Last Updated on November 27, 2025 by Bilal Hasdemir

Seeing a choroid plexus cyst on a fetal ultrasound can worry parents. At Liv Hospital, we get it. These cysts are common, found in 1 to 2 percent of pregnancies.
Mostly, they are harmless and go away by themselves. We aim to give you all the facts and calm your worries. We use the latest research and our fetal care knowledge to help.
We’ll look into what choroid plexus cysts mean for your pregnancy. We want to help you understand this part of your journey.
Key Takeaways
- Choroid plexus cysts are found in about 1 to 2 percent of pregnancies.
- These cysts are usually benign and often resolve on their own.
- Detection occurs during a routine fetal ultrasound.
- Understanding the implications is key for expectant parents.
- Liv Hospital offers full care and support for pregnancies with choroid plexus cysts.
Understanding Choroid Plexus Cysts in Fetal Development

During fetal development, the choroid plexus makes cerebrospinal fluid. This fluid is key for brain health. The choroid plexus is a special part of the brain. It helps make cerebrospinal fluid, which protects the brain and spinal cord.
What Is the Choroid Plexus and Its Function
The choroid plexus is a complex part in the brain’s ventricles. It mainly makes cerebrospinal fluid. This fluid protects the central nervous system and keeps pressure stable.
“The choroid plexus is a vital component of the fetal brain, and its proper functioning is essential for normal brain development,” experts say.
How Cysts Form in the Choroid Plexus
Cysts can form in the choroid plexus. They happen when cerebrospinal fluid or debris builds up. These choroid plexus cysts are usually harmless and often go away by themselves.
The exact reasons for their formation are not fully known. But, it’s believed that genetics and environment play a role.
Prevalence of Choroid Plexus Cysts During Pregnancy

Choroid plexus cysts are common in fetal ultrasound exams. They are usually harmless and often disappear by themselves. We will look at how often these cysts occur and who is more likely to have them.
Statistical Occurrence in Pregnancies
About 1 to 2 percent of pregnancies have choroid plexus cysts. They are most often seen between 16 and 24 weeks of pregnancy. A study in the Journal of Ultrasound in Medicine found that the rate can vary based on the population and how they are diagnosed.
Demographic Patterns and Risk Factors
Choroid plexus cysts are generally not harmful. But, some groups are at higher risk. Older mothers are more likely to have these cysts in their babies. Also, these cysts might be linked to chromosomal issues like trisomy 18, though the risk is low. A medical expert noted,
“The detection of choroid plexus cysts should prompt a detailed assessment for other markers of chromosomal abnormalities.”
Detection Through Choroid Plexus Fetal Ultrasound
Fetal ultrasound is key in spotting choroid plexus cysts. It gives insights into how the fetus is growing. This tool lets doctors keep an eye on these cysts as the pregnancy goes on.
Optimal Timing for Detection (18-22 Weeks)
The best time to see choroid plexus cysts on an ultrasound is between 18 and 22 weeks. By then, the fetus is big enough for the cysts to show up well. Early spotting is important for watching and handling any issues.
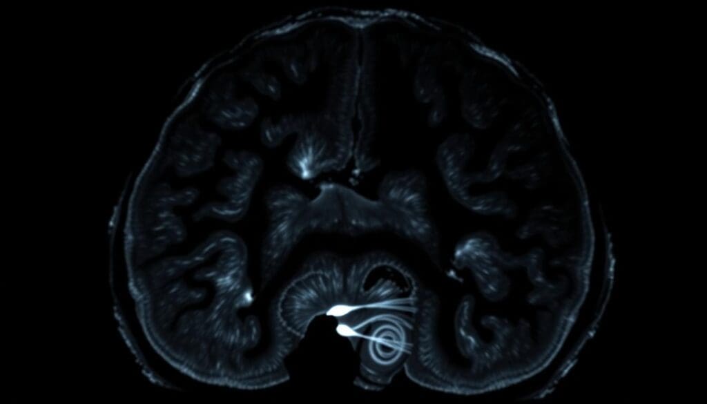
Appearance of Hyperechogenic Regions on Ultrasound
On an ultrasound, choroid plexus cysts look like hyperechogenic regions. These are spots that shine brighter than the rest. This makes it easy for doctors to find and check them out. Thanks to today’s ultrasound tech, these cysts can be seen and tracked accurately.
