Written by
Aslı Köse
Aslı Köse Liv Hospital Content Team
Medically reviewed by
Prof. MD. Doğan Atan Prof. MD. Doğan Atan Ear nose throat Overview and Definition
...
Views
Read Time
12 Basal Cell Carcinoma Images: Early Signs & Pictures
12 Basal Cell Carcinoma Images: Early Signs & Pictures 4

Basal cell carcinoma (BCC) is the most common cancer in humans. It affects about one in five Americans. Early detection is key because BCC often looks like flesh- or pink-colored, pearly bumps. These bumps might have ulcers or show blood vessels on top.

At Liv Hospital, our dermatologists are experts in finding and treating early BCC. They use the latest techniques and care for each patient. Knowing how BCC looks helps patients get help early.

Spotting BCC early is important for good treatment. We help international patients get top-notch care. Our advanced treatments are designed to help you.

Key Takeaways

  • Early detection of basal cell carcinoma is critical for effective treatment.
  • BCC often appears as shiny, pearly bumps or patches on the skin, particular in sun-exposed areas.
  • Understanding the visual cues of BCC is vital for timely medical intervention.
  • Liv Hospital’s dermatologists specialize in treating early-stage BCC with cutting-edge techniques.
  • Comprehensive support is provided for international patients seeking advanced medical treatments.

Understanding Basal Cell Carcinoma: America’s Most Common Cancer

12 Basal Cell Carcinoma Images: Early Signs & Pictures
12 Basal Cell Carcinoma Images: Early Signs & Pictures 5

Basal cell carcinoma is a big problem in the U.S. About one in five people will get BCC at some point. It’s key to know about this condition and why catching it early is so important.

Prevalence and Statistics in the United States

In the U.S., basal cell carcinoma is the top skin cancer. Every year, over 4 million new cases are found. This makes up a big part of all skin cancer cases.

It usually starts in middle age or later. But, it can also hit young adults. With 3.6 million new cases each year, we need to spread the word and take steps to prevent it.

Key statistics include:

  • Over 4 million new BCC cases are diagnosed in the U.S. each year.
  • Approximately one in five Americans will develop BCC in their lifetime.
  • BCC accounts for about 80% of all skin cancer diagnoses.

Why Early Detection Matters

Finding basal cell carcinoma early is key for good treatment and avoiding problems. If caught early, BCC can be treated well. This helps avoid ugly scars and serious health issues.

By understanding the prevalence and importance of early detection, we can better navigate the challenges posed by basal cell carcinoma.

What Causes Basal Cell Carcinoma?

12 Basal Cell Carcinoma Images: Early Signs & Pictures
12 Basal Cell Carcinoma Images: Early Signs & Pictures 6

It’s important to know what causes basal cell carcinoma to prevent and catch it early. Basal cell carcinoma (BCC) is the most common skin cancer. It happens because of genetics and the environment.

Ultraviolet Light Exposure as the Primary Factor

Ultraviolet (UV) light is the main risk for basal cell carcinoma. UVB wavelengths cause DNA damage that can lead to skin cancer. This damage builds up over time. That’s why BCC is more common in people who spend a lot of time outside, mainly during the hottest part of the day.

“The UV radiation from the sun or artificial sources like tanning beds is a major carcinogen for the skin,” showing why we need to protect ourselves from the sun and avoid tanning beds to prevent BCC.

Other Risk Factors to Consider

UV exposure is the main cause, but other factors also play a role. People with fair skin, light-colored eyes, and red or blonde hair are at higher risk. This is because they have less melanin, which protects against UV radiation.

  • A history of sunburns, specially during childhood, raises the risk.
  • Genetics also play a part, with conditions like Basal Cell Nevus Syndrome (Gorlin syndrome) making you more susceptible.
  • Being exposed to radiation and certain chemicals can also increase your risk.

In summary, knowing the causes and risk factors of basal cell carcinoma is key to preventing and catching it early. By understanding the impact of UV exposure and other factors, we can take steps to lower our risk.

