
Alzheimer’s disease is a serious brain disorder that harms memory and thinking. At Liv Hospital, we focus on understanding the brain changes it causes.
The buildup of amyloid plaques is a key sign of Alzheimer’s. It leads to the death of brain cells and loss of tissue. As the disease gets worse, the brain’s functions are greatly affected.
We know how important it is to grasp Alzheimer’s disease and its effects on people and families. Our goal is to offer full support and the latest medical treatments for those dealing with it.
Key Takeaways
- Alzheimer’s disease is a progressive neurological disorder.
- Amyloid plaques accumulation is a hallmark feature of Alzheimer’s.
- The disease leads to neuronal death and tissue loss.
- Advanced medical treatments are available for managing the condition.
- Comprehensive support is key for individuals and families affected.
Understanding Alzheimer’s Disease and the Brain

Alzheimer’s disease affects the brain in many ways. It causes the buildup of amyloid plaques and neurofibrillary tangles. These changes harm the brain and affect not just the person but also their loved ones.
It’s important to know what Alzheimer’s is, how common it is, and why brain health matters.
Definition and Prevalence of Alzheimer’s Disease
Alzheimer’s is a brain disorder that makes the brain shrink and brain cells die. It’s the main cause of dementia, affecting 60-80% of cases. It leads to a decline in thinking, behavior, and social skills, impacting daily life.
More than 6 million Americans have Alzheimer’s, and this number is growing as people live longer. The disease is more common with age, affecting 1 in 9 people over 65 and 1 in 3 over 85.
While age is the biggest risk factor, family history, genetics, and lifestyle also play a part.
The Importance of Brain Health
Keeping the brain healthy is key to staying well. A healthy brain helps us think clearly and remember things. Good brain health comes from eating right, exercising, sleeping well, and staying mentally active.
Understanding the value of brain health can encourage people to live healthier. This might help lower the risk of Alzheimer’s and other brain diseases.
|
Factors Contributing to Brain Health |
Description |
Impact on Alzheimer’s Risk |
|---|---|---|
|
Balanced Diet |
Eating a diet rich in fruits, vegetables, and omega-3 fatty acids. |
May reduce the risk of cognitive decline. |
|
Regular Exercise |
Engaging in physical activity that promotes cardiovascular health. |
Shown to lower the risk of developing Alzheimer’s. |
|
Adequate Sleep |
Getting sufficient sleep to allow the brain to clear waste. |
Poor sleep is linked to an increased risk of cognitive decline. |
Overview of How Alzheimer’s Affects Brain Function
Alzheimer’s damages brain cells and the connections between them. It causes amyloid plaques and neurofibrillary tangles. These changes start about 20 years before symptoms appear.
These changes disrupt brain communication, leading to symptoms like memory loss and confusion. Understanding how Alzheimer’s affects the brain is key to finding treatments.
The Healthy Brain: Structure and Function

A healthy brain is made up of billions of neurons that work together. This complex system helps us think, learn, remember, and plan. Knowing how the brain works normally helps us understand how Alzheimer’s disease affects it.
Normal Brain Anatomy
The brain has different areas, each with its own job. The outer layer, the cerebral cortex, handles sensory info, movement, and thinking. Below it, the white matter connects different brain parts.
The brain also has blood vessels for oxygen and nutrients. It’s divided into lobes like the frontal and temporal lobes, each with its own role. Knowing the brain’s normal structure is key to spotting changes in Alzheimer’s.
How Neurons Communicate
Neurons are the brain’s building blocks. They talk to each other through electrical and chemical signals. When a neuron gets a signal, it sends an electrical impulse down its axon.
This impulse releases neurotransmitters into the gap between neurons. These neurotransmitters then bind to receptors on other neurons, passing the signal. This complex process lets neurons work together, enabling us to think and move. In Alzheimer’s, this communication breaks down, causing cognitive decline.
