
Diagnosing childhood brain cancer is tough for parents and doctors. With more brain tumors in kids, knowing how to diagnose them is key.
The brain tumor hand test has gained attention for its ability to identify brain tumor symptoms. Finding tumors early is vital for better treatment and results.
We’ll look at how to check for brain tumors in kids. This will help parents understand the process better.
Key Takeaways
- Knowing the signs of brain cancer in kids is important for early detection.
- The brain tumor hand test has gained attention for its ability to identify brain tumor symptoms.
- Early diagnosis helps a lot in treating children with brain tumors.
- There are many ways to check for brain tumors in kids.
- Parents should know about these methods to help during diagnosis.
Understanding Childhood Brain Tumors

It’s vital for parents and doctors to know about childhood brain tumors. This knowledge helps spot symptoms early and act fast. Brain tumors in kids are different, based on their type, where they grow, and how they show up.
Common Types of Brain Tumors in Children
There are many kinds of brain tumors in kids. They are named based on where they start and how they grow. Here are some common ones:
- Medulloblastoma: A fast-growing tumor in the cerebellum, more common in kids.
- Glioma: These tumors come from the brain’s glial tissue. They can be mild or very serious.
- Ependymoma: Tumors that grow from cells lining the brain’s ventricles and spinal cord.
- Craniopharyngioma: These are not cancerous. They grow near the pituitary gland, affecting hormone levels.
Prevalence and Statistics
Brain tumors are a big deal in kids, says the American Cancer Society. About 4,200 kids get diagnosed with primary brain tumors each year in the U.S. This shows how important it is to catch these tumors early.
| Type of Tumor | Approximate Percentage | Typical Age Group |
| Medulloblastoma | 15-20% | Children under 10 |
| Glioma | 50-60% | Various, including children and adolescents |
| Ependymoma | 5-10% | Children and young adults |
| Craniopharyngioma | 2-5% | Children and adolescents |
Risk Factors for Pediatric Brain Tumors
What causes brain tumors in kids is not always clear. But some things can increase the risk. These include:
- Genetic predisposition: Kids with certain genetic syndromes, like Li-Fraumeni or neurofibromatosis, are at higher risk.
- Exposure to ionizing radiation: Getting radiation therapy to the head or being exposed to it during tests.
- Family history: Having a family history of brain tumors or other cancers can slightly raise the risk.
Knowing these risk factors helps in catching and treating brain tumors early. It’s key for parents and doctors to watch for signs and get kids checked out quickly.
Recognizing Warning Signs and Symptoms

Spotting the signs of brain tumors in kids is key to better treatment. Brain tumors in children show up in different ways, depending on their age.
Common Neurological Symptoms
Children with brain tumors often have headaches, vomiting, and seizures. These happen because the tumor presses on the brain or messes with how it works.
Headaches are a big problem and can be very bad. They might get worse in the morning and make kids throw up. Seizures are another serious sign, showing a sudden burst of brain activity.
Age-Specific Symptoms in Infants, Toddlers, and Older Children
Symptoms of brain tumors change with age. Infants and toddlers might have bigger heads, throw up a lot, and get upset easily. They might also not develop as they should.
In older children, symptoms are more like those in adults. They might have headaches, feel sick, throw up, and have seizures. They could also feel weak, act differently, or struggle in school.
When Symptoms Warrant Immediate Medical Attention
Parents need to know when to get their kids to the doctor fast. Severe headaches, constant vomiting, double vision, or seizures are signs to watch out for.
Also, any big change in behavior is a reason to see a doctor. This includes being more irritable, tired, or having trouble with thinking or moving.
The Brain Tumor Hand Test: Self-Examination Guide
The brain tumor hand test has gained attention for its ability to identify brain tumor symptoms.s. It looks at hand coordination and fine motor skills. These skills can be impacted by brain tumors.
The brain tumor hand test has gained attention for its ability to identify brain tumor symptoms.
The neurological hand test checks how well a child’s hands work. It’s a basic test of hand function and coordination. It includes simple movements to spot any hand function problems.
Key components of the neurological hand test include:
- Rapid alternating movements
- Finger-to-nose testing
- Hand grip strength
- Fine motor tasks
How to Perform the Hand Coordination Test at Home
Doing the hand coordination test at home is easy. Just follow these steps:
- Ask your child to quickly open and close their hands.
- Have them touch their nose with their index finger and then switch hands.
- Check their hand grip strength by having them squeeze your fingers.
- Watch how well they do fine motor tasks like picking up small objects.