Common Locations of Basal Cell Carcinoma

Basal cell carcinoma (BCC) often shows up in sun-exposed areas. It tends to favor certain spots, mainly where the sun hits most.

Head and Neck Region (80-85% of Cases)

The head and neck are the top spots for BCC, making up 80 to 85 percent of cases. The scalp, face, nose, and ears are at high risk.

This high risk is because of UV light damage. UV light messes with skin cells’ DNA, causing cancer.

Other Vulnerable Body Areas

While the head and neck are the main spots, BCC can also pop up in other sun-exposed areas. This includes the arms, legs, back, and belly.

The table below shows where BCC often appears and what makes these spots risky:

Body RegionFrequency of BCC OccurrenceCharacteristics
Head and Neck80-85%High UV exposure, includes scalp, face, nose, ears
Arms and Legs10-15%Moderate UV exposure, more common in fair-skinned individuals
Back and Abdomen5-10%Less common, often associated with intense intermittent sun exposure

Knowing where BCC often appears helps with early detection and prevention. Stay alert to skin changes in these areas. If you spot anything odd, see a dermatologist right away.

Recognizing Early Signs of Basal Cell Carcinoma

It’s important for both patients and doctors to know the early signs of basal cell carcinoma. This skin cancer is common and needs to be caught early to avoid serious problems. Early detection is key to treating it effectively.

Characteristic Features to Watch For

Basal cell carcinoma often starts as small, shiny bumps or nodules. These can also look like pink, red, or flesh-colored patches. Look out for sores that bleed easily and don’t heal, as these are signs of BCC.

Key features to look out for include:

  • Small, translucent or shiny bumps
  • Pink or red papules
  • Scaly, dry patches
  • Pale areas that slowly enlarge over time

How BCC Differs From Other Skin Conditions

It’s important to know how basal cell carcinoma is different from other skin issues. This helps in getting the right treatment early on. BCC has unique signs that can help doctors diagnose it quickly.

CharacteristicsBasal Cell CarcinomaOther Skin Conditions
AppearancePearly or shiny bumps, pink/red patchesVaries (e.g., moles, benign lesions)
Growth PatternSlowly enlargingVaries (some grow quickly, others remain static)
BleedingSores that bleed easilyRarely bleeds (except when irritated)

As noted by dermatological experts,

“Early detection of basal cell carcinoma is critical for effective management and minimizing the risk of complications.”

Knowing the signs of basal cell carcinoma and how it differs from other skin issues helps. This way, people can get medical help fast if they notice anything unusual on their skin.

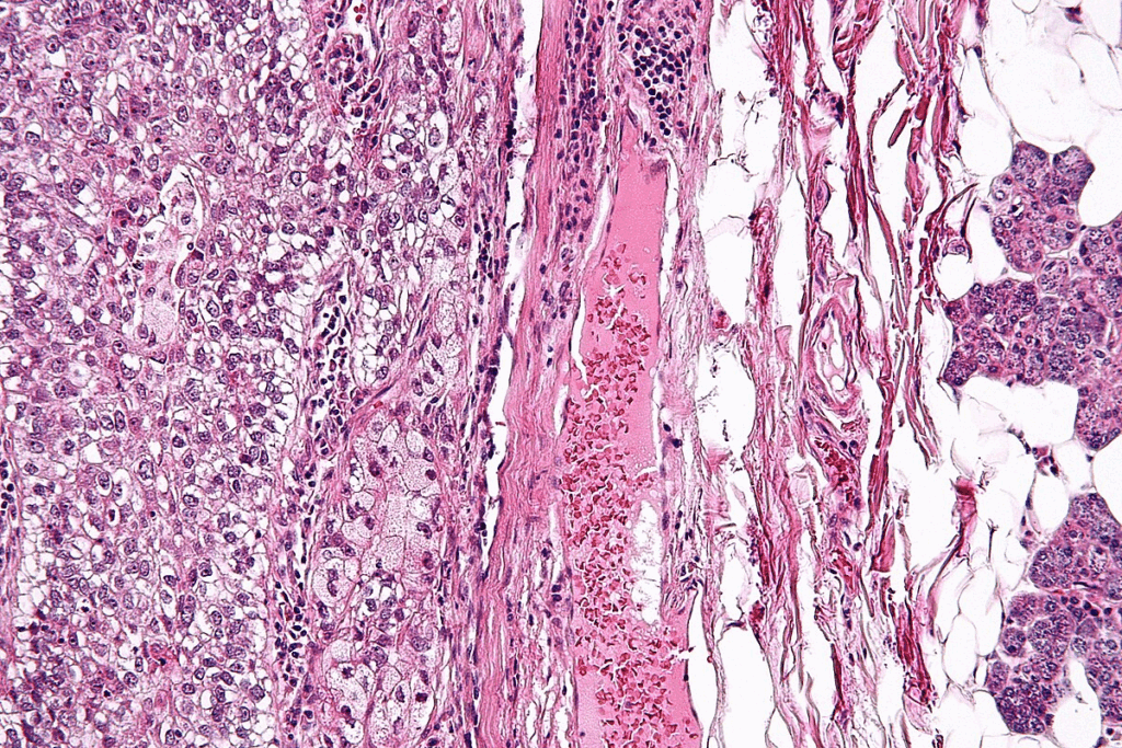
Nodular Basal Cell Carcinoma Images and Identification