The Role of Proteins in Brain Health
Proteins are vital for brain health. Tau protein, for example, helps keep neurons stable. In a healthy brain, tau keeps microtubules strong. But in Alzheimer’s, tau detaches and forms tangles, blocking transport and causing dysfunction.
|
Protein |
Normal Function |
Alzheimer’s-Related Change |
|---|---|---|
|
Tau Protein |
Stabilizes microtubules |
Forms neurofibrillary tangles |
|
Amyloid Protein |
Role in neuronal function |
Accumulates as beta-amyloid plaques |
Understanding proteins like tau and amyloid is key to treating Alzheimer’s. By studying how these proteins work in healthy brains and how they change in Alzheimer’s, we can find new treatments.
The Two Hallmarks of Alzheimer’s Disease
Alzheimer’s disease is a complex disorder that affects the brain. It is marked by two main features: beta-amyloid plaques and neurofibrillary tangles. These brain lesions are key to understanding how the disease progresses and affects thinking.
Formation and Location of Beta-Amyloid Plaques
Beta-amyloid plaques are abnormal protein fragments that build up between brain cells. They form from the amyloid precursor protein (APP). These plaques are a major sign of Alzheimer’s and can damage brain cells and reduce thinking skills.
These plaques mainly form outside brain cells, in areas important for memory and thinking. The more plaques there are, the worse the symptoms of Alzheimer’s can be.
Development and Impact of Neurofibrillary Tangles
Neurofibrillary tangles are abnormal structures inside brain cells. They are made of tau protein that has been abnormally changed. This leads to insoluble fibrils that harm brain cells.
Tangles disrupt brain cell function and can cause cell death. The more tangles there are, the more severe Alzheimer’s symptoms can be. Tangles spreading in the brain also means the disease is getting worse.
Interaction Between Plaques and Tangles
The relationship between beta-amyloid plaques and neurofibrillary tangles is complex. Research shows that plaques might help form tangles, but the exact process is not fully understood.
Having both plaques and tangles together makes brain damage and thinking problems worse. Studying how these two features work together is important for finding treatments for Alzheimer’s.
Key Points:
- Beta-amyloid plaques are extracellular deposits of amyloid peptides.
- Neurofibrillary tangles are intracellular inclusions of hyperphosphorylated tau protein.
- The interaction between plaques and tangles contributes to Alzheimer’s disease pathology.
Brain Tangles: The Twisted Proteins of Alzheimer’s
In Alzheimer’s disease, tau protein changes, leading to neurofibrillary tangles. These tangles are key to the disease’s progression.
The Normal Function of Tau Protein
Tau protein helps keep neurons stable and flexible. It’s important for moving nutrients and signals along the neuron. Tau protein’s normal function is vital for the health and function of neurons.
In a healthy brain, tau protein is bound to microtubules. This keeps them stable. The binding is dynamic and regulated by factors like phosphorylation. Proper regulation is key for normal neuronal function.
How Tau Becomes Abnormal in Alzheimer’s
In Alzheimer’s, tau protein gets abnormally phosphorylated. This causes it to detach from microtubules. The abnormal tau protein disrupts the normal transport system within neurons, leading to cellular dysfunction.
As tau protein gets more phosphorylated, it can’t bind to microtubules anymore. This destabilizes microtubules and disrupts axonal transport. The buildup of abnormal tau protein is toxic to neurons, causing them to degenerate.
“The formation of neurofibrillary tangles is a complex process involving the abnormal phosphorylation and aggregation of tau protein.”Recent research on Alzheimer’s disease pathology
The Spread of Tangles Throughout the Brain
Neurofibrillary tangles spread throughout the brain, affecting various regions. This spread is linked to the severity of cognitive decline and symptoms.
The spread of tangles involves abnormal tau protein being transmitted from neuron to neuron. This can happen through the release of tau protein into the extracellular space and its uptake by nearby neurons. The spread of tangles is a key factor in the progression of Alzheimer’s disease.