Interpreting Hand Test Results
When you look at the hand test results, watch for any signs of trouble. Clumsiness, weakness, or big differences between hands might mean there’s a problem.
Signs that may need more checking include:
- Tremors or shaking when doing tasks
- Weakness or numbness in one or both hands
- Hard time with fine motor tasks
- Coordination issues
Limitations of the Hand Test as a Diagnostic Tool
The hand coordination test is useful but has its limits. It’s not a surefire way to find brain tumors or diagnose other neurological issues. Always see a doctor if you’re worried.
Remember to:
- See a healthcare professional if you’re concerned.
- Use the hand test with other tests for a full check-up.
- Know that many things can affect hand coordination and fine motor skills.
Hand Symptoms Associated with Brain Tumors
Brain tumors in children can show up in many ways, including hand symptoms. These signs are important to catch early. They help doctors find and treat the problem quickly.
Tremors and Coordination Problems
Tremors and coordination issues might mean a brain tumor. A tremor is when your hands or arms shake without you wanting them to. It’s a sign of trouble in the brain.
Coordination problems can make your child clumsy. They might have trouble walking or doing simple tasks like tying their shoes. If your child’s coordination gets worse, see a doctor right away.
Weakness or Numbness in Hands
Weak or numb hands could be a sign of a brain tumor. This happens when the tumor presses on brain areas that control movement or feeling. It’s a serious symptom that needs attention.
Look for signs like dropping things a lot or noticing a difference in hand strength. These are warning signs that need to be checked by a doctor.
Changes in Fine Motor Skills
Changes in fine motor skills are a big concern. This includes trouble with writing, drawing, or using small objects. Brain tumors can affect these skills, making them harder to do.
Differentiating Normal Development from Concerning Signs
It’s hard to tell if something is normal or not. But, if symptoms keep getting worse, it’s time to see a doctor. A doctor can check if it’s a brain tumor or something else.
A doctor will do a thorough check to see what’s going on. This helps figure out if it’s a brain tumor or another problem.
| Symptom | Normal Developmental Variation | Potential Red Flag |
| Tremors | Occasional tremors when excited or anxious | Frequent or persistent tremors at rest |
| Coordination Problems | Clumsiness that improves with practice | Progressive clumsiness or ataxia |
| Weakness or Numbness | Transient numbness after sitting in one position | Persistent weakness or numbness, specially if unilateral |
| Fine Motor Skills Changes | Slow learning of new fine motor tasks | Regression or significant difficulty with previously mastered tasks |
Initial Medical Assessment for Suspected Brain Tumors
When a child might have a brain tumor, the first check is key. It helps figure out what’s wrong and what tests are needed.
What to Expect at the First Doctor’s Visit
At the first visit, the doctor will look closely at your child. They will ask about the symptoms, how long they’ve lasted, and what makes them better or worse.
Questions Your Doctor May Ask
The doctor will ask many questions to understand your child’s situation. They might ask:
- When did the symptoms start?
- Has the child had any head injuries recently?
- Are there any family members with brain tumors or other brain issues?
Basic Neurological Examination Components
A basic check for a brain tumor includes several parts:
| Examination Component | Description |
| Cranial Nerve Assessment | Checks how well nerves controlling eye and facial movements work. |
| Motor Function Testing | Looks at muscle strength, tone, and reflexes. |
| Sensory Examination | Tests how well the child feels touch, pain, and vibration. |
| Coordination and Balance | Sees if the child can move well and stay balanced. |
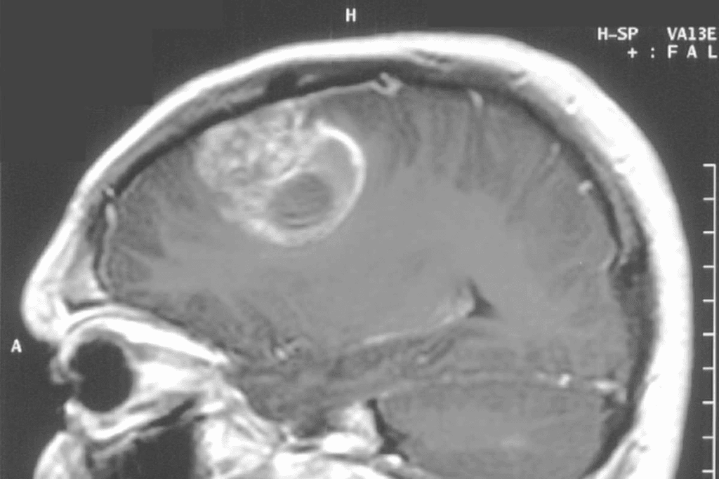
CT Scans for Brain Tumor Detection
CT scans are often used to find brain tumors. It’s key to know what they can and can’t do. They give first clues about a tumor’s presence and type.
