
At Liv Hospital, we know how key it is to accurately find inguinal hernias for the best care. Advanced imaging is vital for precise diagnoses and top-notch service. CT scans are a key tool, showing detailed views of the body’s structures. This is key for treatment planning.
CT scans can spot inguinal hernias well, with a success rate of 92-98 percent. But, they might miss smaller or hidden hernias because of their moderate sensitivity. The Valsalva maneuver can help make CT scans better at finding hernias. We’ll look into how well CT scans work for diagnosing inguinal hernias and their limits.
Will a CT scan show a hernia? Get the best, true answer. Learn how accurately CTs detect inguinal hernias and what their limits are.
Key Takeaways
- CT scans can detect inguinal hernias with high specificity.
- Moderate sensitivity of CT scans may lead to missing smaller hernias.
- The Valsalva maneuver can improve CT scan detection accuracy.
- Advanced imaging is key for accurate diagnosis and treatment planning.
- Liv Hospital uses advanced imaging for world-class patient care.
Understanding Inguinal Hernias: Anatomy and Presentation

To diagnose and manage inguinal hernias, knowing their anatomy and symptoms is key. These hernias happen when the intestines bulge through a weak spot in the lower belly. This area is called the inguinal canal. It’s a complex issue that needs a deep understanding of its anatomy and symptoms.
Common Types of Inguinal Hernias
There are two main types of inguinal hernias: indirect and direct. Indirect inguinal hernias happen when tissue bulges through a weak spot in the abdominal muscles in the inguinal canal. This often comes from a birth defect. Direct inguinal hernias occur when tissue pushes through a weak spot in the abdominal wall in the inguinal canal. This is usually due to acquired weakness.
A leading medical journal notes, “The difference between indirect and direct inguinal hernias is key for surgery planning and patient care.” Knowing these differences is vital for effective treatment.
Symptoms and Clinical Presentation
Symptoms of inguinal hernias vary. Common signs include a bulge in the groin, pain or discomfort (when coughing, lifting, or bending), and a feeling of heaviness or aching. Some people may not have symptoms, while others may have severe pain that interferes with daily life.
The way a hernia presents can also vary. Some hernias can be pushed back into the abdomen, while others may need urgent medical help. Doctors stress, “Recognizing symptoms and presentation early is vital for timely treatment and avoiding complications.”
The Diagnostic Challenge of Inguinal Hernias

Diagnosing inguinal hernias is tough, often because exams don’t give clear answers. It’s hard to spot these hernias because of how they affect people and the limits of exams.
Inguinal hernias are tricky to diagnose because their symptoms can be like other health issues. This makes it important to use a detailed approach. Sometimes, we need to use special imaging tests to get a clear diagnosis.
When Clinical Examination Is Inconclusive
Doctors usually start by checking patients with a physical exam. But, this method isn’t always reliable. For people who are overweight or have tiny hernias, it’s even harder. The skill of the doctor and the patient’s cooperation are key to a good diagnosis. If exams don’t show anything, it can lead to delays in treatment.
Several things make exams hard to read:
- Being overweight or having had surgery before
- Having small or hidden hernias
- Experiencing symptoms that could mean other things
If exams don’t work, we need to try other ways to find out if there’s a hernia. That’s when we turn to advanced imaging.
The Need for Advanced Imaging
Tools like CT scans, MRI, and ultrasound are key when exams don’t help. They give us clear pictures of the area around the hernia. This helps us see hernias that exams can’t find.
CT scans are great because they show very detailed images. This is really helpful for tricky cases or when we’re planning surgery.
Using advanced imaging helps us diagnose hernias right and plan surgeries better. As we learn more about using CT scans, it’s clear they’re a big part of diagnosing today.
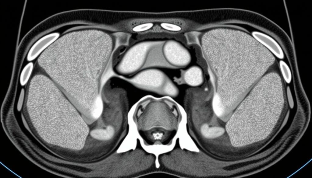
How CT Scans Work for Hernia Detection
CT scans are key in finding inguinal hernias. They use X-ray technology to show the body’s inside. This helps see the small details of the inguinal area and spot hernias.
Basic Principles of CT Imaging
CT scans mix X-rays and computer tech for detailed body images. The patient lies on a table that moves into a scanner. The scanner spins around, taking X-ray pictures from many angles.
These pictures are then put together into slices. This gives a full view of the body’s inside.
It’s important for CT scans to tell different tissues apart. Contrast agents help by making certain parts stand out more. They can be taken by mouth or through an IV.
Specific Protocols for Hernia Evaluation
For finding hernias, special CT scan rules are followed. These rules help make the images clearer and more accurate. The Valsalva maneuver is often used. It’s when the patient tries to push air out with their mouth closed and nose pinched.