Understanding tau protein and neurofibrillary tangles is key to treating Alzheimer’s. Research into tangle formation and spread is ongoing. New therapeutic targets are being explored.
Amyloid Plaques: The Sticky Deposits Between Neurons
Amyloid plaques are sticky deposits that form between neurons. They are a key feature of Alzheimer’s disease. These plaques are made up of beta-amyloid peptides, which come from the amyloid precursor protein (APP).
These plaques are not just passive deposits. They actively disrupt the brain’s normal functioning. We will explore how they form, their impact on neural communication, and their role in Alzheimer’s disease progression.
Beta-Amyloid Production and Accumulation
Beta-amyloid production is normal in the brain. But in Alzheimer’s disease, it goes wrong. The abnormal accumulation of beta-amyloid peptides between neurons starts about 20 years before cognitive symptoms appear.
The beta-amyloid peptides are “sticky” and tend to aggregate. They form insoluble fibrils that accumulate into plaques. It’s not just the quantity that matters, but also the arrangement and form of beta-amyloid.
How Plaques Disrupt Neural Communication
Amyloid plaques disrupt neural communication in several ways. They can cause inflammation and activate immune responses that damage neurons. Soluble beta-amyloid oligomers, which are groups of a few beta-amyloid peptides, can be toxic to neurons. They disrupt synaptic function.
Studies show that the most damaging form of beta-amyloid may be these smaller oligomers. These oligomers can interfere with synaptic plasticity. Synaptic plasticity is important for learning and memory.
The Amyloid Cascade Hypothesis
The amyloid cascade hypothesis suggests that beta-amyloid accumulation is the initial event in Alzheimer’s disease. It proposes that the deposition of beta-amyloid triggers a cascade of events. These include tau phosphorylation, neurofibrillary tangle formation, and neuronal loss.
|
Event |
Description |
|---|---|
|
Beta-amyloid accumulation |
Initial deposition of beta-amyloid peptides |
|
Tau phosphorylation |
Abnormal modification of tau protein |
|
Neurofibrillary tangle formation |
Formation of insoluble tau aggregates |
|
Neuronal loss |
Death of neurons due to disease progression |
Timeline of Brain Changes in Alzheimer’s Disease
It’s key to know how Alzheimer’s disease changes the brain to catch it early. This disease slowly gets worse over years, affecting many brain areas.
The Preclinical Phase: Changes 10-20 Years Before Symptoms
Alzheimer’s starts long before symptoms show up. This is called preclinical Alzheimer’s disease. In this stage, which can last 10-20 years, the brain changes a lot without symptoms. Beta-amyloid plaques and neurofibrillary tangles start to form, setting the stage for cognitive decline.
Studies show the brain changes a lot in this phase. Amyloid-beta peptides and tau protein changes happen. These can be seen with special imaging and biomarkers, helping with early diagnosis.
Early Symptomatic Phase: Mild Cognitive Impairment
As Alzheimer’s gets worse, people may notice memory or cognitive issues. These are not severe enough to greatly affect daily life. The move from preclinical Alzheimer’s to MCI is a key moment in the disease’s journey.
In this phase, brain shrinkage and neuron connection problems get worse. Symptoms become clearer, making diagnosis easier with tests and doctor’s evaluations.
Advanced Disease: Severe Brain Atrophy
In the late stages of Alzheimer’s, brain shrinkage is extreme, and thinking skills decline a lot. Patients may struggle with talking, swallowing, and moving. The widespread brain damage at this stage highlights the need for early action.
By this time, the disease has hit many brain areas, causing big losses in thinking and doing things. At this stage, care and support are vital.
Brain Regions Affected by Alzheimer’s Disease
Alzheimer’s disease targets specific brain areas important for memory and thinking. Knowing which areas are affected and how is key to understanding the disease’s impact.
The Entorhinal Cortex and Early Changes
At the start, the entorhinal cortex shows changes. This area is key for memory. It connects the hippocampus and neocortex, helping store memories.