How CT Scans Work for Brain Imaging
CT scans use X-rays to make detailed brain images. The patient lies on a table that moves into a machine. This machine takes X-rays from different angles.
These X-rays are turned into images of the brain. Doctors can see any tumors or problems in these images.
What CT Scans Can and Cannot Detect
CT scans are great for finding bleeding, bone issues, and big tumors. They help see tumors that push brain structures out of place. But, they might miss small tumors or those that blend in with the brain.
Can a Brain Tumor Be Missed on a CT Scan?
Yes, some tumors can be missed on a CT scan. This is true for small tumors or those that don’t change the brain’s density much. This is why doctors might use other tests like MRI if they’re unsure.
Radiation Considerations for Pediatric Patients
Using CT scans on kids is a big worry because of radiation. Kids’ bodies are more vulnerable to radiation harm. So, doctors try to use less radiation by adjusting the dose for each child’s size and age.
MRI Scans: The Gold Standard for Brain Tumor Diagnosis
MRI scans are the top choice for finding brain tumors in kids. They can spot tumors and normal brain tissue with great accuracy. This tool has changed how we look at brain tumors in kids, helping doctors plan better treatments.
How MRI Differs from CT Scans
MRI and CT scans are both used to see inside the body. But they work in different ways. MRI uses magnets and radio waves to show detailed brain pictures. CT scans use X-rays.
This makes MRI better at showing soft tissues like tumors. It’s a big plus for finding and understanding brain tumors.
Here are some main differences between MRI and CT scans:
- MRI doesn’t use harmful radiation, making it safer for kids.
- It shows soft tissues like tumors and nerves better than CT scans.
- MRI can also show how blood flows and tissues work, not just what they look like.
What Brain Tumors Look Like on MRI
Brain tumors look different on MRI scans. It depends on the tumor’s type, size, and where it is. Tumors show up as abnormal masses with special features.
For example, some tumors might look bright on certain images. This helps doctors see how big the tumor is and where it is in relation to other parts of the brain.
Some tumors might look:
- Bright on T2-weighted images because they have a lot of water.
- Darker on T1-weighted images, but they might look brighter after contrast is added.
MRI Brain Tumor vs. Normal Brain Tissue
MRI is great at telling tumors apart from normal brain tissue. Tumors often look different and might get brighter with contrast. But, how they look can change based on the tumor itself.
Preparing Your Child for an MRI
Getting ready for an MRI involves a few steps to make your child comfortable. It’s important to:
- Explain the MRI in a way your child can understand, making sure they know it’s safe and won’t hurt.
- Talk about staying very quiet during the scan, maybe using a mock scanner or practicing relaxation.
- Think about sedation or anesthesia if your child can’t stay calm or is really scared.
Knowing what to expect and how to prepare can make the MRI less scary for your child.
Blood Tests and Laboratory Evaluations
Blood tests are not used to directly find brain tumors. But, they give important info that helps doctors. These tests check overall health and look for tumor markers. They also help rule out other conditions with similar symptoms.
Do Brain Tumors Show Up in Blood Tests?
Brain tumors usually don’t show up in blood tests. But, some tests can find changes linked to tumors. This includes high levels of proteins or blood cell count changes.
Tumor Markers and Their Limitations
Tumor markers are substances found in high amounts in some cancers. But, they’re not perfect. Not all brain tumors have markers, and some markers can show up in non-cancer conditions.
Would Blood Tests Show a Brain Tumor?
Blood tests can’t reliably find brain tumors. MRI and CT scans are better for seeing tumors. But, blood tests can help when used with other tests. They give a fuller picture of a patient’s health.
Other Laboratory Tests That May Be Ordered
Doctors might also do urine tests, genetic testing, and spinal taps. Each test gives unique info. This info is key for finding the right treatment.
Advanced Diagnostic Procedures
Advanced diagnostic procedures are key for managing brain tumors. They help doctors accurately diagnose and track brain tumors. This information guides treatment plans.
Functional MRI and Spectroscopy
Functional MRI (fMRI) is a non-invasive way to see brain activity. It detects changes in blood flow. This helps doctors map brain functions near tumors, keeping important areas safe during surgery.
