Last Updated on December 3, 2025 by

Many people wonder, does a CT scan detect tumors? The answer is yes — CT scans can help spot bladder tumors and other growths in the body. However, how clearly they show up depends on factors like the tumor’s size, stage, and the type of scan used.
A CT urogram is one of the most effective tests for this. It uses IV contrast to make internal structures more visible, helping doctors find bladder cancer more accurately.
By understanding how CT scans work and what affects their accuracy, patients and doctors can make better decisions about diagnosis and treatment.
Key Takeaways
- Bladder tumors can be detected on a CT scan with varying accuracy.
- A CT urogram is a valuable diagnostic tool for bladder cancer.
- The stage and size of the tumor affect detection rates.
- Imaging techniques play a critical role in diagnosis.
- Advancements in medical technology have improved diagnostic processes.
What You Need to Know About Bladder Tumors
It’s important to know about bladder tumors for early detection and treatment. Bladder cancer is often found because of signs or symptoms a person is having. If bladder cancer is suspected, exams and tests will be needed to confirm the diagnosis.
Common Types of Bladder Tumors
Bladder tumors can be benign or malignant. The most common type of bladder cancer is urothelial carcinoma, also known as transitional cell carcinoma. This type of cancer begins in the urothelial cells that line the inside of the bladder. Other types include squamous cell carcinoma and adenocarcinoma, which are less common but can be more aggressive.
Urothelial carcinoma is the most prevalent form, accounting for about 90% of bladder cancer cases. It can be further divided into low-grade and high-grade tumors, with high-grade tumors being more likely to invade the bladder wall and spread to other parts of the body.

Risk Factors and Warning Signs
Several risk factors are associated with an increased likelihood of developing bladder cancer. These include smoking, exposure to certain chemicals in the workplace, and a history of chronic bladder infections or irritation. Smoking is the most significant risk factor, as it doubles the risk of developing bladder cancer compared to non-smokers.
Common warning signs of bladder cancer include:
- Hematuria (blood in the urine)
- Dysuria (painful urination)
- Frequent urination
- Urinary urgency
If you are experiencing any of these symptoms, it’s essential to consult with a healthcare provider for a proper evaluation. Diagnostic tests for bladder cancer may include urine tests, cystoscopy, and imaging studies like CT scans. A bladder biopsy is often necessary to confirm the diagnosis.
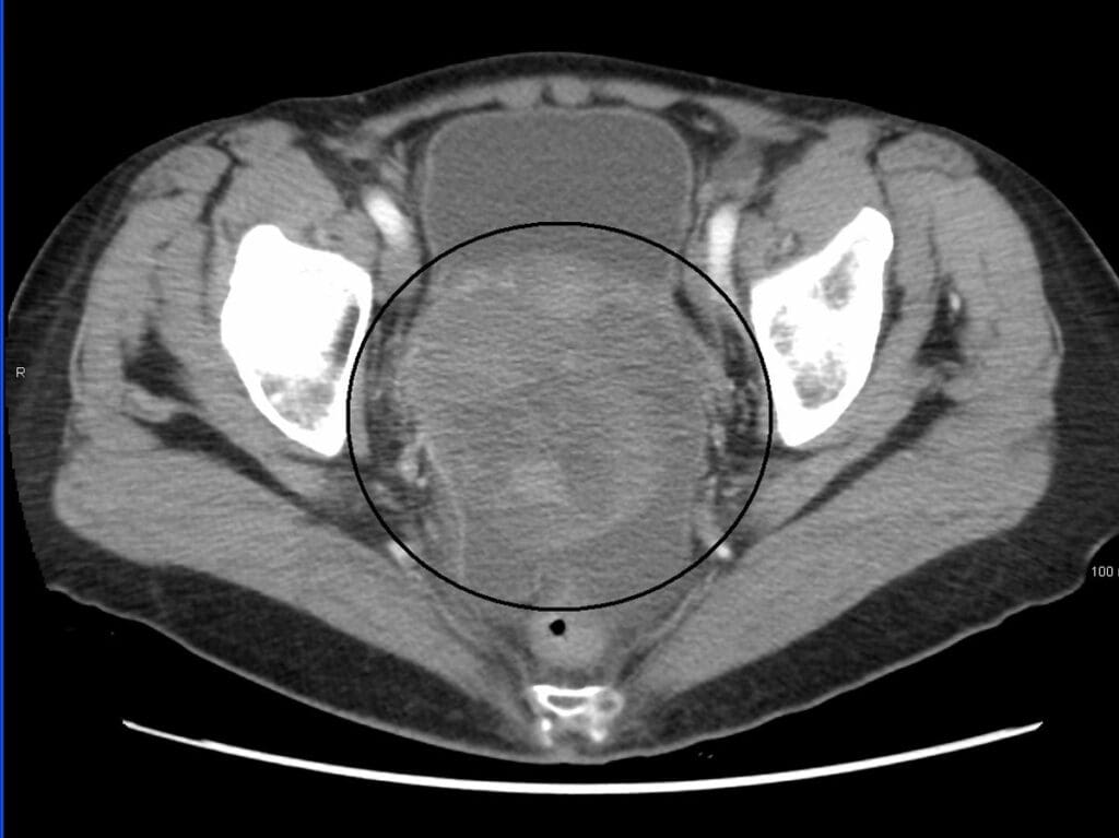
Does a CT Scan Detect Tumors in the Bladder?
CT scans use x-rays to create detailed images of the bladder. They help find tumors. CT scans are great because they show tumors’ size, shape, and where they are in the bladder.