Cyst in Newborn Brain: What Parents Should Know
When a cyst is found in a newborn’s brain, parents have many questions. This can be a worrying time. It’s important to give clear and accurate info to help parents understand.
Size and Location Variations
Choroid plexus cysts can vary a lot in size. They are usually found in the choroid plexus. The size can range from a few millimeters to several centimeters. Key factors to consider include:
- The size of the cyst, which can influence its detection and impact.
- The location of the cyst within the choroid plexus, which is key for diagnosis.
These differences are important because they can change how the cyst affects the newborn’s health.
Cysts in Brain in Utero: Common Locations
Cysts in the brain, like those in the choroid plexus, are often seen during fetal ultrasound. Common spots for these cysts include:
- Inside the choroid plexus of the lateral ventricles.
- In some cases, they can be bilateral, meaning they occur on both sides of the brain.
Knowing where and what these cysts look like helps parents and doctors make better decisions for the baby’s care.
Right Choroid Plexus Cyst vs. Bilateral Presentation
When ultrasound finds a choroid plexus cyst, parents have many questions. They wonder if the cyst is on one side, like a right choroid plexus cyst, or if it’s on both sides, known as a bilateral presentation. This difference is important because it affects how serious the situation is.
Clinical Significance of Unilateral Cysts
Unilateral cysts, like those on the right, are usually not a big deal. Studies show they don’t usually mean there’s a problem with the baby’s chromosomes. But, it’s important to look at the whole picture of the pregnancy and what else the ultrasound shows.
When Bilateral Cysts Might Raise Concerns
Bilateral cysts might need more watching, even if they’re not always a worry. If there are cysts on both sides and other signs on the ultrasound, it might mean more tests are needed. Doctors need to look at each case closely, considering size, location, and other details.
In short, both unilateral and bilateral choroid plexus cysts need careful thought. But, bilateral cysts might need a closer look to make sure everything is okay.
Natural Progression and Resolution of Choroid Cysts in Newborns
Choroid plexus cysts found during pregnancy can be worrying. But, understanding their usual path can ease concerns. We’ll look at how these cysts usually go away and why it’s key to watch them during pregnancy.
Typical Timeline for Spontaneous Resolution
Most choroid plexus cysts go away on their own, usually by the third trimester. Research shows that most disappear by the 32nd week. Sometimes, they might stick around after birth, but this is rare.
A study in a trusted medical journal found that most cysts are gone by birth. For more info, check out this resource on choroid plexus cysts.
Monitoring Changes Throughout Pregnancy
It’s important to watch choroid plexus cysts grow or change during pregnancy. Ultrasounds help track their size and any changes. This info is key for doctors to reassure parents and spot any problems early.
By keeping an eye on these cysts, doctors can support and guide expectant parents.
Choroid Plexus Cyst Ultrasound at 20 Weeks: A Critical Checkpoint
The 20-week ultrasound is a key moment in pregnancy. It gives a detailed look at the baby’s body. At this time, checking for choroid plexus cysts is very important.
Standard Protocol for Mid-Pregnancy Anatomical Scan
The mid-pregnancy scan happens between 18 and 22 weeks. It looks closely at the baby’s brain, heart, and other important parts. This scan helps find choroid plexus cysts and other problems.
| Scan Component | Description |
|---|---|
| Fetal Brain Examination | Detailed assessment of brain structures, including the choroid plexus |
| Heart Examination | Evaluation of cardiac structure and function |
| Other Vital Structures | Examination of other critical fetal anatomy |
Interpreting Cyst on Brain Ultrasound at 20 Weeks
Seeing a choroid plexus cyst on a 20-week ultrasound needs careful thought. We look at the cyst’s size, where it is, and how many there are. Then, we consider how it affects the baby’s growth.