Magnetic Resonance Spectroscopy (MRS) looks at metabolic changes in tumors and brain tissue. It helps doctors understand the tumor’s nature.
PET Scans and Their Role
Positron Emission Tomography (PET) scans use a radioactive tracer. This tracer goes to areas with high activity, like tumors. PET scans help tell tumor types and check how well treatments work.
Biopsy Procedures and When They’re Necessary
Biopsy takes a tumor sample for lab tests. Even with imaging, biopsy is the best way to diagnose brain tumors. It gives detailed information on tumor type and grade.
Emerging Diagnostic Technologies
New technologies, like advanced imaging and molecular diagnostics, are improving brain tumor diagnosis and treatment. These advancements promise better patient care.
| Diagnostic Procedure | Description | Application |
| Functional MRI (fMRI) | Measures brain activity by detecting changes in blood flow | Mapping brain function, surgical planning |
| Magnetic Resonance Spectroscopy (MRS) | Analyzes metabolic changes within tumors and surrounding tissue | Understanding tumor nature, guiding treatment |
| Positron Emission Tomography (PET) | Uses radioactive tracers to identify areas of high metabolic activity | Differentiating tumor types, assessing treatment response |
| Biopsy | Surgical removal of tumor tissue for pathological examination | Diagnosing tumor type and grade |
| Emerging Technologies | Includes advanced imaging and molecular diagnostics | Enhancing diagnosis and treatment, improving patient outcomes |
Understanding Diagnostic Results
Understanding test results is key for families facing a possible pediatric brain tumor. These results can be hard to grasp and cause a lot of worry. It’s important to know what they mean and how they affect your child’s care.
How to Interpret Imaging Reports
Reports from MRI or CT scans are vital for diagnosing brain tumors. They describe the tumor’s size, location, and type. It’s helpful to understand these details to ask better questions.
False Positives and False Negatives
False positives and negatives happen in medical tests. A false positive can cause unnecessary worry, while a false negative can delay treatment. Knowing the test’s accuracy is key to understanding the results.
Questions to Ask Your Child’s Doctor About Results
When talking to your child’s doctor about results, ask these questions:
- What do the imaging results show about the tumor’s size and location?
- Are there any other abnormalities or concerns noted in the report?
- What are the next steps following these diagnostic results?
- Are additional tests or evaluations necessary?
Being informed helps you make better decisions about your child’s care.
Getting a Second Opinion on Diagnostic Images
Getting a second opinion on diagnostic images is often recommended, even for serious cases like brain tumors. It can offer new insights, confirm the diagnosis, or suggest different treatments. It ensures you fully understand your child’s condition and the best treatment plan.
When It’s Not a Brain Tumor: Common Mimics
Not every symptom that suggests a brain tumor is actually related to cancer. Many other health conditions can cause similar symptoms. This can lead to worry for parents and children. It’s important to understand these conditions to make informed health decisions.
Migraines and Headache Disorders
Migraines and other headache disorders can cause severe pain and symptoms that might seem like a brain tumor. These conditions can lead to headaches, nausea, and even neurological deficits. But, these symptoms are usually not signs of a brain tumor.
Migraine Symptoms:
- Severe headache, often on one side
- Nausea and vomiting
- Sensitivity to light and sound
- Aura symptoms (visual disturbances, numbness, etc.)
Seizure Disorders and Epilepsy
Seizure disorders, including epilepsy, can cause convulsions and loss of consciousness. These symptoms might be concerning. While seizures can be a symptom of a brain tumor, they are more commonly linked to other conditions. It’s important to find the cause of seizures for proper treatment.
| Condition | Common Symptoms | Key Differences |
| Brain Tumor | Headaches, seizures, weakness | Progressive symptoms, often with focal neurological deficits |
| Seizure Disorder | Seizures, loss of consciousness | Recurring seizures, often with abnormal EEG |
| Migraine | Headache, nausea, aura | Episodic, often with family history |
Developmental and Behavioral Conditions
Certain developmental and behavioral conditions can have symptoms that might seem like a brain tumor. For example, ADHD can cause behavioral changes and coordination issues. It’s important to understand the child’s development to tell these conditions apart.
Infections and Inflammatory Conditions
Infections and inflammatory conditions affecting the brain, like meningitis or encephalitis, can cause severe symptoms. These conditions need quick medical attention. They can be mistaken for brain tumors because of symptoms like headache, fever, and altered mental status.