As Alzheimer’s hits this area, memory and navigation problems start. Studies show the entorhinal cortex is first hit by neurofibrillary tangles. These tangles mess with neurons, causing early symptoms.
Hippocampal Damage and Memory Loss
The hippocampus is vital for making new memories. Damage here leads to memory loss, a key Alzheimer’s symptom. As the disease worsens, the hippocampus shrinks, making memory worse.
- The hippocampus is key for spatial memory and navigation.
- Damage here makes it hard to make new memories.
- Hippocampal shrinkage is a sign of Alzheimer’s getting worse.
Progression to the Cerebral Cortex
As Alzheimer’s gets worse, it reaches the cerebral cortex. This outer brain layer handles sensory info, movement, and thinking. Damage here causes more thinking problems, like language and problem-solving issues.
Reaching the cerebral cortex is a big step in the disease. It affects more areas of thinking and movement. This stage brings more noticeable symptoms and daily life challenges.
Relative Preservation of Motor and Sensory Areas
Alzheimer’s usually spares the primary motor and sensory areas early on. These areas handle basic functions like movement and feeling. This is why many Alzheimer’s patients keep basic motor skills until later.
But, in the disease’s later stages, even these areas can be affected. This leads to a big drop in both thinking and motor skills.
Cellular Mechanisms of Neurodegeneration
Understanding how cells work in neurodegeneration is key to fighting Alzheimer’s. Many cellular processes work together to cause this disease.
Disruption of Axonal Transport
In Alzheimer’s, axonal transport doesn’t work right. Tau protein detaches and forms twisted strands that block transport. This stops nutrients and organelles from moving, causing neuron damage.
Synaptic Dysfunction and Loss
Synaptic dysfunction is a big part of Alzheimer’s. Amyloid-beta plaques and tau tangles mess with how neurons talk to each other. This leads to impaired neural communication and cognitive decline.
Neuroinflammation and Microglial Activation
Neuroinflammation is a major factor in Alzheimer’s. Microglia, the brain’s immune cells, get activated and release harmful substances. Finding ways to control this is key to treating the disease.
Oxidative Stress and Mitochondrial Damage
Oxidative stress harms mitochondria, leading to energy problems in neurons. Antioxidant strategies might help fix this issue.
Studying these cellular mechanisms helps us understand Alzheimer’s better. This knowledge is vital for creating effective treatments.
Brain Atrophy: The Visible Signs of Alzheimer’s
Alzheimer’s disease causes the brain to shrink significantly. This shrinkage affects nearly all brain functions. People with advanced Alzheimer’s can’t communicate well, recognize family, or take care of themselves.
Patterns of Brain Shrinkage
Brain shrinkage in Alzheimer’s is not even. Some areas, like the hippocampus, are hit hard first. This area is key for memory. As the disease gets worse, other parts like the temporal and parietal lobes shrink too. This leads to many cognitive and functional problems.
Ventricle Enlargement
Another sign of Alzheimer’s is bigger ventricles. The ventricles are spaces in the brain filled with fluid. When brain tissue shrinks, the ventricles get bigger. This is a key marker of the disease’s progress in scans.
Correlation Between Atrophy and Cognitive Decline
Brain shrinkage and cognitive decline are closely linked in Alzheimer’s. Studies show that as the brain gets smaller, thinking skills worsen. This link highlights the need to watch brain atrophy in managing and studying Alzheimer’s. It helps us understand how the disease progresses.