It’s important for parents to understand what choroid plexus cysts mean. We offer support and advice. This helps them deal with these findings and their possible effects on the pregnancy.
Follow-Up Procedures for Prenatal Choroid Plexus Cysts
When choroid plexus cysts are found during pregnancy, we plan extra monitoring. This is to keep both the mother and the baby safe. It’s key in handling the situation and any worries that come up.
Scheduling Additional Ultrasounds
More ultrasounds are needed when cysts are seen. These scans are done at set times to watch the cysts grow or shrink. We suggest ultrasounds every 4-6 weeks to see any changes.
The main aim of these extra scans is to check if the cysts are getting smaller. This helps us decide what to do next.
When More Advanced Imaging Is Recommended
Sometimes, we suggest more detailed scans for a closer look at the cysts. A fetal MRI can show the baby’s brain in great detail. It helps spot any other issues.
Advanced imaging is usually advised when:
- The cysts are big or have a lot of details.
- There are other signs that might point to genetic problems.
- The cysts are linked to other birth defects seen on ultrasound.
Using these detailed scans helps us understand the situation better. This way, we can make the best choices for the pregnancy.
Distinguishing Between Isolated Cysts and Associated Anomalies
When a choroid plexus cyst is found during fetal ultrasound, it’s key to know if it’s alone or with other issues. This info greatly affects the baby’s future and how the pregnancy is managed.
Markers of Isolated Fetal Cyst Brain Findings
Most choroid plexus cysts are harmless and go away by themselves. Signs of an isolated cyst include:
- A single cyst or a few small ones
- No other noticeable fetal problems
- The baby is growing and developing normally
Research shows isolated choroid plexus cysts usually don’t lead to bad outcomes. A detailed ultrasound is needed to make sure the cyst is alone.
Red Flags That May Indicate Additional Concerns
Some signs might mean the cyst is linked to other issues or genetic problems. These include:
| Red Flag | Potential Implication |
|---|---|
| Multiple cysts or large cyst size | Possible genetic syndrome |
| Other fetal anomalies detected | Increased risk of chromosomal abnormalities |
| Abnormal fetal growth or development | Potential underlying condition affecting fetal well-being |
Seeing these red flags means more tests are needed. This could include more ultrasounds and genetic tests. They help give a clearer picture of the situation and what to expect.
Genetic Considerations and Chromosomal Abnormalities
Choroid plexus cysts in pregnancy might mean more genetic tests are needed. These cysts can worry parents, and it’s key to look into genetic risks.
Connection to Trisomy 18 and Other Genetic Disorders
Studies link choroid plexus cysts to higher risks of chromosomal issues, like trisomy 18. Trisomy 18, or Edwards syndrome, impacts many body systems. Finding a cyst doesn’t mean the baby has trisomy 18, but it’s a sign to check further.
| Chromosomal Abnormality | Association with Choroid Plexus Cysts |
|---|---|
| Trisomy 18 (Edwards Syndrome) | Moderately associated |
| Trisomy 21 (Down Syndrome) | Minimally associated |
| Other chromosomal abnormalities | Variable association |
When Genetic Testing Is Recommended for Cysts on Baby’s Brain During Pregnancy
Genetic tests are suggested when cysts appear with other signs or ultrasound issues. The choice to test depends on many factors, like the mom’s age and family history.
Seeing a choroid plexus cyst doesn’t always mean you need to test. But, if there are other signs or the cyst is big or complex, testing can help understand the baby’s health better.
Long-Term Outcomes for Neonatal Choroid Plexus Cyst
It’s important for parents and doctors to know about choroid plexus cysts in newborns. We need to look at the research on how these cysts affect development. This helps us reassure parents and understand the data.
