
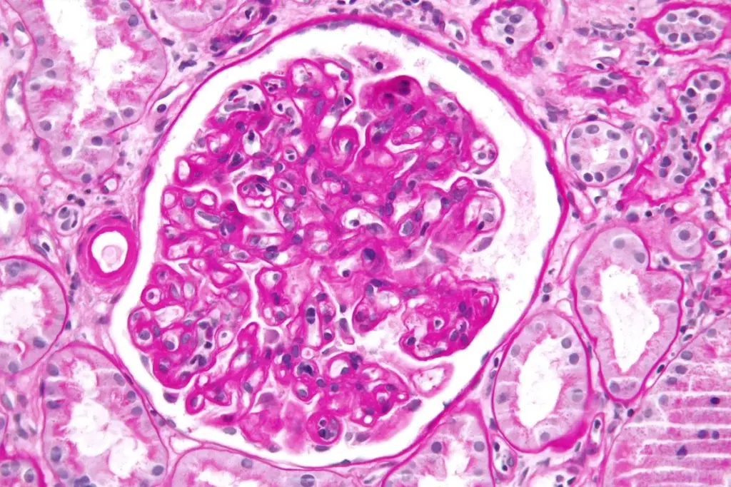
The glomerulus is a network of specialized capillaries at the heart of the kidney. It’s a key part of the nephron, the kidney’s main unit. It filters blood to make urine, keeping important stuff like proteins and blood cells.
In the kidney, the glomerulus teams up with Bowman’s capsule to create the renal corpuscle. Each kidney has about 1 million nephrons, with one glomerulus in each. Knowing where and how it works helps us see its vital role in our health.
Key Takeaways
- The glomerulus is a network of capillaries that filters blood in the kidney.
- It is a critical part of the nephron, the kidney’s functional unit.
- The glomerulus works with Bowman’s capsule to form the renal corpuscle.
- There are approximately 1 million nephrons in each kidney, each containing a glomerulus.
- Understanding the glomerulus is essential for recognizing its role in maintaining health.
Understanding the Glomerular Kidney Structure

To understand how kidneys work, we must know about the glomerulus. It’s a key part of the nephron, which filters waste and extra fluids from blood.
Definition and Location Within the Nephron
The glomerulus, or glomeruli when there are many, is a cluster of capillaries in the nephron. It’s surrounded by Bowman’s capsule, a structure that catches the filtrate from the capillaries. The glomerulus is at the nephron’s start, where it filters blood first.
The Three Layers of the Filtration Barrier
The glomerulus filters blood well thanks to a special barrier. This barrier has three main layers:
- fenestrated endothelial cells with pores of 70 to 100 nanometers,
- the glomerular basement membrane made of type IV collagen, laminins, and proteoglycans,
- specialized podocytes with foot processes and slit diaphragms.
These layers filter blood well, keeping important proteins and blood cells in.
Relationship with Bowman’s Capsule
The Bowman’s capsule is close to the glomerulus. It’s covered by podocytes that let fluid into the nephron. This connection is key for blood filtration and collecting the filtrate, which becomes urine.
The glomerulus and Bowman’s capsule’s structure shows their vital role in kidney function. Knowing about them helps us understand how kidneys keep us healthy.
Function and Filtration Process of the Glomerulus
It’s important to know how the glomerulus works to understand kidney function. The glomerulus is a group of capillaries that filters waste and excess fluids. It starts the urine-making process through ultrafiltration.
Dual Arteriole Arrangement
The glomerulus filters blood well thanks to its dual arteriole arrangement. Blood comes in through the afferent arteriole and goes out through the efferent arteriole. This setup creates high pressure for ultrafiltration.
- The afferent arteriole brings blood to the glomerulus.
- The efferent arteriole takes blood away from the glomerulus.
- This arrangement creates the necessary pressure for filtration.
Ultrafiltration Process
The renal ultrafiltration process is how glomerular filtration works. Hydrostatic pressure pushes the filtrate out of the capillaries and into the nephron. This process removes fluid, ions, glucose, and waste products from the glomerular capillaries.
- Hydrostatic pressure pushes filtrate out of the capillaries.
- The filtrate contains fluid, ions, glucose, and waste products.
- The filtrate then moves into the nephron for further processing.
Daily Filtration Capacity
Both kidneys produce about 180 liters of primary urine daily. This shows how vital the glomerulus is for our health. Its ability to filter waste and excess substances is key.
The glomerulus is a critical part of the kidney’s filtration system. Its efficient work is essential for our well-being.
Conclusion: The Critical Role of Glomeruli in Kidney Health
The glomerulus is key to keeping us healthy by filtering blood and making urine. It’s a vital part of the kidney that helps remove waste and extra fluids from our body.
Damage to the glomeruli can really hurt our kidneys. Problems like glomerulonephritis can make it hard for the kidneys to work right. This is because waste and blood cells can leak into the urine. Knowing how the glomerulus works helps us see its importance for our health.
It’s important to keep our kidneys, and the glomeruli, healthy. This helps our kidneys work well and keeps us feeling good. Taking care of our glomeruli is essential for our overall health.
FAQ’s:
What is a glomerulus?
The glomerulus is a network of tiny blood vessels (capillaries) in the kidney that filters blood.
It is a key structure in the nephron responsible for initiating urine formation.
Where is the glomerulus located in the kidney?
The glomerulus is located inside Bowman’s capsule in the renal cortex of each nephron.
Each kidney contains approximately 1 million glomeruli.
What is the function of the glomerulus?
Its main function is to filter blood, removing waste products, excess salts, and water.
This filtration produces the initial fluid that eventually becomes urine.
What are the three layers of the filtration barrier in the glomerulus?
The filtration barrier consists of the fenestrated endothelium, glomerular basement membrane, and podocyte layer with slit diaphragms.
These layers selectively allow water and small solutes to pass while retaining blood cells and large proteins.
How does the glomerulus work with Bowman’s capsule?
Filtered fluid from the glomerulus enters Bowman’s capsule to form the glomerular filtrate.
Bowman’s capsule channels this filtrate into the renal tubules for further processing.
What is the unique dual arteriole arrangement in the glomerulus?
The glomerulus has an afferent arteriole bringing blood in and an efferent arteriole carrying blood out.
This dual arteriole system helps maintain high pressure for effective filtration.
What is the daily filtration capacity of the glomerulus?
The glomeruli filter about 180 liters of blood plasma per day in a healthy adult.
Most of this filtrate is reabsorbed in the renal tubules, leaving only 1–2 liters as urine.
What is the role of the glomerular capillaries?
Glomerular capillaries provide a large surface area and high pressure for efficient filtration.
They selectively allow water, ions, and small molecules to pass into Bowman’s capsule.
What is the significance of the glomerulus in maintaining overall health?
It regulates fluid balance, electrolyte levels, and waste removal, which are vital for homeostasis.
Proper glomerular function is essential for blood pressure control and preventing toxin buildup.
What is the difference between glomerulus and glomeruli?
“Glomerulus” refers to a single capillary network in the kidney.
“Glomeruli” is the plural form, referring to multiple glomerular structures.
References:
National Center for Biotechnology Information. Evidence-Based Medical Insight. Retrieved from https://pmc.ncbi.nlm.nih.gov/articles/PMC6627351/