Nodular basal cell carcinoma is a common type of skin cancer. It’s important to know how to spot it. This type makes up about 60-80% of basal cell carcinoma cases.

This skin cancer looks like a firm, painless bump. Knowing what it looks like helps catch it early and treat it right.

Pearly or Translucent Bumps

Nodular basal cell carcinoma often looks like pearly or translucent bumps. These bumps can be shiny and have a rolled edge. Doctors look for these signs to diagnose it.

Telangiectatic Vessels and Surface Changes

These bumps also have telangiectatic vessels on them. These are small, widened blood vessels. They can help doctors spot the cancer. Other signs like ulcers or crusts are also important.

Knowing how to tell nodular basal cell carcinoma apart from other skin issues is key. Spotting it early is vital for the right treatment. By recognizing its signs, we can help patients get better sooner.

Superficial Basal Cell Carcinoma Images: Identifying Surface Lesions

Superficial basal cell carcinoma is a common skin cancer. It looks like surface lesions and makes up about 15% of basal cell carcinoma cases. We will look at its features and how to spot it through images.

Scaly, Red Patches

Superficial basal cell carcinoma shows up as scaly, red patches. These patches might itch or hurt. They can look like eczema or dermatitis, making it hard to tell what they are.

These patches are flat and can show up anywhere on the body. It’s important to know what they look like to tell them apart from other skin issues. Watching for any changes in the skin is key to catching it early.

Slow Growth Patterns to Monitor

Superficial basal cell carcinoma grows slowly. It can take months or years to really show up. It’s important to check your skin regularly and watch for new or changing spots.

Being careful about skin changes and seeing a dermatologist if you find something odd is a good idea. Catching it early can make a big difference in treatment.

Basal Cell Carcinoma Images on the Face and Nose

Basal cell carcinoma on the face, around the nose, is tricky to diagnose and treat. The area’s complex anatomy makes it vital to spot basal cell carcinoma’s unique signs.

Distinctive Facial Presentations

Basal cell carcinoma on the face shows up in different ways. We often see nodular or ulcerative lesions that look like other skin issues. It’s key to know the signs, like:

  • Pearly or translucent look
  • Telangiectatic vessels on the surface
  • Slow growth

These signs need a close look to make sure we diagnose and treat right.

Nasal BCC Characteristics

Basal cell carcinoma on the nose is tough because of the risk of disfigurement. We must know the nasal BCC signs:

  1. Location: Often on the nasal tip, ala, or dorsum
  2. Appearance: Looks like a small, shiny bump or ulcer
  3. Growth pattern: Grows slowly, spreading into nearby tissues

Spotting these signs early is key for treating nasal basal cell carcinoma well.

Looking at basal cell carcinoma images on the face and nose, early detection is key. It helps avoid disfigurement and gets the best results.