Parents and healthcare providers need to know about these common mimics of brain tumors. This helps avoid unnecessary worry. It ensures children get the right diagnosis and treatment for their condition.
Real-Life Experiences: How Parents Discovered Their Child’s Brain Tumor
Many parents have shared their scary journeys of finding out their child had a brain tumor. These stories show the challenges families face and the value of parental intuition and quick medical help.
Common Pathways to Diagnosis
Every child’s journey to finding out about their brain tumor is different. But, some patterns stand out. At first, the signs are often small and can seem like normal kid stuff. But, if symptoms like headaches or changes in mood keep happening, parents start to worry and go to the doctor.
Some parents notice their child’s fine motor skills getting worse or see tremors and coordination problems. These signs are worrying but can mean many things, making it hard to figure out if it’s a brain tumor.
Parental Intuition and Advocacy
Many parents talk about how their intuition played a big role. They had a feeling something was off, even when doctors said it was okay. This feeling pushed them to keep asking for more tests, which was key to finding out what was wrong.
It’s very important to trust your gut as a parent. You know your child best, and your worries should be listened to by doctors.
Lessons Learned from Diagnostic Journeys
Children with brain tumors teach us a lot. First, getting medical help fast when symptoms don’t go away is very important. Second, parents’ intuition and pushing for answers are key in finding out what’s wrong.
These stories also show how important it is to have caring and thorough doctors. Going through a brain tumor diagnosis and treatment is tough for families. Support from doctors can make a big difference.
When to Trust Your Instincts and Seek Further Evaluation
As a parent, trusting your gut is very important, even when you’re worried. If your child keeps showing symptoms or acts differently, you should get them checked out. Don’t be afraid to speak up if you feel doctors aren’t listening to you.
We hope these stories help other parents. We want them to know that their intuition is a powerful tool in making sure their child gets the care they need.
Conclusion: Moving Forward After Diagnosis
The brain tumor hand test has gained attention for its ability to identify brain tumor symptoms.
By knowing the warning signs and using tools like the Brain Tumor Hand Test, CT scans, and MRI scans, parents can help find problems early. This means they can get medical help fast.
After a diagnosis, it’s vital to count on doctors, family, and friends. With the right treatment and support, many kids can beat brain tumors and live healthy lives.
We urge parents to stay informed, ask lots of questions, and get a second opinion if needed. Working with healthcare providers, families can face the diagnosis and treatment with confidence and hope for the future.
FAQ
What is the brain tumor hand test, and how is it performed?
The brain tumor hand test has gained attention for its ability to identify brain tumor symptoms.oks for coordination and tremors. Have your child hold their hands out with palms down and fingers spread.
Look for any signs of tremors, weakness, or numbness.
Can a CT scan detect a brain tumor in a child?
Yes, a CT scan can find brain tumors. But, it might not show as much detail as an MRI. MRI is usually better for finding brain tumors because it has higher resolution.
Do brain tumors show up in blood tests?
Brain tumors usually don’t show up in blood tests. But, some blood tests can give clues about health. They might show tumor markers, but these aren’t sure signs of brain tumors.
What are the common symptoms of brain tumors in children?
Symptoms include headaches, vomiting, and seizures. Changes in behavior or personality are also common. Infants might have an enlarged head, vomiting, or not grow well.
How do I prepare my child for an MRI scan?
Explain the MRI in a way your child can understand. Tell them it’s painless. Some places offer programs or mock scans to help kids feel less scared.
Can a brain tumor be missed on a CT scan?
Yes, small or certain brain tumors might not show up on a CT scan. MRI is better at finding these tumors because it’s more sensitive.
What are the risk factors for pediatric brain tumors?
Risk factors include genetic predispositions and exposure to radiation. But, most brain tumors happen without a known risk factor.
How are brain tumors diagnosed?
Diagnosis uses imaging tests like MRI or CT scans, neurological exams, and sometimes biopsy. Advanced tests like functional MRI or PET scans might also be used.
Are there any conditions that can mimic brain tumors?
Yes, conditions like migraines and seizure disorders can look like brain tumors. Accurate diagnosis needs a thorough medical check.
What should I do if I suspect my child has a brain tumor?
If you think your child has a brain tumor, see a doctor right away. Keep a record of symptoms. Be ready to talk about your child’s health history.
References
- Xu, T., & Li, D. (2025). Global research trends in liver regeneration and immunomodulation: A perspective from bibliometric analysis. Frontiers in Immunology. https://pmc.ncbi.nlm.nih.gov/articles/PMC12218472/