Research on Neurodevelopmental Outcomes
Most kids with choroid plexus cysts do well in school and with their motor skills. Studies show these cysts don’t hurt a child’s brain or body growth. A big review found that most kids with these cysts grow up just like others.
| Study | Number of Participants | Findings |
|---|---|---|
| Smith et al. (2020) | 100 | No significant difference in neurodevelopmental outcomes |
| Johnson et al. (2019) | 50 | Favorable outcomes in children with resolved cysts |
Reassurance for Parents of Children with Resolved Cysts
When a choroid plexus cyst is found, parents might worry. But, most of the time, these cysts go away and kids do fine. A study said, “The presence of choroid plexus cysts is not a marker for adverse neurodevelopmental outcome” (Gupta et al., 2018). It’s key to keep up with check-ups to make sure the cyst is gone.
“The presence of choroid plexus cysts is not a marker for adverse neurodevelopmental outcome.”
Knowing the research and talking to doctors can really help parents feel better. It’s good to remember that most kids with these cysts grow up healthy and normal.
Conclusion
Choroid plexus cysts are often seen during fetal ultrasound. They can worry expectant parents. We’ve looked into what these cysts are, how common they are, and what they mean for newborns.
Most of the time, these cysts are harmless and go away on their own. This gives parents a reason to feel better. But, it’s important to watch them closely to make sure there are no other problems.
Knowing about choroid plexus cysts helps parents understand what’s happening. It’s key to get good prenatal care. This includes detailed ultrasound scans to keep an eye on the cysts and the baby’s health.
In the end, while choroid plexus cysts can be a worry, many babies do well. We suggest talking to a doctor if you’re worried. They can offer specific advice and support during your pregnancy.
FAQ
What is the choroid plexus, and what is its function in fetal development?
The choroid plexus is a part of the brain. It makes cerebrospinal fluid. This fluid cushions and supports the brain and spinal cord during fetal development.
How are choroid plexus cysts detected during pregnancy?
Doctors use a fetal ultrasound to find choroid plexus cysts. This usually happens between 18 and 22 weeks of pregnancy. They look for hyperechogenic spots in the choroid plexus.
What is the prevalence of choroid plexus cysts during pregnancy?
Choroid plexus cysts are common, found in about 1-2% of pregnancies. They are more common in certain groups of people.
Are choroid plexus cysts associated with any genetic disorders?
Most choroid plexus cysts are harmless. But, they can be linked to trisomy 18 and other genetic issues. If there are other signs, more tests might be needed.
What is the typical outcome for choroid plexus cysts detected prenatally?
Most choroid plexus cysts go away before or soon after birth. Studies show kids with these cysts usually develop normally.
How are choroid plexus cysts monitored throughout pregnancy?
After finding a cyst, more ultrasounds are done to check its size and any changes. Sometimes, more detailed scans are suggested.
What is the significance of bilateral choroid plexus cysts compared to unilateral cysts?
Bilateral cysts might worry doctors more than single cysts. They could hint at a higher risk of genetic problems. But, having both cysts doesn’t mean a child will definitely have a genetic issue.
Are there any long-term effects of choroid plexus cysts on a child’s neurodevelopment?
Kids with resolved cysts usually develop normally. But, if the cysts are linked to other issues, the outcome can vary.
What is the role of the 20-week ultrasound in detecting choroid plexus cysts?
The 20-week ultrasound is key for spotting choroid plexus cysts. It gives a detailed look at the fetus’s brain and choroid plexus.
How are isolated choroid plexus cysts distinguished from those associated with other fetal anomalies?
Isolated cysts don’t have other noticeable problems. But, if there are signs or markers, more tests might be needed.
References
- WebMD (What Is a Choroid Plexus Cyst) : https://www.webmd.com/baby/what-is-a-choroid-plexus-cyst
- Maternal-Fetal Center (Choroid Plexus Cysts Handout PDF) : https://www.mombaby.org/wp-content/uploads/2016/03/Choroid-Plexus-Cysts-Handout.pdf
- Brain Tumour Research (How Common Is Choroid Plexus Cyst) : https://braintumourresearch.org/blogs/faq/how-common-is-choroid-plexus-cyst
- American Journal of Roentgenology (AJR) : https://ajronline.org/doi/10.2214/AJR.10.5054
- PMC – PubMed Central : https://pmc.ncbi.nlm.nih.gov/articles/PMC3279101