How CT Technology Visualizes Bladder Abnormalities
CT technology takes x-rays of the bladder from different angles. Then, it makes cross-sectional views. This lets doctors see the bladder in detail.
“A CT urogram can find urinary tract problems or enlarged lymph nodes with cancer,” doctors say. This helps them see how big tumors are and plan treatment.
We use CT scans to see the bladder because they show everything. The detailed images help doctors find problems that other tests miss.
The Role of Contrast in Tumor Detection
Contrast dye makes bladder problems stand out more in CT scans. Contrast agents show the differences between tissues, making tumors easier to see. Doctors say, “Contrast dye makes tumors more visible by highlighting them against other tissues.”
For more on how CT scans find bladder cancer, check out Cxbladder’s resource on imaging. It explains how imaging helps diagnose bladder cancer.
With contrast dye, CT scans can better spot tumors and understand their features. This info is key for choosing the right treatment for bladder tumors.
Accuracy Rates of CT Scans for Bladder Cancer
CT scans are key in finding bladder cancer. They help doctors see tumors clearly. Knowing how well they work is very important.
CT urography, a special CT scan, is very good at finding bladder tumors. This is key for catching cancer early and planning treatment.
Sensitivity and Specificity Statistics
Studies show CT urography is 93% sensitive and 99% specific in spotting bladder tumors. These numbers mean CT scans are very reliable in finding bladder cancer.
High sensitivity means most bladder cancer cases are caught. High specificity means few people without cancer are wrongly diagnosed.
Detection Rates by Cancer Stage
How well CT scans find cancer depends on the cancer’s stage. Early tumors are harder to spot, but big tumors are easier to see.
- Early-stage detection: CT scans can spot some early tumors, thanks to contrast enhancement.
- Advanced-stage detection: Big, invasive tumors are easier to find, with higher accuracy.
Predictive Values in Clinical Studies
Studies look at how well CT scans predict bladder cancer. One study found CT urography’s positive and negative predictive values were 98% and 97%, respectively.
These values are important because they show how likely a test result is to be right. They help doctors make better choices.
We use these numbers to understand CT scan accuracy. They help guide how we care for patients.
Knowing how accurate CT scans are helps doctors make better decisions. This is from diagnosis to treatment.
5 Key Factors That Affect Bladder Tumor Visibility on CT
Several important elements affect how well bladder tumors show up on CT scans. Knowing these factors helps doctors get better at spotting bladder cancer. This makes CT scans more accurate for diagnosis.
