What Is a Normal Rheumatoid Factor Range?

Written by
Işıl Yetişkin
Işıl Yetişkin Liv Hospital Content Team
Medically reviewed by
LIV Hospital Expert Healthcare
...
Views
Read Time
What Is a Normal Rheumatoid Factor Range?
What Is a Normal Rheumatoid Factor Range? 4

Knowing your rheumatoid factor level is key for diagnosing and managing rheumatoid arthritis. Many patients get confused about their lab results. They wonder if their values show disease or are within a normal range.

The normal rheumatoid factor range is usually between 0-20 IU/ml. But, this can change a bit depending on the lab. A result of 15 IU/ml is right on the edge of normal and abnormal. This shows how important it is to understand your test results carefully.

At Liv Hospital, we offer trusted, patient-focused diagnostic services. We connect your lab results to full care.

Key Takeaways

  • Normal rheumatoid factor range is typically between 0-20 IU/ml.
  • A value of 15 IU/ml is at the boundary of normal and abnormal.
  • Laboratory results can vary slightly, affecting the interpretation.
  • Understanding your rheumatoid factor level is key for managing rheumatoid arthritis.
  • Liv Hospital provides detailed diagnostic services for international patients.

Understanding Rheumatoid Factor and Its Significance

Understanding Rheumatoid Factor and Its Significance
What Is a Normal Rheumatoid Factor Range? 5

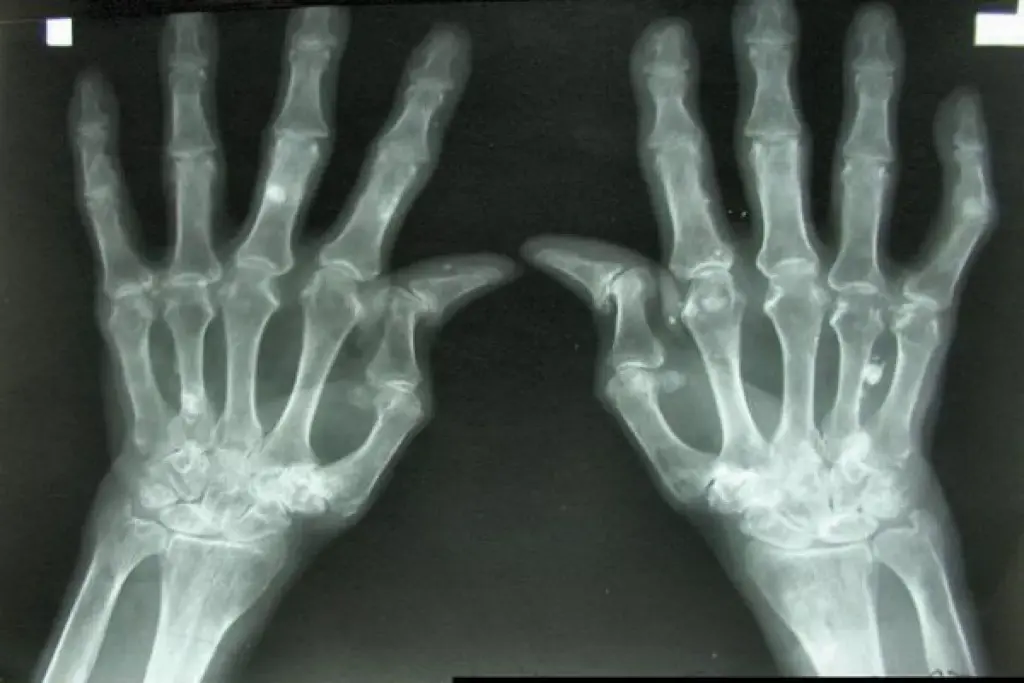
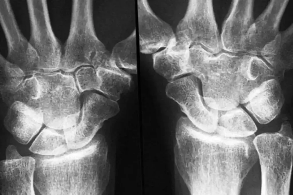
Knowing about rheumatoid factor is key for spotting autoimmune diseases. This autoantibody is made by the immune system. It’s important for diagnosing rheumatoid arthritis and other autoimmune diseases.

What Is Rheumatoid Factor?

Rheumatoid factor is an antibody that targets IgG antibodies. It’s common in people with rheumatoid arthritis, a chronic disease that mainly hits the joints. RF can show autoimmune activity, but it’s not just for rheumatoid arthritis. It also shows up in lupus or Sjögren’s syndrome.

The Role of RF in Diagnosing Autoimmune Conditions

RF is very important for diagnosing autoimmune diseases. High RF levels often mean the disease is more active and severe. But, remember, RF alone can’t confirm rheumatoid arthritis. It’s one of many things doctors look at.

How Rheumatoid Factor Testing Works

Rheumatoid factor testing is done with a blood test. A blood sample is taken and checked for RF. The test results help doctors diagnose and keep track of autoimmune diseases. The RF level can change, and what it means depends on the lab and the patient’s situation.

In short, understanding rheumatoid factor is essential for diagnosing and managing autoimmune diseases. By knowing how RF works and is tested, doctors can better help patients with rheumatoid arthritis and similar conditions.