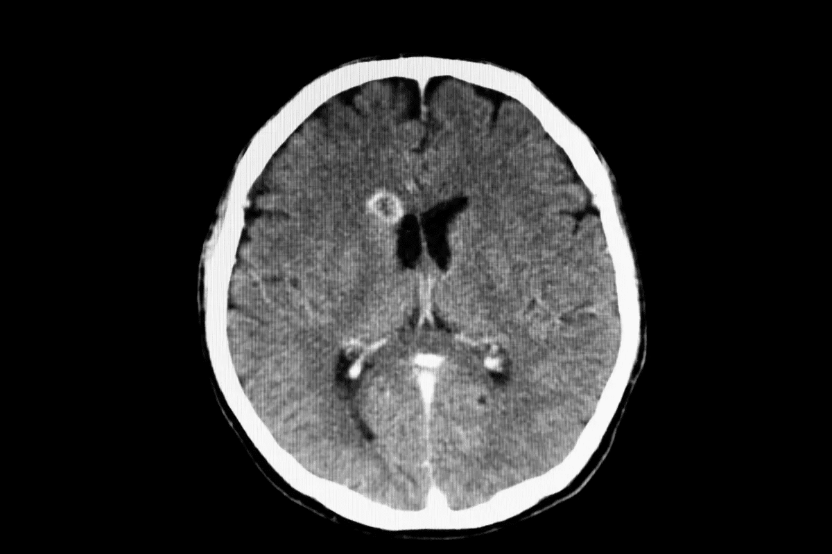
Visualizing the Alzheimer’s Brain: Diagnostic Imaging
Diagnostic imaging has changed how we diagnose and track Alzheimer’s disease. It helps us see the brain’s changes as the disease progresses. We’ll look at MRI, PET scans, and new technologies for viewing the Alzheimer’s brain.
Detecting Structural Changes with MRI
Magnetic Resonance Imaging (MRI) is key for spotting brain changes in Alzheimer’s. It shows the brain’s details, helping find atrophy in certain areas. This info is vital for diagnosing and tracking the disease.
One big plus of MRI is measuring brain structure volumes. For example, it can show hippocampal atrophy, a sign of Alzheimer’s. Here’s a table showing brain volume differences between healthy people and those with Alzheimer’s:
|
Brain Region |
Healthy Individuals |
Alzheimer’s Disease |
|---|---|---|
|
Hippocampus |
4.5 cm³ |
2.8 cm³ |
|
Entorhinal Cortex |
2.2 cm³ |
1.5 cm³ |
|
Cerebral Cortex |
450 cm³ |
380 cm³ |
Visualizing Amyloid and Tau with PET Scans
PET scans are also vital for Alzheimer’s research. They show amyloid plaques and neurofibrillary tangles, key signs of the disease. By using special tracers, PET scans can spot these proteins in the brain.
Seeing amyloid and tau in the brain has greatly helped us understand Alzheimer’s. It also opens doors for research into treatments targeting these proteins.
Emerging Imaging Technologies
New imaging technologies are being developed to better understand Alzheimer’s. These new tools promise to give us more detailed brain information. Along with biomarkers and genetic tests, they will be key as new treatments are found.
The future of diagnosing and managing Alzheimer’s looks bright. Ongoing research into new imaging methods is promising. These advancements will help in early detection and care, improving patient outcomes.
Current Research on Brain Mechanisms in Alzheimer’s
Recent studies have given us new insights into Alzheimer’s disease. We’re learning more about the brain’s complex workings in this condition. New findings are showing us that Alzheimer’s is more than just amyloid and tau proteins.
Beyond Amyloid and Tau: New Pathological Insights
While amyloid plaques and neurofibrillary tangles are key, other factors are also important. Inflammation and oxidative stress are now seen as major players. Alzheimer’s is a complex disorder, with many factors at play.
Researchers are trying to understand why proteins build up in Alzheimer’s. They believe this happens long before symptoms appear. This highlights the need for more research into Alzheimer’s causes.
Genetic Factors Influencing Brain Changes
Genetics play a big role in who gets Alzheimer’s. Some genetic mutations raise the risk, mainly for early-onset cases. Scientists are working to find new genetic markers and understand how genes and environment interact.
The APOE4 allele is known to increase Alzheimer’s risk. Yet, not everyone with it gets the disease. This shows we need to keep studying Alzheimer’s genetics.
The Role of Vascular Health in Brain Protection
Vascular health is key to fighting Alzheimer’s. Good blood flow helps protect the brain. Things like hypertension, diabetes, and lifestyle choices affect blood flow and Alzheimer’s risk.
