The first stage of bladder cancer, known as Stage 0, is a critical phase. At this stage, the cancer is non-invasive and only in the inner lining of the bladder. It hasn’t invaded the muscle wall yet.

According to the American Cancer Society, Stage 0 bladder cancer symptoms has two types. These are non-invasive papillary carcinoma (Ta) and carcinoma in situ (Tis). Knowing about these types is key to effective treatment and management.
Early detection is very important. It can greatly improve treatment outcomes. By catching symptoms of bladder cancer early, people can get medical help quickly. This can help their chances of recovery.
Key Takeaways
- Stage 0 bladder cancer is non-invasive and confined to the bladder’s inner lining.
- There are two types of Stage 0 bladder cancer: non-invasive papillary carcinoma (Ta) and carcinoma in situ (Tis).
- Early detection of symptoms of bladder cancer is key to effective treatment.
- Understanding the types and characteristics of Stage 0 bladder cancer is vital for management.
- The American Cancer Society provides valuable resources for understanding urothelial carcinoma and its staging.
Understanding Stage 0 Bladder Cancer
Stage 0 bladder cancer has two main types: non-invasive papillary carcinoma and carcinoma in situ. It’s a stage where cancer cells are in the bladder lining but haven’t spread deeper. This makes it a key time for early treatment.
Definition and Classification of Non-Invasive Papillary Carcinoma
Non-invasive papillary carcinoma, or Ta, grows in a finger-like shape into the bladder. The American Cancer Society says it stays in the bladder lining and doesn’t grow into the wall. “The American Joint Committee on Cancer (AJCC) TNM system is used to stage bladder cancer, with Stage 0 including non-invasive papillary carcinoma (Ta),” emphasizing the importance of accurate staging for treatment planning.

Carcinoma in Situ: Another Form of Stage 0
Carcinoma in situ (Tis), or CIS, is a flat, high-grade lesion in the bladder lining. It’s seen as a precursor to invasive bladder cancer because it can grow if not treated. Medical experts say, “Carcinoma in situ is an aggressive form of bladder cancer that requires prompt treatment to prevent progression.” The aggressive nature of CIS shows why it needs careful watching and treatment.
Both non-invasive papillary carcinoma and carcinoma in situ fall under Stage 0 bladder cancer. Knowing these differences is key to finding the right treatment. It helps improve outcomes for patients with genitourinary cancers.
Common Bladder Cancer Symptoms in Early Stages
It’s important to know the early signs of bladder cancer to get medical help quickly. Early detection is key to bladder cancer treatment. We’ll look at common signs that might mean you have bladder cancer. This will help you know when to see a doctor.
Hematuria: The Primary Warning Sign in 80-90% of Cases
Hematuria, or blood in the urine, is the main symptom of bladder cancer. It’s seen in 80-90% of cases. The urine might look pink, red, or cola-colored. It’s key to remember that hematuria can be off and on, and the blood might not always be seen. A test called urinalysis can find tiny amounts of blood in the urine, which is very important for diagnosis.

