
Tubulointerstitial nephritis is a kidney issue that causes inflammation and damage. This can really hurt your kidney’s function. If not treated, it can lead to serious health problems.
At Liv Hospital, we are dedicated to giving top-notch care for those with kidney diseases like tubulointerstitial nephritis. We make sure each patient gets care that fits their needs.
It’s important to know about tubulointerstitial nephritis early. This can help stop long-term damage and failure of the kidneys. We’ll look into what causes it, its symptoms, and how to treat it. This info is helpful for both patients and doctors.
Key Takeaways
- Tubulointerstitial nephritis is a kidney disease that involves inflammation and damage to the kidney tubules and surrounding tissues.
- This condition can be caused by allergic reactions, diseases, or medications and toxins that damage the kidneys.
- Early detection and treatment are essential to prevent permanent kidney damage and kidney failure.
- At Liv Hospital, we provide complete care for patients with kidney diseases, including tubulointerstitial nephritis.
- A patient-centered approach ensures personalized treatment and support for each individual.
Understanding Tubulo Interstitial Nephritis

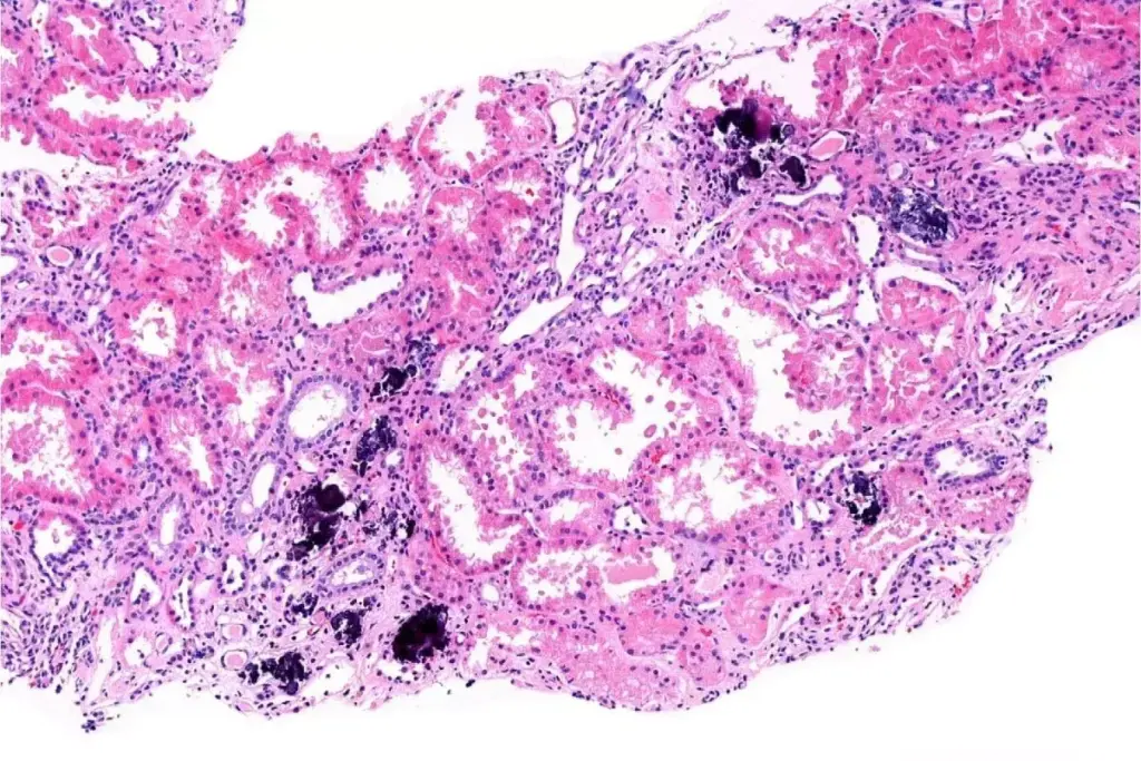
Tubulointerstitial Nephritis, or TIN, is a kidney problem. It causes inflammation in the tubules and the tissue around them. This can really hurt how well the kidneys work. The kidneys are key for filtering waste and keeping the body healthy.
Definition and Kidney Structure
The kidneys are made up of many parts, like nephrons, glomeruli, and tubules. Nephrons filter waste and extra fluids from the blood. Glomeruli are tiny blood vessels in the nephrons where blood first gets filtered. Tubules adjust the filtered liquid, bringing back what the body needs and getting rid of waste.
The interstitial tissue is around the tubules and glomeruli. It helps hold the kidney together. TIN makes this tissue and the tubules inflamed, which messes up the kidney’s work.
How TIN Affects Normal Kidney Function
TIN makes it hard for the kidneys to filter waste and keep electrolyte levels right. When the tubules get damaged, the kidneys can’t reabsorb nutrients and electrolytes well. This can cause problems with electrolyte levels and how well the kidneys can make concentrated urine.
The table below shows how TIN affects kidney function. It compares normal kidney function to what happens when TIN is present:
| Kidney Function | Normal Kidney Function | Kidney Function with TIN |
| Electrolyte Balance | Maintains correct levels of electrolytes | May have imbalanced electrolyte levels |
| Urine Concentration | Concentrates urine effectively | May have difficulty concentrating urine |
| Waste Removal | Efficiently removes waste from the blood | May have reduced efficiency in waste removal |
Knowing how the kidneys work and how TIN affects them is important. It helps us understand why TIN is a big deal and why we need to treat it right.
Types of Tubulointerstitial Nephritis

TIN comes in two main types: acute and chronic. Each has its own traits. Knowing these differences helps doctors diagnose and treat better.
