
We start by learning about the duodenal bulb, also called the duodenal cap or ampulla duodeni. It’s the first part of the duodenum. This area is about 2 centimeters long and is very important. It connects the stomach to the small intestine.
The duodenum is the first part of the small intestine. It’s a C-shaped tube, 25–38 centimeters long, right next to the stomach. The duodenal bulb is key in the digestive process. It helps move from stomach digestion to nutrient absorption.
Key Takeaways
- The duodenal bulb is the first part of the duodenum and a critical junction between the stomach and small intestine.
- It measures approximately 2 centimeters in length and is slightly dilated.
- The duodenal bulb is essential for the transition from gastric digestion to nutrient absorption.
- Understanding its anatomy and function is vital for appreciating its role in digestive processes.
- The duodenum is a C-shaped tube, 25–38 centimeters in length, adjacent to the stomach.
The Duodenal Bulb: Anatomy and Definition

Understanding the duodenal bulb is key to knowing the gastrointestinal tract’s anatomy. It’s the first part of the duodenum where the stomach’s contents enter the small intestine. We’ll look at its anatomy, including its names, size, and basic structure.
Alternative Names: Duodenal Cap and Ampulla Duodeni
The duodenal bulb is also called the duodenal cap or ampulla duodeni. These names are used in medical texts. “Duodenal cap” comes from its shape on X-rays, looking like a cap. “Ampulla duodeni” means it looks dilated.
Dimensions and Basic Structure
The duodenal bulb is about 2 cm (or 3/4 inch) long. It’s a bit wider than the rest of the duodenum. This part is important because it starts the duodenum and continues digestion from the stomach.
Characteristics | Dimensions/Description |
Length | Approximately 2 cm (3/4 inch) |
Shape | Slightly dilated |
Alternative Names | Duodenal cap, Ampulla duodeni |
Anatomical Location and Relationships

The duodenal bulb is right after the pyloric sphincter. It’s at the start of the duodenum, the first part of the small intestine. This spot is key in the digestive system.
Position Relative to the Pyloric Sphincter
The duodenal bulb is just after the pyloric sphincter. This sphincter is between the stomach and the small intestine. It’s important for digestion.
As “the pyloric sphincter acts as a gateway between the stomach and the small intestine”
Medical Expert, Gastroenterologist
, the duodenal bulb gets food from the stomach. This food is not fully digested yet.
Junction Between Stomach and Small Intestine
The duodenal bulb is where the stomach meets the small intestine. Here, the stomach’s food goes into the duodenum. This is where digestion and absorption happen.
This spot is not just important for anatomy. It’s also key for the digestive process to keep going.
Surrounding Structures and Boundaries
The duodenal bulb is near the liver, pancreas, and big blood vessels. It’s linked to the liver by the hepatoduodenal ligament. This ligament has the portal vein, hepatic artery, and common bile duct.
These structures and boundaries are vital for the duodenal bulb’s work. They help with digestion and overall health.
Knowing where the duodenal bulb is and its connections is key. It’s close to important organs like the liver and pancreas. Problems here can affect health a lot.
The Four Segments of the Duodenum
The duodenum is a complex part of our digestive system. It is divided into four segments, each with its own role. Understanding these segments is key to grasping the duodenum’s function.
First Part: The Duodenal Bulb
The first part, or duodenal bulb, is where food from the stomach goes. It is approximately 5 cm long and has a smooth surface. This part is important for digestion.
Now, let’s look at how each segment of the duodenum works together in digestion.
Second, Third, and Fourth Parts of the Duodenum
The second part is where bile and pancreatic ducts empty into the duodenum. This is a key step in digestion. The third part crosses the midline from right to left. The fourth part leads to the jejunum, the next part of the small intestine.
Here’s a table that shows the characteristics of each segment:
Segment | Name | Characteristics |
1st | Superior/Duodenal Bulb | Smooth mucosa, receives stomach contents |
2nd | Descending | Receives bile and pancreatic ducts |
3rd | Transverse | Crosses midline from right to left |
4th | Ascending | Leads to the jejunum |
As shown in the table, each segment of the duodenum has unique features. These features are essential for its role in digestion.