This makes it easier to see hernias. Thin-section imaging and multiplanar reconstructions also help. They let doctors see the inguinal canal and nearby areas well.
This helps them find hernias, know their size, and where they are. It also helps figure out any problems they might cause.
Understanding how CT scans work and their special rules for hernias shows their importance. They are a strong tool for finding inguinal hernias and helping decide how to treat them.
Will a CT Scan Show a Hernia? Accuracy Rates Explained
Understanding how well CT scans find inguinal hernias is key for everyone involved. We’ll look at what makes CT scans good and what they can’t do.
CT scans are key for spotting inguinal hernias when a simple check isn’t enough. They give clear pictures of the area, helping doctors see hernias well.
Specificity of CT Scans for Inguinal Hernias
Specificity means a test can tell who doesn’t have a disease. CT scans are very good at this, with a success rate of 92% to 98%. This means if a CT scan says you don’t have a hernia, it’s probably true.
A study in the Journal of the American College of Radiology found a 95% specificity rate. This is great for avoiding wrong surgeries and giving patients the right info.
Sensitivity Considerations
Sensitivity is about catching those who do have a disease. CT scans are good at showing who doesn’t have a hernia but not always at finding those who do. This is because small or hidden hernias can be missed.
Medical Expert, a radiologist, says CT scans are helpful but have limits. Studies show their sensitivity for hernias is 70% to 85%.
Many things can affect how accurate a CT scan is. These include the doctor’s skill, the equipment quality, and the patient’s body and health.
“The diagnostic accuracy of CT scans for inguinal hernias is generally high, but it’s not a perfect test. We need to consider both the imaging results and clinical findings when making diagnostic decisions.”
Medical Expert, Radiologist
In short, CT scans are very useful for finding inguinal hernias. But knowing their strengths and weaknesses helps us make better choices about health care.
The Valsalva Maneuver: Enhancing CT Detection of Hernias
The Valsalva maneuver is a simple yet effective technique used in CT scans to help find hernias. By straining to increase pressure inside the belly, it makes hernias easier to see, even if they’re not always visible.
How the Technique Works
During a CT scan, the Valsalva maneuver involves taking a deep breath and holding it while trying to push out as if the mouth and nose were closed. This increases the pressure in the belly. It makes hernias bulge more, making them easier to spot on the CT images.
We use this technique because it gives a clearer picture of hernias. The increased pressure pushes hernias through weak spots in the belly wall. This makes them more visible on the CT scan.
Improved Visualization of Dynamic Hernias
Dynamic hernias are hard to spot because they only show up when there’s more pressure inside the belly. The Valsalva maneuver is great for these cases. It helps us see hernias that might not be visible during a regular CT scan.
The table below shows how the Valsalva maneuver helps in spotting hernias on CT scans. It highlights the difference in visibility with and without the maneuver.
| Hernia Type | Visibility Without Valsalva | Visibility With Valsalva |
| Dynamic Hernia | Low | High |
| Static Hernia | High | High |
| Small Hernia | Low | Moderate |
The table shows the Valsalva maneuver greatly improves seeing dynamic hernias and small hernias. By adding this technique to CT scans, we can make hernia diagnoses more accurate. This helps us give better care to our patients.
Limitations of CT Scans in Hernia Detection
CT scans are useful for finding inguinal hernias, but they have limits. The accuracy of CT scans can be affected by many factors. It’s important for doctors to know these limits to give the best care.
Size Limitations: Why Small Hernias May Be Missed
One big problem with CT scans is they can’t always find small hernias. Small hernias can be hard to spot because of their size and the scan’s resolution. Research shows that CT scans might miss hernias smaller than 1 cm, leading to false negatives.
A study found that CT scans often miss hernias under 1 cm. This is a big issue because even small hernias can cause a lot of pain and might need surgery.
The Challenge of Occult Inguinal Hernias
Occult inguinal hernias are another challenge. These hernias are hard to see on CT scans because of where they are or how they look. Occult hernias can be tricky because they might not show up until they cause big problems or symptoms.
Finding occult inguinal hernias often takes a team effort. Doctors use clinical checks and advanced imaging. Sometimes, more tests are needed to confirm if a hernia is there.
Patient-Related Factors Affecting Accuracy
Things about the patient can also affect how well CT scans work. For example, BMI, scars from past surgeries, and how well the patient can do the Valsalva maneuver during the scan can all play a part.
- High BMI: Can make CT images less clear, making it harder to see hernias.
- Scar tissue: Can make it harder to read CT scans, possibly hiding hernias.
- Valsalva maneuver: If done wrong, it can make the CT scan less effective at finding hernias.