Tumor Size and Location
The size and where a bladder tumor is located matter a lot. Bigger tumors are easier to see, but smaller ones can be tricky. Tumors near the bladder wall or in complex areas are harder to spot. A study found that bigger tumors are easier to find on CT scans.
“The detection of bladder cancer by CT scan is highly dependent on the size of the tumor, with larger tumors being more readily detectable”
Bladder Filling Technique
How the bladder is filled for a CT scan also matters. The bladder needs to be full enough to see tumors clearly. If it’s too empty or too full, it’s harder to spot problems.
Contrast Enhancement Protocols
Using the right contrast agents and timing is key for seeing tumors on CT scans. Good contrast makes tumors stand out against the bladder. “Proper contrast enhancement is critical for the detection of bladder tumors, as it helps differentiate between tumor tissue and normal bladder wall” Proper contrast enhancement is critical.
Patient-Related Factors
Things like a patient’s BMI and other health issues can affect CT scan quality. For example, patients with a higher BMI might need special scanning settings for clear images.
By focusing on these factors, doctors can make CT scans better for finding bladder cancer. This leads to better care for patients.
CT Scans vs. Other Diagnostic Methods for Bladder Cancer
Diagnosing bladder cancer involves several methods, like CT scans, cystoscopy, and urine tests. Each has its own benefits and drawbacks. We’ll look at these in more detail.
Cystoscopy: The Gold Standard Comparison
Cystoscopy is seen as the top way to find bladder cancer. It uses a cystoscope to look inside the bladder. This lets doctors check for tumors and take biopsy samples.
“Cystoscopy is the best for finding bladder cancer early. It gives a clear view of the bladder and can get tissue samples.” CT scans are useful too, but cystoscopy is better for catching cancer early.
Urine-Based Tests and Biomarkers
Urine tests, like urinalysis and biomarker tests, are a gentle way to check for bladder cancer. They look for signs in the urine that might mean cancer is there. For example, the NMP22 BladderChek test looks for a protein linked to bladder cancer.
Urine tests are less invasive than cystoscopy or CT scans. But, they’re not always 100% accurate. They’re often used with other tests to make sure of a diagnosis.
Alternative Imaging Techniques
Other imaging methods, like MRI, ultrasound, and PET scans, can also help find and check bladder cancer. MRI, for example, shows soft tissues well and helps see how far a tumor has spread.
Each imaging method has its own good points. Doctors pick the best one based on the patient’s needs and the tumor’s type.
In summary, CT scans are key in diagnosing bladder cancer. But, they’re part of a bigger set of tools, including cystoscopy, urine tests, and other scans. The right test depends on the cancer’s stage, the patient’s health, and the need for detailed images.
Incidental Bladder Tumor Findings on CT Scans
Over 80 million CT scans are done every year in the U.S. This means many bladder tumors are found by accident. It’s important to know how often this happens and what it means for patients.
Frequency of Unexpected Discoveries
About 40% of CT scans in the U.S. are of the abdomen and pelvis. This is where bladder tumors are often found by accident. Many bladder tumors are found during scans for other reasons.
This shows how important it is to carefully look at CT scan images. It also means some people might find out they have cancer early, even if they don’t have symptoms.
High-Risk Groups That Benefit from Screening
Some people are more likely to get bladder cancer. They might need to get screened more often. These groups include:
- Smokers, as smoking is a major risk factor for bladder cancer.
- Individuals exposed to certain chemicals in their workplace.
- Those with a family history of bladder cancer.
For these groups, finding bladder tumors on CT scans can save lives. It lets doctors catch cancer early.
Follow-Up Protocols for Suspicious Findings
If a bladder tumor is found by accident on a CT scan, there’s a plan for what to do next. This plan includes:
- More imaging to make sure it’s a tumor.
- Cystoscopy to see the tumor directly.
- Biopsy to find out what kind of tumor it is.
Handling bladder tumor findings right away can really help patients. It shows we need clear plans for what to do next.