A renowned gastroenterologist says, “The duodenum’s complex anatomy, including its four segments, is fundamental to understanding its role in digestion and overall gastrointestinal health.”
“The duodenum’s complex structure allows it to play a vital role in digestion. It is a critical area of study for healthcare professionals.”
Vascular Supply and Innervation
Knowing how the duodenal bulb gets its blood and nerves is key to treating problems. This area is where the stomach meets the small intestine. It needs a good blood supply to work right.
Arterial Supply
The right gastric artery and right gastro-omental artery feed the duodenal bulb. These arteries bring oxygen and nutrients. This helps the duodenal bulb digest food well.
The right gastric artery comes from the hepatic artery. It helps the stomach and duodenal bulb. The right gastro-omental artery comes from the gastroduodenal artery. It helps the stomach’s greater curve and the duodenal bulb too.
A study on the duodenum’s anatomy says, “The duodenum’s rich blood supply shows its key role in digestion.”
The superior and inferior pancreaticoduodenal arteries also help. They show the duodenum’s complex blood network.
Venous Drainage and Neural Networks
The duodenal bulb’s veins match its arteries, with the right gastric vein and right gastro-omental vein going to the portal vein. This is important for blood flow and avoiding congestion. The nerves that control the duodenal bulb come from the autonomic nervous system.
Both sympathetic and parasympathetic nerves help it work. This complex system makes sure the duodenal bulb can digest food well.
Understanding the duodenal bulb’s blood and nerve system is important. It helps doctors and researchers find and treat problems.
Hepatoduodenal Ligament: A Critical Connection
It’s key to know about the hepatoduodenal ligament to understand how the liver and duodenum work together. This ligament is a part of the peritoneum that links the liver to the duodenum. It’s vital for our digestive health.
Key Structures within the Hepatoduodenal Ligament
The hepatoduodenal ligament holds three important parts: the portal vein, hepatic artery, and common bile duct. These are essential for our digestive system to work right.
- Portal Vein: It carries blood from the stomach, spleen, and pancreas to the liver.
- Hepatic Artery: This artery brings oxygen-rich blood to the liver.
- Common Bile Duct: It moves bile from the liver and gallbladder to the duodenum.
Functional Significance of the Hepatoduodenal Ligament
The ligament’s connection to other parts is very important. It helps the liver and duodenum exchange nutrients, waste, and more.
Structure | Function |
Portal Vein | It carries blood rich in nutrients to the liver. |
Hepatic Artery | This artery brings oxygen-rich blood to the liver. |
Common Bile Duct | It carries bile to the duodenum for digestion. |
We see how vital the hepatoduodenal ligament is for our digestive system. It supports the liver and duodenum, showing its key role in our health.
Physiological Functions of the Duodenal Bulb
Digestive processes start in the duodenal bulb, preparing for nutrient absorption. This part of the duodenum is key in the digestive system.
Role in Digestive Processes
The duodenal bulb continues gastric digestion and starts intestinal digestion. It mixes food from the stomach with intestinal secretions.
It also secretes hormones when food is present. These hormones help control digestion.
Hormone | Stimulus | Function |
Secretin | Acidic chyme | Stimulates pancreatic bicarbonate secretion |
Cholecystokinin (CCK) | Fatty and protein-rich chyme | Stimulates gallbladder contraction and pancreatic enzyme secretion |
Regulatory Mechanisms and Hormonal Interactions
The duodenal bulb is more than just a food passage. It plays a big role in regulatory mechanisms of digestion. Secretin and CCK are key in this.
These hormones work with other parts of the digestive system. For example, secretin makes the pancreas release fluids to neutralize acid.
Learning about the duodenal bulb’s functions shows its vital role in digestion. Its hormone secretion and interaction highlight the complex coordination of digestive processes.