Normal and Abnormal RA Factor 15 Results Explained

Normal and Abnormal RA Factor 15 Results Explained
What Is a Normal Rheumatoid Factor Range? 6

Knowing what a rheumatoid factor (RF) test result means is key for treating autoimmune diseases. A result of 15 is interesting because it’s right on the edge of what’s considered normal by some labs.

Standard Reference Ranges for RF

What’s considered normal for RF can differ a lot between labs. Some say anything under 14 IU/ml is okay, while others might say up to 20 IU/ml or more.

It’s important to remember these differences when looking at RF test results. For example, a result of 15 might be seen as a bit high in some labs but perfectly fine in others.

Interpreting a Rheumatoid Factor of 15

A result of 15 is right on the line between normal and not normal, depending on the lab. This might lead to more tests or a closer look at the patient’s health to figure out what it means.

Also, a result of 13 is usually okay, but it depends on the bigger picture. Symptoms or other test results can change how this value is seen.

Laboratory Variations in RF Testing

Different labs use different ways to test RF, which can change the results. It’s important for doctors to know how their lab works and what they consider normal.

Getting these details right is key for making the right diagnosis and treatment plan. When a test result is close to the line, like 15, it’s even more important to look at the whole picture.

Clinical Significance of Rheumatoid Factor Levels

Rheumatoid factor (RF) is key in diagnosing and managing autoimmune diseases, like rheumatoid arthritis. Its levels show how severe the autoimmune activity is.

High RF levels mean the disease is getting worse. They also raise the risk of rheumatoid nodules and lung problems. Research shows that higher RF levels are linked to a poorer prognosis in rheumatoid arthritis. This highlights the importance of a detailed approach to diagnosis and treatment.

It’s vital to understand RF test results in the context of the patient’s overall health. Knowing what normal RF values are helps doctors spot abnormal results. This allows them to create specific treatment plans.

By looking at the normal rheumatoid factor values and the patient’s levels, we can track the disease’s progress. This helps doctors adjust treatments to better meet the patient’s needs. This approach leads to more personalized care and better health outcomes for patients.

FAQ’s:

What is a normal rheumatoid factor range?

Normal RF levels are typically below 14 IU/mL, though ranges can vary by lab.

What does a rheumatoid factor of 15 mean?

An RF of 15 IU/mL is slightly above normal and may suggest possible autoimmune activity but is not diagnostic alone.

How is rheumatoid factor testing conducted?

RF testing is performed by analyzing a blood sample using assays like ELISA, nephelometry, or latex agglutination.

What does a high rheumatoid factor level indicate?

High RF levels may indicate rheumatoid arthritis, other autoimmune diseases, or chronic infections.

Can different laboratories have different reference ranges for rheumatoid factor?

Yes, reference ranges can vary depending on the laboratory and testing method used.

How do rheumatoid factor levels impact disease diagnosis and management?

RF levels help support diagnosis, assess disease severity, and guide treatment decisions when combined with clinical findings.

What is the significance of interpreting rheumatoid factor test results in the context of overall clinical presentation?

RF results must be considered alongside symptoms, imaging, and other tests to accurately diagnose or manage disease.

How do high rheumatoid factor levels impact disease progression and complications?

High RF levels may correlate with more aggressive disease, increased joint damage, and higher risk of complications.

 References:

National Center for Biotechnology Information. Evidence-Based Medical Insight. Retrieved from https://pmc.ncbi.nlm.nih.gov/articles/PMC11900400/

Trusted Worldwide
30
Years of
Experience
30 Years Badge

With patients from across the globe, we bring over three decades of medical

LIV Hospital Expert Healthcare
Patient Reviews
Reviews from 9,651
4,9

Get a Free Quote

Response within 2 hours during business hours

Clinics/branches
GDPR
Was this content helpful?
Your feedback helps us improve.
What did you like?
Share more details about your experience.
You must give consent to continue.

Thank you!

Your feedback has been submitted successfully. Your input is valuable in helping us improve.

Our Doctors

Op. MD. Nikola Azar

Op. MD. Nikola Azar

Prof. MD. Tolga Aksu

Spec. MD. ELXAN MEMMEDOV

Spec. MD. ELXAN MEMMEDOV

Op. MD. Seyithan Özaydın

Op. MD. Seyithan Özaydın

MD. KAMRAN NAĞIYEV

MD. KAMRAN NAĞIYEV

Prof. MD. Yaşar Çokkeser

Prof. MD. Yaşar Çokkeser

Prof. MD. Adnan Sayar

Prof. MD. Adnan Sayar

Spec. MD. Doğa Sevinçok

Spec. MD. Doğa Sevinçok

Prof. MD. Volkan Tuğcu

Prof. MD. Volkan Tuğcu

Spec. MD. RAMİN QELENDEROV

Asst. Prof. MD. Himmet Bora Uslu

Asst. Prof. MD. Himmet Bora Uslu

Spec. MD. Murat Benzer

Spec. MD. Murat Benzer

Need Help? Chat with our medical team

Let's Talk on WhatsApp

📌

Get instant answers from our medical team. No forms, no waiting — just tap below to start chatting now.

or call us at +90 530 510 71 24