It’s key for doctors to understand these limits to read CT scan results right. By knowing what CT scans can and can’t do, doctors can use more ways to find hernias. This might include using other tests too.
Can a CT Scan Miss a Hernia? Understanding False Negatives
We look into how CT scans might miss hernias. This shows the limits of this diagnostic tool. CT scans are usually good at finding inguinal hernias. But sometimes, they can’t spot these issues.
Statistics on Missed Diagnoses
Studies say up to one-third of hidden inguinal hernias might not show up on CT scans. This fact is key to knowing what CT scans can and can’t do for hernia detection.
- False negative rates: Different studies show different rates of false negatives for CT scans in finding hernias.
- Factors contributing to missed diagnoses: Small hernia size, patient factors, and CT scan equipment limits can all play a part in missed diagnoses.
Clinical Implications of False Negative Results
False negative CT scan results can have big implications. Patients who think they don’t have a hernia might wait too long to get treated. This could lead to serious problems like hernia strangulation.
Clinical pathway adjustments: If a CT scan is negative but doctors are not sure, they might use other tests or keep watching the patient. This helps make sure the diagnosis is right and treatment is proper.
- Using other imaging like MRI or ultrasound.
- Watching for any changes in symptoms or condition.
Knowing about the chance of false negatives on CT scans helps us improve how we diagnose inguinal hernias. This way, patients get the best care for their health.
Alternative Imaging Modalities for Hernia Detection
There are other ways to find inguinal hernias, not just CT scans. These options help doctors find hernias in different ways. They are chosen based on what the patient needs and the situation.
MRI: Higher Sensitivity for Occult Hernias
Magnetic Resonance Imaging (MRI) is great for finding inguinal hernias, when CT scans can’t. It’s very good at spotting occult hernias. This makes MRI a top pick for patients with symptoms that CT scans can’t confirm.
One big plus of MRI is it shows soft tissues clearly. This helps find small or tricky-to-spot hernias.
Ultrasound: Benefits and Limitations
Ultrasound is also used to find hernias. It’s safe, doesn’t use radiation, and can show how a hernia moves. This is useful for checking if a hernia is there during certain actions.
But, ultrasound has its downsides. It depends a lot on the person doing the scan. It might not see deeper or more complex hernias well. Yet, it’s a good first step or for people who can’t have other tests.
Herniography: An Alternative Approach
Herniography is a less common but useful test. It uses contrast to see hernias in the belly. It’s good when other tests can’t find anything.
Even though it’s not as common as CT or MRI, herniography gives a special view of hernias. It’s helpful for complex or recurring cases.
| Imaging Modality | Sensitivity for Occult Hernias | Radiation Exposure | Operator Dependence |
| MRI | High | No | Low |
| Ultrasound | Moderate | No | High |
| CT Scan | Moderate | Yes | Low |
| Herniography | High | Yes | Moderate |
The table shows what each imaging method is good for. Each has its own strengths and weaknesses. The right choice depends on the patient, the doctor’s guess, and what’s available.
Comparing Diagnostic Methods: CT vs. MRI vs. Ultrasound
Choosing the right imaging modality for diagnosing hernias is key. Each method has its own strengths and weaknesses. This makes picking the right one important for accurate diagnosis and treatment planning.
Diagnostic Accuracy Comparison
We look at how well CT, MRI, and ultrasound can spot hernias. CT scans are great at finding inguinal hernias, thanks to the Valsalva maneuver. But, their success can depend on the hernia size and patient factors.
MRI is very good at finding hidden hernias and is best in complex cases. Ultrasound is good for first checks because it’s non-invasive and doesn’t use radiation. It also lets doctors see how the hernia moves.
| Imaging Modality | Sensitivity | Specificity |
| CT Scan | High | High |
| MRI | Very High | High |
| Ultrasound | Variable | High |
Cost and Availability Considerations
The cost and where you can get the scan also matter. CT scans are easier to get and faster than MRI. So, they’re often the first choice for checking hernias.
MRI is more expensive and not as common. But, it’s used for harder cases. Ultrasound is cheap and easy to find, but it needs a skilled operator to work well.
Radiation Exposure Concerns
Radiation is another big factor. CT scans use a lot of radiation, which is a worry, mainly for young people or those needing many scans. MRI and ultrasound don’t use radiation, making them safer choices in some cases.
In summary, picking between CT, MRI, and ultrasound depends on many things. You need to think about how well they work, how much they cost, where you can get them, and how much radiation they use. Knowing these things helps doctors choose the best scan for each patient.
When Is a CT Scan the Right Choice for Hernia Diagnosis?
CT scans are a top choice for diagnosing inguinal hernias in some cases. We’ll look at when they’re best used, helping doctors make better treatment plans.