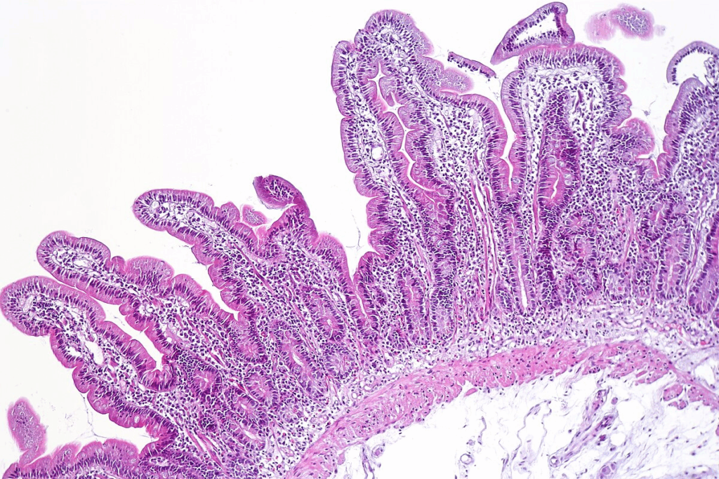
Brunner’s Glands: Protective Mechanisms
The duodenal bulb has special glands called Brunner’s glands. They are key for mucosal protection. These glands help protect the duodenal lining from the stomach’s acidic contents.
Distribution and Histological Features
Brunner’s glands are mainly found in the duodenal bulb’s submucosa. They are compound tubulor glands with a complex structure and secretory role. They are made of cuboidal or columnar epithelial cells full of mucinogen granules.
Secretory Functions and Mucosal Protection
Brunner’s glands mainly secrete a mucus-rich alkaline fluid with bicarbonate. This fluid neutralizes the stomach’s acidic chyme, protecting the duodenal mucosa. Their secretions are vital for the duodenal lining’s integrity and the digestive system’s proper functioning.
By creating this protective secretion, Brunner’s glands play a big role in the defense mechanisms of the gastrointestinal tract. Their function is critical in the duodenal bulb, where the stomach’s acidic contents first meet the intestinal mucosa.
The Major Duodenal Papilla and Biliary System
The major duodenal papilla is found in the duodenum’s descending part. It’s key for sending pancreatic and biliary secretions. This part helps release bile and pancreatic juices into the intestine, aiding digestion.
Anatomical Position in the Descending Duodenum
The major duodenal papilla is in the duodenum’s second part, or the descending duodenum. It’s important because it lets the pancreatic and bile ducts merge. This merge is vital for releasing digestive enzymes and bile into the intestine.
Role in Pancreatic and Biliary Secretion Delivery
The major duodenal papilla is the common exit for the pancreatic and common bile ducts. It releases pancreatic secretions full of digestive enzymes and bile from the liver into the duodenum. This helps in digesting and absorbing nutrients.
The teamwork between the pancreas, liver, and duodenum is essential for digestion. The major duodenal papilla is a key player. It makes sure digestive enzymes and bile reach the intestine on time.
Duodenal Bulb Ulcers: The Primary Pathology
Duodenal bulb ulcers are a big problem in gastroenterology. We will look at how common they are, what causes them, how they present, and how to diagnose them.
Prevalence Compared to Gastric Ulcers
Duodenal ulcers are more common than gastric ulcers. Research shows duodenal ulcers make up a big part of peptic ulcer disease. They are more common in some places than others.
Prevalence rates change based on Helicobacter pylori infection rates and NSAID use.
Causative Factors: Gastric Acid Secretion and Helicobacter pylori
The main causes of duodenal ulcers are too much gastric acid and Helicobacter pylori infection. Too much acid can hurt the mucosa.
- Helicobacter pylori infection weakens the duodenal mucosa’s protection.
- Other factors like NSAID use and genetics also play a role.
Clinical Presentation and Diagnostic Approaches
Duodenal ulcers often cause pain in the upper stomach, worse at night or when the stomach is empty. Doctors usually use endoscopy to see the ulcer.
Diagnostic approaches also include tests for Helicobacter pylori like breath tests or biopsies during endoscopy.
Other Clinical Conditions Affecting the Duodenal Bulb
The duodenal bulb faces more than just ulcers. We’ll look at other health problems that can hit this key part of our gut.
