
Knowing what “aplastic” means is key in medicine, mainly when dealing with tissue and bone marrow health. At Liv Hospital, we focus on clear, patient-focused info.Find out what does aplastic mean in medical terms. Get the key definition, meaning, and crucial differences explained simply.
The word “aplastic” means an organ, tissue, or cell group that can’t grow, develop, or work properly. A big example is aplastic anemia. It’s a rare, serious blood disorder where the bone marrow fails, leading to low blood cells.
We’ll dive into what “aplastic” means in medicine, its effects on health, and how it differs from other terms. Knowing this is important for both patients and doctors.
Key Takeaways
- Aplastic means an organ or tissue can’t grow or work as it should.
- Aplastic anemia is a rare, serious condition where the bone marrow fails.
- Understanding “aplastic” is key to diagnosing and treating.
- Aplastic issues affect health in many ways, including bone marrow function.
- Clear info and patient-focused care are vital for managing aplastic conditions.
The Medical Definition of Aplastic

In medical terms, ‘aplastic’ means an organ or tissue doesn’t grow properly. This is key in studying diseases where tissues don’t form well.
Etymology and Origin of the Term
The word “aplastic” comes from Greek. ‘A-‘ means “without” and ‘plastikos’ means “formative.” So, it talks about a lack of growth or development.
Studying aplastic conditions, like aplastic anemia, shows they’re complex. They involve the immune system, genetics, and the environment.
Core Concept in Pathology
In pathology, “aplastic” means a tissue or organ can’t grow or function properly. This can happen in many parts of the body. It leads to different aplastic conditions.
Aplastic conditions are important in medicine. Knowing what they are helps doctors diagnose and treat them better. The term “aplastic” is a starting point for learning more about these conditions.
What Does Aplastic Mean in Clinical Medicine?

The term “aplastic” in clinical medicine describes conditions where organs or tissues don’t develop or function properly. Aplastic conditions are a big deal in healthcare. They can cause serious problems and lower the quality of life for patients.
Fundamental Definition and Context
In clinical medicine, “aplastic” means an organ or tissue can’t make new cells or work properly. This can happen for many reasons, like genetics, chemicals, or medical treatments. For example, aplastic anemia is when the bone marrow can’t make blood cells, causing serious health issues.
Application in Medical Diagnosis
Spotting aplastic conditions is key to the right treatment and care. Doctors use tests and imaging to find these conditions. Knowing the aplastic meaning helps doctors create a good treatment plan.
“Aplastic” is used in medicine for more than just aplastic anemia. It covers any condition where tissue or organ development is off. By understanding these conditions, doctors can give better care and improve patient outcomes.
Aplastic vs. Aplasia: Clarifying the Terminology
It’s important to know the difference between “aplastic” and “aplasia” for correct medical care. These terms are related but have different meanings. This is key for doctors and patients to understand.
Defining Aplasia in Medical Terms
Aplasia means an organ or tissue doesn’t grow right from the start. It can happen in many parts of the body, like the bone marrow or skin. Aplasia can cause serious health problems, depending on where it happens and how bad it is.
In medical books, aplasia is talked about in terms of its effects on the body. For example, aplasia in the bone marrow can cause aplastic anemia. This is when the bone marrow can’t make enough blood cells.
Key Differences and Relationships
“Aplastic” and “aplasia” both deal with underdevelopment or missing tissues or organs. But they’re not the same. “Aplastic” usually means the bone marrow can’t make blood cells, like in aplastic anemia. “Aplasia” is a wider term that can mean any organ or tissue doesn’t function properly.
| Term | Definition | Common Applications |
| Aplastic | Failure of the bone marrow to produce blood cells | Aplastic anemia |
| Aplasia | Failure of an organ or tissue to develop | Bone marrow aplasia, renal aplasia |
Knowing the difference between “aplastic” and “aplasia” is vital for the right diagnosis and treatment. By understanding the specific issue, doctors can give better care.
The Pathophysiology of Aplastic Conditions
Aplastic conditions involve complex cell and tissue interactions. They can stem from genetics or environmental factors.
Cellular and Tissue Mechanisms
Aplastic anemia is a key example. It happens when the bone marrow can’t make blood cells. This is often due to immune-mediated suppression and intrinsic stem cell defects.