Scalp and Ear Basal Cell Carcinoma Pictures

Basal cell carcinoma can show up in less obvious places like the scalp and ears. It’s important to be aware of this to catch it early. These areas can be tricky because of their shape and how easy it is to miss lesions.

Hidden Lesions in Hair-Covered Areas

The scalp is a common spot for basal cell carcinoma, more so for those with thinning hair or baldness. Lesions here can be hidden by hair, making it key to check the scalp often for early signs.

When checking the scalp, look for:

  • Persistent patches or sores that don’t heal
  • New growths or changes in existing moles
  • Areas of redness or irritation

Regular self-checks and doctor visits can help spot these hidden lesions early.

Distinctive Features of Ear BCCs

Basal cell carcinoma on the ear has unique signs, like:

  • Nodular or pearly lesions
  • Ulcerations or crusting
  • Telangiectatic vessels

These signs can be hard to spot, so it’s important to keep an eye on the ears, even more so for those who spend a lot of time in the sun.

LocationCommon FeaturesDetection Challenges
ScalpPatches, sores, new growthsHidden by hair
EarNodular lesions, ulcerationsSubtle presentation

Knowing the special signs of basal cell carcinoma on the scalp and ears helps us find and treat it better. Regular checks and doctor visits are essential for managing these lesions well.

Morphoeic Basal Cell Carcinoma: The Invasive Subtype

Morphoeic basal cell carcinoma is a tough type of BCC to diagnose. It has scar-like appearance that makes it hard to tell apart from other skin issues.

This type of BCC looks like a flat, hard scar. It’s often mistaken for a normal scar, leading to late diagnosis.

Scar-like Appearance and Poorly Defined Borders

The morphoeic subtype of basal cell carcinoma is known for its:

  • Flat, scar-like appearance
  • Poorly defined borders, making it challenging to determine the extent of the lesion
  • Potential for significant local destruction if left untreated

These traits mean it needs a detailed check-up. Sometimes, extra tools are needed to see how big the cancer is.

Why This Type Requires Special Attention

Morphoeic basal cell carcinoma needs extra care because of its:

  1. Aggressive growth pattern
  2. High risk of local recurrence if not adequately treated
  3. Potential for significant disfigurement if diagnosis is delayed

Early detection and the right treatment are key. A detailed plan, like surgery with careful margin control, helps avoid problems.

Knowing how to spot and treat morphoeic basal cell carcinoma helps doctors. This leads to better care for patients.

When to Seek Medical Attention: Warning Signs in Basal Cell Carcinoma Images

Spotting basal cell carcinoma early is key. It’s important to watch for skin changes that might mean you have this common skin cancer. Being alert to these signs can help a lot.

Changes That Warrant Immediate Evaluation

Some skin changes need you to see a doctor right away. Look out for:

  • New or changing lesions: Moles or spots that grow, change color, or alter in shape.
  • Bleeding or crusting: Sores that don’t heal or bleed easily.
  • Unusual skin changes: Patches or bumps that are itchy, painful, or tender to the touch.

Knowing these signs can help catch basal cell carcinoma early. This makes treatment more effective.

Self-Examination Guidelines

Doing regular skin checks is vital for your skin health. Here’s how to do it right:

  1. Examine your skin in a well-lit area, using mirrors to check hard-to-see areas.
  2. Look for new growths or changes in existing moles or lesions.
  3. Pay special attention to areas exposed to the sun, such as the face, ears, and scalp.

By following these tips and watching for basal cell carcinoma signs, you can help keep your skin healthy.

Conclusion: Early Detection and Treatment of Basal Cell Carcinoma

Early detection and treatment are key to managing basal cell carcinoma (BCC) well. This helps avoid disfigurement and complications. We’ve learned that catching BCC early can lead to a high cure rate.

Treatment choices depend on the BCC’s size, location, and type. Being aware of BCC signs, symptoms, and risk factors helps in early detection. Regular self-checks and doctor visits are vital for better outcomes.

If you notice any skin changes, like new growths or sores, see a doctor right away. Quick action can greatly improve treatment success and your health outlook.