Inflammatory Conditions: Duodenitis and Crohn’s Disease
Duodenitis and Crohn’s disease can really mess with the duodenal bulb. Duodenitis is when the duodenum gets inflamed. This can happen due to infections, meds, or other reasons. We’ll talk about how it affects the duodenal bulb and its signs.
Crohn’s disease, a form of IBD, can also hit the duodenal bulb. But it usually targets other parts of the gut. The symptoms and problems it brings to the duodenal bulb can be serious and need careful handling.
Structural Abnormalities: Diverticula and Stenosis
Diverticula and stenosis can also trouble the duodenal bulb. Diverticula are pouches in the duodenum wall that can block food. We’ll look into why they happen and what they can cause.
Stenosis is when the duodenum gets too narrow. This can happen due to long-term inflammation or scarring. It can cause blockages and needs the right treatment.
Neoplastic Processes: Benign and Malignant
The duodenal bulb can also face tumors, both good and bad. We’ll cover the different kinds of tumors that can show up here. We’ll talk about their signs, how to find them, and how to treat them.
Benign tumors, like adenomas, can turn into cancer. Malignant tumors, like adenocarcinomas, can pop up in the duodenal bulb. They need quick diagnosis and treatment.
Knowing about these conditions is key to helping patients with duodenal bulb problems.
Conclusion: Clinical Significance of the Duodenal Bulb
Understanding the duodenal bulb is key to seeing its importance. It plays a big role in digestion and is linked to many health issues. This makes it a focus for doctors and healthcare workers.
The duodenal bulb is important in digestion and can get diseases like ulcers. Its role goes beyond its structure, affecting how doctors diagnose and treat patients.
Knowing how the duodenal bulb is involved in health issues helps us understand the digestive system better. This knowledge is vital for giving the best care to those needing advanced treatments.
The duodenal bulb’s importance shows we need more research and education. This will improve patient care and outcomes.
FAQ
What is the duodenal bulb?
The duodenal bulb is also known as the duodenal cap or ampulla duodeni. It’s the first part of the duodenum. It’s about 2 centimeters long and is a key spot where the stomach meets the small intestine.
Where is the duodenal bulb located?
You can find the duodenal bulb where the stomach meets the small intestine. It’s near the liver, pancreas, and major blood vessels. It’s also connected to the liver through the hepatoduodenal ligament.
What is the function of the duodenal bulb?
The duodenal bulb is important for digestion. It releases hormones that help with digestion and nutrient absorption. It also protects the mucosa from acidic stomach contents with the help of Brunner’s glands.
What are Brunner’s glands?
Brunner’s glands are special glands in the duodenum, mainly in the duodenal bulb. They secrete mucinous fluid to protect the mucosa from acidic stomach contents. This helps with digestion.
What is the major duodenal papilla?
The major duodenal papilla is a key structure in the descending duodenum. It’s where pancreatic and biliary secretions are released into the intestine. This is vital for digestion and nutrient absorption.
What are duodenal bulb ulcers?
Duodenal bulb ulcers are a type of peptic ulcer in the duodenal bulb. They’re often caused by Helicobacter pylori infection and gastric acid secretion. They can cause serious symptoms and complications.
What other clinical conditions can affect the duodenal bulb?
The duodenal bulb can be affected by many conditions. These include inflammatory conditions like duodenitis and Crohn’s disease. It can also be affected by structural abnormalities like diverticula and stenosis, and by neoplastic processes, both benign and malignant.
What is the hepatoduodenal ligament?
The hepatoduodenal ligament connects the duodenal bulb to the liver. It contains important structures like the portal vein, hepatic artery, and common bile duct. These structures are vital for digestion and nutrient absorption.
How is the duodenal bulb supplied with blood?
The duodenal bulb gets its blood from the right gastric artery and right gastro-omental artery. These arteries are key for its function and overall digestive health.
References:
National Center for Biotechnology Information. Evidence-Based Medical Guidance. Retrieved from https://www.ncbi.nlm.nih.gov/books/NBK482390/