Research is exploring how blood flow impacts Alzheimer’s. By understanding this link, we might find new ways to prevent and treat the disease.
In summary, research is deepening our understanding of Alzheimer’s. By looking into new insights, genetics, and vascular health, we’re getting closer to better treatments and outcomes.
Conclusion: The Changing Understanding of Alzheimer’s Brain Pathology
Alzheimer’s disease is complex and affects people differently. It’s marked by brain changes like beta-amyloid plaques and neurofibrillary tangles. These changes harm how the brain works.
The disease’s brain changes happen slowly over years. It starts to affect more brain areas as time goes on. Each person’s experience with Alzheimer’s is unique, with different symptoms and progress.
Our knowledge of Alzheimer’s brain changes is growing. Research into proteins, genetics, and blood vessels is helping us understand it better. This new knowledge helps us see how the disease impacts the brain.
This growing understanding is key for finding better treatments and support. By studying Alzheimer’s brain changes, we aim to improve life for those affected. This work is essential for helping those with Alzheimer’s.
FAQ
What is Alzheimer’s disease and how does it affect the brain?
Alzheimer’s disease is a brain disorder that gets worse over time. It affects memory, thinking, and daily tasks. This happens because of amyloid plaques and neurofibrillary tangles in the brain, causing neurons to die and tissue to be lost.
What are the hallmark features of Alzheimer’s disease?
Alzheimer’s disease is marked by two main features. These are beta-amyloid plaques and neurofibrillary tangles. They build up in the brain and mess with how it works.
How do beta-amyloid plaques form and what is their impact on the brain?
Beta-amyloid plaques form when beta-amyloid peptides pile up between neurons. This disrupts how neurons talk to each other. It also helps Alzheimer’s disease get worse.
What is the role of tau protein in Alzheimer’s disease?
Tau protein is key in neurofibrillary tangles. When it gets abnormally phosphorylated and aggregates, it contributes to Alzheimer’s disease.
How does Alzheimer’s disease progress in the brain?
Alzheimer’s disease goes through several stages. These include the preclinical phase and advanced disease. Each stage has its own brain changes and symptoms.
Which brain regions are affected by Alzheimer’s disease?
Alzheimer’s disease impacts many brain areas. These include the entorhinal cortex, hippocampus, and cerebral cortex. This leads to different symptoms and cognitive decline.
What are the cellular mechanisms underlying neurodegeneration in Alzheimer’s disease?
Neurodegeneration in Alzheimer’s disease involves several cellular mechanisms. These include disrupted axonal transport, synaptic dysfunction, neuroinflammation, and oxidative stress.
How is brain atrophy related to Alzheimer’s disease?
Brain atrophy is a key feature of Alzheimer’s disease. It’s seen as brain shrinkage, ventricle enlargement, and is linked to cognitive decline.
What diagnostic imaging techniques are used to visualize the Alzheimer’s brain?
To see the Alzheimer’s brain, imaging techniques like MRI, PET scans, and new technologies are used. They help track how the disease progresses.
What is the current understanding of the relationship between amyloid plaques and neurofibrillary tangles in Alzheimer’s disease?
Research shows that amyloid plaques and neurofibrillary tangles work together in Alzheimer’s disease. They contribute to its progression. Scientists are studying their complex relationship.
How do genetic factors influence brain changes in Alzheimer’s disease?
Genetics play a role in Alzheimer’s disease. Mutations in genes like APP, PSEN1, and PSEN2 can affect amyloid production and tau pathology in the brain.
What is the role of vascular health in protecting the brain from Alzheimer’s disease?
Keeping the blood vessels healthy is important for the brain. Factors like hypertension, diabetes, and atherosclerosis can increase the risk of Alzheimer’s disease.
Reference
World Health Organization. Evidence-Based Medical Guidance. Retrieved from https://www.who.int/news-room/fact-sheets/detail/dementia