In summary, early detection and proper treatment are essential for BCC management. Knowing the risks and staying alert to skin health can help reduce the impact of this common skin cancer.

FAQ

What are the early signs of basal cell carcinoma?

Early signs include shiny, pearly bumps or patches, often in sun-exposed areas. Look for persistent sores and scaly patches too.

What does a basal cell carcinoma look like?

It can look like shiny bumps, sores, or scaly patches. Nodular BCC has pearly or translucent bumps. Superficial BCC is scaly and red.

Where is basal cell carcinoma most commonly located?

It’s most common in the head and neck, making up 80-85% of cases. The scalp, ear, and nose are also at risk.

What are the risk factors for developing basal cell carcinoma?

Main risks include UV light exposure and fair skin. Genetic predisposition and sunburn history also play a part.

How can I identify basal cell carcinoma on my face or nose?

Look for distinctive facial lesions or nasal BCC on your face or nose. Watch for new or changing lesions, bleeding, or other symptoms.

What is morphoeic basal cell carcinoma, and why is it significant?

Morphoeic BCC is a serious subtype with a scar-like look and unclear borders. It’s hard to diagnose and can cause significant damage.

How can I perform self-examinations to detect basal cell carcinoma early?

Check your skin for new or changing spots, bleeding, or other signs. Look at sun-exposed areas like the head, neck, and face regularly.

What are the characteristics of nodular basal cell carcinoma?

Nodular BCC looks like pearly or translucent bumps. Look for telangiectatic vessels on the surface for a clue.

How does superficial basal cell carcinoma present?

It shows as scaly, red patches. These can be hard to spot because they look like other skin issues. Watch for slow growth to catch it early.

Why is early detection of basal cell carcinoma so important?

Catching it early is key for effective treatment and avoiding complications. It boosts treatment success and reduces disfigurement risks.


References

National Center for Biotechnology Information. (2025). 12 Basal Cell Carcinoma Images Early Signs. Retrieved from https://pmc.ncbi.nlm.nih.gov/articles/PMC9681969/

i

Medical Disclaimer

The content on this page is for informational purposes only and is not a substitute for professional medical advice, diagnosis or treatment. Always consult a qualified healthcare provider regarding any medical conditions.

Trusted Worldwide
30
Years of
Experience
30 Years Badge

With patients from across the globe, we bring over three decades of medical

Get a Free Quote

Response within 2 hours during business hours

Clinics/branches
GDPR
Was this content helpful?
Your feedback helps us improve.
What did you like?
Share more details about your experience.
You must give consent to continue.

Thank you!

Your feedback has been submitted successfully. Your input is valuable in helping us improve.

Book a Free Certified Online
Doctor Consultation

Clinics/branches
GDPR

We're Here to Help.
Get in Touch

Send us all your questions or requests, and our
expert team will assist you.

Our Doctors

Diet. Büşra Tari

Diet. Büşra Tari

Spec. MD. Uyarış Çoban

Spec. MD. Uyarış Çoban

Diet. Şule Bozfırat

Diet. Şule Bozfırat

Prof. MD. Selin Kapan

Prof. MD. Selin Kapan

Op. MD. Metehan Saraçoğlu

Op. MD. Metehan Saraçoğlu

Prof. MD. Gönül Çatlı

Prof. MD. Gönül Çatlı

Spec. MD. Dilek Hatipoğlu

Spec. MD. Dilek Hatipoğlu

Spec. MD. Vedat Ertunç

Spec. MD. Vedat Ertunç

Op. MD. Müslim Beyoğlu

Op. MD. Müslim Beyoğlu

Op. MD. Sultan Ayaz

Op. MD. Sultan Ayaz

Asst. Prof. MD. İbrahim Ekici

Asst. Prof. MD. İbrahim Ekici

Prof. MD. Orhan Tanrıverdi

Prof. MD. Orhan Tanrıverdi

Need Help? Chat with our medical team

Let's Talk on WhatsApp

📌

Get instant answers from our medical team. No forms, no waiting — just tap below to start chatting now.

or call us at +90 530 510 71 24