Conclusion: The Future of CT Scanning for Bladder Cancer Detection
Medical technology is getting better, and CT scans will play a bigger role in finding bladder cancer. We talked about how CT scans, like those with urogram protocols, are key in diagnosing bladder cancer. They give clear pictures of the bladder and the areas around it.
At Liv Hospital, we’re all about using the latest medical imaging. We aim to lead in healthcare by using new technologies like ct scan, bladder and bladder ct scan. We know how important it is to find bladder cancer correctly and how new CT scan tech can help.
As technology keeps getting better, we’ll see more accurate diagnoses and better care for patients. Our goal is to offer top-notch healthcare and support to patients from all over. With new CT scan tech, we hope to find bladder cancer more often and help patients get better faster.
FAQ
Can a CT scan detect bladder tumors?
Yes, a CT scan can spot bladder tumors, thanks to contrast dye. The scan’s accuracy depends on the tumor’s size and where it is.
What is the role of contrast in detecting bladder tumors on a CT scan?
Contrast dye makes bladder tumors stand out on a CT scan. It helps doctors tell tumors apart from normal bladder tissue, leading to better diagnoses.
How accurate are CT scans in diagnosing bladder cancer?
CT scans’ accuracy in finding bladder cancer varies. It depends on the cancer’s stage and other factors. But, studies show they’re very good, even better with other tests.
What are the advantages of using a CT scan to detect bladder tumors?
CT scans are non-invasive and give clear images. They can find tumors anywhere and help stage cancer. They also check how well treatments work.
Can a urine test detect bladder cancer?
Urine tests, like cytology and biomarkers, can find bladder cancer. But, they’re not as reliable as cystoscopy or CT scans. They’re often used together with these methods.
Why would a urologist perform a cystoscopy to diagnose bladder cancer?
A urologist might do a cystoscopy to see inside the bladder. It’s the best way to find tumors or other issues. It’s often used with other tests.
What is the difference between a CT scan with contrast and without contrast in detecting bladder tumors?
A CT scan with contrast is better at finding bladder tumors. The dye makes tumors more visible, helping doctors diagnose more accurately.
Can a CT scan without contrast show bladder cancer?
A CT scan without contrast might find some bladder tumors. But, it’s not as good as one with contrast. Contrast dye makes tumors easier to see.
How is bladder cancer diagnosed?
Doctors use many tests to diagnose bladder cancer. These include cystoscopy, urine tests, CT scans, and biopsies. The right test depends on the patient’s symptoms and history.
What are the risk factors for bladder cancer?
Smoking, certain chemicals, and family history increase bladder cancer risk. Knowing these risks helps identify who should get screened early.
References
- Abuhasanein, A., Sheikh, A., Han, M., & Lane, B. R. (2022). Bladder cancer diagnosis with CT urography: Test characteristics and reasons for false-positive and false-negative results. BMC Urology, 22(1), 49. https://bmcurol.biomedcentral.com/articles/10.1186/s12894-022-01009-4
- Turney, B. W., Willatt, J. M., Nixon, D., Crew, J. P., Cowan, N. C. (2006). Computed tomography urography for diagnosing bladder cancer. BJU International, 98(2), 345–348. https://bjui-journals.onlinelibrary.wiley.com/doi/10.1111/j.1464-410X.2006.06228.x
- Sadow, C. A., Silverman, S. G., O’Leary, M. P., Signorovitch, J. E. (2008). Bladder tumors: Utility of CT urography in diagnosis and evaluation. American Journal of Roentgenology, 191(6), 1600–1605. https://www.ajronline.org/doi/full/10.2214/AJR.07.3899
- van der Molen, A. J., Cowan, N. C., Mueller-Lisse, U. G., Nolte-Ernsting, C. C. A., Takahashi, S., Cohan, R. H. (2008). CT urography: Definition, indications, techniques and diagnostic yield. European Radiology, 18(1), 4–17. https://link.springer.com/article/10.1007/s00330-007-0792-x
- Cowan, N. C. (2011). CT urography for hematuria. Nature Reviews Urology, 9(4), 218–226. https://www.nature.com/articles/nrurol.2012.18