The immune system plays a big role. It activates T cells that attack and destroy stem cells. This complex process involves many cytokines and cell interactions.
Congenital vs. Acquired Aplastic Disorders
Aplastic disorders can be either present at birth or develop later. Congenital aplastic disorders are genetic. Acquired aplastic disorders come from environmental factors or infections.
| Characteristics | Congenital Aplastic Disorders | Acquired Aplastic Disorders |
| Onset | At birth | Later in life |
| Causes | Genetic mutations | Environmental exposures, infections |
| Examples | Fanconi anemia | Aplastic anemia due to toxins or drugs |
Knowing the difference between congenital and acquired aplastic disorders is key. It helps in creating the right treatment plans. We will look deeper into these differences and their impact on patient care.
Common Aplastic Conditions in Clinical Practice
Aplastic anemia is a serious condition seen in clinics. It happens when the bone marrow fails to make blood cells. This leads to a big drop in blood cell production.
Aplastic Anemia: The Prototype Condition
Aplastic anemia affects people of all ages. It’s rare and can strike young adults and the elderly. The bone marrow fails to make blood cells, causing anemia, infections, and bleeding.
This condition is very serious and needs quick diagnosis and treatment. It can be caused by toxins, certain drugs, and viruses.
Other Notable Aplastic Disorders
There are other aplastic conditions seen in clinics. These affect different parts of the body, like the blood, skin, and bones.
- Pure red cell aplasia is when only red blood cells are affected.
- Some aplastic conditions are present at birth, while others develop later.
- Treating these conditions involves supportive care and sometimes stem cell transplants.
It’s important for doctors to know about aplastic conditions. This helps them give better care. By understanding these disorders, we can help patients more in clinics.
Aplastic Anemia: A Serious Condition
Aplastic anemia is a serious condition where the bone marrow doesn’t make enough blood cells. This leads to a lack of red blood cells, white blood cells, and platelets. Patients face infections, anemia, and bleeding problems.
Etiology and Pathogenesis
The causes of aplastic anemia vary. Some cases have no known cause, while others are inherited or caused by the environment. Inherited cases, like Fanconi anemia, are rare but important for genetic counseling.
Toxins, drugs, and viruses can also cause aplastic anemia. Chemicals like benzene and pesticides increase the risk. Some antibiotics and NSAIDs can also lead to this condition, though it’s rare.
Clinical Manifestations
The symptoms of aplastic anemia come from a lack of blood cells. Patients often feel tired, weak, and short of breath. They also get infections easily and may bruise or bleed a lot.
Patients may look pale and have spots or bruises on their skin. In severe cases, infections can be deadly.
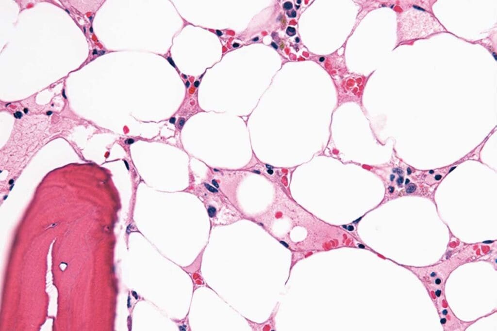
Diagnostic Criteria and Classification
Diagnosing aplastic anemia involves clinical checks, lab tests, and bone marrow exams. Blood tests show low counts of all blood cells.
A bone marrow biopsy is ktofor diagnosis. It shows a marrow with fewer cells and more fat. The severity of the condition is based on these findings.
Classification systems, like the Camitta criteria, help doctors decide on treatment. Knowing how to classify and diagnose is vital for patient care.
Aplasia Across Different Body Systems
Aplasia is a medical condition that can affect various body systems. It leads to different symptoms. We will look at how aplasia shows up in different parts of the body. We will also talk about what each case means.
Hematopoietic System Aplasia
Aplasia of the hematopoietic system is a serious issue. It affects the production of blood cells. This can cause aplastic anemia, where the bone marrow can’t make enough blood cells.
This leads to fatigue, infections, and bleeding problems. The hematopoietic system makes blood cells, like red and white blood cells, and platelets. Aplasia here can be very serious.