Acute Tubulointerstitial Nephritis
Acute TIN starts suddenly. It often happens when the body reacts to certain drugs, like antibiotics or NSAIDs. Symptoms include rash, fever, and joint pain, along with a drop in kidney function. It’s key to find and stop the drug causing the problem quickly.
Chronic Tubulointerstitial Nephritis
Chronic TIN grows over time. It can be caused by long-term use of certain drugs, toxins, or conditions like chronic pyelonephritis or vesicoureteral reflux. If not treated, it can cause permanent kidney damage.
Common Causes of Tubulo Interstitial Nephritis
Tubulointerstitial nephritis (TIN) can come from many sources. These include some medicines, infections, and autoimmune diseases. Knowing these causes helps doctors diagnose and treat TIN better.
Medication-Induced TIN
Medicines are a big reason for TIN. About 70% of acute TIN cases are caused by drugs. The main offenders are:
- Antibiotics, like penicillins and cephalosporins
- Nonsteroidal anti-inflammatory drugs (NSAIDs)
- Proton pump inhibitors (PPIs)
These drugs can cause TIN through allergic reactions. Stopping the drug quickly is important for treating TIN caused by medicines.
Infection-Related Causes
Infections are another big reason for TIN. Bacterial, viral, and fungal infections can harm the kidneys. This can happen when the infection directly attacks the kidney or when the body’s immune system fights it.
It’s very important to catch and treat the infection early to avoid kidney damage.
Autoimmune Disorders
Autoimmune diseases, where the body attacks itself, can also cause TIN. Conditions like Sjögren’s syndrome and sarcoidosis are linked to TIN.
Managing the autoimmune disease is key to treating TIN. This usually means using drugs to calm down the immune system’s attack on the kidneys.
Understanding TIN’s causes helps doctors give better care. This leads to better results for patients.
Symptoms, Diagnosis and Management of TIN
It’s important to know the symptoms and how to diagnose tubulointerstitial nephritis (TIN). We’ll look at common symptoms, how doctors diagnose it, and treatment choices.
Recognizing TIN Symptoms
TIN can cause fever, rash, and changes in urine output. These signs can be hard to spot. People might also feel fatigue, nausea, and flank pain.
A study in a medical journal said that
This shows why a detailed check-up is key.
Diagnostic Approaches
To find TIN, doctors use lab tests, imaging, and sometimes a kidney biopsy. Lab tests check serum creatinine levels, urinalysis, and blood tests to see how the kidneys are doing.
| Diagnostic Test | Purpose |
| Serum Creatinine | Assess kidney function |
| Urinalysis | Identify abnormalities in urine |
| Kidney Biopsy | Confirm diagnosis of TIN |
Treatment Options and Kidney Health Maintenance
TIN treatment depends on the cause. It might mean stopping certain medicines or managing other health issues. Sometimes, corticosteroids are used to lessen inflammation. Keeping the kidneys healthy is also vital.
Managing TIN well needs a full plan. This includes teaching patients and regular check-ups. Knowing the symptoms, how to diagnose, and treatment helps keep kidneys healthy.
Conclusion
Tubulointerstitial nephritis (TIN), also known as interstitial kidney disease, affects the kidneys’ tubules and tissue. We’ve talked about how TIN can cause serious kidney issues, like acute kidney failure. It’s key to spot and treat it early to avoid lasting harm.
The reasons for TIN vary, like side effects from medicines, infections, and autoimmune diseases. Spotting the signs and diagnosing TIN correctly is vital for managing it well.
Knowing about TIN, its causes, symptoms, and treatments helps patients protect their kidneys. If you notice symptoms or worry about your kidney health, seeing a doctor is important. It helps prevent serious damage and ensures TIN is managed properly.
FAQ
What is Tubulointerstitial Nephritis (TIN)?
Tubulointerstitial nephritis (TIN) is inflammation of the kidney’s tubules and surrounding interstitial tissue. It can impair kidney function and lead to acute or chronic kidney problems.
What are the main types of Tubulointerstitial Nephritis?
The main types are acute TIN, which develops suddenly, and chronic TIN, which progresses gradually. Both types can result from medications, infections, or autoimmune conditions.
What causes Tubulointerstitial Nephritis?
TIN is commonly caused by drug reactions (NSAIDs, antibiotics), infections, autoimmune diseases, toxins, or systemic inflammatory disorders. Sometimes the cause is idiopathic.
What are the symptoms of Tubulointerstitial Nephritis?
Symptoms include fatigue, decreased urine output, fever, rash, nausea, flank pain, and swelling. Lab tests may show elevated creatinine, proteinuria, or hematuria.
How is Tubulointerstitial Nephritis diagnosed?
Diagnosis involves blood tests, urinalysis, imaging, and sometimes kidney biopsy. A thorough medical history, including recent medication use, helps identify the cause.
What are the treatment options for Tubulointerstitial Nephritis?
Treatment focuses on removing the offending drug or treating infections, along with supportive care like hydration. Corticosteroids may be used for immune-mediated cases.
Can Tubulointerstitial Nephritis lead to chronic kidney disease?
Yes, if untreated or severe, TIN can cause scarring, chronic kidney disease, and permanent loss of kidney function. Early intervention improves outcomes.
How can Tubulointerstitial Nephritis be prevented?
Prevention includes avoiding nephrotoxic drugs, promptly treating infections, monitoring kidney function in at-risk patients, and managing autoimmune or inflammatory conditions.
References
National Center for Biotechnology Information. Evidence-Based Medical Insight. Retrieved from https://pubmed.ncbi.nlm.nih.gov/40947147/