Clinical Scenarios Favoring CT Imaging
CT scans are key when things are unclear or complex. They’re great when symptoms are hard to read or if the hernia is big and complicated. This is true for cases involving other structures too.
Specific clinical scenarios where CT scans are favored include:
- Patients with a history of previous hernia repairs or abdominal surgery
- Cases where the hernia is suspected to be incarcerated or strangulated
- Obese patients where physical examination is challenging
- Patients with multiple or complex hernias
Doctors say CT scans are vital for planning surgery, giving them the details they need. This level of detail is essential for effective treatment planning.
Pre-Surgical Planning Applications
For surgeons, clear images before surgery are key. CT scans give a full view of the hernia and what’s around it. This helps spot any issues that might come up during surgery.
The benefits of CT scans for pre-surgical planning include:
- Accurate measurement of hernia size and location
- Visualization of surrounding anatomical structures
- Identification of possible complications or challenges
“The use of CT scans in pre-surgical planning has greatly improved our ability to handle complex hernias,” say surgeons. This shows how important it is to pick the right imaging for each patient.
Clinical Pathway When CT Results Are Negative
A negative CT scan doesn’t always mean there’s no hernia. If symptoms keep coming back, doctors need to think about what to do next. They must carefully plan the next steps in finding the cause.
Next Steps When Symptoms Persist
If symptoms of an inguinal hernia don’t go away after a CT scan, we look at other ways to check. Clinical evaluation is key; a detailed history and physical exam can reveal things missed before.
As “The accuracy of CT scans in detecting inguinal hernias can be influenced by various factors, including the size of the hernia and patient-related factors.” So, if symptoms don’t clear up, we need to look again and think about more tests.
Sequential Imaging Approaches
For those with ongoing symptoms after a CT scan, we might use MRI or ultrasound. MRI or ultrasound can be great tools to find hernias missed by CT. MRI, for example, is very good at finding hidden hernias.
Experts say,
“In cases where CT scans are negative but clinical suspicion remains high, further imaging with MRI or ultrasound can help identify inguinal hernias that were initially missed.”
An ultrasound is also helpful because it shows how the body moves. It can spot hernias during actions like the Valsalva maneuver. This is important for finding hernias that CT scans can’t see.
We think carefully about the patient’s symptoms, medical history, and past tests to decide the best next step.
Conclusion: The Role of CT Scans in Inguinal Hernia Management
We’ve looked at how CT scans help find inguinal hernias. They show detailed images and are very specific. This makes them key in managing these hernias.
CT scans have many uses in hernia care. They help doctors diagnose and plan surgeries. But, they’re not perfect. They might miss some cases and can give false readings.
In summary, CT scans are vital for diagnosing hernias, mainly in tough cases. They give doctors the info they need for surgery. Knowing their strengths and weaknesses helps doctors use them better.
FAQ
Can a CT scan accurately detect inguinal hernias?
CT scans are good at finding inguinal hernias, but they’re not perfect. They might miss small or hidden hernias.
What are the limitations of CT scans in detecting hernias?
CT scans can miss small hernias. How well they work also depends on the patient. The Valsalva maneuver helps, but it’s not always enough.
How does the Valsalva maneuver enhance CT detection of hernias?
The Valsalva maneuver makes it easier to see hernias on CT scans. It does this by raising the pressure inside the belly.
Are there alternative imaging modalities for detecting hernias?
Yes, there are other ways to see hernias. MRI, ultrasound, and herniography are options. MRI is great for finding hidden hernias. Ultrasound is good because it’s safe and doesn’t use radiation.
How do CT, MRI, and ultrasound compare for hernia detection?
CT scans are very specific and show a lot of detail. MRI is better at finding hidden hernias. Ultrasound is safe and doesn’t use radiation, but it depends on the person doing the scan.
When is a CT scan the preferred choice for diagnosing hernias?
Doctors often choose CT scans for planning surgery. They’re good for getting a clear picture of the area.
What are the next steps if CT results are negative but symptoms persist?
If symptoms don’t go away, doctors might use other tests like MRI or ultrasound. These can help find hernias that CT scans missed.
Can an MRI detect hernias that a CT scan misses?
Yes, MRI is better at finding hidden hernias. It’s a good choice when CT scans don’t show anything.
Does a CT scan show a hernia?
CT scans can show hernias, but it depends on several things. The size of the hernia and how the scan is done matter a lot.
Can a hernia show up on a CT scan?
Yes, hernias can appear on CT scans. This happens when the scan is done right and the Valsalva maneuver is used.
Will a hernia show up on a CT scan?
Whether a hernia shows up on a CT scan depends on a few things. The size of the hernia and how the scan is done are key.