Other Possible Early Symptoms to Watch For
While hematuria is the most common sign, other symptoms can also point to bladder cancer. These include:
- Dysuria: Pain or burning while you pee.
- Frequent urination: Needing to pee more than usual.
- Urgency: Feeling like you need to pee right away.
- Mucus in urine: Seeing mucus or other strange stuff in your pee.
These symptoms can mean different things, not just bladder cancer. But if they keep happening or you see blood, you should see a doctor.
When to Seek Medical Attention
If you have any of these symptoms, like hematuria, see a doctor right away. Getting diagnosed early can really help with bladder cancer treatment. Don’t wait if you notice:
- Keep seeing blood in your pee.
- Changes in how you pee.
- Pain or discomfort when you pee.
Your doctor will do tests like urinalysis, cystoscopy, and imaging to find out what’s going on.
Risk Factors and Demographics for Stage 0 Bladder Cancer
Knowing the risk factors for Stage 0 bladder cancer is key to catching it early. Many things can increase your chance of getting this disease. These include who you are, your lifestyle, and your genes.
Age and Gender: Higher Risk in Men and Older Adults
Age and gender are big factors in bladder cancer risk. Men are more likely to get bladder cancer than women. They are three to four times more at risk. Most cases happen in people over 55.
The reasons for this gender gap are not clear. It might be because of differences in smoking and work hazards.
Lifestyle and Environmental Risk Factors
Lifestyle and environment are also important. Smoking is the biggest risk, causing half of all cases. Work exposure to chemicals in dyes, rubber, and paint also raises risk. Drinking water with arsenic increases bladder cancer risk, too.
Genetic Predispositions and Family History
Genetics also plays a part. If your family has bladder cancer, you’re at higher risk. Some genetic syndromes, like Lynch syndrome, also raise your risk.
U.S. Statistics: 81,000 New Cases Annually
Bladder cancer is a big problem in the U.S. The CDC says there are about 81,000 new cases every year. Knowing who’s at risk helps us prevent and screen better.
Diagnosis and Treatment of Early Bladder Cancer
It’s important for patients and doctors to know about early bladder cancer diagnosis and treatment. Getting the right diagnosis and treatment can greatly improve a patient’s chances of recovery.
Diagnostic Methods
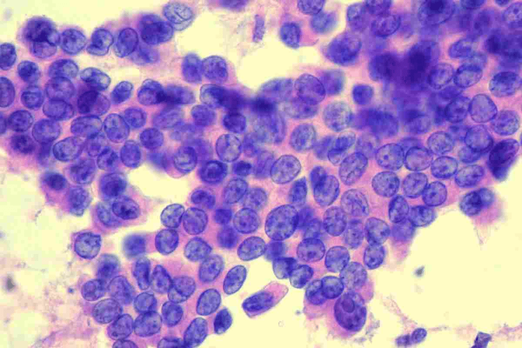
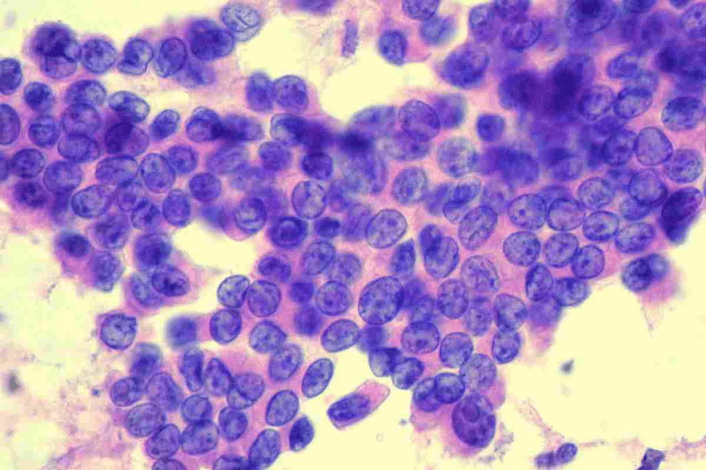
Several methods are used to diagnose bladder cancer. Cystoscopy is a key tool where a doctor uses a cystoscope to look inside the bladder. A biopsy might be done to take tissue samples for more tests.
Tests like CT scans or MRIs are also used to see how big the cancer is. The National Cancer Institute says these tests help doctors know how to treat the cancer best.
TURBT: The Primary Treatment Approach
Transurethral Resection of Bladder Tumor (TURBT) is a main treatment for early bladder cancer. This surgery removes the tumor from the bladder wall. It helps doctors diagnose and treat the cancer at the same time.
A medical expert says, “TURBT is key for diagnosing and treating bladder cancer. It’s a way to manage the disease without a big surgery.”
Intravesical Therapy Options
Intravesical therapy is sometimes suggested for patients. It involves putting medicine directly into the bladder through a catheter. This therapy can help stop the cancer from coming back.
There are two kinds of intravesical therapy: BCG immunotherapy and chemotherapy. BCG helps the immune system fight cancer. Chemotherapy kills cancer cells directly.
Follow-up and Surveillance Protocols
After treatment, it’s important to keep an eye on the patient for any signs of cancer coming back. This includes regular cystoscopy, imaging tests, and urine tests.
“Regular follow-up is key for catching cancer early and keeping patients healthy,” a top urologist said.
Following the recommended follow-up schedule is vital for the best results in treating early bladder cancer.
Conclusion: Prognosis and Importance of Early Detection
Early detection of bladder cancer greatly improves patient outcomes. Knowing the early stages, like stage 0 bladder cancer, is key to quick action. Urothelial carcinoma, the most common bladder cancer type, can be managed well if caught early.
Being aware of symptoms like hematuria and risk factors like age and genetics helps people get medical help fast. Tests like cystoscopy and biopsy are important for finding urothelial carcinoma and other bladder issues, including those found in low-power field (LPF) urine analysis.
Effective treatments, like TURBT and intravesical therapy, can greatly improve bladder cancer prognosis. We highlight the need for follow-up and surveillance to ensure long-term success. Early detection is key to better treatment chances and a better quality of life.
FAQ
What is Stage 0 bladder cancer?
Stage 00 bladder cancer is a non-invasive cancer. It stays in the inner lining of the bladder. It hasn’t reached the muscle wall yet. It’s divided into two types: non-invasive papillary carcinoma and carcinoma in situ.
What are the symptoms of bladder cancer in the early stages?
Early signs of bladder cancer include blood in the urine, known as hematuria. You might also feel the need to urinate often, experience painful urination, or have abdominal pain.
What are the risk factors for developing bladder cancer?
Several factors increase your risk of bladder cancer. These include age, gender, lifestyle, and genetics. Men and older adults are more at risk. Smoking, exposure to chemicals, and family history also play a role.
How is bladder cancer diagnosed?
Doctors use several methods to diagnose bladder cancer. These include cystoscopy, biopsy, and imaging tests. Cystoscopy lets them see inside the bladder, with a tube biopsy removes tissue for examination.
What are the treatment options for early bladder cancer?
Early bladder cancer is treated with TURBT and intravesical therapy. TURBT removes the tumor from the bladder. Intravesical therapy delivers medication directly into the bladder.
What is the significance of squamous epithelial cells in urine?
Finding squamous epithelial cells in urine might indicate a bladder issue. Sometimes, it could hint at bladder cancer. But these cells alone don’t confirm cancer.
How often should I undergo surveillance for bladder cancer after treatment?
The frequency of follow-up tests for bladder cancer varies. It depends on your case and treatment. Usually, regular cystoscopy and imaging are recommended to watch for any signs of cancer coming back.
Can mucus in urine be a sign of bladder cancer?
Mucus in urine can point to several issues, including bladder cancer. Yet, it’s not a clear sign of cancer. Symptoms like blood in the urine are more often linked to bladder cancer.
What is urothelial carcinoma?
Urothelial carcinoma, or transitional cell carcinoma, is a cancer in the urinary system’s lining. It’s the most common bladder cancer type.
References
- American Cancer Society. (2022). What Is Bladder Cancer? Retrieved from https://www.cancer.org/cancer/bladder-cancer/about/what-is-bladder-cancer.html
- National Cancer Institute. (2023). Bladder Cancer Treatment (PDQ ®)”Patient Version. Retrieved from https://www.cancer.gov/types/bladder/patient/bladder-treatment-pdq