. Sometimes, stereotactic surgery is used, which uses advanced imaging for precise removal.
Radiation Therapy
Radiation therapy is used for lesions hard to reach surgically or for those not fit for surgery. We use external beam radiation therapy or stereotactic radiosurgery to target lesions with precise radiation, protecting the brain.
Managing Brain Inflammation and Swelling
Controlling brain inflammation and swelling is key in treating brain lesions. We often use corticosteroids to reduce swelling and inflammation. This helps improve symptoms and outcomes. Sometimes, anti-seizure medications are given to prevent seizures, a possible complication.
| Treatment Option | Description | Typical Use |
| Medication Approaches | Use of antibiotics, antivirals, anti-inflammatory, and immunosuppressive drugs | Infections, autoimmune disorders, inflammation |
| Surgical Interventions | Surgical resection or stereotactic surgery to remove lesions | Accessible tumors or lesions causing significant symptoms |
| Radiation Therapy | External beam radiation therapy or stereotactic radiosurgery | Lesions difficult to access surgically or in patients not suitable for surgery |
| Managing Inflammation | Use of corticosteroids and anti-seizure medications | Reducing inflammation and preventing seizures |
Can Brain Lesions Go Away? Healing and Recovery
Recovering from brain lesions is a complex journey. It depends on several factors, like the type and size of the lesion, and the treatment’s success. Some lesions can heal, but others might stay permanent.
Factors Affecting Healing
Several factors impact how well brain lesions can heal. These include the cause of the lesion, its size and location, and the patient’s health.
- Cause: Lesions from infections or inflammation might heal better than those from genetics or tumors.
- Size and Location: Smaller lesions in non-critical areas have a better chance of healing than larger ones or those in key areas.
- Patient’s Health: People with health issues or who are older might find it harder to recover from brain lesions.
Natural Recovery Process
In some cases, the body can heal from brain lesions naturally. This happens through reducing inflammation and repairing damaged tissue.
Supporting the natural recovery process includes:
- Rest and Rehabilitation: Getting enough rest and using targeted rehabilitation can help a lot.
- Medication: The right medication can manage symptoms and treat the cause.
- Lifestyle Changes: Eating well and exercising regularly can boost brain health.
When Lesions Are Permanent
Not all brain lesions can heal. Their permanence often depends on the cause and the extent of the damage.
| Cause | Likelihood of Permanence |
| Traumatic Brain Injury | Variable, depending on injury severity |
| Infections | Often reversible with treatment |
| Tumors | Depends on tumor type and treatment response |
Rehabilitation Strategies
Rehabilitation is key for recovering from brain lesions. Effective strategies include:
- Physical Therapy: To regain physical strength and mobility.
- Cognitive Therapy: To improve memory and concentration.
- Speech Therapy: To overcome speech and communication issues.
Understanding what affects healing and using the right rehabilitation can help patients recover better.
Prevention and Risk Reduction
To prevent brain lesions, we need to protect our brains from injury and manage health issues. Knowing what causes brain lesions helps us take steps to avoid them. This can help prevent these serious conditions.
Protecting Against Traumatic Brain Injuries
Traumatic brain injuries (TBI) are a major cause of brain lesions. Preventing TBI is key. We can do this by wearing helmets, using seatbelts, and making our homes safer.
- Wear protective gear during sports and high-risk activities.
- Ensure home safety to prevent falls, which are a big risk for the elderly.
- Follow traffic rules and use safety devices like airbags and seatbelts.
Managing Underlying Health Conditions
Health issues like heart disease and diabetes can raise the risk of brain lesions. Managing these conditions well can lower this risk. This includes taking medicine, making lifestyle changes, and regular check-ups.
| Condition | Management Strategy |
| High Blood Pressure | Medication, diet, exercise |
| Diabetes | Insulin therapy, diet, regular blood sugar monitoring |
| High Cholesterol | Statins, diet, exercise |
Lifestyle Factors That Affect Brain Health
Our lifestyle choices greatly impact our brain health. Living a healthy lifestyle can help prevent brain lesions. This means eating well, staying active, not smoking, and drinking less alcohol.
“A healthy lifestyle is not just about preventing disease; it’s about promoting overall well-being and improving our quality of life.”
— World Health Organization
Regular Screening for High-Risk Individuals
People at higher risk for brain lesions should get regular check-ups. Early detection can lead to early treatment. This can help prevent serious damage.
Conclusion
Understanding brain lesions is key to managing and treating them. These lesions are a big health issue worldwide. We’ve looked at their causes, symptoms, diagnosis, and treatment in this article.
Brain lesions can come from many things like head injuries, infections, blood vessel problems, and autoimmune diseases. Their symptoms can vary a lot. Doctors use tests like imaging and lab work to find them.
Whether brain lesions can disappear depends on several things. This includes the cause and how much damage there is. Some may heal, but others might stay forever. Treatments include medicines, surgery, radiation, and rehab.
As we learn more about brain lesions, preventing them is very important. We can lower the risk by avoiding head injuries, managing health issues, and living a healthy lifestyle. This helps protect the brain from lesions.
FAQ
What are brain lesions?
Brain lesions are damaged areas in the brain. They can happen due to injury, infection, or disease.
What causes lesions on the brain?
Brain lesions can come from injuries, infections, blood vessel problems, autoimmune diseases, and more.
Can lesions on the brain go away?
Yes, some brain lesions can heal or get better. This depends on the cause and treatment.
Are lesions on the brain common?
Brain lesions are fairly common. Their frequency changes based on the cause and who is studied.
What are the symptoms of brain lesions?
Symptoms vary. They can include physical issues, changes in thinking and behavior, and other brain problems. This depends on where and how severe the lesion is.
How are brain lesions diagnosed?
Doctors use exams, imaging, lab tests, and biopsies to find brain lesions.
Can brain lesions be treated?
Treatment varies by cause. It might include medicines, surgery, radiation, or managing swelling.
Can brain lesions heal naturally?
Sometimes, brain lesions can heal on their own. But it depends on the cause and how bad the lesion is.
What factors affect the healing of brain lesions?
Healing depends on the cause, severity, and treatment success.
How can brain lesions be prevented?
Preventing them means avoiding head injuries, managing health, living healthy, and screening for risks.
Are all brain lesions permanent?
No, not all are permanent. Some can get better with the right care and treatment.
What is the impact of brain lesions on brain function?
Lesions can greatly affect brain function. This leads to various problems, depending on the lesion’s location and severity.
References
National Center for Biotechnology Information. (2025). What Causes Brain Lesions and Can They Go. Retrieved from https://pmc.ncbi.nlm.nih.gov/articles/PMC6712987/