- Anemia from not enough red blood cells
- Being more likely to get infections because of low white blood cells
- Bleeding disorders from not enough platelets
Dermatological and Skeletal Manifestations
Aplasia can also affect the skin and bones. It can cause focal dermal hypoplasia. This is a rare genetic disorder that makes the skin underdeveloped and causes other problems.
| Condition | Description | Clinical Features |
| Focal Dermal Hypoplasia | A rare genetic disorder affecting skin development | Skin atrophy, pigmentation changes, and limb abnormalities |
| Skeletal Aplasia | Underdevelopment or absence of skeletal elements | Limb deformities, reduced bone density |
Reproductive and Developmental Aplasia
Aplasia can also affect reproductive and developmental processes. It can cause conditions like Mayer-Rokitansky-Küster-Hauser (MRKH) syndrome. This is when female reproductive organs are underdeveloped or missing.
Developmental aplasia can greatly affect a person’s life. It can impact their quality of life, and they may need a lot of medical help.
Diagnostic Approaches for Aplastic Conditions
Aplastic conditions are hard to diagnose. Getting the right diagnosis is key to managing them well. We will talk about how to diagnose aplastic conditions, including lab tests and other considerations.
Laboratory Investigations
Laboratory tests are essential for diagnosing aplastic conditions. They help figure out how severe the condition is and what might be causing it.
- Complete Blood Count (CBC): To check the levels of different blood cells.
- Bone Marrow Biopsy: To look at the bone marrow’s cells and shape.
- Cytogenetic Analysis: To find any chromosomal problems.
These tests are vital in finding out if someone has an aplastic condition and how bad it is.
Imaging and Specialized Testing
Imaging and special tests are also needed to diagnose and treat aplastic conditions well.
| Test | Purpose |
| X-rays | To check for skeletal problems linked to aplastic conditions. |
| CT Scan | To see how much organ damage or problems there are. |
| MRI | To look at bone marrow and soft tissue involvement. |
Differential Diagnosis Considerations
Differential diagnosis is very important in managing aplastic conditions. It helps tell these conditions apart from other disorders that might look similar.
We look at the following conditions when making a differential diagnosis:
- Myelodysplastic syndromes
- Aplastic anemia
- Other bone marrow failure syndromes
A thorough diagnostic approach makes sure patients get the right treatment for their condition.
Treatment Modalities for Aplastic Disorders
Aplastic disorders are a big challenge in medicine. They need different treatments based on each patient’s needs. The right treatment depends on the cause and how severe it is.
Pharmacological Interventions
Medicine plays a key role in treating aplastic disorders. Immunosuppressive therapy is used to stop the immune system from attacking the bone marrow. This is common in treating aplastic anemia.
We use different medicines to help. These include:
- Antithymocyte globulin (ATG)
- Cyclosporine
- Corticosteroids
These drugs help increase blood counts. They also lower the chance of serious problems from aplastic anemia.
Stem Cell Transplantation
Hematopoietic stem cell transplantation (HSCT) is a possible cure for severe aplastic anemia. It replaces the patient’s bone marrow with healthy stem cells from a donor.
| Treatment Aspect | Description |
| Donor Selection | HLA-matched donors are chosen to lower the risk of graft-versus-host disease (GVHD). |
| Conditioning Regimen | Patients get chemotherapy and/or radiation to clear out their bone marrow and weaken their immune system. |
| Stem Cell Infusion | The donor’s stem cells are given to the patient. They go to the bone marrow and start making blood cells. |
Emerging Therapeutic Approaches
New research is looking into aplastic disorders. It’s finding new ways to treat them. These include gene therapy, targeted treatments, and new medicines to calm down the immune system.
We’re also looking into regenerative medicine. It might help fix or replace damaged tissues in aplastic conditions.
Related Terms and Common Misunderstandings
It’s important to know the difference between “aplastic,” “aplasti,” “applasia,” and “aplagia.” These terms are related but mean different things. Knowing their meanings helps doctors give the right care to patients.
Similar Medical Terms: Aplasti, Applasia, and Aplagia
“Aplasti,” “applasia,” and “aplagia” are often mixed up because they sound and look similar to “aplastic.” Aplasia means an organ or tissue doesn’t grow properly. This is key in understanding some birth defects.
Aplasia is about not being able to show or feel emotions. It’s not about physical growth problems like aplastic conditions.
| Term | Definition | Clinical Relevance |
| Aplastic | Relating to or characterized by aplasia, mainly in bone marrow failure. | Aplastic anemia, where the bone marrow can’t make blood cells. |
| Aplasia | Failure of an organ or tissue to develop normally. | Congenital issues, like thymus or bone aplasia. |
| Aplagia | Inability to produce or express emotions. | Psychiatric issues, possibly linked to some brain disorders. |
Clarifying Frequent Misconceptions
Many think “aplastic” and “aplasia” mean the same thing. But “aplastic” usually means the bone marrow can’t make blood cells, like in aplastic anemia.
Some believe these conditions are always there from birth. But, they can also happen later due to toxins or medicines.
Doctors and patients need to understand these differences. This ensures the right diagnosis and treatment.
Recent Advances in Aplastic Condition Research
Advances in molecular biology have shed new light on aplastic disorders. Recent studies have greatly improved our understanding of these conditions. They have also opened up new treatment possibilities.
Molecular and Genetic Insights
Research has uncovered the molecular and genetic factors behind aplastic conditions. For example, studies have found specific genetic mutations that lead to aplastic anemia. Genetic analysis is now key in diagnosing and understanding aplastic conditions.
Also, new molecular diagnostics have helped find biomarkers for aplastic conditions. These biomarkers are important for early detection and tracking the disease. They could lead to better management strategies.
Novel Treatment Strategies
The treatment for aplastic conditions is changing, with new strategies being explored. Immunosuppressive therapy is showing promise, mainly for those with aplastic anemia who can’t have bone marrow transplants.
Also, gene therapy and stem cell therapy are being looked into as treatments. These new methods aim to fix the root causes of aplastic conditions. They offer hope for more effective and targeted treatments.
We’re seeing a big change in how aplastic conditions are managed, thanks to ongoing research and new treatments. As we learn more, we can expect better outcomes for patients.
Conclusion: The Clinical Significance of Aplastic Terminology
Knowing “aplastic” terms is key in medical care. It affects how we treat and manage patients. We’ve looked into what “aplastic” means, its differences, and how to diagnose it.
It’s vital to correctly identify and treat aplastic disorders. Knowing the cause helps us find the right treatments. This includes medicines and stem cell transplants.
As we learn more about aplastic conditions, we see how important accurate diagnosis and treatment are. Understanding “aplastic” terms helps doctors give better care. This improves patients’ lives.
The role of “aplastic terminology” in medical practice shows we need to keep learning. This ensures we can meet the complex needs of patients with aplastic disorders.
FAQ
What does “aplastic” mean in medical terms?
“Aplastic” means a condition where tissue doesn’t develop or function properly. This often leads to fewer cells or no cells at all.
What is the difference between “aplastic” and “aplasia”?
“Aplastic” usually means a condition or state. “Aplasia” means there’s no tissue or cells because of a failure to develop.
What is aplastic anemia?
Aplastic anemia is when the bone marrow can’t make blood cells. This leads to fewer red blood cells, white blood cells, and platelets.
What are the causes of aplastic anemia?
Aplastic anemia can happen for many reasons. These include toxins, certain medicines, viruses, and genetic issues.
How is aplastic anemia diagnosed?
Doctors use tests like blood counts and bone marrow biopsies to diagnose aplastic anemia. They also do genetic tests to understand the condition better.
What are the treatment options for aplastic anemia?
Treatment options include medicines to boost the immune system, blood transfusions, and stem cell transplants. The choice depends on the condition’s severity and cause.
Can aplastic conditions be congenital?
Yes, some aplastic conditions start at birth. They can come from genetic mutations or developmental issues during pregnancy.
What is the significance of understanding “aplastic” terminology in clinical practice?
Knowing “aplastic” terms is ktofor correct diagnosis and treatment. It helps ensure patients get the right care and support.
Are there any recent advances in the treatment of aplastic conditions?
Yes, new research in genetics and molecular science has brought new treatments. These include targeted therapies and gene editing, giving hope to those with aplastic conditions.
What is the difference between aplastic and hypoplastic?
Both terms talk about underdevelopment. But “aplastic” means a complete failure, while “hypoplastic” means a partial failure.
References
- Cuglievan, B., DePombo, A., & De Angulo, G. (2000). Aplastic anemia: The correct nomenclature matters. Pediatric Hematology Oncology, University of Texas MD Anderson Cancer Center. https://pmc.ncbi.nlm.nih.gov/articles/PMC5060039/